左臀部巨大蔓状血管瘤1例报告
作者:胡宏伟 丁能宏 许启兵
单位:胡宏伟(皖南医学院第二附属医院放射科 241000); 丁能宏(皖南医学院第二附属医院放射科 241000); 许启兵(皖南医学院第二附属医院放射科 241000)
关键词:
实用放射学杂志000129 One Case:The Huge Pamainiform Hemangioma at Left Buttock▲
1 病例介绍
男性,46岁,自述左臀部于12年前发现一核桃大小的包块,之后逐年增大,特别是近5年包块增大明显,并于近期出现局部胀痛,且坐位疼痛加重。
1.1 体检:左臀部明显肿胀,可触及一直径约15 cm大小的包块,局部皮肤温度升高,质地偏硬,活动度较差,表面光滑,局部轻压痛,可触及搏动和震颤,表皮可见静脉曲张,听诊有杂音,同侧下肢无水肿,无进行性消瘦,骨盆平片无异常表现。
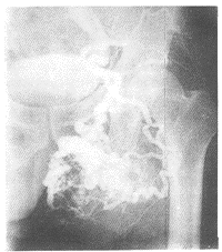
1.2 造影表现:以Seldinger方法经右股动脉插管,先用猪尾巴导管作两侧髂动脉造影,明确肿块系左髂内动脉供血后,再换Cobra导管作左髂内动脉造影,表现为左侧动脉血管包括左髂总、髂内及髂外均明显扩张,以髂内扩张迂曲最明显,动脉早期髂内动脉分支瘤样扩张团状扭曲,后期出现血池样和蚓状曲张血管,血流时间明显加快,可见粗大回流静脉,瘤区血管团最大直径达16 cm(见附图)。诊断为左臀部巨大蔓状血管瘤。
附图 4 s片见髂内动脉明显扩张迂曲及蚓状曲张血管
1.3 治疗。手术结扎左髂内动脉后搏动立即消失,随访病人8月余瘤体明显缩小,疼痛消失,行动自如。
2 讨论
蔓状血管瘤好发于头皮和四肢末端[1]。本例病史长,瘤体巨大,且为大血管髂内动脉供血较少见。治疗上手术瘤体完全切除困难大,只能作供血动脉结扎;本例亦可行介入法经导管弹簧栓子髂内动脉栓塞术,能起到缓解症状,缩小瘤体之效,且有创伤小,并发症少的优点,但因造影前准备不充分,台上未找到合适的弹簧栓子而作罢,应以此为戒。另外怀疑血管性病变,血管造影还是必不可少的,能为诊断和治疗提供可靠信息,介入法还可为某些血管性病变提供良好治疗。■
参考文献:
[1]徐惊伯主编.周围血管疾病X线诊断及治疗.上海:上海科学技术出版社,1989:85, http://www.100md.com
单位:胡宏伟(皖南医学院第二附属医院放射科 241000); 丁能宏(皖南医学院第二附属医院放射科 241000); 许启兵(皖南医学院第二附属医院放射科 241000)
关键词:
实用放射学杂志000129 One Case:The Huge Pamainiform Hemangioma at Left Buttock▲
1 病例介绍
男性,46岁,自述左臀部于12年前发现一核桃大小的包块,之后逐年增大,特别是近5年包块增大明显,并于近期出现局部胀痛,且坐位疼痛加重。
1.1 体检:左臀部明显肿胀,可触及一直径约15 cm大小的包块,局部皮肤温度升高,质地偏硬,活动度较差,表面光滑,局部轻压痛,可触及搏动和震颤,表皮可见静脉曲张,听诊有杂音,同侧下肢无水肿,无进行性消瘦,骨盆平片无异常表现。
1.2 造影表现:以Seldinger方法经右股动脉插管,先用猪尾巴导管作两侧髂动脉造影,明确肿块系左髂内动脉供血后,再换Cobra导管作左髂内动脉造影,表现为左侧动脉血管包括左髂总、髂内及髂外均明显扩张,以髂内扩张迂曲最明显,动脉早期髂内动脉分支瘤样扩张团状扭曲,后期出现血池样和蚓状曲张血管,血流时间明显加快,可见粗大回流静脉,瘤区血管团最大直径达16 cm(见附图)。诊断为左臀部巨大蔓状血管瘤。
附图 4 s片见髂内动脉明显扩张迂曲及蚓状曲张血管
1.3 治疗。手术结扎左髂内动脉后搏动立即消失,随访病人8月余瘤体明显缩小,疼痛消失,行动自如。
2 讨论
蔓状血管瘤好发于头皮和四肢末端[1]。本例病史长,瘤体巨大,且为大血管髂内动脉供血较少见。治疗上手术瘤体完全切除困难大,只能作供血动脉结扎;本例亦可行介入法经导管弹簧栓子髂内动脉栓塞术,能起到缓解症状,缩小瘤体之效,且有创伤小,并发症少的优点,但因造影前准备不充分,台上未找到合适的弹簧栓子而作罢,应以此为戒。另外怀疑血管性病变,血管造影还是必不可少的,能为诊断和治疗提供可靠信息,介入法还可为某些血管性病变提供良好治疗。■
参考文献:
[1]徐惊伯主编.周围血管疾病X线诊断及治疗.上海:上海科学技术出版社,1989:85, http://www.100md.com