新生儿缺氧缺血性脑病CT随访再认识
作者:王礼同 汤晓明 周丹
单位:王礼同(225001 江苏,南京铁道医学院附属扬州医院 扬州市第一人民医院 CT室);汤晓明(225001 江苏,南京铁道医学院附属扬州医院 扬州市第一人民医院 CT室);周丹(225001 江苏,南京铁道医学院附属扬州医院 扬州市第一人民医院 CT室)
关键词:缺氧缺血性脑病;新生儿;随访;体层摄影术,X线计算机
放射学实践000212 【摘要】 目的:进一步探讨新生儿缺氧缺血性脑病(HIE)的发展转归、CT分度与预后的关系,并评价CT在HIE随访中的应用价值。方法:选择有围产期窒息史,头颅CT诊断为不同程度的HIE新生儿62例。根据脑水肿范围、程度,将HIE分为轻、中、重3度,分别于3个月、6个月、1岁、2岁和4岁内进行头颅CT复查。结果:HIE所致脑低密度灶在生后3个月内吸收消失;3~6个月时可引起外部 性脑积水(EH),1岁以后,EH的表现消失;3个月及以后可引起脑室周围白质软化症(PVL),其中轻、中、重度HIE的PVL发生率为11.6 %、64.3%和80%;重度PVL的发生率为20%、33.3 %和75%;重度HIE在2个月内可引起脑软化和脑萎缩(80%)。结论:HIE的CT 分度与预后密切相关;轻度者,预后良好;中-重度者,预后较差。PVL、脑软化和脑萎缩 成为HIE远期的严重后遗症。
, http://www.100md.com
Further recognition of CT follow-up of neonatal hypoxic ischemic enc ephalopathy
Wang Litong,Tang Xiaoming,Zhou Dan.
(Department of CT,the Fir st People′s Hospital of Yangzhou,Yangzhou 225001)
【Abstract】 Objective:To study the course and sequelae of neon atal hypoxic ischemic encephalopathy (HIE),the relation between the CT grading a nd the prognosis,and to assess the value of CT in follow-up of HIE.Meth ods:Sixty-two cases of asphyxial perinatal neonates were selected,and C T gradiag was made.HIE was graded into mild,moderate and severe degrees accordin g to the extent and degree of cerebral edema.Follow-up was carried out at the 3 rd,6th month,one and two years of age and before four years old.Results: Cerebral low density lesion was absorbed in 3 months;HIE might cause ext ernal hydrocephalus (EH) at 3rd-6th month,and EH disappeared one year later;HIE might cause periventricular leukomalacia (PVL) after the 3rd month.The incidenc e of PVL was 11.6%,64.3% and 80%,respectively with mild,moderate and severe degree HIE,and that of severe degree PVL was 20%,33.3% and 75%. Severe degree HI E might cause cerebral malacia and atrophy (80%) in 2 months.Conclusions :Prognosis of HIE was closely related to the degree of abnormal manifest ations on CT:Mild degree HIE might have good prognosis,moderate to severe degree HIE might have bad porgnosis. PVL,cerebral malacia and atrophy became late ser ious complications of HIE.
, 百拇医药
【Key words】 Hypoxic ischemic encephalopathy Neonate Follow -up Tomography,X-ray Computed
新生儿缺氧缺血性脑病(HIE)是造成小儿神经系统发育障碍的主要原 因。国内外有关HIE的临床和CT诊断已有较多的报道[1,2],但有关HIE的CT随访报 道较少[3,4]。本文就本院CT随访的62例HIE,进一步探讨HIE的发展转归、HIE的C T分度与预后的关系,并评价CT在HIE随访中的应用价值。
材料与方法
1. 一般资料
本组62例中,男50例,女12例。出生史:62例均有不同程度的围产期窒息史,早 产儿11例,宫内窘迫2例,难产、剖宫产4例,急产1例,胎吸、产钳助产7例,脐带绕颈3例 ,羊水早破2例,羊水3度污染9例。
, http://www.100md.com
2. 方法
采用西门子公司SOMATOM HIQ-S型CT扫描机进行头颅CT平扫,层厚、层距均为5mm。对不 合作患儿于扫描前半小时行鲁米那0.1g肌注或10%水合氯醛1~1.5ml/kg灌肠镇静,保持头 颅固定。
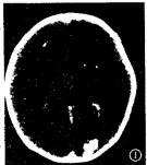
本组病例初次头颅CT扫描时间:最早在生后1天,最迟23天,平均3.8天,诊断为不同程度的 HIE。结合文献[1],根据CT所见的脑水肿范围、程度,将本组HIE分为轻、中、重 3度:轻度者43例,脑实质内斑片状低密度灶,常见于额叶、枕顶叶,合并蛛网膜下腔出血( SAH) 38例,脑室内出血(IVH) 7例,硬膜下血肿(SDH) 1例,脑实质内出血(ICH) 2例,脑室 、脑池大小、形态正常;中度者14例,脑实质内广泛斑片状低密度灶,累及额颞枕顶叶,灰 白质界限模糊,脑室、脑池变窄,合并SAH 7例,IVH 3例,室管膜下出血(SEH)2例;重度 者5例,脑实质内弥漫性低密度灶,灰白质界限消失,脑室、脑池、脑沟变窄或消失(图1), 合并SAH 5例,IVH 1例,SDH 1例,ICH 1例。
, 百拇医药
本组病例头颅CT复查时间:3个月内30例,3~6个月内18例,6个月~1岁内7例,1~2岁内10 例,4岁内2例。
图1 重 度HIE:大脑密度普遍性减低,灰白质界限消失,基底节区密度相对较高,右额叶、左枕叶 出血灶,脑室、脑池及脑沟变窄。
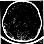
图2 外部性脑积水:额顶区蛛网膜下 腔对称性增宽,宽度达10mm,额顶区大脑沟增宽加深,大脑半球间裂前部增宽,侧脑室扩大 。
图3 重度PVL:侧脑室周围白质对称性稀少,外侧裂池部位脑沟加深, 脑灰质逼近侧脑室后角缘,与侧脑室缘距离消失,并突向侧脑室,侧脑室扩大,有切迹,边缘不规整。
, http://www.100md.com
图4 脑软化和脑萎缩:大脑沟普遍性增宽加深,侧脑室扩大 ,双颞叶脑软化灶。
结果
3个月内复查CT 30例,CT表现异常19例,其中2个月内复查CT时,12例侧脑室后角或前、后 角周围白质内仍可见斑片状低密度灶。外部性脑积水(EH)1例,CT表现为:额顶区蛛网膜下 腔对称性增宽,宽度≥5mm,大脑半球间裂前部增宽,额顶区大脑沟增宽加深,脑基底池主 要是鞍上池增大,脑室不大或轻度扩大[5,6](图2)。脑室周围白质软化症(PVL)3 例,其中脑软化和脑萎缩1例,结合文献[7],PVL可分为轻、中、重3度,CT诊断 标准为:侧脑室周围白质明显对称性减少或消失,外侧裂池部位脑沟加深,脑灰质逼近侧脑 室缘,与侧脑室缘的距离甚小或消失,侧脑室不同程度扩大,以后角、三角区明显,侧脑 室缘不规整(图3),侧脑室后角或前、后角周围白质内可见斑片状低密度灶。脑积水2例,脑 软化1例。
, 百拇医药
3~6个月内复查CT 18例,CT表现异常9例,EH 3例,PVL 6例,其中脑软化和脑萎缩1例 。6个月~1岁内复查CT 7例,CT表现异常4例,均为PVL,其中基底节区、放射冠区点状钙化 各1例,脑软化1例。1~2岁内复查CT 10例,CT表现异常7例,PVL 5例,脑萎缩1例,CT表 现为:整个大脑沟普遍性增宽加深,可伴小脑沟加深,大脑半球间裂多正常或整个增宽,脑 室多扩大,且较显著。脑软化和脑萎缩1例(图4)。4岁内复查CT 2例,CT表现异常1例,为P VL。
讨论
1. CT对HIE所致脑低密度灶吸收消失时间的分析
本组62例病例初次头颅CT扫描均显示了脑实质内不同程度的低密度灶,在生后2个月内复查C T时,12例侧脑室后角或前、后角周围白质内仍可见斑片状低密度灶,随着时间的推移,低 密度灶逐渐吸收,在3个月时复查CT,这种脑低密度灶消失,因此,我们认为HIE所致脑低密 度灶在生后3个月之内吸收消失,在3个月以后的病例就较少见到。本组有5例PVL患儿年龄在 3个月以上,由于脑室周围白质的脱髓鞘改变,侧脑室后角或前、后周围白质内仍可见斑片 状低密度灶。
, http://www.100md.com
2. HIE的发展转归
从本组病例CT表现上分析,3个月时,CT表现异常5例中,脑软化1例,EH 1例,PVL 3例, 其中脑软化和脑萎缩1例;3~6个月内,CT表现异常9例中,EH 3例,PVL 6例,其中脑软 化和脑萎缩1例;6个月~1岁内,CT表现异常4例,均为PVL,其中脑软化1例;1~2岁内,CT 表现异常7例中,PVL 5例,脑萎缩1例,脑软化和脑萎缩1例;2岁以上,CT表现异常1例, 为PVL。因此,HIE在3~6个月内可引起EH,这是一种暂时性的交通性脑积水的特殊类型。其 形成机理为发生HIE时,蛛网膜粒的血管壁细胞因缺氧缺血造成吸收脑脊液的功能一过性障 碍。Ment[8]等曾称EH为“婴儿良性蛛网膜下腔增大”,是一种婴儿期良性自愈性 疾病,预后好,大多数没有后遗症。在1岁以上患儿的CT片上,EH的表现消失。本组4例EH, 均无临床症状。HIE在3个月及以后可引起PVL,常见于早产儿及产后窒息存活的儿童[9 ]。本组早产儿7例(38.9%)。PVL的病理基础:神经细胞坏死液化、囊变,形成疤痕 与胶质增生,大量神经组织消失,使脑室周围白质明显减少或消失,由于侧脑室周围白质软 化坏死,使胼胝体及侧脑室周围脑组织萎缩,向四周牵拉,致侧脑室不同程度扩大。PVL病 情严重,预后差。大于1岁的患儿均有不同程度的运动、语言及智能障碍。本组18例PVL中, 脑瘫11例(68.8 %),不能抬头、独坐3例,不会说话8例,不会走路或行走时,足尖着地,呈 剪刀样步态8例,抽搐2例。重度HIE可在2个月内引起脑软化和脑萎缩。本组1例重度HIE在生 后12天时即出现脑软化趋势。由于PVL、脑软化和脑萎缩在临床上是不能治愈的,成为HIE远 期的严重后遗症。
, http://www.100md.com
3. HIE的CT分度与预后的关系
在3~6个月时复查CT,有4例EH,其中轻度HIE 1例,中度HIE 3例,在1岁以后,CT表现正 常,预后好。3个月及以后引起PVL 18例,其中轻度HIE 5例(11.6%),中度HIE 9例( 64.3%),重度HIE 4例(80%);重度PVL 7例,其中轻度HIE 1例(20%),中度HIE 3例(33 .3%),重度HIE 3例(75%)。轻度HIE发生PVL机会少、程度轻;中-重度HIE发生PVL机会多 、程度重。4例脑软化和脑萎缩,均为重度HIE。因此,HIE的CT分度与预后密切相关:轻度 者,一般预后良好;中-重度者,预后较差。
4. CT在HIE随访中的应用价值
CT检查可了解HIE脑损害的严重程度及其演变过程,为临床及时准确地诊断、指导治疗及评 价预后提供了客观依据。CT检查若有脑积水是手术的指征,轻度脑室扩大或EH可有不同程度 的康复。早期严重的CT表现对预后影响很大,如PVL、多灶性脑软化灶和弥漫性脑萎缩,提 示预后不良。早期及时干预治疗,CT可有明显改善,可减少或减轻神经系统的后遗症,提高 患儿的生存质量。因此,我们认为早期复查CT意义更大,可以把CT检查作为HIE随访的首选 方法。
, 百拇医药
参考文献
[1]韩玉昆,虞人杰,卜定方.新生儿缺氧缺血性脑病临床诊断依据和分度[J].中 华儿科杂志,1990,28∶31.
[2]谢礼逊,苏一媛,陈双.新生儿窒息缺氧缺血性脑病的CT诊断(附128例分析)[J].中华 放射学杂志,1993,27∶236.
[3]龙晚生,罗学毛,赵汝庸.新生儿缺氧缺血性脑病的CT随访观察[J].中华放射学杂志, 1997,31(8)∶524-527.
[4]王礼同,汤晓明.新生儿缺氧缺血性脑病CT追踪研究[J].中国医学影像技术,1998,14 (10)∶746-747.
[5]张桂本,张绍龄.外部性脑积水的临床和CT诊断及随访观察[J].中华放射学杂志,1993 ,27(11)∶755.
, http://www.100md.com
[6]曾幼鲁,曲风宏,黄晓伟.外部性脑积水的CT和临床[J].中华放射学杂志,1990,24(5 )∶289.
[7]Flodmark O, Lupton B, Li D, et al. MR imaging of periventricular leukomalacia in childhood[J]. AJR,1989,152∶583-590.
[8]Ment LR,Duncan CC,Geehr R. Benign enlargement of subarachnoid space in the in fant[J].J Neurosury,1981,54∶504.
[9]隋邦森,吴恩惠,陈雁冰.磁共振诊断学[M].北京:人民卫生出版社,1995.463-465.
(1999-12-17 收稿), 百拇医药
单位:王礼同(225001 江苏,南京铁道医学院附属扬州医院 扬州市第一人民医院 CT室);汤晓明(225001 江苏,南京铁道医学院附属扬州医院 扬州市第一人民医院 CT室);周丹(225001 江苏,南京铁道医学院附属扬州医院 扬州市第一人民医院 CT室)
关键词:缺氧缺血性脑病;新生儿;随访;体层摄影术,X线计算机
放射学实践000212 【摘要】 目的:进一步探讨新生儿缺氧缺血性脑病(HIE)的发展转归、CT分度与预后的关系,并评价CT在HIE随访中的应用价值。方法:选择有围产期窒息史,头颅CT诊断为不同程度的HIE新生儿62例。根据脑水肿范围、程度,将HIE分为轻、中、重3度,分别于3个月、6个月、1岁、2岁和4岁内进行头颅CT复查。结果:HIE所致脑低密度灶在生后3个月内吸收消失;3~6个月时可引起外部 性脑积水(EH),1岁以后,EH的表现消失;3个月及以后可引起脑室周围白质软化症(PVL),其中轻、中、重度HIE的PVL发生率为11.6 %、64.3%和80%;重度PVL的发生率为20%、33.3 %和75%;重度HIE在2个月内可引起脑软化和脑萎缩(80%)。结论:HIE的CT 分度与预后密切相关;轻度者,预后良好;中-重度者,预后较差。PVL、脑软化和脑萎缩 成为HIE远期的严重后遗症。
, http://www.100md.com
Further recognition of CT follow-up of neonatal hypoxic ischemic enc ephalopathy
Wang Litong,Tang Xiaoming,Zhou Dan.
(Department of CT,the Fir st People′s Hospital of Yangzhou,Yangzhou 225001)
【Abstract】 Objective:To study the course and sequelae of neon atal hypoxic ischemic encephalopathy (HIE),the relation between the CT grading a nd the prognosis,and to assess the value of CT in follow-up of HIE.Meth ods:Sixty-two cases of asphyxial perinatal neonates were selected,and C T gradiag was made.HIE was graded into mild,moderate and severe degrees accordin g to the extent and degree of cerebral edema.Follow-up was carried out at the 3 rd,6th month,one and two years of age and before four years old.Results: Cerebral low density lesion was absorbed in 3 months;HIE might cause ext ernal hydrocephalus (EH) at 3rd-6th month,and EH disappeared one year later;HIE might cause periventricular leukomalacia (PVL) after the 3rd month.The incidenc e of PVL was 11.6%,64.3% and 80%,respectively with mild,moderate and severe degree HIE,and that of severe degree PVL was 20%,33.3% and 75%. Severe degree HI E might cause cerebral malacia and atrophy (80%) in 2 months.Conclusions :Prognosis of HIE was closely related to the degree of abnormal manifest ations on CT:Mild degree HIE might have good prognosis,moderate to severe degree HIE might have bad porgnosis. PVL,cerebral malacia and atrophy became late ser ious complications of HIE.
, 百拇医药
【Key words】 Hypoxic ischemic encephalopathy Neonate Follow -up Tomography,X-ray Computed
新生儿缺氧缺血性脑病(HIE)是造成小儿神经系统发育障碍的主要原 因。国内外有关HIE的临床和CT诊断已有较多的报道[1,2],但有关HIE的CT随访报 道较少[3,4]。本文就本院CT随访的62例HIE,进一步探讨HIE的发展转归、HIE的C T分度与预后的关系,并评价CT在HIE随访中的应用价值。
材料与方法
1. 一般资料
本组62例中,男50例,女12例。出生史:62例均有不同程度的围产期窒息史,早 产儿11例,宫内窘迫2例,难产、剖宫产4例,急产1例,胎吸、产钳助产7例,脐带绕颈3例 ,羊水早破2例,羊水3度污染9例。
, http://www.100md.com
2. 方法
采用西门子公司SOMATOM HIQ-S型CT扫描机进行头颅CT平扫,层厚、层距均为5mm。对不 合作患儿于扫描前半小时行鲁米那0.1g肌注或10%水合氯醛1~1.5ml/kg灌肠镇静,保持头 颅固定。
本组病例初次头颅CT扫描时间:最早在生后1天,最迟23天,平均3.8天,诊断为不同程度的 HIE。结合文献[1],根据CT所见的脑水肿范围、程度,将本组HIE分为轻、中、重 3度:轻度者43例,脑实质内斑片状低密度灶,常见于额叶、枕顶叶,合并蛛网膜下腔出血( SAH) 38例,脑室内出血(IVH) 7例,硬膜下血肿(SDH) 1例,脑实质内出血(ICH) 2例,脑室 、脑池大小、形态正常;中度者14例,脑实质内广泛斑片状低密度灶,累及额颞枕顶叶,灰 白质界限模糊,脑室、脑池变窄,合并SAH 7例,IVH 3例,室管膜下出血(SEH)2例;重度 者5例,脑实质内弥漫性低密度灶,灰白质界限消失,脑室、脑池、脑沟变窄或消失(图1), 合并SAH 5例,IVH 1例,SDH 1例,ICH 1例。
, 百拇医药
本组病例头颅CT复查时间:3个月内30例,3~6个月内18例,6个月~1岁内7例,1~2岁内10 例,4岁内2例。
图1 重 度HIE:大脑密度普遍性减低,灰白质界限消失,基底节区密度相对较高,右额叶、左枕叶 出血灶,脑室、脑池及脑沟变窄。
图2 外部性脑积水:额顶区蛛网膜下 腔对称性增宽,宽度达10mm,额顶区大脑沟增宽加深,大脑半球间裂前部增宽,侧脑室扩大 。
图3 重度PVL:侧脑室周围白质对称性稀少,外侧裂池部位脑沟加深, 脑灰质逼近侧脑室后角缘,与侧脑室缘距离消失,并突向侧脑室,侧脑室扩大,有切迹,边缘不规整。
, http://www.100md.com
图4 脑软化和脑萎缩:大脑沟普遍性增宽加深,侧脑室扩大 ,双颞叶脑软化灶。
结果
3个月内复查CT 30例,CT表现异常19例,其中2个月内复查CT时,12例侧脑室后角或前、后 角周围白质内仍可见斑片状低密度灶。外部性脑积水(EH)1例,CT表现为:额顶区蛛网膜下 腔对称性增宽,宽度≥5mm,大脑半球间裂前部增宽,额顶区大脑沟增宽加深,脑基底池主 要是鞍上池增大,脑室不大或轻度扩大[5,6](图2)。脑室周围白质软化症(PVL)3 例,其中脑软化和脑萎缩1例,结合文献[7],PVL可分为轻、中、重3度,CT诊断 标准为:侧脑室周围白质明显对称性减少或消失,外侧裂池部位脑沟加深,脑灰质逼近侧脑 室缘,与侧脑室缘的距离甚小或消失,侧脑室不同程度扩大,以后角、三角区明显,侧脑 室缘不规整(图3),侧脑室后角或前、后角周围白质内可见斑片状低密度灶。脑积水2例,脑 软化1例。
, 百拇医药
3~6个月内复查CT 18例,CT表现异常9例,EH 3例,PVL 6例,其中脑软化和脑萎缩1例 。6个月~1岁内复查CT 7例,CT表现异常4例,均为PVL,其中基底节区、放射冠区点状钙化 各1例,脑软化1例。1~2岁内复查CT 10例,CT表现异常7例,PVL 5例,脑萎缩1例,CT表 现为:整个大脑沟普遍性增宽加深,可伴小脑沟加深,大脑半球间裂多正常或整个增宽,脑 室多扩大,且较显著。脑软化和脑萎缩1例(图4)。4岁内复查CT 2例,CT表现异常1例,为P VL。
讨论
1. CT对HIE所致脑低密度灶吸收消失时间的分析
本组62例病例初次头颅CT扫描均显示了脑实质内不同程度的低密度灶,在生后2个月内复查C T时,12例侧脑室后角或前、后角周围白质内仍可见斑片状低密度灶,随着时间的推移,低 密度灶逐渐吸收,在3个月时复查CT,这种脑低密度灶消失,因此,我们认为HIE所致脑低密 度灶在生后3个月之内吸收消失,在3个月以后的病例就较少见到。本组有5例PVL患儿年龄在 3个月以上,由于脑室周围白质的脱髓鞘改变,侧脑室后角或前、后周围白质内仍可见斑片 状低密度灶。
, http://www.100md.com
2. HIE的发展转归
从本组病例CT表现上分析,3个月时,CT表现异常5例中,脑软化1例,EH 1例,PVL 3例, 其中脑软化和脑萎缩1例;3~6个月内,CT表现异常9例中,EH 3例,PVL 6例,其中脑软 化和脑萎缩1例;6个月~1岁内,CT表现异常4例,均为PVL,其中脑软化1例;1~2岁内,CT 表现异常7例中,PVL 5例,脑萎缩1例,脑软化和脑萎缩1例;2岁以上,CT表现异常1例, 为PVL。因此,HIE在3~6个月内可引起EH,这是一种暂时性的交通性脑积水的特殊类型。其 形成机理为发生HIE时,蛛网膜粒的血管壁细胞因缺氧缺血造成吸收脑脊液的功能一过性障 碍。Ment[8]等曾称EH为“婴儿良性蛛网膜下腔增大”,是一种婴儿期良性自愈性 疾病,预后好,大多数没有后遗症。在1岁以上患儿的CT片上,EH的表现消失。本组4例EH, 均无临床症状。HIE在3个月及以后可引起PVL,常见于早产儿及产后窒息存活的儿童[9 ]。本组早产儿7例(38.9%)。PVL的病理基础:神经细胞坏死液化、囊变,形成疤痕 与胶质增生,大量神经组织消失,使脑室周围白质明显减少或消失,由于侧脑室周围白质软 化坏死,使胼胝体及侧脑室周围脑组织萎缩,向四周牵拉,致侧脑室不同程度扩大。PVL病 情严重,预后差。大于1岁的患儿均有不同程度的运动、语言及智能障碍。本组18例PVL中, 脑瘫11例(68.8 %),不能抬头、独坐3例,不会说话8例,不会走路或行走时,足尖着地,呈 剪刀样步态8例,抽搐2例。重度HIE可在2个月内引起脑软化和脑萎缩。本组1例重度HIE在生 后12天时即出现脑软化趋势。由于PVL、脑软化和脑萎缩在临床上是不能治愈的,成为HIE远 期的严重后遗症。
, http://www.100md.com
3. HIE的CT分度与预后的关系
在3~6个月时复查CT,有4例EH,其中轻度HIE 1例,中度HIE 3例,在1岁以后,CT表现正 常,预后好。3个月及以后引起PVL 18例,其中轻度HIE 5例(11.6%),中度HIE 9例( 64.3%),重度HIE 4例(80%);重度PVL 7例,其中轻度HIE 1例(20%),中度HIE 3例(33 .3%),重度HIE 3例(75%)。轻度HIE发生PVL机会少、程度轻;中-重度HIE发生PVL机会多 、程度重。4例脑软化和脑萎缩,均为重度HIE。因此,HIE的CT分度与预后密切相关:轻度 者,一般预后良好;中-重度者,预后较差。
4. CT在HIE随访中的应用价值
CT检查可了解HIE脑损害的严重程度及其演变过程,为临床及时准确地诊断、指导治疗及评 价预后提供了客观依据。CT检查若有脑积水是手术的指征,轻度脑室扩大或EH可有不同程度 的康复。早期严重的CT表现对预后影响很大,如PVL、多灶性脑软化灶和弥漫性脑萎缩,提 示预后不良。早期及时干预治疗,CT可有明显改善,可减少或减轻神经系统的后遗症,提高 患儿的生存质量。因此,我们认为早期复查CT意义更大,可以把CT检查作为HIE随访的首选 方法。
, 百拇医药
参考文献
[1]韩玉昆,虞人杰,卜定方.新生儿缺氧缺血性脑病临床诊断依据和分度[J].中 华儿科杂志,1990,28∶31.
[2]谢礼逊,苏一媛,陈双.新生儿窒息缺氧缺血性脑病的CT诊断(附128例分析)[J].中华 放射学杂志,1993,27∶236.
[3]龙晚生,罗学毛,赵汝庸.新生儿缺氧缺血性脑病的CT随访观察[J].中华放射学杂志, 1997,31(8)∶524-527.
[4]王礼同,汤晓明.新生儿缺氧缺血性脑病CT追踪研究[J].中国医学影像技术,1998,14 (10)∶746-747.
[5]张桂本,张绍龄.外部性脑积水的临床和CT诊断及随访观察[J].中华放射学杂志,1993 ,27(11)∶755.
, http://www.100md.com
[6]曾幼鲁,曲风宏,黄晓伟.外部性脑积水的CT和临床[J].中华放射学杂志,1990,24(5 )∶289.
[7]Flodmark O, Lupton B, Li D, et al. MR imaging of periventricular leukomalacia in childhood[J]. AJR,1989,152∶583-590.
[8]Ment LR,Duncan CC,Geehr R. Benign enlargement of subarachnoid space in the in fant[J].J Neurosury,1981,54∶504.
[9]隋邦森,吴恩惠,陈雁冰.磁共振诊断学[M].北京:人民卫生出版社,1995.463-465.
(1999-12-17 收稿), 百拇医药