胸膜包虫囊肿1例报告
作者:邓生德 何隽祥
单位:邓生德(甘肃省张掖地区医院CT室 734000);何隽祥(甘肃省张掖地区医院放射科 734000)
关键词:
实用放射学杂志000329One Case:Subpleural Hydatic Cyst
包虫囊肿是由于犬绦虫蚴寄居于体内所形成的,好发于肝、肺,其他部位少见。我院收治1例胸膜包虫囊肿,现报告如下:
病人,男性,27岁,造纸厂工人。半年前无明显诱因出现左侧胸背部疼痛,呈持续性胀痛,并左前胸壁及上腹部皮肤针刺样痛。局部无红肿,无发热、咳嗽、咯血等。体查:左下后胸壁肩胛下角线9、10肋间处压痛,叩浊,局部语颤减弱,左下肺呼吸音减弱。包虫抗体试验呈阳性反应。
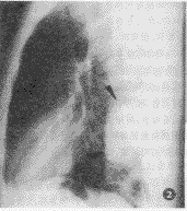
X线检查:正位片示左肺下野一密度中等、均匀,边缘清晰的椭圆形肿块,与左心缘重叠,心缘遮盖征阴性(图1);侧位片示肿块与脊柱重迭,其内未见钙化、空洞等征象(图2)。
B超检查:左侧胸腔内可探及一5.5 cm×5.3 cm大小的无回声区,有包膜,外形不规则,界限清晰,内部透声性好,提示:左胸腔内囊性包块。
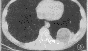
CT检查:左下后胸腔内见一6.2 cm×5.0 cm大小的类圆形囊性包块自后胸壁突向肺叶,密度均匀,CT值1~8 HU;边缘清晰锐利,囊壁呈一均匀致密的环形影,后缘紧贴后胸壁,内侧与胸壁以锐角相交,外侧缘与胸壁成钝角相交,相应部位胸膜肥厚,周围肺叶内未见异常密度灶。骨窗示邻近肋骨受压改变,无骨质破坏(图3)。
手术所见:左胸肩胛下角线8~10后肋处壁层胸膜与胸壁之间见一8 cm×8 cm×6 cm大小的多囊状囊肿,与壁层胸膜粘连,抽吸囊液,切开胸膜并摘除内囊。术后诊断:胸膜包虫囊肿。
病理诊断:胸膜包虫囊肿。


图1,2 胸部后前位及左侧位片,左下肺野见椭圆形肿块,心缘遮盖征阴性;侧位片示肿块与脊柱重迭 图3 肿块自后胸壁突向肺叶,边缘清晰,密度均匀,呈水样密度, http://www.100md.com
单位:邓生德(甘肃省张掖地区医院CT室 734000);何隽祥(甘肃省张掖地区医院放射科 734000)
关键词:
实用放射学杂志000329One Case:Subpleural Hydatic Cyst
包虫囊肿是由于犬绦虫蚴寄居于体内所形成的,好发于肝、肺,其他部位少见。我院收治1例胸膜包虫囊肿,现报告如下:
病人,男性,27岁,造纸厂工人。半年前无明显诱因出现左侧胸背部疼痛,呈持续性胀痛,并左前胸壁及上腹部皮肤针刺样痛。局部无红肿,无发热、咳嗽、咯血等。体查:左下后胸壁肩胛下角线9、10肋间处压痛,叩浊,局部语颤减弱,左下肺呼吸音减弱。包虫抗体试验呈阳性反应。
X线检查:正位片示左肺下野一密度中等、均匀,边缘清晰的椭圆形肿块,与左心缘重叠,心缘遮盖征阴性(图1);侧位片示肿块与脊柱重迭,其内未见钙化、空洞等征象(图2)。
B超检查:左侧胸腔内可探及一5.5 cm×5.3 cm大小的无回声区,有包膜,外形不规则,界限清晰,内部透声性好,提示:左胸腔内囊性包块。
CT检查:左下后胸腔内见一6.2 cm×5.0 cm大小的类圆形囊性包块自后胸壁突向肺叶,密度均匀,CT值1~8 HU;边缘清晰锐利,囊壁呈一均匀致密的环形影,后缘紧贴后胸壁,内侧与胸壁以锐角相交,外侧缘与胸壁成钝角相交,相应部位胸膜肥厚,周围肺叶内未见异常密度灶。骨窗示邻近肋骨受压改变,无骨质破坏(图3)。
手术所见:左胸肩胛下角线8~10后肋处壁层胸膜与胸壁之间见一8 cm×8 cm×6 cm大小的多囊状囊肿,与壁层胸膜粘连,抽吸囊液,切开胸膜并摘除内囊。术后诊断:胸膜包虫囊肿。
病理诊断:胸膜包虫囊肿。
图1,2 胸部后前位及左侧位片,左下肺野见椭圆形肿块,心缘遮盖征阴性;侧位片示肿块与脊柱重迭 图3 肿块自后胸壁突向肺叶,边缘清晰,密度均匀,呈水样密度, http://www.100md.com