后颅窝肿瘤的CT表现和鉴别诊断(附41例分析)
作者:翟昭华 张小明 杜勇 唐显映 李春平 敬宗林 周华藻
单位:
关键词:后颅窝;脑肿瘤;计算机体层
放射学实践990307
【摘要】 目的:了解后颅窝肿瘤的CT特征性表现。方法:对41例经手术及病理证实的后颅窝肿瘤的CT表现进行回顾性分析。结果:听神经瘤12例(30%),脑膜瘤9例(22%),转移性肿瘤7例(17%),星型胶质细胞瘤5例(12%),室管膜瘤2例,其它髓母细胞瘤、血管母细胞瘤、皮样囊肿、脉络丛乳头状瘤、神经鞘瘤和结核瘤各1例。结论:后颅窝肿瘤缺乏CT特征性表现,必须综合分析,才能提高诊断正确率。
CT characteristics and differential diagnosis of pasterior cranial fossa tumors
, http://www.100md.com
Zhai Zhaohua,Zhang Xiaoming,Du Yong,et al.
(Department of Radiology,Affiliate Hospital of North Sichuan Medical College,Nanchong 637000)
【Abstract】 Objective:To study the CT features of posterior cranial fossa tumors.Methods:The CT findings of 41 cases of posterior fossa tumors verified by operation and pathology were retrospectively analyzed.Results:Acoustic neurinoma accounted for 12 cases(30%),meningioma 9 cases(22%),metastatic tumor 7 cases(17%),astrocytic glioma 5 cases(12%),ependymoma 2 cases.And medulloblasToma、angioblastoma、dermoid cyst,neurilemoma、papilloma of chorid plexus、tuberculoma was 1 respectively.Conclusions:There are no characteristic CT features of posterior fossa tumors.To improve the accuracy rate of diagnosis a combination of the patient's history,age of the patient,tumor site and imaging data is necessary.
, 百拇医药
【Key words】 Posterior fossa Brain Tumor CT
后颅窝结构包括小脑、脑干、第四脑室、小脑天幕及桥小脑角池、桥前池等组织器官。后颅窝肿瘤种类繁多,大部分病变CT表现无特异性。本文收集我院1993年~1998年,经手术、病理证实且资料完整的后颅窝肿瘤41例,对各肿瘤的CT表现特点进行回顾性分析,以提高诊断和鉴别诊断水平。
方 法
扫描采用东芝TCT 300-S全身CT扫描机和东芝Xvision/GX螺旋CT机。以听眦线为基线,层厚和层间距常规为基线至鞍上池平面5mm,鞍上池以上为10mm;39例为先平扫,后作增强扫描,2例仅有增强检查,造影剂采用0.714 2mmol/l泛影葡胺100ml(小孩酌减)静脉加压滴注。另外,对与岩骨相连或相邻的病变,均作了岩骨薄层骨窗扫描。
41例中,男性32例,女性9例,年龄最大64岁,最小3岁,平均年龄34岁。病程5年~10天不等。
, 百拇医药
主要临床表现:头痛41例次,呕吐15例次,耳鸣及听力下降12例次,步态不稳10例次。其它临床表现和体征有:眩晕、昂白氏征阳性、视乳头水肿等。
结 果
1.肿瘤生长部位
左或右小脑半球:17例,左或右桥小脑角区:15例,四脑室及小脑蚓部9例。
2.手术病理结果
左或右侧听神经瘤12例,脑膜瘤9例,转移性肿瘤7例,星形胶质细胞瘤5例,室管膜瘤2例,髓母细胞瘤、神经鞘膜瘤、血管母细胞瘤、皮样囊肿、脉络丛乳头状瘤、结核球各1例,CT表现见表1。
表1 41例小脑肿瘤的CT表现
例
, 百拇医药
数
平 扫
增 强
瘤
周
水肿
脑
积
水
内听
道
改变
密 度
边 缘
, 百拇医药
囊
变
钙
化
均
匀
不
均
环
状
无
高
低
等
, 百拇医药
混
清
模糊
听神经瘤
12
7
5
12
7
8
4
12
12
脑膜瘤
, http://www.100md.com
9
5
3
1
6
3
8
1
3
6
转移瘤
7
5
2
, http://www.100md.com
7
1
6
7
5
胶质瘤
5
2
3
5
1
1
3
1
, 百拇医药
1
5
3
室管膜瘤
2
1
1
2
2
2
2
髓母细胞瘤
1
1
, 百拇医药
1
1
1
血管母细胞瘤
1
1
1
1
1
1
1
神经鞘膜瘤
1
1
, 百拇医药
1
1
1
1
皮样囊肿
1
1
1
1
1
脉络丛乳头状瘤
1
1
1
, 百拇医药
1
结核球
1
1
1
1
1
讨 论
本组41例中,听神经瘤约占30%(12/41),为第一位后颅窝常见肿瘤,脑膜瘤为22%(9/41),转移瘤为17%(7/41),星形胶质细胞瘤占4.6%,室管膜瘤占12%,其余髓母细胞瘤、神经鞘膜瘤、皮样囊肿等均为2.4%。除听神经瘤的发病率与文献报道一致外[1],其余各种肿瘤的发病率均有较大差异,可能与病例数、本地区脑外手术开展等情况有关。
, http://www.100md.com
1.小脑肿瘤的CT表现
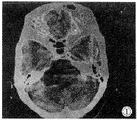
听神经瘤 桥小脑角区最常见肿瘤。本组中占80%(12/15),与文献报道基本相符。肿瘤源于前庭神经鞘膜管内部分,生长慢,常见于成人。CT表现有如下特点:①平扫多为低或低等混杂密度灶,低密度为主(7/12),边缘不清。②增强后都有明显强化,多为不均匀性强化(8/12),囊变坏死区不强化,也可呈花环状强化;强化灶边缘清楚而不规则。③骨窗见内听道口扩大(12/12),典型改变呈喇叭口状;病变以内听道口为中心;多数病例病变以窄基与岩骨相连(9/12)。④其它表现:部分病例见与肿瘤相邻桥小脑角池扩大,国外学者认为它代表肿瘤压迫脑组织,致该部分脑组织萎缩,此征象可除外脑内肿瘤(图1、2、3)。


, http://www.100md.com
图1、2、3 右桥小脑角听神经瘤。平扫呈低密度、强化明显、内有囊变坏死区、内听道“喇叭口”改变。
脑膜瘤 幕上常见,幕下常见部位为桥小脑角区及小脑凸面[2]。本组9例中,仅有3例位于桥小脑角区。CT表现特征:①平扫呈稍高或等密度块影,边界清楚或略显模糊。②增强后病变均有程度不同的强化,以均匀性强化为主(8/9),边缘清楚规则。③桥小脑角区脑膜瘤均为宽基底与岩骨相邻(3/3),邻近脑膜明显强化并可见脑膜尾征(图4、5)。

图4、5 左桥小脑角脑膜瘤。平扫呈块状稍高密度、强化明显、见脑膜尾征。
转移瘤 本组7例转移瘤,全部见于40岁以上老年人,有5例为肺癌脑转移,1例来自皮肤黑色素瘤恶变,1例未找到原发灶。①平扫时所有病灶呈边缘模糊大片状低密度,2例其内可见等密度环影;②增强后出现环状或结节状强化灶(6/7)、斑片状强化;病灶单发或多发,多发者幕上脑组织内可见相似改变,与幕上改变相比,幕下转移瘤水肿程度相对较轻。
, 百拇医药
胶质细胞瘤 双侧小脑半球为好发区。CT表现有:①平扫呈低或低等混杂密度灶,边缘模糊,本组中1例可见囊变区,1例可见斑点状钙化。②增强后不均匀性斑片状或环形强化,见瘤周水肿(3/5),也可无强化。③有占位效应:四脑室变形或移位,三脑室以上脑室扩大[3]。
其它肿瘤 髓母细胞瘤是儿童小脑中线四脑室顶和蚓部常见恶性肿瘤[4]。平扫多表现为稍高密度实质性肿块,四脑室变形,增强呈均匀性明显强化。室管膜瘤起自于室管膜上皮,四脑室常见。平扫常呈稍高或等密度灶,增强后不均匀性强化,幕上脑室扩大。脉络丛乳头状瘤好发于儿童,好发部位为四脑室,平扫常为高或等密度,增强后均匀明显强化[2]。本组脉络丛乳头状瘤仅有增强检查,呈四脑室后份明显强化结节,其内可见点片状钙化灶,四脑室及其上脑室系统明显扩大。小脑皮样囊肿平扫和增强均表现为囊状低密度,壁光滑规则无强化;后颅窝血管母细胞瘤较少见,好发于双侧小脑半球,以囊性血管母细胞瘤多见,其表现较为特殊,以囊内肿瘤壁结节为特征。增强后壁结节或肿瘤实质部分明显强化[5]。
, 百拇医药
结核瘤平扫可为等、高密度或混杂密度结节,单发或多发,周围有轻度水肿,增强呈环状强化。本组1例结核瘤仅有增强CT检查,表现为花环状伴结节状强化,周围可见低密度水肿区,术前曾考虑为转移性肿瘤。
2.鉴别诊断
后颅窝肿瘤病理类型繁多,但通常有其一定的好发部位。我们将后颅窝划为双侧桥小脑角区、双侧小脑半球、小脑中线区(四脑室、小脑蚓部、脑干)三部分进行鉴别诊断分析。
桥小脑角区 此区肿瘤以听神经瘤、脑膜瘤为常见,偶可见胆脂瘤、三叉神经瘤等其它类型肿瘤。听神经瘤典型表现为平扫呈低或等密度,边界不清,增强后呈均匀或不均匀明显强化,边缘清楚,可见囊变坏死区,内听道口喇叭状扩大。脑膜瘤则呈等或稍高密度块影,边界清楚,明显均匀性强化,广基与岩骨相邻,可见脑膜强化。
小脑半球 常见肿瘤有星形胶质细胞瘤和血管母细胞瘤、转移性肿瘤等。前二者均可呈囊性或实质性肿块,星形胶质细胞瘤增强后呈斑片状强化或无强化,而血管母细胞瘤以大囊小结节,实性肿块及壁结节大都有明显强化为特征。转移性肿瘤多见于老年人,以肺及消化道瘤肿常见。表现为大片水肿区内结节或环状强化。
, http://www.100md.com
中线区 常见髓母细胞瘤、室管膜瘤及脉络丛乳头状瘤、胶质瘤等。①年龄与肿瘤:小于30岁者多见髓母细胞瘤、星形胶质细胞瘤和室管膜瘤,大于30岁则多见于脉络丛乳头状瘤、转移性肿瘤和脑膜瘤;②CT表现特征:室管膜瘤常自正中孔处长出,多呈等密度,增强不均匀,四脑室扩大而无后移;脉络丛乳头状瘤常伴过多脑脊液产生,扩大四脑室内有高密度结节,三脑室以上脑室系统非阻塞性脑积水,此二类肿瘤均有可塑性生长的特点,可通过侧孔长入桥小脑角;髓母细胞瘤多从四脑室顶部长入,常见于儿童,强化均匀;转移性肿瘤多为结节或环状强化,且有原发病变。但是,大多数学者认为,后颅窝肿瘤多缺乏特征性CT表现[6]。
总之,后颅窝肿瘤的诊断必须将CT表现、病人年龄和发生部位结合起来综合考虑,才能提高其正确诊断率。
作者单位:637000 四川省,北医学院附属医院CT室
参考文献
, 百拇医药
1 文明,张克随,程耀郯,等.后颅窝肿瘤的CT诊断和鉴别诊断(附153例分析).实用放射学杂志,1995,4(11)∶203-206.
2 沈天真,陈星荣.中枢神经系统计算机体层摄影(CT)和磁共振成像(MRI).上海:上海医科大学出版社,1992.
3 卢定友.小脑星形胶质细胞瘤CT诊断(附36例分析).实用放射学杂志,1998,14(11)∶656-658.
4 邱光淮.髓母细胞瘤的不典型CT表现.临床放射学杂志,1993,14(4)∶187-188.
5 郭亮,沈海林.后颅窝成血管细胞瘤的影像学特点及其诊断.临床放射学杂志,1998,17(3)∶136-138.
6 余淮,沈天真.四脑室区肿瘤的CT和MRI诊断.实用放射学杂志,1995,11(1)∶11-13.
(1999-3-31 收稿), 百拇医药
单位:
关键词:后颅窝;脑肿瘤;计算机体层
放射学实践990307
【摘要】 目的:了解后颅窝肿瘤的CT特征性表现。方法:对41例经手术及病理证实的后颅窝肿瘤的CT表现进行回顾性分析。结果:听神经瘤12例(30%),脑膜瘤9例(22%),转移性肿瘤7例(17%),星型胶质细胞瘤5例(12%),室管膜瘤2例,其它髓母细胞瘤、血管母细胞瘤、皮样囊肿、脉络丛乳头状瘤、神经鞘瘤和结核瘤各1例。结论:后颅窝肿瘤缺乏CT特征性表现,必须综合分析,才能提高诊断正确率。
CT characteristics and differential diagnosis of pasterior cranial fossa tumors
, http://www.100md.com
Zhai Zhaohua,Zhang Xiaoming,Du Yong,et al.
(Department of Radiology,Affiliate Hospital of North Sichuan Medical College,Nanchong 637000)
【Abstract】 Objective:To study the CT features of posterior cranial fossa tumors.Methods:The CT findings of 41 cases of posterior fossa tumors verified by operation and pathology were retrospectively analyzed.Results:Acoustic neurinoma accounted for 12 cases(30%),meningioma 9 cases(22%),metastatic tumor 7 cases(17%),astrocytic glioma 5 cases(12%),ependymoma 2 cases.And medulloblasToma、angioblastoma、dermoid cyst,neurilemoma、papilloma of chorid plexus、tuberculoma was 1 respectively.Conclusions:There are no characteristic CT features of posterior fossa tumors.To improve the accuracy rate of diagnosis a combination of the patient's history,age of the patient,tumor site and imaging data is necessary.
, 百拇医药
【Key words】 Posterior fossa Brain Tumor CT
后颅窝结构包括小脑、脑干、第四脑室、小脑天幕及桥小脑角池、桥前池等组织器官。后颅窝肿瘤种类繁多,大部分病变CT表现无特异性。本文收集我院1993年~1998年,经手术、病理证实且资料完整的后颅窝肿瘤41例,对各肿瘤的CT表现特点进行回顾性分析,以提高诊断和鉴别诊断水平。
方 法
扫描采用东芝TCT 300-S全身CT扫描机和东芝Xvision/GX螺旋CT机。以听眦线为基线,层厚和层间距常规为基线至鞍上池平面5mm,鞍上池以上为10mm;39例为先平扫,后作增强扫描,2例仅有增强检查,造影剂采用0.714 2mmol/l泛影葡胺100ml(小孩酌减)静脉加压滴注。另外,对与岩骨相连或相邻的病变,均作了岩骨薄层骨窗扫描。
41例中,男性32例,女性9例,年龄最大64岁,最小3岁,平均年龄34岁。病程5年~10天不等。
, 百拇医药
主要临床表现:头痛41例次,呕吐15例次,耳鸣及听力下降12例次,步态不稳10例次。其它临床表现和体征有:眩晕、昂白氏征阳性、视乳头水肿等。
结 果
1.肿瘤生长部位
左或右小脑半球:17例,左或右桥小脑角区:15例,四脑室及小脑蚓部9例。
2.手术病理结果
左或右侧听神经瘤12例,脑膜瘤9例,转移性肿瘤7例,星形胶质细胞瘤5例,室管膜瘤2例,髓母细胞瘤、神经鞘膜瘤、血管母细胞瘤、皮样囊肿、脉络丛乳头状瘤、结核球各1例,CT表现见表1。
表1 41例小脑肿瘤的CT表现
例
, 百拇医药
数
平 扫
增 强
瘤
周
水肿
脑
积
水
内听
道
改变
密 度
边 缘
, 百拇医药
囊
变
钙
化
均
匀
不
均
环
状
无
高
低
等
, 百拇医药
混
清
模糊
听神经瘤
12
7
5
12
7
8
4
12
12
脑膜瘤
, http://www.100md.com
9
5
3
1
6
3
8
1
3
6
转移瘤
7
5
2
, http://www.100md.com
7
1
6
7
5
胶质瘤
5
2
3
5
1
1
3
1
, 百拇医药
1
5
3
室管膜瘤
2
1
1
2
2
2
2
髓母细胞瘤
1
1
, 百拇医药
1
1
1
血管母细胞瘤
1
1
1
1
1
1
1
神经鞘膜瘤
1
1
, 百拇医药
1
1
1
1
皮样囊肿
1
1
1
1
1
脉络丛乳头状瘤
1
1
1
, 百拇医药
1
结核球
1
1
1
1
1
讨 论
本组41例中,听神经瘤约占30%(12/41),为第一位后颅窝常见肿瘤,脑膜瘤为22%(9/41),转移瘤为17%(7/41),星形胶质细胞瘤占4.6%,室管膜瘤占12%,其余髓母细胞瘤、神经鞘膜瘤、皮样囊肿等均为2.4%。除听神经瘤的发病率与文献报道一致外[1],其余各种肿瘤的发病率均有较大差异,可能与病例数、本地区脑外手术开展等情况有关。
, http://www.100md.com
1.小脑肿瘤的CT表现
听神经瘤 桥小脑角区最常见肿瘤。本组中占80%(12/15),与文献报道基本相符。肿瘤源于前庭神经鞘膜管内部分,生长慢,常见于成人。CT表现有如下特点:①平扫多为低或低等混杂密度灶,低密度为主(7/12),边缘不清。②增强后都有明显强化,多为不均匀性强化(8/12),囊变坏死区不强化,也可呈花环状强化;强化灶边缘清楚而不规则。③骨窗见内听道口扩大(12/12),典型改变呈喇叭口状;病变以内听道口为中心;多数病例病变以窄基与岩骨相连(9/12)。④其它表现:部分病例见与肿瘤相邻桥小脑角池扩大,国外学者认为它代表肿瘤压迫脑组织,致该部分脑组织萎缩,此征象可除外脑内肿瘤(图1、2、3)。
, http://www.100md.com
图1、2、3 右桥小脑角听神经瘤。平扫呈低密度、强化明显、内有囊变坏死区、内听道“喇叭口”改变。
脑膜瘤 幕上常见,幕下常见部位为桥小脑角区及小脑凸面[2]。本组9例中,仅有3例位于桥小脑角区。CT表现特征:①平扫呈稍高或等密度块影,边界清楚或略显模糊。②增强后病变均有程度不同的强化,以均匀性强化为主(8/9),边缘清楚规则。③桥小脑角区脑膜瘤均为宽基底与岩骨相邻(3/3),邻近脑膜明显强化并可见脑膜尾征(图4、5)。
图4、5 左桥小脑角脑膜瘤。平扫呈块状稍高密度、强化明显、见脑膜尾征。
转移瘤 本组7例转移瘤,全部见于40岁以上老年人,有5例为肺癌脑转移,1例来自皮肤黑色素瘤恶变,1例未找到原发灶。①平扫时所有病灶呈边缘模糊大片状低密度,2例其内可见等密度环影;②增强后出现环状或结节状强化灶(6/7)、斑片状强化;病灶单发或多发,多发者幕上脑组织内可见相似改变,与幕上改变相比,幕下转移瘤水肿程度相对较轻。
, 百拇医药
胶质细胞瘤 双侧小脑半球为好发区。CT表现有:①平扫呈低或低等混杂密度灶,边缘模糊,本组中1例可见囊变区,1例可见斑点状钙化。②增强后不均匀性斑片状或环形强化,见瘤周水肿(3/5),也可无强化。③有占位效应:四脑室变形或移位,三脑室以上脑室扩大[3]。
其它肿瘤 髓母细胞瘤是儿童小脑中线四脑室顶和蚓部常见恶性肿瘤[4]。平扫多表现为稍高密度实质性肿块,四脑室变形,增强呈均匀性明显强化。室管膜瘤起自于室管膜上皮,四脑室常见。平扫常呈稍高或等密度灶,增强后不均匀性强化,幕上脑室扩大。脉络丛乳头状瘤好发于儿童,好发部位为四脑室,平扫常为高或等密度,增强后均匀明显强化[2]。本组脉络丛乳头状瘤仅有增强检查,呈四脑室后份明显强化结节,其内可见点片状钙化灶,四脑室及其上脑室系统明显扩大。小脑皮样囊肿平扫和增强均表现为囊状低密度,壁光滑规则无强化;后颅窝血管母细胞瘤较少见,好发于双侧小脑半球,以囊性血管母细胞瘤多见,其表现较为特殊,以囊内肿瘤壁结节为特征。增强后壁结节或肿瘤实质部分明显强化[5]。
, 百拇医药
结核瘤平扫可为等、高密度或混杂密度结节,单发或多发,周围有轻度水肿,增强呈环状强化。本组1例结核瘤仅有增强CT检查,表现为花环状伴结节状强化,周围可见低密度水肿区,术前曾考虑为转移性肿瘤。
2.鉴别诊断
后颅窝肿瘤病理类型繁多,但通常有其一定的好发部位。我们将后颅窝划为双侧桥小脑角区、双侧小脑半球、小脑中线区(四脑室、小脑蚓部、脑干)三部分进行鉴别诊断分析。
桥小脑角区 此区肿瘤以听神经瘤、脑膜瘤为常见,偶可见胆脂瘤、三叉神经瘤等其它类型肿瘤。听神经瘤典型表现为平扫呈低或等密度,边界不清,增强后呈均匀或不均匀明显强化,边缘清楚,可见囊变坏死区,内听道口喇叭状扩大。脑膜瘤则呈等或稍高密度块影,边界清楚,明显均匀性强化,广基与岩骨相邻,可见脑膜强化。
小脑半球 常见肿瘤有星形胶质细胞瘤和血管母细胞瘤、转移性肿瘤等。前二者均可呈囊性或实质性肿块,星形胶质细胞瘤增强后呈斑片状强化或无强化,而血管母细胞瘤以大囊小结节,实性肿块及壁结节大都有明显强化为特征。转移性肿瘤多见于老年人,以肺及消化道瘤肿常见。表现为大片水肿区内结节或环状强化。
, http://www.100md.com
中线区 常见髓母细胞瘤、室管膜瘤及脉络丛乳头状瘤、胶质瘤等。①年龄与肿瘤:小于30岁者多见髓母细胞瘤、星形胶质细胞瘤和室管膜瘤,大于30岁则多见于脉络丛乳头状瘤、转移性肿瘤和脑膜瘤;②CT表现特征:室管膜瘤常自正中孔处长出,多呈等密度,增强不均匀,四脑室扩大而无后移;脉络丛乳头状瘤常伴过多脑脊液产生,扩大四脑室内有高密度结节,三脑室以上脑室系统非阻塞性脑积水,此二类肿瘤均有可塑性生长的特点,可通过侧孔长入桥小脑角;髓母细胞瘤多从四脑室顶部长入,常见于儿童,强化均匀;转移性肿瘤多为结节或环状强化,且有原发病变。但是,大多数学者认为,后颅窝肿瘤多缺乏特征性CT表现[6]。
总之,后颅窝肿瘤的诊断必须将CT表现、病人年龄和发生部位结合起来综合考虑,才能提高其正确诊断率。
作者单位:637000 四川省,北医学院附属医院CT室
参考文献
, 百拇医药
1 文明,张克随,程耀郯,等.后颅窝肿瘤的CT诊断和鉴别诊断(附153例分析).实用放射学杂志,1995,4(11)∶203-206.
2 沈天真,陈星荣.中枢神经系统计算机体层摄影(CT)和磁共振成像(MRI).上海:上海医科大学出版社,1992.
3 卢定友.小脑星形胶质细胞瘤CT诊断(附36例分析).实用放射学杂志,1998,14(11)∶656-658.
4 邱光淮.髓母细胞瘤的不典型CT表现.临床放射学杂志,1993,14(4)∶187-188.
5 郭亮,沈海林.后颅窝成血管细胞瘤的影像学特点及其诊断.临床放射学杂志,1998,17(3)∶136-138.
6 余淮,沈天真.四脑室区肿瘤的CT和MRI诊断.实用放射学杂志,1995,11(1)∶11-13.
(1999-3-31 收稿), 百拇医药