球形肺炎的CT表现
作者:唐秀贞 吴珂 张有军
单位:山东省泰安市中心医院CT室,山东 泰安 271000
关键词:球形肺炎;体层摄影术,X线计算机
实用放射学杂志000407 [摘要]目的:探讨球形肺炎的CT表现及其鉴别诊断。方法:选择21例经临床或病理证实的球形肺炎及21例经手术病理证实的周围型肺癌,将其CT资料进行对比分析。结果:球形肺炎与周围型肺癌CT表现有明显不同。结论:CT检查是鉴别球形肺炎与周围型肺癌的有效手段。
[中图分类号]R563.1;R814.42 [文献标识码]A [文章编号]1002-1671(2000)04-0212-03
CT Manifestations of Spherical Pneumonia
, 百拇医药
TANG Xiu-zhen,WU Ke,ZHANG You-jun
(Departmoent of CT,Taian Centre Hospital,Taian 271000,Shandong Province)
[ABSTRACT]Objective:To explore the CT manifestations and differential diagnosis of spherical pneumonia.Methods:21 cases of spherical pneumonia and 21 cases of peripheral pulmonary carcinoma were selected,both of them were confirmed by clinic and/or pathologhy.The CT findings of the cases were studied retrospectively.Results:There were different CT findings between the spherical pneumonia and the peripheral pulmonary carcinoma.Conclusion:CT examination is an effective method for distinguishing spherical pneumonia from peripheral pulmonary carcinoma.
, 百拇医药
[Key words]spherical pneumonia; tomography, X-ray computed
球形肺炎比较少见,其普通X线表现与周围型肺癌相似,因此误诊率较高。CT检查可为鉴别诊断提供更多的影像学依据。本文对我院1992~1998年间21例CT及临床资料比较完整的病例作一回顾性分析,旨在提高对本病CT表现的认识,提高诊断符合率。
1 材料与方法
1.1 病例选择:21例球形肺炎经手术、病理证实5例,余均经2~4次CT复查病灶全部消失或仅遗留少许索条影。另外选择21例经手术病理证实的周围型肺癌的CT资料作为对照。
1.2 临床资料:21例球形肺炎中,男19例,女2例。年龄37~74岁,平均年龄53岁。自发病到初次CT检查时间2 d~2月,平均26 d。就诊时主要症状有咳嗽、痰血、胸痛及发热。其中咳嗽21例(100%),痰血13例(62%),胸痛10例(48%),发热8例(43%)。16例作了痰脱落细胞及抗酸杆菌检查,均为阴性。16例作了ESR检查,8例ESR升高(50%)。所有病例均作了白细胞计数及分类,其中白细胞明显升高者仅1例,但有8例中性粒细胞分类偏高。12例作了纤维支气管镜检查,5例阴性,7例病变所属段支气管见粘膜水肿、充血,其中1例还可见脓性分泌物。2例作了CT导引下经皮肺穿刺检查,病理均为炎性改变。21例中11例CT初诊为肺癌或不能排除肺癌(52%)。
, 百拇医药
1.3 扫描方法:所有病例全部行胸部CT平扫。层厚及层距均为10 mm,部分病变局部加作2~5 mm薄层扫描。全部病例均用肺窗及纵隔窗进行观察及摄影。
2 CT表现
2.1 病变部位:两种病变均好发于双肺背侧及下叶。球形肺炎位于双下叶的12例(57%),位于上叶后段、下叶背段、后基底段及外基底段的16例(76%)。周围型肺癌位于双下叶的有13例(62%),位于上叶后段、尖后段及下叶背段、后基底段及外基底段的8例,占据整个下叶的6例,两者之和为14例(67%)。
2.2 病变大小:球形肺炎病变大小比较均一,除1例占据整个右上叶后段,最大径为9.5 cm外,其余病变最大径多在3~4.5 cm之间,平均值为3.6 cm。周围型肺癌则大小悬殊,最小病变最大径仅为1.7 cm,最大病变最大径则达8 cm,平均值为4.9 cm。
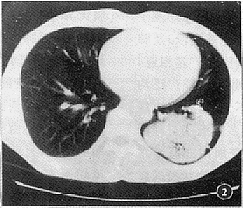
, 百拇医药 2.3 病变形态:球形肺炎多呈尖端朝向肺门的楔形密度增高影,21例中有17例(80%),不规则高密度影2例,类圆形高密度影2例。病变多位于肺野外围,21例中有20例(95%),其外缘与胸膜以广基相连,其间无正常肺组织可见(图1)。周围型肺癌则呈类圆形或卵圆形高密度影,其中类圆形12例(57%),卵圆形9例(43%)。形态均不规则。除2例巨大病灶其外缘与胸膜以广基相连外,余病灶与邻近胸膜间均部分或全部有正常肺组织相隔(图2)。
图1 左肺上叶尖后段球形肺炎,病变呈楔形,与邻近胸膜广基相连,两者间无肺组织可见,病变与肺门间有一较粗大的血管
图2 左肺下叶周围型肺癌,病灶与邻近胸膜间有肺组织相隔
2.4 病变密度:球形肺炎密度以不均匀者为多,21例中有15例(71%),其中4例见小空洞,1例为多发空洞。周围型肺癌密度则以均匀者为多,21例中有14例(66%),密度不均匀7例,其中3例见支气管充气征,1例见大的厚壁空洞。
, 百拇医药
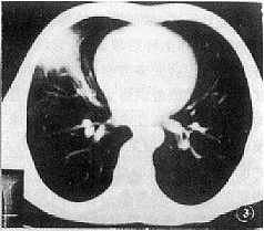
2.5 病变边缘:球形肺炎边缘模糊者12例(57%),余9例边缘清晰但不光滑(43%),其中5例见粗长毛刺(图3)。位于肺野外围的楔形病变其两侧缘较平直。周围型肺癌除2例边缘部分模糊外,余均边缘清晰但不光滑,20例见程度不等的分叶(95%),9例见多发细小毛刺(43%)。
图3 右肺中叶球形肺炎,病变为楔形,边缘见粗长毛刺,病变与肺门间有粗大血管相连
2.6 病变周围情况:球形肺炎中有13例病变与肺门之间有多条增粗的血管影相连(62%)(图4),3例病变附近有异常增多增粗的血管影。7例病变所属段及亚段支气管壁增厚(图5)。6例早期病变周围有小片状浸润影(非胸膜侧),2例晚期病变周围有索条影。周围型肺癌中9例病变邻近亦可见小片状浸润影,但局限于胸膜侧。7例血管连接征阳性,但不局限于胸膜侧,且多为单一血管。3例周围肺野有散在分布的多发小结节影(转移灶)。1例病变所属支气管呈不规则狭窄。
图4 右肺下叶外基底段球形肺炎,病变内侧肺野内见片状浸润影,病变与肺门间有多条血管相连
, 百拇医药
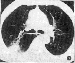
图5 右上叶后段球形肺炎,亚段及次亚段支气管壁均匀增厚
2.7 胸膜改变:球形肺炎中20例邻近胸膜呈广泛均匀性增厚(95%),但无局限性结节(图6)。21例周围型肺癌中10例胸膜凹陷征阳性(48%)。3例见胸膜不均匀增厚,其中2例有局限性小结节形成(图7)。
图6 左上叶舌段球形肺炎,病变与邻近胸膜以广基相连,胸膜广泛均匀性增厚
图7 左下叶背段周围型肺癌,邻近胸膜受累呈不规则增厚,有局限性小结节形成
2.8 淋巴结:21例球形肺炎中仅有1例1枚纵隔淋巴结最长径大于1.5 cm,但其短径不足0.5 cm。而21例周围型肺癌中10例有纵隔淋巴结肿大,5例肺门淋巴结肿大。
, 百拇医药
2.9 随访复查:除5例手术病例外,余17例均随访2~6个月,6例病变完全吸收,其余11例病变局部遗留少许纤维索条影。
3 讨论
球形肺炎是指在普通X线片上呈团块影的炎性病变,它与机化性肺炎及炎性假瘤的区别在于前者经抗炎治疗可完全吸收或仅遗留少许索条影,而后两者抗炎治疗无效[1]。球形肺炎的形成机制不甚明确,目前较有说服力的推测为:①可能是不典型大叶性肺炎或节段性肺炎的特殊表现;②可能是大叶性肺炎或节段性肺炎吸收消退过程中的一种表现[2,3]。但其确切的发病机制仍有待于进一步研究。
综上所述,球形肺炎的典型CT表现为:①好发于背侧肺段(如上叶后段、下叶背段及后、外基底段)及肺野外围。②病变多为楔形,其外缘与胸膜以广基相连,其间无正常肺组织可见,两侧缘平直,邻近胸膜广泛均匀性增厚。③病变密度不均匀,边缘不光滑,多数边缘模糊,部分病例可见粗长毛刺。④绝大多数病变与肺门之间有多条增粗的血管相连,部分病变周围亦有异常增粗的血管。病变早期周围肺野内可见小片状浸润影(非胸膜侧),吸收期可见纤维索条影。⑤病变所属支气管壁增厚,但无明显狭窄。由于管壁增厚,甚至次亚段支气管也可在普通CT图像上显示。⑥肺门及纵隔淋巴结无增大。⑦抗炎治疗后复查,病变明显吸收缩小。
, http://www.100md.com
球形肺炎主要应与周围型肺癌鉴别。球形肺炎发病年龄偏大,临床症状中多有痰中带血(本组病例占62%),影像学表现又不同于普通炎症而呈团块影,因此容易误诊为肺癌,我们认为两者的鉴别依据主要有以下几点:①球形肺炎多为楔形而周围型肺癌多呈类圆形或卵圆形。②球形肺炎边缘多模糊有粗长毛刺,两侧缘平直,外缘与邻近胸膜以广基相连。周围型肺癌边缘清晰,分叶征明显,有细小毛刺。除极少数巨大病变外,病灶外缘与邻近胸膜部分或全部有正常肺组织相隔。常见胸膜凹陷征。③球形肺炎周围肺野(非胸膜侧)可见小片状浸润影及纤维索条影。周围型肺癌邻近肺野的片状浸润影局限于胸膜侧。部分病例可见多发结节性转移灶。④球形肺炎病变所属段及亚段支气管壁常见均匀性增厚,但无明显狭窄。纤支镜检查可见病变所属支气管粘膜充血、水肿。周围型肺癌如累及支气管则主要表现为受累支气管不规则狭窄。纤支镜检查受累支气管可见新生物。⑤绝大多数球形肺炎病变与肺门之间有多条粗大血管相连。周围型肺癌虽然亦可见血管连接征,但与之连接的血管不局限于肺门侧,且多为一条血管。⑥绝大多数球形肺炎累及邻近胸膜,呈广泛均匀性增厚,无局限性结节形成。周围型肺癌邻近胸膜很少受累,如有累及则多呈不规则增厚,可见局限性结节形成。⑦球形肺炎极少有肺门及纵隔淋巴结增大。周围型肺癌则比较多见。⑧抗炎治疗随访复查,球形肺炎多有明显缩小,周围型肺癌则无变化[4,5]。
, 百拇医药
球形肺炎有时还需与肺内良性肿瘤和结核球鉴别。肺良性肿瘤多形态规则,边缘光滑,邻近肺野及胸膜无异常改变。结核球边缘清晰锐利,密度较高,多有钙化,邻近肺野有卫星病灶或见纤维索条影及肺纹理纠集等慢性纤维化改变。两者与球形肺炎不难鉴别。
球形肺炎的普通X线表现与周围型肺癌有很多相似之处,鉴别诊断比较困难。两者的CT表现则有很大不同,这是由于CT检查为体层扫描,减少了组织之间的重叠,且密度分辨率很高,能清楚显示球形肺炎的确切形态、病灶边缘、病灶邻近肺野和胸膜改变及肺门、纵隔淋巴结的情况,可为鉴别诊断提供更多的有用信息。因此,CT检查是鉴别球形肺炎和周围型肺癌的有效手段。
作者简介:唐秀贞(1953-),女,山东肥城人,副主任医师,泰山医学院医疗系毕业,学士学位,在省级以上专业杂志发表论文10篇,重点研究肺内结节性病变CT诊断及鉴别。
参考文献
, http://www.100md.com
[1]蔡祖龙,郝敬明,郭天舜,等.球形肺炎的CT诊断.中华放射学杂志,1996,30(8):528-531.
[2]赵善生,杨茂金,张 谦,等.肺炎性肿块的X线诊断.实用放射学杂志,1992,8(9):524-527.
[3]蔡超达.急性球形肺炎的X线诊断(附25例临床与X线分析).实用放射学杂志,1992,8(9):541-544.
[4]游江林,孔昭佩,王 绪,等.球形肺炎的X线诊断与鉴别.临床放射学杂志,1990,9(3):122-123.
[5]任德印,田 军.球形肺炎的X线诊断(附18例分析).临床放射学杂志,1985,4(5):301-303.
收稿日期:1999-02-09, 百拇医药
单位:山东省泰安市中心医院CT室,山东 泰安 271000
关键词:球形肺炎;体层摄影术,X线计算机
实用放射学杂志000407 [摘要]目的:探讨球形肺炎的CT表现及其鉴别诊断。方法:选择21例经临床或病理证实的球形肺炎及21例经手术病理证实的周围型肺癌,将其CT资料进行对比分析。结果:球形肺炎与周围型肺癌CT表现有明显不同。结论:CT检查是鉴别球形肺炎与周围型肺癌的有效手段。
[中图分类号]R563.1;R814.42 [文献标识码]A [文章编号]1002-1671(2000)04-0212-03
CT Manifestations of Spherical Pneumonia
, 百拇医药
TANG Xiu-zhen,WU Ke,ZHANG You-jun
(Departmoent of CT,Taian Centre Hospital,Taian 271000,Shandong Province)
[ABSTRACT]Objective:To explore the CT manifestations and differential diagnosis of spherical pneumonia.Methods:21 cases of spherical pneumonia and 21 cases of peripheral pulmonary carcinoma were selected,both of them were confirmed by clinic and/or pathologhy.The CT findings of the cases were studied retrospectively.Results:There were different CT findings between the spherical pneumonia and the peripheral pulmonary carcinoma.Conclusion:CT examination is an effective method for distinguishing spherical pneumonia from peripheral pulmonary carcinoma.
, 百拇医药
[Key words]spherical pneumonia; tomography, X-ray computed
球形肺炎比较少见,其普通X线表现与周围型肺癌相似,因此误诊率较高。CT检查可为鉴别诊断提供更多的影像学依据。本文对我院1992~1998年间21例CT及临床资料比较完整的病例作一回顾性分析,旨在提高对本病CT表现的认识,提高诊断符合率。
1 材料与方法
1.1 病例选择:21例球形肺炎经手术、病理证实5例,余均经2~4次CT复查病灶全部消失或仅遗留少许索条影。另外选择21例经手术病理证实的周围型肺癌的CT资料作为对照。
1.2 临床资料:21例球形肺炎中,男19例,女2例。年龄37~74岁,平均年龄53岁。自发病到初次CT检查时间2 d~2月,平均26 d。就诊时主要症状有咳嗽、痰血、胸痛及发热。其中咳嗽21例(100%),痰血13例(62%),胸痛10例(48%),发热8例(43%)。16例作了痰脱落细胞及抗酸杆菌检查,均为阴性。16例作了ESR检查,8例ESR升高(50%)。所有病例均作了白细胞计数及分类,其中白细胞明显升高者仅1例,但有8例中性粒细胞分类偏高。12例作了纤维支气管镜检查,5例阴性,7例病变所属段支气管见粘膜水肿、充血,其中1例还可见脓性分泌物。2例作了CT导引下经皮肺穿刺检查,病理均为炎性改变。21例中11例CT初诊为肺癌或不能排除肺癌(52%)。
, 百拇医药
1.3 扫描方法:所有病例全部行胸部CT平扫。层厚及层距均为10 mm,部分病变局部加作2~5 mm薄层扫描。全部病例均用肺窗及纵隔窗进行观察及摄影。
2 CT表现
2.1 病变部位:两种病变均好发于双肺背侧及下叶。球形肺炎位于双下叶的12例(57%),位于上叶后段、下叶背段、后基底段及外基底段的16例(76%)。周围型肺癌位于双下叶的有13例(62%),位于上叶后段、尖后段及下叶背段、后基底段及外基底段的8例,占据整个下叶的6例,两者之和为14例(67%)。
2.2 病变大小:球形肺炎病变大小比较均一,除1例占据整个右上叶后段,最大径为9.5 cm外,其余病变最大径多在3~4.5 cm之间,平均值为3.6 cm。周围型肺癌则大小悬殊,最小病变最大径仅为1.7 cm,最大病变最大径则达8 cm,平均值为4.9 cm。
, 百拇医药 2.3 病变形态:球形肺炎多呈尖端朝向肺门的楔形密度增高影,21例中有17例(80%),不规则高密度影2例,类圆形高密度影2例。病变多位于肺野外围,21例中有20例(95%),其外缘与胸膜以广基相连,其间无正常肺组织可见(图1)。周围型肺癌则呈类圆形或卵圆形高密度影,其中类圆形12例(57%),卵圆形9例(43%)。形态均不规则。除2例巨大病灶其外缘与胸膜以广基相连外,余病灶与邻近胸膜间均部分或全部有正常肺组织相隔(图2)。
图1 左肺上叶尖后段球形肺炎,病变呈楔形,与邻近胸膜广基相连,两者间无肺组织可见,病变与肺门间有一较粗大的血管
图2 左肺下叶周围型肺癌,病灶与邻近胸膜间有肺组织相隔
2.4 病变密度:球形肺炎密度以不均匀者为多,21例中有15例(71%),其中4例见小空洞,1例为多发空洞。周围型肺癌密度则以均匀者为多,21例中有14例(66%),密度不均匀7例,其中3例见支气管充气征,1例见大的厚壁空洞。
, 百拇医药
2.5 病变边缘:球形肺炎边缘模糊者12例(57%),余9例边缘清晰但不光滑(43%),其中5例见粗长毛刺(图3)。位于肺野外围的楔形病变其两侧缘较平直。周围型肺癌除2例边缘部分模糊外,余均边缘清晰但不光滑,20例见程度不等的分叶(95%),9例见多发细小毛刺(43%)。
图3 右肺中叶球形肺炎,病变为楔形,边缘见粗长毛刺,病变与肺门间有粗大血管相连
2.6 病变周围情况:球形肺炎中有13例病变与肺门之间有多条增粗的血管影相连(62%)(图4),3例病变附近有异常增多增粗的血管影。7例病变所属段及亚段支气管壁增厚(图5)。6例早期病变周围有小片状浸润影(非胸膜侧),2例晚期病变周围有索条影。周围型肺癌中9例病变邻近亦可见小片状浸润影,但局限于胸膜侧。7例血管连接征阳性,但不局限于胸膜侧,且多为单一血管。3例周围肺野有散在分布的多发小结节影(转移灶)。1例病变所属支气管呈不规则狭窄。
, 百拇医药
图5 右上叶后段球形肺炎,亚段及次亚段支气管壁均匀增厚
2.7 胸膜改变:球形肺炎中20例邻近胸膜呈广泛均匀性增厚(95%),但无局限性结节(图6)。21例周围型肺癌中10例胸膜凹陷征阳性(48%)。3例见胸膜不均匀增厚,其中2例有局限性小结节形成(图7)。
图6 左上叶舌段球形肺炎,病变与邻近胸膜以广基相连,胸膜广泛均匀性增厚
图7 左下叶背段周围型肺癌,邻近胸膜受累呈不规则增厚,有局限性小结节形成
2.8 淋巴结:21例球形肺炎中仅有1例1枚纵隔淋巴结最长径大于1.5 cm,但其短径不足0.5 cm。而21例周围型肺癌中10例有纵隔淋巴结肿大,5例肺门淋巴结肿大。
, 百拇医药
2.9 随访复查:除5例手术病例外,余17例均随访2~6个月,6例病变完全吸收,其余11例病变局部遗留少许纤维索条影。
3 讨论
球形肺炎是指在普通X线片上呈团块影的炎性病变,它与机化性肺炎及炎性假瘤的区别在于前者经抗炎治疗可完全吸收或仅遗留少许索条影,而后两者抗炎治疗无效[1]。球形肺炎的形成机制不甚明确,目前较有说服力的推测为:①可能是不典型大叶性肺炎或节段性肺炎的特殊表现;②可能是大叶性肺炎或节段性肺炎吸收消退过程中的一种表现[2,3]。但其确切的发病机制仍有待于进一步研究。
综上所述,球形肺炎的典型CT表现为:①好发于背侧肺段(如上叶后段、下叶背段及后、外基底段)及肺野外围。②病变多为楔形,其外缘与胸膜以广基相连,其间无正常肺组织可见,两侧缘平直,邻近胸膜广泛均匀性增厚。③病变密度不均匀,边缘不光滑,多数边缘模糊,部分病例可见粗长毛刺。④绝大多数病变与肺门之间有多条增粗的血管相连,部分病变周围亦有异常增粗的血管。病变早期周围肺野内可见小片状浸润影(非胸膜侧),吸收期可见纤维索条影。⑤病变所属支气管壁增厚,但无明显狭窄。由于管壁增厚,甚至次亚段支气管也可在普通CT图像上显示。⑥肺门及纵隔淋巴结无增大。⑦抗炎治疗后复查,病变明显吸收缩小。
, http://www.100md.com
球形肺炎主要应与周围型肺癌鉴别。球形肺炎发病年龄偏大,临床症状中多有痰中带血(本组病例占62%),影像学表现又不同于普通炎症而呈团块影,因此容易误诊为肺癌,我们认为两者的鉴别依据主要有以下几点:①球形肺炎多为楔形而周围型肺癌多呈类圆形或卵圆形。②球形肺炎边缘多模糊有粗长毛刺,两侧缘平直,外缘与邻近胸膜以广基相连。周围型肺癌边缘清晰,分叶征明显,有细小毛刺。除极少数巨大病变外,病灶外缘与邻近胸膜部分或全部有正常肺组织相隔。常见胸膜凹陷征。③球形肺炎周围肺野(非胸膜侧)可见小片状浸润影及纤维索条影。周围型肺癌邻近肺野的片状浸润影局限于胸膜侧。部分病例可见多发结节性转移灶。④球形肺炎病变所属段及亚段支气管壁常见均匀性增厚,但无明显狭窄。纤支镜检查可见病变所属支气管粘膜充血、水肿。周围型肺癌如累及支气管则主要表现为受累支气管不规则狭窄。纤支镜检查受累支气管可见新生物。⑤绝大多数球形肺炎病变与肺门之间有多条粗大血管相连。周围型肺癌虽然亦可见血管连接征,但与之连接的血管不局限于肺门侧,且多为一条血管。⑥绝大多数球形肺炎累及邻近胸膜,呈广泛均匀性增厚,无局限性结节形成。周围型肺癌邻近胸膜很少受累,如有累及则多呈不规则增厚,可见局限性结节形成。⑦球形肺炎极少有肺门及纵隔淋巴结增大。周围型肺癌则比较多见。⑧抗炎治疗随访复查,球形肺炎多有明显缩小,周围型肺癌则无变化[4,5]。
, 百拇医药
球形肺炎有时还需与肺内良性肿瘤和结核球鉴别。肺良性肿瘤多形态规则,边缘光滑,邻近肺野及胸膜无异常改变。结核球边缘清晰锐利,密度较高,多有钙化,邻近肺野有卫星病灶或见纤维索条影及肺纹理纠集等慢性纤维化改变。两者与球形肺炎不难鉴别。
球形肺炎的普通X线表现与周围型肺癌有很多相似之处,鉴别诊断比较困难。两者的CT表现则有很大不同,这是由于CT检查为体层扫描,减少了组织之间的重叠,且密度分辨率很高,能清楚显示球形肺炎的确切形态、病灶边缘、病灶邻近肺野和胸膜改变及肺门、纵隔淋巴结的情况,可为鉴别诊断提供更多的有用信息。因此,CT检查是鉴别球形肺炎和周围型肺癌的有效手段。
作者简介:唐秀贞(1953-),女,山东肥城人,副主任医师,泰山医学院医疗系毕业,学士学位,在省级以上专业杂志发表论文10篇,重点研究肺内结节性病变CT诊断及鉴别。
参考文献
, http://www.100md.com
[1]蔡祖龙,郝敬明,郭天舜,等.球形肺炎的CT诊断.中华放射学杂志,1996,30(8):528-531.
[2]赵善生,杨茂金,张 谦,等.肺炎性肿块的X线诊断.实用放射学杂志,1992,8(9):524-527.
[3]蔡超达.急性球形肺炎的X线诊断(附25例临床与X线分析).实用放射学杂志,1992,8(9):541-544.
[4]游江林,孔昭佩,王 绪,等.球形肺炎的X线诊断与鉴别.临床放射学杂志,1990,9(3):122-123.
[5]任德印,田 军.球形肺炎的X线诊断(附18例分析).临床放射学杂志,1985,4(5):301-303.
收稿日期:1999-02-09, 百拇医药