垂体瘤出血和炎症出血的MR诊断与鉴别诊断
作者:葛焕祥
单位:葛焕祥(310013 杭州,浙江医院放射科)
关键词:
临床放射学杂志001022 回顾1995年1月~1996年12月间9例垂体瘤出血(hemorrhagic pituitary adenoma,HPA)和1例流行性出血热(epidemic hemorrhagic fever,EHF)引起的垂体出血病例的临床资料和MRI表现,探讨HPA和EHF引起的垂体出血的MR诊断和鉴别诊断。
1 材料与方法
本组HPA9例。男5例,女4例,年龄26~64岁。单侧或双侧视力障碍7例,头痛、呕吐2例,内分泌功能异常2例。EHF引发的垂体出血1例,男,44岁。持续高热、头晕、呕吐6天,右眼视野缺损3天入院。实验室检查抗EHF1:320,经抗病毒和对症治疗后3天症状明显好转,半月后右眼视野缺损逐渐恢复。
, 百拇医药
采用西门子Magnetom P8磁共振成像仪,场强0.2T。成像序列自旋回波(SE),扫描参数:T2WI:TR=2500ms,TE=120ms;T1WI:TR=300ms,TE=20ms。层厚4mm,矩阵196×256。全部病例均作冠状面、矢状面、横断面成像。1例EHF引起的垂体出血在平扫后作Gd-DTPA增强T1WI。
2 结果
9例HPA瘤体最小1.0cm×1.8cm,最大3.8cm×5.0cm。边界光整,肿瘤呈椭圆形2例,不规则7例。1例EHF引起的垂体血肿2.0cm×2.2cm,形态不规则。
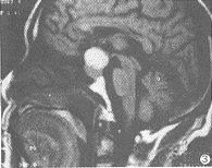
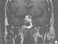
MRI信号特征:9例HPA瘤体在T1WI和T2WI均呈高信号。在T1WI上,6例呈均匀一致的高信号(图1),其余3例呈不均匀的高信号。1例表现散在点状高信号,1例瘤体中心高信号(图2),1例瘤体上半部分高信号,下半部分等信号(图3),。1例EHF引起的垂体出血在T1WI和T2WI呈不均匀的高信号,Gd-DTPA后见血肿轮廓明显强化,肿胀垂体实质略有不均匀强化(图4)。1个月后复查,肿大垂体已明显缩小,大小0.6cm,信号均匀(图5)。
, 百拇医药
图1 HPA。T1WI矢状位,瘤体呈均匀高信号
图2 HPA。T1WI矢状位,瘤体中心呈高信号,周围等信号
图3 HPA。T1WI矢状位,瘤体上半部呈高信号,瘤体下半部等信号
图4 男,44岁。抗EHF1:320,T1WI冠状位,静脉注射Gd-DTPA后
血肿轮廓明显强化,肿胀垂体实质不均匀强化
, 百拇医药
图5 与图4同一患者。1个月后MRI,T1WI冠状位,肿胀垂体明显缩小,信号正常
邻近结构影响:上述10例中有8例肿块突入鞍上池,视交叉上抬。5例垂体瘤向海绵窦内扩展,一侧海绵窦受累,颈内动脉包裹3例;两侧海绵窦受累、颈内动脉包裹2例。9例HPA均见蝶鞍增大,鞍底对称或不对称下陷。
3 讨论
3.1 HPA的诊断
HPA一般认为是肿瘤膨胀性生长,将其压迫于鞍隔开口所致[1],也可自发或继发于放射治疗。临床上常有急性症状,如突发头痛,呕吐,视力下降或失明,原有症状加重等。本组有2例在MR检查前2天曾出现上述症状。HPA的MRI表现为鞍内肿块,边界光整,呈椭圆形或不规则形[2]。肿块突入鞍上池,视交叉上抬;两侧海绵窦受累,颈内动脉包裹。亚急性和慢性出血的MRI有特征性,在T1WI和T2WI上呈高信号[2]。本组6例HPA呈均匀一致的高信号,其余3例HPA呈不均匀的高信号。分别表现为:散在点状,瘤体中心高信号和瘤体上半部分高信号,下半部分等信号。文献报道也有出血的瘤体上、下分层征象[2]。其中1例瘤体中心出血在MRI随访中,先后经历出血-囊变-再出血的过程,在T1WI上表现为高信号-水样信号-高信号。从出血至囊变,再由囊变至出血两个阶段相隔8个月。
, 百拇医药
3.2 HPA的鉴别诊断
就MRI征象而言,凡鞍内出血性病变,不论是肿瘤,还是炎症或其他性质,在T1WI均表现为高信号肿块,信号可以均匀,也可以不均匀。因此HPA须与下列疾病鉴别:(1)EHF引起的垂体出血。EHF是由出血热病毒引起的由鼠类传播给人的自然疫源性疾病。基本的病理改变是病毒直接引起全身小血管和毛细血管损伤,血管通透性增高,导致全身多器官和组织充血、水肿、出血,其中以肾脏、心脏和垂体的病变最为突出。本组1例就是以垂体出血为最明显,受累垂体明显肿胀、增大伴有广泛出血。其MRI征象和HPA相似,此例在第1次MR检查时曾误诊断为HPA。因此明确诊断必须结合病史、实验室检查和影像学随访。(2)原发性鞍内血肿。原发性鞍内血肿很少见,国外文献曾有1例报道[3],手术结果鞍内未见肿瘤及血管异常。(3)垂体脓肿合并出血。垂体脓肿报道不多,国内文献报道1例[4],在T1WI上表现为稍低信号,T2WI呈高信号,术后MR复查,在T1WI病变出现高信号,提示脓肿合并出血。
, 百拇医药
参考文献
[1]陈星荣,沈天真,段承祥,等主编.全身CT和MRI.上海:上海医科大学出版社, 1994, 181
[2]Kannuki S, Bando K, Shirakawa N,et al. MRI findings and endocrinological dysfunction in hemorrhagic pituitary adenoma. No Shinkei Geka, 1993, 21:1005
[3]Saito K, Takayasu M, Akabane A,et al. Primary chronic intrasellar haematoma: A case repory. Acta Neurochir, 1992, 114:147
[4]徐文坚,张云亭,白人驹,等.垂体脓肿一例影像学诊断.中华放射学杂志, 1998, 32:785
(收稿:1999-11-08), 百拇医药
单位:葛焕祥(310013 杭州,浙江医院放射科)
关键词:
临床放射学杂志001022 回顾1995年1月~1996年12月间9例垂体瘤出血(hemorrhagic pituitary adenoma,HPA)和1例流行性出血热(epidemic hemorrhagic fever,EHF)引起的垂体出血病例的临床资料和MRI表现,探讨HPA和EHF引起的垂体出血的MR诊断和鉴别诊断。
1 材料与方法
本组HPA9例。男5例,女4例,年龄26~64岁。单侧或双侧视力障碍7例,头痛、呕吐2例,内分泌功能异常2例。EHF引发的垂体出血1例,男,44岁。持续高热、头晕、呕吐6天,右眼视野缺损3天入院。实验室检查抗EHF1:320,经抗病毒和对症治疗后3天症状明显好转,半月后右眼视野缺损逐渐恢复。
, 百拇医药
采用西门子Magnetom P8磁共振成像仪,场强0.2T。成像序列自旋回波(SE),扫描参数:T2WI:TR=2500ms,TE=120ms;T1WI:TR=300ms,TE=20ms。层厚4mm,矩阵196×256。全部病例均作冠状面、矢状面、横断面成像。1例EHF引起的垂体出血在平扫后作Gd-DTPA增强T1WI。
2 结果
9例HPA瘤体最小1.0cm×1.8cm,最大3.8cm×5.0cm。边界光整,肿瘤呈椭圆形2例,不规则7例。1例EHF引起的垂体血肿2.0cm×2.2cm,形态不规则。
MRI信号特征:9例HPA瘤体在T1WI和T2WI均呈高信号。在T1WI上,6例呈均匀一致的高信号(图1),其余3例呈不均匀的高信号。1例表现散在点状高信号,1例瘤体中心高信号(图2),1例瘤体上半部分高信号,下半部分等信号(图3),。1例EHF引起的垂体出血在T1WI和T2WI呈不均匀的高信号,Gd-DTPA后见血肿轮廓明显强化,肿胀垂体实质略有不均匀强化(图4)。1个月后复查,肿大垂体已明显缩小,大小0.6cm,信号均匀(图5)。
, 百拇医药
图1 HPA。T1WI矢状位,瘤体呈均匀高信号
图2 HPA。T1WI矢状位,瘤体中心呈高信号,周围等信号
图3 HPA。T1WI矢状位,瘤体上半部呈高信号,瘤体下半部等信号
图4 男,44岁。抗EHF1:320,T1WI冠状位,静脉注射Gd-DTPA后
血肿轮廓明显强化,肿胀垂体实质不均匀强化
, 百拇医药
图5 与图4同一患者。1个月后MRI,T1WI冠状位,肿胀垂体明显缩小,信号正常
邻近结构影响:上述10例中有8例肿块突入鞍上池,视交叉上抬。5例垂体瘤向海绵窦内扩展,一侧海绵窦受累,颈内动脉包裹3例;两侧海绵窦受累、颈内动脉包裹2例。9例HPA均见蝶鞍增大,鞍底对称或不对称下陷。
3 讨论
3.1 HPA的诊断
HPA一般认为是肿瘤膨胀性生长,将其压迫于鞍隔开口所致[1],也可自发或继发于放射治疗。临床上常有急性症状,如突发头痛,呕吐,视力下降或失明,原有症状加重等。本组有2例在MR检查前2天曾出现上述症状。HPA的MRI表现为鞍内肿块,边界光整,呈椭圆形或不规则形[2]。肿块突入鞍上池,视交叉上抬;两侧海绵窦受累,颈内动脉包裹。亚急性和慢性出血的MRI有特征性,在T1WI和T2WI上呈高信号[2]。本组6例HPA呈均匀一致的高信号,其余3例HPA呈不均匀的高信号。分别表现为:散在点状,瘤体中心高信号和瘤体上半部分高信号,下半部分等信号。文献报道也有出血的瘤体上、下分层征象[2]。其中1例瘤体中心出血在MRI随访中,先后经历出血-囊变-再出血的过程,在T1WI上表现为高信号-水样信号-高信号。从出血至囊变,再由囊变至出血两个阶段相隔8个月。
, 百拇医药
3.2 HPA的鉴别诊断
就MRI征象而言,凡鞍内出血性病变,不论是肿瘤,还是炎症或其他性质,在T1WI均表现为高信号肿块,信号可以均匀,也可以不均匀。因此HPA须与下列疾病鉴别:(1)EHF引起的垂体出血。EHF是由出血热病毒引起的由鼠类传播给人的自然疫源性疾病。基本的病理改变是病毒直接引起全身小血管和毛细血管损伤,血管通透性增高,导致全身多器官和组织充血、水肿、出血,其中以肾脏、心脏和垂体的病变最为突出。本组1例就是以垂体出血为最明显,受累垂体明显肿胀、增大伴有广泛出血。其MRI征象和HPA相似,此例在第1次MR检查时曾误诊断为HPA。因此明确诊断必须结合病史、实验室检查和影像学随访。(2)原发性鞍内血肿。原发性鞍内血肿很少见,国外文献曾有1例报道[3],手术结果鞍内未见肿瘤及血管异常。(3)垂体脓肿合并出血。垂体脓肿报道不多,国内文献报道1例[4],在T1WI上表现为稍低信号,T2WI呈高信号,术后MR复查,在T1WI病变出现高信号,提示脓肿合并出血。
, 百拇医药
参考文献
[1]陈星荣,沈天真,段承祥,等主编.全身CT和MRI.上海:上海医科大学出版社, 1994, 181
[2]Kannuki S, Bando K, Shirakawa N,et al. MRI findings and endocrinological dysfunction in hemorrhagic pituitary adenoma. No Shinkei Geka, 1993, 21:1005
[3]Saito K, Takayasu M, Akabane A,et al. Primary chronic intrasellar haematoma: A case repory. Acta Neurochir, 1992, 114:147
[4]徐文坚,张云亭,白人驹,等.垂体脓肿一例影像学诊断.中华放射学杂志, 1998, 32:785
(收稿:1999-11-08), 百拇医药