肝右叶后胆囊的CT诊断及并发症
作者:丛振杰 殷庆凤
单位:丛振杰(264025 山东烟台市肿瘤医院CT室);殷庆凤(264025 山东烟台市肿瘤医院CT室)
关键词:
临床放射学杂志001139 肝右叶后胆囊罕见,国内有关文献仅见6例报道[1~3],且多以研究其形成机制为主。笔者报道3例,并复习文献报道6例资料,共9例,着重探讨其并发症的病理机制。
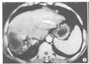
例1 男,60岁。反复发作性右上腹痛半年余。CT示肝左叶增大,右叶缩小,右叶背段见大片混杂密度区,边界欠清;增强后强化不明显,其内见斑点状及长条状结石影,左肝管及胆总管下端亦呈高密度铸形(图1),胆囊位于肝右叶后方(图2)。术后病理:(1)肝右叶胆管细胞癌;(2)肝内胆管及胆总管结石;(3)肝右叶后胆囊。
, http://www.100md.com
图1 肝右背段大片混杂密度区,强化不明显,左肝总管及右肝内胆管结石
图2 肝右叶后方见椭圆形低密度影,密度均匀,壁光整
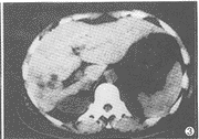
例2 女,43岁。上腹痛10天。CT扫描示肝右叶背段见不规则低密度区,边界欠清;增强后强化不明显(图3),肝脏后下缘与后胸壁间见一类圆形低密度影,边缘清(图4)。术前诊断为胆管细胞癌。术后病理:(1)肝右叶后胆囊;(2)肝右叶胆汁淤积。
图3 肝右叶背段斑片状低密度灶,强化不明显
图4 肝右叶后下方见类圆形低密度影,密度均匀
, 百拇医药
例3 男,68岁。上腹部胀痛1月余,查体右上腹触痛明显。CT扫描示肝右叶背段大片低密度区,其内见多发小结石影。增强后低密度区强化不明显(图5),肝左叶体积明显增大,右叶缩小,肝右叶后下方见囊性低密度影,密度均匀(图6)。术后病理:(1)肝右叶肝内胆管结石并胆系感染;(2)肝右叶后胆囊。
图5 肝右叶背段见大片低密度区,强化不明显,其内见斑点状小结石影
图6 肝右叶后方见囊性低密度影,密度均匀,壁光整
笔者查阅国内报道的6例资料,全部伴有肝形态异常,其中左肝增大,右肝缩小5例,右叶及尾叶增大1例;6例中4例合并胆系结石,1例合并肝癌,2例合并肝硬化。
, 百拇医药
讨论 胆囊的先天异常可分为:(1)形态异常;(2)胆囊憩室;(3)胆囊缺如;(4)位置异常;(5)肠系膜异常。胆囊位置异常又可进一步分成:A.肝内胆囊;B.左位胆囊;C.后位胆囊;D.横位胆囊,其中以肝后胆囊最为罕见[2]
正常空腹时,胆总管口括约肌处于收缩状态,使胆总管内压力升到29.4kPa(30cmH2O)左右,相当于胆囊收缩时产生的压力,这样得以保持胆汁贮存于胆囊内[4]。当胆囊发生异位于肝后时,胆囊管变长、扭曲,使上述过程发生障碍,胆总管内压力升至29.4kPa(30cmH2O)以上,肝脏分泌的胆汁潴留淤积,故常易并发肝内外胆管和胆囊结石,而胆结石与胆管癌的关系密切。从本组资料中可以很容易发现,肝右叶后胆囊的合并症,尤以肝内外胆管结石为多。全组中,肝内外胆管结石者7例,约占77.8%,且常合并感染,胆汁淤积1例,胆管细胞和肝细胞癌各1例,与上述病理机制相符。因此,我们认为胆囊后位是造成肝右叶后胆囊多种合并症的主要原因。
, 百拇医药
对于其形成,目前多认为属先天发育异常,国内钱大椿[1]曾提出肝脏形态发生变异特别是肝右叶萎缩或体积缩小,是肝右叶后胆囊形成的解剖学基础。从9例资料中我们亦可发现这一现象,9例中肝右叶缩小、左叶增大者8例,约占88.9%,其中6例为非肝硬变所致。右叶及尾叶增大者1例约占11.1%。但笔者认为这种形态改变同肝硬变的肝内广泛纤维化引起的肝叶体积缩小有所不同,除肝左右叶比例较正常有改变外,肝脏的边缘、密度、肝裂、肝门结构均正常。因此,笔者认为本病及其形态学改变均为胚胎发育时期即已形成,胚胎发育早期,胆囊原基占据肝右叶背段区域,肝左叶则代偿性增大,向前向内生长,使肝左右叶比例失常,因此两者均为先天发育异常,而非后天原因形成。
肝右叶后胆囊的确诊往往须进行胆囊造影CT扫描,可清楚地显示与胆道系统同时显影的胆囊而确诊,常需与局限性包膜下积液、右肾上腺病变、右肾上极囊肿或肿瘤鉴别。
参考文献
1,钱大椿.肝右叶后胆囊的CT诊断.实用放射学杂志, 1998, 14:696
2,刘爱莲,丁昭岐,朗志谨.肝后胆囊的CT诊断.中华放射学杂志, 1992, 26:342
3,邹天勇,周继良,陈学健,等.胆囊异位1例.现代医用影像学杂志, 1999, 8:11
4,裘法祖,主编.外科学.北京:人民卫生出版社, 1988, 529
(收稿:1999-10-08), http://www.100md.com
单位:丛振杰(264025 山东烟台市肿瘤医院CT室);殷庆凤(264025 山东烟台市肿瘤医院CT室)
关键词:
临床放射学杂志001139 肝右叶后胆囊罕见,国内有关文献仅见6例报道[1~3],且多以研究其形成机制为主。笔者报道3例,并复习文献报道6例资料,共9例,着重探讨其并发症的病理机制。
例1 男,60岁。反复发作性右上腹痛半年余。CT示肝左叶增大,右叶缩小,右叶背段见大片混杂密度区,边界欠清;增强后强化不明显,其内见斑点状及长条状结石影,左肝管及胆总管下端亦呈高密度铸形(图1),胆囊位于肝右叶后方(图2)。术后病理:(1)肝右叶胆管细胞癌;(2)肝内胆管及胆总管结石;(3)肝右叶后胆囊。
, http://www.100md.com
图1 肝右背段大片混杂密度区,强化不明显,左肝总管及右肝内胆管结石
图2 肝右叶后方见椭圆形低密度影,密度均匀,壁光整
例2 女,43岁。上腹痛10天。CT扫描示肝右叶背段见不规则低密度区,边界欠清;增强后强化不明显(图3),肝脏后下缘与后胸壁间见一类圆形低密度影,边缘清(图4)。术前诊断为胆管细胞癌。术后病理:(1)肝右叶后胆囊;(2)肝右叶胆汁淤积。
图3 肝右叶背段斑片状低密度灶,强化不明显
图4 肝右叶后下方见类圆形低密度影,密度均匀
, 百拇医药
例3 男,68岁。上腹部胀痛1月余,查体右上腹触痛明显。CT扫描示肝右叶背段大片低密度区,其内见多发小结石影。增强后低密度区强化不明显(图5),肝左叶体积明显增大,右叶缩小,肝右叶后下方见囊性低密度影,密度均匀(图6)。术后病理:(1)肝右叶肝内胆管结石并胆系感染;(2)肝右叶后胆囊。
图5 肝右叶背段见大片低密度区,强化不明显,其内见斑点状小结石影
图6 肝右叶后方见囊性低密度影,密度均匀,壁光整
笔者查阅国内报道的6例资料,全部伴有肝形态异常,其中左肝增大,右肝缩小5例,右叶及尾叶增大1例;6例中4例合并胆系结石,1例合并肝癌,2例合并肝硬化。
, 百拇医药
讨论 胆囊的先天异常可分为:(1)形态异常;(2)胆囊憩室;(3)胆囊缺如;(4)位置异常;(5)肠系膜异常。胆囊位置异常又可进一步分成:A.肝内胆囊;B.左位胆囊;C.后位胆囊;D.横位胆囊,其中以肝后胆囊最为罕见[2]
正常空腹时,胆总管口括约肌处于收缩状态,使胆总管内压力升到29.4kPa(30cmH2O)左右,相当于胆囊收缩时产生的压力,这样得以保持胆汁贮存于胆囊内[4]。当胆囊发生异位于肝后时,胆囊管变长、扭曲,使上述过程发生障碍,胆总管内压力升至29.4kPa(30cmH2O)以上,肝脏分泌的胆汁潴留淤积,故常易并发肝内外胆管和胆囊结石,而胆结石与胆管癌的关系密切。从本组资料中可以很容易发现,肝右叶后胆囊的合并症,尤以肝内外胆管结石为多。全组中,肝内外胆管结石者7例,约占77.8%,且常合并感染,胆汁淤积1例,胆管细胞和肝细胞癌各1例,与上述病理机制相符。因此,我们认为胆囊后位是造成肝右叶后胆囊多种合并症的主要原因。
, 百拇医药
对于其形成,目前多认为属先天发育异常,国内钱大椿[1]曾提出肝脏形态发生变异特别是肝右叶萎缩或体积缩小,是肝右叶后胆囊形成的解剖学基础。从9例资料中我们亦可发现这一现象,9例中肝右叶缩小、左叶增大者8例,约占88.9%,其中6例为非肝硬变所致。右叶及尾叶增大者1例约占11.1%。但笔者认为这种形态改变同肝硬变的肝内广泛纤维化引起的肝叶体积缩小有所不同,除肝左右叶比例较正常有改变外,肝脏的边缘、密度、肝裂、肝门结构均正常。因此,笔者认为本病及其形态学改变均为胚胎发育时期即已形成,胚胎发育早期,胆囊原基占据肝右叶背段区域,肝左叶则代偿性增大,向前向内生长,使肝左右叶比例失常,因此两者均为先天发育异常,而非后天原因形成。
肝右叶后胆囊的确诊往往须进行胆囊造影CT扫描,可清楚地显示与胆道系统同时显影的胆囊而确诊,常需与局限性包膜下积液、右肾上腺病变、右肾上极囊肿或肿瘤鉴别。
参考文献
1,钱大椿.肝右叶后胆囊的CT诊断.实用放射学杂志, 1998, 14:696
2,刘爱莲,丁昭岐,朗志谨.肝后胆囊的CT诊断.中华放射学杂志, 1992, 26:342
3,邹天勇,周继良,陈学健,等.胆囊异位1例.现代医用影像学杂志, 1999, 8:11
4,裘法祖,主编.外科学.北京:人民卫生出版社, 1988, 529
(收稿:1999-10-08), http://www.100md.com