胃癌的CT诊断及其价值
作者:张旭升 郑晓林
单位:523000 广东省,东莞市人民医院CT室
关键词:胃癌;CT表现;CT诊断
放射学实践990411 【摘要】 目的:通过对胃癌CT表现的分析,评价CT对胃癌的诊断能力及价值。方法:患者共13例,经CT检查诊断为胃恶性肿瘤,5例诊断为胃癌,8例误诊为胃淋巴瘤或胃平滑肌肉瘤,经手术和病理均确诊为胃癌。本文对患者的CT表现与手术病理进行对照分析。结果:CT能清楚地观察胃癌病变的全貌、病变与周围脏器的关系,但显示腹部淋巴结转移及胃癌的定性方面有一定的局限性。结论:胃CT检查能首先发现病变,如结合胃肠钡餐、纤维胃镜及B超检查,能为临床及手术提供可靠的诊断与参考。
The value of CT diagnosis for gastric carcinomas
, 百拇医药
Zhang Xusheng,Zheng Xiaoling.
The Department of Radiology, Dongguan People's Hospital,Dongguan City,Guangdong Province 523000
【Abstract】 Objective:To investigate the CT findings of gastric carcinomas and to evaluate the value of CT diagnosis.Methods: Stomach malignant tumors were diagnosed in 13 patients by CT scans,including 5 stomach carcinomas and 8 leiomyosarcomas. All were operated and proved pathologically. The correlation between the CT appearances and the surgical and pathological findings were analyzed. Results:The carcinoma mass and the relation between the mass and its surrounding organs can be clearly showed in CT scan. But it is of limited value to display lymph nodes metastasis and to determine the nature of the mass. Conclusions: The tumor mass of gastric carcinoma can be found in CT scan.If CT scans is used in combination with barium meal,endoscopy and ultrasonic scan, the diagnosis would be more reliable.
, 百拇医药
【Key words】 Gastric carcinoma CT findings CT diagnosis.
目前诊断胃癌的主要手段为胃十二指肠钡餐和纤维胃镜,但它们只能显示粘膜表面的病变,有一定的局限性,与其比较CT能补充不足,有独特的诊断优势。本文收集了我院1994年3月~1998年10月经CT诊断并经手术证实的胃癌,报道如下。
材料与方法
1. 病人资料
患者共13例,男9例,女4例,年龄26~72岁之间,病程为10天~9个月,主要临床症状为上腹包块、腹痛、消瘦、恶心呕吐、2例患者呕血与柏油样大便,13例患者临床均怀疑肝癌或腹部包块查因经CT检查发现胃部病变,其中9例经CT检查后,做钡餐、纤维胃镜、B超检查。
2. CT扫描
, http://www.100md.com
所用机型为GE9800Hilight Advantage高分辨率CT机。扫描前准备,患者禁食12h,扫描前20min口服2%碘剂500ml。扫描方法,患者仰卧,扫描范围从肝顶到十二指肠水平部,层厚、层距10mm,矩阵512×512,重建算法为Standard,平扫+增强,增强时快速团注优维显或欧乃派克80~100ml后立即扫描。
3. 分析方法
作者对13例患者进行回顾性分析,复习其CT、胃肠钡餐、纤维胃镜、B超表现,并与手术所见及病理结果相对照,观察CT诊断胃癌的可靠征象,分析CT显示病变的优势与局限性。
结 果
1. CT表现
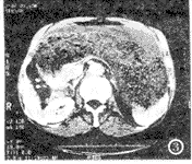
胃壁增厚及肿块 本组病例中,胃底增厚2例,胃底及胃体弥漫性增厚4例,胃窦部局限性增厚3例,胃壁增厚均超过1.5cm(图1),呈均匀性或不均匀性,密度均匀,1例可见溃疡形成。胃底部巨大肿块2例,约13cm×15cm×16cm大小,密度不均匀,内见多发不规则液化区,增强时表现不均匀强化,胃体前后壁肿块各1例,大小约3cm×4cm×5cm,密度不均匀(图2)。

, 百拇医药
图1 胃底、胃体弥漫性增厚,胃壁厚度超过1.5cm。
图2 胃底部可见巨大软组织肿块,密度不均匀,累及到左肾及胰尾之间。主动脉右侧及门静脉后方见淋巴结肿大。
胃腔扩张 胃腔扩张7例,4例为胃底及胃体弥漫增厚而导致胃腔扩大,3例则由胃窦局部病变梗阻所至,7例均表现为胃腔高度扩大胃窦梗阻者胃腔内含大量食物残渣(图3)。
图3 胃腔极度扩张,内有大量滞留液及食物残渣。胃窦狭窄,增厚。
腹腔内淋巴结肿大 显示门静脉与下腔静脉之间结节(淋巴结肿大)1例(图2),腹主动脉左侧结节1例,主动脉与下腔静脉之间结节2例,腹膜后血管周围密度增高、结构模糊2例,肝门区密度增高1例。
, 百拇医药
胃周围腹腔脏器改变 病变胃体积增大使肝、脾、肾、胰有不同程度受压、移位。胃前壁肿块累及横结肠1例,腹主动脉左侧淋巴结肿大导致肾盂积水1例,小网膜囊积液1例(图4),肝内胆管扩张1例。1例患者因血尿作盆腔CT扫描,表现膀胱壁弥漫性增厚,手术证实为胃癌转移(图5)。

图4 小网膜囊积液,示办小弯及肝尾叶之间液性密度区,同时见肝内胆管扩张。
图5 膀胱壁均匀,弥漫性增厚,腔缩小,病理诊断证实了胃癌转移。
2. CT诊断结果
在CT诊断过程中,根据上述表现,诊断胃癌5例,胃淋巴瘤3例,胃平滑肌肉瘤3例,胃淋巴瘤或胃平滑肌肉瘤可能者2例。
, http://www.100md.com
3. 手术所见
手术所示胃壁增厚及肿块均与CT扫描相符合,但13例患者胃部病变均与其周围脏器粘连及有腹膜转移,均有胃3组以上淋巴结肿大,部分患者有腹主动脉旁及肝门淋巴结肿大。
4. 病理结果
13例患者之病理结果均为胃腺癌,其中6例为低分化性腺癌。
讨 论
胃为实质中空器官,依其充盈程度不同而形态及胃壁厚度变化较大,过去,在胃疾病检查时,CT不是主要手段,近些年来,随着CT检查技术不断提高、改进及人们对胃解剖、病变深入了解,使CT诊断胃疾病的地位得到肯定,有关文献报道亦逐渐增多[1]。
胃癌是胃最常见的恶性肿瘤,占消化道肿瘤的第3位[2]。如果患者症状典型,经胃十二指肠钡餐及纤维胃镜检查,诊断并不难,但部分患者因肿瘤未引起胃腔梗阻或胃表面出血,无明显的胃部症状,病人临床表现以腹痛与腹部肿块为主,无法说出准确主诉,临床医生难以确定有效的检查方法,在这种情况下,腹部CT应为首选,本组病例情况大多如此,13例患者中,7例有腹部肿块而怀疑肝癌或腹膜后肿瘤,行CT检查发现胃部病变,再辅助其它检查得以确诊,说明CT诊断胃癌有一定的优势。
, http://www.100md.com
据统计胃癌多发生于胃窦部[3],较少发生于胃底及胃体,典型表现为局部肿块、局限性胃壁增厚、腔内溃疡,发生于胃窦部者导致梗阻性胃腔扩张,沿胃壁弥漫性生长的浸润性胃癌则使胃腔狭窄,但本组病例较特殊,肿瘤位于胃窦部仅3例,大部分位于胃体及胃底。CT表现为胃壁增厚、胃腔增大扩张,或胃底巨大软组织肿块,故CT误诊为胃淋巴瘤及胃平滑肌肉瘤,说明部分胃癌表现酷似淋巴瘤和平滑肌肉瘤。
CT胃十二指肠扫描除能显示胃病变本身的全貌外,尚可观察病变与周围脏器之间的关系,在我们的病例中,报告肿瘤向周围脏器侵犯均得到证实,其中1例出现膀胱浸润性转移,情况实属特殊。但观察腹部淋巴结转移有其局限性,本组病例仅显示7例腹腔与腹膜后淋巴结肿大,但手术所见全部病历均有胃周3组以上的淋巴结转移,分析可能是由于淋巴结紧贴胃及其它脏器,其间无脂肪间隔,密度差异不大,CT难以分辨与显示,另一方面,可能是对胃周淋巴结肿大缺乏认识,故该方面的问题尚有待于进一步研究,以便为临床和手术提供更可靠、更准确地参考。
, http://www.100md.com
在CT诊断胃癌过程中,扫描前准备尤为重要,如果准备得当,可以显示较小的肿瘤及其它病变[4],当CT观察到病变时,需进一步明确病变与周围脏器之间的关系、腹部有无淋巴结肿大,并应结合纤维胃镜、胃肠钡餐、B超综合诊断,前两者可进一步细致的观察病变情况及活检定性,后者可以探测到<1cm之肝脏转移灶及小的淋巴结转移。除胃窦部局限性增厚、狭窄外,胃壁广泛性增厚及胃巨大软组织肿块不是胃癌的特征,易与淋巴瘤和平滑肌肉瘤相混淆。
综合分析本组病例误诊的主要归于以下几点:①临床表现不典型,13例患者中仅2例出现呕血及柏油样大便的胃癌常见症状,大部分患者以腹部包块就诊。②部分患者年龄较轻。③肿瘤生长的位置特殊,13例患者中有9例肿瘤生长于胃底及胃体部,仅2例生长在典型的部位。④肿瘤侵犯部位较深、瘤体较大,一般胃癌生长部位为粘膜层及粘膜下层,晚期才累及肌层,但为局限性;弥漫性胃癌,肿瘤呈浸润性生长则因纤维组织较多使胃腔缩小,而本组病例胃壁全层增厚,胃腔扩大,或表现为巨大之软组织肿块,该点是我们将胃癌误诊为胃其它恶性肿瘤的主要原因。通过对本组病例的总结分析,我们认识到相当部分胃癌的表现不典型,容易引起误诊,在今后的诊断时应结合年龄、病史及实验室检查综合分析加以鉴别。
, 百拇医药
参考文献
1 Kazerooni EA,Quint LE,Francis IR. Duodenal Neoplasms:Predictive Value of CT for Determining Malignancy on Tumor Rescetability.AJR,1992,159∶303.
2 Scatarige JC,Disantis DJ.CT of the Stomach and duodenum.Radiol Clin North Am,1989,27∶687.
3 Cho JS,Kim,Rbo SM. Preoperative Assessment of Gastric carcinoma:Value of Two-Phase Dynamic CT with Mechanical IV Injection of Contrast Material.AJR,1994,163∶69.
4 龚建平,高金保,周洁暇,等.CT诊断十二指肠病变的技术要点.中外医用放射技术,1996,126∶80.
(1999-06-14 收稿), 百拇医药
单位:523000 广东省,东莞市人民医院CT室
关键词:胃癌;CT表现;CT诊断
放射学实践990411 【摘要】 目的:通过对胃癌CT表现的分析,评价CT对胃癌的诊断能力及价值。方法:患者共13例,经CT检查诊断为胃恶性肿瘤,5例诊断为胃癌,8例误诊为胃淋巴瘤或胃平滑肌肉瘤,经手术和病理均确诊为胃癌。本文对患者的CT表现与手术病理进行对照分析。结果:CT能清楚地观察胃癌病变的全貌、病变与周围脏器的关系,但显示腹部淋巴结转移及胃癌的定性方面有一定的局限性。结论:胃CT检查能首先发现病变,如结合胃肠钡餐、纤维胃镜及B超检查,能为临床及手术提供可靠的诊断与参考。
The value of CT diagnosis for gastric carcinomas
, 百拇医药
Zhang Xusheng,Zheng Xiaoling.
The Department of Radiology, Dongguan People's Hospital,Dongguan City,Guangdong Province 523000
【Abstract】 Objective:To investigate the CT findings of gastric carcinomas and to evaluate the value of CT diagnosis.Methods: Stomach malignant tumors were diagnosed in 13 patients by CT scans,including 5 stomach carcinomas and 8 leiomyosarcomas. All were operated and proved pathologically. The correlation between the CT appearances and the surgical and pathological findings were analyzed. Results:The carcinoma mass and the relation between the mass and its surrounding organs can be clearly showed in CT scan. But it is of limited value to display lymph nodes metastasis and to determine the nature of the mass. Conclusions: The tumor mass of gastric carcinoma can be found in CT scan.If CT scans is used in combination with barium meal,endoscopy and ultrasonic scan, the diagnosis would be more reliable.
, 百拇医药
【Key words】 Gastric carcinoma CT findings CT diagnosis.
目前诊断胃癌的主要手段为胃十二指肠钡餐和纤维胃镜,但它们只能显示粘膜表面的病变,有一定的局限性,与其比较CT能补充不足,有独特的诊断优势。本文收集了我院1994年3月~1998年10月经CT诊断并经手术证实的胃癌,报道如下。
材料与方法
1. 病人资料
患者共13例,男9例,女4例,年龄26~72岁之间,病程为10天~9个月,主要临床症状为上腹包块、腹痛、消瘦、恶心呕吐、2例患者呕血与柏油样大便,13例患者临床均怀疑肝癌或腹部包块查因经CT检查发现胃部病变,其中9例经CT检查后,做钡餐、纤维胃镜、B超检查。
2. CT扫描
, http://www.100md.com
所用机型为GE9800Hilight Advantage高分辨率CT机。扫描前准备,患者禁食12h,扫描前20min口服2%碘剂500ml。扫描方法,患者仰卧,扫描范围从肝顶到十二指肠水平部,层厚、层距10mm,矩阵512×512,重建算法为Standard,平扫+增强,增强时快速团注优维显或欧乃派克80~100ml后立即扫描。
3. 分析方法
作者对13例患者进行回顾性分析,复习其CT、胃肠钡餐、纤维胃镜、B超表现,并与手术所见及病理结果相对照,观察CT诊断胃癌的可靠征象,分析CT显示病变的优势与局限性。
结 果
1. CT表现
胃壁增厚及肿块 本组病例中,胃底增厚2例,胃底及胃体弥漫性增厚4例,胃窦部局限性增厚3例,胃壁增厚均超过1.5cm(图1),呈均匀性或不均匀性,密度均匀,1例可见溃疡形成。胃底部巨大肿块2例,约13cm×15cm×16cm大小,密度不均匀,内见多发不规则液化区,增强时表现不均匀强化,胃体前后壁肿块各1例,大小约3cm×4cm×5cm,密度不均匀(图2)。
, 百拇医药
图1 胃底、胃体弥漫性增厚,胃壁厚度超过1.5cm。
图2 胃底部可见巨大软组织肿块,密度不均匀,累及到左肾及胰尾之间。主动脉右侧及门静脉后方见淋巴结肿大。
胃腔扩张 胃腔扩张7例,4例为胃底及胃体弥漫增厚而导致胃腔扩大,3例则由胃窦局部病变梗阻所至,7例均表现为胃腔高度扩大胃窦梗阻者胃腔内含大量食物残渣(图3)。
图3 胃腔极度扩张,内有大量滞留液及食物残渣。胃窦狭窄,增厚。
腹腔内淋巴结肿大 显示门静脉与下腔静脉之间结节(淋巴结肿大)1例(图2),腹主动脉左侧结节1例,主动脉与下腔静脉之间结节2例,腹膜后血管周围密度增高、结构模糊2例,肝门区密度增高1例。
, 百拇医药
胃周围腹腔脏器改变 病变胃体积增大使肝、脾、肾、胰有不同程度受压、移位。胃前壁肿块累及横结肠1例,腹主动脉左侧淋巴结肿大导致肾盂积水1例,小网膜囊积液1例(图4),肝内胆管扩张1例。1例患者因血尿作盆腔CT扫描,表现膀胱壁弥漫性增厚,手术证实为胃癌转移(图5)。
图4 小网膜囊积液,示办小弯及肝尾叶之间液性密度区,同时见肝内胆管扩张。
图5 膀胱壁均匀,弥漫性增厚,腔缩小,病理诊断证实了胃癌转移。
2. CT诊断结果
在CT诊断过程中,根据上述表现,诊断胃癌5例,胃淋巴瘤3例,胃平滑肌肉瘤3例,胃淋巴瘤或胃平滑肌肉瘤可能者2例。
, http://www.100md.com
3. 手术所见
手术所示胃壁增厚及肿块均与CT扫描相符合,但13例患者胃部病变均与其周围脏器粘连及有腹膜转移,均有胃3组以上淋巴结肿大,部分患者有腹主动脉旁及肝门淋巴结肿大。
4. 病理结果
13例患者之病理结果均为胃腺癌,其中6例为低分化性腺癌。
讨 论
胃为实质中空器官,依其充盈程度不同而形态及胃壁厚度变化较大,过去,在胃疾病检查时,CT不是主要手段,近些年来,随着CT检查技术不断提高、改进及人们对胃解剖、病变深入了解,使CT诊断胃疾病的地位得到肯定,有关文献报道亦逐渐增多[1]。
胃癌是胃最常见的恶性肿瘤,占消化道肿瘤的第3位[2]。如果患者症状典型,经胃十二指肠钡餐及纤维胃镜检查,诊断并不难,但部分患者因肿瘤未引起胃腔梗阻或胃表面出血,无明显的胃部症状,病人临床表现以腹痛与腹部肿块为主,无法说出准确主诉,临床医生难以确定有效的检查方法,在这种情况下,腹部CT应为首选,本组病例情况大多如此,13例患者中,7例有腹部肿块而怀疑肝癌或腹膜后肿瘤,行CT检查发现胃部病变,再辅助其它检查得以确诊,说明CT诊断胃癌有一定的优势。
, http://www.100md.com
据统计胃癌多发生于胃窦部[3],较少发生于胃底及胃体,典型表现为局部肿块、局限性胃壁增厚、腔内溃疡,发生于胃窦部者导致梗阻性胃腔扩张,沿胃壁弥漫性生长的浸润性胃癌则使胃腔狭窄,但本组病例较特殊,肿瘤位于胃窦部仅3例,大部分位于胃体及胃底。CT表现为胃壁增厚、胃腔增大扩张,或胃底巨大软组织肿块,故CT误诊为胃淋巴瘤及胃平滑肌肉瘤,说明部分胃癌表现酷似淋巴瘤和平滑肌肉瘤。
CT胃十二指肠扫描除能显示胃病变本身的全貌外,尚可观察病变与周围脏器之间的关系,在我们的病例中,报告肿瘤向周围脏器侵犯均得到证实,其中1例出现膀胱浸润性转移,情况实属特殊。但观察腹部淋巴结转移有其局限性,本组病例仅显示7例腹腔与腹膜后淋巴结肿大,但手术所见全部病历均有胃周3组以上的淋巴结转移,分析可能是由于淋巴结紧贴胃及其它脏器,其间无脂肪间隔,密度差异不大,CT难以分辨与显示,另一方面,可能是对胃周淋巴结肿大缺乏认识,故该方面的问题尚有待于进一步研究,以便为临床和手术提供更可靠、更准确地参考。
, http://www.100md.com
在CT诊断胃癌过程中,扫描前准备尤为重要,如果准备得当,可以显示较小的肿瘤及其它病变[4],当CT观察到病变时,需进一步明确病变与周围脏器之间的关系、腹部有无淋巴结肿大,并应结合纤维胃镜、胃肠钡餐、B超综合诊断,前两者可进一步细致的观察病变情况及活检定性,后者可以探测到<1cm之肝脏转移灶及小的淋巴结转移。除胃窦部局限性增厚、狭窄外,胃壁广泛性增厚及胃巨大软组织肿块不是胃癌的特征,易与淋巴瘤和平滑肌肉瘤相混淆。
综合分析本组病例误诊的主要归于以下几点:①临床表现不典型,13例患者中仅2例出现呕血及柏油样大便的胃癌常见症状,大部分患者以腹部包块就诊。②部分患者年龄较轻。③肿瘤生长的位置特殊,13例患者中有9例肿瘤生长于胃底及胃体部,仅2例生长在典型的部位。④肿瘤侵犯部位较深、瘤体较大,一般胃癌生长部位为粘膜层及粘膜下层,晚期才累及肌层,但为局限性;弥漫性胃癌,肿瘤呈浸润性生长则因纤维组织较多使胃腔缩小,而本组病例胃壁全层增厚,胃腔扩大,或表现为巨大之软组织肿块,该点是我们将胃癌误诊为胃其它恶性肿瘤的主要原因。通过对本组病例的总结分析,我们认识到相当部分胃癌的表现不典型,容易引起误诊,在今后的诊断时应结合年龄、病史及实验室检查综合分析加以鉴别。
, 百拇医药
参考文献
1 Kazerooni EA,Quint LE,Francis IR. Duodenal Neoplasms:Predictive Value of CT for Determining Malignancy on Tumor Rescetability.AJR,1992,159∶303.
2 Scatarige JC,Disantis DJ.CT of the Stomach and duodenum.Radiol Clin North Am,1989,27∶687.
3 Cho JS,Kim,Rbo SM. Preoperative Assessment of Gastric carcinoma:Value of Two-Phase Dynamic CT with Mechanical IV Injection of Contrast Material.AJR,1994,163∶69.
4 龚建平,高金保,周洁暇,等.CT诊断十二指肠病变的技术要点.中外医用放射技术,1996,126∶80.
(1999-06-14 收稿), 百拇医药