读片窗
作者:冉崇建 陈显章6uj, http://www.100md.com
单位:冉崇建(重庆三峡中心医院CT室 404000); 陈显章(重庆三峡中心医院病理科 404000)6uj, http://www.100md.com
关键词:6uj, http://www.100md.com
实用放射学杂志000119 Window of Film Interpretation▲6uj, http://www.100md.com
病人 女,20岁。入学体检胸部透视发现右下肺门区肿块。无咳嗽、发热、盗汗、咯血及胸痛等症状。查体无阳性发现。实验室检查未见异常。6uj, http://www.100md.com
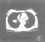
CT扫描示:右下肺门区有一肿块向肺野内突入(图1,2),约2.6 cm×3.0 cm×3.6 cm大小,类圆形,密度均匀,无钙化和囊性变,CT值+77HU。肿块边缘光滑,无分叶及毛刺。邻近肺野未见异常,支气管未见阻断,纵隔未见淋巴结肿大。请分析何种疾病可能性大。(答案见第20页)
6uj, http://www.100md.com
图1,2 右下肺门区一类圆形肿块向肺内突入,约2.6 cm×3.0 cm×3.6 cm大小,边缘光滑,密度均匀,其它肺野及纵隔未见异常■(冉崇建 陈显章)
单位:冉崇建(重庆三峡中心医院CT室 404000); 陈显章(重庆三峡中心医院病理科 404000)6uj, http://www.100md.com
关键词:6uj, http://www.100md.com
实用放射学杂志000119 Window of Film Interpretation▲6uj, http://www.100md.com
病人 女,20岁。入学体检胸部透视发现右下肺门区肿块。无咳嗽、发热、盗汗、咯血及胸痛等症状。查体无阳性发现。实验室检查未见异常。6uj, http://www.100md.com
CT扫描示:右下肺门区有一肿块向肺野内突入(图1,2),约2.6 cm×3.0 cm×3.6 cm大小,类圆形,密度均匀,无钙化和囊性变,CT值+77HU。肿块边缘光滑,无分叶及毛刺。邻近肺野未见异常,支气管未见阻断,纵隔未见淋巴结肿大。请分析何种疾病可能性大。(答案见第20页)
图1,2 右下肺门区一类圆形肿块向肺内突入,约2.6 cm×3.0 cm×3.6 cm大小,边缘光滑,密度均匀,其它肺野及纵隔未见异常■(冉崇建 陈显章)