HASTE与HASTE-IR序列对肝实质病灶的对比性研究
作者:常时新 孔祥泉 刘定西 彭振军 肖学宏 于群 熊茵 江利 扬帆 徐海波
单位:常时新(430022 武汉,华中科技大学同济医学院附属协和医院放射科);孔祥泉(430022 武汉,华中科技大学同济医学院附属协和医院放射科);刘定西(430022 武汉,华中科技大学同济医学院附属协和医院放射科);彭振军(430022 武汉,华中科技大学同济医学院附属协和医院放射科);肖学宏(430022 武汉,华中科技大学同济医学院附属协和医院放射科)
关键词:HASTE;HASTE-IR;肝癌;相对对比噪声比;信噪比
临床放射学杂志001009 【摘要】 目的 评价屏气下T2WI HASTE与HASTE-IR序列对肝癌的检测能力。 材料与方法 62例肝脏肿瘤患者进行了屏气下HASTE和HASTE-IR序列T2WI。同一层面的成像采用上述2种序列进行分析,记录平均信号强度和标准差。肝脏、脾脏及肿瘤的信噪比(SNR)和相对对比噪声比(rCNR)通过除以背景噪声的标准差后进行统计学分析。 结果 HASTE-IR序列显示病灶与肝实质的对比度高,图像清晰。肿瘤/肝实质和脾脏/肝实质的rCNR分别为HASTE-IR序列:1.21±0.24,1.74±0.25;HASTE序列:0.71±0.07,0.75±0.18,两者之间有显著性差异(t=1.94,2.35;P=0.03<0.05)。另外,HASTE-IR序列发现了12个(19.4%)HASTE序列无法显示的小病灶。 结论 屏气下HASTE-IR序列和HASTE序列对肝脏实质性病灶均具有较高的敏感性,但前者显示肿瘤/肝实质的rCNR明显高于后者,可以作为常规成像方式之一。
, 百拇医药
A Comparison of HASTE and HASTE-IR Sequence for Detection of Hepatic Lesions
CHANG Shixin,KONG Xiangquan,LIU Dingxi,et al.
(Department of Radiology, The Affiliated Union Hospital, Tongji Medical University, Wuhan, Hubei Province 430022, P.R.China)
【Abstract】 Objective To evaluate breath-holding T2WI techniques (HASTE, HASTE-IR) in detecting liver cancer. Materials and Methods Sixty-two patients with liver cancer underwent T2WI HASTE and HASTE-IR. Images of the same anatomic slice obtained from the two sequences were compared. Mean signal intensity and standard deviation were recorded. Signal-to-noise ratios for liver, spleen and focal lesions were obtained through dividing the mean signal intensity by standard deviation of background noise. Contrast-to-noise ratios were obtained through dividing the absolute value of the liver-lesion signal intensity difference by standard deviation of background noise. Results Liver SNR, spleen SNR, solid lesion relative CNR and spleen relative CNR for HASTE were 25.2±1.9, 39.7±5.4, 0.71±0.07 and 0.75±0.18, respectively, while for HASTE-IR were 12.8±2.3, 25.2±7.5, 1.21±0.24 and 1.74±0.25, respectively. HASTE was inferior to HASTE-IR in detecting solid liver lesions (t=1.94,2.35; P=0.03<0.05). Twelve smaller solid liver lesions were discovered on HASTE-IR sequence, but could not display on HASTE sequence. Conclusion Though both breath-holding HASTE sequence and HASTE-IR sequence have high sensitivity in detecting solid liver lesion, HASTE-IR is more sensitive than HASTE. HASTE-IR may be served as one of the T2WI conventional imaging.
, 百拇医药
【Key words】 HASTE HASTE-IR Hepatic carcinoma rCNR SNR
HASTE(half-fourier acquisition single-shot turbo-SE)序列是单次激发快速自旋回波与半傅立叶采集相结合的技术,为目前腹部T2WI的常规检查手段,但图像质量略低,病灶的对比度下降[1]。HASTE-IR(或称IR-HASTE)序列则是反转恢复(IR)与HASTE的混合序列(hybrid sequence),它能增加肝脏病灶/肝实质的对比度,提高T2WI检测肝脏病灶的敏感性。笔者通过比较上述两种序列所检测的肝癌的信噪比(signal-to-noise ratios,SNR)和相对对比噪声比(relative contrast-to-noise ratios,rCNR),评价二者对肝脏病灶的检测能力。
1 材料与方法
, http://www.100md.com
搜集1999年3月~1999年12月在我院MR室前瞻性地同时行T2WI HASTE和HASTE-IR序列扫描的肝脏肿瘤患者62例。男42例,女20例,年龄34~69岁,平均51.5岁。其中26例经手术病理证实,22例经B超、CT和/或MRI检查发现其他部位存在病灶,14例仍在追踪中。62例共110个肿瘤结节得到确认。38例(61.3%)为孤立性肝癌结节,24例(38.7%)为多发性肝癌结节。
MR成像技术和参数:采用Siemens Magnaton Vision 1.5T超导型MR扫描仪,体部相控阵列线圈。T1WI采用梯度回波FLASH序列:TR 154ms,TE 4.1ms,翻转角为80°,层厚6mm,层间隔1.5mm,采集矩阵为196×256,FOV 40cm;T2WI则在相同层面分别采用HASTE和HASTE-IR序列对肝脏进行轴位扫描,层厚6mm,层间隔1mm,采集矩阵为128×256,FOV 40cm。HASTE:TR 4.4ms,TE 64ms,TD 500ms,翻转角160°,1次采集;HASTE-IR:TR 4.4ms,TE 64ms,TI 150ms,TD 500ms,翻转角160°,1次采集。所有病例均在单次激发屏气下完成扫描,HASTE-IR TI=150ms以减少腹壁脂肪以及脂肪引起的模糊伪影。FLASH-T1WI采集时间16s,HASTE-T2WI及HASTE-IR-T2WI采集时间均为1s/层。
, 百拇医药
兴趣区(ROI)的选择和统计学处理:同一层面的成像采用上述两种序列进行分析,ROI取典型的病灶实质部测量,面积1.0cm2。记录平均信号强度和标准差。肝脏和脾脏的ROI取距离线圈相同水平处测量,背景噪声在腹部右前方测量。肝脏、脾脏和肿瘤的SNR通过平均信号强度除以背景噪声的标准差后评价,rCNR则通过区分病灶与肝脏(或脾脏与肝脏)信号相对强度绝对值的不同并除以背景噪声的标准差。统计学处理采用配对t检验对数据信息进行分析,判断所有样本统计结果的标准误P定为0.05,小于0.05时被认为有意义。
2 结果
62例肝癌患者(110个肿瘤结节)的肝实质、脾实质及肿瘤的SNR、CNR及rCNR值见附表。
附表 肝实质、脾脏和肿瘤的SNR、CNR和rCNR值(平均值/标准差) n=110
肝实质
, 百拇医药
SNR
脾脏
SNR
肿瘤/肝实质
CNR
脾脏/肝实质
CNR
肿瘤/肝实质
rCNR
脾脏/肝实质
rCNR
HASTE
25.2/1.9*
, http://www.100md.com
39.7/5.4
17.8/2.4
17.1/4.1
0.71/0.07*
0.75/0.18*
HASTE-IR
12.8/2.3*
25.2/7.5
14.2/3.7
15.5/4.6
1.21/0.24*
, http://www.100md.com
1.74/0.25*
注:*表示HASTE与HASTE-IR之间t检验有统计学意义(P<0.05)
SNR=S信号/S噪声;CNR=S肿瘤-S肝实质/S噪声;rCNR=S肿瘤-S肝实质/S肝实质
在HASTE序列T2WI显示肝脏结构及边缘稍模糊,肝实质病灶边缘也欠清晰,特别是肝脏与腹腔脂肪的接触面;同时脾脏周围腹腔脂肪之高信号亦干扰了其边缘的锐利。而在HASTE-IR序列上,癌肿、肝实质及肝边缘结构清晰,特别是在肝脏左叶因胃网膜脂肪信号抑制显示更加清楚(图1、2)。另外,HASTE-IR序列发现了12个(19.4%)HASTE序列没有显示的直径小于2mm的病灶,大部分分布在肝脏左叶外段和近肝门区(图3、4)。在屏气下T2WI上,HASTE和HASTE-IR序列所检测的肝脏、脾脏和肿瘤的SNR、CNR较高,均能反映肿瘤/肝实质的信号特征,但二者间的SNR和CNR值又存在差别,肝脏的SNR值HASTE序列显著性高于HASTE-IR序列(t=2.45,P=0.007)。而脾脏的SNR、肿瘤/肝实质和脾脏/肝实质的CNR,二种序列间的统计学差异又不明显(P=0.34,0.36,0.87>0.05)。但是,我们通过比较肿瘤和脾脏的rCNR这一特异性指标发现,HASTE-IR序列(TE=64ms,TI=150ms)检测的肿瘤/肝实质和脾脏/肝实质rCNR明显高于HASTE序列,两者之间的rCNR具有显著性差异(t=1.94,2.35,P=0.03<0.05)。
, http://www.100md.com
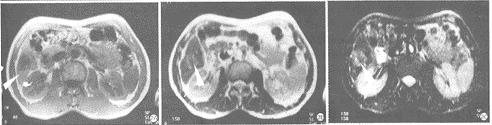
图1 块状型HCC伴肝内转移。A.FLASH-T1WI示癌肿呈低信号,边缘清。
B.HASTE-T2WI示肿块呈稍高信号,边缘较模糊,癌肿和脾脏的rCNR为0.51,0.79。
肝左叶边缘受胃网膜脂肪干扰而显示欠清晰。C.HASTE-IR-T2WI示肿块呈高信号,与肝实质对比清晰,癌肿和脾脏的rCNR为0.94,1.52。肝脏边缘清晰锐利
图2 肝右叶下段小HCC。A.SE-T1WI示癌肿为低信号,边清。
B.HASTE-T2WI示癌肿呈不均匀的略高信号,边缘欠清晰,癌肿的rCNR为0.42。
, http://www.100md.com
C.HASTE-IR-T2WI示癌肿呈高信号,边清,肿块的rCNR为1.10
图3 肝左叶小HCC。A.HASTE-T2WI示左叶内段小HCC呈稍高信号,边界尚清(↑)。
B.HASTE-IR-T2WI示左叶内段病灶为高信号,边清;
同时左叶外段还见到一直径约1mm大小的小HCC(↑)
图4 肝右叶下段多发小HCC。A.HASTE-T2WI示外侧缘小病灶呈高信号,而内侧缘病灶显示欠清,无法确认。B.HASTE-IR-T2WI示
, 百拇医药
右叶下段2枚小HCC呈不均匀的高信号,边界清晰
3 讨论
3.1 HASTE序列在肝脏成像中的价值
MRI最主要的目标之一是在既不降低敏感性,也不降低特异性的情况下,使成像时间缩短到最少。这样不仅能使患者更容易接受MR检查,而且还能减轻患者的不适反应,减少运动伪影的干扰。运动伪影最主要来自呼吸运动和肠管蠕动。只有使用一种能在1到2次屏气情况下就能完成信号采集的成像序列,这些伪影才能明显减少。HASTE序列可以成倍地减少肝脏的T2成像时间,用长回波链(ETL)和半傅立叶数据采集技术,1次激发就可以获得填充K-空间所需的完整数据,能使一幅256×256矩阵的图像数据在1秒钟内便可采集完毕。同时,HASTE序列具有TSE序列T2WI的特征,高速度的采集“冻结”了呼吸及运动,因此该序列适用于有生理运动器官的T2WI,不产生运动伪影,在易运动的腹部脏器成像具有重要价值,已经成为目前常规的检查手段。但是,由于肝脏生理性含脂,HASTE序列连续的180°脉冲造成的磁化传递效应(magnetization transfer,MT)增加了肝脏内的脂肪信号,使肝实质信号普遍增高,从而降低了病灶与肝实质的对比度,同时边界模糊伪影加重,图像质量下降[2]。
, http://www.100md.com
3.2 HASTE-IR序列在肝脏成像中的价值
常规SE序列在检测肝脏病理组织方面具有明显作用,而IR序列可以增加T1WI的对比度,比常规SE序列更敏感。在HASTE序列前加用IR预脉冲可以抑制某一特定T1组织的信号,增加实质病灶与背景之间的CNR,这是本文研究的依据所在。由于肝脏的含脂性及MT效应的影响降低了肝脏实质病灶的CNR,因此,我们选用TI=150ms的IR预脉冲以抑制脂肪信号,从而增加肝脏实质性病灶与肝实质背景的对比度,提高CNR。可以将HASTE-IR序列理解为HASTE和IR的混合序列,它集两种序列的全部优势于一身,既具有HASTE序列扫描时间极短、IR序列对比度高的特点,又避免了HASTE序列rCNR低、IR序列成像时间长及层面少的缺憾。
适当的TI可产生其独特的对比效果,因此,其组织对比性和TI有直接关系。短TI不仅可以增加T1对比,而且长TE时,T2对比也随回波时间而增加。选择短TI可产生一个脂肪抑制的HASTE图像,选择短长TI则形成一个液体被抑制的HASTE图像,从而显示被脂肪或水信号覆盖的肝部微小病变,在用HASTE-IR序列检测病灶时,不同的TI时间对病灶的检测效果已经为许多学者所研究,我们参照国外的研究资料并结合本机器的特点取TI=150ms[3],提供最佳的组织对比,从而产生较好的检查效果。
, 百拇医药
3.3 HASTE-IR与HASTE序列对肝实质病灶的信号强度评价
对肝实质病灶的信号强度评价主要是强调肿瘤/肝实质的CNR及rCNR,两指标均直接反映了不同序列检测病灶的敏感度。目前普遍以CNR作为评价病灶敏感度的指标,当CNR小于1时,几乎不能发现病灶。然而,从检测肿瘤/肝实质信号差异的意义上说,rCNR较CNR更具有代表性。在T2WI,对肝脏病灶的检测能力主要依赖于TE。不同时间段的TE值显示病灶的敏感性完全不同,国内外已有许多学者对此进行了分析报道,而对于在T2WI中加用IR序列特定性地抑制某种成分的信号强度的研究,国内尚未见相关报道。为了便于分析比较,在不影响日常工作的前提下,我们特意选用本扫描仪自带的HASTE序列(TE=64ms)与HASTE-IR序列(TE=64ms,TI=150ms)进行比较,以SNR和rCNR为指标,观察其检测肝实质性病灶的敏感性。这是因为CNR=|S肿瘤-S肝实质|/S噪声而rCNR=|S肿瘤-S肝实质|/S肝实质,在反映肿瘤与肝实质之间的对比时,以rCNR为指标,它能比CNR更确切地反映肿瘤在肝实质背景下的信号强度差异。当然,rCNR值相对而言就会减小,甚至小于1,但这是相对的,并不影响我们对病灶的观察。笔者所测得的CNR值在HASTE-IR及HASTE序列分别高达15.5±4.6和17.8±2.4,远大于1,能清晰地分辨肿瘤/肝实质,这与文献报道基本相符[4]。
, 百拇医药
在检测的62例肝癌患者中,肝脏的SNR在HASTE序列上为25.2±1.9,明显高于HASTE-IR序列的12.8±2.3;而脾脏的SNR,二者间无显著性差异(t=3.18,P=0.34)。这是由于肝脏富含脂质而脾脏几乎不含脂质,在HASTE序列中,MT所致的肝脏实质信号增高,同时,TSE序列的背景噪声又显著性低于IR序列,所以肝实质的SNR前者明显高于后者(t=2.45,P=0.007)。同样,当以背景噪声作为参照对比时,肿瘤/肝实质和脾脏/肝实质的CNR虽然存在差异,但由于HASTE序列和HASTE-IR序列的背景噪声不同,所以两者的差异在统计学上就可能无法表现出来(t=2.45,P=0.36,t=3.18,P=0.87)。但是,对于肿瘤/肝实质和脾脏/肝实质的rCNR,二者间则存在着明显的统计学差异(t=1.94,2.35,P=0.03<0.05),也就是说使用HASTE-IR序列时,病灶与肝实质的对比度明显增高,边界模糊伪影下降,图像显示更清晰。这是因为rCNR是以肝脏实质作为对照背景,它避免了背景噪声的干扰,更能突出肿瘤与肝脏实质之间的信号差异,确切地说,HASTE-IR序列检测肝脏病灶的敏感性更高,能发现HASTE不易检出的或被掩盖的较小病灶,同时,更能真实地反映肿瘤的信号特征。因此,从临床实用的角度出发,HASTE-IR序列较HASTE序列更实用、更优越。
, 百拇医药
随着快速成像序列不断发展和在临床上的使用日趋成熟,腹部的成像时间将会越来越短,不同特点的序列相互混合使用将会越来越广泛。尽管HASTE序列在腹部的常规检查中,成像时间短、质量好。但HASTE-IR序列无论是在成像时间还是在成像质量上均不逊色于HASTE序列,同时具有更高的敏感性,HASTE-IR序列较HASTE优越之处在于能选择性抑制某种组织成分,如脂肪、水等以突出地表现病变组织,不易遗漏病灶[5]。因此,笔者建议在行肝脏T2WI时,HASTE-IR序列可作为常规扫描方式之一。
作者单位:于群(430022 武汉,华中科技大学同济医学院附属协和医院放射科)
熊茵(430022 武汉,华中科技大学同济医学院附属协和医院放射科)
江利(430022 武汉,华中科技大学同济医学院附属协和医院放射科)
, http://www.100md.com
扬帆(430022 武汉,华中科技大学同济医学院附属协和医院放射科)
徐海波(430022 武汉,华中科技大学同济医学院附属协和医院放射科)
参考文献
[1]Gaa J, Hatabu H, Jenkins RL,et al. Liver masses: Replacement of conventional T2-weighted spin-echo MR imaging with breath-hold MR imaging. Radiology, 1996, 200:459
[2]Tang Y, Yamashita Y, Namimoto T,et al. Liver T2-weighted MR imaging: Comparison of fast and conventional half-fourier single-shot turbo spin-echo, breath-hold turbo spin-echo, and respiratory-triggered turbo spin-echo sequences. Radiology, 1997, 203:766
, 百拇医药
[3]Osmans H, Van-Hoe L, Gryspeerdt S,et al. Single-shot T2-weighted MR imaging of the upper abdomen: Preliminary experience with double-echo HASTE technique. AJR-Am-J-Roentgenol, 1997, 169:1291
[4]Ikushima I, Korogi Y, Yamashita Y,et al. Evaluation of intracranial lesions with inversion recovery half-fourier single-shot turbo spin-echo MR: Initial observations. AJNR-Am-J-Neuroradiol, 1997, 18:421
[5]Togami I, Tsunoda M, Mitsumori A,et al. Preoperative evaluation for volume reduction surgery of pulmonary emphysema using MRI: Usefulness of HASTE (half-fourier single-shot turbo SE) sequence during deep respiration. Nippon-Igaku-Hoshasen-Gakkai-Zasshi, 1997, 57:520
(收稿:1999-12-21 修回:2000-07-17), 百拇医药
单位:常时新(430022 武汉,华中科技大学同济医学院附属协和医院放射科);孔祥泉(430022 武汉,华中科技大学同济医学院附属协和医院放射科);刘定西(430022 武汉,华中科技大学同济医学院附属协和医院放射科);彭振军(430022 武汉,华中科技大学同济医学院附属协和医院放射科);肖学宏(430022 武汉,华中科技大学同济医学院附属协和医院放射科)
关键词:HASTE;HASTE-IR;肝癌;相对对比噪声比;信噪比
临床放射学杂志001009 【摘要】 目的 评价屏气下T2WI HASTE与HASTE-IR序列对肝癌的检测能力。 材料与方法 62例肝脏肿瘤患者进行了屏气下HASTE和HASTE-IR序列T2WI。同一层面的成像采用上述2种序列进行分析,记录平均信号强度和标准差。肝脏、脾脏及肿瘤的信噪比(SNR)和相对对比噪声比(rCNR)通过除以背景噪声的标准差后进行统计学分析。 结果 HASTE-IR序列显示病灶与肝实质的对比度高,图像清晰。肿瘤/肝实质和脾脏/肝实质的rCNR分别为HASTE-IR序列:1.21±0.24,1.74±0.25;HASTE序列:0.71±0.07,0.75±0.18,两者之间有显著性差异(t=1.94,2.35;P=0.03<0.05)。另外,HASTE-IR序列发现了12个(19.4%)HASTE序列无法显示的小病灶。 结论 屏气下HASTE-IR序列和HASTE序列对肝脏实质性病灶均具有较高的敏感性,但前者显示肿瘤/肝实质的rCNR明显高于后者,可以作为常规成像方式之一。
, 百拇医药
A Comparison of HASTE and HASTE-IR Sequence for Detection of Hepatic Lesions
CHANG Shixin,KONG Xiangquan,LIU Dingxi,et al.
(Department of Radiology, The Affiliated Union Hospital, Tongji Medical University, Wuhan, Hubei Province 430022, P.R.China)
【Abstract】 Objective To evaluate breath-holding T2WI techniques (HASTE, HASTE-IR) in detecting liver cancer. Materials and Methods Sixty-two patients with liver cancer underwent T2WI HASTE and HASTE-IR. Images of the same anatomic slice obtained from the two sequences were compared. Mean signal intensity and standard deviation were recorded. Signal-to-noise ratios for liver, spleen and focal lesions were obtained through dividing the mean signal intensity by standard deviation of background noise. Contrast-to-noise ratios were obtained through dividing the absolute value of the liver-lesion signal intensity difference by standard deviation of background noise. Results Liver SNR, spleen SNR, solid lesion relative CNR and spleen relative CNR for HASTE were 25.2±1.9, 39.7±5.4, 0.71±0.07 and 0.75±0.18, respectively, while for HASTE-IR were 12.8±2.3, 25.2±7.5, 1.21±0.24 and 1.74±0.25, respectively. HASTE was inferior to HASTE-IR in detecting solid liver lesions (t=1.94,2.35; P=0.03<0.05). Twelve smaller solid liver lesions were discovered on HASTE-IR sequence, but could not display on HASTE sequence. Conclusion Though both breath-holding HASTE sequence and HASTE-IR sequence have high sensitivity in detecting solid liver lesion, HASTE-IR is more sensitive than HASTE. HASTE-IR may be served as one of the T2WI conventional imaging.
, 百拇医药
【Key words】 HASTE HASTE-IR Hepatic carcinoma rCNR SNR
HASTE(half-fourier acquisition single-shot turbo-SE)序列是单次激发快速自旋回波与半傅立叶采集相结合的技术,为目前腹部T2WI的常规检查手段,但图像质量略低,病灶的对比度下降[1]。HASTE-IR(或称IR-HASTE)序列则是反转恢复(IR)与HASTE的混合序列(hybrid sequence),它能增加肝脏病灶/肝实质的对比度,提高T2WI检测肝脏病灶的敏感性。笔者通过比较上述两种序列所检测的肝癌的信噪比(signal-to-noise ratios,SNR)和相对对比噪声比(relative contrast-to-noise ratios,rCNR),评价二者对肝脏病灶的检测能力。
1 材料与方法
, http://www.100md.com
搜集1999年3月~1999年12月在我院MR室前瞻性地同时行T2WI HASTE和HASTE-IR序列扫描的肝脏肿瘤患者62例。男42例,女20例,年龄34~69岁,平均51.5岁。其中26例经手术病理证实,22例经B超、CT和/或MRI检查发现其他部位存在病灶,14例仍在追踪中。62例共110个肿瘤结节得到确认。38例(61.3%)为孤立性肝癌结节,24例(38.7%)为多发性肝癌结节。
MR成像技术和参数:采用Siemens Magnaton Vision 1.5T超导型MR扫描仪,体部相控阵列线圈。T1WI采用梯度回波FLASH序列:TR 154ms,TE 4.1ms,翻转角为80°,层厚6mm,层间隔1.5mm,采集矩阵为196×256,FOV 40cm;T2WI则在相同层面分别采用HASTE和HASTE-IR序列对肝脏进行轴位扫描,层厚6mm,层间隔1mm,采集矩阵为128×256,FOV 40cm。HASTE:TR 4.4ms,TE 64ms,TD 500ms,翻转角160°,1次采集;HASTE-IR:TR 4.4ms,TE 64ms,TI 150ms,TD 500ms,翻转角160°,1次采集。所有病例均在单次激发屏气下完成扫描,HASTE-IR TI=150ms以减少腹壁脂肪以及脂肪引起的模糊伪影。FLASH-T1WI采集时间16s,HASTE-T2WI及HASTE-IR-T2WI采集时间均为1s/层。
, 百拇医药
兴趣区(ROI)的选择和统计学处理:同一层面的成像采用上述两种序列进行分析,ROI取典型的病灶实质部测量,面积1.0cm2。记录平均信号强度和标准差。肝脏和脾脏的ROI取距离线圈相同水平处测量,背景噪声在腹部右前方测量。肝脏、脾脏和肿瘤的SNR通过平均信号强度除以背景噪声的标准差后评价,rCNR则通过区分病灶与肝脏(或脾脏与肝脏)信号相对强度绝对值的不同并除以背景噪声的标准差。统计学处理采用配对t检验对数据信息进行分析,判断所有样本统计结果的标准误P定为0.05,小于0.05时被认为有意义。
2 结果
62例肝癌患者(110个肿瘤结节)的肝实质、脾实质及肿瘤的SNR、CNR及rCNR值见附表。
附表 肝实质、脾脏和肿瘤的SNR、CNR和rCNR值(平均值/标准差) n=110
肝实质
, 百拇医药
SNR
脾脏
SNR
肿瘤/肝实质
CNR
脾脏/肝实质
CNR
肿瘤/肝实质
rCNR
脾脏/肝实质
rCNR
HASTE
25.2/1.9*
, http://www.100md.com
39.7/5.4
17.8/2.4
17.1/4.1
0.71/0.07*
0.75/0.18*
HASTE-IR
12.8/2.3*
25.2/7.5
14.2/3.7
15.5/4.6
1.21/0.24*
, http://www.100md.com
1.74/0.25*
注:*表示HASTE与HASTE-IR之间t检验有统计学意义(P<0.05)
SNR=S信号/S噪声;CNR=S肿瘤-S肝实质/S噪声;rCNR=S肿瘤-S肝实质/S肝实质
在HASTE序列T2WI显示肝脏结构及边缘稍模糊,肝实质病灶边缘也欠清晰,特别是肝脏与腹腔脂肪的接触面;同时脾脏周围腹腔脂肪之高信号亦干扰了其边缘的锐利。而在HASTE-IR序列上,癌肿、肝实质及肝边缘结构清晰,特别是在肝脏左叶因胃网膜脂肪信号抑制显示更加清楚(图1、2)。另外,HASTE-IR序列发现了12个(19.4%)HASTE序列没有显示的直径小于2mm的病灶,大部分分布在肝脏左叶外段和近肝门区(图3、4)。在屏气下T2WI上,HASTE和HASTE-IR序列所检测的肝脏、脾脏和肿瘤的SNR、CNR较高,均能反映肿瘤/肝实质的信号特征,但二者间的SNR和CNR值又存在差别,肝脏的SNR值HASTE序列显著性高于HASTE-IR序列(t=2.45,P=0.007)。而脾脏的SNR、肿瘤/肝实质和脾脏/肝实质的CNR,二种序列间的统计学差异又不明显(P=0.34,0.36,0.87>0.05)。但是,我们通过比较肿瘤和脾脏的rCNR这一特异性指标发现,HASTE-IR序列(TE=64ms,TI=150ms)检测的肿瘤/肝实质和脾脏/肝实质rCNR明显高于HASTE序列,两者之间的rCNR具有显著性差异(t=1.94,2.35,P=0.03<0.05)。
, http://www.100md.com
图1 块状型HCC伴肝内转移。A.FLASH-T1WI示癌肿呈低信号,边缘清。
B.HASTE-T2WI示肿块呈稍高信号,边缘较模糊,癌肿和脾脏的rCNR为0.51,0.79。
肝左叶边缘受胃网膜脂肪干扰而显示欠清晰。C.HASTE-IR-T2WI示肿块呈高信号,与肝实质对比清晰,癌肿和脾脏的rCNR为0.94,1.52。肝脏边缘清晰锐利
图2 肝右叶下段小HCC。A.SE-T1WI示癌肿为低信号,边清。
B.HASTE-T2WI示癌肿呈不均匀的略高信号,边缘欠清晰,癌肿的rCNR为0.42。
, http://www.100md.com
C.HASTE-IR-T2WI示癌肿呈高信号,边清,肿块的rCNR为1.10
图3 肝左叶小HCC。A.HASTE-T2WI示左叶内段小HCC呈稍高信号,边界尚清(↑)。
B.HASTE-IR-T2WI示左叶内段病灶为高信号,边清;
同时左叶外段还见到一直径约1mm大小的小HCC(↑)
图4 肝右叶下段多发小HCC。A.HASTE-T2WI示外侧缘小病灶呈高信号,而内侧缘病灶显示欠清,无法确认。B.HASTE-IR-T2WI示
, 百拇医药
右叶下段2枚小HCC呈不均匀的高信号,边界清晰
3 讨论
3.1 HASTE序列在肝脏成像中的价值
MRI最主要的目标之一是在既不降低敏感性,也不降低特异性的情况下,使成像时间缩短到最少。这样不仅能使患者更容易接受MR检查,而且还能减轻患者的不适反应,减少运动伪影的干扰。运动伪影最主要来自呼吸运动和肠管蠕动。只有使用一种能在1到2次屏气情况下就能完成信号采集的成像序列,这些伪影才能明显减少。HASTE序列可以成倍地减少肝脏的T2成像时间,用长回波链(ETL)和半傅立叶数据采集技术,1次激发就可以获得填充K-空间所需的完整数据,能使一幅256×256矩阵的图像数据在1秒钟内便可采集完毕。同时,HASTE序列具有TSE序列T2WI的特征,高速度的采集“冻结”了呼吸及运动,因此该序列适用于有生理运动器官的T2WI,不产生运动伪影,在易运动的腹部脏器成像具有重要价值,已经成为目前常规的检查手段。但是,由于肝脏生理性含脂,HASTE序列连续的180°脉冲造成的磁化传递效应(magnetization transfer,MT)增加了肝脏内的脂肪信号,使肝实质信号普遍增高,从而降低了病灶与肝实质的对比度,同时边界模糊伪影加重,图像质量下降[2]。
, http://www.100md.com
3.2 HASTE-IR序列在肝脏成像中的价值
常规SE序列在检测肝脏病理组织方面具有明显作用,而IR序列可以增加T1WI的对比度,比常规SE序列更敏感。在HASTE序列前加用IR预脉冲可以抑制某一特定T1组织的信号,增加实质病灶与背景之间的CNR,这是本文研究的依据所在。由于肝脏的含脂性及MT效应的影响降低了肝脏实质病灶的CNR,因此,我们选用TI=150ms的IR预脉冲以抑制脂肪信号,从而增加肝脏实质性病灶与肝实质背景的对比度,提高CNR。可以将HASTE-IR序列理解为HASTE和IR的混合序列,它集两种序列的全部优势于一身,既具有HASTE序列扫描时间极短、IR序列对比度高的特点,又避免了HASTE序列rCNR低、IR序列成像时间长及层面少的缺憾。
适当的TI可产生其独特的对比效果,因此,其组织对比性和TI有直接关系。短TI不仅可以增加T1对比,而且长TE时,T2对比也随回波时间而增加。选择短TI可产生一个脂肪抑制的HASTE图像,选择短长TI则形成一个液体被抑制的HASTE图像,从而显示被脂肪或水信号覆盖的肝部微小病变,在用HASTE-IR序列检测病灶时,不同的TI时间对病灶的检测效果已经为许多学者所研究,我们参照国外的研究资料并结合本机器的特点取TI=150ms[3],提供最佳的组织对比,从而产生较好的检查效果。
, 百拇医药
3.3 HASTE-IR与HASTE序列对肝实质病灶的信号强度评价
对肝实质病灶的信号强度评价主要是强调肿瘤/肝实质的CNR及rCNR,两指标均直接反映了不同序列检测病灶的敏感度。目前普遍以CNR作为评价病灶敏感度的指标,当CNR小于1时,几乎不能发现病灶。然而,从检测肿瘤/肝实质信号差异的意义上说,rCNR较CNR更具有代表性。在T2WI,对肝脏病灶的检测能力主要依赖于TE。不同时间段的TE值显示病灶的敏感性完全不同,国内外已有许多学者对此进行了分析报道,而对于在T2WI中加用IR序列特定性地抑制某种成分的信号强度的研究,国内尚未见相关报道。为了便于分析比较,在不影响日常工作的前提下,我们特意选用本扫描仪自带的HASTE序列(TE=64ms)与HASTE-IR序列(TE=64ms,TI=150ms)进行比较,以SNR和rCNR为指标,观察其检测肝实质性病灶的敏感性。这是因为CNR=|S肿瘤-S肝实质|/S噪声而rCNR=|S肿瘤-S肝实质|/S肝实质,在反映肿瘤与肝实质之间的对比时,以rCNR为指标,它能比CNR更确切地反映肿瘤在肝实质背景下的信号强度差异。当然,rCNR值相对而言就会减小,甚至小于1,但这是相对的,并不影响我们对病灶的观察。笔者所测得的CNR值在HASTE-IR及HASTE序列分别高达15.5±4.6和17.8±2.4,远大于1,能清晰地分辨肿瘤/肝实质,这与文献报道基本相符[4]。
, 百拇医药
在检测的62例肝癌患者中,肝脏的SNR在HASTE序列上为25.2±1.9,明显高于HASTE-IR序列的12.8±2.3;而脾脏的SNR,二者间无显著性差异(t=3.18,P=0.34)。这是由于肝脏富含脂质而脾脏几乎不含脂质,在HASTE序列中,MT所致的肝脏实质信号增高,同时,TSE序列的背景噪声又显著性低于IR序列,所以肝实质的SNR前者明显高于后者(t=2.45,P=0.007)。同样,当以背景噪声作为参照对比时,肿瘤/肝实质和脾脏/肝实质的CNR虽然存在差异,但由于HASTE序列和HASTE-IR序列的背景噪声不同,所以两者的差异在统计学上就可能无法表现出来(t=2.45,P=0.36,t=3.18,P=0.87)。但是,对于肿瘤/肝实质和脾脏/肝实质的rCNR,二者间则存在着明显的统计学差异(t=1.94,2.35,P=0.03<0.05),也就是说使用HASTE-IR序列时,病灶与肝实质的对比度明显增高,边界模糊伪影下降,图像显示更清晰。这是因为rCNR是以肝脏实质作为对照背景,它避免了背景噪声的干扰,更能突出肿瘤与肝脏实质之间的信号差异,确切地说,HASTE-IR序列检测肝脏病灶的敏感性更高,能发现HASTE不易检出的或被掩盖的较小病灶,同时,更能真实地反映肿瘤的信号特征。因此,从临床实用的角度出发,HASTE-IR序列较HASTE序列更实用、更优越。
, 百拇医药
随着快速成像序列不断发展和在临床上的使用日趋成熟,腹部的成像时间将会越来越短,不同特点的序列相互混合使用将会越来越广泛。尽管HASTE序列在腹部的常规检查中,成像时间短、质量好。但HASTE-IR序列无论是在成像时间还是在成像质量上均不逊色于HASTE序列,同时具有更高的敏感性,HASTE-IR序列较HASTE优越之处在于能选择性抑制某种组织成分,如脂肪、水等以突出地表现病变组织,不易遗漏病灶[5]。因此,笔者建议在行肝脏T2WI时,HASTE-IR序列可作为常规扫描方式之一。
作者单位:于群(430022 武汉,华中科技大学同济医学院附属协和医院放射科)
熊茵(430022 武汉,华中科技大学同济医学院附属协和医院放射科)
江利(430022 武汉,华中科技大学同济医学院附属协和医院放射科)
, http://www.100md.com
扬帆(430022 武汉,华中科技大学同济医学院附属协和医院放射科)
徐海波(430022 武汉,华中科技大学同济医学院附属协和医院放射科)
参考文献
[1]Gaa J, Hatabu H, Jenkins RL,et al. Liver masses: Replacement of conventional T2-weighted spin-echo MR imaging with breath-hold MR imaging. Radiology, 1996, 200:459
[2]Tang Y, Yamashita Y, Namimoto T,et al. Liver T2-weighted MR imaging: Comparison of fast and conventional half-fourier single-shot turbo spin-echo, breath-hold turbo spin-echo, and respiratory-triggered turbo spin-echo sequences. Radiology, 1997, 203:766
, 百拇医药
[3]Osmans H, Van-Hoe L, Gryspeerdt S,et al. Single-shot T2-weighted MR imaging of the upper abdomen: Preliminary experience with double-echo HASTE technique. AJR-Am-J-Roentgenol, 1997, 169:1291
[4]Ikushima I, Korogi Y, Yamashita Y,et al. Evaluation of intracranial lesions with inversion recovery half-fourier single-shot turbo spin-echo MR: Initial observations. AJNR-Am-J-Neuroradiol, 1997, 18:421
[5]Togami I, Tsunoda M, Mitsumori A,et al. Preoperative evaluation for volume reduction surgery of pulmonary emphysema using MRI: Usefulness of HASTE (half-fourier single-shot turbo SE) sequence during deep respiration. Nippon-Igaku-Hoshasen-Gakkai-Zasshi, 1997, 57:520
(收稿:1999-12-21 修回:2000-07-17), 百拇医药