急性炮烟中毒肺部X线表现
作者:李谷龙
单位:李谷龙(湖南常德市第六人民医院放射科 415101)
关键词:
实用放射学杂志000331X-ray Manifestations of Lung in Acute Poisoning of
Smoke Formed by Firecrackers
急性炮烟中毒,在采矿业中易于发生。故提高其中毒所致肺部病变的X线征象的观察和分析能力,为临床治疗及时提供参考信息尤为重要。笔者特将其一组12例分析报告如下。
1 材料与方法
本组均系男,18~27岁,平均年龄24岁,原本体健,无心、肺、肝、肾病史,均系急性炮烟中毒后约2 h急诊入院。入院时,表现为:头痛、头晕、乏力者12例;胸闷、气促、呼吸困难者5例;恶心者5例;呕吐者2例;胸痛、轻咳者3例;嗜睡者4例。体查:口唇、甲床樱桃红色者2例;咽部充血者5例;双肺呼吸音粗者7例;右下肺哮鸣音者1例。本组病例均于入院时急诊摄片。
, 百拇医药
2 结果
其X线表现分类如下:①肺纹理正常者2例,占16%;②肺纹理增粗、紊乱、模糊者4例,占33%;③局限性小斑片状阴影3例,占25%;④弥漫性、云絮状、斑片状实变影3例,占25%,肺野透过度减低,呈两肺散在性分布,从肺尖至肺底,内带至外带,且以中外带为甚。病变经治疗后吸收迅速,其中9例经透视复查,3例经摄片复查证实痊愈出院。


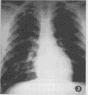
图1 男,20岁,急性炮烟中毒后约2 h入院急诊摄片,示两肺弥漫性分布的云絮状,小斑片状模糊阴影,病灶以肺尖至肺底,内带至外带均有分布,以中外带为甚。分别于第3 d及第6 d经透视复查见其吸收迅速,于第3 d已显著吸收,于第6 d见其已恢复正常 图2 男,18岁,系急性炮烟中毒后约2 h入院急诊摄片,示右肺中下野局限性小斑片状,密度较淡的云絮状阴影,左肺中野亦可见,且以中外带明显 图3 系图2同一病例,于入院后经治疗后第5 d复查片,可见其病变已基本吸收
, 百拇医药
3 讨论
3.1 急性炮烟中毒所致肺部病变的发病机理:炮烟的主要成分为CO,含量可达30%~60%;其次为NO2。故其中毒主要是由于CO大量吸入所致。CO经肺泡入血液循环,与Hb结合成碳氧血红蛋白(HbCO),由于HbCO无携氧能力,且CO与Hb的亲和力比O2与Hb的亲和力大200~300倍,而其解离却较HbO2慢3600倍[1],且其还有抑制HbO2解离,阻止氧的释放和传递的作用,从而导致低氧血症和缺氧,致使肺血管收缩,内压增高和流速增快,其增高的切应力导致了肺微血管内皮的损伤和血管通透性增高,致使微血管内液体向其周围间质渗出[2]。另外,高浓度的CO还与细胞色素氧化酶中的铁结合抑制细胞的呼吸过程,而损害线粒体的功能;再加上少量的NO2所致的呼吸道炎症,支气管痉挛,肺泡上皮和毛细血管内皮的损伤,从而形成间质性和肺泡性肺水肿。
, 百拇医药
3.2 X线平片在急性炮烟中毒所致肺部病变诊断中的作用:
急性炮烟中毒肺部病变X线征象主要取决于吸入的量、浓度和作用的时间。轻中度中毒者可无异常X线征象,或仅示肺纹理增多、紊乱;而临床仅轻微的头痛、头晕、乏力;本组即有6例。吸入的量多、浓度高而致重度中毒者,其X线示:①局限性小斑片状、云絮状影;②呈弥漫性肺水肿征象,分别占3例和2例。而临床则进一步有呼吸困难、恶心、呕吐、嗜睡;咽部充血、口唇和甲床呈樱桃红色。值得注意的是本组尚有1例(图1),并无明显临床症状和体征,而X线却示:弥漫分布于两肺的小斑片状,云絮状,且外中带多见的弥漫性肺水肿征象。此与Diller氏提出的肺水肿最早的X线征象可在无症状的中期出现相符[3]。故此X线可及早发现其肺水肿改变,利于临床及时防止肺水肿的发展。
3.3 急性炮烟中毒肺部病变的X线特点:
轻者多无特异X线征象;而其重度中毒者所致肺水肿征象与其它原因所致者却有所不同:本组病例并未见急性肺水肿的典型征象——“蝶翼征”[4],而是呈弥漫分布的小斑片状、云絮状、模糊的阴影,且以中外带为多。此与Frendlich提出的吸入化学物质所致的肺水肿,病灶分布周围性多于中心性相同[5]。此亦是与流体静力性肺水肿的不同之处。概而言之,其特点为:密度淡而均;可合并间质影(因炮烟中所含的NO2所致的支气管及其周围炎);病灶呈弥漫分布;动态变化快,透视或摄片证实经治疗后可于短期内吸收(图2,3)。
, 百拇医药
参考文献
1,陈国伟主编.现代急诊内科学.第1版.广州:广东科学技术出版社,1990:537
2,冯新为主编.病理生理学.高等医药院校教材.第3版.北京:人民卫生出版社,1990:101~102
3,Diller WF:Medical phosgene problems and their possible solution.JOM,1978;20:189
4,李铁一,马大庆,冀景玲,等.急性肺水肿的X线表现与临床及动物实验的对比研究.中华放射学杂志,1987;1:48
5,Frendlich IM:Diffuse Pulmonary Disease,P120,Saunders,Phiadelphia,1979, 百拇医药
单位:李谷龙(湖南常德市第六人民医院放射科 415101)
关键词:
实用放射学杂志000331X-ray Manifestations of Lung in Acute Poisoning of
Smoke Formed by Firecrackers
急性炮烟中毒,在采矿业中易于发生。故提高其中毒所致肺部病变的X线征象的观察和分析能力,为临床治疗及时提供参考信息尤为重要。笔者特将其一组12例分析报告如下。
1 材料与方法
本组均系男,18~27岁,平均年龄24岁,原本体健,无心、肺、肝、肾病史,均系急性炮烟中毒后约2 h急诊入院。入院时,表现为:头痛、头晕、乏力者12例;胸闷、气促、呼吸困难者5例;恶心者5例;呕吐者2例;胸痛、轻咳者3例;嗜睡者4例。体查:口唇、甲床樱桃红色者2例;咽部充血者5例;双肺呼吸音粗者7例;右下肺哮鸣音者1例。本组病例均于入院时急诊摄片。
, 百拇医药
2 结果
其X线表现分类如下:①肺纹理正常者2例,占16%;②肺纹理增粗、紊乱、模糊者4例,占33%;③局限性小斑片状阴影3例,占25%;④弥漫性、云絮状、斑片状实变影3例,占25%,肺野透过度减低,呈两肺散在性分布,从肺尖至肺底,内带至外带,且以中外带为甚。病变经治疗后吸收迅速,其中9例经透视复查,3例经摄片复查证实痊愈出院。
图1 男,20岁,急性炮烟中毒后约2 h入院急诊摄片,示两肺弥漫性分布的云絮状,小斑片状模糊阴影,病灶以肺尖至肺底,内带至外带均有分布,以中外带为甚。分别于第3 d及第6 d经透视复查见其吸收迅速,于第3 d已显著吸收,于第6 d见其已恢复正常 图2 男,18岁,系急性炮烟中毒后约2 h入院急诊摄片,示右肺中下野局限性小斑片状,密度较淡的云絮状阴影,左肺中野亦可见,且以中外带明显 图3 系图2同一病例,于入院后经治疗后第5 d复查片,可见其病变已基本吸收
, 百拇医药
3 讨论
3.1 急性炮烟中毒所致肺部病变的发病机理:炮烟的主要成分为CO,含量可达30%~60%;其次为NO2。故其中毒主要是由于CO大量吸入所致。CO经肺泡入血液循环,与Hb结合成碳氧血红蛋白(HbCO),由于HbCO无携氧能力,且CO与Hb的亲和力比O2与Hb的亲和力大200~300倍,而其解离却较HbO2慢3600倍[1],且其还有抑制HbO2解离,阻止氧的释放和传递的作用,从而导致低氧血症和缺氧,致使肺血管收缩,内压增高和流速增快,其增高的切应力导致了肺微血管内皮的损伤和血管通透性增高,致使微血管内液体向其周围间质渗出[2]。另外,高浓度的CO还与细胞色素氧化酶中的铁结合抑制细胞的呼吸过程,而损害线粒体的功能;再加上少量的NO2所致的呼吸道炎症,支气管痉挛,肺泡上皮和毛细血管内皮的损伤,从而形成间质性和肺泡性肺水肿。
, 百拇医药
3.2 X线平片在急性炮烟中毒所致肺部病变诊断中的作用:
急性炮烟中毒肺部病变X线征象主要取决于吸入的量、浓度和作用的时间。轻中度中毒者可无异常X线征象,或仅示肺纹理增多、紊乱;而临床仅轻微的头痛、头晕、乏力;本组即有6例。吸入的量多、浓度高而致重度中毒者,其X线示:①局限性小斑片状、云絮状影;②呈弥漫性肺水肿征象,分别占3例和2例。而临床则进一步有呼吸困难、恶心、呕吐、嗜睡;咽部充血、口唇和甲床呈樱桃红色。值得注意的是本组尚有1例(图1),并无明显临床症状和体征,而X线却示:弥漫分布于两肺的小斑片状,云絮状,且外中带多见的弥漫性肺水肿征象。此与Diller氏提出的肺水肿最早的X线征象可在无症状的中期出现相符[3]。故此X线可及早发现其肺水肿改变,利于临床及时防止肺水肿的发展。
3.3 急性炮烟中毒肺部病变的X线特点:
轻者多无特异X线征象;而其重度中毒者所致肺水肿征象与其它原因所致者却有所不同:本组病例并未见急性肺水肿的典型征象——“蝶翼征”[4],而是呈弥漫分布的小斑片状、云絮状、模糊的阴影,且以中外带为多。此与Frendlich提出的吸入化学物质所致的肺水肿,病灶分布周围性多于中心性相同[5]。此亦是与流体静力性肺水肿的不同之处。概而言之,其特点为:密度淡而均;可合并间质影(因炮烟中所含的NO2所致的支气管及其周围炎);病灶呈弥漫分布;动态变化快,透视或摄片证实经治疗后可于短期内吸收(图2,3)。
, 百拇医药
参考文献
1,陈国伟主编.现代急诊内科学.第1版.广州:广东科学技术出版社,1990:537
2,冯新为主编.病理生理学.高等医药院校教材.第3版.北京:人民卫生出版社,1990:101~102
3,Diller WF:Medical phosgene problems and their possible solution.JOM,1978;20:189
4,李铁一,马大庆,冀景玲,等.急性肺水肿的X线表现与临床及动物实验的对比研究.中华放射学杂志,1987;1:48
5,Frendlich IM:Diffuse Pulmonary Disease,P120,Saunders,Phiadelphia,1979, 百拇医药