假性甲状旁腺机能低下
作者:徐德永
单位:徐德永(青岛医学院附属医院放射科 266003)
关键词:
临床放射学杂志000318 假性甲状旁腺机能低下(pseudohypoparathyroidism,PHP),首先由Albright等(1942)描述。其特点是低血钙、高血磷。放免测定其甲状旁腺素(PTH)含量正常或稍高;组织学检查:甲状旁腺正常或增生(hyperplasia)。本病应用甲状旁腺素治疗无效。本病有一特征性体型(somatotype),包括身材矮小、肥胖,面如满月,以及掌(跖)、指(趾)骨短小畸形。
本病可能因靶器官或称终端器官(end organ)不能对甲状旁腺素的刺激作出相应的反应。能对甲状旁腺素的作用作出反应的所谓终端器官,主要有三方面:一是骨质,通过增强破骨细胞的活性和增加其数量,加速骨质的溶解吸收,钙磷脱离骨质而进入血液中,致使血钙升高;二是对肾脏的作用,通过抑制肾脏的近曲小管对磷的回吸收,而使血磷水平降低;三是促进肠道对钙的吸收。本病对PTH的作用无反应或对抗的终端器官,可能主要在肾脏;骨骼内亦可能有此种对抗的终端器官。
, 百拇医药
甲状旁腺机能低下常见于女性,应属X性链遗传,但有报道,不少病例为男传男(male-to-male),但尚未经完全证实。还有报道,部分PHP患者,甲状旁腺素分泌过度。研究表明,此属少见的变异,其特点是肾脏对甲状旁腺素无反应,而骨骼对其反应正常,此即所谓假性低下性甲状旁腺机能亢进(pseudohy-pohyperparathyroidism),其组织学改变类似于肾性骨营养不良(renal edeodystrophy),相关体征可能出现,亦可不出现。X线所见即甲状旁腺机能亢进的改变,包括骨膜下骨吸收、骨硬化、骨膜新骨形成(periosteal neostosis)、棕色瘤,以及股骨头骨骺滑脱等。
1 临床表现
颅面部 典型表现是头颅圆、颈短,还可有斜视和白内障。
智力 常有智力低下,反应迟钝。
, http://www.100md.com
症状 出生后即可见有的指、趾过短或长短不匀称。随着年龄的增大,逐渐显示出脸圆,肥胖,身材矮,反应迟钝;出牙晚,斜视、白内障,味觉减退和皮纹异常;还可有肌肉挛缩和手、足抽搐等。通常在20岁前即可确诊,亦可偶然发现。
2 放射学表现
头颅 颅盖骨增厚,板障变窄或增宽,基底神经节可见钙化。
长管骨 短而弯曲畸形,骨密度普遍减低,有的可见骺线过早闭合。有时可见外生骨疣样骨刺。
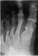
短管状骨 常见有第1、4、5掌骨变短,有的第3掌骨亦可变短;跖骨多为第1、4骨缩短。同时可见骺板早闭,还可见锥形骨骺。有时于关节端可见有骨刺样突起。关节旁软组织内可见有斑点状钙化,极少数于手足小关节旁软组织内,见有条、片状骨化,与骨化性肌炎类似;此外,PHP的异位钙化,以脑基底神经节多见,还可见于小脑齿状核。关节旁、特别是远侧或末梢关节旁软组织内的钙化,亦属较常见部位(图1~3)。

, http://www.100md.com
图1 双足正面体表像。双足第1、3、4、5趾过短畸形

图2 左手正位像。第1、4、5掌骨变短,骨骺早融合,掌骨征阳性;第2指中节和第1、2指末节指骨骨骺已融合

图3 双足跖、趾骨正位像:两侧第1、3、4跖骨变短,尤以第1跖、趾骨粗、短明显;右拇跖、趾关节腓侧软组织内示一条状钙化
3 预后
造成预后不良的因素是低血钙,由于长期的低血钙,患者可出现癫痫发作、白内障和异位钙化等,还可发生自发性手足搐搦。
, 百拇医药
4 鉴别诊断
PHP首先应与特发性甲状旁腺机能低下鉴别。PHP有不少表现与特发性甲状旁腺机能低下相同,如低血钙、高血磷,以及基底神经节和关节旁软组织钙化等。不同点有:(1)甲状旁腺素正常或升高,而特发性甲状旁腺机能低下则减少; (2)PHP累及靶器官,对抗甲状旁腺素的活性,并有一特殊体型,包括身材矮小、肥胖、脸圆和短掌、指畸形; (3)PHP还有其他临床表现,如牙齿萌出延迟,而特发性甲状旁腺机能低下则无这些表现; (4)PHP还可见外生骨疣样骨刺改变,并可伴发甲状旁腺机能亢进的骨表现,而特发性甲状旁腺机能低下则仅表现为骨密度增高。
PHP还应与有掌、指骨变短和基底节钙化的疾病鉴别,如Turner综合征、多发骨骺发育异常,以及基底细胞痣综合征等。有些研究者还设想,PHP可能与上述综合征存在某种关系。■
收稿日期:1999-10-25, http://www.100md.com
单位:徐德永(青岛医学院附属医院放射科 266003)
关键词:
临床放射学杂志000318 假性甲状旁腺机能低下(pseudohypoparathyroidism,PHP),首先由Albright等(1942)描述。其特点是低血钙、高血磷。放免测定其甲状旁腺素(PTH)含量正常或稍高;组织学检查:甲状旁腺正常或增生(hyperplasia)。本病应用甲状旁腺素治疗无效。本病有一特征性体型(somatotype),包括身材矮小、肥胖,面如满月,以及掌(跖)、指(趾)骨短小畸形。
本病可能因靶器官或称终端器官(end organ)不能对甲状旁腺素的刺激作出相应的反应。能对甲状旁腺素的作用作出反应的所谓终端器官,主要有三方面:一是骨质,通过增强破骨细胞的活性和增加其数量,加速骨质的溶解吸收,钙磷脱离骨质而进入血液中,致使血钙升高;二是对肾脏的作用,通过抑制肾脏的近曲小管对磷的回吸收,而使血磷水平降低;三是促进肠道对钙的吸收。本病对PTH的作用无反应或对抗的终端器官,可能主要在肾脏;骨骼内亦可能有此种对抗的终端器官。
, 百拇医药
甲状旁腺机能低下常见于女性,应属X性链遗传,但有报道,不少病例为男传男(male-to-male),但尚未经完全证实。还有报道,部分PHP患者,甲状旁腺素分泌过度。研究表明,此属少见的变异,其特点是肾脏对甲状旁腺素无反应,而骨骼对其反应正常,此即所谓假性低下性甲状旁腺机能亢进(pseudohy-pohyperparathyroidism),其组织学改变类似于肾性骨营养不良(renal edeodystrophy),相关体征可能出现,亦可不出现。X线所见即甲状旁腺机能亢进的改变,包括骨膜下骨吸收、骨硬化、骨膜新骨形成(periosteal neostosis)、棕色瘤,以及股骨头骨骺滑脱等。
1 临床表现
颅面部 典型表现是头颅圆、颈短,还可有斜视和白内障。
智力 常有智力低下,反应迟钝。
, http://www.100md.com
症状 出生后即可见有的指、趾过短或长短不匀称。随着年龄的增大,逐渐显示出脸圆,肥胖,身材矮,反应迟钝;出牙晚,斜视、白内障,味觉减退和皮纹异常;还可有肌肉挛缩和手、足抽搐等。通常在20岁前即可确诊,亦可偶然发现。
2 放射学表现
头颅 颅盖骨增厚,板障变窄或增宽,基底神经节可见钙化。
长管骨 短而弯曲畸形,骨密度普遍减低,有的可见骺线过早闭合。有时可见外生骨疣样骨刺。
短管状骨 常见有第1、4、5掌骨变短,有的第3掌骨亦可变短;跖骨多为第1、4骨缩短。同时可见骺板早闭,还可见锥形骨骺。有时于关节端可见有骨刺样突起。关节旁软组织内可见有斑点状钙化,极少数于手足小关节旁软组织内,见有条、片状骨化,与骨化性肌炎类似;此外,PHP的异位钙化,以脑基底神经节多见,还可见于小脑齿状核。关节旁、特别是远侧或末梢关节旁软组织内的钙化,亦属较常见部位(图1~3)。
, http://www.100md.com
图1 双足正面体表像。双足第1、3、4、5趾过短畸形
图2 左手正位像。第1、4、5掌骨变短,骨骺早融合,掌骨征阳性;第2指中节和第1、2指末节指骨骨骺已融合
图3 双足跖、趾骨正位像:两侧第1、3、4跖骨变短,尤以第1跖、趾骨粗、短明显;右拇跖、趾关节腓侧软组织内示一条状钙化
3 预后
造成预后不良的因素是低血钙,由于长期的低血钙,患者可出现癫痫发作、白内障和异位钙化等,还可发生自发性手足搐搦。
, 百拇医药
4 鉴别诊断
PHP首先应与特发性甲状旁腺机能低下鉴别。PHP有不少表现与特发性甲状旁腺机能低下相同,如低血钙、高血磷,以及基底神经节和关节旁软组织钙化等。不同点有:(1)甲状旁腺素正常或升高,而特发性甲状旁腺机能低下则减少; (2)PHP累及靶器官,对抗甲状旁腺素的活性,并有一特殊体型,包括身材矮小、肥胖、脸圆和短掌、指畸形; (3)PHP还有其他临床表现,如牙齿萌出延迟,而特发性甲状旁腺机能低下则无这些表现; (4)PHP还可见外生骨疣样骨刺改变,并可伴发甲状旁腺机能亢进的骨表现,而特发性甲状旁腺机能低下则仅表现为骨密度增高。
PHP还应与有掌、指骨变短和基底节钙化的疾病鉴别,如Turner综合征、多发骨骺发育异常,以及基底细胞痣综合征等。有些研究者还设想,PHP可能与上述综合征存在某种关系。■
收稿日期:1999-10-25, http://www.100md.com