CT诊断气肿性肾盂肾炎1例报告
作者:李海丰 董宇均 孙君翔 罗超 刘萍
单位:湖北省丹江口市一医CT室 441900
关键词:
实用放射学杂志000436
[中图分类号]R692.7;R814.42
[文章编号]1002-1671(2000)04-0251-02
One Case:CT Diagnosis of Pneumopylonephritis
病人,女,51岁,以“糖尿病,泌尿系感染”收入院。查体:右上腹可触及约12 cm×12 cm包块,质中等硬度,表面光滑;右肾区压痛及较明显叩击痛。临床经抗感染、降糖、血液透析等相关治疗10余天,疗效不佳。
1 实验室检查
血白细胞18.6×109/L,中性91%;尿糖(+++),尿白细胞(++);血糖19.6 mmol/L。
B超提示右肾炎症并积水。
2 CT扫描
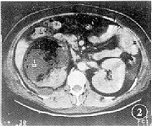
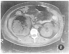
平扫示右侧肾影明显增大变形,肾实质密度不均匀,示大片状低密度积液影及点、片状更低密度积气影,可见液平,CT值分别为17 HU、-1000 HU(图1);肾脏边缘毛糙,肾筋膜增厚,肾周脂肪间隙模糊,示液体密度影填充。左肾大小、形态未见明显异常。增强检查,右肾门平面上内侧肾实质轻度强化,所扫低密度影无强化(图2)。
图1 CT平扫示右肾区有一12 cm×12 cm类圆形包块影,后内侧为肾影,周围为混杂密度影,其中有气体。左肾大小、形态无明显异常
图2 增强扫描示右肾实质轻度强化,周围混杂密度影无强化
3 手术所见
右肾体积明显增大,肾周组织呈炎性改变,肾被脂肪囊包裹约为13 cm×13 cm×16 cm大小包块,切开脂肪囊见有大量脓液、坏死物、及少量气体溢出,吸出白色脓液约1000 ml,右肾质脆,已变性坏死,有恶臭味,肾周为脓液包裹。
4 病理诊断
右肾间质弥漫性化脓性炎症。
5 讨论
查阅国内文献,有关气肿性肾盂肾炎的CT报道仅2例[1,2]。本病临床表现为严重的败血症,死亡率高达50%,常有糖尿病、尿路感染和免疫抑制剂治疗史。致病菌主要为大肠杆菌。因肾脏炎性缺血引起病菌繁殖,使葡萄糖酵解为乳酸及二氧化碳(气体)。CT表现为肾外形增大,肾实质多处破坏,肾功能减退或消失,肾内及肾周弥漫性气体或低密度软组织影合并存在,肾周及肾旁筋膜增厚[3]。本病具有糖尿病病史,严重的败血症及典型的CT表现和术后病理诊断,均符合本病的诊断。B超在检查该病人时,因包块内气体的干扰,未能作出明确诊断;CT能直接显示肾实质的破坏及肾内、肾周气体等特征性改变,为目前诊断该病最为有效方法之一。
参考文献
[1]张伯会.CT诊断急性气肿性肾盂肾炎1例.中华放射学杂志,1998,32:572.
[2]陈永辉,马长江,原苏民.CT诊断气肿性肾盂肾炎1例.临床放射学杂志,1999,18:406.
[3]周康荣.腹部CT.上海:上海医科大学出版社,1994.188., 百拇医药
单位:湖北省丹江口市一医CT室 441900
关键词:
实用放射学杂志000436
[中图分类号]R692.7;R814.42
[文章编号]1002-1671(2000)04-0251-02
One Case:CT Diagnosis of Pneumopylonephritis
病人,女,51岁,以“糖尿病,泌尿系感染”收入院。查体:右上腹可触及约12 cm×12 cm包块,质中等硬度,表面光滑;右肾区压痛及较明显叩击痛。临床经抗感染、降糖、血液透析等相关治疗10余天,疗效不佳。
1 实验室检查
血白细胞18.6×109/L,中性91%;尿糖(+++),尿白细胞(++);血糖19.6 mmol/L。
B超提示右肾炎症并积水。
2 CT扫描
平扫示右侧肾影明显增大变形,肾实质密度不均匀,示大片状低密度积液影及点、片状更低密度积气影,可见液平,CT值分别为17 HU、-1000 HU(图1);肾脏边缘毛糙,肾筋膜增厚,肾周脂肪间隙模糊,示液体密度影填充。左肾大小、形态未见明显异常。增强检查,右肾门平面上内侧肾实质轻度强化,所扫低密度影无强化(图2)。
图2 增强扫描示右肾实质轻度强化,周围混杂密度影无强化
3 手术所见
右肾体积明显增大,肾周组织呈炎性改变,肾被脂肪囊包裹约为13 cm×13 cm×16 cm大小包块,切开脂肪囊见有大量脓液、坏死物、及少量气体溢出,吸出白色脓液约1000 ml,右肾质脆,已变性坏死,有恶臭味,肾周为脓液包裹。
4 病理诊断
右肾间质弥漫性化脓性炎症。
5 讨论
查阅国内文献,有关气肿性肾盂肾炎的CT报道仅2例[1,2]。本病临床表现为严重的败血症,死亡率高达50%,常有糖尿病、尿路感染和免疫抑制剂治疗史。致病菌主要为大肠杆菌。因肾脏炎性缺血引起病菌繁殖,使葡萄糖酵解为乳酸及二氧化碳(气体)。CT表现为肾外形增大,肾实质多处破坏,肾功能减退或消失,肾内及肾周弥漫性气体或低密度软组织影合并存在,肾周及肾旁筋膜增厚[3]。本病具有糖尿病病史,严重的败血症及典型的CT表现和术后病理诊断,均符合本病的诊断。B超在检查该病人时,因包块内气体的干扰,未能作出明确诊断;CT能直接显示肾实质的破坏及肾内、肾周气体等特征性改变,为目前诊断该病最为有效方法之一。
参考文献
[1]张伯会.CT诊断急性气肿性肾盂肾炎1例.中华放射学杂志,1998,32:572.
[2]陈永辉,马长江,原苏民.CT诊断气肿性肾盂肾炎1例.临床放射学杂志,1999,18:406.
[3]周康荣.腹部CT.上海:上海医科大学出版社,1994.188., 百拇医药
参见:首页 > 医疗版 > 疾病专题 > 肾脏内科 > 尿路感染 > 肾盂肾炎