胃肠道平滑肌肉瘤的X线及CT诊断
作者:吴爱兰 韩萍 冯敢生 柳曦 周承凯 戴文
单位:吴爱兰(430022 同济医科大学附属协和医院放射科);韩萍(430022 同济医科大学附属协和医院放射科);冯敢生(430022 同济医科大学附属协和医院放射科);柳曦(430022 同济医科大学附属协和医院放射科);周承凯(430022 同济医科大学附属协和医院放射科);戴文(430022 同济医科大学附属协和医院放射科)
关键词:胃肠道肿瘤;平滑肌肉瘤;断层摄影术,X线计算机
放射学实践000202 【摘要】 目的:探讨胃肠道平滑肌肉瘤的X线和CT表现,以提高对该病的诊断能力。方法:回顾分析经手术病理证实的20例胃肠 道平滑肌肉瘤的X线表现及其中11例胃平滑肌肉瘤的CT表现。结果:均为单 发病例,X线片上腔内型4例,表现为圆形、半圆形充盈缺损或软组织肿块,肿瘤中心出现不 规则的龛影。腔外型6例,为胃肠轮廓外压性改变及较大龛影或肠腔与肿瘤之间隧道样改变 ,腔内外型10例,兼有上述2型表现。11例胃平滑肌肉瘤CT上表现为直径6~20cm分叶状肿块 ,密度不均匀且有不均匀强化,有邻近器官侵犯。结论:胃肠造影检查和CT 扫描密切结合,对提高胃肠道平滑肌肉瘤的诊断和鉴别诊断很有帮助。
, 百拇医药
X-ray and CT diagnosis of gastrointestinal leiomyosarcoma
Wu Ailan,Han Ping,Feng Gansheng,et al.
(Department of Radiology, Xiehe Hospital of Tongji Medical University,Wuhan 430022)
【Abstract】 Objective:To study X-ray and CT features of gastr ointestinal leiomyosarcoma in order to improve their diagnostic ability. Methods:X-ray feature of gastrointestinal leiomyosarcoma in 20 cases co nfirmed by operation and pathology, and CT feature of gastric leiomyosarcoma in 11 of 20 cases were analyzed retrospectively.Results:Single gast rointestinal leiomyosarcoma in all cases was found,and X-ray feature was as fol lowing:there was a filling defect of round or oval shape or a mass in intralumin al type (4 cases),there was a large,irregular ulcerative crater in the center of tumor.In the extraluminal type (6 cases),the gastrointestinal contour showed co mpression,deformity,giant crater,and a “tunnel” located between gastrointestin e lumen and tumor.The mixed type (10 cases) had appearances of the above two typ es.In 11 cases of gastric leiomyosarcoma,CT demonstrated large lobulated tumor m ass(diameter 6~20cm) with heterogenous density and non-homogenous enhancement. There was also invasion of adjucent organs.Conclusions:Gastroint estinal contrast examination combined with CT scan is very helpful to improve th e diagnostic ability for gastrointestinal leiomyosarcoma.
, http://www.100md.com
【Key words】 Gastrointestinal tumor Leiomyosarcoma Tomograph y,X-ray computed
胃肠道平滑肌肉瘤,特别是胃平滑肌肉瘤并不少见。本文回顾性分析了20例经手术病理 证实的胃肠道平滑肌肉瘤的X线及其中11例胃平滑肌肉瘤的CT表现,以提高对胃肠道平滑肌 肉瘤的认识及诊断水平。
材料与方法
20例胃肠道平滑肌肉瘤患者,男9例,女11例,年龄37~62岁,平均年龄45岁。其中 11例发生于胃,2例位于十二指肠,4例位于空肠,3例位于乙状结肠。主要临床表现为上腹 部疼痛(80%),呕血(45%),黑便(75%),便鲜血(15%),腹部扪及肿块(55%)。
检查方法: 17例胃及小肠病变患者进行了胃及小肠双重低张造影检查,3例乙状结肠病变患 者进行了双重对比灌肠检查,其中11例胃平滑肌肉瘤患者还做了CT平扫和增强扫描。方法是 :空腹4~6h,扫描前10min静脉推注654-2 20mg,并口服1.5%复方泛影葡胺1 000ml,充 盈胃和十二指肠,采用仰卧位或左侧卧位,扫描层厚8mm,间距8mm,床速12mm/s,采用Soma ton Plus 4螺旋扫描机。
, http://www.100md.com
结果
1. X线所见
X线结果主要取决于肿瘤的生长方式、大小和有无囊变:①胃肠道腔内的圆形 或半圆形软组织肿块或充盈缺损,与胃肠壁呈锐角或钝角相交,邻近粘膜皱襞增粗,变宽呈 杵状(图1),见于腔内型(4例)或腔内外型(10例);②龛影,见于腔内或腔内外型的腔内瘤体 有溃疡者,表现为肿块内多发斑点状,不规则条状钡影(图1a、2),若龛影位于肿瘤中心, 较大且深,呈靶征,本组有6例,主要见于胃平滑肌肉瘤;③若肿瘤坏死、囊变并与胃肠腔 相通者,可在站立位见肿瘤内有气液面,卧位检查见钡剂从肠腔内流向腔外,形成不规则的 钡斑或钡团,肠腔与肿瘤之间呈隧道样改变(图3),有2例,见于小肠腔外型和腔内外型平滑 肌肉瘤;④邻近器官受压、移位(图4),见于肿瘤较大者,2例十二指肠平滑肌肉瘤使十二指 肠肠圈扩大,邻近小肠受压移位者3例;⑤钡剂通过肿瘤部位均较慢,肠腔变窄,但无1例完 全梗阻或近段肠腔明显扩张;⑥胃肠粘膜皱襞伸长,部分破坏,伴坏死囊变者,肠袢活动度 差。
, 百拇医药
图1 腔内型胃平滑肌肉瘤:a) X线片示胃体上部一大小约5.0cm×5. 5cm的软组织肿块,突向胃腔内,其内可见一条状龛影,胃粘膜有撑开的表现;b) CT增强扫 描示肿块从胃体上部小弯侧突向胃腔内,肿块密度不均匀,边缘浅分叶。
图2 腔内型胃平滑肌肉瘤:X线示胃底部软组织肿块,其内可见结节状、较大不规则龛影。
图3 腔外型空肠平滑肌肉瘤:X线示左下腹髂骨重叠处见一不规则钡团, 并见一条状钡影与空肠肠腔相通,呈隧道样改变,局部肠管空虚。
图4 腔外型乙状结肠平滑肌肉瘤:X线示乙状结肠后缘见一半弧形压迹,局部肠壁毛糙,肠管管 腔略变窄。
, http://www.100md.com
2. 胃平滑肌肉瘤的CT表现
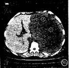
CT检查11例,4例表现为腔内型(图1b),即从胃底或胃体壁向胃腔内突出的分叶状软组织肿 块,直径6~10cm,呈不均匀密度改变,其内有不规则地图样低密度区,增强扫描其实质部 分强化明显,有囊变坏死者则表现为周边强化,胃内外型7例,以腔外型表现为主,其中1例 胃底巨大中等分化型平滑肌肉瘤表现为肝脾之间直径20cm密度不均匀肿块,肿块与脾脏之间 无分界,胃底胃体受压向下及向右移位(图5),术中发现肿瘤与脾脏粘连紧密,行胃及脾全 切除术。


图5 腔内外型胃平滑肌肉瘤:a) X线示胃底胃体上部外压性 改变,胃底见一不规则龛影;b) 肿瘤上部呈巨大密度不均匀的肿块;c) 肿瘤向下与脾脏分 界不清,压迫胃大弯并向胃腔内突出。
, 百拇医药
讨论
本组20例胃肠道平滑肌肉瘤,以胃平滑肌肉瘤常见,有11例。腔内外型10例,腔外型6例, 腔内型4例,与一般报道的以腔外型或腔内外型多见相似[1,2]。X线检查腔内型及 腔内外型平滑肌肉瘤均具有粘膜下肿瘤的特点,瘤体常较大,边缘光滑或深浅不一的分叶, 肿块基底较宽,形成的溃疡龛影较大,胃肠粘膜被撑开、展平,部分粘膜破坏,鉴于X线检 查有较特征性表现,有别于胃肠腺癌,故X线检查是腔内型或腔内外型平滑肌肉瘤的首选检 查方法。腔外型肿瘤,长大到一定程度时仅可表现为胃肠受压。CT检查不仅可了解肿瘤的部 位、大小、形态、质地及与周围结构的关系,甚至还可了解有无远处转移,是对常规X线检 查的有效补充,有助于提高常规X线检查定性的准确率[2~5]及临床分期。本组11 例CT检查中,2例是腹部CT检查中偶然发现胃内肿块,提出了平滑肌类肿瘤的诊断,随后行X 线检查,最后手术切除证实了CT的诊断。另1例巨大腔内外型胃平滑肌肉瘤,X线检查表现 为胃的外压改变考虑为腹腔肿瘤外压所致,而CT检查发现在胃底胃体与脾脏之间巨大肿块, 有不规则的坏死区,与脾部分分界不清,而提出了胃平滑肌肉瘤可能,并疑有脾脏侵犯。手 术证实了CT的诊断并将脾脏一同切除。
, 百拇医药
胃肠平滑肌肉瘤主要与胃肠道的平滑肌瘤和胃肠腺癌相鉴别。与胃肠平滑肌瘤的鉴别有一 定的困难[6];而与胃肠道腺癌鉴别较容易,虽然二者均有不规则的腔内龛影,但 腺癌龛影周围的充盈缺损不规则,龛影口部有指压迹、裂隙,且对胃肠壁的浸润、僵硬、粘 膜破坏、蠕动消失的程度和范围均较平滑肌肉瘤显著,而平滑肌肉瘤瘤体较光滑、规则,龛 影周围粘膜有被撑开展平表现。腔外型平滑肌肉瘤应与腹膜后肿瘤、肠系膜囊肿或卵巢囊肿 相鉴别,CT可提供鉴别的重要资料[2~4]。
参考文献
[1]何亮家.消化道平滑肌肿瘤——215例分析[J].中华消化杂志,1983,3∶146 .
[2]Disler DG,Chew FS.Gastric leiomyosarcoma[J].AJR,1992,159∶58.
, 百拇医药 [3]Megibow AJ,Balthazar EJ,Hulnick DH,et al.CT evaluation of gastrointestinal le iomyoma and leiomyosarcoma[J].AJR,1985,144∶727.
[4]Bruneton JN,Caramella E,Cazenave P,et al.Gastric leiomyosarcoma:comparative v alue of barium examination,ultrasonography and CT scan[J]. Eur J Radiol,1987, 7∶160.
[5]Chun HJ,Byun JY,Chun KA,et al.Gastrointestinal leiomyoma and leiomyosa rcoma:CT differentiation[J]. J Comput Assist Tomogr,1998,22(1)∶69.
[6]尚克中,陈九如.胃肠道造影原理与诊断[M].上海:上海科学技术出版社,1995.236.
(1999-11-24 收稿), http://www.100md.com
单位:吴爱兰(430022 同济医科大学附属协和医院放射科);韩萍(430022 同济医科大学附属协和医院放射科);冯敢生(430022 同济医科大学附属协和医院放射科);柳曦(430022 同济医科大学附属协和医院放射科);周承凯(430022 同济医科大学附属协和医院放射科);戴文(430022 同济医科大学附属协和医院放射科)
关键词:胃肠道肿瘤;平滑肌肉瘤;断层摄影术,X线计算机
放射学实践000202 【摘要】 目的:探讨胃肠道平滑肌肉瘤的X线和CT表现,以提高对该病的诊断能力。方法:回顾分析经手术病理证实的20例胃肠 道平滑肌肉瘤的X线表现及其中11例胃平滑肌肉瘤的CT表现。结果:均为单 发病例,X线片上腔内型4例,表现为圆形、半圆形充盈缺损或软组织肿块,肿瘤中心出现不 规则的龛影。腔外型6例,为胃肠轮廓外压性改变及较大龛影或肠腔与肿瘤之间隧道样改变 ,腔内外型10例,兼有上述2型表现。11例胃平滑肌肉瘤CT上表现为直径6~20cm分叶状肿块 ,密度不均匀且有不均匀强化,有邻近器官侵犯。结论:胃肠造影检查和CT 扫描密切结合,对提高胃肠道平滑肌肉瘤的诊断和鉴别诊断很有帮助。
, 百拇医药
X-ray and CT diagnosis of gastrointestinal leiomyosarcoma
Wu Ailan,Han Ping,Feng Gansheng,et al.
(Department of Radiology, Xiehe Hospital of Tongji Medical University,Wuhan 430022)
【Abstract】 Objective:To study X-ray and CT features of gastr ointestinal leiomyosarcoma in order to improve their diagnostic ability. Methods:X-ray feature of gastrointestinal leiomyosarcoma in 20 cases co nfirmed by operation and pathology, and CT feature of gastric leiomyosarcoma in 11 of 20 cases were analyzed retrospectively.Results:Single gast rointestinal leiomyosarcoma in all cases was found,and X-ray feature was as fol lowing:there was a filling defect of round or oval shape or a mass in intralumin al type (4 cases),there was a large,irregular ulcerative crater in the center of tumor.In the extraluminal type (6 cases),the gastrointestinal contour showed co mpression,deformity,giant crater,and a “tunnel” located between gastrointestin e lumen and tumor.The mixed type (10 cases) had appearances of the above two typ es.In 11 cases of gastric leiomyosarcoma,CT demonstrated large lobulated tumor m ass(diameter 6~20cm) with heterogenous density and non-homogenous enhancement. There was also invasion of adjucent organs.Conclusions:Gastroint estinal contrast examination combined with CT scan is very helpful to improve th e diagnostic ability for gastrointestinal leiomyosarcoma.
, http://www.100md.com
【Key words】 Gastrointestinal tumor Leiomyosarcoma Tomograph y,X-ray computed
胃肠道平滑肌肉瘤,特别是胃平滑肌肉瘤并不少见。本文回顾性分析了20例经手术病理 证实的胃肠道平滑肌肉瘤的X线及其中11例胃平滑肌肉瘤的CT表现,以提高对胃肠道平滑肌 肉瘤的认识及诊断水平。
材料与方法
20例胃肠道平滑肌肉瘤患者,男9例,女11例,年龄37~62岁,平均年龄45岁。其中 11例发生于胃,2例位于十二指肠,4例位于空肠,3例位于乙状结肠。主要临床表现为上腹 部疼痛(80%),呕血(45%),黑便(75%),便鲜血(15%),腹部扪及肿块(55%)。
检查方法: 17例胃及小肠病变患者进行了胃及小肠双重低张造影检查,3例乙状结肠病变患 者进行了双重对比灌肠检查,其中11例胃平滑肌肉瘤患者还做了CT平扫和增强扫描。方法是 :空腹4~6h,扫描前10min静脉推注654-2 20mg,并口服1.5%复方泛影葡胺1 000ml,充 盈胃和十二指肠,采用仰卧位或左侧卧位,扫描层厚8mm,间距8mm,床速12mm/s,采用Soma ton Plus 4螺旋扫描机。
, http://www.100md.com
结果
1. X线所见
X线结果主要取决于肿瘤的生长方式、大小和有无囊变:①胃肠道腔内的圆形 或半圆形软组织肿块或充盈缺损,与胃肠壁呈锐角或钝角相交,邻近粘膜皱襞增粗,变宽呈 杵状(图1),见于腔内型(4例)或腔内外型(10例);②龛影,见于腔内或腔内外型的腔内瘤体 有溃疡者,表现为肿块内多发斑点状,不规则条状钡影(图1a、2),若龛影位于肿瘤中心, 较大且深,呈靶征,本组有6例,主要见于胃平滑肌肉瘤;③若肿瘤坏死、囊变并与胃肠腔 相通者,可在站立位见肿瘤内有气液面,卧位检查见钡剂从肠腔内流向腔外,形成不规则的 钡斑或钡团,肠腔与肿瘤之间呈隧道样改变(图3),有2例,见于小肠腔外型和腔内外型平滑 肌肉瘤;④邻近器官受压、移位(图4),见于肿瘤较大者,2例十二指肠平滑肌肉瘤使十二指 肠肠圈扩大,邻近小肠受压移位者3例;⑤钡剂通过肿瘤部位均较慢,肠腔变窄,但无1例完 全梗阻或近段肠腔明显扩张;⑥胃肠粘膜皱襞伸长,部分破坏,伴坏死囊变者,肠袢活动度 差。
, 百拇医药
图1 腔内型胃平滑肌肉瘤:a) X线片示胃体上部一大小约5.0cm×5. 5cm的软组织肿块,突向胃腔内,其内可见一条状龛影,胃粘膜有撑开的表现;b) CT增强扫 描示肿块从胃体上部小弯侧突向胃腔内,肿块密度不均匀,边缘浅分叶。
图2 腔内型胃平滑肌肉瘤:X线示胃底部软组织肿块,其内可见结节状、较大不规则龛影。
图3 腔外型空肠平滑肌肉瘤:X线示左下腹髂骨重叠处见一不规则钡团, 并见一条状钡影与空肠肠腔相通,呈隧道样改变,局部肠管空虚。
图4 腔外型乙状结肠平滑肌肉瘤:X线示乙状结肠后缘见一半弧形压迹,局部肠壁毛糙,肠管管 腔略变窄。
, http://www.100md.com
2. 胃平滑肌肉瘤的CT表现
CT检查11例,4例表现为腔内型(图1b),即从胃底或胃体壁向胃腔内突出的分叶状软组织肿 块,直径6~10cm,呈不均匀密度改变,其内有不规则地图样低密度区,增强扫描其实质部 分强化明显,有囊变坏死者则表现为周边强化,胃内外型7例,以腔外型表现为主,其中1例 胃底巨大中等分化型平滑肌肉瘤表现为肝脾之间直径20cm密度不均匀肿块,肿块与脾脏之间 无分界,胃底胃体受压向下及向右移位(图5),术中发现肿瘤与脾脏粘连紧密,行胃及脾全 切除术。
图5 腔内外型胃平滑肌肉瘤:a) X线示胃底胃体上部外压性 改变,胃底见一不规则龛影;b) 肿瘤上部呈巨大密度不均匀的肿块;c) 肿瘤向下与脾脏分 界不清,压迫胃大弯并向胃腔内突出。
, 百拇医药
讨论
本组20例胃肠道平滑肌肉瘤,以胃平滑肌肉瘤常见,有11例。腔内外型10例,腔外型6例, 腔内型4例,与一般报道的以腔外型或腔内外型多见相似[1,2]。X线检查腔内型及 腔内外型平滑肌肉瘤均具有粘膜下肿瘤的特点,瘤体常较大,边缘光滑或深浅不一的分叶, 肿块基底较宽,形成的溃疡龛影较大,胃肠粘膜被撑开、展平,部分粘膜破坏,鉴于X线检 查有较特征性表现,有别于胃肠腺癌,故X线检查是腔内型或腔内外型平滑肌肉瘤的首选检 查方法。腔外型肿瘤,长大到一定程度时仅可表现为胃肠受压。CT检查不仅可了解肿瘤的部 位、大小、形态、质地及与周围结构的关系,甚至还可了解有无远处转移,是对常规X线检 查的有效补充,有助于提高常规X线检查定性的准确率[2~5]及临床分期。本组11 例CT检查中,2例是腹部CT检查中偶然发现胃内肿块,提出了平滑肌类肿瘤的诊断,随后行X 线检查,最后手术切除证实了CT的诊断。另1例巨大腔内外型胃平滑肌肉瘤,X线检查表现 为胃的外压改变考虑为腹腔肿瘤外压所致,而CT检查发现在胃底胃体与脾脏之间巨大肿块, 有不规则的坏死区,与脾部分分界不清,而提出了胃平滑肌肉瘤可能,并疑有脾脏侵犯。手 术证实了CT的诊断并将脾脏一同切除。
, 百拇医药
胃肠平滑肌肉瘤主要与胃肠道的平滑肌瘤和胃肠腺癌相鉴别。与胃肠平滑肌瘤的鉴别有一 定的困难[6];而与胃肠道腺癌鉴别较容易,虽然二者均有不规则的腔内龛影,但 腺癌龛影周围的充盈缺损不规则,龛影口部有指压迹、裂隙,且对胃肠壁的浸润、僵硬、粘 膜破坏、蠕动消失的程度和范围均较平滑肌肉瘤显著,而平滑肌肉瘤瘤体较光滑、规则,龛 影周围粘膜有被撑开展平表现。腔外型平滑肌肉瘤应与腹膜后肿瘤、肠系膜囊肿或卵巢囊肿 相鉴别,CT可提供鉴别的重要资料[2~4]。
参考文献
[1]何亮家.消化道平滑肌肿瘤——215例分析[J].中华消化杂志,1983,3∶146 .
[2]Disler DG,Chew FS.Gastric leiomyosarcoma[J].AJR,1992,159∶58.
, 百拇医药 [3]Megibow AJ,Balthazar EJ,Hulnick DH,et al.CT evaluation of gastrointestinal le iomyoma and leiomyosarcoma[J].AJR,1985,144∶727.
[4]Bruneton JN,Caramella E,Cazenave P,et al.Gastric leiomyosarcoma:comparative v alue of barium examination,ultrasonography and CT scan[J]. Eur J Radiol,1987, 7∶160.
[5]Chun HJ,Byun JY,Chun KA,et al.Gastrointestinal leiomyoma and leiomyosa rcoma:CT differentiation[J]. J Comput Assist Tomogr,1998,22(1)∶69.
[6]尚克中,陈九如.胃肠道造影原理与诊断[M].上海:上海科学技术出版社,1995.236.
(1999-11-24 收稿), http://www.100md.com