胸内甲状腺肿的CT诊断(附11例报告)
作者:郑学军 玄克山 孙全余 郜发宝
单位:郑学军 玄克山 孙全余(山东省临沂市解放军146医院放射科CT室 276001);郜发宝(西安市第四军医大学西京医院放射科)
关键词:
实用放射学杂志000332CT Diagnosis of Intrathoracic Goiter(A Report of 11 Cases)
胸内甲状腺肿为胸骨后或纵隔内甲状腺肿块。病理上多表现为多结节性甲状腺肿[1]。最常见于气管前间隙,也可以发生在纵隔任何部位,占纵隔切除肿块的5%~10%[2]。胸内甲状腺肿系良性肿块,以往检查靠X线平片,B超和同位素扫描。查阅近3年国内外文献,未见大宗病例报告。本文通过11例病例分析,探讨胸内甲状腺肿的CT特征和诊断要点。
, 百拇医药
1 材料与方法
本组病例共11例,男3例,女8例。年龄51~72岁,均经手术或穿刺活检病理证实。
临床多以咳嗽、胸闷、气喘等呼吸道症状就诊,部分可触及颈部肿块。7例有明确甲状腺肿大病史2~18年。2例伴有甲状腺机能亢进,其中1例因甲亢危象而死亡。6例X线平片曾诊为上纵隔肿瘤。有2例做过MR检查。
本组病例采用TCT-300S CT机由胸腔入口处作常规扫描,层厚5~10 mm,间隔10~12 mm,发现肿块后向上补扫至肿块起始部。本组病例有8例平扫可显示肿块推压主支气管移位。
2 结果
2.1 位置:正常甲状腺位于颈前正中,起自甲状软骨,下至第6气管环。本组病例有2例位于胸腔入口处,锁骨上区。5例居前上纵隔呈典型胸骨后位置(图1)。4例下缘至肺门层面,大部分位于前中纵隔,部分突入后纵隔。连续层面上观察,肿块向上与颈部甲状腺相延续。
, 百拇医药
2.2 起源:右侧甲状腺肿6例,双侧甲状腺肿3例,左侧甲状腺肿2例。
2.3 大小形态:大多表现为单侧不规则肿块,双侧发病者呈对称或不对称马鞍形、哑铃状肿块(图2,3)
2.4 密度:肿块密度不均匀,CT值约为32~110 HU(不含钙化CT值),低于正常甲状腺CT值。静脉团注法注射泛影葡胺,肿块迅速显著增强,坏死区无增强。
2.5 钙化灶:本组病例均见大小不等斑点状、团块状(图1,2)、蛋壳样(图4)钙化灶,1例以左侧钙化为主。
2.6 MR检查:显示解剖关系更加清楚,可直接观察与颈部甲状腺关系。一般呈等T1、长T2信号,钙化灶表现为甚低信号,但显示不如CT。



, http://www.100md.com
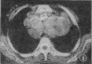
图1 胸骨后左前上纵隔软组织肿块,其内可见不规则斑片状钙化灶。气管、食管受压右移。与周围组织分界清 图2 胸骨后主动脉弓上层面示气管食管前哑铃状密度不均匀肿块影,其内可见小点状钙化灶,与周围血管分界不清 图3 与图4为同一病例增强扫描,病灶明显强化,平扫低密度区无增强,为坏死部分。增强后可清晰观察受推压血管关系,指导手术 图4 右侧无名动脉与下腔静脉间软组织肿块影,边缘呈蛋壳样钙化,气管受压变窄左移
3 讨论
甲状腺弥漫性对称性肿大或不规则局限性肿大统称为甲状腺肿[3]。胸内甲状腺肿很少是来自胸内异位的甲状腺组织,多为颈部甲状腺胸内的直接延伸,在胸廓入口处有一小的峡部将颈部和胸内二处甲状腺肿连结起来。由于长年累月吞咽活动或颈部其他活动,朝下滑行到上纵隔内,至其长大不能再向颈部移动时则形成完全位于胸内的甲状腺肿。这类甲状腺肿可有或无甲状腺机能亢进[4]。本组病例有7例有明确甲状腺肿大病史,病程均较长。仅有1例病人因甲亢危象而死亡,尸检发现多脏器衰竭,左下肺感染并不张。
, 百拇医药
作为纵隔肿块之一的甲状腺肿,CT一般能作出明确诊断。胸内甲状腺肿经常由一侧或双侧甲状腺下极或峡部发出,因此在系列扫描图上可见与颈部甲状腺相连。甲状腺是人体内含碘量最高的组织,一般胸内甲状腺肿密度比周围纵隔结构要高,在颈部和胸腔入口处CT值较高。甲状腺功能低下病人,CT值接近正常组织。肿块至胸内密度不均匀降低。碘剂造影有助于本病诊断。本组病例6例行静脉团注法快速注射泛影葡胺60 ml,表现为特征性CT值持续升高,坏死囊变区可无增强,与文献报导相符。钙化灶是本病主要特征,本组病例钙化检出率达100%,钙化灶形态呈多样性。由于左侧有主动脉弓,肿块多向右侧发展,本组6例表现为右上纵隔肿块,左侧单发仅见2例,因纵隔间隙狭窄,结构复杂,肿块不大即可产生明显压迫症状,如:咳嗽、胸闷、呼吸困难、吞咽障碍,因此临床上多以出现症状系统的疾病做检查,常忽略了该病。CT可以确定胸内甲状腺肿与周围血管及气管、食管的关系,较常规X线或同位素扫描准确,对确定手术入路有重要帮助。
4 鉴别诊断
, 百拇医药
4.1 好发于前中上纵隔肿瘤。如胸腺瘤、畸胎瘤、淋巴瘤。三者在纵隔内好发位置无显著差异,胸内甲状腺肿起始部位较三者偏上。胸腺瘤和淋巴瘤钙化少见,畸胎瘤内可见脂肪密度灶为特征[5]。观察与颈部甲状腺关系对诊断胸内甲状腺肿有重要帮助,单一层面观察易误诊。
4.2 胸内甲状腺瘤或甲状腺癌。为源于胸内异位甲状腺组织肿瘤,罕见。前者为良性肿瘤,边界清晰,后者可侵犯邻近组织,病程短,进展快。过去常把甲状腺肿误诊为甲状腺瘤,因此发病率偏高,临床术前发现的孤立性甲状腺结节,大概90%是结节性甲状腺肿中的最大结节,并非真正腺瘤[6]。
参考文献
1,Joseph K.T.Lee,et al.周康荣,程家文,译.体部CT.黄石:湖北科学技术出版社,1990:66
2,李果珍主编.临床体部CT诊断学.北京:人民卫生出版社,1992:36
, http://www.100md.com
3,武汉医学院病理学教研室.中山医学院病理学教研组主编.武汉:湖北人民出版社,1983;382~383
4,Paul MS,Glenn,Melvynk,et al.Computed tomography in the evaluation of thyroid disease.AJR,1984;142:897
5,Salonen O.CT characteristics of expansions in the middle and posterior.Mediastinum Computerized Radio,1987;11(2):95
6,武汉医学院病理学教研室.中山医学院病理学教研组主编.武汉:湖北人民出版社,1983;844, http://www.100md.com
单位:郑学军 玄克山 孙全余(山东省临沂市解放军146医院放射科CT室 276001);郜发宝(西安市第四军医大学西京医院放射科)
关键词:
实用放射学杂志000332CT Diagnosis of Intrathoracic Goiter(A Report of 11 Cases)
胸内甲状腺肿为胸骨后或纵隔内甲状腺肿块。病理上多表现为多结节性甲状腺肿[1]。最常见于气管前间隙,也可以发生在纵隔任何部位,占纵隔切除肿块的5%~10%[2]。胸内甲状腺肿系良性肿块,以往检查靠X线平片,B超和同位素扫描。查阅近3年国内外文献,未见大宗病例报告。本文通过11例病例分析,探讨胸内甲状腺肿的CT特征和诊断要点。
, 百拇医药
1 材料与方法
本组病例共11例,男3例,女8例。年龄51~72岁,均经手术或穿刺活检病理证实。
临床多以咳嗽、胸闷、气喘等呼吸道症状就诊,部分可触及颈部肿块。7例有明确甲状腺肿大病史2~18年。2例伴有甲状腺机能亢进,其中1例因甲亢危象而死亡。6例X线平片曾诊为上纵隔肿瘤。有2例做过MR检查。
本组病例采用TCT-300S CT机由胸腔入口处作常规扫描,层厚5~10 mm,间隔10~12 mm,发现肿块后向上补扫至肿块起始部。本组病例有8例平扫可显示肿块推压主支气管移位。
2 结果
2.1 位置:正常甲状腺位于颈前正中,起自甲状软骨,下至第6气管环。本组病例有2例位于胸腔入口处,锁骨上区。5例居前上纵隔呈典型胸骨后位置(图1)。4例下缘至肺门层面,大部分位于前中纵隔,部分突入后纵隔。连续层面上观察,肿块向上与颈部甲状腺相延续。
, 百拇医药
2.2 起源:右侧甲状腺肿6例,双侧甲状腺肿3例,左侧甲状腺肿2例。
2.3 大小形态:大多表现为单侧不规则肿块,双侧发病者呈对称或不对称马鞍形、哑铃状肿块(图2,3)
2.4 密度:肿块密度不均匀,CT值约为32~110 HU(不含钙化CT值),低于正常甲状腺CT值。静脉团注法注射泛影葡胺,肿块迅速显著增强,坏死区无增强。
2.5 钙化灶:本组病例均见大小不等斑点状、团块状(图1,2)、蛋壳样(图4)钙化灶,1例以左侧钙化为主。
2.6 MR检查:显示解剖关系更加清楚,可直接观察与颈部甲状腺关系。一般呈等T1、长T2信号,钙化灶表现为甚低信号,但显示不如CT。
, http://www.100md.com
图1 胸骨后左前上纵隔软组织肿块,其内可见不规则斑片状钙化灶。气管、食管受压右移。与周围组织分界清 图2 胸骨后主动脉弓上层面示气管食管前哑铃状密度不均匀肿块影,其内可见小点状钙化灶,与周围血管分界不清 图3 与图4为同一病例增强扫描,病灶明显强化,平扫低密度区无增强,为坏死部分。增强后可清晰观察受推压血管关系,指导手术 图4 右侧无名动脉与下腔静脉间软组织肿块影,边缘呈蛋壳样钙化,气管受压变窄左移
3 讨论
甲状腺弥漫性对称性肿大或不规则局限性肿大统称为甲状腺肿[3]。胸内甲状腺肿很少是来自胸内异位的甲状腺组织,多为颈部甲状腺胸内的直接延伸,在胸廓入口处有一小的峡部将颈部和胸内二处甲状腺肿连结起来。由于长年累月吞咽活动或颈部其他活动,朝下滑行到上纵隔内,至其长大不能再向颈部移动时则形成完全位于胸内的甲状腺肿。这类甲状腺肿可有或无甲状腺机能亢进[4]。本组病例有7例有明确甲状腺肿大病史,病程均较长。仅有1例病人因甲亢危象而死亡,尸检发现多脏器衰竭,左下肺感染并不张。
, 百拇医药
作为纵隔肿块之一的甲状腺肿,CT一般能作出明确诊断。胸内甲状腺肿经常由一侧或双侧甲状腺下极或峡部发出,因此在系列扫描图上可见与颈部甲状腺相连。甲状腺是人体内含碘量最高的组织,一般胸内甲状腺肿密度比周围纵隔结构要高,在颈部和胸腔入口处CT值较高。甲状腺功能低下病人,CT值接近正常组织。肿块至胸内密度不均匀降低。碘剂造影有助于本病诊断。本组病例6例行静脉团注法快速注射泛影葡胺60 ml,表现为特征性CT值持续升高,坏死囊变区可无增强,与文献报导相符。钙化灶是本病主要特征,本组病例钙化检出率达100%,钙化灶形态呈多样性。由于左侧有主动脉弓,肿块多向右侧发展,本组6例表现为右上纵隔肿块,左侧单发仅见2例,因纵隔间隙狭窄,结构复杂,肿块不大即可产生明显压迫症状,如:咳嗽、胸闷、呼吸困难、吞咽障碍,因此临床上多以出现症状系统的疾病做检查,常忽略了该病。CT可以确定胸内甲状腺肿与周围血管及气管、食管的关系,较常规X线或同位素扫描准确,对确定手术入路有重要帮助。
4 鉴别诊断
, 百拇医药
4.1 好发于前中上纵隔肿瘤。如胸腺瘤、畸胎瘤、淋巴瘤。三者在纵隔内好发位置无显著差异,胸内甲状腺肿起始部位较三者偏上。胸腺瘤和淋巴瘤钙化少见,畸胎瘤内可见脂肪密度灶为特征[5]。观察与颈部甲状腺关系对诊断胸内甲状腺肿有重要帮助,单一层面观察易误诊。
4.2 胸内甲状腺瘤或甲状腺癌。为源于胸内异位甲状腺组织肿瘤,罕见。前者为良性肿瘤,边界清晰,后者可侵犯邻近组织,病程短,进展快。过去常把甲状腺肿误诊为甲状腺瘤,因此发病率偏高,临床术前发现的孤立性甲状腺结节,大概90%是结节性甲状腺肿中的最大结节,并非真正腺瘤[6]。
参考文献
1,Joseph K.T.Lee,et al.周康荣,程家文,译.体部CT.黄石:湖北科学技术出版社,1990:66
2,李果珍主编.临床体部CT诊断学.北京:人民卫生出版社,1992:36
, http://www.100md.com
3,武汉医学院病理学教研室.中山医学院病理学教研组主编.武汉:湖北人民出版社,1983;382~383
4,Paul MS,Glenn,Melvynk,et al.Computed tomography in the evaluation of thyroid disease.AJR,1984;142:897
5,Salonen O.CT characteristics of expansions in the middle and posterior.Mediastinum Computerized Radio,1987;11(2):95
6,武汉医学院病理学教研室.中山医学院病理学教研组主编.武汉:湖北人民出版社,1983;844, http://www.100md.com