视交叉外压性病变引起视力障碍的MRI表现
作者:何晖 梁长虹 黄飚 张群
单位:510080 广东省人民医院放射科
关键词:视交叉;蝶鞍;脑积水
放射学实践990405 【摘要】 目的:探讨MRI诊断视交叉外压性病变引起视力障碍的临床价值。方法:回顾性分析44例临床表现双侧视力障碍的MRI资料。MRI包括横断面、矢状面及冠状面。结果:鞍内、鞍上肿瘤33例,包括垂体瘤19例,蝶鞍外肿瘤14例;脑积水11例。MRI显示视交叉受压移位及变性,MRI显示视交叉T2加权像上呈不均匀高信号,增强后扫描有异常强化。结论:除鞍区肿瘤外,脑积水也是使视交叉受压、视力受影响的重要原因。MRI不仅可以显示视交叉受压的原因,而且可以显示视交叉变性。
The MRI features of compressive lesion of optic chiasm with visual disturbance
, 百拇医药
He Hui,Liang Changhong,Huang Biao,et al.
department of Radiology,Guangdong Provincial People′s Hospital,Guangzhou 510080
【Abstract】 Objective:To study the clinical value of MRI in diagnosing the diseases with visual disturbance owing to compressive lesions of optic chiasm.Methods:MRI was analysed retrospectively in 44 patients with double-sided visual disturbance,who underwent MR scanning with axial,sagittal and coronal plane.Results:There were 11 cases with hydrocephalus and 33 cases with intrasellar and supersellar tumors,including 19 ones with hypophysoma and 14 ones with extrasellar tumors.MRI showed the compressive displacement and degeneration of optic chiasm,which was documented as heterogeneous high signal intensity on T2WI and enhanced abnormally on contrast-enhanced MRI.Conclusion:Besides tumors in sellar region,hydrocephalus is an important cause of optic chiasm compression and visual disturbance.MRI can demonstrate not only the causes of optic chiasm compression but also the degeneration of optic chiasm.
, http://www.100md.com
【Key words】 Optic chiasm Sella Hydrocephalus
临床上,视交叉附近的病变影响视交叉的功能,产生视力障碍较多见,临床诊断较困难,往往需要依赖影像学检查。笔者收集了44例视力障碍患者的MRI检查资料,分析了视交叉周围病变对视交叉的影响。
材料与方法
44例患者中,男22例,女22例,年龄3~68岁,平均年龄43岁。临床表现主要是头痛、视朦及双侧视力下降或失明。眼科检查均发现视乳头水肿。
MRI机是Philips Gyroscan ACS-NT15 1.5T超导型。扫描方法包括平扫,横断面:层厚/层间距5.5/1.1mm;自旋回波T1加权成像,TR500ms,TE16ms;超快速自旋回波T2加权成像(TSE),TR2800ms,TE120ms。冠状面、矢状面:T1加权像,TR500ms,TE16ms。所有患者均行常规增强扫描,静脉注射Gd-DTPA 0.1mmol/kg。
, http://www.100md.com
结 果
本组垂体腺瘤19例;蝶鞍外肿瘤14例,包括鞍区外颅咽管瘤3例,鞍上池胆脂瘤2例,三脑室颅咽管瘤、鞍结节脑膜瘤、垂体柄胶质瘤、右侧脑室血管母细胞瘤、左颞部粘液变性神经纤维瘤、左颈内动脉瘤、鞍区错构瘤、左蝶骨脑膜瘤及右桥脑角听神经各1例;9例中脑导水管以上梗阻性脑积水,包括:松果体畸胎瘤2例,右侧内听道神经纤维瘤、松果体星形细胞瘤、四脑室星形细胞瘤,小脑蚓部星形细胞、三脑室畸胎瘤、左侧小脑半球星形细胞瘤及中脑导水管胶质瘤各1例;非占位性病变引起中脑导水管以上梗阻性脑积水1例;交通性脑积水1例。以上肿瘤性病变均经手术病理学证实。
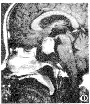
19例垂体腺瘤在MRI矢状面及冠状面均可见蝶鞍内肿块,肿块向上突入鞍上池,蝶鞍扩大,鞍背变薄及破坏。本组14例矢状面清楚显示视交叉受压上抬;冠状面显示1例压迫视交叉左侧及1例显示视交叉偏右侧受压上抬;3例视交叉受压已显示不清(图1)。
, 百拇医药
图1 垂体腺瘤,视交叉受压上抬。
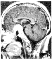
14例蝶鞍外肿瘤中,矢状面及冠状面显示4例视交叉受压上抬及7例视交叉受压向下移位,矢状面显示2例视交叉受压向前上方移位及1例视交叉受压向右前移位(图2)。
图2 鞍结节脑膜瘤,视交叉受压后移。
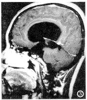
11例脑积水中,10例为中脑导水管以上梗阻性脑积水,1例交通性脑积水。由于脑积水使第三脑室前份扩大压迫视交叉,其中6例视交叉受压前上抬,5例视交叉受压向前移位(图3)。
图3 脑积水,扩大的第三脑室前部压迫视交叉。
MRI除显示视交叉受压变形移位外,34例还显示其信号发生改变,在T2加权像视交叉内可见点状或细条状高信号,增强后扫描34例中有28例可见轻度异常强化。
, http://www.100md.com
讨 论
视交叉的损伤在临床上较多见,包括视神经炎和占位性病变。仅根据临床症状及眼科检查难以鉴别其病因性质。磁共振成像可以显示视神经炎的病理征象,从而可以鉴别临床上视力障碍是视神经,抑或视神经以外的病变所致。从本组病例来看,视交叉外病变影响视交叉而引起双侧视力障碍的病例中,蝶鞍的垂体腺瘤居多,脑积水(肿瘤性及非肿瘤性)扩大的第三脑室前部,也是压迫视交叉,引起视力障碍的重要原因。从本组材料中,我们发现三脑室前份扩大对视交叉造成压迫,引起视力障碍。这一点,文献索引中未提到。我们认为,今后临床上发现视力障碍者,必须考虑有三脑室扩大压迫视交叉的可能性。
视交叉附近占位性病变可以从下方、后方、上方及侧方等方向压迫视交叉,使其失去正常的解剖位置和形态。MRI可以在矢状面和冠状面显示视交叉外病变与视交叉之间的关系,尤其TSE T2WI显示视交叉出现高信号改变,表示视交叉受压后产生了缺血变性。视交叉为左右视神经部分交叉点,当它受到损害时,在临床上往往产生双侧视力障碍。本组资料也证实了这一点。
, 百拇医药
MRI为非创伤性影像诊断手段,能提供解剖结构的三维图像,清楚地显示视交叉外病变压迫视交叉的部位及视交叉本身的变化,还可以显示视交叉外病灶的来源和性质,从而为临床提供可靠、客观的诊断和鉴别诊断依据。
参考文献
1 张效房,廖树森主编.视神经及视路疾病.新编临床眼科.郑州:河南科学技术出版社,陈雁冰主编,1996.
2 高元桂主编.磁共振成像诊断学.北京:人民军医出版社,1992.
3 隋邦森,吴恩惠,陈雁冰主编.磁共振诊断学.北京:人民卫生出版社,1994.
(1999-02-09 收稿), 百拇医药
单位:510080 广东省人民医院放射科
关键词:视交叉;蝶鞍;脑积水
放射学实践990405 【摘要】 目的:探讨MRI诊断视交叉外压性病变引起视力障碍的临床价值。方法:回顾性分析44例临床表现双侧视力障碍的MRI资料。MRI包括横断面、矢状面及冠状面。结果:鞍内、鞍上肿瘤33例,包括垂体瘤19例,蝶鞍外肿瘤14例;脑积水11例。MRI显示视交叉受压移位及变性,MRI显示视交叉T2加权像上呈不均匀高信号,增强后扫描有异常强化。结论:除鞍区肿瘤外,脑积水也是使视交叉受压、视力受影响的重要原因。MRI不仅可以显示视交叉受压的原因,而且可以显示视交叉变性。
The MRI features of compressive lesion of optic chiasm with visual disturbance
, 百拇医药
He Hui,Liang Changhong,Huang Biao,et al.
department of Radiology,Guangdong Provincial People′s Hospital,Guangzhou 510080
【Abstract】 Objective:To study the clinical value of MRI in diagnosing the diseases with visual disturbance owing to compressive lesions of optic chiasm.Methods:MRI was analysed retrospectively in 44 patients with double-sided visual disturbance,who underwent MR scanning with axial,sagittal and coronal plane.Results:There were 11 cases with hydrocephalus and 33 cases with intrasellar and supersellar tumors,including 19 ones with hypophysoma and 14 ones with extrasellar tumors.MRI showed the compressive displacement and degeneration of optic chiasm,which was documented as heterogeneous high signal intensity on T2WI and enhanced abnormally on contrast-enhanced MRI.Conclusion:Besides tumors in sellar region,hydrocephalus is an important cause of optic chiasm compression and visual disturbance.MRI can demonstrate not only the causes of optic chiasm compression but also the degeneration of optic chiasm.
, http://www.100md.com
【Key words】 Optic chiasm Sella Hydrocephalus
临床上,视交叉附近的病变影响视交叉的功能,产生视力障碍较多见,临床诊断较困难,往往需要依赖影像学检查。笔者收集了44例视力障碍患者的MRI检查资料,分析了视交叉周围病变对视交叉的影响。
材料与方法
44例患者中,男22例,女22例,年龄3~68岁,平均年龄43岁。临床表现主要是头痛、视朦及双侧视力下降或失明。眼科检查均发现视乳头水肿。
MRI机是Philips Gyroscan ACS-NT15 1.5T超导型。扫描方法包括平扫,横断面:层厚/层间距5.5/1.1mm;自旋回波T1加权成像,TR500ms,TE16ms;超快速自旋回波T2加权成像(TSE),TR2800ms,TE120ms。冠状面、矢状面:T1加权像,TR500ms,TE16ms。所有患者均行常规增强扫描,静脉注射Gd-DTPA 0.1mmol/kg。
, http://www.100md.com
结 果
本组垂体腺瘤19例;蝶鞍外肿瘤14例,包括鞍区外颅咽管瘤3例,鞍上池胆脂瘤2例,三脑室颅咽管瘤、鞍结节脑膜瘤、垂体柄胶质瘤、右侧脑室血管母细胞瘤、左颞部粘液变性神经纤维瘤、左颈内动脉瘤、鞍区错构瘤、左蝶骨脑膜瘤及右桥脑角听神经各1例;9例中脑导水管以上梗阻性脑积水,包括:松果体畸胎瘤2例,右侧内听道神经纤维瘤、松果体星形细胞瘤、四脑室星形细胞瘤,小脑蚓部星形细胞、三脑室畸胎瘤、左侧小脑半球星形细胞瘤及中脑导水管胶质瘤各1例;非占位性病变引起中脑导水管以上梗阻性脑积水1例;交通性脑积水1例。以上肿瘤性病变均经手术病理学证实。
19例垂体腺瘤在MRI矢状面及冠状面均可见蝶鞍内肿块,肿块向上突入鞍上池,蝶鞍扩大,鞍背变薄及破坏。本组14例矢状面清楚显示视交叉受压上抬;冠状面显示1例压迫视交叉左侧及1例显示视交叉偏右侧受压上抬;3例视交叉受压已显示不清(图1)。
, 百拇医药
图1 垂体腺瘤,视交叉受压上抬。
14例蝶鞍外肿瘤中,矢状面及冠状面显示4例视交叉受压上抬及7例视交叉受压向下移位,矢状面显示2例视交叉受压向前上方移位及1例视交叉受压向右前移位(图2)。
图2 鞍结节脑膜瘤,视交叉受压后移。
11例脑积水中,10例为中脑导水管以上梗阻性脑积水,1例交通性脑积水。由于脑积水使第三脑室前份扩大压迫视交叉,其中6例视交叉受压前上抬,5例视交叉受压向前移位(图3)。
图3 脑积水,扩大的第三脑室前部压迫视交叉。
MRI除显示视交叉受压变形移位外,34例还显示其信号发生改变,在T2加权像视交叉内可见点状或细条状高信号,增强后扫描34例中有28例可见轻度异常强化。
, http://www.100md.com
讨 论
视交叉的损伤在临床上较多见,包括视神经炎和占位性病变。仅根据临床症状及眼科检查难以鉴别其病因性质。磁共振成像可以显示视神经炎的病理征象,从而可以鉴别临床上视力障碍是视神经,抑或视神经以外的病变所致。从本组病例来看,视交叉外病变影响视交叉而引起双侧视力障碍的病例中,蝶鞍的垂体腺瘤居多,脑积水(肿瘤性及非肿瘤性)扩大的第三脑室前部,也是压迫视交叉,引起视力障碍的重要原因。从本组材料中,我们发现三脑室前份扩大对视交叉造成压迫,引起视力障碍。这一点,文献索引中未提到。我们认为,今后临床上发现视力障碍者,必须考虑有三脑室扩大压迫视交叉的可能性。
视交叉附近占位性病变可以从下方、后方、上方及侧方等方向压迫视交叉,使其失去正常的解剖位置和形态。MRI可以在矢状面和冠状面显示视交叉外病变与视交叉之间的关系,尤其TSE T2WI显示视交叉出现高信号改变,表示视交叉受压后产生了缺血变性。视交叉为左右视神经部分交叉点,当它受到损害时,在临床上往往产生双侧视力障碍。本组资料也证实了这一点。
, 百拇医药
MRI为非创伤性影像诊断手段,能提供解剖结构的三维图像,清楚地显示视交叉外病变压迫视交叉的部位及视交叉本身的变化,还可以显示视交叉外病灶的来源和性质,从而为临床提供可靠、客观的诊断和鉴别诊断依据。
参考文献
1 张效房,廖树森主编.视神经及视路疾病.新编临床眼科.郑州:河南科学技术出版社,陈雁冰主编,1996.
2 高元桂主编.磁共振成像诊断学.北京:人民军医出版社,1992.
3 隋邦森,吴恩惠,陈雁冰主编.磁共振诊断学.北京:人民卫生出版社,1994.
(1999-02-09 收稿), 百拇医药