儿童肝豆状核变性的MRI表现
作者:高煜 朱杰明 李玉华 张建明
单位:高煜(上海医科大学附属新华医院放射科200092); 朱杰明(上海医科大学附属新华医院放射科200092); 李玉华(上海医科大学附属新华医院放射科200092); 张建明(上海医科大学附属新华医院放射科200092)
关键词:儿童;肝豆状核变性;MRI
临床放射学杂志000215 摘 要:目的 探讨MRI在儿童肝豆状核变性中的诊断价值。材料与方法 对临床和生化证实20例肝豆状核变性的儿童进行脑部及腹部的MRI检查。结果 9例(45%)有脑部异常信号,异常信号分布:豆状核8例(88.9%),尾状核8例(88.9%),丘脑5例(55.6%),脑干1例(11.1%),半卵圆区1例(11.1%)。7例(35%)有轻度或中度脑萎缩。8例(40%)肝内结节状异常信号。17例(85%)脾肿大。结论 MRI对肝豆状核变性的诊断及预后具有重要意义。
, 百拇医药
MR Imaging of Hepatolenticular Degeneration in Children
GAO Yu, ZHU Jieming, LI Yuhua
(Department of Radiology, The Affiliated Xinhua Hospital, Shanghai Medical University, Shanghai 200092, P.R.China)
ABSTRACT:Objective To evaluate MRI in diagnosing hepatolenticular degeneration (HLD) in children.Materials and Methods MRI of brain and abdomen was performed in 20 patients with clinically- and biochemically-proved HLD.Results Abnormal signals on brain MRI were seen in 9 cases (45%), which were distributed in the lenticular nuclear (n=8, 88.9%), the caudate head (n=8, 88.9%), the thalami (n=5, 55.6%), the brain stem (n=1, 11.1%), the semi-oval region (n=1, 11.1%). Mild or moderate encephalatrophy was found in 7 cases (35%). Nodular abnormal signals on liver MRI were seen in 8 cases. Splenomegaly was present in 17 patients. Conclusion MRI is of great significance in making diagnosis and prognosis of HLD.
, 百拇医药
Key words:Children Hepatolenticular degeneration MRI▲
肝豆状核变性(hepatolenticular degeneration)又称Wilson病,是一种少见的常染色体隐性遗传铜代谢障碍疾病,其遗传缺陷是在染色体13的长链上。由于肝脏不能将铜排入胆汁,铜在肝、中枢神经系统、肾等脏器聚集并对其造成损伤。肝豆状核变性的诊断是综合神经症状,K-F环,铜蓝蛋白、血铜及尿铜水平而得出的。此病的临床表现和症状多变,往往一些诊断线索是由放射科医生提供的,而特殊的临床资料也为MRI诊断提供可靠的依据。因此,熟悉该病的MRI表现,有利于早期诊断及治疗,改善预后。
1 材料与方法
20例经临床生化指标及临床症状证实的肝豆状核变性患者中,男14例,女6例。年龄最大为14岁,最小为8岁,平均11.5岁。其中初诊患者14例,随访患者6例。作MRI时病程:14例初诊患者中小于1个月1例,1个月~1年11例,大于1年2例;随访患者6例均大于1年。临床症状以神经系统症状为主9例,其主要表现为动作缓慢、口齿不清、肢体震颤、步态不稳等;以肝脏损害为主5例,表现为乏力、食欲不振、黄疸、肝脾肿大等。
, http://www.100md.com
所有患者均作头部及腹部MRI检查。采用飞利浦公司Gyroscan 0.5T超导型MR系统,头部检查用头线圈,自旋回波成像,常规作横断面T1、T2WI和矢状面T2WI。TR 487~3660ms,TE 15~110ms,激励2~4次,矩阵256×256。腹部检查用体线圈,快速自旋回波成像,常规作横断面T1、T2WI。TR 500~4000ms,TE 10~120ms,激励4~6次,矩阵256×256,加呼吸补偿。2例作Gd-DTPA增强扫描。
2 结果
20例中16例MRI显示脑或/和肝异常(80%),其中6例脑和肝同时受累(附表)。
附表 20例肝豆状核变性的MRI病变分布 病例
病 变 部 位
, http://www.100md.com
头 部
腹 部
豆状核
尾状核
丘脑
脑干
肝
脾
1
+
+
+
2
+
, http://www.100md.com
+
+
右侧半卵圆区
腔隙灶、脑萎缩
结节
大
3
+
脑萎缩
结节
大
4
+
+
, 百拇医药
结节
大
5
脑萎缩
结节
大
6
结节
大
7
脑萎缩
大
8
结节、变
, 百拇医药
形、腹水
大
9
脑萎缩
大
10
+
+
下丘脑
脑萎缩
大
11
大
12
, http://www.100md.com
脑萎缩
结节
大
13
结节
大
14
大
15
+
+
+
+
大
, 百拇医药
16
大
17
大
18
+
+
19
+
+
+
大
20
+
, 百拇医药
大
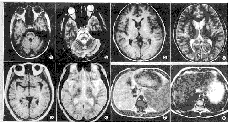
脑部检查病例中,9例脑部有异常信号,其病变部位:累及范围较对称和广泛,其中豆状核8例(88.9%),尾状核8例(88.9%),丘脑5例(55.6%),脑干1例(11.1%),半卵圆区1例(11.1%)。病变信号:多呈斑片状,边界较清,信号均匀,6例T1WI呈等低信号,T2WI多呈高信号(图1、2);1例尾状核和豆状核T1WI及T2WI均呈高信号(图3、4);1例下丘脑T1WI呈等信号,T2WI呈低信号(图5、6)。7例有轻度或中度脑萎缩,表现为脑室扩大及脑沟和脑池增宽,均表现较广泛。2例增强无异常强化。
腹部检查病例中,8例肝脏有异常信号,其病变部位左右叶均累及,表现为肝内大量弥漫性结节状异常信号,信号不均匀,边界不清,T1WI呈高信号或稍高信号,T2WI呈低信号(图7、8)。1例肝脏变形伴脾静脉扭曲扩张和腹水。17例有不同程度的脾脏肿大。所有病例肾脏均无异常。
, 百拇医药
图1 T1WI:脑干低信号 图2 T2WI:脑干高信号 图3 T1WI:双侧尾状核高信号 图4 T2WI:双侧尾状核及左侧豆状高信号 图5 T1WI:下丘脑等信号 图6 T2WI:右侧下丘脑低信号 图7 T1WI:肝内结节状高信号脾大 图8 T2WI:肝内结节状低信号
3 讨论
MRI因对信号变化的敏感及没有骨伪影,对肝豆状核变性脑部的检查明显优于CT[1]。肝豆状核变性脑部病变的分布频率有多种报道,Roh等[2]报道25例治疗前病例,病变分布为双侧丘脑92%,壳核68%,苍白球40%,尾状核20%,小脑16%,脑白质4%。King等[3]报道22例分布为丘脑50%,壳核40%,苍白球41%,中脑75%,桥脑82%,小脑50%。本组20例患者9例脑部有异常信号,分布为豆状核88.9%,尾状核88.9%,丘脑55.6%,中脑11.1%。因各家报道所入选的病例数不一,所用机器不同,治疗与否及治疗时间长短,病变分布频率相差较大,几乎所有区域的灰白质都可受累。病变分布频率最高的是豆状核(36%~72%)[1~4],其次是脑干[1~4]。 在脑干,病灶往往是对称分布在大脑脚、中脑被盖、黑质、红核及导水管四周灰质[2]。在丘脑病变中,异常信号往往是对称的。
, http://www.100md.com
Haan等[5]将病变信号分为3种,第一种是T2WI高信号为主,第二种是T1WI高信号为主,第三种是T2WI低信号。第一种病变信号为最常见,可发生在基底节、丘脑及下丘脑区域。现在普遍认为在灰质的T2WI高信号是由于水肿、胶质增生、神经元坏死及囊样变性所致。在白质的T2WI高信号是由于脱髓鞘、软化、海绵样变性及空洞形成。T2WI高信号与铜离子的顺磁性无关,可能因为铜离子以细胞内形式聚集[5]。第二种病变信号主要发生在苍白球[6],本组有1例尾状核及豆状核T1WI高信号。肝豆状核变性合并肝功能衰竭患者较常出现这种异常信号,可能门体静脉分流后,结合有顺磁效应的毒物聚集在病变部位[6],这些患者在肝脏移植术后,异常信号可消失。临床医生在治疗肝豆状核变性患者过程中,如发现苍白球T1WI异常高信号,则要除铜的同时,还要对肝功能损伤进行治疗。第三种异常信号主要发生在基底节[1,3],本组有1例下丘脑低信号,可能患者在未经治疗或治疗较差时,铜在脑组织中的聚集量逐渐增多,其顺磁作用明显超过了水肿和胶质化所造成T2WI高信号[3]。
, http://www.100md.com
脑萎缩是本症较常见的脑部异常。Roh等[2]报道在25例治疗前病例中脑萎缩的发生率为88.9%,弥漫性脑萎缩较局限性脑萎缩更常见。Grimm等[7]运用大脑半球、中脑及桥脑的标准径来定量测量和分析脑萎缩的程度,发现具有神经症状的肝豆状核变性患者的脑萎缩发生率为68%,无症状者则为6%。本组脑萎缩的发生率较低(35%),可能与本组病例年龄较小和病程较短有关。现在普遍认为脑萎缩与铜的毒性有关。
大多数患者在治疗后,随着临床症状的改善,脑部MRI的异常信号会消失或减少[2]。本组6例随访患者的临床症状与体征均已缓解,其中有1例豆状核T2WI高信号,脑部异常信号率为16.7%;而14例初治患者中仅1例无神经症状,而脑部MRI异常信号达8例,占57.1%。因为病变早期神经元的水肿及胶质增生是可逆的[2]。
由于肝豆状核变性患者的遗传缺陷,铜不能排入胆汁而在肝细胞中聚集起来并对肝细胞造成损伤,坏死的肝细胞再释放铜损伤其他脏器,如脑、肾脏等。因此肝脏受损往往是肝豆状核变性儿童最初和最显著的表现。本组有8例肝脏内见弥漫性结节状异常信号,T1WI呈高信号或稍高信号,T2WI呈低信号。这可能与铜在肝脏内聚集的顺磁作用有关[8],肝脏受损的间接表现即为脾脏增大,本组有7例(85%)脾脏增大。
, http://www.100md.com
总之,MRI作为一种无创伤性检查手段,其典型表现结合临床表现,角膜K-F环,血、尿铜及铜蓝蛋白等生化指标,对肝豆状核变性的诊断及预后具有重要意义。■
参考文献:
[1]Magalhaes ACA, Garamelli P, Menezes JR,et al. Wilson's disease: MRI with clinical correlation. Neuroradiology, 1994, 36:97
[2]Roh JK, Lee TG, Wie BA,et al. Initial and follow-up brain MRI finding and correlation with the clinical course in Wilson's disease. Neurology, 1994, 44:1064
, http://www.100md.com
[3]King D, Walshe M, Kendall E,et al. Cranial MR imaging in Wilson's disease. AJR, 1996, 167:1579
[4]Starosta-Rubinstein S, Young AB, Kluin K,et al. Clinical assessment of 31 patients with Wilson's disease: Correlations with structural changes on magnetic resonance imagings. Arch Neurol, 1987, 44:365
[5]Haan JD, Grossmann RI, Civitello H,et al. High fied mangnetic resonance imaging in Wilson's disease. J Comput Assist Tomogr, 1987, 11:132
, http://www.100md.com
[6]Pujol A, Pujol J, Graus F,et al. Hyperintense globus pallidus on T1-weighted MRI in cirrhotic patients with severity of liver failure. Neurology, 1993, 43:65
[7]Grimm G, Prayer L, Oder W,et al. Comparison of functional and structural brain disturbances in Wilson's disease. Neurology, 1991, 41:272
[8]Vogl TJ, Steiner S, Hammersting R,et al. MRI of the liver in Wilson's disease. Rofo Fortschr Geb Rontgenstr Neuen Bildged Verfahr, 1994, 160:40
收稿日期:1999-04-23
修稿日期:1999-09-26, http://www.100md.com
单位:高煜(上海医科大学附属新华医院放射科200092); 朱杰明(上海医科大学附属新华医院放射科200092); 李玉华(上海医科大学附属新华医院放射科200092); 张建明(上海医科大学附属新华医院放射科200092)
关键词:儿童;肝豆状核变性;MRI
临床放射学杂志000215 摘 要:目的 探讨MRI在儿童肝豆状核变性中的诊断价值。材料与方法 对临床和生化证实20例肝豆状核变性的儿童进行脑部及腹部的MRI检查。结果 9例(45%)有脑部异常信号,异常信号分布:豆状核8例(88.9%),尾状核8例(88.9%),丘脑5例(55.6%),脑干1例(11.1%),半卵圆区1例(11.1%)。7例(35%)有轻度或中度脑萎缩。8例(40%)肝内结节状异常信号。17例(85%)脾肿大。结论 MRI对肝豆状核变性的诊断及预后具有重要意义。
, 百拇医药
MR Imaging of Hepatolenticular Degeneration in Children
GAO Yu, ZHU Jieming, LI Yuhua
(Department of Radiology, The Affiliated Xinhua Hospital, Shanghai Medical University, Shanghai 200092, P.R.China)
ABSTRACT:Objective To evaluate MRI in diagnosing hepatolenticular degeneration (HLD) in children.Materials and Methods MRI of brain and abdomen was performed in 20 patients with clinically- and biochemically-proved HLD.Results Abnormal signals on brain MRI were seen in 9 cases (45%), which were distributed in the lenticular nuclear (n=8, 88.9%), the caudate head (n=8, 88.9%), the thalami (n=5, 55.6%), the brain stem (n=1, 11.1%), the semi-oval region (n=1, 11.1%). Mild or moderate encephalatrophy was found in 7 cases (35%). Nodular abnormal signals on liver MRI were seen in 8 cases. Splenomegaly was present in 17 patients. Conclusion MRI is of great significance in making diagnosis and prognosis of HLD.
, 百拇医药
Key words:Children Hepatolenticular degeneration MRI▲
肝豆状核变性(hepatolenticular degeneration)又称Wilson病,是一种少见的常染色体隐性遗传铜代谢障碍疾病,其遗传缺陷是在染色体13的长链上。由于肝脏不能将铜排入胆汁,铜在肝、中枢神经系统、肾等脏器聚集并对其造成损伤。肝豆状核变性的诊断是综合神经症状,K-F环,铜蓝蛋白、血铜及尿铜水平而得出的。此病的临床表现和症状多变,往往一些诊断线索是由放射科医生提供的,而特殊的临床资料也为MRI诊断提供可靠的依据。因此,熟悉该病的MRI表现,有利于早期诊断及治疗,改善预后。
1 材料与方法
20例经临床生化指标及临床症状证实的肝豆状核变性患者中,男14例,女6例。年龄最大为14岁,最小为8岁,平均11.5岁。其中初诊患者14例,随访患者6例。作MRI时病程:14例初诊患者中小于1个月1例,1个月~1年11例,大于1年2例;随访患者6例均大于1年。临床症状以神经系统症状为主9例,其主要表现为动作缓慢、口齿不清、肢体震颤、步态不稳等;以肝脏损害为主5例,表现为乏力、食欲不振、黄疸、肝脾肿大等。
, http://www.100md.com
所有患者均作头部及腹部MRI检查。采用飞利浦公司Gyroscan 0.5T超导型MR系统,头部检查用头线圈,自旋回波成像,常规作横断面T1、T2WI和矢状面T2WI。TR 487~3660ms,TE 15~110ms,激励2~4次,矩阵256×256。腹部检查用体线圈,快速自旋回波成像,常规作横断面T1、T2WI。TR 500~4000ms,TE 10~120ms,激励4~6次,矩阵256×256,加呼吸补偿。2例作Gd-DTPA增强扫描。
2 结果
20例中16例MRI显示脑或/和肝异常(80%),其中6例脑和肝同时受累(附表)。
附表 20例肝豆状核变性的MRI病变分布 病例
病 变 部 位
, http://www.100md.com
头 部
腹 部
豆状核
尾状核
丘脑
脑干
肝
脾
1
+
+
+
2
+
, http://www.100md.com
+
+
右侧半卵圆区
腔隙灶、脑萎缩
结节
大
3
+
脑萎缩
结节
大
4
+
+
, 百拇医药
结节
大
5
脑萎缩
结节
大
6
结节
大
7
脑萎缩
大
8
结节、变
, 百拇医药
形、腹水
大
9
脑萎缩
大
10
+
+
下丘脑
脑萎缩
大
11
大
12
, http://www.100md.com
脑萎缩
结节
大
13
结节
大
14
大
15
+
+
+
+
大
, 百拇医药
16
大
17
大
18
+
+
19
+
+
+
大
20
+
, 百拇医药
大
脑部检查病例中,9例脑部有异常信号,其病变部位:累及范围较对称和广泛,其中豆状核8例(88.9%),尾状核8例(88.9%),丘脑5例(55.6%),脑干1例(11.1%),半卵圆区1例(11.1%)。病变信号:多呈斑片状,边界较清,信号均匀,6例T1WI呈等低信号,T2WI多呈高信号(图1、2);1例尾状核和豆状核T1WI及T2WI均呈高信号(图3、4);1例下丘脑T1WI呈等信号,T2WI呈低信号(图5、6)。7例有轻度或中度脑萎缩,表现为脑室扩大及脑沟和脑池增宽,均表现较广泛。2例增强无异常强化。
腹部检查病例中,8例肝脏有异常信号,其病变部位左右叶均累及,表现为肝内大量弥漫性结节状异常信号,信号不均匀,边界不清,T1WI呈高信号或稍高信号,T2WI呈低信号(图7、8)。1例肝脏变形伴脾静脉扭曲扩张和腹水。17例有不同程度的脾脏肿大。所有病例肾脏均无异常。
, 百拇医药
图1 T1WI:脑干低信号 图2 T2WI:脑干高信号 图3 T1WI:双侧尾状核高信号 图4 T2WI:双侧尾状核及左侧豆状高信号 图5 T1WI:下丘脑等信号 图6 T2WI:右侧下丘脑低信号 图7 T1WI:肝内结节状高信号脾大 图8 T2WI:肝内结节状低信号
3 讨论
MRI因对信号变化的敏感及没有骨伪影,对肝豆状核变性脑部的检查明显优于CT[1]。肝豆状核变性脑部病变的分布频率有多种报道,Roh等[2]报道25例治疗前病例,病变分布为双侧丘脑92%,壳核68%,苍白球40%,尾状核20%,小脑16%,脑白质4%。King等[3]报道22例分布为丘脑50%,壳核40%,苍白球41%,中脑75%,桥脑82%,小脑50%。本组20例患者9例脑部有异常信号,分布为豆状核88.9%,尾状核88.9%,丘脑55.6%,中脑11.1%。因各家报道所入选的病例数不一,所用机器不同,治疗与否及治疗时间长短,病变分布频率相差较大,几乎所有区域的灰白质都可受累。病变分布频率最高的是豆状核(36%~72%)[1~4],其次是脑干[1~4]。 在脑干,病灶往往是对称分布在大脑脚、中脑被盖、黑质、红核及导水管四周灰质[2]。在丘脑病变中,异常信号往往是对称的。
, http://www.100md.com
Haan等[5]将病变信号分为3种,第一种是T2WI高信号为主,第二种是T1WI高信号为主,第三种是T2WI低信号。第一种病变信号为最常见,可发生在基底节、丘脑及下丘脑区域。现在普遍认为在灰质的T2WI高信号是由于水肿、胶质增生、神经元坏死及囊样变性所致。在白质的T2WI高信号是由于脱髓鞘、软化、海绵样变性及空洞形成。T2WI高信号与铜离子的顺磁性无关,可能因为铜离子以细胞内形式聚集[5]。第二种病变信号主要发生在苍白球[6],本组有1例尾状核及豆状核T1WI高信号。肝豆状核变性合并肝功能衰竭患者较常出现这种异常信号,可能门体静脉分流后,结合有顺磁效应的毒物聚集在病变部位[6],这些患者在肝脏移植术后,异常信号可消失。临床医生在治疗肝豆状核变性患者过程中,如发现苍白球T1WI异常高信号,则要除铜的同时,还要对肝功能损伤进行治疗。第三种异常信号主要发生在基底节[1,3],本组有1例下丘脑低信号,可能患者在未经治疗或治疗较差时,铜在脑组织中的聚集量逐渐增多,其顺磁作用明显超过了水肿和胶质化所造成T2WI高信号[3]。
, http://www.100md.com
脑萎缩是本症较常见的脑部异常。Roh等[2]报道在25例治疗前病例中脑萎缩的发生率为88.9%,弥漫性脑萎缩较局限性脑萎缩更常见。Grimm等[7]运用大脑半球、中脑及桥脑的标准径来定量测量和分析脑萎缩的程度,发现具有神经症状的肝豆状核变性患者的脑萎缩发生率为68%,无症状者则为6%。本组脑萎缩的发生率较低(35%),可能与本组病例年龄较小和病程较短有关。现在普遍认为脑萎缩与铜的毒性有关。
大多数患者在治疗后,随着临床症状的改善,脑部MRI的异常信号会消失或减少[2]。本组6例随访患者的临床症状与体征均已缓解,其中有1例豆状核T2WI高信号,脑部异常信号率为16.7%;而14例初治患者中仅1例无神经症状,而脑部MRI异常信号达8例,占57.1%。因为病变早期神经元的水肿及胶质增生是可逆的[2]。
由于肝豆状核变性患者的遗传缺陷,铜不能排入胆汁而在肝细胞中聚集起来并对肝细胞造成损伤,坏死的肝细胞再释放铜损伤其他脏器,如脑、肾脏等。因此肝脏受损往往是肝豆状核变性儿童最初和最显著的表现。本组有8例肝脏内见弥漫性结节状异常信号,T1WI呈高信号或稍高信号,T2WI呈低信号。这可能与铜在肝脏内聚集的顺磁作用有关[8],肝脏受损的间接表现即为脾脏增大,本组有7例(85%)脾脏增大。
, http://www.100md.com
总之,MRI作为一种无创伤性检查手段,其典型表现结合临床表现,角膜K-F环,血、尿铜及铜蓝蛋白等生化指标,对肝豆状核变性的诊断及预后具有重要意义。■
参考文献:
[1]Magalhaes ACA, Garamelli P, Menezes JR,et al. Wilson's disease: MRI with clinical correlation. Neuroradiology, 1994, 36:97
[2]Roh JK, Lee TG, Wie BA,et al. Initial and follow-up brain MRI finding and correlation with the clinical course in Wilson's disease. Neurology, 1994, 44:1064
, http://www.100md.com
[3]King D, Walshe M, Kendall E,et al. Cranial MR imaging in Wilson's disease. AJR, 1996, 167:1579
[4]Starosta-Rubinstein S, Young AB, Kluin K,et al. Clinical assessment of 31 patients with Wilson's disease: Correlations with structural changes on magnetic resonance imagings. Arch Neurol, 1987, 44:365
[5]Haan JD, Grossmann RI, Civitello H,et al. High fied mangnetic resonance imaging in Wilson's disease. J Comput Assist Tomogr, 1987, 11:132
, http://www.100md.com
[6]Pujol A, Pujol J, Graus F,et al. Hyperintense globus pallidus on T1-weighted MRI in cirrhotic patients with severity of liver failure. Neurology, 1993, 43:65
[7]Grimm G, Prayer L, Oder W,et al. Comparison of functional and structural brain disturbances in Wilson's disease. Neurology, 1991, 41:272
[8]Vogl TJ, Steiner S, Hammersting R,et al. MRI of the liver in Wilson's disease. Rofo Fortschr Geb Rontgenstr Neuen Bildged Verfahr, 1994, 160:40
收稿日期:1999-04-23
修稿日期:1999-09-26, http://www.100md.com