创伤性湿肺早期CT征象的探讨
作者:高正今
单位:高正今(解放军324中心医院放射科,重庆 400020)
关键词:
实用放射学杂志000418[中图分类号]R816.41 [文献标识码]B [文章编号]1002-1671(2000)04-0240-03
The Study on Early CT Findings of Traumatic Wet Lung
创伤性湿肺是指由胸部损伤所引起的肺组织充血、间质水肿或出血的综合性病变。当未发生严重并发症前临床诊断较为困难,而且在早期,普通X线片也容易漏诊或误诊。我院自1992-06~1996-12经临床、X线和CT追踪观察确诊者55例,现对CT在创伤性湿肺早期诊断中的价值进行探讨。
, 百拇医药
1 资料和方法
本组55例中男41例,女14例,年龄15~62岁,平均33.5岁。既往有肺部疾病史者除外。致伤原因:车祸挤压伤22例,撞击伤13例,高处坠落伤9例,重物砸伤7例,爆震伤4例。除6例外,其他均为闭合性胸部外伤。伤后临床症状:有不同程度的胸痛者52例,胸闷41例,进行性呼吸困难34例,咳嗽37例,痰中带血或明显咯血19例。CT检查前由X线胸片诊断为肋骨骨折者17例,血气胸12例,血胸6例,皮下气肿5例,纵隔气肿1例,怀疑创伤性湿肺出血者9例。
本文多数病例于胸部创伤后来院急诊时行CT检查,少数为住院后因呼吸道症状加重而作CT。首次CT扫描时间在伤后1~48 h,绝大多数病例在伤后5 h内。CT扫描范围从肺尖至横膈,常规层厚、层距10 mm,对可疑部位加扫2 mm或5 mm的薄层。调节窗宽、窗位以显示肺实质内的损伤性病灶,对湿肺病变主要采用肺窗观察。根据需要对部分病例于首次扫描后1~2周内CT复查。
, http://www.100md.com
2 CT结果
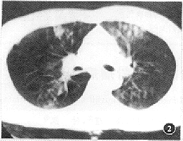
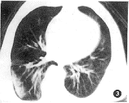
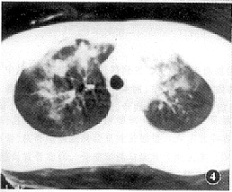
创伤性湿肺的CT表现是肺间质及肺泡的广泛挫伤和撕裂伤所引起的复合性改变。本组病例所显示的CT征象如下:(1)肺血管影增浓、模糊且粗细不均者16例(图1);(2)肺实质内散在斑点状、小片絮状稍高密度灶,边缘模糊不清者24例(图2);(3)呈磨玻璃改变的云雾状稍高密度灶,似一层薄纱复盖肺野(即“面纱征”)19例(图3);(4)大片状或呈叶、段分布的高密度灶,其内密度欠均匀,边缘不规则且模糊者20例(图4);(5)显示有大小不等、形态不规则的薄壁囊腔样低密度灶者16例(图5),囊腔内见小液平5例。上述CT表现在同一例中常混合存在。本组中CT发现有血气胸者16例,单纯血胸9例,单纯气胸6例,肋骨骨折17例,胸椎骨折3例,纵隔气肿4例,胸壁软组织积气10例,外伤性肺不张5例,肺内血肿9例。
图1 肺间质损伤引起的血管影增浓、模糊且粗细不均,可见小片状高密度灶及少量气胸
, http://www.100md.com
图2 肺实质挫伤早期见散在斑点状、小片絮状稍高密度灶
图3 薄雾状面纱征,为肺创伤的特征性表现
图4 肺实质损伤渗血融合成大片状高密度灶
图5 肺泡撕裂形成囊腔样低密度灶
病灶分布及消散情况:CT显示病灶位于上肺野15例,中下肺野40例。右肺单侧受损者20例,左肺受损者13例,波及两肺者22例。在本组经CT随访复查的28例中,有15例48 h内病变范围增加,出现明显湿肺表现而由疑诊到肯定诊断。3 d~2周内病灶完全吸收者20例,另8例因感染和其他并发症延至1月后病灶基本吸收。
, 百拇医药
3 讨论
3.1 创伤性湿肺的发生机理
3.1.1 胸内和气道内压力改变:在胸部突然遭受撞击、挤压等外力作用后,因胸廓缩小胸内压增高可压迫肺脏引起肺实质损伤;而当压力消除,变形的胸廓再次弹回所造成的胸内负压又可引起剪力性肺撕裂伤,致肺组织内毛细血管破裂,肺泡和间质出血、水肿,被撕裂的肺泡则呈现出小囊腔样改变。
3.1.2 颅脑损伤的影响:部分病例所并发的颅脑损伤使中枢神经遭到刺激而引起肺过度通气,肺泡表面活性物质变化;也可因大脑血管收缩缺氧而反射性引起肺血管痉挛,以致形成肺动脉高压,出现神经源性肺水肿[1]。
3.1.3 小支气管受阻:胸部创伤后所引起的支气管痉挛以及气道分泌物与积血的增加,均可使支气管受阻而对肺通气功能产生不利影响,加重创伤性湿肺的症状。
, http://www.100md.com
3.1.4 肺循环障碍:强大的外力使悬于胸腔的肺与胸壁相撞,致肺毛细血管广泛受损;加之缺氧,可直接或间接影响肺循环致部分血流淤阻和毛细血管通透性增加,使体液渗入间质及肺泡,既减少功能残气量[2],又阻止肺泡血氧交换加重缺氧,进而形成恶性循环。
3.2 创伤性湿肺病理改变与CT表现的关系
创伤性湿肺的病理改变是以肺间质、肺泡内出血、水肿及微小肺不张为特点[3],而CT表现则是肺挫伤和肺撕裂伤的复合性改变。CT通过肺窗观察可显示出以肺纹理增浓、模糊为主要表现的肺间质变化;早期肺实质损害可见散在斑点状、小片絮状稍高密度灶;当肺泡和间质出现渗液时则可见薄雾状“面纱征”[4];随着损伤方式和程度的不同以及渗血的增多可融合成大片状高密度灶。部分病例因肺泡撕裂显示为小的薄壁囊腔样低密度灶,有的并无明确囊壁,被撕裂的肺泡囊因引流支气管损伤的活瓣作用可继续胀大呈现出“肺大泡样”改变,囊腔形态不规则,可单发或多发,直径1~2 cm,大者3 cm以上[4]。因胸壁损伤神经反射所引起的支气管痉挛、粘液分泌物增多以及肺实质损伤所引起的出血水肿,均可使撕裂的囊腔内出现液平或积血。由于上述损伤很少是局限性的,所以在CT影像上常显示出散在多发性病灶,有的呈非肺段性分布[3]。当撕裂伤部位接近脏层胸膜或被肋骨骨折断端刺伤时则可引起气胸或/和血胸。有的小支气管因损伤断裂或因凝血块、粘液栓阻塞,则CT可显示为外伤性节段性肺不张。
, 百拇医药
3.3 CT在创伤性湿肺早期诊断中的价值
由于本病可在短期内发生广泛肺湿变,引起通气和换气功能明显减低,导致成人呼吸窘迫综合征等严重后果[5],因此早期诊断并采取积极有效的治疗措施具有特别重要的临床意义。但常规X线检查很难发现小范围的肺实质内的散在出血及肺泡撕裂,而CT因具有横断扫描的特点及密度分辨率高的优越性则可以早期作出准确诊断。通过本文研究,我们认为下列表现可以作为创伤性湿肺的早期CT征象:(1)肺间质损害所显示的肺纹理增浓、模糊且粗细不均;(2)肺实质出血、水肿所显示的散在斑点状、小片絮状稍高密度灶;(3)肺内渗液所引起的面纱征;(4)肺泡撕裂所显示的低密度小囊腔。除上述早期征象外,CT还易于发现胸片可能漏诊的微量或少量气胸、血胸、纵隔气肿及胸壁软组织积气,从而为创伤性湿肺的早期诊断提供更多的信息。因此我们建议,对于有明显胸部外伤史,临床上出现进行性呼吸困难、胸闷、咯血等症状而普通X线片又不能解释其原因者应及时行胸部CT检查。
, 百拇医药
作者简介:高正今(1944-),男,四川阆中人,主任医师,重点从事胸部疾病及全身创伤性疾病的影像学研究。
参考文献
[1]Theodore J,Robin ED.Pathogenesis of neurogenic pulmonary edema.Lancet,1975,2:749.
[2]Alfano GS,Hale HW.Pulmonary contusion.J Trauma,1965,5:647.
[3]李铁一.胸部疾病CT诊断.第1版.北京:北京出版社,1993.242.
[4]陈留斌,毛维轩,陈南平,等.胸部闭合性肺实质损伤的X线诊断.中华创伤杂志,1994,10(4):183.
[5]Rinaldo JE,Rogers RM.Adult respiratory distress syndrome.N Engl J Med,1982,306:900., 百拇医药
单位:高正今(解放军324中心医院放射科,重庆 400020)
关键词:
实用放射学杂志000418[中图分类号]R816.41 [文献标识码]B [文章编号]1002-1671(2000)04-0240-03
The Study on Early CT Findings of Traumatic Wet Lung
创伤性湿肺是指由胸部损伤所引起的肺组织充血、间质水肿或出血的综合性病变。当未发生严重并发症前临床诊断较为困难,而且在早期,普通X线片也容易漏诊或误诊。我院自1992-06~1996-12经临床、X线和CT追踪观察确诊者55例,现对CT在创伤性湿肺早期诊断中的价值进行探讨。
, 百拇医药
1 资料和方法
本组55例中男41例,女14例,年龄15~62岁,平均33.5岁。既往有肺部疾病史者除外。致伤原因:车祸挤压伤22例,撞击伤13例,高处坠落伤9例,重物砸伤7例,爆震伤4例。除6例外,其他均为闭合性胸部外伤。伤后临床症状:有不同程度的胸痛者52例,胸闷41例,进行性呼吸困难34例,咳嗽37例,痰中带血或明显咯血19例。CT检查前由X线胸片诊断为肋骨骨折者17例,血气胸12例,血胸6例,皮下气肿5例,纵隔气肿1例,怀疑创伤性湿肺出血者9例。
本文多数病例于胸部创伤后来院急诊时行CT检查,少数为住院后因呼吸道症状加重而作CT。首次CT扫描时间在伤后1~48 h,绝大多数病例在伤后5 h内。CT扫描范围从肺尖至横膈,常规层厚、层距10 mm,对可疑部位加扫2 mm或5 mm的薄层。调节窗宽、窗位以显示肺实质内的损伤性病灶,对湿肺病变主要采用肺窗观察。根据需要对部分病例于首次扫描后1~2周内CT复查。
, http://www.100md.com
2 CT结果
创伤性湿肺的CT表现是肺间质及肺泡的广泛挫伤和撕裂伤所引起的复合性改变。本组病例所显示的CT征象如下:(1)肺血管影增浓、模糊且粗细不均者16例(图1);(2)肺实质内散在斑点状、小片絮状稍高密度灶,边缘模糊不清者24例(图2);(3)呈磨玻璃改变的云雾状稍高密度灶,似一层薄纱复盖肺野(即“面纱征”)19例(图3);(4)大片状或呈叶、段分布的高密度灶,其内密度欠均匀,边缘不规则且模糊者20例(图4);(5)显示有大小不等、形态不规则的薄壁囊腔样低密度灶者16例(图5),囊腔内见小液平5例。上述CT表现在同一例中常混合存在。本组中CT发现有血气胸者16例,单纯血胸9例,单纯气胸6例,肋骨骨折17例,胸椎骨折3例,纵隔气肿4例,胸壁软组织积气10例,外伤性肺不张5例,肺内血肿9例。
, http://www.100md.com
图2 肺实质挫伤早期见散在斑点状、小片絮状稍高密度灶
图3 薄雾状面纱征,为肺创伤的特征性表现
图4 肺实质损伤渗血融合成大片状高密度灶
图5 肺泡撕裂形成囊腔样低密度灶
病灶分布及消散情况:CT显示病灶位于上肺野15例,中下肺野40例。右肺单侧受损者20例,左肺受损者13例,波及两肺者22例。在本组经CT随访复查的28例中,有15例48 h内病变范围增加,出现明显湿肺表现而由疑诊到肯定诊断。3 d~2周内病灶完全吸收者20例,另8例因感染和其他并发症延至1月后病灶基本吸收。
, 百拇医药
3 讨论
3.1 创伤性湿肺的发生机理
3.1.1 胸内和气道内压力改变:在胸部突然遭受撞击、挤压等外力作用后,因胸廓缩小胸内压增高可压迫肺脏引起肺实质损伤;而当压力消除,变形的胸廓再次弹回所造成的胸内负压又可引起剪力性肺撕裂伤,致肺组织内毛细血管破裂,肺泡和间质出血、水肿,被撕裂的肺泡则呈现出小囊腔样改变。
3.1.2 颅脑损伤的影响:部分病例所并发的颅脑损伤使中枢神经遭到刺激而引起肺过度通气,肺泡表面活性物质变化;也可因大脑血管收缩缺氧而反射性引起肺血管痉挛,以致形成肺动脉高压,出现神经源性肺水肿[1]。
3.1.3 小支气管受阻:胸部创伤后所引起的支气管痉挛以及气道分泌物与积血的增加,均可使支气管受阻而对肺通气功能产生不利影响,加重创伤性湿肺的症状。
, http://www.100md.com
3.1.4 肺循环障碍:强大的外力使悬于胸腔的肺与胸壁相撞,致肺毛细血管广泛受损;加之缺氧,可直接或间接影响肺循环致部分血流淤阻和毛细血管通透性增加,使体液渗入间质及肺泡,既减少功能残气量[2],又阻止肺泡血氧交换加重缺氧,进而形成恶性循环。
3.2 创伤性湿肺病理改变与CT表现的关系
创伤性湿肺的病理改变是以肺间质、肺泡内出血、水肿及微小肺不张为特点[3],而CT表现则是肺挫伤和肺撕裂伤的复合性改变。CT通过肺窗观察可显示出以肺纹理增浓、模糊为主要表现的肺间质变化;早期肺实质损害可见散在斑点状、小片絮状稍高密度灶;当肺泡和间质出现渗液时则可见薄雾状“面纱征”[4];随着损伤方式和程度的不同以及渗血的增多可融合成大片状高密度灶。部分病例因肺泡撕裂显示为小的薄壁囊腔样低密度灶,有的并无明确囊壁,被撕裂的肺泡囊因引流支气管损伤的活瓣作用可继续胀大呈现出“肺大泡样”改变,囊腔形态不规则,可单发或多发,直径1~2 cm,大者3 cm以上[4]。因胸壁损伤神经反射所引起的支气管痉挛、粘液分泌物增多以及肺实质损伤所引起的出血水肿,均可使撕裂的囊腔内出现液平或积血。由于上述损伤很少是局限性的,所以在CT影像上常显示出散在多发性病灶,有的呈非肺段性分布[3]。当撕裂伤部位接近脏层胸膜或被肋骨骨折断端刺伤时则可引起气胸或/和血胸。有的小支气管因损伤断裂或因凝血块、粘液栓阻塞,则CT可显示为外伤性节段性肺不张。
, 百拇医药
3.3 CT在创伤性湿肺早期诊断中的价值
由于本病可在短期内发生广泛肺湿变,引起通气和换气功能明显减低,导致成人呼吸窘迫综合征等严重后果[5],因此早期诊断并采取积极有效的治疗措施具有特别重要的临床意义。但常规X线检查很难发现小范围的肺实质内的散在出血及肺泡撕裂,而CT因具有横断扫描的特点及密度分辨率高的优越性则可以早期作出准确诊断。通过本文研究,我们认为下列表现可以作为创伤性湿肺的早期CT征象:(1)肺间质损害所显示的肺纹理增浓、模糊且粗细不均;(2)肺实质出血、水肿所显示的散在斑点状、小片絮状稍高密度灶;(3)肺内渗液所引起的面纱征;(4)肺泡撕裂所显示的低密度小囊腔。除上述早期征象外,CT还易于发现胸片可能漏诊的微量或少量气胸、血胸、纵隔气肿及胸壁软组织积气,从而为创伤性湿肺的早期诊断提供更多的信息。因此我们建议,对于有明显胸部外伤史,临床上出现进行性呼吸困难、胸闷、咯血等症状而普通X线片又不能解释其原因者应及时行胸部CT检查。
, 百拇医药
作者简介:高正今(1944-),男,四川阆中人,主任医师,重点从事胸部疾病及全身创伤性疾病的影像学研究。
参考文献
[1]Theodore J,Robin ED.Pathogenesis of neurogenic pulmonary edema.Lancet,1975,2:749.
[2]Alfano GS,Hale HW.Pulmonary contusion.J Trauma,1965,5:647.
[3]李铁一.胸部疾病CT诊断.第1版.北京:北京出版社,1993.242.
[4]陈留斌,毛维轩,陈南平,等.胸部闭合性肺实质损伤的X线诊断.中华创伤杂志,1994,10(4):183.
[5]Rinaldo JE,Rogers RM.Adult respiratory distress syndrome.N Engl J Med,1982,306:900., 百拇医药