基底动脉延长扩张症CT表现2例报告
作者:闫敏 齐波 纪祥 王小红
单位:吉林市吉化集团公司总医院CT科 132021
关键词:
实用放射学杂志000430
[中图分类号]R743.4;R814.42
[文章编号]1002-1671(2000)04-0217-01
Two Cases:CT Diagnosis of Disorder of Prolong and Expansion of Basilar Artery
基底动脉延长扩张症较少见,其CT表现文献报道亦较少,现将我院遇到的2例报告如下。
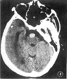
例1 女性,64岁,因头晕、呕吐伴流涎1 d就诊。既往高血压病史10余年。体检除右侧周围性面瘫外,余无阳性所见。头部CT增强加薄层扫描,于脑桥前池内见一均匀强化的血管影,为异常扩张的基底动脉,直径达1.5 cm(图1)。余脑组织未见异常。CT诊断基底动脉异常扩张症。经外院脑血管造影及DSA检查证实。
图1 增强扫描,见基底动脉异常扩张,直径达1.5 cm
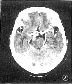
例2 女性,70岁,因头晕伴左面部麻木1周来诊。既往高血压病史20年。体检无阳性所见。头部CT增强扫描,见基底动脉异常扩张延长,达鞍上池层面,动脉直径达1.0 cm(图2,3)。CT诊断:基底动脉延长扩张症。
图2 增强扫描,见基底动脉延长、扩张,直径达1.0 cm
图3 与图2同一病例,较图2上一层面,见迂曲延长的基底动脉达鞍上池层面
讨论:基底动脉延长扩张症,是指该动脉过度延长与扩张,其最常见的病因为高血压脑动脉硬化所致,发病年龄在50~70岁。虽然病变的动脉不易破裂,但因其扩张而使脑干缺血或受压而产生基底动脉供血不足和颅神经功能障碍等临床表现。本病临床误诊率高,而CT检查是诊断该疾病最安全、有效的手段,尤其是增强加薄层扫描,确诊率高。可避免单纯平扫因岩锥骨伪影造成的漏诊。本病CT诊断的标准是凡基底动脉超出斜坡或鞍背的范围,或基底动脉分叉点超出了鞍上池层面,即可诊断为过度延长,基底动脉直径大于4.5 mm,即可诊断为扩张。, 百拇医药
单位:吉林市吉化集团公司总医院CT科 132021
关键词:
实用放射学杂志000430
[中图分类号]R743.4;R814.42
[文章编号]1002-1671(2000)04-0217-01
Two Cases:CT Diagnosis of Disorder of Prolong and Expansion of Basilar Artery
基底动脉延长扩张症较少见,其CT表现文献报道亦较少,现将我院遇到的2例报告如下。
例1 女性,64岁,因头晕、呕吐伴流涎1 d就诊。既往高血压病史10余年。体检除右侧周围性面瘫外,余无阳性所见。头部CT增强加薄层扫描,于脑桥前池内见一均匀强化的血管影,为异常扩张的基底动脉,直径达1.5 cm(图1)。余脑组织未见异常。CT诊断基底动脉异常扩张症。经外院脑血管造影及DSA检查证实。
图1 增强扫描,见基底动脉异常扩张,直径达1.5 cm
例2 女性,70岁,因头晕伴左面部麻木1周来诊。既往高血压病史20年。体检无阳性所见。头部CT增强扫描,见基底动脉异常扩张延长,达鞍上池层面,动脉直径达1.0 cm(图2,3)。CT诊断:基底动脉延长扩张症。
图2 增强扫描,见基底动脉延长、扩张,直径达1.0 cm
图3 与图2同一病例,较图2上一层面,见迂曲延长的基底动脉达鞍上池层面
讨论:基底动脉延长扩张症,是指该动脉过度延长与扩张,其最常见的病因为高血压脑动脉硬化所致,发病年龄在50~70岁。虽然病变的动脉不易破裂,但因其扩张而使脑干缺血或受压而产生基底动脉供血不足和颅神经功能障碍等临床表现。本病临床误诊率高,而CT检查是诊断该疾病最安全、有效的手段,尤其是增强加薄层扫描,确诊率高。可避免单纯平扫因岩锥骨伪影造成的漏诊。本病CT诊断的标准是凡基底动脉超出斜坡或鞍背的范围,或基底动脉分叉点超出了鞍上池层面,即可诊断为过度延长,基底动脉直径大于4.5 mm,即可诊断为扩张。, 百拇医药