肝肺综合征所致肺部损害的影像学表现
作者:吕维富 张行明 季学兵 张学兵 荚伟萍
单位:吕维富(230001 合肥,安徽省立医院放射科);张行明(230001 合肥,安徽省立医院放射科);季学兵(230001 合肥,安徽省立医院放射科);张学兵(230001 合肥,安徽省立医院放射科);荚伟萍(230001 合肥,安徽省立医院放射科)
关键词:
临床放射学杂志001123 肝肺综合征(hepatopulmonary syndrome,HPS)是指在慢性肝病的基础上并发肺动-静脉分流或/和肺血管扩张以及低氧血症[1,2]。有关其生化和病理生理学研究已有报道,但影像学方面未见系统研究。本研究的目的在于探讨HPS基本影像学特征,为临床医师制定诊治方案提供参考意见。
1 材料与方法
, http://www.100md.com
1.1 研究对象
肝硬化组:经临床、实验室检查或/和活检确诊为肝硬化失代偿且既往无心肺疾患的患者60例。男42例,女18例,年龄31~69岁,平均47.7岁。其中乙型病毒性肝炎后肝硬化44例,酒精性9例,胆汁性4例,不明原因3例。肝功能状态属Child A、B、C级者分别为20、22、和18例。呼吸系统症状:17例有不同程度的咳嗽、胸闷和呼吸困难,其中6例表现为直立性呼吸困难。
对照组:同期因患急性乙型病毒性肝炎(84例)、肝囊肿(40例)、血管瘤(37例)、脂肪肝(31例)和转移性肝癌(8例)住院且既往无心肺疾患的患者200例。男114例,女86例,年龄27~64岁,平均44.5岁。
1.2 研究方法
两组患者分别摄站立胸部后前位和侧位片,焦-片距150cm,平静呼吸下屏气后摄片。其中9例肝硬化患者和14例非肝硬化患者行肺部CT扫描。层厚和层间距均为10mm,自肺尖直至膈肌。分析和比较2组患者胸部病变的发生率、分布和影像学表现特点。
, 百拇医药
2 结果
2.1 平片表现
肝硬化组肺部网状结节阴影、盘状肺不张和胸腔积液等5种表现的发生率显著高于对照组,并且随着肝功能损害程度的加重,其发生率显著增高(表1)。胸部病变的分布见表2。
表1 胸部异常改变发生情况(例,%)
Child分级
合计
(n=60)
对照组
(n=200)
P值
A(n=20)
, http://www.100md.com
B(n=22)
C(n=18)
肺网状结节影
4(20.0)
12(54.5)
17(94.4)
33(55.0)
19(9.5)
<0.01
盘状肺不张
3(15.0)
9(40.9)
, 百拇医药
17(94.4)
29(48.3)
9(4.5)
<0.01
肺水肿
2(10.0)
5(22.7)
14(35.0)
21(35.0)
7(3.5)
<0.01
肺充血
, http://www.100md.com
0
4(18.2)
7(38.9)
11(18.3)
6(3.0)
<0.05
胸腔积液
4(20.0)
7(31.8)
16(88.9)
27(45.0)
13(6.5)
, http://www.100md.com
<0.01
表2 肝硬化/对照组胸部病变的分布(例)
右侧
左侧
双侧
肺网状结节影
24/14
6/3
3/2
盘状肺不张
16/6
8/1
5/2
, http://www.100md.com
肺水肿
4/1
0/0
17/6
肺充血
4/1
1/0
6/5
胸腔积液
16/7
7/4
4/2
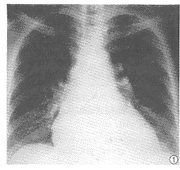
肺内网状结节影:(1)肝硬化组位于肺基底部,呈斑点状或结节状影,散布于增粗的网格状肺纹理之中,互不融合,范围局限(图1)。(2)对照组肺纹理走行及分支正常。
, 百拇医药
图1 肝硬化失代偿期,胸片示右下肺网状结节影
盘状肺不张:(1)肝硬化组靠近膈面但不与之相贴。长约3~6cm,宽0.5~2.0cm。(2)对照组:形态与肝硬化组相似。
肺水肿:(1)肝硬化组多为间质性肺水肿。其中示Kerley A、B、C线者分别为1、10和5例。合并心脏损害者4例表现为肺泡性水肿。(2)对照组表现为间质性和肺泡性水肿者分别为8和5例,前者示Kerley A、B和C线者分别为1、3和1例。
肺充血:(1)肝硬化组肺纹理均一性增粗且境界清晰,中下野肺纹理横行,其间有纤细、扭曲的肺纹理交错,呈网格状改变;当合并肺循环高压或间质性肺水肿时则形成“蜂房”样结构。(2)对照组肺纹理均一性增粗,无网格状纹理。
胸腔积液:(1)肝硬化组:19/27例示肋膈角变钝或填塞。表现为中、大量积液者分别为3和5例,多合并叶间积液(77.8%)和腹水(85.2%)。(2)对照组均为少量积液,表现为肋膈角轻度填塞。
, http://www.100md.com
2.2 肺部CT表现
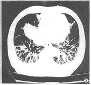
4例肝硬化患者末梢肺血管显著扩张,呈杵状(图2),扩张的血管与胸膜相连。另有3例呈蜂窝状血管扩张(图3)。上述改变均位于肺基底部,5例为双侧,2例为单侧。非肝硬化组肺部无明显改变。
图2 肝硬化失代偿期,CT扫描显示肺末梢血管呈杵状扩张(↑)
图3 肝硬化失代偿期,CT扫描显示肺血管呈“蜂窝”状扩张
3 讨论
X线胸部平片虽不能直接反映肺血管动-静脉分流或海绵状血管扩张等异常改变,但对由此引起的肺水肿、肺不张、肺梗塞和胸腔积液等具有很高的敏感性和准确性。本研究试图借助X线征象的分析,总结HPS患者的胸部X线表现规律,以资同肺部原发性病变相鉴别,指导临床诊治。
, 百拇医药
根据表1分析,肝硬化失代偿期患者易并发多种肺部疾患,其发生率随肝功能损害程度的加重而增高。
位于肺基底部中等大小的斑点状或网状结节阴影是肝硬化患者肺部异常改变的典型表现,在本研究中,55%的肝硬化组患者有此表现,而对照组仅为9.5%。有作者将肝硬化失代偿期患者肺内网状结节阴影视为肺间质炎症[3]。就本组资料分析,多数患者的临床、实验室检查和X线表现特点均不支持此诊断。笔者认为造成肺内网状结节阴影的因素可能为:(1)肺血流量增加,毛细血管通透性增高导致肺基底部局限性水肿。(2)肺血管局限性或弥散性扩张。上述改变非肝硬化患者所特有,亦可发生于肺纤维化或肉芽肿等间质性疾病[1],可通过肺功能测定、血管造影或CT检查将其区分。
盘状肺不张也是肝硬化患者较常见的一种合并症。在本研究中,29例肺不张的患者中肝功能为Child B、C级者分别为9(31.1%)和17例(58.6%),有明显腹水者占89.8%,表明腹水所致横膈抬高是其形成的主要原因。
, 百拇医药
肝硬化患者合并肺水肿的原因可能为[3,4]:(1)血浆白蛋白降低引起胶体渗透压下降;(2)内分泌障碍致毛细血管通透性增加;(3)肺淋巴凝集因子进入胸腔淋巴管;(4)高动力肺循环和门-肺静脉分流等。
肺纹理呈网格状改变系肺血管扩张和肺充血所致。引起肺血管扩张的因素包括[5]:(1)肝功能障碍及门-肺静脉分流使肠源性扩血管物质灭活减少;(2)血管收缩因子缺乏或/和被抑制;(3)局部肺血管内皮对扩血管物质的敏感性增加。
Rubinstein[4]用99mTc标记的白蛋白微粒注入患者的腹腔,采用γ闪烁照相示踪可见示踪剂进入胸腔,且尸检发现横膈腱部有微小裂孔,证明腹水可循此裂孔进入胸腔。此外,腹水也可经横膈淋巴管进入胸腔。低蛋白血症也加重胸水的形成。胸水不断增加引起肺不张、肺炎及低氧血症,并影响心脏功能。
, 百拇医药 肝硬化所致肺部改变的CT表现未见大宗病例报道。本研究中CT表现主要为肺血管末梢明显杵状扩张或海绵状扩张,多位于基底部。这种改变的原因虽不明确,但可解释患者的直立性缺氧。当患者由卧位变为坐位或立位时,肺内血流重新分布,使更多的血液流向肺基底部扩张的血管,以致通气-血流比例失调,PaO2降低。肺血管杵状改变的病例其低氧血症也比较明显。
失代偿期肝硬化患者肺内网状结节影、盘状肺不张、肺水肿和胸腔积液等X线表现不具有特征性。对于这类患者胸片的描述和诊断须密切结合临床资料考虑。肺充血的网格状肺纹理有一定的特征性,但须与肺纤维化和慢性支气管炎等鉴别。胸部CT对于肺血管扩张具有明确的诊断价值。在临床上最容易将肺内网状结节阴影误诊为肺炎,不适当地给患者应用大量的抗生素,此点须引起放射科和内科医师足够重视。
参考文献
1,李颖端,吕维富.肝肺综合征的影像学表现和介入治疗.国外医学临床放射学分册, 1998, 21:201
, 百拇医药
2,Gary A, Abrams T, Carl C,et al. Diagnostic utility of contrast echocardio-graphy and lung perfusion scan in patients with hepatopulmonary syndrome. Gastroenterol, 1995, 109:1283
3,Carrington CB, Gaensler EA, Coutu RE,et al. Natural history and treated course of usual and desquamative interstitial eumentits. N Engl Med, 1978, 298:801
4,Rubinstein D, McInnes IE, Dudley FJ,et al. Hepatic hydrothorax in the absence of clinical sacites: Diagnosis and management. Gastroenterol, 1995, 88:188
5,Chang SW, Ohara N. Pulmonary circulatory dysfunction in rats with biliary cirrhosis. Am Rew Respir Dis, 1992, 145:798
(收稿:1999-12-06 修回:2000-06-28), http://www.100md.com
单位:吕维富(230001 合肥,安徽省立医院放射科);张行明(230001 合肥,安徽省立医院放射科);季学兵(230001 合肥,安徽省立医院放射科);张学兵(230001 合肥,安徽省立医院放射科);荚伟萍(230001 合肥,安徽省立医院放射科)
关键词:
临床放射学杂志001123 肝肺综合征(hepatopulmonary syndrome,HPS)是指在慢性肝病的基础上并发肺动-静脉分流或/和肺血管扩张以及低氧血症[1,2]。有关其生化和病理生理学研究已有报道,但影像学方面未见系统研究。本研究的目的在于探讨HPS基本影像学特征,为临床医师制定诊治方案提供参考意见。
1 材料与方法
, http://www.100md.com
1.1 研究对象
肝硬化组:经临床、实验室检查或/和活检确诊为肝硬化失代偿且既往无心肺疾患的患者60例。男42例,女18例,年龄31~69岁,平均47.7岁。其中乙型病毒性肝炎后肝硬化44例,酒精性9例,胆汁性4例,不明原因3例。肝功能状态属Child A、B、C级者分别为20、22、和18例。呼吸系统症状:17例有不同程度的咳嗽、胸闷和呼吸困难,其中6例表现为直立性呼吸困难。
对照组:同期因患急性乙型病毒性肝炎(84例)、肝囊肿(40例)、血管瘤(37例)、脂肪肝(31例)和转移性肝癌(8例)住院且既往无心肺疾患的患者200例。男114例,女86例,年龄27~64岁,平均44.5岁。
1.2 研究方法
两组患者分别摄站立胸部后前位和侧位片,焦-片距150cm,平静呼吸下屏气后摄片。其中9例肝硬化患者和14例非肝硬化患者行肺部CT扫描。层厚和层间距均为10mm,自肺尖直至膈肌。分析和比较2组患者胸部病变的发生率、分布和影像学表现特点。
, 百拇医药
2 结果
2.1 平片表现
肝硬化组肺部网状结节阴影、盘状肺不张和胸腔积液等5种表现的发生率显著高于对照组,并且随着肝功能损害程度的加重,其发生率显著增高(表1)。胸部病变的分布见表2。
表1 胸部异常改变发生情况(例,%)
Child分级
合计
(n=60)
对照组
(n=200)
P值
A(n=20)
, http://www.100md.com
B(n=22)
C(n=18)
肺网状结节影
4(20.0)
12(54.5)
17(94.4)
33(55.0)
19(9.5)
<0.01
盘状肺不张
3(15.0)
9(40.9)
, 百拇医药
17(94.4)
29(48.3)
9(4.5)
<0.01
肺水肿
2(10.0)
5(22.7)
14(35.0)
21(35.0)
7(3.5)
<0.01
肺充血
, http://www.100md.com
0
4(18.2)
7(38.9)
11(18.3)
6(3.0)
<0.05
胸腔积液
4(20.0)
7(31.8)
16(88.9)
27(45.0)
13(6.5)
, http://www.100md.com
<0.01
表2 肝硬化/对照组胸部病变的分布(例)
右侧
左侧
双侧
肺网状结节影
24/14
6/3
3/2
盘状肺不张
16/6
8/1
5/2
, http://www.100md.com
肺水肿
4/1
0/0
17/6
肺充血
4/1
1/0
6/5
胸腔积液
16/7
7/4
4/2
肺内网状结节影:(1)肝硬化组位于肺基底部,呈斑点状或结节状影,散布于增粗的网格状肺纹理之中,互不融合,范围局限(图1)。(2)对照组肺纹理走行及分支正常。
, 百拇医药
图1 肝硬化失代偿期,胸片示右下肺网状结节影
盘状肺不张:(1)肝硬化组靠近膈面但不与之相贴。长约3~6cm,宽0.5~2.0cm。(2)对照组:形态与肝硬化组相似。
肺水肿:(1)肝硬化组多为间质性肺水肿。其中示Kerley A、B、C线者分别为1、10和5例。合并心脏损害者4例表现为肺泡性水肿。(2)对照组表现为间质性和肺泡性水肿者分别为8和5例,前者示Kerley A、B和C线者分别为1、3和1例。
肺充血:(1)肝硬化组肺纹理均一性增粗且境界清晰,中下野肺纹理横行,其间有纤细、扭曲的肺纹理交错,呈网格状改变;当合并肺循环高压或间质性肺水肿时则形成“蜂房”样结构。(2)对照组肺纹理均一性增粗,无网格状纹理。
胸腔积液:(1)肝硬化组:19/27例示肋膈角变钝或填塞。表现为中、大量积液者分别为3和5例,多合并叶间积液(77.8%)和腹水(85.2%)。(2)对照组均为少量积液,表现为肋膈角轻度填塞。
, http://www.100md.com
2.2 肺部CT表现
4例肝硬化患者末梢肺血管显著扩张,呈杵状(图2),扩张的血管与胸膜相连。另有3例呈蜂窝状血管扩张(图3)。上述改变均位于肺基底部,5例为双侧,2例为单侧。非肝硬化组肺部无明显改变。
图2 肝硬化失代偿期,CT扫描显示肺末梢血管呈杵状扩张(↑)
图3 肝硬化失代偿期,CT扫描显示肺血管呈“蜂窝”状扩张
3 讨论
X线胸部平片虽不能直接反映肺血管动-静脉分流或海绵状血管扩张等异常改变,但对由此引起的肺水肿、肺不张、肺梗塞和胸腔积液等具有很高的敏感性和准确性。本研究试图借助X线征象的分析,总结HPS患者的胸部X线表现规律,以资同肺部原发性病变相鉴别,指导临床诊治。
, 百拇医药
根据表1分析,肝硬化失代偿期患者易并发多种肺部疾患,其发生率随肝功能损害程度的加重而增高。
位于肺基底部中等大小的斑点状或网状结节阴影是肝硬化患者肺部异常改变的典型表现,在本研究中,55%的肝硬化组患者有此表现,而对照组仅为9.5%。有作者将肝硬化失代偿期患者肺内网状结节阴影视为肺间质炎症[3]。就本组资料分析,多数患者的临床、实验室检查和X线表现特点均不支持此诊断。笔者认为造成肺内网状结节阴影的因素可能为:(1)肺血流量增加,毛细血管通透性增高导致肺基底部局限性水肿。(2)肺血管局限性或弥散性扩张。上述改变非肝硬化患者所特有,亦可发生于肺纤维化或肉芽肿等间质性疾病[1],可通过肺功能测定、血管造影或CT检查将其区分。
盘状肺不张也是肝硬化患者较常见的一种合并症。在本研究中,29例肺不张的患者中肝功能为Child B、C级者分别为9(31.1%)和17例(58.6%),有明显腹水者占89.8%,表明腹水所致横膈抬高是其形成的主要原因。
, 百拇医药
肝硬化患者合并肺水肿的原因可能为[3,4]:(1)血浆白蛋白降低引起胶体渗透压下降;(2)内分泌障碍致毛细血管通透性增加;(3)肺淋巴凝集因子进入胸腔淋巴管;(4)高动力肺循环和门-肺静脉分流等。
肺纹理呈网格状改变系肺血管扩张和肺充血所致。引起肺血管扩张的因素包括[5]:(1)肝功能障碍及门-肺静脉分流使肠源性扩血管物质灭活减少;(2)血管收缩因子缺乏或/和被抑制;(3)局部肺血管内皮对扩血管物质的敏感性增加。
Rubinstein[4]用99mTc标记的白蛋白微粒注入患者的腹腔,采用γ闪烁照相示踪可见示踪剂进入胸腔,且尸检发现横膈腱部有微小裂孔,证明腹水可循此裂孔进入胸腔。此外,腹水也可经横膈淋巴管进入胸腔。低蛋白血症也加重胸水的形成。胸水不断增加引起肺不张、肺炎及低氧血症,并影响心脏功能。
, 百拇医药 肝硬化所致肺部改变的CT表现未见大宗病例报道。本研究中CT表现主要为肺血管末梢明显杵状扩张或海绵状扩张,多位于基底部。这种改变的原因虽不明确,但可解释患者的直立性缺氧。当患者由卧位变为坐位或立位时,肺内血流重新分布,使更多的血液流向肺基底部扩张的血管,以致通气-血流比例失调,PaO2降低。肺血管杵状改变的病例其低氧血症也比较明显。
失代偿期肝硬化患者肺内网状结节影、盘状肺不张、肺水肿和胸腔积液等X线表现不具有特征性。对于这类患者胸片的描述和诊断须密切结合临床资料考虑。肺充血的网格状肺纹理有一定的特征性,但须与肺纤维化和慢性支气管炎等鉴别。胸部CT对于肺血管扩张具有明确的诊断价值。在临床上最容易将肺内网状结节阴影误诊为肺炎,不适当地给患者应用大量的抗生素,此点须引起放射科和内科医师足够重视。
参考文献
1,李颖端,吕维富.肝肺综合征的影像学表现和介入治疗.国外医学临床放射学分册, 1998, 21:201
, 百拇医药
2,Gary A, Abrams T, Carl C,et al. Diagnostic utility of contrast echocardio-graphy and lung perfusion scan in patients with hepatopulmonary syndrome. Gastroenterol, 1995, 109:1283
3,Carrington CB, Gaensler EA, Coutu RE,et al. Natural history and treated course of usual and desquamative interstitial eumentits. N Engl Med, 1978, 298:801
4,Rubinstein D, McInnes IE, Dudley FJ,et al. Hepatic hydrothorax in the absence of clinical sacites: Diagnosis and management. Gastroenterol, 1995, 88:188
5,Chang SW, Ohara N. Pulmonary circulatory dysfunction in rats with biliary cirrhosis. Am Rew Respir Dis, 1992, 145:798
(收稿:1999-12-06 修回:2000-06-28), http://www.100md.com