周围型非小细胞肺癌CT征象与增殖细胞核抗原表达的相关性研究
作者:周晓琳 曾纪珍 赵欣 周建华 夏宇 陈友良 朱智明
单位:周晓琳(湖南省长沙市一医院CT室,湖南 长沙 410005);曾纪珍 周建华 夏宇 陈友良 朱智明(湖南医科大学湘雅医院放射学教研室);赵欣(湖南医科大学病理学教研室)
关键词:断层摄影术;X线计算机;肺肿瘤;非小细胞肺癌;PCNA;预后
实用放射学杂志000603 [摘要] 目的:探讨周围型非小细胞肺癌(NSCLC)的CT征象与增殖细胞核抗原(PCNA)表达的相关性。方法:对72例经手术病理证实的周围型NSCLC病例术前进行CT扫描,并对肿瘤标本用SP法进行PCNA免疫组化染色,用图像分析仪测量肿瘤细胞核PCNA阳性表达分布面积。结果:(1)CT显示瘤体最大直径>3 cm者,深分叶征、棘状突起、坏死和空洞及纵隔淋巴结肿大者与PCNA阳性表达面积升高有关。(2)瘤体呈周围强化形的肺癌PCNA阳性表达面积高于瘤体呈完全强化形的肺癌。(3)肺癌的PCNA阳性表达面积与肿瘤分化程度呈负相关。结论:周围型NSCLC的CT征象瘤体>3 cm,深分叶征、棘状突起、坏死和空洞及纵隔淋巴结肿大与PCNA阳性表达面积密切相关,具有更高的恶性程度,可作为推测预后的指标。
, 百拇医药
[中图分类号]R734.2 [文献标识码] A
[文章编号]1002-1671(2000)06-0331-05
Correlative Study of CT Appearance and PCNA Expression in Peripheral Non-small cell Lung Cancer
ZHOU Xiao-ling,ZENG Ji-zeng,ZHAO Xin,ZHOU Jian-hua,XIA Yu,CHEN You-liang,ZHU Zhi-ming
(Department of CT,Changsha Municpal No.1 Hospital,Changsha 410005)
[ABSTRACT] Objective:To study correlation of CT appearance and proliferation cell nuclear antigen(PCNA)expression in peripheral non-small cell lung cancer(NSCLC).Methods:73 cases of peripheral NSCLC confirmed by operation and pathology were examined with computed tomography before operation.The presence of PCNA was assessed immunohistochemically in paraffin embedded tumor samples with the streptavidin-peroxidase conjugated method,PCNA expression was determined by imaging analyzer and the parameters of distribution area were calculated.Results:(1)PCNA expression of tumors with diamenter over 3 cm was significantly higher than those 3 cm or less 3 cm;and higher expression with deep lobulation or spiculate protuberance,necrosis or cavity and mediastinal lymph node enlargement than those without.(2)there were significant different PCNA expression after administration of contrast material in peripheral NSCLC with peripheral enhancement form complete enhancement.(3)PCNA expression was correlated with the degree of tumor cell differentiaton.Conclusion:The CT appearance of peripheral NSCLC of tumors with diamenter over 3 cm,deep lobulation,spiculate protuberance,necrosis or cavityy and mediastinal lymph node enlargement closely correlate with PCNA expression,which indicate higher degree of malignancy and infere a poor prognosis.
, 百拇医药
[Key Words]:tomography,X-ray computed ;lung neoplasmas,non-small cell lung cancer ;proliferating cell nuclear antigen
增殖细胞核抗原(proliferation cell nuclear antigen,PCNA)也称周期蛋白(cyclin)是近年来发现的反应细胞增殖的一种标记物[1],其表达程度能反映肺肿瘤的增殖能力及恶性程度,作为临床与病理评价肺肿瘤生物学行为及预后的指标[2]。我们对周围型非小细胞肺癌(non-small cell lung cancer.NSCLC)的CT征象与PCNA阳性表达面积间的相关性进行了初步研究,现报告如下。
1 材料与方法
1.1 搜集1995-03~1998-11月湘雅医院行术前CT扫描并经手术、病理证实,且术前未行放疗或化疗的73例周围型NSCLC。其中男性52例,女性21例。年龄21~74岁,平均年龄48岁。病理组织学类型:腺癌31例,鳞癌29例,腺鳞癌8例,其它5例。病理分级:高分化22例,中分化25例,低分化26例。
, http://www.100md.com
1.2 CT扫描采用Elscint 2400型CT机。先以10 mm层厚、层距平扫,(肺门区5 mm层厚)。瘤体>3 cm,用5 mm层厚;瘤体≤3 cm,用1.5~2.5 mm层厚。扫描后对一系列薄层CT图像行高分辨率骨算法重建,以16~24 cm像野(FOV)靶重建。图像矩阵用512×512,扫描条件为120 kV、250 mA,2.1 s。其中对15例平扫后,以病灶中心层面行动态增强扫描,用60%泛影葡胺100 ml,以2 ml/s速率团注后,即在1 min、2 min、3 min、4 min、5 min分别扫描。为避免吸气不均的上、下移动,每次扫描3个层面(中心层面及上、下层面)。测量CT值时应选择与平扫时中心层面相符层面,参考文献[3]测量范围应包括结节短径60%的圆形区域。若结节内有明显低密度区,应测量外围的CT值。强化程度:以增强扫描最大CT值减去平扫CT值之余数表示,余数≤ 10HU为无强化。强化形态:肿块全部强化为完全强化,肿块中央区60%以外区域强化为周围强化,肿块中央区60%区域强化为中央强化,肿块边缘环状强化为包膜强化。强化曲线:以每个时间点的最大CT值描绘时间一密度曲线。用肺窗(WW 1200~1600 HU,WL-400~-600 HU)观察肿瘤边缘征象及周围肺野的变化。用纵隔窗(WW 300~350 HU,WL 0~35 HU)观察肿瘤边缘征象及纵隔淋巴结情况。
, 百拇医药
1.3 73例标本均为10%福尔马林固定,石蜡包埋组织。以5μm层厚,连续切片2张(分别进行HE染色和免疫组化SP法染色)。组织学分类,参照WHO国际肺癌组织学分类建议[4]。免疫组化染色采用链霉菌抗生物素蛋白—过氧化酶连接法(streptavidin peroxidase,SP法),对瘤细胞PCNA进行检测。PCNA抗体购于福州迈新公司。阴性对照用PBS液替代第一抗体,阳性对照由迈新公司提供细胞染色阳性片,正常对照为支气管上皮细胞及肺泡组织,病种对照作了炎性假瘤和结核瘤。
PCNA染色位于细胞核,呈棕黄色颗粒或弥散状,背景清晰。染色程度计算每例PCNA阳性表达分布面积(以下简称表达面积),利用MIAS-300型图像分析仪对肿瘤细胞核PCNA表达面积进行测量。每例标本随机检测5个高倍视野,每个高倍视野范围为:14450 μm2。组织细胞图像通过电视摄像系统扫描,显示在监视器屏幕上,分别测量每个高倍视野PCNA表达面积,取其平均值表示PCNA表达的相对含量。
, 百拇医药
1.4 CT征象的评定标准,分叶征的评定参照文献[5],纵隔淋巴结,以淋巴结短径≥10 mm为判定标准。
1.5 统计学方法采用Statistical package for the social science(SPSS)统计软件作均数及标准差计算和t检验,方差分析及直线相关性分析并绘图。
2 结果
2.1 正常肺组织与周围型NSCLC之间PCNA表达面积的比较:6例正常肺组织平均PCNA表达面积为48.66±10.16 μm2;73例周围型NSCLC平均PCNA表达面积9293.25±3574.52 μm2,两者之间比较有非常显著的差异(P<0.001;t=6.298)(图1,2)。
, http://www.100md.com
图1 正常人肺。免疫组化学SP法染色,高倍镜(×200)观察,可见PCNA阳性细胞,核阳性,其PCNA表达面积为40.07 μm2
图2 右下肺腺癌。免疫组化学SP法染色,高倍镜(×400)观察,可见PCNA阳性肿瘤细胞,核阳性,其表达面积为12991.14 μm2
2.2 周围型NSCLC病理分型及分级与PCNA表达面积的关系:31例腺癌平均PCNA表达面积为9041.10±4131.80 μm2,29例鳞癌平均PCNA表达面积9272.73±3231.66 μm2,8例腺鳞癌10405.99±3547.46 μm2,5例其它肺癌9201±1940.09 μm2,肺腺癌与鳞癌两者PCNA表达面积比较,经t检验,提示周围型NSCLC的PCNA表达面积与组织学类型无关(P>0.05)。22例高分化肺癌平均PCNA表达面积为6288.71±4548.30 μm2,25例中分化肺癌平均PCNA表达面积为9254.24±3065.66 μm2,26例低分化肺癌平均PCNA表达面积为12327.20±1410.35 μm2,经方差分析,提示周围型NSCLC的PCNA表达面积与细胞分化程度呈负相关(三组总体均数比较:P<0.0001,组间两两比较P<0.0001)。周围型NSCLC的CT征象与PCNA表达面积的关系,瘤体大小,深分叶征,棘状突起,坏死和空洞及纵隔淋巴结肿大与PCNA表达面积相关,而与毛刺征及含气支气管征无密切相关(附表)。
, 百拇医药
附表 CT征象与PCNA表达面积的关系 CT征象
例数
PCNA表达面积(
±s)μm2
P值
1.瘤体>3 cm
瘤体≤3 cm
2.有深分叶征
无深分叶征
3.有棘状突起
无棘状突起
, 百拇医药 4.有坏死和空洞
无坏死和空洞
5.有纵隔淋巴结肿大
无纵隔淋巴结肿大
6.有含气支气管征
无含气支气管征
7.有毛刺征
无毛刺征
44
29
44
29
41
, http://www.100md.com
32
21
52
30
43
20
53
40
33
11439.10±1851.49
5800.67±2914.68
11194.82±2035.77
6849.70±3571.86
, 百拇医药
10927.30±2266.16
7900.46±3999.07
11520.0±1982.37
8533.69±3533.12
11738.4±1835.35
7496.84±3369.11
9738.79±3769.66
9368.46±3379.28
9359.92±3167.91
9186.17±4087.22
, http://www.100md.com
P<0.0001
(t=10.118)
P<0.0001
(t=6.615)
P<0.0005
(t=4.043)
P<0.0005
(t=3.608)
P<0.0001
(t=6.462)
P>0.05
(t=0.405)
, 百拇医药
P>0.05
(t=0.2001)
图3 肿瘤强化程度与PCNA表达面积的关系
图4 肿瘤增强扫描时间——密度动态曲线
15例进行了动态增强扫描者平均PCNA表达面积9355.84±3126.21 μm2,与正常人平均PCNA表达面积48.66±10.16 μm2比较,有非常显著性差异(P<0.0001 t=11.531)。增强程度与PCNA表达面积无密切相关(P>0.05,见图3)。10例周围强化型平均PCNA表达面积为11943.42±680.96 μm2与5例完全强化型平均PCNA表达面积为8062.05±3068.12 μm2比较,有非常显著性差异(P<0.01,t=2.745)。肿瘤强化峰值均在2 min以内,达峰值后曲线持续下降(图4)。
, http://www.100md.com
3 讨论
PCNA是真核细胞DNA合成所必需的一种分子量为36KD的核蛋白,它是DNA聚合酶的辅助蛋白,在静止期细胞含量很少,G1晚期开始增加,S期达到高峰,G2期和M期明显下降,对DNA复制的调节起重要作用。肿瘤恶性程度越高,肿瘤增殖细胞群增殖越明显,核内PCNA的表达程度就越高。肿瘤细胞核PCNA表达程度是评价细胞增殖状态和恶性程度的主要指标[2]。利用图像分析系统测量肿瘤PCNA阳性表达分布面积来表示肿瘤的PCNA表达程度,其结果客观可靠,为评价PCNA在判断肿瘤的恶性程度以及预后方面所起的作用提供了科学而实用的方法[6]。我们通过研究周围型NSCLC的CT征象与PCNA表达面积的相关性,以达到从CT征象的角度推测周围型NSCLC的某些恶性生物学行为及预后。
3.1 病理组织学分类及分化程度与PCNA表达的关系:
, 百拇医药
本组资料中非小细胞肺癌的PCNA表达面积均明显高于正常人,表明肿瘤细胞的增殖状态异常活跃。然而PCNA表达面积在肺癌不同组织类型之间分布无显著差异,但与肺癌的分化程度呈负相关,与文献报道一致[7],表明低分化肺癌组织的增殖能力更强,恶性度更高,预后差。把病理分级与PCNA表达结合起来,对判断肺癌恶性生物学行为及预后有利。
3.2 CT征象与PCNA表达的关系:
肿瘤关键的生物学特征是增殖与分化调控的失控和具有浸润与转移性。本组资料显示瘤体大小、深分叶征,棘状突起、坏死和空洞,及纵隔淋巴结肿大和强化形态与PCNA表达面积密切相关,而含气支气管征,毛刺征及强化程度与PCNA表达面积无密切相关。
图5 右下肺低分化腺癌。瘤体可见深分叶,肿瘤细胞PCNA表达面积为12009.04 μm2
, http://www.100md.com
图6 右中肺低分化腺癌。瘤体内可见棘状突起征,PCNA表达面积为12423.25 μm2
图7 左下肺低分化鳞癌。瘤体出现坏死,偏心空洞,PCNA表达面积为14523.88 μm2
图8 右上肺高分化腺癌。瘤体内可见含气支气管征,PCNA表达面积为9643.73 μm2
一个肿瘤细胞群体的形成,发展均处于变化之中。Nowell[8]认为,肿瘤在增殖过程中,经过持续性克隆作用,增殖活跃的癌细胞被选择保留,成为3 cm以上肿瘤的主要成份,即肿瘤在3 cm左右时,可能处于由低度恶性向高度恶性转变的重要时期。本组资料中,瘤体最大直径>3 cm的PCNA表达面积明显高于≤3 cm者,揭示肿瘤>3 cm者的增殖能力强,恶性程度高。刘进康等[9]也报道直径>3 cm者DNA含量明显增高。增殖能力与分化密切相关,增殖越快,分化则越差,因而肿瘤直径>3 cm者可能具有更高的恶性生物学行为。本组追踪22例手术后生存期,发现瘤体>3 cm者短于≤3 cm者。
, 百拇医药
CT征象分叶征的形成与肿瘤各部份生长速度不均匀和肺支架结构的制约有关(图5)。本组资料有深分叶征者的PCNA表达面积明显高于无深分叶征者,深分叶征的出现是癌细胞增殖活跃明显的表现。以往影像一病理对照研究发现,CT图像瘤肺交界面的恶性征象包括棘状突起与毛刺征。棘状突起是在分叶基础上部分分化程度低,生长更快的肿瘤细胞亚群沿血管、支气管周围的结缔组织内浸润或沿淋巴管内蔓延导致肿瘤形态不均(图6)。有棘状突起的瘤体PCNA表达面积明显高于无棘状突起者,进一步证实了有棘状突起肿瘤的恶性生物学行为。而毛刺征的形成部分可能也为浸润生长所致,但主要是间质反应的表现[10]。本组资料显示有毛刺征者的PCNA表达面积与无毛刺征者之间无显著性差异(P>0.05),表明判断周围型肺癌浸润潜能、恶性度和预后方面,棘状突起价值较大。
当肿瘤细胞的增殖速度超过肿瘤血管内皮的增殖速度时,必然导致肿瘤血循环相对不足,以致肿瘤缺氧坏死形成空洞。本组21例(13例为鳞癌)有癌性坏死和空洞者的PCNA表达面积明显高于无癌性坏死和空洞者(图7)。提示出现坏死和空洞的肿瘤生长更迅速,恶性度更高。临床追踪发现有癌性坏死和空洞者,复发早,生存期短。
, http://www.100md.com
纵隔淋巴结转移为肺癌预后不良的公认指标,CT能显示某些部位的淋巴结,但难确定转移与否,本文以短径≥10 mm为评定标准。本组结果有纵隔淋巴结肿大的PCNA表达面积明显高于无淋巴结肿大者。从分子生物学水平提示,CT影像上发现纵隔淋巴结肿大,对决定肺癌患者治疗方案和推测预后有重要的参考价值。
空泡征与含气支气管征(图8),主要见于伏壁式生长的腺癌。本组资料有含气支气管征者20例的PCNA表达面积与无含气支气管征的PCNA表达面积比较无显著差异,表明含气支气管征在判断肺癌肿瘤细胞增殖力和浸润力及恶性度方面均无明显区别,不如瘤体>3 cm,深分叶征及棘状突起征。本组20例含气支气管征中有15例为肺腺癌,其中11例为高、中度分化腺癌。提示肿瘤的分化程度相对高,生物学行为恶性度相对低,预后较好。
Yamashita[3]认为动态增强在鉴别周围型NSCLC与其它良性肺结节中有意义,提出强化程度20~60 HU可作为恶性结节的指标。并认为完全强化,周围强化是肺癌的主要强化形态。动态扫描周围型NSCLC病灶增强,CT值立即升高,均在2 min内形成强化高峰,嗣后逐渐下降。本组除1例强化程度为14 HU,PCNA阳性表达面积为8742.81 μm2的鳞癌之外,其余14例肺癌的强化程度,形态以及曲线均与文献报道一致。强化组肿瘤的PCNA表达面积明显高于正常人组的PCNA表达面积,表明增殖活跃的肿瘤伴有丰富的肿瘤血管,其血管壁基底膜不完整,通透性大,利于造影剂漏出。强化形态反映了肿瘤结节内部结构,活肿瘤组织内血流丰富呈完全强化,坏死区乏血管无强化,本组结果显示周围强化形PCNA表达面积明显高于完全强化形,表明周围强化型的肿瘤细胞增殖能力较完全强化型更活跃,当肿瘤细胞增殖速度超过肿瘤血管内皮增殖速度时,瘤体中心区供血不足,以致肿瘤细胞坏死。强化程度与PCNA表达面积无密切相关。
, 百拇医药
作者简介:周晓琳(1956- ),女,湖南医科大学医疗系毕业,副主任医师,湖南医科大学附属湘雅医院放射学教研室曾纪珍教授的硕士研究生,重点研究胸部影像学。
参考文献
[1] Bravo R,Frank R,Blundel PA,et al.Cyclin/PCNA is the auxilliary protein of DAN polyerase-delta.Nature,1987,326(2):515-517.
[2] Ebina M,Steinbery SM,Mulshine JL,et al.Relationship of P53 overexpression and UP-regulation of proliferation cell nucler antigen with the clinical course of non-small cell lung cancer.Cancer Res,1994,54(9):2496-2498.
, 百拇医药
[3] Yamashita K,Mastunobe S,Suda TT,et al.Solitary pulmonary nodule:Perliminary study of evaluation with incremental dynamic CT.Radiology,1995,194(2):399-405.
[4] WHO.The world health organization histologic typing of lung tumors.Am J Clin Pathol,1982,77(2):123-136.
[5] 张燕群,曹丹庆,高育傲,等.深分叶征在周围型小肺癌CT诊断中的价值.中华放射学杂志,1992,26(3):154-156.
[6] 罗 莉,马述仕,王美娥.星形细胞瘤中P53蛋白和PCNA免疫组化的定量研究.中国体视学与图像分析,1998,3(4):228-229.
, 百拇医药
[7] 陈江浩,张洪新,黄学胜,等.周围型肺癌CT征象与P53蛋白及增细胞核抗原表达间关系的研究.中华肿瘤杂志,1998,20(5):361-364.
[8] Nowell PC.Mechanisma of tumor progression.Cancer Res,1986,46(5):2203-2207.
[9] 刘进康,曾纪珍,周建华.周围型肺腺、鳞癌CT征象与癌细胞核DNA含量的研究.中华放射学杂志,1996,30(1):15-19.
[10] 肖湘生,洪应中,陈忠年.周围型肺癌肺—肿瘤交界面X线病理研究.中华放射学杂志,1983,17(1):1-4.
收稿日期:2000-01-12 修回日期:2000-04-20, http://www.100md.com
单位:周晓琳(湖南省长沙市一医院CT室,湖南 长沙 410005);曾纪珍 周建华 夏宇 陈友良 朱智明(湖南医科大学湘雅医院放射学教研室);赵欣(湖南医科大学病理学教研室)
关键词:断层摄影术;X线计算机;肺肿瘤;非小细胞肺癌;PCNA;预后
实用放射学杂志000603 [摘要] 目的:探讨周围型非小细胞肺癌(NSCLC)的CT征象与增殖细胞核抗原(PCNA)表达的相关性。方法:对72例经手术病理证实的周围型NSCLC病例术前进行CT扫描,并对肿瘤标本用SP法进行PCNA免疫组化染色,用图像分析仪测量肿瘤细胞核PCNA阳性表达分布面积。结果:(1)CT显示瘤体最大直径>3 cm者,深分叶征、棘状突起、坏死和空洞及纵隔淋巴结肿大者与PCNA阳性表达面积升高有关。(2)瘤体呈周围强化形的肺癌PCNA阳性表达面积高于瘤体呈完全强化形的肺癌。(3)肺癌的PCNA阳性表达面积与肿瘤分化程度呈负相关。结论:周围型NSCLC的CT征象瘤体>3 cm,深分叶征、棘状突起、坏死和空洞及纵隔淋巴结肿大与PCNA阳性表达面积密切相关,具有更高的恶性程度,可作为推测预后的指标。
, 百拇医药
[中图分类号]R734.2 [文献标识码] A
[文章编号]1002-1671(2000)06-0331-05
Correlative Study of CT Appearance and PCNA Expression in Peripheral Non-small cell Lung Cancer
ZHOU Xiao-ling,ZENG Ji-zeng,ZHAO Xin,ZHOU Jian-hua,XIA Yu,CHEN You-liang,ZHU Zhi-ming
(Department of CT,Changsha Municpal No.1 Hospital,Changsha 410005)
[ABSTRACT] Objective:To study correlation of CT appearance and proliferation cell nuclear antigen(PCNA)expression in peripheral non-small cell lung cancer(NSCLC).Methods:73 cases of peripheral NSCLC confirmed by operation and pathology were examined with computed tomography before operation.The presence of PCNA was assessed immunohistochemically in paraffin embedded tumor samples with the streptavidin-peroxidase conjugated method,PCNA expression was determined by imaging analyzer and the parameters of distribution area were calculated.Results:(1)PCNA expression of tumors with diamenter over 3 cm was significantly higher than those 3 cm or less 3 cm;and higher expression with deep lobulation or spiculate protuberance,necrosis or cavity and mediastinal lymph node enlargement than those without.(2)there were significant different PCNA expression after administration of contrast material in peripheral NSCLC with peripheral enhancement form complete enhancement.(3)PCNA expression was correlated with the degree of tumor cell differentiaton.Conclusion:The CT appearance of peripheral NSCLC of tumors with diamenter over 3 cm,deep lobulation,spiculate protuberance,necrosis or cavityy and mediastinal lymph node enlargement closely correlate with PCNA expression,which indicate higher degree of malignancy and infere a poor prognosis.
, 百拇医药
[Key Words]:tomography,X-ray computed ;lung neoplasmas,non-small cell lung cancer ;proliferating cell nuclear antigen
增殖细胞核抗原(proliferation cell nuclear antigen,PCNA)也称周期蛋白(cyclin)是近年来发现的反应细胞增殖的一种标记物[1],其表达程度能反映肺肿瘤的增殖能力及恶性程度,作为临床与病理评价肺肿瘤生物学行为及预后的指标[2]。我们对周围型非小细胞肺癌(non-small cell lung cancer.NSCLC)的CT征象与PCNA阳性表达面积间的相关性进行了初步研究,现报告如下。
1 材料与方法
1.1 搜集1995-03~1998-11月湘雅医院行术前CT扫描并经手术、病理证实,且术前未行放疗或化疗的73例周围型NSCLC。其中男性52例,女性21例。年龄21~74岁,平均年龄48岁。病理组织学类型:腺癌31例,鳞癌29例,腺鳞癌8例,其它5例。病理分级:高分化22例,中分化25例,低分化26例。
, http://www.100md.com
1.2 CT扫描采用Elscint 2400型CT机。先以10 mm层厚、层距平扫,(肺门区5 mm层厚)。瘤体>3 cm,用5 mm层厚;瘤体≤3 cm,用1.5~2.5 mm层厚。扫描后对一系列薄层CT图像行高分辨率骨算法重建,以16~24 cm像野(FOV)靶重建。图像矩阵用512×512,扫描条件为120 kV、250 mA,2.1 s。其中对15例平扫后,以病灶中心层面行动态增强扫描,用60%泛影葡胺100 ml,以2 ml/s速率团注后,即在1 min、2 min、3 min、4 min、5 min分别扫描。为避免吸气不均的上、下移动,每次扫描3个层面(中心层面及上、下层面)。测量CT值时应选择与平扫时中心层面相符层面,参考文献[3]测量范围应包括结节短径60%的圆形区域。若结节内有明显低密度区,应测量外围的CT值。强化程度:以增强扫描最大CT值减去平扫CT值之余数表示,余数≤ 10HU为无强化。强化形态:肿块全部强化为完全强化,肿块中央区60%以外区域强化为周围强化,肿块中央区60%区域强化为中央强化,肿块边缘环状强化为包膜强化。强化曲线:以每个时间点的最大CT值描绘时间一密度曲线。用肺窗(WW 1200~1600 HU,WL-400~-600 HU)观察肿瘤边缘征象及周围肺野的变化。用纵隔窗(WW 300~350 HU,WL 0~35 HU)观察肿瘤边缘征象及纵隔淋巴结情况。
, 百拇医药
1.3 73例标本均为10%福尔马林固定,石蜡包埋组织。以5μm层厚,连续切片2张(分别进行HE染色和免疫组化SP法染色)。组织学分类,参照WHO国际肺癌组织学分类建议[4]。免疫组化染色采用链霉菌抗生物素蛋白—过氧化酶连接法(streptavidin peroxidase,SP法),对瘤细胞PCNA进行检测。PCNA抗体购于福州迈新公司。阴性对照用PBS液替代第一抗体,阳性对照由迈新公司提供细胞染色阳性片,正常对照为支气管上皮细胞及肺泡组织,病种对照作了炎性假瘤和结核瘤。
PCNA染色位于细胞核,呈棕黄色颗粒或弥散状,背景清晰。染色程度计算每例PCNA阳性表达分布面积(以下简称表达面积),利用MIAS-300型图像分析仪对肿瘤细胞核PCNA表达面积进行测量。每例标本随机检测5个高倍视野,每个高倍视野范围为:14450 μm2。组织细胞图像通过电视摄像系统扫描,显示在监视器屏幕上,分别测量每个高倍视野PCNA表达面积,取其平均值表示PCNA表达的相对含量。
, 百拇医药
1.4 CT征象的评定标准,分叶征的评定参照文献[5],纵隔淋巴结,以淋巴结短径≥10 mm为判定标准。
1.5 统计学方法采用Statistical package for the social science(SPSS)统计软件作均数及标准差计算和t检验,方差分析及直线相关性分析并绘图。
2 结果
2.1 正常肺组织与周围型NSCLC之间PCNA表达面积的比较:6例正常肺组织平均PCNA表达面积为48.66±10.16 μm2;73例周围型NSCLC平均PCNA表达面积9293.25±3574.52 μm2,两者之间比较有非常显著的差异(P<0.001;t=6.298)(图1,2)。
, http://www.100md.com
图1 正常人肺。免疫组化学SP法染色,高倍镜(×200)观察,可见PCNA阳性细胞,核阳性,其PCNA表达面积为40.07 μm2
图2 右下肺腺癌。免疫组化学SP法染色,高倍镜(×400)观察,可见PCNA阳性肿瘤细胞,核阳性,其表达面积为12991.14 μm2
2.2 周围型NSCLC病理分型及分级与PCNA表达面积的关系:31例腺癌平均PCNA表达面积为9041.10±4131.80 μm2,29例鳞癌平均PCNA表达面积9272.73±3231.66 μm2,8例腺鳞癌10405.99±3547.46 μm2,5例其它肺癌9201±1940.09 μm2,肺腺癌与鳞癌两者PCNA表达面积比较,经t检验,提示周围型NSCLC的PCNA表达面积与组织学类型无关(P>0.05)。22例高分化肺癌平均PCNA表达面积为6288.71±4548.30 μm2,25例中分化肺癌平均PCNA表达面积为9254.24±3065.66 μm2,26例低分化肺癌平均PCNA表达面积为12327.20±1410.35 μm2,经方差分析,提示周围型NSCLC的PCNA表达面积与细胞分化程度呈负相关(三组总体均数比较:P<0.0001,组间两两比较P<0.0001)。周围型NSCLC的CT征象与PCNA表达面积的关系,瘤体大小,深分叶征,棘状突起,坏死和空洞及纵隔淋巴结肿大与PCNA表达面积相关,而与毛刺征及含气支气管征无密切相关(附表)。
, 百拇医药
附表 CT征象与PCNA表达面积的关系 CT征象
例数
PCNA表达面积(
P值
1.瘤体>3 cm
瘤体≤3 cm
2.有深分叶征
无深分叶征
3.有棘状突起
无棘状突起
, 百拇医药 4.有坏死和空洞
无坏死和空洞
5.有纵隔淋巴结肿大
无纵隔淋巴结肿大
6.有含气支气管征
无含气支气管征
7.有毛刺征
无毛刺征
44
29
44
29
41
, http://www.100md.com
32
21
52
30
43
20
53
40
33
11439.10±1851.49
5800.67±2914.68
11194.82±2035.77
6849.70±3571.86
, 百拇医药
10927.30±2266.16
7900.46±3999.07
11520.0±1982.37
8533.69±3533.12
11738.4±1835.35
7496.84±3369.11
9738.79±3769.66
9368.46±3379.28
9359.92±3167.91
9186.17±4087.22
, http://www.100md.com
P<0.0001
(t=10.118)
P<0.0001
(t=6.615)
P<0.0005
(t=4.043)
P<0.0005
(t=3.608)
P<0.0001
(t=6.462)
P>0.05
(t=0.405)
, 百拇医药
P>0.05
(t=0.2001)
图3 肿瘤强化程度与PCNA表达面积的关系
图4 肿瘤增强扫描时间——密度动态曲线
15例进行了动态增强扫描者平均PCNA表达面积9355.84±3126.21 μm2,与正常人平均PCNA表达面积48.66±10.16 μm2比较,有非常显著性差异(P<0.0001 t=11.531)。增强程度与PCNA表达面积无密切相关(P>0.05,见图3)。10例周围强化型平均PCNA表达面积为11943.42±680.96 μm2与5例完全强化型平均PCNA表达面积为8062.05±3068.12 μm2比较,有非常显著性差异(P<0.01,t=2.745)。肿瘤强化峰值均在2 min以内,达峰值后曲线持续下降(图4)。
, http://www.100md.com
3 讨论
PCNA是真核细胞DNA合成所必需的一种分子量为36KD的核蛋白,它是DNA聚合酶的辅助蛋白,在静止期细胞含量很少,G1晚期开始增加,S期达到高峰,G2期和M期明显下降,对DNA复制的调节起重要作用。肿瘤恶性程度越高,肿瘤增殖细胞群增殖越明显,核内PCNA的表达程度就越高。肿瘤细胞核PCNA表达程度是评价细胞增殖状态和恶性程度的主要指标[2]。利用图像分析系统测量肿瘤PCNA阳性表达分布面积来表示肿瘤的PCNA表达程度,其结果客观可靠,为评价PCNA在判断肿瘤的恶性程度以及预后方面所起的作用提供了科学而实用的方法[6]。我们通过研究周围型NSCLC的CT征象与PCNA表达面积的相关性,以达到从CT征象的角度推测周围型NSCLC的某些恶性生物学行为及预后。
3.1 病理组织学分类及分化程度与PCNA表达的关系:
, 百拇医药
本组资料中非小细胞肺癌的PCNA表达面积均明显高于正常人,表明肿瘤细胞的增殖状态异常活跃。然而PCNA表达面积在肺癌不同组织类型之间分布无显著差异,但与肺癌的分化程度呈负相关,与文献报道一致[7],表明低分化肺癌组织的增殖能力更强,恶性度更高,预后差。把病理分级与PCNA表达结合起来,对判断肺癌恶性生物学行为及预后有利。
3.2 CT征象与PCNA表达的关系:
肿瘤关键的生物学特征是增殖与分化调控的失控和具有浸润与转移性。本组资料显示瘤体大小、深分叶征,棘状突起、坏死和空洞,及纵隔淋巴结肿大和强化形态与PCNA表达面积密切相关,而含气支气管征,毛刺征及强化程度与PCNA表达面积无密切相关。
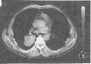
图5 右下肺低分化腺癌。瘤体可见深分叶,肿瘤细胞PCNA表达面积为12009.04 μm2
, http://www.100md.com
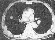
图6 右中肺低分化腺癌。瘤体内可见棘状突起征,PCNA表达面积为12423.25 μm2
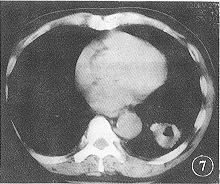
图7 左下肺低分化鳞癌。瘤体出现坏死,偏心空洞,PCNA表达面积为14523.88 μm2
图8 右上肺高分化腺癌。瘤体内可见含气支气管征,PCNA表达面积为9643.73 μm2
一个肿瘤细胞群体的形成,发展均处于变化之中。Nowell[8]认为,肿瘤在增殖过程中,经过持续性克隆作用,增殖活跃的癌细胞被选择保留,成为3 cm以上肿瘤的主要成份,即肿瘤在3 cm左右时,可能处于由低度恶性向高度恶性转变的重要时期。本组资料中,瘤体最大直径>3 cm的PCNA表达面积明显高于≤3 cm者,揭示肿瘤>3 cm者的增殖能力强,恶性程度高。刘进康等[9]也报道直径>3 cm者DNA含量明显增高。增殖能力与分化密切相关,增殖越快,分化则越差,因而肿瘤直径>3 cm者可能具有更高的恶性生物学行为。本组追踪22例手术后生存期,发现瘤体>3 cm者短于≤3 cm者。
, 百拇医药
CT征象分叶征的形成与肿瘤各部份生长速度不均匀和肺支架结构的制约有关(图5)。本组资料有深分叶征者的PCNA表达面积明显高于无深分叶征者,深分叶征的出现是癌细胞增殖活跃明显的表现。以往影像一病理对照研究发现,CT图像瘤肺交界面的恶性征象包括棘状突起与毛刺征。棘状突起是在分叶基础上部分分化程度低,生长更快的肿瘤细胞亚群沿血管、支气管周围的结缔组织内浸润或沿淋巴管内蔓延导致肿瘤形态不均(图6)。有棘状突起的瘤体PCNA表达面积明显高于无棘状突起者,进一步证实了有棘状突起肿瘤的恶性生物学行为。而毛刺征的形成部分可能也为浸润生长所致,但主要是间质反应的表现[10]。本组资料显示有毛刺征者的PCNA表达面积与无毛刺征者之间无显著性差异(P>0.05),表明判断周围型肺癌浸润潜能、恶性度和预后方面,棘状突起价值较大。
当肿瘤细胞的增殖速度超过肿瘤血管内皮的增殖速度时,必然导致肿瘤血循环相对不足,以致肿瘤缺氧坏死形成空洞。本组21例(13例为鳞癌)有癌性坏死和空洞者的PCNA表达面积明显高于无癌性坏死和空洞者(图7)。提示出现坏死和空洞的肿瘤生长更迅速,恶性度更高。临床追踪发现有癌性坏死和空洞者,复发早,生存期短。
, http://www.100md.com
纵隔淋巴结转移为肺癌预后不良的公认指标,CT能显示某些部位的淋巴结,但难确定转移与否,本文以短径≥10 mm为评定标准。本组结果有纵隔淋巴结肿大的PCNA表达面积明显高于无淋巴结肿大者。从分子生物学水平提示,CT影像上发现纵隔淋巴结肿大,对决定肺癌患者治疗方案和推测预后有重要的参考价值。
空泡征与含气支气管征(图8),主要见于伏壁式生长的腺癌。本组资料有含气支气管征者20例的PCNA表达面积与无含气支气管征的PCNA表达面积比较无显著差异,表明含气支气管征在判断肺癌肿瘤细胞增殖力和浸润力及恶性度方面均无明显区别,不如瘤体>3 cm,深分叶征及棘状突起征。本组20例含气支气管征中有15例为肺腺癌,其中11例为高、中度分化腺癌。提示肿瘤的分化程度相对高,生物学行为恶性度相对低,预后较好。
Yamashita[3]认为动态增强在鉴别周围型NSCLC与其它良性肺结节中有意义,提出强化程度20~60 HU可作为恶性结节的指标。并认为完全强化,周围强化是肺癌的主要强化形态。动态扫描周围型NSCLC病灶增强,CT值立即升高,均在2 min内形成强化高峰,嗣后逐渐下降。本组除1例强化程度为14 HU,PCNA阳性表达面积为8742.81 μm2的鳞癌之外,其余14例肺癌的强化程度,形态以及曲线均与文献报道一致。强化组肿瘤的PCNA表达面积明显高于正常人组的PCNA表达面积,表明增殖活跃的肿瘤伴有丰富的肿瘤血管,其血管壁基底膜不完整,通透性大,利于造影剂漏出。强化形态反映了肿瘤结节内部结构,活肿瘤组织内血流丰富呈完全强化,坏死区乏血管无强化,本组结果显示周围强化形PCNA表达面积明显高于完全强化形,表明周围强化型的肿瘤细胞增殖能力较完全强化型更活跃,当肿瘤细胞增殖速度超过肿瘤血管内皮增殖速度时,瘤体中心区供血不足,以致肿瘤细胞坏死。强化程度与PCNA表达面积无密切相关。
, 百拇医药
作者简介:周晓琳(1956- ),女,湖南医科大学医疗系毕业,副主任医师,湖南医科大学附属湘雅医院放射学教研室曾纪珍教授的硕士研究生,重点研究胸部影像学。
参考文献
[1] Bravo R,Frank R,Blundel PA,et al.Cyclin/PCNA is the auxilliary protein of DAN polyerase-delta.Nature,1987,326(2):515-517.
[2] Ebina M,Steinbery SM,Mulshine JL,et al.Relationship of P53 overexpression and UP-regulation of proliferation cell nucler antigen with the clinical course of non-small cell lung cancer.Cancer Res,1994,54(9):2496-2498.
, 百拇医药
[3] Yamashita K,Mastunobe S,Suda TT,et al.Solitary pulmonary nodule:Perliminary study of evaluation with incremental dynamic CT.Radiology,1995,194(2):399-405.
[4] WHO.The world health organization histologic typing of lung tumors.Am J Clin Pathol,1982,77(2):123-136.
[5] 张燕群,曹丹庆,高育傲,等.深分叶征在周围型小肺癌CT诊断中的价值.中华放射学杂志,1992,26(3):154-156.
[6] 罗 莉,马述仕,王美娥.星形细胞瘤中P53蛋白和PCNA免疫组化的定量研究.中国体视学与图像分析,1998,3(4):228-229.
, 百拇医药
[7] 陈江浩,张洪新,黄学胜,等.周围型肺癌CT征象与P53蛋白及增细胞核抗原表达间关系的研究.中华肿瘤杂志,1998,20(5):361-364.
[8] Nowell PC.Mechanisma of tumor progression.Cancer Res,1986,46(5):2203-2207.
[9] 刘进康,曾纪珍,周建华.周围型肺腺、鳞癌CT征象与癌细胞核DNA含量的研究.中华放射学杂志,1996,30(1):15-19.
[10] 肖湘生,洪应中,陈忠年.周围型肺癌肺—肿瘤交界面X线病理研究.中华放射学杂志,1983,17(1):1-4.
收稿日期:2000-01-12 修回日期:2000-04-20, http://www.100md.com