颅内巨大动脉瘤的CT与MR诊断
作者:邵国良 刘一之 倪才方 付引弟 陈学仁 丁乙
单位:邵国良(苏州医学院附属第一医院影像中心 215006);刘一之(苏州医学院附属第一医院影像中心 215006); 倪才方(苏州医学院附属第一医院影像中心 215006); 付引弟(苏州医学院附属第一医院影像中心 215006); 陈学仁(苏州医学院附属第一医院影像中心 215006); 丁乙(苏州医学院附属第一医院影像中心 215006)
关键词:脑 动脉瘤 断层摄影术,X线计算机 磁共振成像
实用放射学杂志000106 摘 要:目的:探讨CT和MR对颅内巨大动脉瘤的诊断价值。方法:8例颅内巨大动脉瘤病人进行了CT和MR检查,并经血管造影和手术证实。其中,男4例,女4例,年龄34~72岁,平均54岁。临床上5例表现为颅内占位症状,3例为蛛网膜下腔出血症状。结果:5例动脉瘤起源于颈内动脉,2例起源于大脑中动脉,1例起源于椎基底动脉。CT和MR表现如下:(1)CT平扫病灶呈稍高密度圆形阴影,密度可均匀或不均匀,增强扫描病灶明显强化。(2)MR扫描显示残存瘤腔在T1WI及T2WI上均呈无信号区,周围为混合信号带。该信号带在T1WI上信号稍高于脑灰质,在T2WI上则稍低于脑灰质。增强扫描部分病例动脉瘤壁及混合信号带有强化表现。(3)动脉瘤破裂时,CT与MR可显示相应出血表现。结论:对颅内巨大动脉瘤的诊断,MR优于CT,尤其在显示瘤腔和血栓方面MR有独到之处。
, http://www.100md.com
Giant Intracranial Aneurysms:CT and MR manifestations
Shao Guoliang Liu Yizhi Ni Caifang Fu Yindi Chen Xueren Ding Yi
(Department of Radiology,the First Affiliated Hospital,Suzhou Medical College,Suzhou 215006)
ABSTRACT:Objective:To evaluate the value of CT and MR in diagnosis of giant intracranial aneurysm.Methods:Eight patients with giant intracranial aneurysm proved by surgery and angiography were studied by CT and MR.There were four men and four women,age ranging from 34 to 72 years(mean age 54).5 of them presented with intracranial mass effects,and 3 presented with subarachnoid hemorrhage.Results:The lesions originated from intercarotid artery in 5 patients,from cerebral middle artery in 2 patients and from basilar artery in 1 patient.The CT and MR manifestations of giant intractranial aneurysms were as follows:1) They were slightly hyperdense or hyperdense on plain CT scan,spheroidal in shape,and the density might be homogeneous or heterogeneous.After contrast injection,they enhanced markly;2)On MR scan,the residual patent portion of the aneurysmal lumen presented with signal avoid both on T1-weighted image(T1WI)and T2 weighted image(T2WI),surrounding it there were mixed intensity which was slightly hyperintense relative to gray matter on T1WI and hypointense on T2WI.The wall and mixed intensity portion of the aneurysm showed enhancement in some cases after contrast injection;3)When the aneurysm ruptured,there were intracranial hemorrhagic manifestations both on CT and MR.Conclusion:MR is superior to CT in diagnosis of giant intracranial aneurysm,especially in demonstrating the aneurysmal lumen and thrombi.
, 百拇医药
Key words:Brain Aneurysm Tomography,X-ray computed Magnetic resonance imaging▲
颅内巨大动脉瘤是指瘤体最大径超过2.5 cm的动脉瘤,1969年由Morley等人首先提出。其发病率低,约占颅内动脉瘤的5%,由于其病理解剖学结构较为特殊,在CT与MRI上与一般动脉瘤具有不同的表现,容易被误诊为其它颅内占位性病变。作者收集近3年来我院血管造影和手术证实的巨大动脉瘤病人8例,对其CT及MR征象进行回顾性分析总结,结果报告如下。
1 材料与方法
本组8例,男4例,女4例。年龄34~72岁,平均54岁。临床上5例以颅内占位症状求诊,其中2例表现为头痛、视力模糊、失明,1例为前额部剧烈头痛,1例为癫痫,1例为后组颅神经麻痹伴共济失调。3例表现为蛛网膜下腔出血症状。7例经CT扫描,其中2例做了CT增强扫描,3例同时进行了MR检查,2例单纯做了MR检查。
, 百拇医药
CT机采用日立W1000型全身CT机,行横断面扫描,层厚10 mm,层距10 mm,造影剂采用50%泛影葡胺50~100 ml,静脉快注。MR机为美国GE公司的Vectra 0.5 T超导型磁共振装置,头颅线圈,自旋回波横断面、矢状面、冠状面成像:T1WI(TR/TE:400~600/20~30 ms),T2WI(TR/TE:3000~2000/90 ms)。层厚8~10 mm,矩阵180×224,FOV 25 cm。增强造影剂采用Gd-DTPA,按0.1 mmol/Kg静脉快注后重复行T1WI。
2 结果
2.1 动脉瘤大小、部位与起源
8例中最小者为2.18 cm×2.85 cm,最大者为4.25 cm ×4.33 cm。3例病灶位于鞍旁,2例主要位于鞍内,1例位于鞍上,1例位于右外侧裂,1例位于桥前池。所起源动脉,5例为颈内动脉主干,右侧4例,左侧1例,其中3例位于颈内动脉床突上段,2例位于颈内动脉—眼动脉段。2例起源于右侧大脑中动脉,1例起源于椎基底动脉。
, 百拇医药
2.2 CT与MR征象
2.2.1 CT征象:平扫病灶呈圆形或类圆形稍高或高密度阴影,边缘较清晰。3例破裂动脉瘤周边可见环状高密度出血带伴脑室或脑池内积血(图1,2)。2例病变密度不甚均匀。1例见病灶周边有半环状钙化影。2例增强扫描病人病灶均明显强化,其中1例病灶均匀性强化,另1例可见瘤壁强化伴瘤体不甚均匀强化。
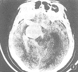
图1 右侧颈内动脉巨大动脉瘤伴破裂,CT示右侧鞍上池2.18 cm×2.85 cm之圆形高密度阴影,周围环以致密出血带
图2 图1病例DSA示颈内动脉C1段巨大动脉瘤,瘤腔内密度不均
2.2.2 MR征象:病灶呈圆形或类圆形,5例中4例边界清晰可辨,在T1WI及T2WI上病灶内均有不同大小的“流空”现象所致的MR信号缺失区,呈黑色阴影,T2WI上黑色区域大于T1WI所显示的范围,周边呈混杂信号,混杂信号的大部分在T1WI上较脑灰质信号稍高,在T2WI上稍低于脑灰质。增强MR扫描可见部分混杂信号有轻度强化现象,1例见瘤壁明显强化(图3~6)。
, http://www.100md.com
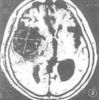
图3 右侧大脑中动脉巨大动脉瘤伴血栓形成。横断面SE序列T1WI上示右外侧裂区巨大占位性病变,大小4.2 cm×4.33 cm,内有“流空”信号及不规则混杂信号
图4 图3病例T2WI示大片“流空”信号
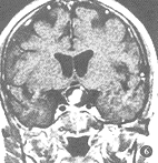
图5 右颈内动脉巨大动脉瘤伴血栓形成。冠状面SE序列T1WI示鞍内占位,内有不规则“流空”信号及混杂信号
图6 图5病例增强T1WI示瘤壁及瘤腔内混杂信号有强化表现
, 百拇医药
3 讨论
颅内巨大动脉瘤的形成有两种解释:(1)小动脉瘤受血流冲击瘤壁变薄,瘤腔扩大所致;(2)小动脉瘤破裂形成与载瘤动脉相通的血肿以后机化融合所致。病理解剖学观察显示巨大动脉瘤有瘤颈宽大,瘤壁先天发育不良、瘤内多有血栓形成、瘤壁常与载瘤动脉合二为一等特点。其发生部位依次为颈内动脉、大脑中动脉、椎基底动脉和大脑前动脉[1]。临床上多见于女性病人,以30~60岁年龄段好发,首发症状中以颅内占位病变所致的神经系统症状多于蛛网膜下腔出血症状[2]。本组病人发病年龄为34~72岁,平均54岁,其中5例以头痛、视物模糊、失明、癫痫等颅内占位症状就诊,3例为蛛网膜下腔出血。5例起源于颈内动脉,2例起源于大脑中动脉,1例起源于椎基底动脉,与所描述的病理解剖学和临床特点基本符合。
动脉瘤的诊断过去一直依赖于血管造影,具有创伤性。随着CT与MR的应用和发展,血管造影有被逐渐取代的趋势。CT与MR既可显示动脉瘤病灶,同时可观察其合并症,如颅内出血、脑组织受压、移位、脑水肿等改变,为其它检查所不及。对于动脉瘤的CT表现,有学者根据瘤内有无血栓形成分为三型[3]:(1)无血栓型:平扫呈圆形等或稍高密度的阴影,增强扫描呈均一强化;(2)部分血栓型,平扫呈等、高密度混合阴影,增强扫描呈不均匀强化;(3)完全血栓型,平扫病灶中心为等或稍低密度阴影,周边为高密度或钙化环影,增强后周边明显强化,中心强化不明显。本组病例在CT平扫上均呈稍高或高密度阴影,仔细观察仅2例病灶有密度不均现象,1例病灶周边有半环状钙化,结合MR检查、血管造影及手术情况,作者认为根据CT上病灶的密度差异来显示有无血栓形成比较困难,因为病灶的密度受扫描技术、容积效应及血栓大小等多种因素影响。由于巨大动脉瘤少见,且病灶多位于鞍内、鞍旁及外侧裂等部位,在动脉瘤未破裂出血时,CT征象与脑膜瘤等疾病相似,容易引起误诊。本组CT误诊3例,其中误诊为垂体瘤、脑膜瘤及海绵状血管瘤各1例。
, http://www.100md.com
MR对动脉瘤的诊断价值已超过了CT。特别对于巨大动脉瘤,MR在显示瘤腔、瘤内血栓等方面有独到之处[2,4]。对于无血栓形成的动脉瘤,由于MR独特的“流空”现象,在T1WI及T2WI上均呈黑色的MR信号缺失区,诊断不难。对于有部分血栓形成的巨大动脉瘤,MR表现比较复杂。ALtas等[2]描述了部分血栓型巨大动脉瘤的典型MR征象(图示):载瘤动脉和中心性残存瘤腔的无信号区,残存瘤腔无信号区周围绕以高信号带(T1WI和T2WI均可见),由高铁血红蛋白所致。其外围为血栓所形成的混合信号带,一般以低信号为主。瘤周伴有T1WI为低信号,T2WI为高信号的水肿带。但当瘤腔内血流较为缓慢时,可在T1WI上表现为低信号,而T2WI上呈高信号,从而易误认为血栓。Tsuruda[4]经研究后认为应用电影MR技术可避免该项缺点。本组经MR检查的5例病人,其MR征象虽没有Altas描述的那么典型,但均可见不同范围的MR信号缺失区及其周围的混杂信号区,并经血管造影和手术证实为巨大动脉瘤伴血栓形成。同时,作者注意到T2WI上病灶内信号缺失区范围明显大于T1WI所显示的范围,推测与成像技术有关。可见,动脉瘤的“流空”现象应重点观察T2WI。另外,从本组资料显示,对于巨大动脉瘤病人,大部分瘤腔内有血栓形成,其MR表现为混合信号,在T1WI上主要呈稍高信号(对照脑灰质),T2WI上呈稍低信号,而血栓确切范围在普通MR扫描上难以确定。本组CT误诊的3例病人在MR上均得到正确诊断。有关动脉瘤壁及部分血栓的强化表现,可能系富含血管的纤维组织增生所致。
, 百拇医药
总之,作者体会到对于巨大动脉瘤而言,破裂动脉瘤诊断不难,非破裂动脉瘤尤其是伴有血栓形成时,CT上缺乏特异性征象,定性有时困难,易误诊,而MR诊断正确性高,优于CT。■
参考文献:
[1]Whittle ZR,Dorsch NW,Bessor M.Giant intracranial anuerysms:Diagnosis,management,and outcome.Surg Neurol,1984;21:218~230
[2]Altas SW,Grossman RI,Goldberg HI,et al.Partially thrombosed giant intracranial aneurysms:Correlation of MR and pathologic findings.Radiology,1987;162:111~114
[3]沈天真,陈星荣主编.中枢神经系统CT与MRI.第1版.上海:上海医科大学出版社,1992:149~152
[4]Tsuruda JS,Halbach VV,Higashida RT,et al.Mr evaluation of large intracranial aneurysms using cine low flip angle gradient-refocused imaging.AJR,1988;151:153~162
收稿日期:1997-05-25, http://www.100md.com
单位:邵国良(苏州医学院附属第一医院影像中心 215006);刘一之(苏州医学院附属第一医院影像中心 215006); 倪才方(苏州医学院附属第一医院影像中心 215006); 付引弟(苏州医学院附属第一医院影像中心 215006); 陈学仁(苏州医学院附属第一医院影像中心 215006); 丁乙(苏州医学院附属第一医院影像中心 215006)
关键词:脑 动脉瘤 断层摄影术,X线计算机 磁共振成像
实用放射学杂志000106 摘 要:目的:探讨CT和MR对颅内巨大动脉瘤的诊断价值。方法:8例颅内巨大动脉瘤病人进行了CT和MR检查,并经血管造影和手术证实。其中,男4例,女4例,年龄34~72岁,平均54岁。临床上5例表现为颅内占位症状,3例为蛛网膜下腔出血症状。结果:5例动脉瘤起源于颈内动脉,2例起源于大脑中动脉,1例起源于椎基底动脉。CT和MR表现如下:(1)CT平扫病灶呈稍高密度圆形阴影,密度可均匀或不均匀,增强扫描病灶明显强化。(2)MR扫描显示残存瘤腔在T1WI及T2WI上均呈无信号区,周围为混合信号带。该信号带在T1WI上信号稍高于脑灰质,在T2WI上则稍低于脑灰质。增强扫描部分病例动脉瘤壁及混合信号带有强化表现。(3)动脉瘤破裂时,CT与MR可显示相应出血表现。结论:对颅内巨大动脉瘤的诊断,MR优于CT,尤其在显示瘤腔和血栓方面MR有独到之处。
, http://www.100md.com
Giant Intracranial Aneurysms:CT and MR manifestations
Shao Guoliang Liu Yizhi Ni Caifang Fu Yindi Chen Xueren Ding Yi
(Department of Radiology,the First Affiliated Hospital,Suzhou Medical College,Suzhou 215006)
ABSTRACT:Objective:To evaluate the value of CT and MR in diagnosis of giant intracranial aneurysm.Methods:Eight patients with giant intracranial aneurysm proved by surgery and angiography were studied by CT and MR.There were four men and four women,age ranging from 34 to 72 years(mean age 54).5 of them presented with intracranial mass effects,and 3 presented with subarachnoid hemorrhage.Results:The lesions originated from intercarotid artery in 5 patients,from cerebral middle artery in 2 patients and from basilar artery in 1 patient.The CT and MR manifestations of giant intractranial aneurysms were as follows:1) They were slightly hyperdense or hyperdense on plain CT scan,spheroidal in shape,and the density might be homogeneous or heterogeneous.After contrast injection,they enhanced markly;2)On MR scan,the residual patent portion of the aneurysmal lumen presented with signal avoid both on T1-weighted image(T1WI)and T2 weighted image(T2WI),surrounding it there were mixed intensity which was slightly hyperintense relative to gray matter on T1WI and hypointense on T2WI.The wall and mixed intensity portion of the aneurysm showed enhancement in some cases after contrast injection;3)When the aneurysm ruptured,there were intracranial hemorrhagic manifestations both on CT and MR.Conclusion:MR is superior to CT in diagnosis of giant intracranial aneurysm,especially in demonstrating the aneurysmal lumen and thrombi.
, 百拇医药
Key words:Brain Aneurysm Tomography,X-ray computed Magnetic resonance imaging▲
颅内巨大动脉瘤是指瘤体最大径超过2.5 cm的动脉瘤,1969年由Morley等人首先提出。其发病率低,约占颅内动脉瘤的5%,由于其病理解剖学结构较为特殊,在CT与MRI上与一般动脉瘤具有不同的表现,容易被误诊为其它颅内占位性病变。作者收集近3年来我院血管造影和手术证实的巨大动脉瘤病人8例,对其CT及MR征象进行回顾性分析总结,结果报告如下。
1 材料与方法
本组8例,男4例,女4例。年龄34~72岁,平均54岁。临床上5例以颅内占位症状求诊,其中2例表现为头痛、视力模糊、失明,1例为前额部剧烈头痛,1例为癫痫,1例为后组颅神经麻痹伴共济失调。3例表现为蛛网膜下腔出血症状。7例经CT扫描,其中2例做了CT增强扫描,3例同时进行了MR检查,2例单纯做了MR检查。
, 百拇医药
CT机采用日立W1000型全身CT机,行横断面扫描,层厚10 mm,层距10 mm,造影剂采用50%泛影葡胺50~100 ml,静脉快注。MR机为美国GE公司的Vectra 0.5 T超导型磁共振装置,头颅线圈,自旋回波横断面、矢状面、冠状面成像:T1WI(TR/TE:400~600/20~30 ms),T2WI(TR/TE:3000~2000/90 ms)。层厚8~10 mm,矩阵180×224,FOV 25 cm。增强造影剂采用Gd-DTPA,按0.1 mmol/Kg静脉快注后重复行T1WI。
2 结果
2.1 动脉瘤大小、部位与起源
8例中最小者为2.18 cm×2.85 cm,最大者为4.25 cm ×4.33 cm。3例病灶位于鞍旁,2例主要位于鞍内,1例位于鞍上,1例位于右外侧裂,1例位于桥前池。所起源动脉,5例为颈内动脉主干,右侧4例,左侧1例,其中3例位于颈内动脉床突上段,2例位于颈内动脉—眼动脉段。2例起源于右侧大脑中动脉,1例起源于椎基底动脉。
, 百拇医药
2.2 CT与MR征象
2.2.1 CT征象:平扫病灶呈圆形或类圆形稍高或高密度阴影,边缘较清晰。3例破裂动脉瘤周边可见环状高密度出血带伴脑室或脑池内积血(图1,2)。2例病变密度不甚均匀。1例见病灶周边有半环状钙化影。2例增强扫描病人病灶均明显强化,其中1例病灶均匀性强化,另1例可见瘤壁强化伴瘤体不甚均匀强化。
图1 右侧颈内动脉巨大动脉瘤伴破裂,CT示右侧鞍上池2.18 cm×2.85 cm之圆形高密度阴影,周围环以致密出血带
图2 图1病例DSA示颈内动脉C1段巨大动脉瘤,瘤腔内密度不均
2.2.2 MR征象:病灶呈圆形或类圆形,5例中4例边界清晰可辨,在T1WI及T2WI上病灶内均有不同大小的“流空”现象所致的MR信号缺失区,呈黑色阴影,T2WI上黑色区域大于T1WI所显示的范围,周边呈混杂信号,混杂信号的大部分在T1WI上较脑灰质信号稍高,在T2WI上稍低于脑灰质。增强MR扫描可见部分混杂信号有轻度强化现象,1例见瘤壁明显强化(图3~6)。
, http://www.100md.com
图3 右侧大脑中动脉巨大动脉瘤伴血栓形成。横断面SE序列T1WI上示右外侧裂区巨大占位性病变,大小4.2 cm×4.33 cm,内有“流空”信号及不规则混杂信号
图4 图3病例T2WI示大片“流空”信号
图5 右颈内动脉巨大动脉瘤伴血栓形成。冠状面SE序列T1WI示鞍内占位,内有不规则“流空”信号及混杂信号
图6 图5病例增强T1WI示瘤壁及瘤腔内混杂信号有强化表现
, 百拇医药
3 讨论
颅内巨大动脉瘤的形成有两种解释:(1)小动脉瘤受血流冲击瘤壁变薄,瘤腔扩大所致;(2)小动脉瘤破裂形成与载瘤动脉相通的血肿以后机化融合所致。病理解剖学观察显示巨大动脉瘤有瘤颈宽大,瘤壁先天发育不良、瘤内多有血栓形成、瘤壁常与载瘤动脉合二为一等特点。其发生部位依次为颈内动脉、大脑中动脉、椎基底动脉和大脑前动脉[1]。临床上多见于女性病人,以30~60岁年龄段好发,首发症状中以颅内占位病变所致的神经系统症状多于蛛网膜下腔出血症状[2]。本组病人发病年龄为34~72岁,平均54岁,其中5例以头痛、视物模糊、失明、癫痫等颅内占位症状就诊,3例为蛛网膜下腔出血。5例起源于颈内动脉,2例起源于大脑中动脉,1例起源于椎基底动脉,与所描述的病理解剖学和临床特点基本符合。
动脉瘤的诊断过去一直依赖于血管造影,具有创伤性。随着CT与MR的应用和发展,血管造影有被逐渐取代的趋势。CT与MR既可显示动脉瘤病灶,同时可观察其合并症,如颅内出血、脑组织受压、移位、脑水肿等改变,为其它检查所不及。对于动脉瘤的CT表现,有学者根据瘤内有无血栓形成分为三型[3]:(1)无血栓型:平扫呈圆形等或稍高密度的阴影,增强扫描呈均一强化;(2)部分血栓型,平扫呈等、高密度混合阴影,增强扫描呈不均匀强化;(3)完全血栓型,平扫病灶中心为等或稍低密度阴影,周边为高密度或钙化环影,增强后周边明显强化,中心强化不明显。本组病例在CT平扫上均呈稍高或高密度阴影,仔细观察仅2例病灶有密度不均现象,1例病灶周边有半环状钙化,结合MR检查、血管造影及手术情况,作者认为根据CT上病灶的密度差异来显示有无血栓形成比较困难,因为病灶的密度受扫描技术、容积效应及血栓大小等多种因素影响。由于巨大动脉瘤少见,且病灶多位于鞍内、鞍旁及外侧裂等部位,在动脉瘤未破裂出血时,CT征象与脑膜瘤等疾病相似,容易引起误诊。本组CT误诊3例,其中误诊为垂体瘤、脑膜瘤及海绵状血管瘤各1例。
, http://www.100md.com
MR对动脉瘤的诊断价值已超过了CT。特别对于巨大动脉瘤,MR在显示瘤腔、瘤内血栓等方面有独到之处[2,4]。对于无血栓形成的动脉瘤,由于MR独特的“流空”现象,在T1WI及T2WI上均呈黑色的MR信号缺失区,诊断不难。对于有部分血栓形成的巨大动脉瘤,MR表现比较复杂。ALtas等[2]描述了部分血栓型巨大动脉瘤的典型MR征象(图示):载瘤动脉和中心性残存瘤腔的无信号区,残存瘤腔无信号区周围绕以高信号带(T1WI和T2WI均可见),由高铁血红蛋白所致。其外围为血栓所形成的混合信号带,一般以低信号为主。瘤周伴有T1WI为低信号,T2WI为高信号的水肿带。但当瘤腔内血流较为缓慢时,可在T1WI上表现为低信号,而T2WI上呈高信号,从而易误认为血栓。Tsuruda[4]经研究后认为应用电影MR技术可避免该项缺点。本组经MR检查的5例病人,其MR征象虽没有Altas描述的那么典型,但均可见不同范围的MR信号缺失区及其周围的混杂信号区,并经血管造影和手术证实为巨大动脉瘤伴血栓形成。同时,作者注意到T2WI上病灶内信号缺失区范围明显大于T1WI所显示的范围,推测与成像技术有关。可见,动脉瘤的“流空”现象应重点观察T2WI。另外,从本组资料显示,对于巨大动脉瘤病人,大部分瘤腔内有血栓形成,其MR表现为混合信号,在T1WI上主要呈稍高信号(对照脑灰质),T2WI上呈稍低信号,而血栓确切范围在普通MR扫描上难以确定。本组CT误诊的3例病人在MR上均得到正确诊断。有关动脉瘤壁及部分血栓的强化表现,可能系富含血管的纤维组织增生所致。
, 百拇医药
总之,作者体会到对于巨大动脉瘤而言,破裂动脉瘤诊断不难,非破裂动脉瘤尤其是伴有血栓形成时,CT上缺乏特异性征象,定性有时困难,易误诊,而MR诊断正确性高,优于CT。■
参考文献:
[1]Whittle ZR,Dorsch NW,Bessor M.Giant intracranial anuerysms:Diagnosis,management,and outcome.Surg Neurol,1984;21:218~230
[2]Altas SW,Grossman RI,Goldberg HI,et al.Partially thrombosed giant intracranial aneurysms:Correlation of MR and pathologic findings.Radiology,1987;162:111~114
[3]沈天真,陈星荣主编.中枢神经系统CT与MRI.第1版.上海:上海医科大学出版社,1992:149~152
[4]Tsuruda JS,Halbach VV,Higashida RT,et al.Mr evaluation of large intracranial aneurysms using cine low flip angle gradient-refocused imaging.AJR,1988;151:153~162
收稿日期:1997-05-25, http://www.100md.com