CT诊断肾上腺囊肿一例
作者:汤光宇 顾伟中 王骐 李伟
单位:200072 上海,同济大学医学院附属铁路医院放射科
关键词:
临床放射学杂志001239 患者 男,44岁。半个月前无明显诱因出现右 腰痛,无血尿及尿频。B超示右肾上极液性暗区,考虑右肾囊肿。肾图示右肾功能轻度受损 。IVP示右肾显影良好,肾盏无破坏、移位征象。
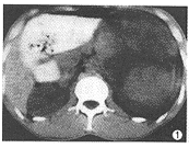
CT表现: 右肾上腺区一卵圆形囊状液性密度占位,CT值11.2HU,内有散在点状钙化,边缘 光整,囊壁后方与弧形受压的肾上腺实质相延续(图1);增强扫描囊内不强化,囊壁与肾上 腺均呈轻度强化(图2);下方的肾上极受压移位,轻度变形,但皮髓质完整(图3)。左前方的 胰头及上方的肝脏均为受压移位表现。
手术病理所见: 囊肿位于肾上极内侧肾上腺处,大小7.0cm×6.0cm×3.3cm,表面光滑 ,囊壁薄如纸,部分壁稍厚约0.5cm,附有淡黄色肾上腺组织,囊内为淡粉红色液体。 镜下见囊壁内衬柱状和扁平上皮细胞、少许扩张的淋巴管,诊断为淋巴管来源的内皮性囊肿 。
, 百拇医药
讨论 肾上腺囊肿罕见,国内、外报道其发病率约0.06%[1 ]。按病理性质可分为肿瘤性及非肿瘤性两大类。肿瘤性极少,一般为肾上腺良、恶性 肿瘤出血、坏死、囊性变的结果。非肿瘤性囊肿占绝大多数,进一步分为4大类:(1)内皮性 45%; (2)假性39%; (3)上皮或表皮性9%; (4)寄生虫性7%[2,3]。有的作者把内 皮性和上皮性囊肿统称为真性囊肿,是由肾上腺淋巴管梗阻、组织发育异常或错构等引起。 上皮性囊壁内衬单层柱状上皮,囊液清亮。内皮性囊肿可进一步分为淋巴管性和血管性两型 ,以淋巴管扩张性为多见,囊壁内衬扁平上皮,囊肿可有分隔,囊液清亮。血管扩张性较少 见,囊腔内有液态出血、碎片和钙化,囊壁衬丰富的血管网和正常形态皮质细胞[3] 。假性囊肿可能因急性或慢性感染、外伤、动脉硬化等所致肾上腺出血引起,囊内无细胞 被衬,囊液为红色或棕色,囊壁可有钙化。寄生虫性常为包虫囊肿,囊壁钙化,Casoni试验 阳性[3]。
肾上腺囊肿临床上多无症状,部分伴腹部非特异性痛[2],常在体检或检查其他疾 病时偶尔被发现,极少合并内分泌异常表现。CT检查可明确病变性质。典型的肾上腺囊肿表 现为边缘锐利,圆形或卵圆形,均匀水样密度的囊性病变,囊肿内壁光滑,囊壁较薄,约1 ~6mm,增强后囊液无强化,囊壁可有轻度强化,囊壁与肾上腺实质密切相关;根据肾皮、 髓质完整,肾盂、肾盏无异常[4],可与肾囊肿鉴别。尽管Bellantone等[1] 提出即使联合多种检查手段也难以定性,但笔者认为囊内点状钙化是真性肾上腺囊肿的较 可靠特征,这与Ardito等[2]的病理报道一致;而囊壁的弧形钙化则可 能是假性或寄生虫性肾上腺囊肿的特

, http://www.100md.com
图1 CT平扫示右肾上腺区囊性占位,包膜光整,其内有多个点状钙化 图2 CT增强扫描示囊壁轻度强化,右肾上腺与囊肿关系密切(↑) 图3右肾受压、移位,但肾上极皮、髓质完整征[3]。而肝、肾囊肿内均极少出现钙化。对于一些极少见的 非典型肾上腺囊肿,由于囊内胶冻样物质CT值可达60HU左右[4],易误诊为肾上腺 的其他实性肿瘤,正确诊断需结合超声。
参考文献
1,Bellantone R, Ferrante A, Raffaelli M,et al. Adrenal cyst ic lesions: Report of 12 surgically treated cases and review of the literature. J Endocrinol Invest, 1998, 21:109
2,Ardito G, Revelli L, Manni R,et al. Vascular cysts of the adrenal s, association with aneurysm of the abdominal aorta. Ann Ital Chir, 1999, 70:445
3,钱声华,郭震华.肾上腺囊肿5例报告.苏州医学院学报, 1997, 17:1196
4,杨东益,罗建光,刘顾岗,等.非典型肾上腺囊肿误诊1例报告.实用放射 学杂志, 1997, 13:504
收稿:2000-08-22, http://www.100md.com
单位:200072 上海,同济大学医学院附属铁路医院放射科
关键词:
临床放射学杂志001239 患者 男,44岁。半个月前无明显诱因出现右 腰痛,无血尿及尿频。B超示右肾上极液性暗区,考虑右肾囊肿。肾图示右肾功能轻度受损 。IVP示右肾显影良好,肾盏无破坏、移位征象。
CT表现: 右肾上腺区一卵圆形囊状液性密度占位,CT值11.2HU,内有散在点状钙化,边缘 光整,囊壁后方与弧形受压的肾上腺实质相延续(图1);增强扫描囊内不强化,囊壁与肾上 腺均呈轻度强化(图2);下方的肾上极受压移位,轻度变形,但皮髓质完整(图3)。左前方的 胰头及上方的肝脏均为受压移位表现。
手术病理所见: 囊肿位于肾上极内侧肾上腺处,大小7.0cm×6.0cm×3.3cm,表面光滑 ,囊壁薄如纸,部分壁稍厚约0.5cm,附有淡黄色肾上腺组织,囊内为淡粉红色液体。 镜下见囊壁内衬柱状和扁平上皮细胞、少许扩张的淋巴管,诊断为淋巴管来源的内皮性囊肿 。
, 百拇医药
讨论 肾上腺囊肿罕见,国内、外报道其发病率约0.06%[1 ]。按病理性质可分为肿瘤性及非肿瘤性两大类。肿瘤性极少,一般为肾上腺良、恶性 肿瘤出血、坏死、囊性变的结果。非肿瘤性囊肿占绝大多数,进一步分为4大类:(1)内皮性 45%; (2)假性39%; (3)上皮或表皮性9%; (4)寄生虫性7%[2,3]。有的作者把内 皮性和上皮性囊肿统称为真性囊肿,是由肾上腺淋巴管梗阻、组织发育异常或错构等引起。 上皮性囊壁内衬单层柱状上皮,囊液清亮。内皮性囊肿可进一步分为淋巴管性和血管性两型 ,以淋巴管扩张性为多见,囊壁内衬扁平上皮,囊肿可有分隔,囊液清亮。血管扩张性较少 见,囊腔内有液态出血、碎片和钙化,囊壁衬丰富的血管网和正常形态皮质细胞[3] 。假性囊肿可能因急性或慢性感染、外伤、动脉硬化等所致肾上腺出血引起,囊内无细胞 被衬,囊液为红色或棕色,囊壁可有钙化。寄生虫性常为包虫囊肿,囊壁钙化,Casoni试验 阳性[3]。
肾上腺囊肿临床上多无症状,部分伴腹部非特异性痛[2],常在体检或检查其他疾 病时偶尔被发现,极少合并内分泌异常表现。CT检查可明确病变性质。典型的肾上腺囊肿表 现为边缘锐利,圆形或卵圆形,均匀水样密度的囊性病变,囊肿内壁光滑,囊壁较薄,约1 ~6mm,增强后囊液无强化,囊壁可有轻度强化,囊壁与肾上腺实质密切相关;根据肾皮、 髓质完整,肾盂、肾盏无异常[4],可与肾囊肿鉴别。尽管Bellantone等[1] 提出即使联合多种检查手段也难以定性,但笔者认为囊内点状钙化是真性肾上腺囊肿的较 可靠特征,这与Ardito等[2]的病理报道一致;而囊壁的弧形钙化则可 能是假性或寄生虫性肾上腺囊肿的特
, http://www.100md.com
图1 CT平扫示右肾上腺区囊性占位,包膜光整,其内有多个点状钙化 图2 CT增强扫描示囊壁轻度强化,右肾上腺与囊肿关系密切(↑) 图3右肾受压、移位,但肾上极皮、髓质完整征[3]。而肝、肾囊肿内均极少出现钙化。对于一些极少见的 非典型肾上腺囊肿,由于囊内胶冻样物质CT值可达60HU左右[4],易误诊为肾上腺 的其他实性肿瘤,正确诊断需结合超声。
参考文献
1,Bellantone R, Ferrante A, Raffaelli M,et al. Adrenal cyst ic lesions: Report of 12 surgically treated cases and review of the literature. J Endocrinol Invest, 1998, 21:109
2,Ardito G, Revelli L, Manni R,et al. Vascular cysts of the adrenal s, association with aneurysm of the abdominal aorta. Ann Ital Chir, 1999, 70:445
3,钱声华,郭震华.肾上腺囊肿5例报告.苏州医学院学报, 1997, 17:1196
4,杨东益,罗建光,刘顾岗,等.非典型肾上腺囊肿误诊1例报告.实用放射 学杂志, 1997, 13:504
收稿:2000-08-22, http://www.100md.com