腹膜后神经鞘瘤CT、MRI表现
作者:杨广夫 王璐 王亚蓉 王欣璐 杨健 王莉君 杨志英
单位:西安交通大学第一医院医学影像中心,陕西 西安 710061
关键词:腹膜后肿瘤;神经鞘瘤;断层扫描;X线计算机;磁共振成像
实用放射学杂志001003 [摘要] 目的:研究腹膜后神经鞘瘤的CT、MRI表现及良恶性鉴别。方法:本组经病理证实13例,男10例,女3例,平均年龄45.0岁。13例中良性4例,恶性9例。11例进行了CT平扫,其中CT强化4例;MRI扫描4例。结果:肿瘤多见于脊柱旁腹膜后区及侧盆间隙。肿瘤12/13例质地不均匀,9/13例有明显囊变区,未见淋巴结转移。良性者较小,边缘光滑;恶性者较大,呈不规则结节状,3/9例平扫CT可见钙化,4/4例CT强化不规则,7/9例显示侵犯特征,3/9例术后复发,4/9例出现转移。结论:腹膜后间隙发生,有明显囊变征象肿瘤应考虑本病诊断,影像学表现可鉴别肿瘤良恶性质。
, http://www.100md.com
[中图分类号] R739.9 [文献标识码] A
[文章编号] 1002-1671(2000)10-0585-03
CT and MRI Findings of the Retroperitoneal Schwannoma
YANG Guang-fu,WANG Lu,WANG Ya-rong,WANG Xin-lu,YANG Jian,WANG Li-jun,YANG Zhi-ying
(Medical Image Center,First Hospital,Xi′an Jiao Tong University,Xi′an 710061)
[ABSTRACT] Objective:To study the CT and MRI findings of the retroperitoneal schwannoma,and differ the benign to malignant tumor.Methods:Thirteen cases of retroperitoneal schwnnoma proved by pathology were presented.There were ten male and three female,with an average age of 45.0 years old.Among those cases,four cases were benign tumors,and nine cases were malignant tumors.CT studies were obtained in eleven cases in which CT enhancement studies were done in four cases,MR studies in four cases.Results:Tumors were located in the lateral retroperitoneal space or in the lateral pelvic space.Heterogeneous density or signal intensity was presented in 12/13 cases.Cystis changes were showed in 9/13 cases.There was no any lymphatic adenopathy.For the benign lesion,small with well-demarcated round shape were demonstrated.But in malignant tumor,a big mass with irregular or nodular shape was found.Calcification was seen in 3/9 cases.Irregular enhancement was presented in 4/4 cases.Invasive characteristics were showed in 7/9 cases.Metastasis were in 4/13 cases.Conclusion:If a tumor occurs in the lateral retroperitoneal space,with cystic change,the diagnosis of retroperitoneal schwnnoma should be considered.CT and MRI can differ benign to malignant tumor.
, http://www.100md.com
[Key words] retroperitoneal tumor;schwannoma ;tomography;X-ray computed;magnetic resonance imaging
腹膜后神经鞘瘤为一种较少见的腹膜后神经鞘源肿瘤。目前国内外关于本肿瘤的影像学表现见少数病例报告[1~7],未见系统研究。本文报告经手术病理证实13例CT、MRI表现,目的为提高本病的诊断和良恶性鉴别。
1 资料方法
本组13例,其中男10例,女3例,年龄23~56岁,平均年龄45.0岁。临床均以腹部包块、疼痛为主要症状就诊。病理发现良性神经鞘瘤4例,恶性神经鞘瘤9例。13例中CT检查11例,其中强化扫描4例;MRI检查4例。
CT检查使用美国GE公司ProSpeed高分辨机,层厚、层间距10 cm。增强扫描使用Medrad注射器,以2.5~3.0 ml/s速度注射Ommipaque 300 100 ml,于注射25 s时通扫。
, http://www.100md.com
MRI检查使用美国Diasonics 0.35T MT/S成像系统,SE序列做冠状、横切、矢状T1WI及横切T2WI。成像条件T1WI=500/15,T2WI=2000/30-120,层厚10 cm,矩阵128或256,采集次数2。
2 结果
2.1 肿瘤部位 位于骨盆缘上腹膜后11例(图1),盆间隙2例(图2)。原发肿瘤位于右侧脊柱旁者7例,左侧脊柱旁者6例。
图1 良性神经鞘瘤 CT强化见肿瘤(大箭头)
边缘不规则强化,内部囊变呈低密度区无强化
, http://www.100md.com
图2 良性神经鞘瘤 A.MRI T1WI见肿瘤(黑箭头)呈不均匀稍高信号强度,内部囊变呈低信号强度(白箭头);B.MRI T2WI见肿瘤信号强度不甚均匀增高明显
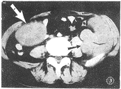
2.2 肿瘤数目 就诊时单发肿瘤10例,多发肿瘤(其中另一侧为转移)者3例(图3)。
图3 恶性神经鞘瘤 CT平扫见右侧为原发肿瘤(白箭头),左侧腹膜转移(黑箭头)
2.3 肿瘤大小 肿瘤最大径线5 cm 2例(图1),5~10 cm 5例(图2),10cm 6例(图4)。良性者5cm 2例(图1),5~10 cm 2例(图2),其余为恶性肿瘤。
, 百拇医药
图4 恶性神经鞘瘤
A.CT平扫见肿瘤(箭头)呈不规则肿块,中心囊变呈不规则低密度区;
B.CT强化见肿瘤(大箭头)周边及内部不规则强化,肿瘤血管(小箭头)强化明显
2.4 肿瘤形态 肿瘤呈圆形(图1)、椭圆形者5例(图2),其中4例为良性。不规则状或多结节分叶状者(图4,6,7)8例均为恶性。边缘光滑者4例均为良性(图1,2),余9例边缘不整齐均为恶性(图4~7)。
图5 恶性神经鞘瘤 CT平扫见肿瘤(弧形箭头)侵入右腰大肌后,内部见小片钙化(小箭头)
, 百拇医药 图6,7 恶性神经鞘瘤 图6 MRI T1WI示肿瘤(黑箭头)
呈不规则低信号强度,内部见出血灶呈小片状高信号强度(白箭头);
图7 T2WI示肿瘤(黑箭头)信号强度不均匀增高,内部见低信号强度斑片(小黑箭头)
2.5 肿瘤密度及信号强度 CT平扫11例均显示肿瘤实质低于肌肉密度(图1,3,4),MRI检查4例T1WI见肿瘤实质稍高于肌肉信号强度,T2WI肿瘤信号强度均匀或不甚均匀增高明显(图2,6,7)。
2.6 肿瘤质地 CT平扫见肿瘤质地较均匀者1例;CT平扫或MRI T1WI显示密度或信号强度不均匀者3例(图3),有明显囊变者9例(图1,2,4)。CT平扫见钙化者3例,均为恶性(图5)。
, 百拇医药
2.7 CT强化 4例CT强化扫描表现较小肿瘤呈周边不规则强化(图1),较大肿瘤周边强化程度不一,肿瘤内部可见斑片强化或肿瘤血管强化(图4)。
2.8 肿瘤侵犯 肿瘤推移压迫周围组织移位无明显侵犯征象6例,其中良性者4例(图1,2);肿瘤侵犯周围组织器官7例(图4~7)均为恶性。
2.9 淋巴结转移 13例扫描野区均未见淋巴结转移。
2.10 肿瘤转移 1例恶性者转移椎体、骨骼及肺。3例手术后腹膜后或腹膜转移(图3)。
符。 3例手术后原手术野区肿瘤复发。
3 讨论
3.1 腹膜后神经鞘源肿瘤分为神经纤维发生和神经膜发生两种,两种肿瘤都可以分为良性和恶性。神经纤维瘤病可发生神经纤维瘤和神经鞘瘤。腹膜后良性神经鞘瘤发病率各家报告不一,非常少见[6],也有报告发病率达腹膜后原发肿瘤15%[7]。肿瘤多见于20~40岁成年人,男女发病相似。肿瘤一般较小,5 cm占89.9%,以实质性多见占93.1%,可伴有出血坏死。肿瘤呈圆形、卵圆形、结节状,有包膜[6]。恶性神经鞘瘤为腹膜后较少见肿瘤,发病率占腹膜后原发肿瘤2.5%[7],占腹膜后神经鞘源恶性肿瘤21.8%[7]。多见于30~50岁成年人,男女发病率相似。肿瘤可呈结节、分叶、团块状,大者可达直径30 cm,可有假包膜,有浸润生长特点,易发生粘液变、囊变、出血、坏死。28.6%病人术后复发,可经淋巴道、血道或种植转移[6]。
, 百拇医药
3.2 通过本组13例分析发现,本病多见于脊柱两侧腹膜后间隙或侧壁盆间隙。原发肿瘤单发,但就诊时可并有腹膜后或腹膜转移。肿瘤在CT平扫表现低于肌肉密度,MRI T1WI稿高于肌肉信号强度。12/13例质地不均匀,9/13例可见囊变区,但无明显淋巴结转移,因本肿瘤易于粘液变、囊变、坏死、出血[1,6],Kim[3]认为囊变对本肿瘤的诊断有重要意义。
3.3 本组病例中良性肿瘤表现较小,2/4病例直径5 cm,无大于10 cm者,边缘光滑,推压周围组织器官移位,强化CT扫描见肿瘤周边强化不规则。恶性肿瘤表现不同于良性者,直径10 cm占6/9例,肿瘤呈不规则结节状,肿瘤内显示钙化3例均恶性。CT强化扫描显示恶性肿瘤的周边或内部不规则强化,有明确的侵犯周围组织器官特征,且易于转移和术后复发。无论良或恶性肿瘤在病理上都易发生囊变、出血、坏死,本文发现单纯以肿瘤的CT密度和MRI信号强度特征,及钙化外的肿瘤质地特点难以区别良、恶性,而病变大小、形态对鉴别意义重要。
, 百拇医药
3.4 腹膜后可以发生间叶细胞源、尿生殖源、生殖细胞源、淋巴源、其他神经源等一系列肿瘤和肿瘤样病变,需要与本病鉴别。其中最常见的间叶细胞源肿瘤中的脂肪肉瘤95%病例肿瘤内可见脂肪成份;平滑肌肉瘤多见于左上腹膜后区及右侧盆底区,肿瘤的囊变不如本病明显。尿生殖源肿瘤少见,淋巴瘤、副节瘤多发生于脊柱前区,对鉴别本病有一定帮助。
作者简介:杨广夫(1943- ),男,辽宁省营口市人,硕士学位,教授,主任医师,研究CT、MRI诊断学。
参考文献
[1] Cohen L M,Schwortz A M,Rockoff S D.Benign schwannomas:pathologic basis for CT inhomogeneities[J].AJR,1986,147:141-143.
[2] Maeshima S,Nakamura H,Nishikawa M,et al.Retroperitoneal schwannomas simulating adrenal tumors[J].Clin Imag,1991,16:121-122.
, 百拇医药
[3] Kim S H,Choi B I,Han M C,et al.Retroperitoneal neurilemoma,CT and MRI findings[J].AJR,1992,159:1023-1026.
[4] 唐光健,王仪生,姜 涛,等.腹膜后原发肿瘤的CT诊断(附41例分析)[J].中华放射学杂志,1996,30:229-232.
[5] 陈年根,姚茹国,黄学全,等.原发腹膜后肿瘤的CT诊断[J].现代医学影像学,1997,6:99-101.
[6] 武汉医学院病理学教研室、中山医学院病理学教研组.外科病理学[M].下册.武汉:湖北人民出版社,1978.267-274.
[7] 汤钊猷.现代肿瘤学[M].上海:上海医科大学出版社,1993.867-876.
收稿日期:1998-11-03 修回日期:1999-01-12, http://www.100md.com
单位:西安交通大学第一医院医学影像中心,陕西 西安 710061
关键词:腹膜后肿瘤;神经鞘瘤;断层扫描;X线计算机;磁共振成像
实用放射学杂志001003 [摘要] 目的:研究腹膜后神经鞘瘤的CT、MRI表现及良恶性鉴别。方法:本组经病理证实13例,男10例,女3例,平均年龄45.0岁。13例中良性4例,恶性9例。11例进行了CT平扫,其中CT强化4例;MRI扫描4例。结果:肿瘤多见于脊柱旁腹膜后区及侧盆间隙。肿瘤12/13例质地不均匀,9/13例有明显囊变区,未见淋巴结转移。良性者较小,边缘光滑;恶性者较大,呈不规则结节状,3/9例平扫CT可见钙化,4/4例CT强化不规则,7/9例显示侵犯特征,3/9例术后复发,4/9例出现转移。结论:腹膜后间隙发生,有明显囊变征象肿瘤应考虑本病诊断,影像学表现可鉴别肿瘤良恶性质。
, http://www.100md.com
[中图分类号] R739.9 [文献标识码] A
[文章编号] 1002-1671(2000)10-0585-03
CT and MRI Findings of the Retroperitoneal Schwannoma
YANG Guang-fu,WANG Lu,WANG Ya-rong,WANG Xin-lu,YANG Jian,WANG Li-jun,YANG Zhi-ying
(Medical Image Center,First Hospital,Xi′an Jiao Tong University,Xi′an 710061)
[ABSTRACT] Objective:To study the CT and MRI findings of the retroperitoneal schwannoma,and differ the benign to malignant tumor.Methods:Thirteen cases of retroperitoneal schwnnoma proved by pathology were presented.There were ten male and three female,with an average age of 45.0 years old.Among those cases,four cases were benign tumors,and nine cases were malignant tumors.CT studies were obtained in eleven cases in which CT enhancement studies were done in four cases,MR studies in four cases.Results:Tumors were located in the lateral retroperitoneal space or in the lateral pelvic space.Heterogeneous density or signal intensity was presented in 12/13 cases.Cystis changes were showed in 9/13 cases.There was no any lymphatic adenopathy.For the benign lesion,small with well-demarcated round shape were demonstrated.But in malignant tumor,a big mass with irregular or nodular shape was found.Calcification was seen in 3/9 cases.Irregular enhancement was presented in 4/4 cases.Invasive characteristics were showed in 7/9 cases.Metastasis were in 4/13 cases.Conclusion:If a tumor occurs in the lateral retroperitoneal space,with cystic change,the diagnosis of retroperitoneal schwnnoma should be considered.CT and MRI can differ benign to malignant tumor.
, http://www.100md.com
[Key words] retroperitoneal tumor;schwannoma ;tomography;X-ray computed;magnetic resonance imaging
腹膜后神经鞘瘤为一种较少见的腹膜后神经鞘源肿瘤。目前国内外关于本肿瘤的影像学表现见少数病例报告[1~7],未见系统研究。本文报告经手术病理证实13例CT、MRI表现,目的为提高本病的诊断和良恶性鉴别。
1 资料方法
本组13例,其中男10例,女3例,年龄23~56岁,平均年龄45.0岁。临床均以腹部包块、疼痛为主要症状就诊。病理发现良性神经鞘瘤4例,恶性神经鞘瘤9例。13例中CT检查11例,其中强化扫描4例;MRI检查4例。
CT检查使用美国GE公司ProSpeed高分辨机,层厚、层间距10 cm。增强扫描使用Medrad注射器,以2.5~3.0 ml/s速度注射Ommipaque 300 100 ml,于注射25 s时通扫。
, http://www.100md.com
MRI检查使用美国Diasonics 0.35T MT/S成像系统,SE序列做冠状、横切、矢状T1WI及横切T2WI。成像条件T1WI=500/15,T2WI=2000/30-120,层厚10 cm,矩阵128或256,采集次数2。
2 结果
2.1 肿瘤部位 位于骨盆缘上腹膜后11例(图1),盆间隙2例(图2)。原发肿瘤位于右侧脊柱旁者7例,左侧脊柱旁者6例。
图1 良性神经鞘瘤 CT强化见肿瘤(大箭头)
边缘不规则强化,内部囊变呈低密度区无强化
, http://www.100md.com
图2 良性神经鞘瘤 A.MRI T1WI见肿瘤(黑箭头)呈不均匀稍高信号强度,内部囊变呈低信号强度(白箭头);B.MRI T2WI见肿瘤信号强度不甚均匀增高明显
2.2 肿瘤数目 就诊时单发肿瘤10例,多发肿瘤(其中另一侧为转移)者3例(图3)。
图3 恶性神经鞘瘤 CT平扫见右侧为原发肿瘤(白箭头),左侧腹膜转移(黑箭头)
2.3 肿瘤大小 肿瘤最大径线5 cm 2例(图1),5~10 cm 5例(图2),10cm 6例(图4)。良性者5cm 2例(图1),5~10 cm 2例(图2),其余为恶性肿瘤。
, 百拇医药
图4 恶性神经鞘瘤
A.CT平扫见肿瘤(箭头)呈不规则肿块,中心囊变呈不规则低密度区;
B.CT强化见肿瘤(大箭头)周边及内部不规则强化,肿瘤血管(小箭头)强化明显
2.4 肿瘤形态 肿瘤呈圆形(图1)、椭圆形者5例(图2),其中4例为良性。不规则状或多结节分叶状者(图4,6,7)8例均为恶性。边缘光滑者4例均为良性(图1,2),余9例边缘不整齐均为恶性(图4~7)。
图5 恶性神经鞘瘤 CT平扫见肿瘤(弧形箭头)侵入右腰大肌后,内部见小片钙化(小箭头)
, 百拇医药 图6,7 恶性神经鞘瘤 图6 MRI T1WI示肿瘤(黑箭头)
呈不规则低信号强度,内部见出血灶呈小片状高信号强度(白箭头);
图7 T2WI示肿瘤(黑箭头)信号强度不均匀增高,内部见低信号强度斑片(小黑箭头)
2.5 肿瘤密度及信号强度 CT平扫11例均显示肿瘤实质低于肌肉密度(图1,3,4),MRI检查4例T1WI见肿瘤实质稍高于肌肉信号强度,T2WI肿瘤信号强度均匀或不甚均匀增高明显(图2,6,7)。
2.6 肿瘤质地 CT平扫见肿瘤质地较均匀者1例;CT平扫或MRI T1WI显示密度或信号强度不均匀者3例(图3),有明显囊变者9例(图1,2,4)。CT平扫见钙化者3例,均为恶性(图5)。
, 百拇医药
2.7 CT强化 4例CT强化扫描表现较小肿瘤呈周边不规则强化(图1),较大肿瘤周边强化程度不一,肿瘤内部可见斑片强化或肿瘤血管强化(图4)。
2.8 肿瘤侵犯 肿瘤推移压迫周围组织移位无明显侵犯征象6例,其中良性者4例(图1,2);肿瘤侵犯周围组织器官7例(图4~7)均为恶性。
2.9 淋巴结转移 13例扫描野区均未见淋巴结转移。
2.10 肿瘤转移 1例恶性者转移椎体、骨骼及肺。3例手术后腹膜后或腹膜转移(图3)。
符。 3例手术后原手术野区肿瘤复发。
3 讨论
3.1 腹膜后神经鞘源肿瘤分为神经纤维发生和神经膜发生两种,两种肿瘤都可以分为良性和恶性。神经纤维瘤病可发生神经纤维瘤和神经鞘瘤。腹膜后良性神经鞘瘤发病率各家报告不一,非常少见[6],也有报告发病率达腹膜后原发肿瘤15%[7]。肿瘤多见于20~40岁成年人,男女发病相似。肿瘤一般较小,5 cm占89.9%,以实质性多见占93.1%,可伴有出血坏死。肿瘤呈圆形、卵圆形、结节状,有包膜[6]。恶性神经鞘瘤为腹膜后较少见肿瘤,发病率占腹膜后原发肿瘤2.5%[7],占腹膜后神经鞘源恶性肿瘤21.8%[7]。多见于30~50岁成年人,男女发病率相似。肿瘤可呈结节、分叶、团块状,大者可达直径30 cm,可有假包膜,有浸润生长特点,易发生粘液变、囊变、出血、坏死。28.6%病人术后复发,可经淋巴道、血道或种植转移[6]。
, 百拇医药
3.2 通过本组13例分析发现,本病多见于脊柱两侧腹膜后间隙或侧壁盆间隙。原发肿瘤单发,但就诊时可并有腹膜后或腹膜转移。肿瘤在CT平扫表现低于肌肉密度,MRI T1WI稿高于肌肉信号强度。12/13例质地不均匀,9/13例可见囊变区,但无明显淋巴结转移,因本肿瘤易于粘液变、囊变、坏死、出血[1,6],Kim[3]认为囊变对本肿瘤的诊断有重要意义。
3.3 本组病例中良性肿瘤表现较小,2/4病例直径5 cm,无大于10 cm者,边缘光滑,推压周围组织器官移位,强化CT扫描见肿瘤周边强化不规则。恶性肿瘤表现不同于良性者,直径10 cm占6/9例,肿瘤呈不规则结节状,肿瘤内显示钙化3例均恶性。CT强化扫描显示恶性肿瘤的周边或内部不规则强化,有明确的侵犯周围组织器官特征,且易于转移和术后复发。无论良或恶性肿瘤在病理上都易发生囊变、出血、坏死,本文发现单纯以肿瘤的CT密度和MRI信号强度特征,及钙化外的肿瘤质地特点难以区别良、恶性,而病变大小、形态对鉴别意义重要。
, 百拇医药
3.4 腹膜后可以发生间叶细胞源、尿生殖源、生殖细胞源、淋巴源、其他神经源等一系列肿瘤和肿瘤样病变,需要与本病鉴别。其中最常见的间叶细胞源肿瘤中的脂肪肉瘤95%病例肿瘤内可见脂肪成份;平滑肌肉瘤多见于左上腹膜后区及右侧盆底区,肿瘤的囊变不如本病明显。尿生殖源肿瘤少见,淋巴瘤、副节瘤多发生于脊柱前区,对鉴别本病有一定帮助。
作者简介:杨广夫(1943- ),男,辽宁省营口市人,硕士学位,教授,主任医师,研究CT、MRI诊断学。
参考文献
[1] Cohen L M,Schwortz A M,Rockoff S D.Benign schwannomas:pathologic basis for CT inhomogeneities[J].AJR,1986,147:141-143.
[2] Maeshima S,Nakamura H,Nishikawa M,et al.Retroperitoneal schwannomas simulating adrenal tumors[J].Clin Imag,1991,16:121-122.
, 百拇医药
[3] Kim S H,Choi B I,Han M C,et al.Retroperitoneal neurilemoma,CT and MRI findings[J].AJR,1992,159:1023-1026.
[4] 唐光健,王仪生,姜 涛,等.腹膜后原发肿瘤的CT诊断(附41例分析)[J].中华放射学杂志,1996,30:229-232.
[5] 陈年根,姚茹国,黄学全,等.原发腹膜后肿瘤的CT诊断[J].现代医学影像学,1997,6:99-101.
[6] 武汉医学院病理学教研室、中山医学院病理学教研组.外科病理学[M].下册.武汉:湖北人民出版社,1978.267-274.
[7] 汤钊猷.现代肿瘤学[M].上海:上海医科大学出版社,1993.867-876.
收稿日期:1998-11-03 修回日期:1999-01-12, http://www.100md.com