磁共振血管成像诊断颅内动脉瘤MRA与DSA的比较研究
作者:王效恩 刘怀军 王藏海 杨桦 王永生
单位:王效恩(050000 石家庄,河北医科大 学第二医院放射科);刘怀军(050000 石家庄,河北医科大 学第二医院放射科);王藏海(050000 石家庄,河北医科大 学第二医院放射科);杨桦(050000 石家庄,河北医科大 学第二医院放射科);王永生(050000 石家庄,河北医科大 学第二医院放射科)
关键词:颅内动脉瘤;磁共振血管成像;脑血管造影;比较研究
临床放射学杂志000803 【摘要】 目的 探讨3D TOF MRA诊断颅内动 脉瘤的价值。 材料与方法 经手术治疗36例颅内动脉瘤患者,均用1.5 T超导MR系统3D TOF法作MRA检查,其中31例经DSA检查。MRA显示动脉瘤的部位、大小、形态 、动脉瘤颈以及瘤体与载瘤血管的关系并与DSA进行比较分析。 结果 36例共36个动脉瘤,MRA检查发现33个,敏感性91 .7%。大小2~27mm。MRA显示动脉瘤的部位、大小和形态同DSA基本一致。综合观察靶MIP、M PR和原始像能清楚显示33个瘤颈和瘤体与载瘤血管的关系;而单用MIP能显示26个(26/33,7 8.8%)瘤颈和29个(29/33,87.9%)载瘤血管。DSA能显示28个(28/31,90.3%)载瘤血管。5例 仅经MRA检查确诊后直接手术治疗。 结论 3D TOF MRA诊断颅内动脉瘤具有较高的敏感性和 特异性。有时综合MIP、MPR和原始像评价瘤颈和载瘤血管优于DSA。典型的动脉瘤经3D TOF MRA诊断后可直接手术治疗。
, 百拇医药
Diagnosis of Intracranial Aneurysms with MRA: A Comparative Stu dy of MRA with DSA
WANG Xiaoen, LIU Huaijun, WANG Canghai
(Department of Radiology, No.2 Hospital of Hebei Medical University, Shijiazhu ang, Hebei Province 050000, P.R.China)
【Abstract】 Objective To evaluate 3D TOF MRA in diagnos ing cerebral aneurysms. Materials and Methods 3D TOF MRA was performed, u sing a 1.5T superconductive MR unit, in 36 cases with cerebral aneurysm, of whic h 31 cases underwent additional DSA. The findings on MRA and DSA, including the site, size, shape, neck and parent vessels of the aneurysms, were compared. Results Of 36 patients with cerebral aneurysm, 33 were detected by MRA, with a sensitivity of 91.6% and size of 2~27mm. 3D TOF M RA was basically the same as DSA in showing the site, size and shape of the aneu rysms. When target MIP, MPR and source images were combined in observation, the aneurysmal neck and parent vessel in all 33 cases could be well identified, whil e only 26 necks (81.8%) and 29 parent vessels (87.9%) could be identified with M IP alone. DSA revealed 28 (28/31, 90.3%) parent vessels. Five cases underwent su rgery when the diagnosis was confirmed by MRA. Conclusion 3D TOF MRA has high sensitivity and sp ecificity in detecting cerebral aneurysm. Combination of MIP, MPR and source ima ges will be superior to DSA in demonstrating aneurysmal neck and parent vessels.
, 百拇医药
【Key words】 Aneurysm,intracranial MRA Ce rebral angiography Comparative study
颅内动脉瘤是严重危害人类健康的脑血管病之一,磁共振血管成像(MRA)作为一种新的无创 伤性评价颅内动脉瘤的方法日益受到重视。有关专题研究国外报道较多,国内仅见零星报告 。本文对经手术治疗36例颅内动脉瘤的三维时间飞跃法MRA(3D TOF MRA)进行评价,其中31 例行DSA检查以作比较分析。旨在探讨TOF MRA诊断颅内动脉瘤的价值与限度,同时提高对颅 内动脉瘤的MRA原始像、多平面重建(MPR)和最大强度投影(MIP)像进行综合观察分析的能力 。
1 材料与方法
男19例,女17例,年龄19~72岁,平均43.1岁。临床主要表现为头痛9例,动眼神经麻痹10 例,蛛网膜下腔出血17例(1次或多次)。36例均作颅脑MRI和3D TOF MRA检查,其中31例在MR A检查后3小时~7天行DSA检查,5例在MRA检查后未作DSA检查而直接择期手术治疗。
, 百拇医药
使用东芝公司1.5T Visart磁共振仪。选用QD头部线圈,常规应用FSE(TR/TE=1000ms/108ms) 像矢状位和横轴位双定位,行横轴位及矢状位T1及T2WI扫描。T1WI SE序列,TR/TE=5 00ms/15ms;T2WI用FSE序列,TR/TE=4000ms/108ms;扫描层厚5~6mm,层间距0.1~1.2mm 。本组无增强扫描。3D TOF MRA应用正中矢状位及横轴位像双定位,片层的ROI底边位于垂 体腺下缘下方1~2cm处,层面为横轴位。采用东芝Visart系统提供的多层覆盖技术(multi- coverage)、层选择饱和传递对比技术(SORS-STC)和异同激发血管增强技术(ISCE)以提高血 管成像质量。
Multi-coverage是应用多层薄片连续扫描代替一厚层覆盖视场的设置,因为每一层厚度可 设为一小值,可得到高TOF效果的图像。本组采用1~3个层块采集,1个层块厚45mm,重叠10 ~15层,1次MIP重建。SORS-STC,RF脉冲呈层片选择方式以抑制大脑实质的信号,而血流 信号则几乎不受STC所致信号抑制的影响,从而减弱背景,提高血管信号。ISCE是对选择性 激励用一倾斜图像代替传统的平面图像,设置一图像在流入侧用小翻转角而在流出侧用大翻 转角,使一个层面内血流信号强度变得均匀,改进了层面流出一边的血管信号。采用流入边 和流出边翻转角的比率为1∶2,特定翻转角为20°。其他检查参数:TR 39ms,TE 6.8ms ,激励1次,视野18.0cm×19.0cm,矩阵192×256,层厚0.9mm,共采集80~112层。成像 时间7分18秒~13分4秒。然后用MIP后处理技术重建和旋转血管图像。必要时采用靶MIP技术 、选择背景抑制(BEST)和MPR技术作图像处理。同时注重对MRA的原始像、MPR和MIP像进行综 合复习观察。
, 百拇医药
DSA检查设备为东芝公司30B DSF-2000A血管造影系统。31例患者均经股动脉穿刺插管进行 选择性全脑血管造影检查。
分析项目:MRI所见,3D TOF MRA显示动脉瘤的部位、大小、形态、瘤颈以及瘤体与载瘤血 管的关系是否清楚。以上各项同DSA比较分析。
2 结果
36例发现动脉瘤36个,均为单发。MRA发现33个动脉瘤,3个漏诊,敏感性91.7%。漏诊的3例 均因并发亚急性期较大量的蛛网膜下腔出血,动脉瘤被出血影掩盖不能显示,后经DSA检 查发现。36个动脉瘤中,17个发生破裂(1次或多次),19个未发生破裂。
部位: 颈内动脉(C1~C4)7个,大脑中动脉(M1~M2)9个,大脑前动脉(A1~A3 )6个,前交通动脉7个,后交通动脉5个,大脑后动脉2个。MRA显示动脉瘤的部位同DSA检查 及手术所见完全一致。
, 百拇医药
大小: 5mm以下8个,6~10mm 15个,11~20mm 11个,大于20mm 2 个。28个动脉瘤MRA同DSA比较,26个MRA能清楚准确地显示动脉瘤的大小和轮廓;2例因动脉 瘤呈分叶状其内有血栓及血流紊乱,MRA显示动脉瘤轮廓欠清楚并较DSA显示略小。5例经MRA 检查因动脉瘤的部位、形态典型而直接行手术治疗,大小与手术所见相符。MRA显示动脉瘤 大小正确率为93.9%。
形态: 囊状17个,浆果状9个,梭形3个,分叶状7个。28个动脉瘤中26个形态与DSA相一致 。2个与DSA不一致,其中1个DSA显示有子囊,MRA未发现;另1个则MRA呈分叶状发现子囊而D SA未显示。仅作MRA的5例动脉瘤形态与手术所见一致。
动脉瘤颈的情况: 36例动脉瘤患 者,MRA发现的33例(个)动脉瘤中,单纯利用MRA的MIP像能较清楚确定26个(78.8%)瘤颈的情 况,即有或无颈,如有颈再确定颈的宽窄。但在综合观察MRA的靶MIP旋转像、MPR以及原始像后,MRA能完全清楚确定瘤颈的情况。
, 百拇医药
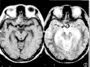
图1~5 患者,男 。蛛网膜下腔出血、右额血肿21天。
图1:DSA显示右侧颈内动脉C2段内侧壁16mm浆果状动 脉瘤,无法确定与后交通动脉的关系。
图2:MRI显示动脉瘤内血栓,额部出血。
图3:MRA的 MIP像。

图4、5:冠状及轴位MPR像较DSA及MIP像更清楚显示动脉瘤颈、瘤颈与颈内动脉和后 交通动脉的关系,瘤内低信号为血栓
, 百拇医药
图6~8 患者,女,46岁。既往有蛛网膜下腔出血史。
图6:DSA示哑铃 形前交通动脉动脉瘤。
图7:MIP像示右侧大脑前动脉A1段先天缺如,右侧大脑前动脉通过 瘤状扩张的前交通动脉供血。
图8:MPR像显示前交通动脉呈哑铃形扩张与双侧大脑前动脉的 关系较DSA及MIP像更清楚
动脉瘤与载瘤血管的关系: 单纯观察MRA的MIP像(4/33)和DSA(3/31)均不能完好地显示动脉 瘤与载瘤血管的关系。本组33例(个)动脉瘤,在综合观察MRA的MIP像、靶MIP像、原始像及M PR像的情况下,能清楚显示动脉瘤与载瘤血管的关系,甚至有时MPR像较DSA更清楚,因为没 有重叠影像(图1~5)。
, http://www.100md.com
MRI所见: 15例可在T1和T2WI上显示有异常的“流空信号簇”,其内流空信号有的不均 匀可见血栓形成(图2)。11例伴有蛛网膜下腔出血征象,9例伴有脑梗塞,11例未见异常。
3 讨论
颅内动脉瘤发病率占人群的1%~4%,估计每年无症状动脉瘤破裂而引起蛛网膜下腔出血的比 率为0.5%~2.0%,急性蛛网膜下腔出血患者,2周内死亡率50%,而经手术修补未破裂的动脉 瘤患者,动脉瘤破裂的发生率和死亡率均低[1,2]。降低动脉瘤患者的死亡率,在 动脉瘤破裂前发现是关键。MRA作为一种新的无创性评价颅内动脉瘤的方法,发展十余年来 其价值日益受到重视,成像技术日趋完善。目前,最常用的颅内MRA检查方法主要基于2种技 术:时间飞跃法(time of flight,TOF)和相位对比法(phase contrast,PC)。本组36例动脉 瘤患者,均应用3D TOF技术进行颅内血管成像。文献研究报告,应用3D TOF MRA是显示动脉 瘤的首选技术,因其已经显示出比PC法对颅内动脉瘤更敏感[3]。3D TOF法显示颅 内动脉瘤的敏感性以往文献报告为55%~93%[3,4]。影响敏感性的因素主要有:一 是成像技术方法,参数的选择;二是动脉瘤的大小。显示动脉瘤的临界大小定为5mm,此值 以下的敏感性为56%,以上为85%[3,5]。本组36例动脉瘤同DSA和手术对比,3D TO F MRA显示动脉瘤的敏感性为91.7%。3例漏诊中2例为前交通动脉瘤,呈囊状,大小为4mm和1 1mm;1例为左侧大脑前动脉A2近端动脉瘤,囊状,6mm。最近文献报道应用高分辨率MRA选 择插入技术显示颅内动脉瘤,同DSA结果比较具有相等的敏感性(97%)[6]。
, 百拇医药
值得指出的是,MRA以往被理解为主要是评价MIP像。MIP像是采用最大信号投影技术处理原 始图像,仅代表最高信号的象素完全投影而使血管成像。但是,这种方法的限度变得日益突 出。目前强调应用MRA进行脑血管疾病的诊断要对MRA的原始像、SE像、MPR像和MIP像进行综 合复习观察。在一项研究中,当原始像、SE像和MIP像联合观察时,3D TOF MRA诊断颅内动 脉瘤的敏感性从67%提高到86%[7]。复习原始像和SE像也有助于准确判断与动脉血 流无关的高信号区域,如垂体后叶和副鼻窦含蛋白潴留囊肿,可能在MIP像中类似动脉瘤, 但其在原始像和SE像中有其特殊定位以利确诊[8]。原始像、仅含动脉瘤和载瘤血 管的靶MIP像、MPR像以及SE像的综合观察可减少血管重叠,很好显示动脉瘤的准确结构(图6 ~8)。最近Tae-sub Chung等[6]报道,共同应用MRA的MIP像和MPR像成功显示全部 39个(100%)动脉瘤的颈部及颈部和载瘤血管的关系;而仅用MIP像的MRA成功显示27个(69%) ,DSA成功显示32个(82%)。在评价动脉瘤颈部和载瘤血管的关系方面,联合应用MRA的MIP像 和MPR像远超过单用MRA的MIP像或DSA。本组的结果也说明了这一点。
, http://www.100md.com
颅内动脉瘤破裂是蛛网膜下腔出血的主要原因。虽然MRA已经应用于急性蛛网膜下腔出血的 颅内动脉瘤的诊断,但是目前仍然存在以下问题:(1)MRA分辨力还不能完全满足手术前显示 动脉瘤颈和动脉瘤与载瘤血管关系的要求[9]。 (2)MRA还缺乏令人信服的除外第2 个动脉瘤存在的敏感性(发现第1个动脉瘤患者,其中20%同时患有第2个动脉瘤)。 (3)亚急 性出血含正铁血红蛋白产生一个短T1效应在TOF MRA像可能酷似流动血流[10], 削弱敏感性和特异性。 (4)急性蛛网膜下腔出血患者,会因患者移动而使MRA图像质量降低 [11]。本组36例中,在行MRA检查时有11例伴发急性蛛网膜下腔出血,其中3例因作 MRA检查时距发病时间较长(3~5天),且出血量较大,呈短T1高信号的蛛网膜下腔出血影 掩盖了动脉瘤和局部血管而漏诊。另外8例,经MRA检查诊断动脉瘤,其中6例行DSA检查,2 例直接手术。笔者认为在急性蛛网膜下腔出血情况下,提高MRA诊断颅内动脉瘤的准确性, 重点在于:(1)应用高分辨率MRA; (2)尽可能缩短扫描时间以减轻因患者移动而使MRA图像 质量降低的影响; (3)最好在出血未产生短T1效应(24~48小时)之前检查; (4)当出血产 生短T1效应时可应用3D PC法MRA检查。有研究报道应用高分辨率MRA并运用MTS和TONE技术 显示伴有急性蛛网膜下腔出血的动脉瘤敏感性为90%,特异性100%[12]。Tae-sub Chung等[6]报道应用高分辨率MRA并运用选择插入技术能缩短40%的检查时间,扫描 时间7分41秒,而扫描块厚仍可达102.2mm,同MPR联合应用可很好显示动脉瘤颈与载瘤血管 的关系,其价值超过单用MRA或DSA,并认为这一技术可替代DSA作为动脉瘤手术前首选的检 查方法。本组有5例经MRA检查诊断动脉瘤后,因瘤体的部位、形态及与载瘤血管的关系明确 ,所以未经DSA检查而直接手术治疗。这在文献中也少见报道[13]。应用MRA诊断颅 内动脉瘤具有乐观的前景,但是,目前MRA能否替代DSA仍不能确定,还有待进一步研究。
, 百拇医药
参考文献
1,Atlas SW. MR angiography in neurologic disease. Radiology , 1994, 193:1
2,Khanna RK, Malik GM, Qureshi N. Predicting outcome following surg ical treatment of unruptured intracranial aneurysm: A propoed grading system. J Neurosurg, 1996, 84:49
3,Huston, Nichols DA, Luetmer PH,et al. Blinded prospective evaluat ion of sensitivity of MR angiography to konw intracranial aneurysms: Importance of aneurysm size. AJNR, 1994, 15:1607
, http://www.100md.com
4,Horikoshi T, Fukamachi A, Nishi H,et al. Detection of intracrania l aneurysms by three-dimensional time-of-flight magnetic resonance angiog raphy. Neuroradiology, 1994, 36:203
5,Korogi Y, Takahashi M, Mabuchi N,et al. Intracranial aneurysms: D iagnostic accracy of MR angiography with evaluation of maximum intensity project ion and source images. Radiology, 1996, 199:199
6,Tae-sub Chung, Jin-yang Joo, Seung-koo Lee,et al. Evaluation o f cerebral aneurysms with high-resolution MR angiography using a section-inter polation technique: Correlation with digital subtraction angiography. AJNR, 1999 , 20:229
, 百拇医药
7,Ross JS, Masaryk TJ, Modic MT,et al. Intracranial aneurysms: Eval uation by MR angiography. AJNR, 1990, 11:449
8,Uberoi R, Murphy P, Jones A,et al. The “pituitary pseudoaneurysm ” artefact with 3D TOF MRA of the circle of willis. J Comput Assist Tomogr, 199 5, 19:822
9,Anzalone N, Triulzi F, Scotti G. Acute subachnoid hemorrhage: 3D time-of-flight MR angiography versus intra-arterial digital angiography. Ne uroradiology, 1995, 37:257
, 百拇医药
10,Wilcock DJ, Jaspan T, Worthington BS. Probelems and pitfalls of 3D TOF m agnetic resonance angiography of the intracranial circulation. Clin Radiol, 1995 , 50:526
11,Sankhla SK, Gunawardena WJ, Coutinho CM,et al. Magnetic resonance arteri ography in the management of aneurysmal subarachnoid hemorrhage: A study of 51 c ases. Neuroradiology, 1996, 38:724
12,Ida M, Kurisu Y, Yamashita M. MR angiography of ruptured aneurysms in ac ute subachnoid hemorrhage. AJNR, 1997, 18:1025
13,Parenti G, Fiori L, Gasparotti P. Ruptured cerebral aneurysms operated o n with only MRA: Reports of two cases. J Neurosurg Sci, 1995, 39:21
(收稿: 2000-03-23), 百拇医药
单位:王效恩(050000 石家庄,河北医科大 学第二医院放射科);刘怀军(050000 石家庄,河北医科大 学第二医院放射科);王藏海(050000 石家庄,河北医科大 学第二医院放射科);杨桦(050000 石家庄,河北医科大 学第二医院放射科);王永生(050000 石家庄,河北医科大 学第二医院放射科)
关键词:颅内动脉瘤;磁共振血管成像;脑血管造影;比较研究
临床放射学杂志000803 【摘要】 目的 探讨3D TOF MRA诊断颅内动 脉瘤的价值。 材料与方法 经手术治疗36例颅内动脉瘤患者,均用1.5 T超导MR系统3D TOF法作MRA检查,其中31例经DSA检查。MRA显示动脉瘤的部位、大小、形态 、动脉瘤颈以及瘤体与载瘤血管的关系并与DSA进行比较分析。 结果 36例共36个动脉瘤,MRA检查发现33个,敏感性91 .7%。大小2~27mm。MRA显示动脉瘤的部位、大小和形态同DSA基本一致。综合观察靶MIP、M PR和原始像能清楚显示33个瘤颈和瘤体与载瘤血管的关系;而单用MIP能显示26个(26/33,7 8.8%)瘤颈和29个(29/33,87.9%)载瘤血管。DSA能显示28个(28/31,90.3%)载瘤血管。5例 仅经MRA检查确诊后直接手术治疗。 结论 3D TOF MRA诊断颅内动脉瘤具有较高的敏感性和 特异性。有时综合MIP、MPR和原始像评价瘤颈和载瘤血管优于DSA。典型的动脉瘤经3D TOF MRA诊断后可直接手术治疗。
, 百拇医药
Diagnosis of Intracranial Aneurysms with MRA: A Comparative Stu dy of MRA with DSA
WANG Xiaoen, LIU Huaijun, WANG Canghai
(Department of Radiology, No.2 Hospital of Hebei Medical University, Shijiazhu ang, Hebei Province 050000, P.R.China)
【Abstract】 Objective To evaluate 3D TOF MRA in diagnos ing cerebral aneurysms. Materials and Methods 3D TOF MRA was performed, u sing a 1.5T superconductive MR unit, in 36 cases with cerebral aneurysm, of whic h 31 cases underwent additional DSA. The findings on MRA and DSA, including the site, size, shape, neck and parent vessels of the aneurysms, were compared. Results Of 36 patients with cerebral aneurysm, 33 were detected by MRA, with a sensitivity of 91.6% and size of 2~27mm. 3D TOF M RA was basically the same as DSA in showing the site, size and shape of the aneu rysms. When target MIP, MPR and source images were combined in observation, the aneurysmal neck and parent vessel in all 33 cases could be well identified, whil e only 26 necks (81.8%) and 29 parent vessels (87.9%) could be identified with M IP alone. DSA revealed 28 (28/31, 90.3%) parent vessels. Five cases underwent su rgery when the diagnosis was confirmed by MRA. Conclusion 3D TOF MRA has high sensitivity and sp ecificity in detecting cerebral aneurysm. Combination of MIP, MPR and source ima ges will be superior to DSA in demonstrating aneurysmal neck and parent vessels.
, 百拇医药
【Key words】 Aneurysm,intracranial MRA Ce rebral angiography Comparative study
颅内动脉瘤是严重危害人类健康的脑血管病之一,磁共振血管成像(MRA)作为一种新的无创 伤性评价颅内动脉瘤的方法日益受到重视。有关专题研究国外报道较多,国内仅见零星报告 。本文对经手术治疗36例颅内动脉瘤的三维时间飞跃法MRA(3D TOF MRA)进行评价,其中31 例行DSA检查以作比较分析。旨在探讨TOF MRA诊断颅内动脉瘤的价值与限度,同时提高对颅 内动脉瘤的MRA原始像、多平面重建(MPR)和最大强度投影(MIP)像进行综合观察分析的能力 。
1 材料与方法
男19例,女17例,年龄19~72岁,平均43.1岁。临床主要表现为头痛9例,动眼神经麻痹10 例,蛛网膜下腔出血17例(1次或多次)。36例均作颅脑MRI和3D TOF MRA检查,其中31例在MR A检查后3小时~7天行DSA检查,5例在MRA检查后未作DSA检查而直接择期手术治疗。
, 百拇医药
使用东芝公司1.5T Visart磁共振仪。选用QD头部线圈,常规应用FSE(TR/TE=1000ms/108ms) 像矢状位和横轴位双定位,行横轴位及矢状位T1及T2WI扫描。T1WI SE序列,TR/TE=5 00ms/15ms;T2WI用FSE序列,TR/TE=4000ms/108ms;扫描层厚5~6mm,层间距0.1~1.2mm 。本组无增强扫描。3D TOF MRA应用正中矢状位及横轴位像双定位,片层的ROI底边位于垂 体腺下缘下方1~2cm处,层面为横轴位。采用东芝Visart系统提供的多层覆盖技术(multi- coverage)、层选择饱和传递对比技术(SORS-STC)和异同激发血管增强技术(ISCE)以提高血 管成像质量。
Multi-coverage是应用多层薄片连续扫描代替一厚层覆盖视场的设置,因为每一层厚度可 设为一小值,可得到高TOF效果的图像。本组采用1~3个层块采集,1个层块厚45mm,重叠10 ~15层,1次MIP重建。SORS-STC,RF脉冲呈层片选择方式以抑制大脑实质的信号,而血流 信号则几乎不受STC所致信号抑制的影响,从而减弱背景,提高血管信号。ISCE是对选择性 激励用一倾斜图像代替传统的平面图像,设置一图像在流入侧用小翻转角而在流出侧用大翻 转角,使一个层面内血流信号强度变得均匀,改进了层面流出一边的血管信号。采用流入边 和流出边翻转角的比率为1∶2,特定翻转角为20°。其他检查参数:TR 39ms,TE 6.8ms ,激励1次,视野18.0cm×19.0cm,矩阵192×256,层厚0.9mm,共采集80~112层。成像 时间7分18秒~13分4秒。然后用MIP后处理技术重建和旋转血管图像。必要时采用靶MIP技术 、选择背景抑制(BEST)和MPR技术作图像处理。同时注重对MRA的原始像、MPR和MIP像进行综 合复习观察。
, 百拇医药
DSA检查设备为东芝公司30B DSF-2000A血管造影系统。31例患者均经股动脉穿刺插管进行 选择性全脑血管造影检查。
分析项目:MRI所见,3D TOF MRA显示动脉瘤的部位、大小、形态、瘤颈以及瘤体与载瘤血 管的关系是否清楚。以上各项同DSA比较分析。
2 结果
36例发现动脉瘤36个,均为单发。MRA发现33个动脉瘤,3个漏诊,敏感性91.7%。漏诊的3例 均因并发亚急性期较大量的蛛网膜下腔出血,动脉瘤被出血影掩盖不能显示,后经DSA检 查发现。36个动脉瘤中,17个发生破裂(1次或多次),19个未发生破裂。
部位: 颈内动脉(C1~C4)7个,大脑中动脉(M1~M2)9个,大脑前动脉(A1~A3 )6个,前交通动脉7个,后交通动脉5个,大脑后动脉2个。MRA显示动脉瘤的部位同DSA检查 及手术所见完全一致。
, 百拇医药
大小: 5mm以下8个,6~10mm 15个,11~20mm 11个,大于20mm 2 个。28个动脉瘤MRA同DSA比较,26个MRA能清楚准确地显示动脉瘤的大小和轮廓;2例因动脉 瘤呈分叶状其内有血栓及血流紊乱,MRA显示动脉瘤轮廓欠清楚并较DSA显示略小。5例经MRA 检查因动脉瘤的部位、形态典型而直接行手术治疗,大小与手术所见相符。MRA显示动脉瘤 大小正确率为93.9%。
形态: 囊状17个,浆果状9个,梭形3个,分叶状7个。28个动脉瘤中26个形态与DSA相一致 。2个与DSA不一致,其中1个DSA显示有子囊,MRA未发现;另1个则MRA呈分叶状发现子囊而D SA未显示。仅作MRA的5例动脉瘤形态与手术所见一致。
动脉瘤颈的情况: 36例动脉瘤患 者,MRA发现的33例(个)动脉瘤中,单纯利用MRA的MIP像能较清楚确定26个(78.8%)瘤颈的情 况,即有或无颈,如有颈再确定颈的宽窄。但在综合观察MRA的靶MIP旋转像、MPR以及原始像后,MRA能完全清楚确定瘤颈的情况。
, 百拇医药
图1~5 患者,男 。蛛网膜下腔出血、右额血肿21天。
图1:DSA显示右侧颈内动脉C2段内侧壁16mm浆果状动 脉瘤,无法确定与后交通动脉的关系。
图2:MRI显示动脉瘤内血栓,额部出血。
图3:MRA的 MIP像。
图4、5:冠状及轴位MPR像较DSA及MIP像更清楚显示动脉瘤颈、瘤颈与颈内动脉和后 交通动脉的关系,瘤内低信号为血栓
, 百拇医药
图6~8 患者,女,46岁。既往有蛛网膜下腔出血史。
图6:DSA示哑铃 形前交通动脉动脉瘤。
图7:MIP像示右侧大脑前动脉A1段先天缺如,右侧大脑前动脉通过 瘤状扩张的前交通动脉供血。
图8:MPR像显示前交通动脉呈哑铃形扩张与双侧大脑前动脉的 关系较DSA及MIP像更清楚
动脉瘤与载瘤血管的关系: 单纯观察MRA的MIP像(4/33)和DSA(3/31)均不能完好地显示动脉 瘤与载瘤血管的关系。本组33例(个)动脉瘤,在综合观察MRA的MIP像、靶MIP像、原始像及M PR像的情况下,能清楚显示动脉瘤与载瘤血管的关系,甚至有时MPR像较DSA更清楚,因为没 有重叠影像(图1~5)。
, http://www.100md.com
MRI所见: 15例可在T1和T2WI上显示有异常的“流空信号簇”,其内流空信号有的不均 匀可见血栓形成(图2)。11例伴有蛛网膜下腔出血征象,9例伴有脑梗塞,11例未见异常。
3 讨论
颅内动脉瘤发病率占人群的1%~4%,估计每年无症状动脉瘤破裂而引起蛛网膜下腔出血的比 率为0.5%~2.0%,急性蛛网膜下腔出血患者,2周内死亡率50%,而经手术修补未破裂的动脉 瘤患者,动脉瘤破裂的发生率和死亡率均低[1,2]。降低动脉瘤患者的死亡率,在 动脉瘤破裂前发现是关键。MRA作为一种新的无创性评价颅内动脉瘤的方法,发展十余年来 其价值日益受到重视,成像技术日趋完善。目前,最常用的颅内MRA检查方法主要基于2种技 术:时间飞跃法(time of flight,TOF)和相位对比法(phase contrast,PC)。本组36例动脉 瘤患者,均应用3D TOF技术进行颅内血管成像。文献研究报告,应用3D TOF MRA是显示动脉 瘤的首选技术,因其已经显示出比PC法对颅内动脉瘤更敏感[3]。3D TOF法显示颅 内动脉瘤的敏感性以往文献报告为55%~93%[3,4]。影响敏感性的因素主要有:一 是成像技术方法,参数的选择;二是动脉瘤的大小。显示动脉瘤的临界大小定为5mm,此值 以下的敏感性为56%,以上为85%[3,5]。本组36例动脉瘤同DSA和手术对比,3D TO F MRA显示动脉瘤的敏感性为91.7%。3例漏诊中2例为前交通动脉瘤,呈囊状,大小为4mm和1 1mm;1例为左侧大脑前动脉A2近端动脉瘤,囊状,6mm。最近文献报道应用高分辨率MRA选 择插入技术显示颅内动脉瘤,同DSA结果比较具有相等的敏感性(97%)[6]。
, 百拇医药
值得指出的是,MRA以往被理解为主要是评价MIP像。MIP像是采用最大信号投影技术处理原 始图像,仅代表最高信号的象素完全投影而使血管成像。但是,这种方法的限度变得日益突 出。目前强调应用MRA进行脑血管疾病的诊断要对MRA的原始像、SE像、MPR像和MIP像进行综 合复习观察。在一项研究中,当原始像、SE像和MIP像联合观察时,3D TOF MRA诊断颅内动 脉瘤的敏感性从67%提高到86%[7]。复习原始像和SE像也有助于准确判断与动脉血 流无关的高信号区域,如垂体后叶和副鼻窦含蛋白潴留囊肿,可能在MIP像中类似动脉瘤, 但其在原始像和SE像中有其特殊定位以利确诊[8]。原始像、仅含动脉瘤和载瘤血 管的靶MIP像、MPR像以及SE像的综合观察可减少血管重叠,很好显示动脉瘤的准确结构(图6 ~8)。最近Tae-sub Chung等[6]报道,共同应用MRA的MIP像和MPR像成功显示全部 39个(100%)动脉瘤的颈部及颈部和载瘤血管的关系;而仅用MIP像的MRA成功显示27个(69%) ,DSA成功显示32个(82%)。在评价动脉瘤颈部和载瘤血管的关系方面,联合应用MRA的MIP像 和MPR像远超过单用MRA的MIP像或DSA。本组的结果也说明了这一点。
, http://www.100md.com
颅内动脉瘤破裂是蛛网膜下腔出血的主要原因。虽然MRA已经应用于急性蛛网膜下腔出血的 颅内动脉瘤的诊断,但是目前仍然存在以下问题:(1)MRA分辨力还不能完全满足手术前显示 动脉瘤颈和动脉瘤与载瘤血管关系的要求[9]。 (2)MRA还缺乏令人信服的除外第2 个动脉瘤存在的敏感性(发现第1个动脉瘤患者,其中20%同时患有第2个动脉瘤)。 (3)亚急 性出血含正铁血红蛋白产生一个短T1效应在TOF MRA像可能酷似流动血流[10], 削弱敏感性和特异性。 (4)急性蛛网膜下腔出血患者,会因患者移动而使MRA图像质量降低 [11]。本组36例中,在行MRA检查时有11例伴发急性蛛网膜下腔出血,其中3例因作 MRA检查时距发病时间较长(3~5天),且出血量较大,呈短T1高信号的蛛网膜下腔出血影 掩盖了动脉瘤和局部血管而漏诊。另外8例,经MRA检查诊断动脉瘤,其中6例行DSA检查,2 例直接手术。笔者认为在急性蛛网膜下腔出血情况下,提高MRA诊断颅内动脉瘤的准确性, 重点在于:(1)应用高分辨率MRA; (2)尽可能缩短扫描时间以减轻因患者移动而使MRA图像 质量降低的影响; (3)最好在出血未产生短T1效应(24~48小时)之前检查; (4)当出血产 生短T1效应时可应用3D PC法MRA检查。有研究报道应用高分辨率MRA并运用MTS和TONE技术 显示伴有急性蛛网膜下腔出血的动脉瘤敏感性为90%,特异性100%[12]。Tae-sub Chung等[6]报道应用高分辨率MRA并运用选择插入技术能缩短40%的检查时间,扫描 时间7分41秒,而扫描块厚仍可达102.2mm,同MPR联合应用可很好显示动脉瘤颈与载瘤血管 的关系,其价值超过单用MRA或DSA,并认为这一技术可替代DSA作为动脉瘤手术前首选的检 查方法。本组有5例经MRA检查诊断动脉瘤后,因瘤体的部位、形态及与载瘤血管的关系明确 ,所以未经DSA检查而直接手术治疗。这在文献中也少见报道[13]。应用MRA诊断颅 内动脉瘤具有乐观的前景,但是,目前MRA能否替代DSA仍不能确定,还有待进一步研究。
, 百拇医药
参考文献
1,Atlas SW. MR angiography in neurologic disease. Radiology , 1994, 193:1
2,Khanna RK, Malik GM, Qureshi N. Predicting outcome following surg ical treatment of unruptured intracranial aneurysm: A propoed grading system. J Neurosurg, 1996, 84:49
3,Huston, Nichols DA, Luetmer PH,et al. Blinded prospective evaluat ion of sensitivity of MR angiography to konw intracranial aneurysms: Importance of aneurysm size. AJNR, 1994, 15:1607
, http://www.100md.com
4,Horikoshi T, Fukamachi A, Nishi H,et al. Detection of intracrania l aneurysms by three-dimensional time-of-flight magnetic resonance angiog raphy. Neuroradiology, 1994, 36:203
5,Korogi Y, Takahashi M, Mabuchi N,et al. Intracranial aneurysms: D iagnostic accracy of MR angiography with evaluation of maximum intensity project ion and source images. Radiology, 1996, 199:199
6,Tae-sub Chung, Jin-yang Joo, Seung-koo Lee,et al. Evaluation o f cerebral aneurysms with high-resolution MR angiography using a section-inter polation technique: Correlation with digital subtraction angiography. AJNR, 1999 , 20:229
, 百拇医药
7,Ross JS, Masaryk TJ, Modic MT,et al. Intracranial aneurysms: Eval uation by MR angiography. AJNR, 1990, 11:449
8,Uberoi R, Murphy P, Jones A,et al. The “pituitary pseudoaneurysm ” artefact with 3D TOF MRA of the circle of willis. J Comput Assist Tomogr, 199 5, 19:822
9,Anzalone N, Triulzi F, Scotti G. Acute subachnoid hemorrhage: 3D time-of-flight MR angiography versus intra-arterial digital angiography. Ne uroradiology, 1995, 37:257
, 百拇医药
10,Wilcock DJ, Jaspan T, Worthington BS. Probelems and pitfalls of 3D TOF m agnetic resonance angiography of the intracranial circulation. Clin Radiol, 1995 , 50:526
11,Sankhla SK, Gunawardena WJ, Coutinho CM,et al. Magnetic resonance arteri ography in the management of aneurysmal subarachnoid hemorrhage: A study of 51 c ases. Neuroradiology, 1996, 38:724
12,Ida M, Kurisu Y, Yamashita M. MR angiography of ruptured aneurysms in ac ute subachnoid hemorrhage. AJNR, 1997, 18:1025
13,Parenti G, Fiori L, Gasparotti P. Ruptured cerebral aneurysms operated o n with only MRA: Reports of two cases. J Neurosurg Sci, 1995, 39:21
(收稿: 2000-03-23), 百拇医药