Budd-Chiari综合征的MRI诊断
作者:徐凯 祖茂衡 徐浩 崔建华 任忠清 冯守信 顾玉明 魏宁
单位:徐凯(221002 徐州医学院附属医院影像科);祖茂衡(221002 徐州医学院附属医院影像科);徐浩(221002 徐州医学院附属医院影像科);崔建华(221002 徐州医学院附属医院影像科);任忠清(221002 徐州医学院附属医院影像科)
关键词:腔静脉,下;肝静脉栓塞;磁共振成像
临床放射学杂志001112 【摘要】 目的 探讨MRI对Budd-Chiari综合征的诊断价值。 材料与方法 分析19例Budd-Chiari综合征的MRI表现,并与超声和静脉造影进行对比。 结果 肝脏增大18例(95%),肝尾叶增大14例(74%),肝脏信号不均匀14例(74%),7例(37%)显示下腔静脉阻塞,4例(21%)下腔静脉内见有血栓,肝静脉狭窄或阻塞19例(100%),17例(89%)显示有肝内侧支血管,17例(89%)显示肝外侧支血管,5例有副肝静脉(26%)。 结论 MRI对于Budd-Chiari综合征的诊断有较高的价值。
, 百拇医药
MRI Diagnosis of Budd-Chiari Syndrome
XU Kai, ZU Maoheng, XU Hao,et al.
(Department of Radiology, The Affiliated Hospital, Xuzhou Medical College, Xuzhou, Jiangsu Province 221002, P.R.China)
【Abstract】 Objective To evaluate MRI in the diagnosis of Budd-Chiari syndrome. Materials and Methods MRI features of 19 cases with Budd-Chiari syndrome were analyzed. The findings were compared with that of sonography and venography. Results MRI demonstrated hepato-megaly in 18(95%) and enlarged caudate lobe in 14(74%) patients. Inhomogeneous signal intensity of hepatic parenchyma was seen in 14(74%) cases, obstructed inferior vena cava in 7(37%), thrombosis in inferior vena cava in 4(21%) and narrowed or obstructed hepatic veins in 19(100%). Intrahepatic collateral vessels, extrahepatic collateral vessels and accessory hepatic veins were displayed in 17(89%), 17(89%) and 5(26%) cases, respectively. Conclusion MRI has considerable value in the diagnosis of Budd-Chiari syndrome.
, 百拇医药
【Key words】 Vena cava,inferior Hepatic vein thrombosis MRI
布-加氏综合征(Budd-Chiari syndrome,BCS)是因肝静脉和/或肝静脉开口水平以上的下腔静脉阻塞或狭窄导致窦后性门脉高压的一组临床综合征[1~6]。多年来BCS一直被认为预后较差,近年由于介入放射学技术的迅速发展取得了较好的治疗效果,而术前的影像学检查尤为重要。笔者分析了19例BCS的MRI表现,并与其他检查方法进行比较,探讨其诊断价值。
1 材料与方法
本组19例,男11例,女8例。年龄25~64岁,平均41.9岁。所有患者均经MRI、超声和静脉造影证实,6例经CT检查。病史20天~20年。主要临床表现为腹胀、食欲不振、腹痛、乏力、消化道出血、肝脾肿大、胸腹壁静脉曲张、下肢水肿、下肢色素沉着和静脉曲张等。
, 百拇医药
MRI检查采用Philips T5-NT 0.5T超导型磁共振机,自旋回波(SE)序列,体部线圈采集信号。T1WI:TR=425~500ms,TE=110~14ms;T2WI:TR=1800~2600ms,TE=12~100ms。层厚9mm,层距0.9mm,FOV 360mm,矩阵128×256,常规使用呼吸补偿和空间预饱和,均取轴位、冠状位像,4例同时加矢状位扫描。超声检查采用ATL3000型多功能超声诊断仪。静脉造影采用Seldinger穿刺法经股静脉插管行下腔静脉造影,10例同时经颈静脉插管行肝静脉造影,16例造影后行球囊扩张血管成形术,3例在扩张静脉狭窄段后置放内支架。
2 结果
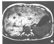
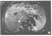
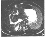
19例中,肝脏增大18例(95%),尾叶增大14例(74%)。14例(74%)肝脏信号不均,T2WI呈斑片状稍高信号,T1WI呈稍低信号且较明显(图1~3)。7例(37%)显示下腔静脉入右心房处阻塞;4例(21%)下腔静脉内有血栓影,表现为T1WI呈等信号,T2WI呈稍高信号;下腔静脉肝后段裂隙样狭窄10例(53%)。19例(100%)均显示肝静脉狭窄或阻塞,其中累及左肝静脉15例,中肝静脉13例,右肝静脉11例。17例(89%)见有肝内侧支血管呈“逗号”样或迂曲、走行无规律的血管影,5例(26%)显示有副肝静脉,呈粗大的血管影自肝右叶连于下腔静脉的右侧壁(图4~6)。17例(89%)见有肝外侧支血管,其中7例腹壁静脉曲张,14例(74%)有粗大的奇静脉和/或半奇静脉影,膈下静脉曲张3例,胃底静脉曲张3例。脾脏增大16例(84%),7例(37%)有腹水。
, 百拇医药
图1 T1WI显示肝脏增大,信号不均匀,肝内见不规则形且
走行无规律的侧支血管影,下腔静脉受压变窄
图2 与图1同一病例。静脉造影显示肝静脉部分阻塞,肝内侧支血管
图3 T1WI显示肝尾叶明显增大,半奇静脉、椎旁静脉扩张
图4 T2WI显示副肝静脉汇入下腔静脉,脾脏增大
, 百拇医药
图5 矢状位显示下腔静脉入右房处节段性阻塞
图6 与图4、5同一病例。下腔静脉造影示下腔静脉入右房处阻塞,下腔静脉右侧壁副肝静脉显影
静脉造影显示下腔静脉阻塞或狭窄9例,肝静脉阻塞5例,同时累及下腔静脉和肝静脉5例。膜性阻塞13例,其中1例下腔静脉内同时发现血栓;节段性阻塞6例。
MRI检查对于肝内外血管、下腔静脉和侧支血管的显示与超声、静脉造影的比较见附表。
附表 MRI检查血管的显示与其他检查方法的比较
IVC狭窄
或阻塞
, 百拇医药
肝静脉
异常
副肝
静脉
肝内侧
支血管
肝外侧
支血管
MRI
17
19
5
17
17
, 百拇医药
超声
17
19
7
16
6
静脉造影
17
16
7
19
16
3 讨论
超声、CT、静脉造影是BCS的常用检查方法,其中静脉造影是诊断以及介入治疗本病的主要依据。静脉造影可以明确狭窄或阻塞的部位和类型,了解侧支血管。MRI检查有无创性、多平面、多参数等优点[1~4],对于显示肝脏大小、形态以及邻近的实质性脏器优于超声和静脉造影。BCS常表现为肝脏增大,本组有18例显示肝脏增大。尾叶由于有单独的静脉回流到下腔静脉,增大较明显,本组有14例。区域性肝脏充血、中央小叶坏死及含水量的增加使得肝脏信号不均匀[3],T1WI呈低信号,T2WI呈高信号。T1WI、T2WI均呈低信号则提示肝纤维化。本组中14例有肝信号不均的表现,T1WI显示例数较T2WI稍多。
, http://www.100md.com
作为一种非侵袭性的检查手段,MRI对于血管的显示有独特的价值[1,5],BCS表现的下腔静脉和肝静脉异常能得到较好的显示;MRA可以更为直接显示血管情况,有利于了解大血管的情况以及与右房的解剖关系,对于选择治疗方法和制定介入或手术方案有较大的帮助。肝后段下腔静脉狭窄呈裂隙样,而下腔静脉阻塞可为膜型或节段型,在冠状位或矢状位显示最佳,表现为下腔静脉内弧形软组织膜或一段下腔静脉腔闭塞[3],本组有7例表现为下腔静脉肝后段入右心房处节段性闭塞。肝静脉的异常表现有肝静脉主干狭窄和狭窄后扩张,肝静脉主干纤细或肝静脉主干影消失,本组MRI显示下腔静脉和肝静脉的异常与超声、静脉造影比较结果相似。当下腔静脉内有血栓形成时,表现为下腔静脉流空消失,腔内异常信号,优于静脉造影对于血栓的显示,本组有4例显示下腔静脉内血栓,T1WI呈等信号,T2WI呈稍高信号。
对于肝内侧支血管的显示CT不如超声,但MRI则能达到与超声相似的效果[5,7]。肝内侧支血管表现为多发的“逗号”样异常信号或弯曲、粗大,异常走向的血管影连接于肝静脉之间,不同于正常的肝静脉表现。本组5例显示有副肝静脉,均出现在第2肝门下方,表现为肝右叶与下腔静脉右侧壁之间粗大的血管影。本组14例有奇静脉、半奇静脉扩张,出现在膈脚后呈粗大的血管影。膈下静脉、胃底静脉、腹壁静脉也可迂曲扩张。本组结果说明MRI对于肝外侧支血管的显示优于超声,与静脉造影相似。
, 百拇医药
MRI还可以显示脾大、腹水等异常表现[1,3],有利于BCS的病因学诊断,并且可以评价治疗效果。由于BCS的预后与肝组织坏死的范围有关,因此MRI可以作为一种评价预后的手段,但是MRI不利于显示小血管的异常,此外有时对于慢血流和血栓鉴别较为困难。笔者认为对疑有BCS的患者行MRI检查时宜采用多平面、多序列扫描,有利于对肝脏内外、下腔静脉、肝静脉和侧支血管的显示。
作者单位:冯守信(221002 徐州医学院附属医院影像科)
顾玉明(221002 徐州医学院附属医院影像科)
魏宁(221002 徐州医学院附属医院影像科)
参考文献
1,Stark DD, Hahn PF, Trey C,et al. MRI of the Budd-Chiari syndrome. AJR, 1986, 146:1141
, http://www.100md.com
2,Murphy FB, Steinberg HV, Shires GT,et al. The Budd-Chiari syndrome: A review. AJR, 1986, 147:9
3,Soyer P, Rabenandrasana A, Barge J,et al. MRI of Budd-Chiari syndrome. Abdom Imaging, 1994, 19:325
4,Ferrucci JT, Mathieu DG. Advances in hepatobiliary radiology. Stlouis: CV Mosby, 1990, 3
5,Kane R, Eustace S. Diagnosis of Budd-Chiari syndrome: Comparison between sonography and MR angiography. Radiology, 1995, 195:117
6,王云华,杨树仁,李胜利,等.42例Budd-Chiari综合征影像学分析.临床放射学杂志, 1995, 14:361
7,Kim TK, Chung JW, Han JK,et al. Hepatic changes in benign obstruction of the hepatic inferior vena cava: CT findings. AJR, 1999, 173:1235
(收稿: 2000-04-28), 百拇医药
单位:徐凯(221002 徐州医学院附属医院影像科);祖茂衡(221002 徐州医学院附属医院影像科);徐浩(221002 徐州医学院附属医院影像科);崔建华(221002 徐州医学院附属医院影像科);任忠清(221002 徐州医学院附属医院影像科)
关键词:腔静脉,下;肝静脉栓塞;磁共振成像
临床放射学杂志001112 【摘要】 目的 探讨MRI对Budd-Chiari综合征的诊断价值。 材料与方法 分析19例Budd-Chiari综合征的MRI表现,并与超声和静脉造影进行对比。 结果 肝脏增大18例(95%),肝尾叶增大14例(74%),肝脏信号不均匀14例(74%),7例(37%)显示下腔静脉阻塞,4例(21%)下腔静脉内见有血栓,肝静脉狭窄或阻塞19例(100%),17例(89%)显示有肝内侧支血管,17例(89%)显示肝外侧支血管,5例有副肝静脉(26%)。 结论 MRI对于Budd-Chiari综合征的诊断有较高的价值。
, 百拇医药
MRI Diagnosis of Budd-Chiari Syndrome
XU Kai, ZU Maoheng, XU Hao,et al.
(Department of Radiology, The Affiliated Hospital, Xuzhou Medical College, Xuzhou, Jiangsu Province 221002, P.R.China)
【Abstract】 Objective To evaluate MRI in the diagnosis of Budd-Chiari syndrome. Materials and Methods MRI features of 19 cases with Budd-Chiari syndrome were analyzed. The findings were compared with that of sonography and venography. Results MRI demonstrated hepato-megaly in 18(95%) and enlarged caudate lobe in 14(74%) patients. Inhomogeneous signal intensity of hepatic parenchyma was seen in 14(74%) cases, obstructed inferior vena cava in 7(37%), thrombosis in inferior vena cava in 4(21%) and narrowed or obstructed hepatic veins in 19(100%). Intrahepatic collateral vessels, extrahepatic collateral vessels and accessory hepatic veins were displayed in 17(89%), 17(89%) and 5(26%) cases, respectively. Conclusion MRI has considerable value in the diagnosis of Budd-Chiari syndrome.
, 百拇医药
【Key words】 Vena cava,inferior Hepatic vein thrombosis MRI
布-加氏综合征(Budd-Chiari syndrome,BCS)是因肝静脉和/或肝静脉开口水平以上的下腔静脉阻塞或狭窄导致窦后性门脉高压的一组临床综合征[1~6]。多年来BCS一直被认为预后较差,近年由于介入放射学技术的迅速发展取得了较好的治疗效果,而术前的影像学检查尤为重要。笔者分析了19例BCS的MRI表现,并与其他检查方法进行比较,探讨其诊断价值。
1 材料与方法
本组19例,男11例,女8例。年龄25~64岁,平均41.9岁。所有患者均经MRI、超声和静脉造影证实,6例经CT检查。病史20天~20年。主要临床表现为腹胀、食欲不振、腹痛、乏力、消化道出血、肝脾肿大、胸腹壁静脉曲张、下肢水肿、下肢色素沉着和静脉曲张等。
, 百拇医药
MRI检查采用Philips T5-NT 0.5T超导型磁共振机,自旋回波(SE)序列,体部线圈采集信号。T1WI:TR=425~500ms,TE=110~14ms;T2WI:TR=1800~2600ms,TE=12~100ms。层厚9mm,层距0.9mm,FOV 360mm,矩阵128×256,常规使用呼吸补偿和空间预饱和,均取轴位、冠状位像,4例同时加矢状位扫描。超声检查采用ATL3000型多功能超声诊断仪。静脉造影采用Seldinger穿刺法经股静脉插管行下腔静脉造影,10例同时经颈静脉插管行肝静脉造影,16例造影后行球囊扩张血管成形术,3例在扩张静脉狭窄段后置放内支架。
2 结果
19例中,肝脏增大18例(95%),尾叶增大14例(74%)。14例(74%)肝脏信号不均,T2WI呈斑片状稍高信号,T1WI呈稍低信号且较明显(图1~3)。7例(37%)显示下腔静脉入右心房处阻塞;4例(21%)下腔静脉内有血栓影,表现为T1WI呈等信号,T2WI呈稍高信号;下腔静脉肝后段裂隙样狭窄10例(53%)。19例(100%)均显示肝静脉狭窄或阻塞,其中累及左肝静脉15例,中肝静脉13例,右肝静脉11例。17例(89%)见有肝内侧支血管呈“逗号”样或迂曲、走行无规律的血管影,5例(26%)显示有副肝静脉,呈粗大的血管影自肝右叶连于下腔静脉的右侧壁(图4~6)。17例(89%)见有肝外侧支血管,其中7例腹壁静脉曲张,14例(74%)有粗大的奇静脉和/或半奇静脉影,膈下静脉曲张3例,胃底静脉曲张3例。脾脏增大16例(84%),7例(37%)有腹水。
, 百拇医药
图1 T1WI显示肝脏增大,信号不均匀,肝内见不规则形且
走行无规律的侧支血管影,下腔静脉受压变窄
图2 与图1同一病例。静脉造影显示肝静脉部分阻塞,肝内侧支血管
图3 T1WI显示肝尾叶明显增大,半奇静脉、椎旁静脉扩张
图4 T2WI显示副肝静脉汇入下腔静脉,脾脏增大
, 百拇医药
图5 矢状位显示下腔静脉入右房处节段性阻塞
图6 与图4、5同一病例。下腔静脉造影示下腔静脉入右房处阻塞,下腔静脉右侧壁副肝静脉显影
静脉造影显示下腔静脉阻塞或狭窄9例,肝静脉阻塞5例,同时累及下腔静脉和肝静脉5例。膜性阻塞13例,其中1例下腔静脉内同时发现血栓;节段性阻塞6例。
MRI检查对于肝内外血管、下腔静脉和侧支血管的显示与超声、静脉造影的比较见附表。
附表 MRI检查血管的显示与其他检查方法的比较
IVC狭窄
或阻塞
, 百拇医药
肝静脉
异常
副肝
静脉
肝内侧
支血管
肝外侧
支血管
MRI
17
19
5
17
17
, 百拇医药
超声
17
19
7
16
6
静脉造影
17
16
7
19
16
3 讨论
超声、CT、静脉造影是BCS的常用检查方法,其中静脉造影是诊断以及介入治疗本病的主要依据。静脉造影可以明确狭窄或阻塞的部位和类型,了解侧支血管。MRI检查有无创性、多平面、多参数等优点[1~4],对于显示肝脏大小、形态以及邻近的实质性脏器优于超声和静脉造影。BCS常表现为肝脏增大,本组有18例显示肝脏增大。尾叶由于有单独的静脉回流到下腔静脉,增大较明显,本组有14例。区域性肝脏充血、中央小叶坏死及含水量的增加使得肝脏信号不均匀[3],T1WI呈低信号,T2WI呈高信号。T1WI、T2WI均呈低信号则提示肝纤维化。本组中14例有肝信号不均的表现,T1WI显示例数较T2WI稍多。
, http://www.100md.com
作为一种非侵袭性的检查手段,MRI对于血管的显示有独特的价值[1,5],BCS表现的下腔静脉和肝静脉异常能得到较好的显示;MRA可以更为直接显示血管情况,有利于了解大血管的情况以及与右房的解剖关系,对于选择治疗方法和制定介入或手术方案有较大的帮助。肝后段下腔静脉狭窄呈裂隙样,而下腔静脉阻塞可为膜型或节段型,在冠状位或矢状位显示最佳,表现为下腔静脉内弧形软组织膜或一段下腔静脉腔闭塞[3],本组有7例表现为下腔静脉肝后段入右心房处节段性闭塞。肝静脉的异常表现有肝静脉主干狭窄和狭窄后扩张,肝静脉主干纤细或肝静脉主干影消失,本组MRI显示下腔静脉和肝静脉的异常与超声、静脉造影比较结果相似。当下腔静脉内有血栓形成时,表现为下腔静脉流空消失,腔内异常信号,优于静脉造影对于血栓的显示,本组有4例显示下腔静脉内血栓,T1WI呈等信号,T2WI呈稍高信号。
对于肝内侧支血管的显示CT不如超声,但MRI则能达到与超声相似的效果[5,7]。肝内侧支血管表现为多发的“逗号”样异常信号或弯曲、粗大,异常走向的血管影连接于肝静脉之间,不同于正常的肝静脉表现。本组5例显示有副肝静脉,均出现在第2肝门下方,表现为肝右叶与下腔静脉右侧壁之间粗大的血管影。本组14例有奇静脉、半奇静脉扩张,出现在膈脚后呈粗大的血管影。膈下静脉、胃底静脉、腹壁静脉也可迂曲扩张。本组结果说明MRI对于肝外侧支血管的显示优于超声,与静脉造影相似。
, 百拇医药
MRI还可以显示脾大、腹水等异常表现[1,3],有利于BCS的病因学诊断,并且可以评价治疗效果。由于BCS的预后与肝组织坏死的范围有关,因此MRI可以作为一种评价预后的手段,但是MRI不利于显示小血管的异常,此外有时对于慢血流和血栓鉴别较为困难。笔者认为对疑有BCS的患者行MRI检查时宜采用多平面、多序列扫描,有利于对肝脏内外、下腔静脉、肝静脉和侧支血管的显示。
作者单位:冯守信(221002 徐州医学院附属医院影像科)
顾玉明(221002 徐州医学院附属医院影像科)
魏宁(221002 徐州医学院附属医院影像科)
参考文献
1,Stark DD, Hahn PF, Trey C,et al. MRI of the Budd-Chiari syndrome. AJR, 1986, 146:1141
, http://www.100md.com
2,Murphy FB, Steinberg HV, Shires GT,et al. The Budd-Chiari syndrome: A review. AJR, 1986, 147:9
3,Soyer P, Rabenandrasana A, Barge J,et al. MRI of Budd-Chiari syndrome. Abdom Imaging, 1994, 19:325
4,Ferrucci JT, Mathieu DG. Advances in hepatobiliary radiology. Stlouis: CV Mosby, 1990, 3
5,Kane R, Eustace S. Diagnosis of Budd-Chiari syndrome: Comparison between sonography and MR angiography. Radiology, 1995, 195:117
6,王云华,杨树仁,李胜利,等.42例Budd-Chiari综合征影像学分析.临床放射学杂志, 1995, 14:361
7,Kim TK, Chung JW, Han JK,et al. Hepatic changes in benign obstruction of the hepatic inferior vena cava: CT findings. AJR, 1999, 173:1235
(收稿: 2000-04-28), 百拇医药