当前位置: 首页 > 期刊 > 《临床放射学杂志》 > 2000年第10期
编号:10264632
CT检查对中晚期食管癌分期的意义
http://www.100md.com 《临床放射学杂志》 2000年第10期
     作者:龚承友 邵康为 范晓

    单位:龚承友(200336 上海市长宁区中心医院放射科);邵康为(200336 上海市长宁区中心医院放射科);范晓(200336 上海市长宁区中心医院放射科)

    关键词:食管肿瘤;体层摄影术,X线计算机;分期

    临床放射学杂志001007 【摘要】 目的 分析CT检查对中晚期食管癌分期的意义。 材料与方法 搜集我院作CT扫描并经手术或放疗的中晚期食管癌患者53例,研究其CT征象和手术病理所见,分析病变对邻近脏器侵犯的特征,以及转移淋巴结的显示情况。根据1976年我国制定的食管癌临床分期标准,结合CT和手术结果分期,53例中,Ⅱ期13例,Ⅲ期31例,Ⅳ期9例。 结果 CT能精确显示食管壁的增厚程度,对邻近脏器侵犯的估计与手术对照正确率达85%以上,对局部和远处淋巴结显示的敏感性低于70%,对远处脏器的转移只要扫描范围充分,均能明确诊断。 结论 术前CT检查对食管癌分期、手术可切除性、放疗的重点和范围,以及预后的估价有重要意义。
, http://www.100md.com
    CT Role in Staging Intermediate and Advanced Esophageal Carcinoma

    GONG Chengyou,SHAO Kangwei,FAN Xiaoyu.

    (Department of Radiology, Central Hospital of Changning District, Shanghai 200336, P.R.China)

    【Abstract】 Objective To evaluate CT examination for the staging of intermediate and advanced esophageal carcinoma. Materials and Methods CT and pathological findings in 53 patients with intermediate or advanced esophageal carcinoma, who had received surgery or radiotherapy, were analyzed. An analysis concerning neighboring invasion and lymphatic metastases was made. Results CT could well display the thickened esophageal wall and correctly estimate the invasion of neighboring organs with over 85% agreement with surgery results. The sensitivity of showing local and distant lymph node was less than 70%. Distant metastases could be well demonstrated only if the scanning range was large enough. Conclusion CT examination plays an important role in staging and estimation of resectability of esophageal carcinoma, and also it is very helpful for determining the extent and key area of radiation therapy to be given and for estimating the prognosis.
, 百拇医药
    【Key words】 Esophageal tumor Tomography,X-ray computed Staging

    食管癌诊断的首选方法仍然是食管吞钡和食管镜检查。CT在早期食管癌的诊断中意义不大。但对于中晚期食管癌,CT能显示病灶与周围结构的关系,观察增大的淋巴结,发现远处脏器的转移。因此,对食管癌的分期、治疗手段的选择及预后评估等方面都十分重要。笔者较详细地分析了食管癌外侵的CT征象和可靠性,以及CT对转移淋巴结检出的敏感性。

    1 材料与方法

    搜集1993年1月~1998年12月在我院行CT检查,并经手术或食管镜证实的中晚期食管癌患者53例。男47例,女6例。年龄47~76岁,平均64.3岁。临床上以消瘦、进食困难为主要症状。所有患者CT扫描前均进行食管吞钡和食管镜检查。

    采用GE Hispeed CT/i机及Philips CX/Q型CT机。禁食12小时,扫描前10分钟肌注654-2 10mg。食管下段癌累及贲门者应服清水充盈胃腔,常规法胸部扫描;中下段食管癌加扫上腹部;上段食管癌加扫颈部。团注80~100ml对比剂直接增强扫描。摄片采用包括全纵隔区的局部放大像,并摄肺窗显示全肺野。观察分析以下项目,以Halvorsen[1]标准测量管壁厚度,大于5mm为增厚;观察病灶外侵情况,主要与心包、主动脉、肺动脉、气管主支气管的界面关系;寻找局部和远处增大的淋巴结;发现肝、胰、肾上腺以及肺部的转移灶。
, 百拇医药
    2 结果

    53例食管癌中,管壁增厚长度3~13cm,与食管吞钡片显示的病灶长度一致。管壁厚度5~19mm,壁外不光整,与周围结构界面不清者38例,占71.7%。与44例手术结果作对照,CT显示外侵征象的正确率见附表。

    附表 44例食管癌外侵CT确认与手术对照 受累器官

    CT确认(例)

    手术确认(例)

    正确率(%)

    主动脉

    13

    11

    84.6
, 百拇医药
    肺动脉

    9

    7

    77.8

    心包

    5

    4

    80

    奇静脉

    5

    4

    80

    气管支气管

    10
, 百拇医药
    8

    80.0

    53例中,CT发现淋巴结增大31例,占58.5%,44例手术切除淋巴结阳性者30例,而CT仅检出20例,检出率为66.7%。根据1976年我国制定的食管癌临床分期标准[2~4],结合CT和手术两种结果分期为:Ⅱ期13例,Ⅲ期31例,Ⅳ期9例。

    3 讨论

    CT对食管癌灶的显示,与传统的食管钡造影比较,CT的主要优点是能够显示管壁的厚度和管壁外的界面,可直接进行厚度测量,对病变长度的估价与食管钡造影基本一致。但管外肿块只有CT才能显示。

    CT对食管癌扩展的估价具有重要的临床意义。食管缺少浆膜层,且引流淋巴异常丰富,因此易导致直接侵犯邻近脏器和转移。食管癌随着病变的进展终将穿破肌层向管外侵犯,最常被直接侵犯的脏器有主动脉、肺动脉干、奇静脉、气管支气管、心包等。判断食管癌侵犯这些器官的标准有:外壁不光整,脂肪层消失,与邻近器官界面不清,附着面增宽以及局部有软组织增厚及肿块[5,6]
, 百拇医药
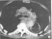
    关于主动脉和奇静脉受侵。正常食管直接贴于主动脉弓后面,向下逐渐移行于降主动脉前内侧,全长均有脂肪层包绕。Plcus等[3]提出一个主动脉侵犯的标准,即以主动脉横截面为圆圈,肿瘤与此圆周接触面大于90°者肯定有侵犯;小于45°者无侵犯;60°~70°之间则不确定(图1、2)。笔者认为这个标准有一定参考价值。但当患者消瘦、食管周围脂肪层消失时,CT则难以判断。另外,在胸8以下层面,当食管左侧壁纵隔胸膜面受侵增厚时,食管与主动脉分界不清,容易造成主动脉侵犯的假象。本组中2例有此征象,术前疑有主动脉侵犯,结果与手术不符。奇静脉位于食管右前方,紧贴食管上行,在隆突上方跨越右侧主支气管注入上腔静脉。由于奇静脉很细小,CT扫描时往往容易忽视。本组有7例术中发现有不同程度的侵犯,给手术带来了一定难度。所以当奇静脉与肿瘤界面不清,外壁不光整,或在肿瘤凸面奇静脉有湮没现象时应当作出奇静脉受侵的诊断。

, 百拇医药     图1 食管癌与主动脉分界不清,接触面小于90°,手术证实主动脉未见侵犯

    图2 食管癌与主动脉紧贴,接触面大于90°,手术证实主动脉受侵,无法切除

    判断心包或肺动脉受侵时,应在与肿瘤临界段作2~5mm的薄层扫描,以减少心包弧形后缘容积效应的影响。当心包和肺动脉受侵时,可见它们与肿瘤相连,甚至被肿块浸润包绕。

    气管支气管侵犯。在气管分叉以上,食管前壁与气管借疏松结缔组织相连,二者之间缺乏脂肪层,气管后壁表现为扁平或凸隆,如有向内不规则凹入,或被肿块推压移位,气管旁肿瘤组织充填改变,均可考虑有气管侵犯[4,7](图3)。主支气管后壁与肿块分界不清且有扁平改变时也应考虑受侵,严重时管壁增厚狭窄或穿透瘘道形成(图4)。
, 百拇医药
    图3 食管癌包绕隆突,侵犯气管分叉部

    图4 食管癌纵隔瘘,后纵隔内含气脓腔形成

    纵隔炎形成是食管癌穿孔的重要并发症之一,常规检查不易发现,而CT是显示病灶的良好手段。本组有2例食管穿孔后纵隔内脓肿形成。

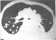
    淋巴结转移和远处转移。上段食管癌主要转移至肺门和颈部淋巴结;中段食管癌主要转移至肺门和主动脉旁淋巴结;下段食管癌主要转移至食管旁,贲门及胃左动脉区淋巴结[6,8]。笔者结合本组病例,观察了胸部CT扫描正常的30份片子,在食管旁区没有发现大于5mm的淋巴结,目前诊断淋巴结增大的标准仍为大于10mm。本组CT检查发现有淋巴结转移的病例与手术切除淋巴结病理结果对照,正确率为66.7%,说明CT确定淋巴结转移仍有一定限度。本组发现4例远处转移,肝脏2例,肺和肾上腺各1例(图5)。
, http://www.100md.com
    图5 食管癌肺转移,两肺下叶结节灶

    本组CT检查发现食管癌有明显多脏器受侵13例,手术中有7例不能切除,说明CT检查发现食管癌对邻近脏器有明显侵犯时,半数以上不能手术切除;发现远处转移更不宜手术治疗。故Wegener[9]指出,无论食管癌发生于哪一段,CT扫描均应包括膈下胃底周围、腹腔干和肝十二指肠韧带区域。

    参考文献

    [1]Halvorsen RA, Habib KM, Foster WL,et al. Esophageal cancer staging by CT: Long-ter follow study. Radiology, 1986, 161:147

    [2]汤钊猷,主编.现代肿瘤学.上海:上海医科大学出版社, 1993,455
, 百拇医药
    [3]Plcus D, Balfe DM, Koehler RE,et al. Computed tomography in the staging of esophageal carcinoma. Radiology, 1983, 146:433

    [4]Rabkin LKH, Ludin AL, Languyazova DR,et al. The role of computed tomography in preoprative evaluation of disseminated esophageal cancer. Gru Serdechnososusdistaia Khir, 1990, 4:52

    [5]李果珍,主编.临床CT诊断学.北京:中国科学技术出版社, 1994,485

    [6]Pezzi A, Mattiolis DI, Simone MP,et al. Imaging techniquesis the staging of carcinoma of the esophagus. Radiol Med Torino, 1991, 81:446
, 百拇医药
    [7]Sharma OP, Chandermhan, Mashankar AS,et al. Role of computed tomo-graphy in preoprative evaluation of esophageal carcinoma. Indian J Cancer, 1994, 31:12

    [8]Sondena K, Skane P, Nygard K,et al. Value of computed tomography in preprative evaluation of resectability and staging in esophageal carcinoma. Enr J Surg, 1992, 158:537

    [9]Wegener OH. Whole body computed tomography. Second Edition, Boston Blackwell Scientific Publications, 1992, 317

    (收稿: 1999-05-05 修回: 2000-06-26), http://www.100md.com