胸部X-刀治疗的CT定位方法
作者:邵莹 戴波 孙新建
单位:西安医科大学第一临床医学院影像中心 710061
关键词:
实用放射学杂志000322The CT Locational Method of X-ray Knife Treatment in Thorax
在X-刀治疗前,CT定位技术是保证治疗计划制定的关键步骤,现将我们应用的定位方法介绍如下。
1 材料和方法
1.1 收集原发性外围性肺癌和孤立性肺转移瘤28例,其中最大年龄75岁,最小年龄20岁,平均年龄47.25岁;男性27人,女性1人。
1.2 设备:采用美国GE公司的Prospeed型螺旋CT扫描机;3M激光相机和自动洗相机;X-刀治疗专用的体箱架,滑板,弓形尺,带有刻度的腹带,真空垫等。
1.3 扫描前准备:安放体箱架,将真空垫放置其中,让病人平躺在其上,使病人所要照射的靶区中心保证在滑板中心,并使整个滑板保持在体架Z轴刻度以内,病人腰间固定带有刻度的腹带。让病人平静呼吸,双手置于头上,装好滑板,记下Z轴刻度,给真空垫抽真空,使真空垫形成。安放弓形尺。
1.4 扫描:按照胸部扫描的基准线SN自上而下进行定位扫描,找出病灶的上下界,按照层厚5 mm自上而下进行扫描,条件为200 mA,120 kV,扫描时间2 s,FOV(扫描视野)50 cm,扫描时采用分组屏气扫描方式完成。
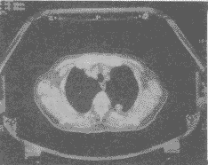
1.5 扫描图像后处理:按照X-刀治疗的要求摄片图像大小保证体箱架的5个标志点清晰可见(附图)。记录下滑板、Z轴、弓形尺、腹带值和其它有关数值,并在体表作出标记;在得到病人图像后,再在每一层面上精确地勾画出靶区的轮廓和周围重要组织如脊髓等。然后将CT图像通过专用的微机和扫描仪送入工作站的体部X-刀治疗计划系统中,为X-刀治疗提供依据。
附图 X-刀治疗的CT定位图像。X-刀体箱架的5个标志点清晰可见
2 结果与讨论
体部X-刀治疗技术已广泛应用于体腔部位的肿瘤性病变。其治疗原理是X线小野集束,大计量分次,非共面旋转弧形照射,在靶区形成小范围的高剂量照射区。该项技术的优点是比常规放射治疗定位精度高,对病变周围正常组织影响小,放射治疗效果可以达到常规手术的效果。通过28例肺癌的X-刀病人的随访,有效率达90%以上,由此可见CT定位是胸部X-刀治疗计划制定的关键,CT定位扫描的好坏直接关系到X-刀治疗的效果。在定位时应注意以下几点。
(1)在胸部X-刀定位时,必须严格按照X-刀治疗的特殊要求进行,如扫描层厚,扫描视野大小以及图像窗宽,窗位等,以便更好地为X-刀治疗提供图像资料。
(2)摆位时保证病人的靶区中心在滑板的中心。
(3)由于呼吸运动对病灶造成伪影或漏层,直接影响在X-刀制定治疗计划时的靶区轮廓划定的精确度,从而影响X-刀的治疗效果,所以,必须让病人在扫描时采取屏气扫描方式,使病灶在相对静止的情况下扫描。
(4)扫描时保证病灶上下各有一层无病灶层面,这样就能保证勾画出病灶的完整性和精确度。同时也保证做到X-刀非共面治疗所需的CT图像。, 百拇医药
单位:西安医科大学第一临床医学院影像中心 710061
关键词:
实用放射学杂志000322The CT Locational Method of X-ray Knife Treatment in Thorax
在X-刀治疗前,CT定位技术是保证治疗计划制定的关键步骤,现将我们应用的定位方法介绍如下。
1 材料和方法
1.1 收集原发性外围性肺癌和孤立性肺转移瘤28例,其中最大年龄75岁,最小年龄20岁,平均年龄47.25岁;男性27人,女性1人。
1.2 设备:采用美国GE公司的Prospeed型螺旋CT扫描机;3M激光相机和自动洗相机;X-刀治疗专用的体箱架,滑板,弓形尺,带有刻度的腹带,真空垫等。
1.3 扫描前准备:安放体箱架,将真空垫放置其中,让病人平躺在其上,使病人所要照射的靶区中心保证在滑板中心,并使整个滑板保持在体架Z轴刻度以内,病人腰间固定带有刻度的腹带。让病人平静呼吸,双手置于头上,装好滑板,记下Z轴刻度,给真空垫抽真空,使真空垫形成。安放弓形尺。
1.4 扫描:按照胸部扫描的基准线SN自上而下进行定位扫描,找出病灶的上下界,按照层厚5 mm自上而下进行扫描,条件为200 mA,120 kV,扫描时间2 s,FOV(扫描视野)50 cm,扫描时采用分组屏气扫描方式完成。
1.5 扫描图像后处理:按照X-刀治疗的要求摄片图像大小保证体箱架的5个标志点清晰可见(附图)。记录下滑板、Z轴、弓形尺、腹带值和其它有关数值,并在体表作出标记;在得到病人图像后,再在每一层面上精确地勾画出靶区的轮廓和周围重要组织如脊髓等。然后将CT图像通过专用的微机和扫描仪送入工作站的体部X-刀治疗计划系统中,为X-刀治疗提供依据。
附图 X-刀治疗的CT定位图像。X-刀体箱架的5个标志点清晰可见
2 结果与讨论
体部X-刀治疗技术已广泛应用于体腔部位的肿瘤性病变。其治疗原理是X线小野集束,大计量分次,非共面旋转弧形照射,在靶区形成小范围的高剂量照射区。该项技术的优点是比常规放射治疗定位精度高,对病变周围正常组织影响小,放射治疗效果可以达到常规手术的效果。通过28例肺癌的X-刀病人的随访,有效率达90%以上,由此可见CT定位是胸部X-刀治疗计划制定的关键,CT定位扫描的好坏直接关系到X-刀治疗的效果。在定位时应注意以下几点。
(1)在胸部X-刀定位时,必须严格按照X-刀治疗的特殊要求进行,如扫描层厚,扫描视野大小以及图像窗宽,窗位等,以便更好地为X-刀治疗提供图像资料。
(2)摆位时保证病人的靶区中心在滑板的中心。
(3)由于呼吸运动对病灶造成伪影或漏层,直接影响在X-刀制定治疗计划时的靶区轮廓划定的精确度,从而影响X-刀的治疗效果,所以,必须让病人在扫描时采取屏气扫描方式,使病灶在相对静止的情况下扫描。
(4)扫描时保证病灶上下各有一层无病灶层面,这样就能保证勾画出病灶的完整性和精确度。同时也保证做到X-刀非共面治疗所需的CT图像。, 百拇医药