巨大食管纤维血管性息肉一例
作者:符有文 刁胜林
单位:524001 湛江,广东医学院附属医院放射科
关键词:
临床放射学杂志001235 患者 女,43岁。因进行性吞咽困难伴胸骨后 疼痛3个月入院。入院时患者仅能进流质食物,体重下降10余斤。体检无明显阳性体征,各 项实验室检查正常。
X线钡餐检查: 食管中上段明显扩张并向双上纵隔突出,钡剂大部分偏左侧通过。食管镜示 :距门齿23~27cm处食管腔内隆起肿块,送检物病理为炎症坏死组织。
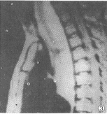
MRI检查: 食管中上段(T7以上)巨大香肠样软组织肿块,约27.0cm×6.5cm×5.2cm,T1 WI呈较均质等信号(图1、2),T2WI呈明显高信号(图3),肿块于主动脉弓附近尤为显著。M RI诊断:食管中上段占位性病变。
手术所见: 食管中上段明显增宽约6.6cm,食管壁软,食管腔内有一巨大息肉样肿块,约27 cm×6cm×5cm,质软,表面光滑,有3个蒂附着于食管与咽部交接处,食管粘膜无异常,完 整切除肿块。术后病理诊断:食管(中上段)纤维血管性息肉。


图1 横轴位T1WI示食管腔内等 信号软组织肿块,约6.3cm×5.2cm,前缘呈菜花状,气管受压向前推移 图2 矢状位T1WI示食管中上段软组织肿块,呈较均质等信号,边缘较清楚,大小约27.0 cm×6.5cm 图3 与图2相同层面,矢状位T2WI示食管中上段软组织肿 块呈高信号
讨论 食管良性肿瘤以食管平滑肌瘤多见,食管息肉较少,巨 大食管息肉MRI表现国内报道甚少。食管息肉是一种腔内的息肉带蒂病变,起源于食管粘膜 层或粘膜下层,由纤维、血管或脂肪组织构成,很多学者根据息肉内结构的主要组织对息肉 进行命名,如纤维瘤、纤维脂肪瘤、纤维血管性息肉、错构瘤等。
瘤体小时患者无任何症状,如瘤体大,阻塞管腔时,可有吞咽困难。本例瘤体巨大,几 乎完全充满中上段食管腔,术前诊断不明确。食管息肉影像表现缺乏特异性,需与食管癌、 食管肉瘤、食管平滑肌瘤、食管血管瘤等良恶性肿瘤鉴别;食管镜检查可显示息肉表面被覆 一层正常的食管粘膜[2],最后确诊依赖于术后病理检查。
收稿:2000-06-28, http://www.100md.com
单位:524001 湛江,广东医学院附属医院放射科
关键词:
临床放射学杂志001235 患者 女,43岁。因进行性吞咽困难伴胸骨后 疼痛3个月入院。入院时患者仅能进流质食物,体重下降10余斤。体检无明显阳性体征,各 项实验室检查正常。
X线钡餐检查: 食管中上段明显扩张并向双上纵隔突出,钡剂大部分偏左侧通过。食管镜示 :距门齿23~27cm处食管腔内隆起肿块,送检物病理为炎症坏死组织。
MRI检查: 食管中上段(T7以上)巨大香肠样软组织肿块,约27.0cm×6.5cm×5.2cm,T1 WI呈较均质等信号(图1、2),T2WI呈明显高信号(图3),肿块于主动脉弓附近尤为显著。M RI诊断:食管中上段占位性病变。
手术所见: 食管中上段明显增宽约6.6cm,食管壁软,食管腔内有一巨大息肉样肿块,约27 cm×6cm×5cm,质软,表面光滑,有3个蒂附着于食管与咽部交接处,食管粘膜无异常,完 整切除肿块。术后病理诊断:食管(中上段)纤维血管性息肉。
图1 横轴位T1WI示食管腔内等 信号软组织肿块,约6.3cm×5.2cm,前缘呈菜花状,气管受压向前推移 图2 矢状位T1WI示食管中上段软组织肿块,呈较均质等信号,边缘较清楚,大小约27.0 cm×6.5cm 图3 与图2相同层面,矢状位T2WI示食管中上段软组织肿 块呈高信号
讨论 食管良性肿瘤以食管平滑肌瘤多见,食管息肉较少,巨 大食管息肉MRI表现国内报道甚少。食管息肉是一种腔内的息肉带蒂病变,起源于食管粘膜 层或粘膜下层,由纤维、血管或脂肪组织构成,很多学者根据息肉内结构的主要组织对息肉 进行命名,如纤维瘤、纤维脂肪瘤、纤维血管性息肉、错构瘤等。
瘤体小时患者无任何症状,如瘤体大,阻塞管腔时,可有吞咽困难。本例瘤体巨大,几 乎完全充满中上段食管腔,术前诊断不明确。食管息肉影像表现缺乏特异性,需与食管癌、 食管肉瘤、食管平滑肌瘤、食管血管瘤等良恶性肿瘤鉴别;食管镜检查可显示息肉表面被覆 一层正常的食管粘膜[2],最后确诊依赖于术后病理检查。
收稿:2000-06-28, http://www.100md.com