肝脏炎性假瘤误诊一例
作者:靳二虎 沈爱东 马大庆 张忠嘉
单位:100050 首都医科大学附属北京友谊医院放射科
关键词:
临床放射学杂志001234 肝脏炎性假瘤是一种原因不明的罕见良性肿块,现将经手 术证实的1例报告如下。
患者 男,41岁。体检时B超发现左肝肿块入院。无发热、疼痛、消 瘦、厌食和黄疸等症状。查体无异常体征。实验室检查:血常规正常,HBsAg阴性,肝功能 正常。血沉6mm/h。
腹部B超提示肝左叶7cm×6cm回声不均匀的占位病变,边界清楚(图1)。
CT平扫显示肝左叶一边界欠清低密度区,其内见一直径0.7cm更低密度灶(手术证实该灶为肝 囊肿)(图2)。团注对比剂后扫描显示肝左叶病变稍有强化,平均CT值77HU,而病变区内肝囊 肿无强化,CT值7HU。病变周围正常肝实质均匀强化,CT值89HU(图3)。
, 百拇医药
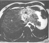
MRI检查清楚显示肝左叶占位病变。与右叶正常肝脏信号相比,病变T1WI呈低信号,T2W I呈高信号,注射Gd-DTPA后呈中等程度强化,边界不清,而病变区域内的肝囊肿表现为光 滑整齐的长T1长T2信号,无强化(图4~6)。
鉴于以上3种影像检查均诊断肝癌,患者遂接受手术治疗。手术所见:肝左叶近膈处发现7cm ×6cm×5cm不规则肿块,质硬,与膈肌粘连。切除肿物,送病理组织学检查。显微镜下见大 量纤维组织增生和淋巴细胞、巨噬细胞浸润,多数汇管区内小胆管也有增生,但未见肿瘤细 胞。病理诊断:肝脏炎性假瘤。
讨论 肝脏炎性假瘤是指类似于肿瘤的单发或多发炎性病变[1 ]。其病理特征是纤维血管组织增生伴大量炎性细胞(淋巴细胞、浆细胞、巨噬细胞、嗜 酸细胞等)浸润。病变直径3~25cm不等,多见于肝右叶,男性发病较多。患者可有发热、体 重下降、上腹部疼痛等症状。实验室检查可有白细胞升高、血沉增快及C反应蛋白阳性等异 常,但缺乏特异性。本例无上述异常表现,为偶然发现左肝肿块,这给术前正确诊断增加了 一定难度。本病病因与发病机理尚不清楚,推测为一种反应性炎症过程[2]。
, 百拇医药
本病影像学表现多种多样[2,3]。B超常提示肝内孤立的低或高回声肿块。CT平扫 为低或等密度病灶,注射对比剂后门静脉期扫描可无明显强化,或不均匀强化而表现为低、 等、高及混杂密度。延迟扫描时病变多呈明显强化,尤其在病灶周边,可出现宽阔而边界模 糊的强化带,少数病例表现为等或低密度。MRI表现T1WI可为低、等或稍高信号,T2WI 呈稍高或等信号,注射Gd-DTPA后呈不均匀强化或病变周边强化。这些影像病变区内肝囊肿表现为长T1长T2信号,无强化表现与强化类型 对诊断本病均缺乏特征性,故多数患者被误诊为肿瘤而手术治疗。从病理学角度看,炎性 肿块内不同程度的纤维组织增生、细胞浸润以及炎症过程的动态变化是产生本病影像学表现 多样性和不同强化类型的基础。某些影像征象仅与炎症过程中的特定时期相对应。此外,肝 脏炎性假瘤的强化程度还与病灶内血管分布状况有关。据一组14例血管造影报道,其中3例 为多血管型,8例为少血管型,另3例不能明确分类。





, http://www.100md.com
图1 B超提示肝左叶回声不均匀占位病变,边界清楚 图2 [ HT6SS〗CT平扫显示肝左叶一边界欠清低密度区,其内见一直径0.7cm大小更低密度灶(肝囊 肿) 图3 增强CT扫描显示病变稍有强化,大小7.0cm×6.3cm,而病变 内肝囊肿无强化 图4 MRI检查肝左叶病变T1WI呈低信号 图5 MRI检查肝左叶病变T2WI呈高信号 图6 注射Gd-DTP A后T1WI显示病变中等程度强化。
本病鉴别诊断包括早期肝脓肿、转移瘤、胆管癌及肝细胞癌。典型肝脓肿由中央的坏死液化 区和周围肝实质的炎性部分构成,与完全实性结构的炎性假瘤容易区别。肝脓肿早期病变主 要由肉芽组织和不完全液化的肝实质组成,与本病鉴别困难。一些转移瘤及周围型胆管癌CT 扫描强化不明显,可有延迟强化表现,与本病不易鉴别。肝细胞癌增强扫描动脉期呈高密度 ,延迟期肿瘤为低密度,对鉴别诊断有一定作用,本例术前未作双期CT和动态MRI增强扫描 ,也是造成误诊的原因之一。由于炎症过程动态变化,炎性假瘤的瘤体大小和强化类型短期 内可有变化[2],这与肿瘤病变有所不同。鉴于本病可自行消退而痊愈[3] ,故当临床表现和实验室检查提示肝脏良性肿块时,应通过穿刺活检证实诊断,以避免不必 要的手术治疗。
, 百拇医药
参考文献
1,王宝恩,贾继东,主译.肝胆疾病的命名规范、诊断要点及预后. 北京:人民卫生出版社, 1997, 191
2,Materne R, Van Beers BE, Gigot JF,et al. Inflammatory pseudotumor of the liver: MRI with mangafodipir trisodium. J Comput Assist Tomogr, 1998, 22 :82
3,Nam KJ, Kang HK, Lim JH. Inflammatory pseudotumor of the liver: C T and sonographic findings. AJR, 1996, 167:485
收稿:1999-04-07
修回:2000-08-08, 百拇医药
单位:100050 首都医科大学附属北京友谊医院放射科
关键词:
临床放射学杂志001234 肝脏炎性假瘤是一种原因不明的罕见良性肿块,现将经手 术证实的1例报告如下。
患者 男,41岁。体检时B超发现左肝肿块入院。无发热、疼痛、消 瘦、厌食和黄疸等症状。查体无异常体征。实验室检查:血常规正常,HBsAg阴性,肝功能 正常。血沉6mm/h。
腹部B超提示肝左叶7cm×6cm回声不均匀的占位病变,边界清楚(图1)。
CT平扫显示肝左叶一边界欠清低密度区,其内见一直径0.7cm更低密度灶(手术证实该灶为肝 囊肿)(图2)。团注对比剂后扫描显示肝左叶病变稍有强化,平均CT值77HU,而病变区内肝囊 肿无强化,CT值7HU。病变周围正常肝实质均匀强化,CT值89HU(图3)。
, 百拇医药
MRI检查清楚显示肝左叶占位病变。与右叶正常肝脏信号相比,病变T1WI呈低信号,T2W I呈高信号,注射Gd-DTPA后呈中等程度强化,边界不清,而病变区域内的肝囊肿表现为光 滑整齐的长T1长T2信号,无强化(图4~6)。
鉴于以上3种影像检查均诊断肝癌,患者遂接受手术治疗。手术所见:肝左叶近膈处发现7cm ×6cm×5cm不规则肿块,质硬,与膈肌粘连。切除肿物,送病理组织学检查。显微镜下见大 量纤维组织增生和淋巴细胞、巨噬细胞浸润,多数汇管区内小胆管也有增生,但未见肿瘤细 胞。病理诊断:肝脏炎性假瘤。
讨论 肝脏炎性假瘤是指类似于肿瘤的单发或多发炎性病变[1 ]。其病理特征是纤维血管组织增生伴大量炎性细胞(淋巴细胞、浆细胞、巨噬细胞、嗜 酸细胞等)浸润。病变直径3~25cm不等,多见于肝右叶,男性发病较多。患者可有发热、体 重下降、上腹部疼痛等症状。实验室检查可有白细胞升高、血沉增快及C反应蛋白阳性等异 常,但缺乏特异性。本例无上述异常表现,为偶然发现左肝肿块,这给术前正确诊断增加了 一定难度。本病病因与发病机理尚不清楚,推测为一种反应性炎症过程[2]。
, 百拇医药
本病影像学表现多种多样[2,3]。B超常提示肝内孤立的低或高回声肿块。CT平扫 为低或等密度病灶,注射对比剂后门静脉期扫描可无明显强化,或不均匀强化而表现为低、 等、高及混杂密度。延迟扫描时病变多呈明显强化,尤其在病灶周边,可出现宽阔而边界模 糊的强化带,少数病例表现为等或低密度。MRI表现T1WI可为低、等或稍高信号,T2WI 呈稍高或等信号,注射Gd-DTPA后呈不均匀强化或病变周边强化。这些影像病变区内肝囊肿表现为长T1长T2信号,无强化表现与强化类型 对诊断本病均缺乏特征性,故多数患者被误诊为肿瘤而手术治疗。从病理学角度看,炎性 肿块内不同程度的纤维组织增生、细胞浸润以及炎症过程的动态变化是产生本病影像学表现 多样性和不同强化类型的基础。某些影像征象仅与炎症过程中的特定时期相对应。此外,肝 脏炎性假瘤的强化程度还与病灶内血管分布状况有关。据一组14例血管造影报道,其中3例 为多血管型,8例为少血管型,另3例不能明确分类。
, http://www.100md.com
图1 B超提示肝左叶回声不均匀占位病变,边界清楚 图2 [ HT6SS〗CT平扫显示肝左叶一边界欠清低密度区,其内见一直径0.7cm大小更低密度灶(肝囊 肿) 图3 增强CT扫描显示病变稍有强化,大小7.0cm×6.3cm,而病变 内肝囊肿无强化 图4 MRI检查肝左叶病变T1WI呈低信号 图5 MRI检查肝左叶病变T2WI呈高信号 图6 注射Gd-DTP A后T1WI显示病变中等程度强化。
本病鉴别诊断包括早期肝脓肿、转移瘤、胆管癌及肝细胞癌。典型肝脓肿由中央的坏死液化 区和周围肝实质的炎性部分构成,与完全实性结构的炎性假瘤容易区别。肝脓肿早期病变主 要由肉芽组织和不完全液化的肝实质组成,与本病鉴别困难。一些转移瘤及周围型胆管癌CT 扫描强化不明显,可有延迟强化表现,与本病不易鉴别。肝细胞癌增强扫描动脉期呈高密度 ,延迟期肿瘤为低密度,对鉴别诊断有一定作用,本例术前未作双期CT和动态MRI增强扫描 ,也是造成误诊的原因之一。由于炎症过程动态变化,炎性假瘤的瘤体大小和强化类型短期 内可有变化[2],这与肿瘤病变有所不同。鉴于本病可自行消退而痊愈[3] ,故当临床表现和实验室检查提示肝脏良性肿块时,应通过穿刺活检证实诊断,以避免不必 要的手术治疗。
, 百拇医药
参考文献
1,王宝恩,贾继东,主译.肝胆疾病的命名规范、诊断要点及预后. 北京:人民卫生出版社, 1997, 191
2,Materne R, Van Beers BE, Gigot JF,et al. Inflammatory pseudotumor of the liver: MRI with mangafodipir trisodium. J Comput Assist Tomogr, 1998, 22 :82
3,Nam KJ, Kang HK, Lim JH. Inflammatory pseudotumor of the liver: C T and sonographic findings. AJR, 1996, 167:485
收稿:1999-04-07
修回:2000-08-08, 百拇医药