急性白血病骨髓MRI定性和定量诊断价值
作者:龙莉玲 黄仲奎 宋英儒 李文美 叶伟 闵伟国
单位:530027 南宁,广西医科大学第一附属医院放射科
关键词:急性白血病;磁共振成像;诊断;治疗
临床放射学杂志001210【摘要】目的 通过观察急性白血病治疗前后骨髓的MRI表现和T1及对比噪声比(CNR)的测定,对照临床、病理资料,探讨急性白血病骨髓MRI定性和定量诊断价值。 材料与方法 选择经临床确诊为急性白血病的患者38例,缓解组25例,对照组35例进行MRI检查及T1值和CNR的测定。 结果 急性白血病T1WI:治疗前组38例,腰骶椎、髂骨及股骨近段均表现为信号降低;化疗缓解组25例表现为不同程度的信号增高。T2WI:38例治疗前组和25例化疗后组各椎体、髂骨、股骨上段呈等信号。外周血B%、骨髓B%、腰椎T1值、腰椎/皮下脂肪CNR、股骨骨髓/皮下脂肪CNR于急性白血病治疗前组与正常对照组、治疗前组与缓解组间的差异均有显著性(P<0.05),缓解组与正常对照组间的差异无显著性(P>0.05),不同细胞类型间的差异无显著性(P>0.05)。腰椎T1值于不同性别、年龄组间的差异无显著性(P>0.05)。治疗前组骨髓B%与腰椎T1值、腰椎/皮下脂肪CNR,外周血B%与腰椎T1值、腰椎/皮下脂肪CNR及腰椎T1值与腰椎/皮下脂肪CNR之间成直线相关(P<0.05)。 结论 急性白血病的MRI检查为一种无创性检查方法,MRI表现具有一定的特征性,在估计病情的严重程度及治疗效果的评价简便实用,为避免多次重复骨髓穿刺检查以及全面观察急性白血病骨髓浸润范围和程度有着重要的临床意义。
, 百拇医药
The Value of MRI in Qualitative and Quantitative Diagnosis of Acute Leukemia
LONG Liling, HUANG Zhongkui, SONG Yingru,et al.
(Department of Radiology, No.1 Affiliated Hospital, Guangxi Medical University, Nanning, Guangxi Province 530027, P.R.China)
【Abstract】Objective To evaluate MRI in qualitative and quantitative diagnosis of acute leukemia by observing the MRI findings of bone marrow, calculating T1 and CNR (contrast-noise ratio) before and after chemotherapy, and by comparing clinical and pathological data. Materials and Methods MRI scanning, T1 value and CNR measuring were performed in study group (38 acute patients), remission group (25 cases) and control group (35 healthy volunteers). Results Before treatment hypointense signal on T1WI at lumbosacral vertebrae, iliac bone and proximal femur was seen in all 38 cases with acute leukemia. Isointense signal on T2WI was found in all cases. The signal intensity on T1WI tended to become normal in all 25 remission cases of acute leukemia. Isointense signal was also found on T2WI in remission cases. Significant differences in B% of blood and marrow, T1 value of lumbar vertebrea, CNR of lumbar vertebrea/subcutaneous fat, and CNR of femoral marrow/subcutaneous fat were existed between study group before treatment and both control group and remission group (P<0.05). No significant difference could be seen between remission group and control group (P>0.05), nor between cases with different cellular type, including ALL, AML, ALL+AML (P>0.05). Positive linear correlation existed between B% of bone marrow and lumbar T1 value, CNR of lumbar vertebrea/subcutaneous fat, between B% of peripheral blood and lumbar T1 value, CNR of lumbar vertebrea/subcutaneous fat, and between lumbar T1 value and CNR of lumbar vertebrea/subcutaneous fat (P<0.05). Conclusion Acute leukemia has some characteristics on MRI. As a non-invasive technique, MRI is very useful in estimating the severity of the disease and in evaluating the therapeutic effect, refraining from repeated marrow puncturing.
, 百拇医药
【Key words】Acute leukemia MRI Diagnosis Chemotherapy
既往,急性白血病定性及定量的检查方法为骨髓穿刺涂片或活检,为有创伤性的检查。自从MRI问世并于1980年开始应用于临床以后,由于其能灵敏地反映骨髓组织结构和化学成分的变化,故在一定程度上能从宏观的图像改变而反映骨髓微观分子结构的改变。迄今,国外已有较多的研究[1,2],国内只有少数文献报道[3]。本研究旨在结合本地的病例特点,采用大病例组,探讨急性淋巴细胞性白血病(ALL)和急性髓细胞性白血病(AML)的MRI表现,并与临床、病理联系,系统而深入地进行定性和定量研究,以期使MRI成为诊断本病和观察其疗效的一种重要手段。
1 材料与方法
搜集我院1997~1999年经骨髓穿刺涂片或活检检查确诊为急性白血病且未经化疗的患者38例,男19例,女19例,年龄4~65岁,平均18±15岁。其中ALL 27例,AML 11例。缓解组25例,其中,10例只作缓解后MRI检查,15例有化疗前后MRI对比,9例化疗后作2次以上MRI追踪复查。对照组35例,选择年龄匹配的、无造血系统疾病史的正常志愿者。
, http://www.100md.com
使用Elscint公司生产的Gyrex-V DLX型0.5T超导磁共振成像仪。所有病例均作腰骶椎矢状面和髂骨、股骨近段冠状面扫描。腰椎采用表面线圈作矢状面T1WI(TR 450ms/TE 20ms,TR 700ms/TE 20ms)、T2WI(TR 3600ms/TE 80ms);骨盆(包括双股骨上段)用体部线圈作冠状面T1WI(TR 450ms、TE 20ms,TR 700ms、TE 20ms)、T2WI(TR 3600ms,TE 80ms),层厚5mm,层距1mm,矩阵180×256。
MRI信号的肉眼观察分析方法: 以MRI信号相对固定的脊髓为参照物,腰椎、骨盆及股骨近段的MRI信号与脊髓相等、高、低相应设为等、高、低信号。
T1值的测量是对T1WI的两种序列(TR 450ms/TE 20ms,TR 700ms/TE 20ms)进行T1-MAPS重建,取第1至第3腰椎正中矢状面最大ROI测量3个椎体T1值,再求得3个椎体T1值的平均值代表本病例腰椎的T1值。股骨近段用与腰椎类似的方法,在两侧股骨转子间测量T1值,其平均值代表本病例股骨近段的T1值。
, 百拇医药
标准化信号强度的测量和计算: 选择腰椎及股骨近段的最大层面,选择相同的ROI测量皮下脂肪,骨髓的信号强度(S)和标准差(σ),按CNR=|S1-S2|/(σ1-σ2)1/2来计算骨髓与皮下脂肪及骨髓与脊髓的CNR。
外周血检查及骨髓穿刺或活检取材时间与MRI检查的间隔均在3天内,均为我院病理教研室、血液病实验室或检验科的检查结果。
急性白血病发病、部分缓解、完全缓解、复发时,骨髓原幼细胞百分比(骨髓B%)的细胞形态学诊断标准分别为≥30%、5%~20%、≤5%、≥20%[4]。
统计学方法: 不同组间的外周血B%、骨髓B%、腰椎T1、腰椎/皮下脂肪CNR、股骨/皮下脂肪CNR、股骨T1值的差异比较采用两样本均数比较的t检验,评价外周血B%、骨髓B%、腰椎T1值、腰椎/皮下脂肪CNR之间的线性相关统计,均使用计算机软件SPSS for Windows 7.52进行检验。
, 百拇医药
2 结果
2.1 MRI表现
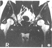
正常对照组: 腰椎T1WI表现分为两组,<20岁25例,均为椎体中间部出现条带状高信号,其余为均匀稍高信号;>20岁10例,表示为椎体内不均匀斑片状高信号。髂骨35例中,T1WI表现为稍高信号背景中仅在髋臼中上部见不规则斑片状高信号灶或并有髂骨不规则小斑片状高信号灶。股骨近段T1WI表现:>20岁的10例均表现为较均匀高信号;10~20岁的14例表现为稍高信号背景下可见斑点、斑片状高信号相互交错分布;<10岁的11例均表现为较均匀的稍低信号。腰椎、骨盆及股骨上段T2WI表现均为均匀的等信号(图1、2)。
急性白血病组: T1WI: (1)治疗前组38例:腰骶椎38例所有椎体均表现为均匀的信号降低,比相邻的椎间盘和脊髓的信号均明显降低;髂骨38例均表现为低信号,其中3例于髋臼旁见斑片状高信号残留;股骨近段信号降低38例,其中8例股骨头、股骨大转子见斑片状高信号残留,且此8例均有骨骺板存在。 (2)化疗缓解组25例:所有椎体、髂骨、股骨头、股骨大转子及骨干均表现为不同程度的信号增高,达完全缓解者(21例)比部分缓解者(4例)更接近相应的正常骨髓信号(图3、4)。其中9例还作了治疗后追踪观察,第1次为化疗1疗程结束5天内并经临床及骨髓穿刺认为完全缓解时行MRI检查,第2次为2~4周内经骨髓穿刺后行MRI检查。6例2次经骨髓穿刺检查均为完全缓解,但第2次MRI检查椎体信号比第1次略为增高(图5)。复发的3例中,2例再次缓解,经MRI检查,其骨髓信号重新升高。
, http://www.100md.com
T2WI: 38例治疗前组和25例缓解组(包括3例复发)各椎体、髂骨、股骨头、股骨大转子及骨干信号改变不大,为等信号,与正常组所见大致相同,但6例化疗缓解后第1次复查5例可见斑片状高信号,第2次复查均为等信号。

图1 男,24岁。正常腰椎。A.T1WI腰椎椎体呈稍高均匀信号。B.T2WI椎体呈等信号 图2 正常骨盆,T1WI髂骨、股骨上段均呈均匀高信号
所有病例腰骶椎、髂骨、股骨近段的形态、大小均无改变。
2.2 急性白血病定量测定
急性白血病治疗前组、化疗缓解组和正常对照组的外周血B%、骨髓B%、腰椎T1值、腰椎/皮下脂肪CNR、股骨骨髓/皮下脂肪CNR的测定结果及比较分析见表1。 表1 治疗前组、正常组及缓解组定量测定的结果比较
, http://www.100md.com
诊断
例数
血B%
骨髓B%
腰椎T1
腰椎/皮下
脂肪CNR
股骨骨髓/皮
下脂肪CNR
①治疗前组
38
48.5±22.1
83.1±12.4
, http://www.100md.com
972.5±316.5
3.78±2.7
4.36±2.70
②正常组
35
0
1.2±1.4
366.8± 44.1
6.43±3.39
1.63±0.95
③缓解组
25
, 百拇医药
0
2.1±1.9
445.8±120.5
5.71±2.57
2.09±2.29
t检验(P)
①②
<0.01
<0.01
<0.01
<0.01
①③
<0.01
, 百拇医药
<0.01
<0.05
<0.05
②③
>0.05
>0.05
>0.05
>0.05
表2 急性白血病治疗前组骨髓B%与T1值、CNR的直线相关比较 项 目
直线相关
P值
相关系数r
, 百拇医药
检验方法
骨髓B%与腰椎T1值
+
<0.05
0.454
P.*
骨髓B%与腰椎/皮下脂肪CNR
+
<0.05
0.413
P.
血B%与腰椎T1值
, 百拇医药
+
<0.05
0.494
P.
血B%与腰椎/皮下脂肪CNR
+
<0.05
0.453
P.
腰椎T1值与腰椎/皮下脂肪CNR
+
<0.05
, 百拇医药
0.398
SP.* *
* P.—Pearson's线性相关统计; * *SP.—Spearman's线性相关统计


图3 男,11岁。急性白血病。T1WI示:A.治疗前椎体呈均匀低信号,椎体形态正常;B.治疗后完全缓解其椎体信号明显升高 图4 同图3病例。T1WI示:A.治疗前髂骨、股骨上段信号明显降低;B.治疗后完全缓解其信号升高 图5 17岁。急性白血病。T1WI示:A.治疗前椎体均匀低信号;B.治疗后缓解2天,椎体信号稍升高;C.治疗后缓解3周,椎体信号明显升高
, http://www.100md.com
表1结果显示:急性白血病治疗前组与正常对照组、治疗前组与缓解组的血B%、骨髓B%、腰椎T1值、腰椎/皮下脂肪CNR、股骨骨髓/皮下脂肪CNR的差异均有显著性(P<0.01、0.05)。急性白血病缓解组与正常对照组的血B%、骨髓B%、腰椎T1值、腰椎/皮下脂肪CNR、股骨骨髓/皮下脂肪CNR的差异均无显著性(P>0.05)。
急性白血病治疗前组骨髓B%与腰椎T1值、骨髓B%与腰椎/皮下脂肪CNR、血B%与腰椎T1值、血B%与腰椎/皮下脂肪CNR、腰椎T1值与腰椎/皮下脂肪CNR的相关性分析见表2。
表2结果表明:急性白血病治疗前骨髓B%与腰椎T1值、骨髓B%与腰椎/皮下脂肪CNR、血B%与腰椎T1值、血B%与腰椎/皮下脂肪CNR、腰椎T1值与腰椎/皮下脂肪CNR之间成直线相关(P<0.05)。
, 百拇医药
不同临床类型、性别及年龄的骨髓病理材料与MRI表现、T1值、对比噪声比的比较和分析: 本研究对治疗前的ALL 27例、AML 11例及ALL+AML 38例的血B%、骨髓B%、腰T1值、腰椎/皮下脂肪CNR、股骨骨髓/皮下脂肪CNR的数据分别进行两两比较,结果不同细胞类型的急性白血病它们的差异均无显著性(P>0.05)。
年龄<20岁20例,腰T1值1012.4±308.1;>20岁18例,腰T1值897.5±346.8。两年龄组间腰椎T1值的差异无显著性(P>0.05)。
男性19例,腰T1值997.3±388.1;女性19例,腰T1值943.8±408.9。不同性别腰椎T1值的差异无显著性(P>0.05)。
, 百拇医药 3 讨论
3.1 正常和白血病骨髓的分布、转换与其MRI表现的关系
正常骨髓依据其造血功能可分为黄骨髓和造血性的红骨髓。人体不同部位、不同年龄和性别,其黄骨髓和红骨髓的含量及比例是不同的。胎儿期全部骨髓均为红骨髓,出生后即按一定规律由红骨髓向黄骨髓生理性转换。约25岁后,红骨髓主要集中在中轴骨及扁骨,少量在四肢长骨近端(即股骨和肱骨上1/3段),其余为黄骨髓[1~3]。正常成人腰椎红骨髓中造血细胞约55%,脂肪细胞约45%,即各占一半左右,而且其分布相互交错,极不均匀[5]。MRI主要根据组织特性(化学结构与成分)来决定其信号强度的变化。由于骨髓内富含脂肪、蛋白质和细胞水,MRI能够一定程度地从宏观上直接反映脂肪和造血细胞成分的量的变化,这就是MRI能够从宏观上无创地研究骨髓成分的基础。T1WI像上,黄骨髓呈现非常高的信号,红骨髓为等信号,比黄骨髓信号明显低。T2WI像上,红、黄骨髓信号强度相差不大。
, 百拇医药
在急性白血病正常骨髓中造血细胞与脂肪细胞的比例发生变化,骨髓中主要由异常增生的白血病细胞代替了正常的黄骨髓,尤其是混杂在造血性红骨髓中的脂肪细胞首先发生逆转,随后才沿正常骨髓转换的反方向逆转[3,6]。本组急性白血病38例治疗前骨髓原幼细胞均在65%~98%间,提示大量的病理性造血细胞浸润骨髓。由于白血病细胞具有延长T1弛豫时间的特性,因此白血病骨髓的MRI信号发生变化,表现为T1WI信号降低。本组急性白血病38例T1WI均表现为椎体、髂骨及股骨上段骨髓信号均降低,但降低的程度不一,其与性别、年龄、临床分型的关系不大,而与外周血或骨髓原幼细胞的百分比成正相关。T2WI信号变化不明显。这一结果与文献报道相一致[7]。
根据骨髓病理学,白血病骨髓改变为主要在造血组织中白血病细胞异常增生和浸润,其特点为:造血组织均有不同程度的明显增生,这可解释为什么不同白血病病例骨髓MRI信号均有不同程度的降低。白血病细胞可呈片状、团块状或弥散浸润,则可造成骨髓MRI信号不均匀或均匀降低。红骨髓中的脂肪细胞和黄骨髓中的脂肪细胞也有不同,黄骨髓的脂肪细胞耐饥饿,而红骨髓的脂肪细胞则不能;即白血病发生时,脂肪细胞被动员,造血骨髓的扩展的方向为腰椎→髂骨→股骨头→大转子→股骨上段,即腰椎骨髓内的脂肪已完全被动员后,髂骨和股骨近段骨髓内的脂肪可能尚未完全被动员。由于各部位骨髓转换有差异,本组急性白血病38例所有腰椎均表现为均匀的信号降低,髂骨、股骨近段除有3~8例表现为斑片状信号降低外,其余病例亦表现为均匀的信号降低。选择骨髓检查的部位时,由于椎体和髂骨一生均有造血,也是白血病首先浸润的部位,故此部位可作MRI检查。本组急性白血病的腰椎、髂骨、股骨近段MRI观察及定量测定相一致,故MRI可指导临床穿刺部位的选择。
, 百拇医药
3.2 T1值的变化及其在白血病诊断中的应用价值
白血病细胞的骨髓浸润,使椎体骨髓的T1弛豫时间明显延长,为972.5ms±316.5ms,明显高于正常组椎体的平均T1值(366.8ms±44.1ms)(P<0.01)。治疗后完全缓解25例,骨髓原幼细胞均小于5%,外周血找不到原幼细胞,其T1值趋于正常,平均为445.8ms±120.5ms,与治疗前组的T1值比较有显著性差异(P<0.05),而与正常组间的T1值的差异无显著性(P>0.05)。本文结果提示,T1值可作为白血病的诊断及治疗后病情改变的一个无创性而客观的评价指标,当T1值明显延长,结合椎体骨髓低信号改变,可协助白血病的诊断[1,8,9]。对治疗后病例的MRI扫描,如果由原来延长的T1值变为T1值缩短,尤其是缩短到接近正常椎体T1值时,而外周血找不到原幼细胞,则客观地提示病情好转,可减少不必要的骨髓穿刺进行复查[1,9,10]。
, 百拇医药
B%的多少与腰椎T1值的长短有一定关系。本组白血病治疗前骨髓B%均大于65%(平均83.1%±12.4%),外周血B%也大于25%(平均48.5%±22.1%),经统计学相关分析示,骨髓B%与腰椎T1值成线性相关(P<0.05),与文献报道一致[8,9]。外周血B%与腰椎T1值成线性相关(P<0.05)文献未见报道。结果说明腰椎T1值可作为区别正常或异常骨髓的重要指标,而腰椎T1值与骨髓及外周血未成熟细胞百分比呈线性相关,即腰椎T1值的大小在一定程度上反映病理性原幼细胞浸润骨髓的程度和反映外周血未成熟细胞的百分比。
3.3 CNR的变化及其在白血病诊断中的应用价值
CNR考虑了噪声的两种组织的对比度,假设所有被检者的脊髓、皮下脂肪的信号强度相对恒定,即其差异无显著性(P>0.05),由于考虑了噪声的干扰,故不同被检查者的CNR的大小直接反映了其骨髓信号强度的高低,并且具有可比性。对CNR的测定和比较,本实验急性白血病诊断组与缓解组、正常对照组不同组别的腰椎/皮下脂肪CNR和股骨骨髓/皮下脂肪CNR间差异有显著性(P<0.01、0.05),缓解组和正常组间差异无显著性(P>0.05),与肉眼观察所见一致。也即CNR可对骨髓肉眼观察和分析进一步客观量化,避免了不同观察者肉眼观察的偏差及由于图像对比度和灰度的不当选择而影响图像观察质量的因素。
, 百拇医药
T1值的长短与CNR的值有一定关系。腰椎T1值与腰椎/皮下脂肪CNR呈直线相关(P<0.05)。由于腰椎/皮下脂肪CNR为肉眼观察腰椎骨髓信号强度的客观量化指标,它的大小也是由腰椎骨髓的结构所决定的,而腰椎T1值为腰椎骨髓所固有的特性,故笔者对腰椎所进行的定性和定量研究是一致的,都可反映腰椎骨髓的变化特征。
3.4 MRI复查时间的选择
急性白血病化疗后,其中白血病细胞数量明显减少,但其中部分正常细胞亦受到伤害而引起骨髓水肿、骨髓抑制,故化疗刚结束时虽病理性造血细胞已被杀死,但由于骨髓水肿、骨髓抑制、骨髓纤维化、骨髓脂肪细胞尚未恢复等原因,T1WI骨髓信号仍较低,T1值仍偏大。待骨髓逐渐恢复造血功能并转换为正常的骨髓结构后,骨髓中的脂肪组织逐渐增多,骨髓水肿消失,故T1WI骨髓信号渐增高,T1值渐变小。本研究结果符合这一MRI变化规律。根据本组结果,笔者认为MRI复查时间应以临床化疗疗程结束后2周为宜,因为2周后骨髓的影像表现已基本稳定,可能此时因化疗药物引起的骨髓水肿已经消失,骨髓脂肪细胞已经恢复。如果T1值再延长,说明骨髓中病理性幼稚细胞含量增多,即急性白血病复发。因此,应用MRI的变化可对急性白血病的疗效进行临床监测。
, 百拇医药
本课题为广西教育厅科研基金项目(No:99009)
参考文献
1,Cohen MD, Klatte EC, Baehner R,et al. Magnetic resonance imaging of bone marrow disease in children. Radiology, 1984, 151:715
2,Duda SH, Laniado M, Schick F,et al. Normal bone marrow in the sacrum of young adult: Differences between the sexes seen on chemical-shift MR imaging. AJR, 1995, 164:935
3,施庭芳.磁共振骨髓成像的临床应用.中华放射学杂志, 1993, 27:10
, 百拇医药
4,张之南,主编.血液病诊断及疗效标准.第2版 北京:科学出版社, 1998, 168
5,吴振华,杨本强,潘诗农,等.正常腰椎骨髓的MRI分型及定量研究初探.中华放射学杂志, 1995, 29:385
6,张志宏,扬崇礼,主编.血液病造血组织病理学图谱.长沙:湖南科学技术出版社, 1989, 24
7,Baker LL, Goodman SB, Perkash,et al. Benign versus pathologic compression fracture of vertebral bodies: Assessment with conventional spin-echo. Chemical-shift and STIR MR imaging. Radiology, 1990, 174:495
8,贺涓,廉宗澄,韩明哲,等.急性白血病骨髓的MRI的研究.天津医药, 1997, 25:543
, 百拇医药
9,Moulopoulos LA, Varma DGK, Dimopoulos MA,et al. Multiple myeloma: Spinal MR imaging in patients with untreated newly diagnosed disease. Radiology, 1992, 185:833
10,Jensen KE, Sorensen PG, Thomsen C,et al. Magnetic resonance imaging of the bone marrow in patients with acute leukemia during and after chemo-therapy: Changes in T1 relaxation. Acta Radiol, 1990, 31:361
收稿:2000-06-27
修回:2000-09-01, 百拇医药
单位:530027 南宁,广西医科大学第一附属医院放射科
关键词:急性白血病;磁共振成像;诊断;治疗
临床放射学杂志001210【摘要】目的 通过观察急性白血病治疗前后骨髓的MRI表现和T1及对比噪声比(CNR)的测定,对照临床、病理资料,探讨急性白血病骨髓MRI定性和定量诊断价值。 材料与方法 选择经临床确诊为急性白血病的患者38例,缓解组25例,对照组35例进行MRI检查及T1值和CNR的测定。 结果 急性白血病T1WI:治疗前组38例,腰骶椎、髂骨及股骨近段均表现为信号降低;化疗缓解组25例表现为不同程度的信号增高。T2WI:38例治疗前组和25例化疗后组各椎体、髂骨、股骨上段呈等信号。外周血B%、骨髓B%、腰椎T1值、腰椎/皮下脂肪CNR、股骨骨髓/皮下脂肪CNR于急性白血病治疗前组与正常对照组、治疗前组与缓解组间的差异均有显著性(P<0.05),缓解组与正常对照组间的差异无显著性(P>0.05),不同细胞类型间的差异无显著性(P>0.05)。腰椎T1值于不同性别、年龄组间的差异无显著性(P>0.05)。治疗前组骨髓B%与腰椎T1值、腰椎/皮下脂肪CNR,外周血B%与腰椎T1值、腰椎/皮下脂肪CNR及腰椎T1值与腰椎/皮下脂肪CNR之间成直线相关(P<0.05)。 结论 急性白血病的MRI检查为一种无创性检查方法,MRI表现具有一定的特征性,在估计病情的严重程度及治疗效果的评价简便实用,为避免多次重复骨髓穿刺检查以及全面观察急性白血病骨髓浸润范围和程度有着重要的临床意义。
, 百拇医药
The Value of MRI in Qualitative and Quantitative Diagnosis of Acute Leukemia
LONG Liling, HUANG Zhongkui, SONG Yingru,et al.
(Department of Radiology, No.1 Affiliated Hospital, Guangxi Medical University, Nanning, Guangxi Province 530027, P.R.China)
【Abstract】Objective To evaluate MRI in qualitative and quantitative diagnosis of acute leukemia by observing the MRI findings of bone marrow, calculating T1 and CNR (contrast-noise ratio) before and after chemotherapy, and by comparing clinical and pathological data. Materials and Methods MRI scanning, T1 value and CNR measuring were performed in study group (38 acute patients), remission group (25 cases) and control group (35 healthy volunteers). Results Before treatment hypointense signal on T1WI at lumbosacral vertebrae, iliac bone and proximal femur was seen in all 38 cases with acute leukemia. Isointense signal on T2WI was found in all cases. The signal intensity on T1WI tended to become normal in all 25 remission cases of acute leukemia. Isointense signal was also found on T2WI in remission cases. Significant differences in B% of blood and marrow, T1 value of lumbar vertebrea, CNR of lumbar vertebrea/subcutaneous fat, and CNR of femoral marrow/subcutaneous fat were existed between study group before treatment and both control group and remission group (P<0.05). No significant difference could be seen between remission group and control group (P>0.05), nor between cases with different cellular type, including ALL, AML, ALL+AML (P>0.05). Positive linear correlation existed between B% of bone marrow and lumbar T1 value, CNR of lumbar vertebrea/subcutaneous fat, between B% of peripheral blood and lumbar T1 value, CNR of lumbar vertebrea/subcutaneous fat, and between lumbar T1 value and CNR of lumbar vertebrea/subcutaneous fat (P<0.05). Conclusion Acute leukemia has some characteristics on MRI. As a non-invasive technique, MRI is very useful in estimating the severity of the disease and in evaluating the therapeutic effect, refraining from repeated marrow puncturing.
, 百拇医药
【Key words】Acute leukemia MRI Diagnosis Chemotherapy
既往,急性白血病定性及定量的检查方法为骨髓穿刺涂片或活检,为有创伤性的检查。自从MRI问世并于1980年开始应用于临床以后,由于其能灵敏地反映骨髓组织结构和化学成分的变化,故在一定程度上能从宏观的图像改变而反映骨髓微观分子结构的改变。迄今,国外已有较多的研究[1,2],国内只有少数文献报道[3]。本研究旨在结合本地的病例特点,采用大病例组,探讨急性淋巴细胞性白血病(ALL)和急性髓细胞性白血病(AML)的MRI表现,并与临床、病理联系,系统而深入地进行定性和定量研究,以期使MRI成为诊断本病和观察其疗效的一种重要手段。
1 材料与方法
搜集我院1997~1999年经骨髓穿刺涂片或活检检查确诊为急性白血病且未经化疗的患者38例,男19例,女19例,年龄4~65岁,平均18±15岁。其中ALL 27例,AML 11例。缓解组25例,其中,10例只作缓解后MRI检查,15例有化疗前后MRI对比,9例化疗后作2次以上MRI追踪复查。对照组35例,选择年龄匹配的、无造血系统疾病史的正常志愿者。
, http://www.100md.com
使用Elscint公司生产的Gyrex-V DLX型0.5T超导磁共振成像仪。所有病例均作腰骶椎矢状面和髂骨、股骨近段冠状面扫描。腰椎采用表面线圈作矢状面T1WI(TR 450ms/TE 20ms,TR 700ms/TE 20ms)、T2WI(TR 3600ms/TE 80ms);骨盆(包括双股骨上段)用体部线圈作冠状面T1WI(TR 450ms、TE 20ms,TR 700ms、TE 20ms)、T2WI(TR 3600ms,TE 80ms),层厚5mm,层距1mm,矩阵180×256。
MRI信号的肉眼观察分析方法: 以MRI信号相对固定的脊髓为参照物,腰椎、骨盆及股骨近段的MRI信号与脊髓相等、高、低相应设为等、高、低信号。
T1值的测量是对T1WI的两种序列(TR 450ms/TE 20ms,TR 700ms/TE 20ms)进行T1-MAPS重建,取第1至第3腰椎正中矢状面最大ROI测量3个椎体T1值,再求得3个椎体T1值的平均值代表本病例腰椎的T1值。股骨近段用与腰椎类似的方法,在两侧股骨转子间测量T1值,其平均值代表本病例股骨近段的T1值。
, 百拇医药
标准化信号强度的测量和计算: 选择腰椎及股骨近段的最大层面,选择相同的ROI测量皮下脂肪,骨髓的信号强度(S)和标准差(σ),按CNR=|S1-S2|/(σ1-σ2)1/2来计算骨髓与皮下脂肪及骨髓与脊髓的CNR。
外周血检查及骨髓穿刺或活检取材时间与MRI检查的间隔均在3天内,均为我院病理教研室、血液病实验室或检验科的检查结果。
急性白血病发病、部分缓解、完全缓解、复发时,骨髓原幼细胞百分比(骨髓B%)的细胞形态学诊断标准分别为≥30%、5%~20%、≤5%、≥20%[4]。
统计学方法: 不同组间的外周血B%、骨髓B%、腰椎T1、腰椎/皮下脂肪CNR、股骨/皮下脂肪CNR、股骨T1值的差异比较采用两样本均数比较的t检验,评价外周血B%、骨髓B%、腰椎T1值、腰椎/皮下脂肪CNR之间的线性相关统计,均使用计算机软件SPSS for Windows 7.52进行检验。
, 百拇医药
2 结果
2.1 MRI表现
正常对照组: 腰椎T1WI表现分为两组,<20岁25例,均为椎体中间部出现条带状高信号,其余为均匀稍高信号;>20岁10例,表示为椎体内不均匀斑片状高信号。髂骨35例中,T1WI表现为稍高信号背景中仅在髋臼中上部见不规则斑片状高信号灶或并有髂骨不规则小斑片状高信号灶。股骨近段T1WI表现:>20岁的10例均表现为较均匀高信号;10~20岁的14例表现为稍高信号背景下可见斑点、斑片状高信号相互交错分布;<10岁的11例均表现为较均匀的稍低信号。腰椎、骨盆及股骨上段T2WI表现均为均匀的等信号(图1、2)。
急性白血病组: T1WI: (1)治疗前组38例:腰骶椎38例所有椎体均表现为均匀的信号降低,比相邻的椎间盘和脊髓的信号均明显降低;髂骨38例均表现为低信号,其中3例于髋臼旁见斑片状高信号残留;股骨近段信号降低38例,其中8例股骨头、股骨大转子见斑片状高信号残留,且此8例均有骨骺板存在。 (2)化疗缓解组25例:所有椎体、髂骨、股骨头、股骨大转子及骨干均表现为不同程度的信号增高,达完全缓解者(21例)比部分缓解者(4例)更接近相应的正常骨髓信号(图3、4)。其中9例还作了治疗后追踪观察,第1次为化疗1疗程结束5天内并经临床及骨髓穿刺认为完全缓解时行MRI检查,第2次为2~4周内经骨髓穿刺后行MRI检查。6例2次经骨髓穿刺检查均为完全缓解,但第2次MRI检查椎体信号比第1次略为增高(图5)。复发的3例中,2例再次缓解,经MRI检查,其骨髓信号重新升高。
, http://www.100md.com
T2WI: 38例治疗前组和25例缓解组(包括3例复发)各椎体、髂骨、股骨头、股骨大转子及骨干信号改变不大,为等信号,与正常组所见大致相同,但6例化疗缓解后第1次复查5例可见斑片状高信号,第2次复查均为等信号。
图1 男,24岁。正常腰椎。A.T1WI腰椎椎体呈稍高均匀信号。B.T2WI椎体呈等信号 图2 正常骨盆,T1WI髂骨、股骨上段均呈均匀高信号
所有病例腰骶椎、髂骨、股骨近段的形态、大小均无改变。
2.2 急性白血病定量测定
急性白血病治疗前组、化疗缓解组和正常对照组的外周血B%、骨髓B%、腰椎T1值、腰椎/皮下脂肪CNR、股骨骨髓/皮下脂肪CNR的测定结果及比较分析见表1。 表1 治疗前组、正常组及缓解组定量测定的结果比较
, http://www.100md.com
诊断
例数
血B%
骨髓B%
腰椎T1
腰椎/皮下
脂肪CNR
股骨骨髓/皮
下脂肪CNR
①治疗前组
38
48.5±22.1
83.1±12.4
, http://www.100md.com
972.5±316.5
3.78±2.7
4.36±2.70
②正常组
35
0
1.2±1.4
366.8± 44.1
6.43±3.39
1.63±0.95
③缓解组
25
, 百拇医药
0
2.1±1.9
445.8±120.5
5.71±2.57
2.09±2.29
t检验(P)
①②
<0.01
<0.01
<0.01
<0.01
①③
<0.01
, 百拇医药
<0.01
<0.05
<0.05
②③
>0.05
>0.05
>0.05
>0.05
表2 急性白血病治疗前组骨髓B%与T1值、CNR的直线相关比较 项 目
直线相关
P值
相关系数r
, 百拇医药
检验方法
骨髓B%与腰椎T1值
+
<0.05
0.454
P.*
骨髓B%与腰椎/皮下脂肪CNR
+
<0.05
0.413
P.
血B%与腰椎T1值
, 百拇医药
+
<0.05
0.494
P.
血B%与腰椎/皮下脂肪CNR
+
<0.05
0.453
P.
腰椎T1值与腰椎/皮下脂肪CNR
+
<0.05
, 百拇医药
0.398
SP.* *
* P.—Pearson's线性相关统计; * *SP.—Spearman's线性相关统计
图3 男,11岁。急性白血病。T1WI示:A.治疗前椎体呈均匀低信号,椎体形态正常;B.治疗后完全缓解其椎体信号明显升高 图4 同图3病例。T1WI示:A.治疗前髂骨、股骨上段信号明显降低;B.治疗后完全缓解其信号升高 图5 17岁。急性白血病。T1WI示:A.治疗前椎体均匀低信号;B.治疗后缓解2天,椎体信号稍升高;C.治疗后缓解3周,椎体信号明显升高
, http://www.100md.com
表1结果显示:急性白血病治疗前组与正常对照组、治疗前组与缓解组的血B%、骨髓B%、腰椎T1值、腰椎/皮下脂肪CNR、股骨骨髓/皮下脂肪CNR的差异均有显著性(P<0.01、0.05)。急性白血病缓解组与正常对照组的血B%、骨髓B%、腰椎T1值、腰椎/皮下脂肪CNR、股骨骨髓/皮下脂肪CNR的差异均无显著性(P>0.05)。
急性白血病治疗前组骨髓B%与腰椎T1值、骨髓B%与腰椎/皮下脂肪CNR、血B%与腰椎T1值、血B%与腰椎/皮下脂肪CNR、腰椎T1值与腰椎/皮下脂肪CNR的相关性分析见表2。
表2结果表明:急性白血病治疗前骨髓B%与腰椎T1值、骨髓B%与腰椎/皮下脂肪CNR、血B%与腰椎T1值、血B%与腰椎/皮下脂肪CNR、腰椎T1值与腰椎/皮下脂肪CNR之间成直线相关(P<0.05)。
, 百拇医药
不同临床类型、性别及年龄的骨髓病理材料与MRI表现、T1值、对比噪声比的比较和分析: 本研究对治疗前的ALL 27例、AML 11例及ALL+AML 38例的血B%、骨髓B%、腰T1值、腰椎/皮下脂肪CNR、股骨骨髓/皮下脂肪CNR的数据分别进行两两比较,结果不同细胞类型的急性白血病它们的差异均无显著性(P>0.05)。
年龄<20岁20例,腰T1值1012.4±308.1;>20岁18例,腰T1值897.5±346.8。两年龄组间腰椎T1值的差异无显著性(P>0.05)。
男性19例,腰T1值997.3±388.1;女性19例,腰T1值943.8±408.9。不同性别腰椎T1值的差异无显著性(P>0.05)。
, 百拇医药 3 讨论
3.1 正常和白血病骨髓的分布、转换与其MRI表现的关系
正常骨髓依据其造血功能可分为黄骨髓和造血性的红骨髓。人体不同部位、不同年龄和性别,其黄骨髓和红骨髓的含量及比例是不同的。胎儿期全部骨髓均为红骨髓,出生后即按一定规律由红骨髓向黄骨髓生理性转换。约25岁后,红骨髓主要集中在中轴骨及扁骨,少量在四肢长骨近端(即股骨和肱骨上1/3段),其余为黄骨髓[1~3]。正常成人腰椎红骨髓中造血细胞约55%,脂肪细胞约45%,即各占一半左右,而且其分布相互交错,极不均匀[5]。MRI主要根据组织特性(化学结构与成分)来决定其信号强度的变化。由于骨髓内富含脂肪、蛋白质和细胞水,MRI能够一定程度地从宏观上直接反映脂肪和造血细胞成分的量的变化,这就是MRI能够从宏观上无创地研究骨髓成分的基础。T1WI像上,黄骨髓呈现非常高的信号,红骨髓为等信号,比黄骨髓信号明显低。T2WI像上,红、黄骨髓信号强度相差不大。
, 百拇医药
在急性白血病正常骨髓中造血细胞与脂肪细胞的比例发生变化,骨髓中主要由异常增生的白血病细胞代替了正常的黄骨髓,尤其是混杂在造血性红骨髓中的脂肪细胞首先发生逆转,随后才沿正常骨髓转换的反方向逆转[3,6]。本组急性白血病38例治疗前骨髓原幼细胞均在65%~98%间,提示大量的病理性造血细胞浸润骨髓。由于白血病细胞具有延长T1弛豫时间的特性,因此白血病骨髓的MRI信号发生变化,表现为T1WI信号降低。本组急性白血病38例T1WI均表现为椎体、髂骨及股骨上段骨髓信号均降低,但降低的程度不一,其与性别、年龄、临床分型的关系不大,而与外周血或骨髓原幼细胞的百分比成正相关。T2WI信号变化不明显。这一结果与文献报道相一致[7]。
根据骨髓病理学,白血病骨髓改变为主要在造血组织中白血病细胞异常增生和浸润,其特点为:造血组织均有不同程度的明显增生,这可解释为什么不同白血病病例骨髓MRI信号均有不同程度的降低。白血病细胞可呈片状、团块状或弥散浸润,则可造成骨髓MRI信号不均匀或均匀降低。红骨髓中的脂肪细胞和黄骨髓中的脂肪细胞也有不同,黄骨髓的脂肪细胞耐饥饿,而红骨髓的脂肪细胞则不能;即白血病发生时,脂肪细胞被动员,造血骨髓的扩展的方向为腰椎→髂骨→股骨头→大转子→股骨上段,即腰椎骨髓内的脂肪已完全被动员后,髂骨和股骨近段骨髓内的脂肪可能尚未完全被动员。由于各部位骨髓转换有差异,本组急性白血病38例所有腰椎均表现为均匀的信号降低,髂骨、股骨近段除有3~8例表现为斑片状信号降低外,其余病例亦表现为均匀的信号降低。选择骨髓检查的部位时,由于椎体和髂骨一生均有造血,也是白血病首先浸润的部位,故此部位可作MRI检查。本组急性白血病的腰椎、髂骨、股骨近段MRI观察及定量测定相一致,故MRI可指导临床穿刺部位的选择。
, 百拇医药
3.2 T1值的变化及其在白血病诊断中的应用价值
白血病细胞的骨髓浸润,使椎体骨髓的T1弛豫时间明显延长,为972.5ms±316.5ms,明显高于正常组椎体的平均T1值(366.8ms±44.1ms)(P<0.01)。治疗后完全缓解25例,骨髓原幼细胞均小于5%,外周血找不到原幼细胞,其T1值趋于正常,平均为445.8ms±120.5ms,与治疗前组的T1值比较有显著性差异(P<0.05),而与正常组间的T1值的差异无显著性(P>0.05)。本文结果提示,T1值可作为白血病的诊断及治疗后病情改变的一个无创性而客观的评价指标,当T1值明显延长,结合椎体骨髓低信号改变,可协助白血病的诊断[1,8,9]。对治疗后病例的MRI扫描,如果由原来延长的T1值变为T1值缩短,尤其是缩短到接近正常椎体T1值时,而外周血找不到原幼细胞,则客观地提示病情好转,可减少不必要的骨髓穿刺进行复查[1,9,10]。
, 百拇医药
B%的多少与腰椎T1值的长短有一定关系。本组白血病治疗前骨髓B%均大于65%(平均83.1%±12.4%),外周血B%也大于25%(平均48.5%±22.1%),经统计学相关分析示,骨髓B%与腰椎T1值成线性相关(P<0.05),与文献报道一致[8,9]。外周血B%与腰椎T1值成线性相关(P<0.05)文献未见报道。结果说明腰椎T1值可作为区别正常或异常骨髓的重要指标,而腰椎T1值与骨髓及外周血未成熟细胞百分比呈线性相关,即腰椎T1值的大小在一定程度上反映病理性原幼细胞浸润骨髓的程度和反映外周血未成熟细胞的百分比。
3.3 CNR的变化及其在白血病诊断中的应用价值
CNR考虑了噪声的两种组织的对比度,假设所有被检者的脊髓、皮下脂肪的信号强度相对恒定,即其差异无显著性(P>0.05),由于考虑了噪声的干扰,故不同被检查者的CNR的大小直接反映了其骨髓信号强度的高低,并且具有可比性。对CNR的测定和比较,本实验急性白血病诊断组与缓解组、正常对照组不同组别的腰椎/皮下脂肪CNR和股骨骨髓/皮下脂肪CNR间差异有显著性(P<0.01、0.05),缓解组和正常组间差异无显著性(P>0.05),与肉眼观察所见一致。也即CNR可对骨髓肉眼观察和分析进一步客观量化,避免了不同观察者肉眼观察的偏差及由于图像对比度和灰度的不当选择而影响图像观察质量的因素。
, 百拇医药
T1值的长短与CNR的值有一定关系。腰椎T1值与腰椎/皮下脂肪CNR呈直线相关(P<0.05)。由于腰椎/皮下脂肪CNR为肉眼观察腰椎骨髓信号强度的客观量化指标,它的大小也是由腰椎骨髓的结构所决定的,而腰椎T1值为腰椎骨髓所固有的特性,故笔者对腰椎所进行的定性和定量研究是一致的,都可反映腰椎骨髓的变化特征。
3.4 MRI复查时间的选择
急性白血病化疗后,其中白血病细胞数量明显减少,但其中部分正常细胞亦受到伤害而引起骨髓水肿、骨髓抑制,故化疗刚结束时虽病理性造血细胞已被杀死,但由于骨髓水肿、骨髓抑制、骨髓纤维化、骨髓脂肪细胞尚未恢复等原因,T1WI骨髓信号仍较低,T1值仍偏大。待骨髓逐渐恢复造血功能并转换为正常的骨髓结构后,骨髓中的脂肪组织逐渐增多,骨髓水肿消失,故T1WI骨髓信号渐增高,T1值渐变小。本研究结果符合这一MRI变化规律。根据本组结果,笔者认为MRI复查时间应以临床化疗疗程结束后2周为宜,因为2周后骨髓的影像表现已基本稳定,可能此时因化疗药物引起的骨髓水肿已经消失,骨髓脂肪细胞已经恢复。如果T1值再延长,说明骨髓中病理性幼稚细胞含量增多,即急性白血病复发。因此,应用MRI的变化可对急性白血病的疗效进行临床监测。
, 百拇医药
本课题为广西教育厅科研基金项目(No:99009)
参考文献
1,Cohen MD, Klatte EC, Baehner R,et al. Magnetic resonance imaging of bone marrow disease in children. Radiology, 1984, 151:715
2,Duda SH, Laniado M, Schick F,et al. Normal bone marrow in the sacrum of young adult: Differences between the sexes seen on chemical-shift MR imaging. AJR, 1995, 164:935
3,施庭芳.磁共振骨髓成像的临床应用.中华放射学杂志, 1993, 27:10
, 百拇医药
4,张之南,主编.血液病诊断及疗效标准.第2版 北京:科学出版社, 1998, 168
5,吴振华,杨本强,潘诗农,等.正常腰椎骨髓的MRI分型及定量研究初探.中华放射学杂志, 1995, 29:385
6,张志宏,扬崇礼,主编.血液病造血组织病理学图谱.长沙:湖南科学技术出版社, 1989, 24
7,Baker LL, Goodman SB, Perkash,et al. Benign versus pathologic compression fracture of vertebral bodies: Assessment with conventional spin-echo. Chemical-shift and STIR MR imaging. Radiology, 1990, 174:495
8,贺涓,廉宗澄,韩明哲,等.急性白血病骨髓的MRI的研究.天津医药, 1997, 25:543
, 百拇医药
9,Moulopoulos LA, Varma DGK, Dimopoulos MA,et al. Multiple myeloma: Spinal MR imaging in patients with untreated newly diagnosed disease. Radiology, 1992, 185:833
10,Jensen KE, Sorensen PG, Thomsen C,et al. Magnetic resonance imaging of the bone marrow in patients with acute leukemia during and after chemo-therapy: Changes in T1 relaxation. Acta Radiol, 1990, 31:361
收稿:2000-06-27
修回:2000-09-01, 百拇医药