肺嗜酸性肉芽肿一例
作者:马立公
单位:马立公(青海医学院附属医院影像中心 西宁 810001)
关键词:
临床放射学杂志000327 患者 女,38岁。2个月前出现咳嗽、咳痰,痰呈白色泡沫状,痰中无血,伴胸痛。住院后经对症抗炎治疗后仍有轻咳,不发热。查体:无特殊异常。
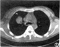
CT检查: 两肺野弥漫分布大小不等的类圆形高密度影,最大约为2.8cm×3.0cm大小,最小约0.3cm×0.4cm大小。病灶边缘清楚但不锐利。较大病灶中可见细支气管影,两肺纹理较重(图1、2)。CT诊断:两肺多发转移瘤。

图1、2 分别为纵隔窗和肺窗,两肺散在大小不等的类圆形高密度影,较大病灶内可见细支气管气相,两肺纹理较重
肺穿刺活检结果: 肺嗜酸性肉芽肿。
讨论 肺嗜酸性肉芽肿多见于成人,它是Langerhans细胞的一种增生性疾病。嗜酸性肉芽肿、韩-薜-柯氏病和勒-雪氏病同属网状内皮细胞增多症,即组织细胞病X。网状内皮细胞增多症可侵犯多种器官和组织,一般以骨骼系统相对多见。三者的区别在于发病年龄、侵犯器官、临床表现以及病理发展的不同。病灶以组织细胞为主的各种细胞浸润,包括巨噬细胞、嗜酸性粒细胞、淋巴细胞和多形核细胞,主要分布于支气管和血管周围的肺间质,病变最后可发展为非特异性肺间质纤维化,也可自然消散或较长时期无明显变化。CT表现为多发结节状高密度影,大小为数毫米至数厘米。本例较大病灶中可见到细线状支气管气相,笔者认为此征象可与肺转移瘤相鉴别,因肺转移瘤可破坏肺组织正常结构,病灶内一般不能见到支气管气相。■
收稿日期:1999-06-01
修改日期:1999-10-20, http://www.100md.com
单位:马立公(青海医学院附属医院影像中心 西宁 810001)
关键词:
临床放射学杂志000327 患者 女,38岁。2个月前出现咳嗽、咳痰,痰呈白色泡沫状,痰中无血,伴胸痛。住院后经对症抗炎治疗后仍有轻咳,不发热。查体:无特殊异常。
CT检查: 两肺野弥漫分布大小不等的类圆形高密度影,最大约为2.8cm×3.0cm大小,最小约0.3cm×0.4cm大小。病灶边缘清楚但不锐利。较大病灶中可见细支气管影,两肺纹理较重(图1、2)。CT诊断:两肺多发转移瘤。
图1、2 分别为纵隔窗和肺窗,两肺散在大小不等的类圆形高密度影,较大病灶内可见细支气管气相,两肺纹理较重
肺穿刺活检结果: 肺嗜酸性肉芽肿。
讨论 肺嗜酸性肉芽肿多见于成人,它是Langerhans细胞的一种增生性疾病。嗜酸性肉芽肿、韩-薜-柯氏病和勒-雪氏病同属网状内皮细胞增多症,即组织细胞病X。网状内皮细胞增多症可侵犯多种器官和组织,一般以骨骼系统相对多见。三者的区别在于发病年龄、侵犯器官、临床表现以及病理发展的不同。病灶以组织细胞为主的各种细胞浸润,包括巨噬细胞、嗜酸性粒细胞、淋巴细胞和多形核细胞,主要分布于支气管和血管周围的肺间质,病变最后可发展为非特异性肺间质纤维化,也可自然消散或较长时期无明显变化。CT表现为多发结节状高密度影,大小为数毫米至数厘米。本例较大病灶中可见到细线状支气管气相,笔者认为此征象可与肺转移瘤相鉴别,因肺转移瘤可破坏肺组织正常结构,病灶内一般不能见到支气管气相。■
收稿日期:1999-06-01
修改日期:1999-10-20, http://www.100md.com