血管母细胞瘤误诊为颈椎间盘突出症1例
作者:李健 吕玉明 张平
单位:510150 广州市第二人民医院骨科
关键词:
放射学实践990437 患者,女性,60岁,退休工人。患者自诉于1个月前无明显诱因出现颈部疼痛,伴向头顶部放射,疼痛呈持续性,阵发性加剧。症状严重时伴有恶心欲吐。夜间常因头颈部疼痛而不能入睡。无眩晕、耳鸣及视力模糊。曾在外院行CT检查后诊断为“颈3-4椎间盘突出症”(图1)。经对症治疗后症状无明显缓解,于1993年9月7日入院。体格检查:神志清醒、痛苦面容、强迫体位。头颈部无红肿及明显异常。颈部活动明显受限。双侧颈肌紧张、压痛。颈3-5棘突压痛。Spurling氏征(+),臂丛牵拉试验(-),Hoffmann氏征(-)。四肢感觉、运动及括约肌功能正常。实验室检查:血常规及肝、肾功能正常。ALP 176U/l,ESR 36mm/h。颈椎正侧位、双斜位片显示颈椎退行性改变。入院诊断:“颈3-4椎间盘突出症”。于1993年9月24日在放射科局麻下行“颈3-4经皮穿刺椎间盘切除术”。
, 百拇医药
图1 CT扫描显示:颈3-4椎体后缘软组织影突出,脊髓前缘中央区局限性受压,椎体右侧缘骨质增生。 手术方法 患者取仰卧位,肩背部垫软枕使颈部伸长。常规皮肤消毒铺巾,先用右拇指桡侧触到左颈动脉搏动后,在左颈动脉内侧以2%Lidocaine 1ml局麻,将甲状软骨稍推向内侧,在X线引导下将细导针斜向刺入颈3-4椎间隙,在导针入皮处作一小横切口(仅容套管针通过),将套管针套入导针,压紧皮肤,顺导针方向将套管针旋入椎间隙。嘱病人右侧卧位,透视下证实穿刺针在椎间隙后,拔出导针,送入尾部接负压吸引器胶管的创削器或环锯,往复、旋转切除抽吸髓核组织至手术完毕。拔针后伤口稍加压迫并外敷创可贴。病人在颈托保护下步行回病房。抽吸出约1.5cm×1.5cm×0.8cm白色鱼肉样物质,送病检结果为“血管母细胞瘤”(图2、3)。术后病人症状体征完全缓解。1周后出院。随访至今无复发。

, 百拇医药
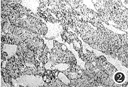
图2 瘤组织内有许多毛细血管腔隙,血管间为实性泡沫或空泡样细胞(HE×100)。
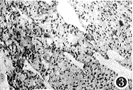
图3 图2放大,HE×400。 讨论 血管母细胞瘤临床上较少见,多发生于中年男性,而且多见生长在小脑半球或蚓部,发生在脊髓部的则少见。肿瘤多为单发,但也可多发。少数病人甚至还可同时并发其他部位肿瘤,由于这类肿瘤常与脑膜相连,故常被称为“血管母细胞脑膜瘤(Angioblastic meningoma)。”
本病例无论从临床征象体征及CT扫描的图像显示均难以颈椎间盘突出症相鉴别,但术前MRI检查对本病鉴别诊断有帮助。该病除病理检查诊断外,术中及髓核切除物均可进行肉眼分辨:①在正常经皮穿刺颈椎间盘切除(PCD)时,手术全过程基本是无出血的(除非是椎间隙过窄,穿刺方向不正确术中损伤软骨板)。而血管母细胞瘤在行PCD切吸过程中出血相对较多。②PCD所切取的髓核组织,在中老年中常为退化的椎间盘组织,由于吸水性较差,颜色常为白中带黄,硬度增大,弹性较差的组织。而血管母细胞瘤则为灰白色、鱼肉样、脆性较大的组织。
(1999-03-22 收稿), http://www.100md.com
单位:510150 广州市第二人民医院骨科
关键词:
放射学实践990437 患者,女性,60岁,退休工人。患者自诉于1个月前无明显诱因出现颈部疼痛,伴向头顶部放射,疼痛呈持续性,阵发性加剧。症状严重时伴有恶心欲吐。夜间常因头颈部疼痛而不能入睡。无眩晕、耳鸣及视力模糊。曾在外院行CT检查后诊断为“颈3-4椎间盘突出症”(图1)。经对症治疗后症状无明显缓解,于1993年9月7日入院。体格检查:神志清醒、痛苦面容、强迫体位。头颈部无红肿及明显异常。颈部活动明显受限。双侧颈肌紧张、压痛。颈3-5棘突压痛。Spurling氏征(+),臂丛牵拉试验(-),Hoffmann氏征(-)。四肢感觉、运动及括约肌功能正常。实验室检查:血常规及肝、肾功能正常。ALP 176U/l,ESR 36mm/h。颈椎正侧位、双斜位片显示颈椎退行性改变。入院诊断:“颈3-4椎间盘突出症”。于1993年9月24日在放射科局麻下行“颈3-4经皮穿刺椎间盘切除术”。
, 百拇医药
图1 CT扫描显示:颈3-4椎体后缘软组织影突出,脊髓前缘中央区局限性受压,椎体右侧缘骨质增生。 手术方法 患者取仰卧位,肩背部垫软枕使颈部伸长。常规皮肤消毒铺巾,先用右拇指桡侧触到左颈动脉搏动后,在左颈动脉内侧以2%Lidocaine 1ml局麻,将甲状软骨稍推向内侧,在X线引导下将细导针斜向刺入颈3-4椎间隙,在导针入皮处作一小横切口(仅容套管针通过),将套管针套入导针,压紧皮肤,顺导针方向将套管针旋入椎间隙。嘱病人右侧卧位,透视下证实穿刺针在椎间隙后,拔出导针,送入尾部接负压吸引器胶管的创削器或环锯,往复、旋转切除抽吸髓核组织至手术完毕。拔针后伤口稍加压迫并外敷创可贴。病人在颈托保护下步行回病房。抽吸出约1.5cm×1.5cm×0.8cm白色鱼肉样物质,送病检结果为“血管母细胞瘤”(图2、3)。术后病人症状体征完全缓解。1周后出院。随访至今无复发。
, 百拇医药
图2 瘤组织内有许多毛细血管腔隙,血管间为实性泡沫或空泡样细胞(HE×100)。
图3 图2放大,HE×400。 讨论 血管母细胞瘤临床上较少见,多发生于中年男性,而且多见生长在小脑半球或蚓部,发生在脊髓部的则少见。肿瘤多为单发,但也可多发。少数病人甚至还可同时并发其他部位肿瘤,由于这类肿瘤常与脑膜相连,故常被称为“血管母细胞脑膜瘤(Angioblastic meningoma)。”
本病例无论从临床征象体征及CT扫描的图像显示均难以颈椎间盘突出症相鉴别,但术前MRI检查对本病鉴别诊断有帮助。该病除病理检查诊断外,术中及髓核切除物均可进行肉眼分辨:①在正常经皮穿刺颈椎间盘切除(PCD)时,手术全过程基本是无出血的(除非是椎间隙过窄,穿刺方向不正确术中损伤软骨板)。而血管母细胞瘤在行PCD切吸过程中出血相对较多。②PCD所切取的髓核组织,在中老年中常为退化的椎间盘组织,由于吸水性较差,颜色常为白中带黄,硬度增大,弹性较差的组织。而血管母细胞瘤则为灰白色、鱼肉样、脆性较大的组织。
(1999-03-22 收稿), http://www.100md.com