假肿瘤性胰腺炎的CT表现
作者:陈韵彬 Hoeffel JC 李铭山
单位:陈韵彬(350014 福州,福建省肿瘤医院放射科);Hoeffel JC(法国南锡医学院附属贞德医院放射科);李铭山(福州,南京军区福州总医院影像科)
关键词:胰腺炎;假肿瘤;CT诊断
临床放射学杂志001113 【摘要】 目的 提高对慢性假肿瘤性胰腺炎的影像学特征的认识。 材料与方法 回顾性分析12例经临床、病理诊断的假肿瘤性胰腺炎的特点。 结果 12例均见胰腺实质肿块形成,大多为类圆形,直径为2.5~4cm,边缘规则,肿块较均质。如肿块较大,则密度不均,中心坏死,边缘不规则。8例肿块内有钙化。CT增强扫描肿块大多呈明显强化。11例位于胰头部,1例位于胰体部。7例B超呈低回声,5例为不均匀回声。 结论 假肿瘤性胰腺炎与胰腺癌的鉴别极为困难,有时甚至是不可能的。但是结合临床过程,影像特征综合分析,可提高诊断率。
, 百拇医药
CT Findings of Chronic Pseudotumorous Pancreatitis
CHEN Yunbin, J.C. Hoeffel, LI Mingshan.
(Department of Radiology, Fujian Provincial Cancer Hospital, Fuzhou, Fujian Province 350014, P.R.China)
【Abstract】 Objective To make a further understanding of the imaging features of the chronic pseudotumorous pancreatitis. Materials and Methods CT findings in 12 patients with clinically- and pathologically-proved pseudotumorous pancreatitis were retrospectively analyzed. Results Mass shadow in pancreatic parenchyma was seen in all 12 patients. The masses presented as round, homogeneous density with regular edge and 2.5~4 cm in diameter. Calcification within the mass was seen in 8 cases. Bigger mass demonstrated inhomogeneous density and central necrosis with irregular edge. Marked enhancement were seen in most cases. One mass was located in the pancreatic body, while the other 11 in pancreatic head. On sonography, 7 cases demonstrated low echo and 5 cases inhomogeneous echo. Conclusion A correct diagnosis of chronic pseudotumorous pancrea-titis can be made based on analyzing clinical history and imaging features, although differentiation with pancreatic carcinoma is usually very difficult in some cases.
, 百拇医药
【Key words】 Pancreatitis Pseudotumor Tomography,X-ray computed Diagnosis
假肿瘤性胰腺炎发现率较低,临床影像诊断困难,与胰腺癌的鉴别更难。为提高对本病影像特征的认识,本文报道12例经CT扫描、临床和手术病理证实的假肿瘤性胰腺炎,复习文献,讨论其诊断要点。
1 材料与方法
12例均为男性,年龄36~64岁,平均51岁。均有大量饮酒史达6年以上。11例有反复慢性胰腺炎急性发作史,临床主要表现为腹痛,7例伴有黄疸,4例酒精性肝硬化,3例合并门脉高压,3例血、尿淀粉酶升高,3例血糖增高。经治疗后症状消失。8例经2~11年的临床CT扫描随访。4例误诊为胰腺癌行手术并经病理证实为假肿瘤性胰腺炎。12例均行腹部CT平扫和增强扫描。使用西门子Somaton ARC,西门子Somaton Plus 4 CT机,扫描范围从横膈到髂总动脉。于CT扫描前2小时分次口服1%泛影葡胺溶液1000ml,以5mm层厚和层距对胰腺区(其余区域10mm层厚和层距)进行平扫和静脉团注100ml对比剂增强扫描,并作肿块、腹腔动脉干及肠系膜上动脉管径测量。
, http://www.100md.com
2 结果
12例CT扫描均见胰腺实质内肿块形成。11例肿块位于胰头部,1例位于胰体部。6例为类圆形,直径为2.5~3cm,4例直径3.5~4cm,边缘规则,较均质,平扫CT值40~60HU,强化后70~110HU,与胰腺实质类似(图1)。2例直径大于4cm,密度不均,内见液化坏死灶,边缘不规则(图2)。8例见肿块内钙化(图3)。7例肿块B超表现为低回声,5例为不均匀回声。
图1 胰头部一类圆形肿块,直径为2.5cm,边缘规则,较均质,平扫CT值50~60HU,强化后80~90HU,与胰腺类似
图2 胰尾肿块大小为4.5cm×5cm×6cm,密度不均,中央见液化坏死灶,边缘不规则
, 百拇医药
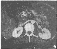
图3 胰头部肿块内散在钙化
10例胰腺实质内有散在钙化,多较粗大。11例实质内散在小囊性病灶。8例Wirsung管受压变窄,其远端胰管不规则扩张,直径平均5mm。7例胆总管胰头部受压变窄,狭窄段呈移行性、光滑,狭窄近端胆管扩张,其中2例直径大于16mm,其余为8~10mm,平均9.5mm。双管同时扩张7例。治疗1年后随访,扩张之胆总管均缩至7mm以下。9例炎症过程累及胰腺周围,尤其是下腔静脉、腹主动脉及其分支腹腔动脉干等血管间隙,7例表现为斑点、条索、片状失脂肪密度。2例腹腔动脉干,肠系膜上动、静脉受累,血管被包绕,管壁增厚,管腔狭窄(图4)。12例腹腔动脉干直径均小于6mm,肠系膜上动脉直径平均小于7mm,肠系膜上静脉直径均小于12mm,平均11mm,肠系膜上动、静脉的比值均小于1。2例腹膜后淋巴结肿大,直径15~20mm(图5)。
图4 炎症过程累及下腔静脉、腹主动脉及其分支周围。
, 百拇医药
肠系膜上动脉被包绕,管壁增厚,管腔狭窄
图5腹膜后见淋巴结肿大,直径15mm
3 讨论
局灶性胰腺炎又称假肿瘤性胰腺炎,占慢性胰腺炎的10%~36%[1,2],其特点为胰腺实质肿块形成,它与胰腺癌的鉴别极为困难,有时甚至是不可能的[3]。30%~50%假肿瘤性胰腺炎被误为胰腺癌而行手术治疗。术前诊为胰十二指肠区恶性病变而行胰十二指肠切除术病例中,5%~24%术后病理诊为假肿瘤性胰腺炎[3,4]。本文回顾性分析12例假肿瘤性胰腺炎的影像特征,结合临床过程,提出诊断要点。
在临床上,90%~92%慢性假肿瘤性胰腺炎患者有慢性酒精中毒,至少有6年以上饮酒史。85%病例有慢性胰腺炎反复急性发作史。致病机理为酒精刺激胰液分泌增加,胰管内蛋白质沉淀物填塞,当分泌超过排泄时,胰液溢出管外,破坏胰腺组织。慢性胰腺炎患者平均年龄51岁,比胰腺癌患者小10岁,男性多见[2,4]。本组均为男性。当肿块位于胰头部时,54%病例出现间歇性黄疸,而胰头癌所致的黄疸特点为进行性加重。85%假肿瘤性胰腺炎患者上腹部可触及肿块,该肿块质地较硬[4]。本组3例于术中触摸肿块质硬也认为是胰腺癌,因此术中冰冻切片是必要的。
, http://www.100md.com
在病理形态学上,慢性胰腺炎较迟阶段,胰腺可能灶性增大,也可能弥漫增大。病灶区腺体消失,代之以纤维细胞、炎症细胞、Langherans岛[2]。胰腺炎性肿块大多为类圆形,直径3~4cm,均质,边缘规则。如肿块较大,中心可坏死。绝大多数假肿瘤性胰腺炎性肿块血供丰富,而胰腺癌血供一般较差,为二者的重要鉴别点之一[5]。92%慢性胰腺炎胰腺实质发生囊性变,75%散在钙化,而胰腺癌一般罕见这些改变。53%胰腺炎性肿块压迫胰管致其狭窄近段胰管不规则扩张,有时Wirsung管呈串珠样改变,扩张的胰管含有粘稠的胰液。后者常沉淀结石。50%~62%的慢性胰腺炎所致胆总管胰头部受压变窄,多较狭长,直至乳头;边缘光滑,其近段胆道扩张或不扩张,如扩张其管径常随胰腺病灶的变化而异。本组1年以后随访发现扩张之胆总管均缩至7mm以下,同时黄疸消失。而胰腺癌时胆总管下段常为突然中断,其近段胆管全部扩张,或不完全狭窄呈“V”型,收缩成角。近段胰管扩张也是均匀的。90%的胰腺癌可出现双管征,而慢性胰腺炎仅20%有此征[1,2]。
, http://www.100md.com
假肿瘤性胰腺肿块93%位于胰头部,可能与此处胰管的解剖分布特点有关。胰头上部分是由Santorini管引流的,该管开口于十二指肠小乳头,66%的正常胰腺小乳头关闭,胰液逆流至与Santorini管以锐角相连的Wirsung管,当管内蛋白质沉淀物增多,胰液粘稠度增加,分泌量增多时,胰液引流受阻,首先漫溢到Santorini管引流区域的胰头部实质内。85%以上胰腺癌来源于胰管细胞,故80%的胰腺癌发生于胰头部[2]。
在医学影像诊断学上,B超作为简便而有效的检查技术被常规应用,它不仅能清楚显示胰腺实质,而且能任意轴位地探查胆管系统,发现扩张、狭窄部位及其他特点。91%假肿瘤性肿块为低回声[2]。经腹腔动脉注入二氧化碳微气泡对比剂检查显示,95%假肿瘤性胰腺肿块呈明显强化,而胰腺癌多无明显强化,该技术敏感性、准确性均较CT、DSA高[5]。
CT是诊断假肿瘤性胰腺炎之较佳诊断技术。大多假肿瘤性胰腺肿块有下述特征:(1)密度:77%~83%较均匀,略高于胰腺实质。(2)强化特点:92%明显强化,其中25%高于邻近胰腺实质,67%类似于邻近胰腺实质。强化后CT值增高20~50HU。除可能由于血供丰富外,还可能由于慢性胰腺炎急性发作时,血管活性物质释放,引起血管扩张,毛细血管通透性增加[2]。8%无明显强化。这可解释为慢性胰腺炎晚期,动脉内膜下或中层纤维化,管壁增厚。16%腹腔动脉干,肠系膜上动脉管壁不规则增厚,管腔狭窄,肿块血供差。此假设被动物实验证实:慢性胰腺炎患猪的胰腺实质内小动脉分布减少,管径变小,外分泌实质萎缩,纤维化[2]。(3)形态:多呈圆或类圆形,边缘多规则,当大于5cm时,则欠规则。(4)胰腺周围血管间隙内脂肪受浸润:本组60%观察到此征,尤其是腹主动脉及其分支腹腔动脉干,肠系膜上动脉周围,轻者(78%)表现为斑点、条索、片状失脂肪密度,重者(22%)血管管壁增厚,管腔狭窄。这些改变曾被认为是胰腺癌直接浸润,淋巴浸润和胰腺癌反应性结缔组织增生的结果,为胰腺癌鉴别于胰腺炎之特征。然而,近年作者报道血管周围脂肪浸润亦见于胰腺炎[6],应引起影像诊断医生的注意。(5)肠系膜上动、静脉管径的变化:胰腺炎时,肠系膜上静脉扩张,这可能由于血管活性物质改变了胰腺的血流状况,也可能由于通过肠系膜上动脉的血流量增加使静脉壁代偿性扩张。相反,当胰腺癌时,肠系膜上动脉直径增大。因此,当肠系膜上动、静脉的比值大于1时,应警惕胰腺癌。本组12例肠系膜上动、静脉的比值均小于1,提示良性病变,与文献报道一致[7]。(6)钙化:47%~67%假肿瘤性胰腺肿块内有钙化。77%慢性胰腺炎胰腺实质内散在钙化。慢性胰腺炎是胰液内蛋白质沉淀物所产生的结石性疾病,钙化为这一病理过程的证据之一[2]。(7)16%淋巴结直径3~11mm(平均5~7mm),其大小在胰腺炎和胰腺癌之间的差别无意义。
, http://www.100md.com
随着腹部MRI技术的日趋成熟(如脂肪抑制序列,动态扫描),它对诊断胰腺病变之价值亦日益增加。它能发现假肿瘤性胰腺肿块内纤维灶,提供较有意义的诊断信息。纤维灶表现典型时,T1、T2像均呈低信号,有时假肿瘤性胰腺肿块T1呈低信号,T2信号略高于周围胰腺实质,尤其应注意的是在注入对比剂动态扫描的早期序列图像上,可观察到纤维灶无明显强化,而同时周围胰腺实质则已明显强化[8]。MRCP成像为一非侵入性影像检查的技术,它不仅可发现胆总管、胰管病变,而且可观察无扩张的2、3级肝内胆管。它显示胆管、胰管病变征象的敏感性与传统的胰胆管造影相同[9]。
在鉴别诊断时,应注意胰腺炎与胰腺癌并存,或小胰腺癌近段胰腺实质内并发阻塞性胰腺炎。细胞学检查阳性可确诊,但假阴性率高,阴性对诊断无帮助[10]。
内分泌肿瘤,占胰腺肿瘤的2.5%,可多发或单发,罕见继发胰胆管阻塞和阻塞性胰腺炎[1]。分泌性内分泌肿瘤有其相应的血液生化特点和临床症状,鉴别并不困难。非分泌性内分泌肿瘤须与假肿瘤性胰腺肿块鉴别。前者CT密度平扫多略高于胰腺实质,增强后明显均匀强化。MRI示T1低信号T2高信号[11]。
, 百拇医药
参考文献
1,Evans JD, Morton DG, Neoptolemos JP. Chronic pancreatitis and pancreatic carcinoma. Postgrad. Med J, 1997, 73:543
2,Mougniot C. Pancreatitis pseudotumorales a propos de quatre cas. These pour le doctorat en medicine marseille, 1993
3,Smith CD, Behrns KE, Vanheerden JA,et al. Radical pancreatoduodenectomy for misdiagnosed pancreatic mass. British Journal of Surgery, 1994, 81:585
, 百拇医药
4,Yamaguchi K, Tanaka M. Groove pancreatitis masquerading as pancreatic carcinoma. AJS, 1992, 163:312
5,Koito K, Namieno T, Nagakawa T,et al. Inflammatory pancreatic masses: Differentiation from ductal carcinomas with contrast-enhanced sonography using carbon dioxide microbubbles. AJR, 1997, 169:1263
6,Scott JS, Richard LB, Saari A,et al. Root of the superior mesenteric artery in pancreatitis and pancreatic carcinoma: Evaluation with CT. Radiology, 1991, 180:659
, 百拇医药
7,Elmas N, Yorulmaz I, Oran I,et al. A new criterion in differentiation of pancreatitis and pancreatic carcinoma: Artery-to-vein ratio using the superior mesenterior vessels. Abdom Imaging, 1996, 21:331
8,Irie H, Honda H, Kuroiwa T,et al. MRI of groove pancreatitis. Journal of Computer Assisted Tomography. 1998, 22:651
9,Taourel P, Calvet C, Lecesne R. Apport de la cholangiopancreatographie MRI dans la pathologic desvoies biliaires et pancreatique. Radiol, 1997, 78:615
, 百拇医药
10,Haas O, Guillard G, Rat P,et al. Pancreatic carcinoma developing in pancreatitis: A report of four cases. Hepato-gastroenterol,1990, 37:350
11,Moore N, Rogers C, Britton B. Magnetic resonance imaging of endocrine tumours of the pancreas. The British Journal of Radiology, 1995, 68:341
(收稿:2000-05-31), 百拇医药
单位:陈韵彬(350014 福州,福建省肿瘤医院放射科);Hoeffel JC(法国南锡医学院附属贞德医院放射科);李铭山(福州,南京军区福州总医院影像科)
关键词:胰腺炎;假肿瘤;CT诊断
临床放射学杂志001113 【摘要】 目的 提高对慢性假肿瘤性胰腺炎的影像学特征的认识。 材料与方法 回顾性分析12例经临床、病理诊断的假肿瘤性胰腺炎的特点。 结果 12例均见胰腺实质肿块形成,大多为类圆形,直径为2.5~4cm,边缘规则,肿块较均质。如肿块较大,则密度不均,中心坏死,边缘不规则。8例肿块内有钙化。CT增强扫描肿块大多呈明显强化。11例位于胰头部,1例位于胰体部。7例B超呈低回声,5例为不均匀回声。 结论 假肿瘤性胰腺炎与胰腺癌的鉴别极为困难,有时甚至是不可能的。但是结合临床过程,影像特征综合分析,可提高诊断率。
, 百拇医药
CT Findings of Chronic Pseudotumorous Pancreatitis
CHEN Yunbin, J.C. Hoeffel, LI Mingshan.
(Department of Radiology, Fujian Provincial Cancer Hospital, Fuzhou, Fujian Province 350014, P.R.China)
【Abstract】 Objective To make a further understanding of the imaging features of the chronic pseudotumorous pancreatitis. Materials and Methods CT findings in 12 patients with clinically- and pathologically-proved pseudotumorous pancreatitis were retrospectively analyzed. Results Mass shadow in pancreatic parenchyma was seen in all 12 patients. The masses presented as round, homogeneous density with regular edge and 2.5~4 cm in diameter. Calcification within the mass was seen in 8 cases. Bigger mass demonstrated inhomogeneous density and central necrosis with irregular edge. Marked enhancement were seen in most cases. One mass was located in the pancreatic body, while the other 11 in pancreatic head. On sonography, 7 cases demonstrated low echo and 5 cases inhomogeneous echo. Conclusion A correct diagnosis of chronic pseudotumorous pancrea-titis can be made based on analyzing clinical history and imaging features, although differentiation with pancreatic carcinoma is usually very difficult in some cases.
, 百拇医药
【Key words】 Pancreatitis Pseudotumor Tomography,X-ray computed Diagnosis
假肿瘤性胰腺炎发现率较低,临床影像诊断困难,与胰腺癌的鉴别更难。为提高对本病影像特征的认识,本文报道12例经CT扫描、临床和手术病理证实的假肿瘤性胰腺炎,复习文献,讨论其诊断要点。
1 材料与方法
12例均为男性,年龄36~64岁,平均51岁。均有大量饮酒史达6年以上。11例有反复慢性胰腺炎急性发作史,临床主要表现为腹痛,7例伴有黄疸,4例酒精性肝硬化,3例合并门脉高压,3例血、尿淀粉酶升高,3例血糖增高。经治疗后症状消失。8例经2~11年的临床CT扫描随访。4例误诊为胰腺癌行手术并经病理证实为假肿瘤性胰腺炎。12例均行腹部CT平扫和增强扫描。使用西门子Somaton ARC,西门子Somaton Plus 4 CT机,扫描范围从横膈到髂总动脉。于CT扫描前2小时分次口服1%泛影葡胺溶液1000ml,以5mm层厚和层距对胰腺区(其余区域10mm层厚和层距)进行平扫和静脉团注100ml对比剂增强扫描,并作肿块、腹腔动脉干及肠系膜上动脉管径测量。
, http://www.100md.com
2 结果
12例CT扫描均见胰腺实质内肿块形成。11例肿块位于胰头部,1例位于胰体部。6例为类圆形,直径为2.5~3cm,4例直径3.5~4cm,边缘规则,较均质,平扫CT值40~60HU,强化后70~110HU,与胰腺实质类似(图1)。2例直径大于4cm,密度不均,内见液化坏死灶,边缘不规则(图2)。8例见肿块内钙化(图3)。7例肿块B超表现为低回声,5例为不均匀回声。
图1 胰头部一类圆形肿块,直径为2.5cm,边缘规则,较均质,平扫CT值50~60HU,强化后80~90HU,与胰腺类似
图2 胰尾肿块大小为4.5cm×5cm×6cm,密度不均,中央见液化坏死灶,边缘不规则
, 百拇医药
图3 胰头部肿块内散在钙化
10例胰腺实质内有散在钙化,多较粗大。11例实质内散在小囊性病灶。8例Wirsung管受压变窄,其远端胰管不规则扩张,直径平均5mm。7例胆总管胰头部受压变窄,狭窄段呈移行性、光滑,狭窄近端胆管扩张,其中2例直径大于16mm,其余为8~10mm,平均9.5mm。双管同时扩张7例。治疗1年后随访,扩张之胆总管均缩至7mm以下。9例炎症过程累及胰腺周围,尤其是下腔静脉、腹主动脉及其分支腹腔动脉干等血管间隙,7例表现为斑点、条索、片状失脂肪密度。2例腹腔动脉干,肠系膜上动、静脉受累,血管被包绕,管壁增厚,管腔狭窄(图4)。12例腹腔动脉干直径均小于6mm,肠系膜上动脉直径平均小于7mm,肠系膜上静脉直径均小于12mm,平均11mm,肠系膜上动、静脉的比值均小于1。2例腹膜后淋巴结肿大,直径15~20mm(图5)。
图4 炎症过程累及下腔静脉、腹主动脉及其分支周围。
, 百拇医药
肠系膜上动脉被包绕,管壁增厚,管腔狭窄
图5腹膜后见淋巴结肿大,直径15mm
3 讨论
局灶性胰腺炎又称假肿瘤性胰腺炎,占慢性胰腺炎的10%~36%[1,2],其特点为胰腺实质肿块形成,它与胰腺癌的鉴别极为困难,有时甚至是不可能的[3]。30%~50%假肿瘤性胰腺炎被误为胰腺癌而行手术治疗。术前诊为胰十二指肠区恶性病变而行胰十二指肠切除术病例中,5%~24%术后病理诊为假肿瘤性胰腺炎[3,4]。本文回顾性分析12例假肿瘤性胰腺炎的影像特征,结合临床过程,提出诊断要点。
在临床上,90%~92%慢性假肿瘤性胰腺炎患者有慢性酒精中毒,至少有6年以上饮酒史。85%病例有慢性胰腺炎反复急性发作史。致病机理为酒精刺激胰液分泌增加,胰管内蛋白质沉淀物填塞,当分泌超过排泄时,胰液溢出管外,破坏胰腺组织。慢性胰腺炎患者平均年龄51岁,比胰腺癌患者小10岁,男性多见[2,4]。本组均为男性。当肿块位于胰头部时,54%病例出现间歇性黄疸,而胰头癌所致的黄疸特点为进行性加重。85%假肿瘤性胰腺炎患者上腹部可触及肿块,该肿块质地较硬[4]。本组3例于术中触摸肿块质硬也认为是胰腺癌,因此术中冰冻切片是必要的。
, http://www.100md.com
在病理形态学上,慢性胰腺炎较迟阶段,胰腺可能灶性增大,也可能弥漫增大。病灶区腺体消失,代之以纤维细胞、炎症细胞、Langherans岛[2]。胰腺炎性肿块大多为类圆形,直径3~4cm,均质,边缘规则。如肿块较大,中心可坏死。绝大多数假肿瘤性胰腺炎性肿块血供丰富,而胰腺癌血供一般较差,为二者的重要鉴别点之一[5]。92%慢性胰腺炎胰腺实质发生囊性变,75%散在钙化,而胰腺癌一般罕见这些改变。53%胰腺炎性肿块压迫胰管致其狭窄近段胰管不规则扩张,有时Wirsung管呈串珠样改变,扩张的胰管含有粘稠的胰液。后者常沉淀结石。50%~62%的慢性胰腺炎所致胆总管胰头部受压变窄,多较狭长,直至乳头;边缘光滑,其近段胆道扩张或不扩张,如扩张其管径常随胰腺病灶的变化而异。本组1年以后随访发现扩张之胆总管均缩至7mm以下,同时黄疸消失。而胰腺癌时胆总管下段常为突然中断,其近段胆管全部扩张,或不完全狭窄呈“V”型,收缩成角。近段胰管扩张也是均匀的。90%的胰腺癌可出现双管征,而慢性胰腺炎仅20%有此征[1,2]。
, http://www.100md.com
假肿瘤性胰腺肿块93%位于胰头部,可能与此处胰管的解剖分布特点有关。胰头上部分是由Santorini管引流的,该管开口于十二指肠小乳头,66%的正常胰腺小乳头关闭,胰液逆流至与Santorini管以锐角相连的Wirsung管,当管内蛋白质沉淀物增多,胰液粘稠度增加,分泌量增多时,胰液引流受阻,首先漫溢到Santorini管引流区域的胰头部实质内。85%以上胰腺癌来源于胰管细胞,故80%的胰腺癌发生于胰头部[2]。
在医学影像诊断学上,B超作为简便而有效的检查技术被常规应用,它不仅能清楚显示胰腺实质,而且能任意轴位地探查胆管系统,发现扩张、狭窄部位及其他特点。91%假肿瘤性肿块为低回声[2]。经腹腔动脉注入二氧化碳微气泡对比剂检查显示,95%假肿瘤性胰腺肿块呈明显强化,而胰腺癌多无明显强化,该技术敏感性、准确性均较CT、DSA高[5]。
CT是诊断假肿瘤性胰腺炎之较佳诊断技术。大多假肿瘤性胰腺肿块有下述特征:(1)密度:77%~83%较均匀,略高于胰腺实质。(2)强化特点:92%明显强化,其中25%高于邻近胰腺实质,67%类似于邻近胰腺实质。强化后CT值增高20~50HU。除可能由于血供丰富外,还可能由于慢性胰腺炎急性发作时,血管活性物质释放,引起血管扩张,毛细血管通透性增加[2]。8%无明显强化。这可解释为慢性胰腺炎晚期,动脉内膜下或中层纤维化,管壁增厚。16%腹腔动脉干,肠系膜上动脉管壁不规则增厚,管腔狭窄,肿块血供差。此假设被动物实验证实:慢性胰腺炎患猪的胰腺实质内小动脉分布减少,管径变小,外分泌实质萎缩,纤维化[2]。(3)形态:多呈圆或类圆形,边缘多规则,当大于5cm时,则欠规则。(4)胰腺周围血管间隙内脂肪受浸润:本组60%观察到此征,尤其是腹主动脉及其分支腹腔动脉干,肠系膜上动脉周围,轻者(78%)表现为斑点、条索、片状失脂肪密度,重者(22%)血管管壁增厚,管腔狭窄。这些改变曾被认为是胰腺癌直接浸润,淋巴浸润和胰腺癌反应性结缔组织增生的结果,为胰腺癌鉴别于胰腺炎之特征。然而,近年作者报道血管周围脂肪浸润亦见于胰腺炎[6],应引起影像诊断医生的注意。(5)肠系膜上动、静脉管径的变化:胰腺炎时,肠系膜上静脉扩张,这可能由于血管活性物质改变了胰腺的血流状况,也可能由于通过肠系膜上动脉的血流量增加使静脉壁代偿性扩张。相反,当胰腺癌时,肠系膜上动脉直径增大。因此,当肠系膜上动、静脉的比值大于1时,应警惕胰腺癌。本组12例肠系膜上动、静脉的比值均小于1,提示良性病变,与文献报道一致[7]。(6)钙化:47%~67%假肿瘤性胰腺肿块内有钙化。77%慢性胰腺炎胰腺实质内散在钙化。慢性胰腺炎是胰液内蛋白质沉淀物所产生的结石性疾病,钙化为这一病理过程的证据之一[2]。(7)16%淋巴结直径3~11mm(平均5~7mm),其大小在胰腺炎和胰腺癌之间的差别无意义。
, http://www.100md.com
随着腹部MRI技术的日趋成熟(如脂肪抑制序列,动态扫描),它对诊断胰腺病变之价值亦日益增加。它能发现假肿瘤性胰腺肿块内纤维灶,提供较有意义的诊断信息。纤维灶表现典型时,T1、T2像均呈低信号,有时假肿瘤性胰腺肿块T1呈低信号,T2信号略高于周围胰腺实质,尤其应注意的是在注入对比剂动态扫描的早期序列图像上,可观察到纤维灶无明显强化,而同时周围胰腺实质则已明显强化[8]。MRCP成像为一非侵入性影像检查的技术,它不仅可发现胆总管、胰管病变,而且可观察无扩张的2、3级肝内胆管。它显示胆管、胰管病变征象的敏感性与传统的胰胆管造影相同[9]。
在鉴别诊断时,应注意胰腺炎与胰腺癌并存,或小胰腺癌近段胰腺实质内并发阻塞性胰腺炎。细胞学检查阳性可确诊,但假阴性率高,阴性对诊断无帮助[10]。
内分泌肿瘤,占胰腺肿瘤的2.5%,可多发或单发,罕见继发胰胆管阻塞和阻塞性胰腺炎[1]。分泌性内分泌肿瘤有其相应的血液生化特点和临床症状,鉴别并不困难。非分泌性内分泌肿瘤须与假肿瘤性胰腺肿块鉴别。前者CT密度平扫多略高于胰腺实质,增强后明显均匀强化。MRI示T1低信号T2高信号[11]。
, 百拇医药
参考文献
1,Evans JD, Morton DG, Neoptolemos JP. Chronic pancreatitis and pancreatic carcinoma. Postgrad. Med J, 1997, 73:543
2,Mougniot C. Pancreatitis pseudotumorales a propos de quatre cas. These pour le doctorat en medicine marseille, 1993
3,Smith CD, Behrns KE, Vanheerden JA,et al. Radical pancreatoduodenectomy for misdiagnosed pancreatic mass. British Journal of Surgery, 1994, 81:585
, 百拇医药
4,Yamaguchi K, Tanaka M. Groove pancreatitis masquerading as pancreatic carcinoma. AJS, 1992, 163:312
5,Koito K, Namieno T, Nagakawa T,et al. Inflammatory pancreatic masses: Differentiation from ductal carcinomas with contrast-enhanced sonography using carbon dioxide microbubbles. AJR, 1997, 169:1263
6,Scott JS, Richard LB, Saari A,et al. Root of the superior mesenteric artery in pancreatitis and pancreatic carcinoma: Evaluation with CT. Radiology, 1991, 180:659
, 百拇医药
7,Elmas N, Yorulmaz I, Oran I,et al. A new criterion in differentiation of pancreatitis and pancreatic carcinoma: Artery-to-vein ratio using the superior mesenterior vessels. Abdom Imaging, 1996, 21:331
8,Irie H, Honda H, Kuroiwa T,et al. MRI of groove pancreatitis. Journal of Computer Assisted Tomography. 1998, 22:651
9,Taourel P, Calvet C, Lecesne R. Apport de la cholangiopancreatographie MRI dans la pathologic desvoies biliaires et pancreatique. Radiol, 1997, 78:615
, 百拇医药
10,Haas O, Guillard G, Rat P,et al. Pancreatic carcinoma developing in pancreatitis: A report of four cases. Hepato-gastroenterol,1990, 37:350
11,Moore N, Rogers C, Britton B. Magnetic resonance imaging of endocrine tumours of the pancreas. The British Journal of Radiology, 1995, 68:341
(收稿:2000-05-31), 百拇医药