成人肾母细胞瘤一例
作者:丁莹莹 高德培 谭骅
单位:650106 昆明,云南省肿 瘤医院放射科
关键词:
临床放射学杂志001238 患者 男,27岁。无意中发现左上腹包块10余 天,无疼痛、血尿及发热。查体:左上腹明显隆起,可触及约12cm×20cm肿块,质中等,表 面光滑,不活动,无压痛。肝、肾功能及三大常规检查未发现异常。
IVP:左肾影明显增大,左肾盂轻度积水,肾盂肾盏显影浅淡。右肾显影正常。意见:左肾 下极占位病变。
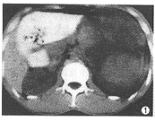
CT检查: 左肾下极见16cm×10cm×16cm巨大囊实性肿块,CT值20.1~48.6HU,肿块边界清 楚,占据左半腹腔(图1),左肾盂轻度扩大。增强后肿块实质部分有轻度强化,CT值62.5H U,可见完整包膜(图2)。右肾无异常,无肿大淋巴结。CT诊断:左肾巨大占位病变,肾母 细胞瘤可能性大。
, 百拇医药
手术所见: 肿瘤位于左肾下极,大小约16cm×10cm×15cm,形态不规则,有完整包膜,与 邻近组织粘连。
病理检查: 肿块切面呈囊实性,囊内有血性液体,实性呈肉色、灰黄色。镜检肿瘤细胞小 、圆,呈弥散分布或构成小管样结构。免疫组化结果:Vim(+ +),Ck(-),S100(-) ,CgA(-)。病理诊断:肾母细胞瘤。
讨论 肾母细胞瘤起源于后肾胚基,是小儿最常见的恶性肿瘤之一 ,约占小儿实体瘤的8%,50%见于2岁以前,75%见于4岁以内[1]。发生于婴幼儿的 肾母细胞瘤诊断及鉴别诊断容易,而成人肾母细胞瘤罕见,术前易误诊为肾癌。
成人肾母细胞瘤可发生于任何年龄,但多数在20~30岁之间,平均发病年龄为31.7岁[ 2]。临床以腹部肿块为常见表现,此外还可出现腹痛、血尿及发热等。结合文献笔者认 为在CT影像上成人肾母细胞瘤常表现为巨大、边缘清楚,有完整包膜或假包膜且密度不均匀 肿块,常有大范围低密度坏死区,增强后实质部分有不均匀强化。
, 百拇医药
成人肾母细胞瘤主要应与肾癌鉴别。与肾癌相比,成人肾母细胞瘤发病年龄小,75%小于30 岁;瘤体大,平均直径10cm;CT上常可见大片液化坏死区,强化不明显,有完整包膜。另外 Kioumehr等[3]的研究结果表明85%的肾母细胞瘤患者有特征性的动脉造影表现,即 肿瘤为少血性,供养血管纤细,并伴有纤 细弯曲、呈波浪状的血管入肿瘤内,形成所谓的“ 蔓藤状”或“细面条状”血管。通过本病例并复习有关文献,笔者认为成人肾母细胞瘤虽然 罕见,但结合患者年龄及对CT、血管造影等结果的综合分析,大多数患者可在术前作出正确 诊断。

图1 CT平扫显示腹腔左侧约16cm×10cm×16cm巨大囊实性肿块,CT值20 .1~48.6HU,肿块边界清楚 图2 CT增强扫描示肿块与左肾相连,实质部分有轻度强化,CT值62.5HU ,可见完整包膜。右肾正常
, http://www.100md.com
参考文献
1,刘复生,刘彤华,主编.肿瘤病理学.北京:北京医科大学中国协 和医科大学联合出版社, 1997, 1795
2,张杰华,陈勇,陈卫国,等.成人肾母细胞瘤的影像诊断.中华放射学杂志 , 1998, 32:647
3,Kioumehr, Cochran ST, Layfield L,et al. Wilms tumor (nephroblasto ma) in the adult patient: Clinical and radiologic manifestations. AJR, 1989, 152 :299
收稿:2000-07-31, 百拇医药
单位:650106 昆明,云南省肿 瘤医院放射科
关键词:
临床放射学杂志001238 患者 男,27岁。无意中发现左上腹包块10余 天,无疼痛、血尿及发热。查体:左上腹明显隆起,可触及约12cm×20cm肿块,质中等,表 面光滑,不活动,无压痛。肝、肾功能及三大常规检查未发现异常。
IVP:左肾影明显增大,左肾盂轻度积水,肾盂肾盏显影浅淡。右肾显影正常。意见:左肾 下极占位病变。
CT检查: 左肾下极见16cm×10cm×16cm巨大囊实性肿块,CT值20.1~48.6HU,肿块边界清 楚,占据左半腹腔(图1),左肾盂轻度扩大。增强后肿块实质部分有轻度强化,CT值62.5H U,可见完整包膜(图2)。右肾无异常,无肿大淋巴结。CT诊断:左肾巨大占位病变,肾母 细胞瘤可能性大。
, 百拇医药
手术所见: 肿瘤位于左肾下极,大小约16cm×10cm×15cm,形态不规则,有完整包膜,与 邻近组织粘连。
病理检查: 肿块切面呈囊实性,囊内有血性液体,实性呈肉色、灰黄色。镜检肿瘤细胞小 、圆,呈弥散分布或构成小管样结构。免疫组化结果:Vim(+ +),Ck(-),S100(-) ,CgA(-)。病理诊断:肾母细胞瘤。
讨论 肾母细胞瘤起源于后肾胚基,是小儿最常见的恶性肿瘤之一 ,约占小儿实体瘤的8%,50%见于2岁以前,75%见于4岁以内[1]。发生于婴幼儿的 肾母细胞瘤诊断及鉴别诊断容易,而成人肾母细胞瘤罕见,术前易误诊为肾癌。
成人肾母细胞瘤可发生于任何年龄,但多数在20~30岁之间,平均发病年龄为31.7岁[ 2]。临床以腹部肿块为常见表现,此外还可出现腹痛、血尿及发热等。结合文献笔者认 为在CT影像上成人肾母细胞瘤常表现为巨大、边缘清楚,有完整包膜或假包膜且密度不均匀 肿块,常有大范围低密度坏死区,增强后实质部分有不均匀强化。
, 百拇医药
成人肾母细胞瘤主要应与肾癌鉴别。与肾癌相比,成人肾母细胞瘤发病年龄小,75%小于30 岁;瘤体大,平均直径10cm;CT上常可见大片液化坏死区,强化不明显,有完整包膜。另外 Kioumehr等[3]的研究结果表明85%的肾母细胞瘤患者有特征性的动脉造影表现,即 肿瘤为少血性,供养血管纤细,并伴有纤 细弯曲、呈波浪状的血管入肿瘤内,形成所谓的“ 蔓藤状”或“细面条状”血管。通过本病例并复习有关文献,笔者认为成人肾母细胞瘤虽然 罕见,但结合患者年龄及对CT、血管造影等结果的综合分析,大多数患者可在术前作出正确 诊断。
图1 CT平扫显示腹腔左侧约16cm×10cm×16cm巨大囊实性肿块,CT值20 .1~48.6HU,肿块边界清楚 图2 CT增强扫描示肿块与左肾相连,实质部分有轻度强化,CT值62.5HU ,可见完整包膜。右肾正常
, http://www.100md.com
参考文献
1,刘复生,刘彤华,主编.肿瘤病理学.北京:北京医科大学中国协 和医科大学联合出版社, 1997, 1795
2,张杰华,陈勇,陈卫国,等.成人肾母细胞瘤的影像诊断.中华放射学杂志 , 1998, 32:647
3,Kioumehr, Cochran ST, Layfield L,et al. Wilms tumor (nephroblasto ma) in the adult patient: Clinical and radiologic manifestations. AJR, 1989, 152 :299
收稿:2000-07-31, 百拇医药