儿童脑干胶质瘤的MRI诊断
作者:金彪 高煜 冯赟 朱杰明
单位:金彪(200092 上海第二医科大学附属新华医院放射科);高煜(200092 上海第二医科大学附属新华医院放射科);冯赟(200092 上海第二医科大学附属新华医院放射科);朱杰明(200092 上海第二医科大学附属新华医院放射科)
关键词:胶质瘤;磁共振成像;儿童
放射学实践000315 【摘要】目的:探讨脑干胶质瘤的MRI特征。方法:收集经证实的脑干胶质瘤12例。结果:MRI表现有以下3个特征:①肿瘤使脑干的外形增大,通过不同序列和断面显示肿瘤的精确部位,矢状面对于显示胶质瘤的早期改变、顶盖部位及延髓颈髓联合部位的胶质瘤具有独特作用。②肿瘤的T1加权像呈低信号或低等混合信号,T2加权像呈高信号,注射造影剂(GD-DTPA)后除少数不增强外有3种强化方式:弥漫型、结节型、环状。③脑积水不常见,除非肿瘤位于顶盖部位压迫中脑导水管。 结论:MRI是诊断脑干胶质瘤的最理想检查方法。
, 百拇医药
The MRI diagnosis of brain stem gliomas in children
Jin Biao,Gao Yu,Feng Yun,et al.
(Department of Radiology,affiliated Xin-Hua Hospital of Shanghai Second Medical University,Shanghai 200092)
【Abstract】Objective:To analyse MRI features of brain stem gliomas in children.Methods:Twelve patients of surgically proved brain stem gliomas were analyzed.Results:Three important MRI feat ures of brain stem gliomas were found:①enlargement of brain stem contour.Using different sequences and planes the precise tumor location could be obtained.Sagittal scan could well display the early stage of brain stem glioma,the tectal glioma and cervicomedullary junction glioma.②there was hypointensity or hypo-is ointensity on T1WI and hyperintensity on T2WI.There were three types of enhancement after Gd-DTPA administration:diffuse,nodular and ringlike,except no enhancement in minority of patients.③hydrocephalus was uncommon in brain stem glioma,except those involving the tectal plate and com pressing the midbrain aqueduct.Conclusions:MRI is the method of choice for diagnosing brain stem glioma in children.
, 百拇医药
【Key words】:Glioma Magnetic resonance imaging Children
由于MRI无颅骨伪影和具有多维成像的特点,因此是诊断脑干胶质瘤的最理想检查方法,除可清晰显示肿瘤特征外,还能了解病变范围及与周围解剖关系等,笔者回顾分析了12例脑干肿瘤的MRI表现,总结MRI的诊断要点,以提高术前定位、定性诊断的准确性。
材料与方法
临床资料:收集1997年9月~1999年7月经证实的脑干胶质瘤12例,男6例,女6例。年龄3个月~12岁,平均年龄8.2岁。临床症状为颅神经麻痹(多发)伴有椎体束症和小脑机能障碍 (共济失调和眼球震颤)。
MRI检查:采用0.5T超导式磁共振成像装置(飞利浦T5-NT),所有患者采用自旋回波(SE )成像技术,作横断面T1、T2加权像,矢状面T1加权像,10例作增强检查,采用GD- DTPA,按0.1mmol/kg给药,静脉注射后作横断面、矢状面或/和冠状面(4例)T1加权像。
, http://www.100md.com
结果
12例脑干胶质瘤中,6例位于桥脑,2例呈弥漫型,2例位于延髓颈髓交界处,2例位于顶盖部位,肿瘤直径范围1.5~3.3cm,椭圆形4例,圆形2例,不规则形6例,肿瘤在T1W上呈低信号或低等混合信号,T2W上呈高信号,2例发生囊变,信号与脑脊液相仿,所有病例未见明 显出血及钙化灶(可能较小钙化灶MRI不明显),静脉注射GD-DTPA后10例中8例均有不同程 度增强,2例不增强,弥漫型1例,结节型5例,环状2例。12例中11例脑干有不同程度外形改 变,4例向前使桥脑前池变小并包绕基底动脉,3例向后压迫四脑室,3例向后下进入小脑中 脚和小脑半球,1例进入C-P角,2例位于顶盖部位引起脑积水。
讨论
脑干胶质瘤占儿童中枢神经系统肿瘤的15%,占幕下肿瘤的20%~30%,发病率男女相似,婴儿和成人都可发病,但3~10岁为高发年龄组,有文章认为发生于桥脑或弥漫型肿瘤预后较差,而发生在顶盖、中脑-丘脑和延髓-颈髓交界处预后较好[1],但通常认为脑干肿瘤具有侵袭性,不管组织类型如何都为恶性[2],手术能够完整切除的极少,如肿瘤为囊性、外生性或位于颈髓-延髓部位可采用部分切除或囊肿减压术,放疗或化疗结合放疗可用来治疗桥脑和弥漫性肿瘤,放疗可用来作为手术残留或肿瘤复发的治疗。
, 百拇医药
病理:脑干胶质瘤的好发部位依次为桥脑、中脑、延髓,桥脑胶质瘤通常向下进入延髓,向后进入小脑中脚和小脑半球,中脑胶质瘤通常向上进入丘脑,外生型肿瘤延伸方向:向后侧方进入C-P角,向前进入桥 脑前池,向后下进入枕大池,向前生长包埋基底动脉。组织学上,肿瘤细胞沿着脑干的纤维束浸润要多于破坏,所以镜下可见肿瘤细胞和神经纤维、神经元混在一起,因此经过放疗和化疗,脑干外形可以恢复正常,肿瘤复发常见,通常在放疗后1.5~2年,除非肿瘤侵及顶盖及中脑导水管,无论肿瘤多大,是否进入四脑室,脑积水不常见,有文献报道有经脑脊液播散的,但本组病例未见有此表现。
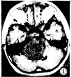
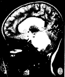
MRI:鉴于无颅骨伪影和多方位成像特点,MR是目前诊断胶质瘤和准确定位的最好方法,对于治疗计划的制定和随访有很大帮助,特征性MR表现为脑干胶质瘤呈膨胀性生长(图1~3),多为实质性,在T2加权图像上显示最为清楚,为明显高信号(图3),在T1加权图像上为低信号或低、等混合信号(图4),注射GD-DTPA后多数病灶 明显增强,少数无明显增强(图1~2),强化方式有:弥漫型(图未列出)、结节型(图4 ~6),沿着肿瘤边缘或囊变坏死区呈环状(图7)。肿瘤边界多较清楚,周围脑组织水肿多 较轻或不明显,肿瘤内部可发生小囊变或小出血灶,肿瘤向前生长包埋基底动脉(图1~3) ,部分脑干胶质瘤可位于中脑导水管附近,虽然较小,但可造成对中脑导水管的压迫,而继 发脑积水[3](图8),MRI较CT能更好地明确占位性病变的性质、部位、范围。







, 百拇医药
图1-3 女性,5岁,脑干明显增大膨突,横断面T1W低信号(图1),T2W高信号(图3),无明显强化(图2),肿块向前包绕基底动脉,向后推移第四脑室。图4-6 女性,6岁,横断面T1W低信号(图4),矢状面T1W增强(图5), 横断面T1W增强(图6),片状不均匀强化灶中见结节样强化。图7 男 性,6岁,横断面T1W增强,肿块环状强化呈葫芦形,中央低信号灶不强化。图8 女性,2岁,矢状面T2W,肿块向后压迫中脑导水管,第三脑室、侧脑室积水明显。
鉴别诊断:脑干胶质瘤主要需与以下非肿瘤性疾病相鉴别。①隐匿性血管畸形;②多发性硬化、急性播散型脑脊髓炎、脱髓鞘病变、中央性脑桥髓鞘破坏。血管畸形主要表现在T1W 和T2W上混杂信号,如出现流空血管、亚急性出血产物如正铁血红蛋白和含铁血黄素即可 明确诊断。急性播散型脑脊髓炎由接种或病毒感染引起,除脑干外还影响幕上和小脑的白质,根据病灶的多发性和诱发因素可明确诊断。脱髓鞘病变主要表现为对称性和位于幕上。中央性脑桥髓鞘破坏在婴儿和儿童中少见,常见于成人,多有低血钠发作史和酗酒史,一般不难鉴别。
, http://www.100md.com
参考文献
1,Wolpert S M,Barnes P D.Neuroepithelial neoplasm.In: MRI in Pediatric Neuroradiology[J].1st ed.Mosby Missouri,1992.261-281.
2,Barkovich A J.Posterior Fossa Tumors.In:Pediatric Neuroimaging[J].4th ed Raven Press New York,1990.150-172.
3,陈星荣,沈天真,等.全身CT和MRI[M].上海医科大学出版社,1993,163-164.
4,Robert A,Zimmerman S,Howard Lee,Krishna C.V.G.Rao.Pediatric Brain Tumors In:Cranial MRI and CT,3th ed.McGRAW-HILL,INC.1992.381-385.
收稿日期:2000-03-02, 百拇医药
单位:金彪(200092 上海第二医科大学附属新华医院放射科);高煜(200092 上海第二医科大学附属新华医院放射科);冯赟(200092 上海第二医科大学附属新华医院放射科);朱杰明(200092 上海第二医科大学附属新华医院放射科)
关键词:胶质瘤;磁共振成像;儿童
放射学实践000315 【摘要】目的:探讨脑干胶质瘤的MRI特征。方法:收集经证实的脑干胶质瘤12例。结果:MRI表现有以下3个特征:①肿瘤使脑干的外形增大,通过不同序列和断面显示肿瘤的精确部位,矢状面对于显示胶质瘤的早期改变、顶盖部位及延髓颈髓联合部位的胶质瘤具有独特作用。②肿瘤的T1加权像呈低信号或低等混合信号,T2加权像呈高信号,注射造影剂(GD-DTPA)后除少数不增强外有3种强化方式:弥漫型、结节型、环状。③脑积水不常见,除非肿瘤位于顶盖部位压迫中脑导水管。 结论:MRI是诊断脑干胶质瘤的最理想检查方法。
, 百拇医药
The MRI diagnosis of brain stem gliomas in children
Jin Biao,Gao Yu,Feng Yun,et al.
(Department of Radiology,affiliated Xin-Hua Hospital of Shanghai Second Medical University,Shanghai 200092)
【Abstract】Objective:To analyse MRI features of brain stem gliomas in children.Methods:Twelve patients of surgically proved brain stem gliomas were analyzed.Results:Three important MRI feat ures of brain stem gliomas were found:①enlargement of brain stem contour.Using different sequences and planes the precise tumor location could be obtained.Sagittal scan could well display the early stage of brain stem glioma,the tectal glioma and cervicomedullary junction glioma.②there was hypointensity or hypo-is ointensity on T1WI and hyperintensity on T2WI.There were three types of enhancement after Gd-DTPA administration:diffuse,nodular and ringlike,except no enhancement in minority of patients.③hydrocephalus was uncommon in brain stem glioma,except those involving the tectal plate and com pressing the midbrain aqueduct.Conclusions:MRI is the method of choice for diagnosing brain stem glioma in children.
, 百拇医药
【Key words】:Glioma Magnetic resonance imaging Children
由于MRI无颅骨伪影和具有多维成像的特点,因此是诊断脑干胶质瘤的最理想检查方法,除可清晰显示肿瘤特征外,还能了解病变范围及与周围解剖关系等,笔者回顾分析了12例脑干肿瘤的MRI表现,总结MRI的诊断要点,以提高术前定位、定性诊断的准确性。
材料与方法
临床资料:收集1997年9月~1999年7月经证实的脑干胶质瘤12例,男6例,女6例。年龄3个月~12岁,平均年龄8.2岁。临床症状为颅神经麻痹(多发)伴有椎体束症和小脑机能障碍 (共济失调和眼球震颤)。
MRI检查:采用0.5T超导式磁共振成像装置(飞利浦T5-NT),所有患者采用自旋回波(SE )成像技术,作横断面T1、T2加权像,矢状面T1加权像,10例作增强检查,采用GD- DTPA,按0.1mmol/kg给药,静脉注射后作横断面、矢状面或/和冠状面(4例)T1加权像。
, http://www.100md.com
结果
12例脑干胶质瘤中,6例位于桥脑,2例呈弥漫型,2例位于延髓颈髓交界处,2例位于顶盖部位,肿瘤直径范围1.5~3.3cm,椭圆形4例,圆形2例,不规则形6例,肿瘤在T1W上呈低信号或低等混合信号,T2W上呈高信号,2例发生囊变,信号与脑脊液相仿,所有病例未见明 显出血及钙化灶(可能较小钙化灶MRI不明显),静脉注射GD-DTPA后10例中8例均有不同程 度增强,2例不增强,弥漫型1例,结节型5例,环状2例。12例中11例脑干有不同程度外形改 变,4例向前使桥脑前池变小并包绕基底动脉,3例向后压迫四脑室,3例向后下进入小脑中 脚和小脑半球,1例进入C-P角,2例位于顶盖部位引起脑积水。
讨论
脑干胶质瘤占儿童中枢神经系统肿瘤的15%,占幕下肿瘤的20%~30%,发病率男女相似,婴儿和成人都可发病,但3~10岁为高发年龄组,有文章认为发生于桥脑或弥漫型肿瘤预后较差,而发生在顶盖、中脑-丘脑和延髓-颈髓交界处预后较好[1],但通常认为脑干肿瘤具有侵袭性,不管组织类型如何都为恶性[2],手术能够完整切除的极少,如肿瘤为囊性、外生性或位于颈髓-延髓部位可采用部分切除或囊肿减压术,放疗或化疗结合放疗可用来治疗桥脑和弥漫性肿瘤,放疗可用来作为手术残留或肿瘤复发的治疗。
, 百拇医药
病理:脑干胶质瘤的好发部位依次为桥脑、中脑、延髓,桥脑胶质瘤通常向下进入延髓,向后进入小脑中脚和小脑半球,中脑胶质瘤通常向上进入丘脑,外生型肿瘤延伸方向:向后侧方进入C-P角,向前进入桥 脑前池,向后下进入枕大池,向前生长包埋基底动脉。组织学上,肿瘤细胞沿着脑干的纤维束浸润要多于破坏,所以镜下可见肿瘤细胞和神经纤维、神经元混在一起,因此经过放疗和化疗,脑干外形可以恢复正常,肿瘤复发常见,通常在放疗后1.5~2年,除非肿瘤侵及顶盖及中脑导水管,无论肿瘤多大,是否进入四脑室,脑积水不常见,有文献报道有经脑脊液播散的,但本组病例未见有此表现。
MRI:鉴于无颅骨伪影和多方位成像特点,MR是目前诊断胶质瘤和准确定位的最好方法,对于治疗计划的制定和随访有很大帮助,特征性MR表现为脑干胶质瘤呈膨胀性生长(图1~3),多为实质性,在T2加权图像上显示最为清楚,为明显高信号(图3),在T1加权图像上为低信号或低、等混合信号(图4),注射GD-DTPA后多数病灶 明显增强,少数无明显增强(图1~2),强化方式有:弥漫型(图未列出)、结节型(图4 ~6),沿着肿瘤边缘或囊变坏死区呈环状(图7)。肿瘤边界多较清楚,周围脑组织水肿多 较轻或不明显,肿瘤内部可发生小囊变或小出血灶,肿瘤向前生长包埋基底动脉(图1~3) ,部分脑干胶质瘤可位于中脑导水管附近,虽然较小,但可造成对中脑导水管的压迫,而继 发脑积水[3](图8),MRI较CT能更好地明确占位性病变的性质、部位、范围。
, 百拇医药
图1-3 女性,5岁,脑干明显增大膨突,横断面T1W低信号(图1),T2W高信号(图3),无明显强化(图2),肿块向前包绕基底动脉,向后推移第四脑室。图4-6 女性,6岁,横断面T1W低信号(图4),矢状面T1W增强(图5), 横断面T1W增强(图6),片状不均匀强化灶中见结节样强化。图7 男 性,6岁,横断面T1W增强,肿块环状强化呈葫芦形,中央低信号灶不强化。图8 女性,2岁,矢状面T2W,肿块向后压迫中脑导水管,第三脑室、侧脑室积水明显。
鉴别诊断:脑干胶质瘤主要需与以下非肿瘤性疾病相鉴别。①隐匿性血管畸形;②多发性硬化、急性播散型脑脊髓炎、脱髓鞘病变、中央性脑桥髓鞘破坏。血管畸形主要表现在T1W 和T2W上混杂信号,如出现流空血管、亚急性出血产物如正铁血红蛋白和含铁血黄素即可 明确诊断。急性播散型脑脊髓炎由接种或病毒感染引起,除脑干外还影响幕上和小脑的白质,根据病灶的多发性和诱发因素可明确诊断。脱髓鞘病变主要表现为对称性和位于幕上。中央性脑桥髓鞘破坏在婴儿和儿童中少见,常见于成人,多有低血钠发作史和酗酒史,一般不难鉴别。
, http://www.100md.com
参考文献
1,Wolpert S M,Barnes P D.Neuroepithelial neoplasm.In: MRI in Pediatric Neuroradiology[J].1st ed.Mosby Missouri,1992.261-281.
2,Barkovich A J.Posterior Fossa Tumors.In:Pediatric Neuroimaging[J].4th ed Raven Press New York,1990.150-172.
3,陈星荣,沈天真,等.全身CT和MRI[M].上海医科大学出版社,1993,163-164.
4,Robert A,Zimmerman S,Howard Lee,Krishna C.V.G.Rao.Pediatric Brain Tumors In:Cranial MRI and CT,3th ed.McGRAW-HILL,INC.1992.381-385.
收稿日期:2000-03-02, 百拇医药