肝结核一例
作者:邓弟明 张高武
单位:邓弟明(402660 重庆市潼南县人民医院CT室);张高武(402660 重庆市潼南县人民医院CT室)
关键词:
临床放射学杂志001136 患者 女,23岁。右上腹疼痛半月余。体检:右上腹肝区叩痛,腹软,未扪及包块,肝、脾肋缘下未扪及。背部可见一手术瘢痕,腰1~4棘突压痛,活动受限。患者3个多月前行腰椎结核病灶清除及冷脓肿引流术,现正抗痨治疗。实验室检查:WBC 7.3×109/L,杵核0.02,分叶0.76,淋巴0.14,大单核0.01,嗜酸性0.07,红细胞沉降率26mm/h,肝功能正常,结核抗体阳性。B超提示:肝右叶实性占位。
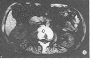
腹部CT检查: 平扫见肝右叶前下段一3cm×3cm×3cm大小不规则低密度灶,CT值42HU(图1)。增强扫描:肝右叶前下段病灶明显强化(图2),延迟10分钟后病灶仍强化明显。右肝上间隙局限性积液(图3)。腰椎CT平扫:腰1椎体骨质破坏,不规则缺损,右侧腰大肌肿胀并有不规则低密度坏死区。CT诊断:(1)肝结核并右肝上间隙局限性积液。 (2)腰椎结核并右侧腰大肌冷脓肿。
图1 CT平扫:肝右叶前下段见一3cm×3cm大小低密度灶,边缘不规则,CT值42HU
图2 增强扫描:同层面见病灶动脉期明显强化,CT值129HU,右肝上间隙局限性积液(↑)
图3 延迟10分钟同层扫描,病灶仍强化明显(↑1),右肝上间隙有局限性积液,边缘强化(↑2)
图4 腰1椎体结核骨质破坏并右侧腰大肌冷脓肿
腹腔镜组织活检所见: 肝右叶膈面与膈肌部分粘连并有少许局限积脓。膈顶上有少许粟粒状物,肝右叶前下段有约3cm×3cm包块1个,质硬,似干酪样。肝右叶前段与左肝内侧段见6个0.3cm×0.3cm大小结节,结节表面呈黄白色,质韧,切除其中1个活检,行冰冻切片示:肝结核。
讨论 肝结核临床少见,是一种特殊性的炎症,身体其他部位结核灶可经血行播散至肝脏。按结核菌进入肝脏的数量和侵犯的部位,肝结核分为粟粒型、结节型和结核性胆管炎3个病理类型[1]。本例腹腔镜检时发现多个大小不等病灶,而CT仅显示其中一较大的病灶,其中多个粟粒状小结节灶CT未能分辨,可能与病灶小而CT扫描层厚有关。本例病灶明显强化,且延迟10分钟病灶仍强化明显。笔者认为并非肝结核之特征性征象,最易与肝血管瘤相混淆,还须与肝脓肿、肝包虫、肝转移瘤鉴别。因肝结核多有肝外结核,在CT诊断时需密切结合临床病史和病理改变,可提高诊断正确率,但最后定性尚靠组织学检查。
参考文献
1,许达生,陈君禄,黄兆民,主编.临床CT诊断学.广州:广东科学出版社, 1998, 206
(收稿: 2000-06-19), 百拇医药
单位:邓弟明(402660 重庆市潼南县人民医院CT室);张高武(402660 重庆市潼南县人民医院CT室)
关键词:
临床放射学杂志001136 患者 女,23岁。右上腹疼痛半月余。体检:右上腹肝区叩痛,腹软,未扪及包块,肝、脾肋缘下未扪及。背部可见一手术瘢痕,腰1~4棘突压痛,活动受限。患者3个多月前行腰椎结核病灶清除及冷脓肿引流术,现正抗痨治疗。实验室检查:WBC 7.3×109/L,杵核0.02,分叶0.76,淋巴0.14,大单核0.01,嗜酸性0.07,红细胞沉降率26mm/h,肝功能正常,结核抗体阳性。B超提示:肝右叶实性占位。
腹部CT检查: 平扫见肝右叶前下段一3cm×3cm×3cm大小不规则低密度灶,CT值42HU(图1)。增强扫描:肝右叶前下段病灶明显强化(图2),延迟10分钟后病灶仍强化明显。右肝上间隙局限性积液(图3)。腰椎CT平扫:腰1椎体骨质破坏,不规则缺损,右侧腰大肌肿胀并有不规则低密度坏死区。CT诊断:(1)肝结核并右肝上间隙局限性积液。 (2)腰椎结核并右侧腰大肌冷脓肿。
图1 CT平扫:肝右叶前下段见一3cm×3cm大小低密度灶,边缘不规则,CT值42HU
图2 增强扫描:同层面见病灶动脉期明显强化,CT值129HU,右肝上间隙局限性积液(↑)
图3 延迟10分钟同层扫描,病灶仍强化明显(↑1),右肝上间隙有局限性积液,边缘强化(↑2)
图4 腰1椎体结核骨质破坏并右侧腰大肌冷脓肿
腹腔镜组织活检所见: 肝右叶膈面与膈肌部分粘连并有少许局限积脓。膈顶上有少许粟粒状物,肝右叶前下段有约3cm×3cm包块1个,质硬,似干酪样。肝右叶前段与左肝内侧段见6个0.3cm×0.3cm大小结节,结节表面呈黄白色,质韧,切除其中1个活检,行冰冻切片示:肝结核。
讨论 肝结核临床少见,是一种特殊性的炎症,身体其他部位结核灶可经血行播散至肝脏。按结核菌进入肝脏的数量和侵犯的部位,肝结核分为粟粒型、结节型和结核性胆管炎3个病理类型[1]。本例腹腔镜检时发现多个大小不等病灶,而CT仅显示其中一较大的病灶,其中多个粟粒状小结节灶CT未能分辨,可能与病灶小而CT扫描层厚有关。本例病灶明显强化,且延迟10分钟病灶仍强化明显。笔者认为并非肝结核之特征性征象,最易与肝血管瘤相混淆,还须与肝脓肿、肝包虫、肝转移瘤鉴别。因肝结核多有肝外结核,在CT诊断时需密切结合临床病史和病理改变,可提高诊断正确率,但最后定性尚靠组织学检查。
参考文献
1,许达生,陈君禄,黄兆民,主编.临床CT诊断学.广州:广东科学出版社, 1998, 206
(收稿: 2000-06-19), 百拇医药