肾及肾周炎性病变的CT诊断
作者:张林川 刘强 王艳 穆合塔尔
单位:张林川(新疆维吾尔自治区医学影像研究所 新疆维吾尔自治区人民医院放射科830001);刘强(新疆维吾尔自治区医学影像研究所 新疆维吾尔自治区人民医院放射科830001); 王艳(新疆维吾尔自治区医学影像研究所 新疆维吾尔自治区人民医院放射科830001); 穆合塔尔(新疆维吾尔自治区医学影像研究所 新疆维吾尔自治区人民医院放射科 830001)
关键词:
肾及肾周炎性病变的CT诊断Inflamation of Kidney and Around Kidney:CT Diagnosis▲
有关肾及肾周炎性病变的CT报告不多。本文报告经CT诊断,并由手术、病理及临床证实13例,以期提高对本症的CT诊断。
1 材料和方法
, http://www.100md.com
收集我院自1988年以来CT诊断13例,除2例发病在50岁以上外,余均在32岁以下,男性9例,女性4例。临床表现患侧腰部或腹部疼痛11例,发热10例。多无明显泌尿系症状,13例均无肉眼血尿,1例镜下血尿、局部触及包块2例,白细胞计数增高7例,病程3 d~3月。手术证实3例,余10例经内科抗炎治疗后,复查B超和CT、病变明显吸收5例,基本乃至完全消失5例。10例均在初检后2周至2月内做B超复查,6例再行CT检查,其中2例分别随访2、5年。
CT检查分别使用GE9000Ⅱ及Shimadzu4500 T型CT扫描机,层厚和间距均为10 mm。首检时全部病例做平扫及增强检查。
2 结果
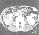
5例肾脓肿均和肾周围脓肿并存,合并肝、脾脓肿各1例,肾脏增大5例,移位3例。未成熟的肾及肾周围脓肿4例,平扫表现为类圆形或不规则形态的等低混杂密度灶,肾及肾周围病灶成一体。增强扫描肾质及肾周囊液化的病变区呈中度不均一强化,液性低密度区无增强(图1)。成熟的肾及肾周围脓肿1例,平扫为右肾中上极椭圆形均一液性低密度灶,可见2~3 mm厚薄均匀的等密度脓肿壁,延及肝肾隐窝,侵犯肝右叶。增强后脓肿壁和肾质的强化程度一致(图2)。5例均有广泛的肾筋膜和/或桥隔增厚,3例侵及腰方肌,腰大肌,无1例发现气体或肾结石及钙化。
, 百拇医药
图1 左肾未成熟脓肿。增强扫描左肾中上极后方类圆形低密度灶,穿破肾包膜,扩展至肾后旁间隙,在此间隙内的病灶液化坏死明显
图2 右肾成熟的脓肿。增强扫描及冠矢状位重建显示了脓肿全貌及对肝右后叶的累及
1例孤立性肾周围脓肿,平扫显示右肾向前外方移位,其内后方见大片液性低密度区,间以多数等密度粗大间隔,病变扩展至肾后旁间隙并累及背侧肌群。增强扫描示脓肿间隔有中度增强,右肾功能低下(图3)。
, 百拇医药 图3 孤立性肾周围脓肿。增强扫描右肾向前外后移位,其内后方巨大不规则液性低密度区,间以数个轻中度强化的间隔
1例肾周围炎平扫表现为右肾中部后缘局限性丘样隆起,增强扫描呈中度均一强化的新月形病灶。
2例肾脏炎性肿块,平扫肾脏增大,局部变形、外突、病变呈不均质或等密度肿块,压迫肾盂及部分肾盏,向外延伸至肾旁间隙,边界不清,伴有明显肾筋膜增厚。增强检查呈中度或明显不均一强化的类圆形实性肿物,无明显液化坏死区(图4,5)。1例经抗炎治疗后吸收,1例由手术证实。
图4 右肾炎性肿块,平扫右肾中下极前方等密度肿块肾盂闭塞
, 百拇医药
图5 同图4病例。增强扫描呈实性肿块,中心有斑片样低密度灶
急性肾叶性肾炎4例,单叶性损害3例,多叶性损害1例。平扫肾叶性肾炎呈楔形或扇形略低密度者2例,呈等密度或略高密度者2例。注射造影剂后,全部病灶显示为楔形或扇形低密度,有中等程度不均一强化,但明显低于周围正常肾质的增强,界限清楚或较清楚(图6)。
图6 肾叶性肾炎 增强扫描示右肾中下极2个楔形低密度灶
3 讨论
肾及肾周炎性病变常由革兰氏阴性杆菌引起。病变初期为急性肾叶性肾炎,也称急性局灶性细菌性肾炎或化脓性肾盂肾炎等,病变局限于肾实质内为蜂窝织炎。随病程进展,病变可向内侵及肾盂、肾盏,向外可突破肾包膜,累及肾周围间隙及腰方肌等背部肌群。如病灶无明显液化,即表现为肾脏炎性肿块,反之则发展成肾及肾周围脓肿[1~3]。
, 百拇医药
急性肾叶性肾炎增强扫描具有典型、特征性表现,即病变呈楔形或扇形的低密度“叶性损害”,如累及多个肾叶,则可观察到多个类似的病灶。成熟的肾脓肿呈圆形或椭圆液性低密度灶,有完整的脓肿壁,厚薄均匀,增强扫描壁有明显强化。未成熟的肾及肾周围脓肿的诊断有时会遇到困难,增强扫描呈类圆形或不规则状的“非叶性损害”,有中度不均一强化,如发现肾周围间隙内有较明显的液性低密度区及周边的脓肿壁,肾筋膜和桥隔增厚等征象,诊断不难成立。如病灶仅有中心部分,且较小的不规则液化坏死区则须注意和肾癌鉴别[1,3]。肾脏炎性肿块的诊断困难,平扫及增强表现为肾脏及其相对应肾周围间隙内的局限性、实质性肿块,有明显的占位效应及中度不均一强化,和肾癌表现类似,其诊断应密切结合临床。
CT初诊除对2例肾脏炎性肿块和1例未成熟的肾及肾周围脓肿未能完全肯定诊断,而建议抗炎治疗后复查以除外恶性肿瘤、余病例均作出正确诊断。13例中4例行IVP检查,3例拟诊为肾脏占位性病变,1例提示结核。B超检查了所有病例,其中7例拟诊为肾脏占位性病变或混合性占位,4例拟诊为肾癌。CT在诊断炎性肿块和部分未成熟的肾及肾周围脓肿时应注意和肾癌、黄色肉芽肿性肾盂肾炎及肾脏炎性假瘤等相鉴别,以下几点有助于本病的诊断:(1)多为青年人发病,起病急骤,有发热乃至高热等脓毒症表现。(2)CT和B超等影像学检查发现肾脏及肾周围间隙广泛病变而病人却无明显泌尿系症状。(3)增强扫描能更好显示病变的特点及液化坏死区,从而有助于诊断[4~6]。(4)短期强化抗炎治疗有效。肾脏炎性假瘤和黄色肉芽肿性肾盂肾炎术前常被误诊为肾癌,前者对抗炎治疗不敏感,后者如有慢性泌尿系感染史及肾盂内鹿角状结石则有利于诊断[7~10]■
, 百拇医药
参考文献:
[1]苗芙蓉,宦 怡,郭庆林,等.肾及肾周脓肿的CT诊断.实用放射学杂志,1995;11:130
[2]Hoddick W,Jeffrey RB,Goldbery HI,et al.Computed tomography and sonography of severe renal and perirenal infections.AJR,1983;140:517
[3]Rauschkolb EN,Sandler CM,Patel S,et al.Computed tomography of renal inflammatory disease.J comput Assist Tomogr,1982;6(3):502
[4]邱光滩.肾肿瘤和炎性肿块的CT诊断.中华放射学杂志,1995;29:495
, 百拇医药
[5]Magilner AD,Ostrum BJ.Computed tomography in the diagnosis of renal masses.Radiology,1978;126:715
[6]Kunin M.Bridging septa of the perinephric space.Radiology,1986;158:361
[7]李蓉芬,章士正.黄色肉芽肿性肾盂肾炎的CT诊断.中华放射学杂志,1988;22:224
[8]刘东明,卜 强.肾脏炎性假瘤的CT诊断.中华放射学杂志,1994;28:557
[9]Dalla-palma L,Pozzi-Mucell R,Problematic renal masses in ultrasonography and computed tomography clinical Imaging,1990;14:83
[10]Cronan JJ,Amis Es,Dorfman JG.Percutaneous drainage of renal abseesses AJR,1984;142:351, 百拇医药
单位:张林川(新疆维吾尔自治区医学影像研究所 新疆维吾尔自治区人民医院放射科830001);刘强(新疆维吾尔自治区医学影像研究所 新疆维吾尔自治区人民医院放射科830001); 王艳(新疆维吾尔自治区医学影像研究所 新疆维吾尔自治区人民医院放射科830001); 穆合塔尔(新疆维吾尔自治区医学影像研究所 新疆维吾尔自治区人民医院放射科 830001)
关键词:
肾及肾周炎性病变的CT诊断Inflamation of Kidney and Around Kidney:CT Diagnosis▲
有关肾及肾周炎性病变的CT报告不多。本文报告经CT诊断,并由手术、病理及临床证实13例,以期提高对本症的CT诊断。
1 材料和方法
, http://www.100md.com
收集我院自1988年以来CT诊断13例,除2例发病在50岁以上外,余均在32岁以下,男性9例,女性4例。临床表现患侧腰部或腹部疼痛11例,发热10例。多无明显泌尿系症状,13例均无肉眼血尿,1例镜下血尿、局部触及包块2例,白细胞计数增高7例,病程3 d~3月。手术证实3例,余10例经内科抗炎治疗后,复查B超和CT、病变明显吸收5例,基本乃至完全消失5例。10例均在初检后2周至2月内做B超复查,6例再行CT检查,其中2例分别随访2、5年。
CT检查分别使用GE9000Ⅱ及Shimadzu4500 T型CT扫描机,层厚和间距均为10 mm。首检时全部病例做平扫及增强检查。
2 结果
5例肾脓肿均和肾周围脓肿并存,合并肝、脾脓肿各1例,肾脏增大5例,移位3例。未成熟的肾及肾周围脓肿4例,平扫表现为类圆形或不规则形态的等低混杂密度灶,肾及肾周围病灶成一体。增强扫描肾质及肾周囊液化的病变区呈中度不均一强化,液性低密度区无增强(图1)。成熟的肾及肾周围脓肿1例,平扫为右肾中上极椭圆形均一液性低密度灶,可见2~3 mm厚薄均匀的等密度脓肿壁,延及肝肾隐窝,侵犯肝右叶。增强后脓肿壁和肾质的强化程度一致(图2)。5例均有广泛的肾筋膜和/或桥隔增厚,3例侵及腰方肌,腰大肌,无1例发现气体或肾结石及钙化。
, 百拇医药
图1 左肾未成熟脓肿。增强扫描左肾中上极后方类圆形低密度灶,穿破肾包膜,扩展至肾后旁间隙,在此间隙内的病灶液化坏死明显
图2 右肾成熟的脓肿。增强扫描及冠矢状位重建显示了脓肿全貌及对肝右后叶的累及
1例孤立性肾周围脓肿,平扫显示右肾向前外方移位,其内后方见大片液性低密度区,间以多数等密度粗大间隔,病变扩展至肾后旁间隙并累及背侧肌群。增强扫描示脓肿间隔有中度增强,右肾功能低下(图3)。
, 百拇医药 图3 孤立性肾周围脓肿。增强扫描右肾向前外后移位,其内后方巨大不规则液性低密度区,间以数个轻中度强化的间隔
1例肾周围炎平扫表现为右肾中部后缘局限性丘样隆起,增强扫描呈中度均一强化的新月形病灶。
2例肾脏炎性肿块,平扫肾脏增大,局部变形、外突、病变呈不均质或等密度肿块,压迫肾盂及部分肾盏,向外延伸至肾旁间隙,边界不清,伴有明显肾筋膜增厚。增强检查呈中度或明显不均一强化的类圆形实性肿物,无明显液化坏死区(图4,5)。1例经抗炎治疗后吸收,1例由手术证实。
图4 右肾炎性肿块,平扫右肾中下极前方等密度肿块肾盂闭塞
, 百拇医药
图5 同图4病例。增强扫描呈实性肿块,中心有斑片样低密度灶
急性肾叶性肾炎4例,单叶性损害3例,多叶性损害1例。平扫肾叶性肾炎呈楔形或扇形略低密度者2例,呈等密度或略高密度者2例。注射造影剂后,全部病灶显示为楔形或扇形低密度,有中等程度不均一强化,但明显低于周围正常肾质的增强,界限清楚或较清楚(图6)。
图6 肾叶性肾炎 增强扫描示右肾中下极2个楔形低密度灶
3 讨论
肾及肾周炎性病变常由革兰氏阴性杆菌引起。病变初期为急性肾叶性肾炎,也称急性局灶性细菌性肾炎或化脓性肾盂肾炎等,病变局限于肾实质内为蜂窝织炎。随病程进展,病变可向内侵及肾盂、肾盏,向外可突破肾包膜,累及肾周围间隙及腰方肌等背部肌群。如病灶无明显液化,即表现为肾脏炎性肿块,反之则发展成肾及肾周围脓肿[1~3]。
, 百拇医药
急性肾叶性肾炎增强扫描具有典型、特征性表现,即病变呈楔形或扇形的低密度“叶性损害”,如累及多个肾叶,则可观察到多个类似的病灶。成熟的肾脓肿呈圆形或椭圆液性低密度灶,有完整的脓肿壁,厚薄均匀,增强扫描壁有明显强化。未成熟的肾及肾周围脓肿的诊断有时会遇到困难,增强扫描呈类圆形或不规则状的“非叶性损害”,有中度不均一强化,如发现肾周围间隙内有较明显的液性低密度区及周边的脓肿壁,肾筋膜和桥隔增厚等征象,诊断不难成立。如病灶仅有中心部分,且较小的不规则液化坏死区则须注意和肾癌鉴别[1,3]。肾脏炎性肿块的诊断困难,平扫及增强表现为肾脏及其相对应肾周围间隙内的局限性、实质性肿块,有明显的占位效应及中度不均一强化,和肾癌表现类似,其诊断应密切结合临床。
CT初诊除对2例肾脏炎性肿块和1例未成熟的肾及肾周围脓肿未能完全肯定诊断,而建议抗炎治疗后复查以除外恶性肿瘤、余病例均作出正确诊断。13例中4例行IVP检查,3例拟诊为肾脏占位性病变,1例提示结核。B超检查了所有病例,其中7例拟诊为肾脏占位性病变或混合性占位,4例拟诊为肾癌。CT在诊断炎性肿块和部分未成熟的肾及肾周围脓肿时应注意和肾癌、黄色肉芽肿性肾盂肾炎及肾脏炎性假瘤等相鉴别,以下几点有助于本病的诊断:(1)多为青年人发病,起病急骤,有发热乃至高热等脓毒症表现。(2)CT和B超等影像学检查发现肾脏及肾周围间隙广泛病变而病人却无明显泌尿系症状。(3)增强扫描能更好显示病变的特点及液化坏死区,从而有助于诊断[4~6]。(4)短期强化抗炎治疗有效。肾脏炎性假瘤和黄色肉芽肿性肾盂肾炎术前常被误诊为肾癌,前者对抗炎治疗不敏感,后者如有慢性泌尿系感染史及肾盂内鹿角状结石则有利于诊断[7~10]■
, 百拇医药
参考文献:
[1]苗芙蓉,宦 怡,郭庆林,等.肾及肾周脓肿的CT诊断.实用放射学杂志,1995;11:130
[2]Hoddick W,Jeffrey RB,Goldbery HI,et al.Computed tomography and sonography of severe renal and perirenal infections.AJR,1983;140:517
[3]Rauschkolb EN,Sandler CM,Patel S,et al.Computed tomography of renal inflammatory disease.J comput Assist Tomogr,1982;6(3):502
[4]邱光滩.肾肿瘤和炎性肿块的CT诊断.中华放射学杂志,1995;29:495
, 百拇医药
[5]Magilner AD,Ostrum BJ.Computed tomography in the diagnosis of renal masses.Radiology,1978;126:715
[6]Kunin M.Bridging septa of the perinephric space.Radiology,1986;158:361
[7]李蓉芬,章士正.黄色肉芽肿性肾盂肾炎的CT诊断.中华放射学杂志,1988;22:224
[8]刘东明,卜 强.肾脏炎性假瘤的CT诊断.中华放射学杂志,1994;28:557
[9]Dalla-palma L,Pozzi-Mucell R,Problematic renal masses in ultrasonography and computed tomography clinical Imaging,1990;14:83
[10]Cronan JJ,Amis Es,Dorfman JG.Percutaneous drainage of renal abseesses AJR,1984;142:351, 百拇医药