粘多糖病IH型(附一家族3例报告)
作者:田昭俭
单位:山东省胜利油田中心医院放射科 257034
关键词:
实用放射学杂志001034[中图分类号] R681.1
[文章编号] 1002-1671(2000)10-0632-03
Mucopolysaccharidosis IH Type:3 Cases in a Family
粘多糖病(Mucopolysaccharidosis,简称MPS)甚少见,我院得见MPS ⅠH型一家族同胞兄妹三例,现报告如下:
1 病例报告
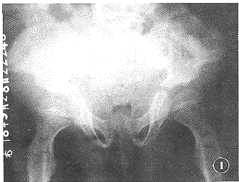
1.1 例1:男,12岁。患儿出生时发育正常,于1岁左右时开始出现体格、智力发育迟缓且逐渐加重伴进行性痴呆。体检:身材矮小,四肢短小畸形,身高96 cm。头大,痴呆,面容丑陋,角膜混浊,额部和两颊突出,塌鼻,牙齿残缺不齐。心肺正常。腹部膨隆,肝脾肿大且质硬。四肢关节僵硬,髋、膝关节外翻。双手指短而弯曲成爪状。腰背部无后突畸形。实验室检查:尿中硫酸软骨素B和硫酸肝素显著增加。甲苯胺蓝染色(Toluidine Blue),骨髓及血淋巴细胞、粒细胞中均见呈浅紫色、大小不等、形状不同、成丛存在的异染性粘多糖颗粒(即Reilly小体)。X线表现:颅骨前后径增长呈舟状,蝶鞍前床突下塌,蝶鞍变浅平拉长呈鱼钩状。T12和L3椎体较小,椎体前下缘呈鸟嘴状突起,无后突畸形。骨盆两髂骨翼外翻,基底部变尖,髋臼浅平且不规则,两髋外翻(图1)。四肢骨骨干粗短,骨骺发育明显延迟且未融合,双侧尺挠骨远端关节面倾斜分离,2~5掌骨粗短,近端变尖细,腕骨小而不规则。
, http://www.100md.com
图1 骨盆正位片:两髂骨翼外翻伸展,基底部变尖,髋臼浅而不规则,髋外翻,坐骨大切迹深凹
1.2 例2:(例1之妹),女,9岁。其发病过程、临床和X线表现与例1基本相同,唯其尺挠骨、手腕诸骨的表现较为典型(图2)。
图2 双手腕关节正位片:两侧尺挠骨远端变细变形,关节面倾斜分离;
腕骨小而不规则;双侧2~5掌骨近端变尖细,指骨远端呈锥形改变
1.3 例3:(例1之弟),男,4岁。其发病过程、临床和X线表现与例1基本相同,唯其胸腰椎及颅骨的表现较为典型(图3,4)。
, 百拇医药
图3 胸腰椎侧位片:T12及L1,2椎体较小,椎体前下缘呈鸟嘴样突起,脊柱轻度后突
图4 颅骨侧位片:颅骨前后径明显增大呈舟状,额骨隆突,眶上嵴轻突,蝶鞍前床突下塌,蝶鞍变浅平拉长呈鱼钩状
2 讨论
2.1 病因、命名和分型:MPS为一种遗传性粘多糖代谢障碍性疾病,是由于粘多糖代谢的酶先天性缺陷致粘多糖分解障碍而大量蓄积于全身结缔组织所引起的疾病。过去由于病因不明而有许多名称。1948年Lindsay认为此病人器官中的沉积物是糖元与蛋白质的结合物,Brante于1952年分离出粘液多糖类,并以此解释骨骼之畸形[1]。1965年后证实,本病的粘多糖蓄积并非合成增多而是分解障碍[2]。各型MPS均由特定的酶先天缺乏所致,1966年Mckusick根据其临床表现、生化特征和遗传方式分为六型,1972年又增加4个亚型和第Ⅶ型(见附表),有人将MPSⅢ和MPSⅣ混合型列为MPSⅧ型[1,2]。
, http://www.100md.com
附表 粘多糖病的分型、临床及X线特征 类型
亚型
临床表现
遗传特性
尿AMPS
缺陷的酶
X线表现
MPSⅠ型
MPSⅠH
(Hurler
综合征)
角膜混浊,智力低下,多发性骨发育不良,心血管疾病,多在10岁以前死亡
, 百拇医药
常染色体
隐性遗传
DS
HS
α—左旋艾杜
糖醛酸酶
MPSⅠS
(Scheie
综合征)
智力正常,角膜混浊,关节僵直,主动脉瓣回流
″
″
″
, http://www.100md.com
骨畸形严重,头颅、脊椎、四肢和骨盆均
具有特征
MPS H/S
(Hurler
-Scheie
综合征)
症状介于Hurler和
Scheie综合征之间
″
″
″
MPSⅡ型
, http://www.100md.com
(Hunter
综合征)
MPSⅡA
(重型)
无角膜混浊,其它症状与
Hurler综合征相同,但较轻,可活到15岁
X性联性
隐性遗传
DS
HS
硫酸艾杜糖
硫酸酯酶
, 百拇医药
与MPSⅠ型相似,但较轻
MPSⅡB
(轻型)
智力正常,可活到30~50岁
″
″
″
MPSⅢ型
(Sanfi-
lippo
综合征)
MPSⅢA
MPSⅢB
, http://www.100md.com
严重的智力障碍和
轻度体格异常
与MPSⅢA大致相同
常染色体
隐性遗传
″
HS″
硫酸乙酰肝素硫酸酯酶
N—乙酰—α—D—氨
基葡萄糖苷酶
与MPSⅠ和
MPSⅡ型相似,但较轻
, 百拇医药
MPSⅣ型
(Morquio
综合征)
严重骨骼异常,轻度角膜混浊,智力正常或稍差,主动脉回流
常染色体
隐性遗传
KS
N-乙酰氨基已糖
-6-硫酸酯酶
椎体普遍变扁,椎间隙增宽,具有特征性
MPSⅤ型
即Scheie综合征
, http://www.100md.com
骨畸形轻微无特征性
MPSⅥ型
(Marote
aux-Lamy
综合征)
严重骨胳异常,角膜混浊,心瓣膜病,但智力正常,可活到20岁,临床上又
按其不同程度
分为轻、中、重型
常染色体
隐性遗传
DS
N-乙酰氨基半乳
, 百拇医药
糖-4-硫酸酯酶
骨畸形严重与MPSⅠH相似
MPSⅦ型
(β-glucu
ronidase
缺陷病)
肝脾肿大,多发性骨
发育不全,智力障碍
常染色体
隐性遗传
DS
HS
, 百拇医药
CS
β-葡萄糖苷酸酶
骨畸形严重与MPSⅠH相似
注:DS:Dermatan sulfate 硫酸皮肤素 KS:Keratan sulfate 硫酸角质素
HS:Heparan sulfate 硫酸肝素 CS:Chondroitin sulfate 硫酸软骨素
(转引自谢大钊.粘多糖代谢与粘多糖病.中华放射学杂志,1983,17(2):129-134.有改动。)
2.2 临床表现:MPS主要表现为骨骼、内脏和智力上的广泛异常,具有特殊丑陋之面容、骨骼畸形、侏儒、运动及智力障碍和角膜混浊等特征[1~4]。但各型表现不一致,严重程度差别甚大
, 百拇医药
(见附表)。临床上以Ⅰ、Ⅱ、Ⅳ型相对多见,其他各型较少见。尿中粘多糖酸与本病型别的关系并非绝对,智力减退与尿中含硫酸肝素有关,角膜混浊与硫酸皮肤素有关,临床症状与沉积量平行[1]。
2.3 X线表现:MPS的X线表现为多发性骨发育障碍所引起的骨关节异常,主要有骨组织广泛稀疏、骨骺发育迟缓和骨关节畸形。但不同型别在严重程度和侵犯部位上又各有特殊表现(见附表)[1~4]。MPSⅠH型的X线表现较明显而典型,MPSⅠS、MPSⅡ及MPSⅢ型与之大致相似,只是程度较轻或不明显。MPSⅥ型及MPSⅦ型的X线表现及严重程度与MPSⅠH型大致相同。MPSⅣ型的脊椎改变较特殊,表现为广泛的椎体变扁,可侵及全部脊椎,但常以胸椎和上腰椎最显著。
2.4 诊断与鉴别诊断:MPS根据临床特征、X线检查、尿AMPS测定和骨髓及血淋巴细胞、粒细胞浆中Reilly小体等综合分析可正确诊断。MPS与粘脂病临床和X线相似,但无粘多糖尿,与软骨营养障碍和克汀病X线征像不同。可资鉴别[1~4]。MPS各型别之间也须注意鉴别(见附表)。
, 百拇医药
参考文献
[1] 林丽蓉,林文涛,余满松.医学综合征大全[M].北京:中国科学技术出版社,1994.417-423.
[2] 谢大钊.粘多糖代谢与粘多糖病[J].中华放射学杂志,1983,17(2):129-134.
[3] 夏瑞淦,胡振民,李国业,等.粘多糖病的临床表现及X线诊断[J].中华放射学杂志,1981,15(2):143-148.
[4] 杜敏联,曾畿生.粘多糖病137例综合报告[J].中华儿科杂志,1980,18(4):214-218., 百拇医药
单位:山东省胜利油田中心医院放射科 257034
关键词:
实用放射学杂志001034[中图分类号] R681.1
[文章编号] 1002-1671(2000)10-0632-03
Mucopolysaccharidosis IH Type:3 Cases in a Family
粘多糖病(Mucopolysaccharidosis,简称MPS)甚少见,我院得见MPS ⅠH型一家族同胞兄妹三例,现报告如下:
1 病例报告
1.1 例1:男,12岁。患儿出生时发育正常,于1岁左右时开始出现体格、智力发育迟缓且逐渐加重伴进行性痴呆。体检:身材矮小,四肢短小畸形,身高96 cm。头大,痴呆,面容丑陋,角膜混浊,额部和两颊突出,塌鼻,牙齿残缺不齐。心肺正常。腹部膨隆,肝脾肿大且质硬。四肢关节僵硬,髋、膝关节外翻。双手指短而弯曲成爪状。腰背部无后突畸形。实验室检查:尿中硫酸软骨素B和硫酸肝素显著增加。甲苯胺蓝染色(Toluidine Blue),骨髓及血淋巴细胞、粒细胞中均见呈浅紫色、大小不等、形状不同、成丛存在的异染性粘多糖颗粒(即Reilly小体)。X线表现:颅骨前后径增长呈舟状,蝶鞍前床突下塌,蝶鞍变浅平拉长呈鱼钩状。T12和L3椎体较小,椎体前下缘呈鸟嘴状突起,无后突畸形。骨盆两髂骨翼外翻,基底部变尖,髋臼浅平且不规则,两髋外翻(图1)。四肢骨骨干粗短,骨骺发育明显延迟且未融合,双侧尺挠骨远端关节面倾斜分离,2~5掌骨粗短,近端变尖细,腕骨小而不规则。
, http://www.100md.com
图1 骨盆正位片:两髂骨翼外翻伸展,基底部变尖,髋臼浅而不规则,髋外翻,坐骨大切迹深凹
1.2 例2:(例1之妹),女,9岁。其发病过程、临床和X线表现与例1基本相同,唯其尺挠骨、手腕诸骨的表现较为典型(图2)。
图2 双手腕关节正位片:两侧尺挠骨远端变细变形,关节面倾斜分离;
腕骨小而不规则;双侧2~5掌骨近端变尖细,指骨远端呈锥形改变
1.3 例3:(例1之弟),男,4岁。其发病过程、临床和X线表现与例1基本相同,唯其胸腰椎及颅骨的表现较为典型(图3,4)。
, 百拇医药
图3 胸腰椎侧位片:T12及L1,2椎体较小,椎体前下缘呈鸟嘴样突起,脊柱轻度后突
图4 颅骨侧位片:颅骨前后径明显增大呈舟状,额骨隆突,眶上嵴轻突,蝶鞍前床突下塌,蝶鞍变浅平拉长呈鱼钩状
2 讨论
2.1 病因、命名和分型:MPS为一种遗传性粘多糖代谢障碍性疾病,是由于粘多糖代谢的酶先天性缺陷致粘多糖分解障碍而大量蓄积于全身结缔组织所引起的疾病。过去由于病因不明而有许多名称。1948年Lindsay认为此病人器官中的沉积物是糖元与蛋白质的结合物,Brante于1952年分离出粘液多糖类,并以此解释骨骼之畸形[1]。1965年后证实,本病的粘多糖蓄积并非合成增多而是分解障碍[2]。各型MPS均由特定的酶先天缺乏所致,1966年Mckusick根据其临床表现、生化特征和遗传方式分为六型,1972年又增加4个亚型和第Ⅶ型(见附表),有人将MPSⅢ和MPSⅣ混合型列为MPSⅧ型[1,2]。
, http://www.100md.com
附表 粘多糖病的分型、临床及X线特征 类型
亚型
临床表现
遗传特性
尿AMPS
缺陷的酶
X线表现
MPSⅠ型
MPSⅠH
(Hurler
综合征)
角膜混浊,智力低下,多发性骨发育不良,心血管疾病,多在10岁以前死亡
, 百拇医药
常染色体
隐性遗传
DS
HS
α—左旋艾杜
糖醛酸酶
MPSⅠS
(Scheie
综合征)
智力正常,角膜混浊,关节僵直,主动脉瓣回流
″
″
″
, http://www.100md.com
骨畸形严重,头颅、脊椎、四肢和骨盆均
具有特征
MPS H/S
(Hurler
-Scheie
综合征)
症状介于Hurler和
Scheie综合征之间
″
″
″
MPSⅡ型
, http://www.100md.com
(Hunter
综合征)
MPSⅡA
(重型)
无角膜混浊,其它症状与
Hurler综合征相同,但较轻,可活到15岁
X性联性
隐性遗传
DS
HS
硫酸艾杜糖
硫酸酯酶
, 百拇医药
与MPSⅠ型相似,但较轻
MPSⅡB
(轻型)
智力正常,可活到30~50岁
″
″
″
MPSⅢ型
(Sanfi-
lippo
综合征)
MPSⅢA
MPSⅢB
, http://www.100md.com
严重的智力障碍和
轻度体格异常
与MPSⅢA大致相同
常染色体
隐性遗传
″
HS″
硫酸乙酰肝素硫酸酯酶
N—乙酰—α—D—氨
基葡萄糖苷酶
与MPSⅠ和
MPSⅡ型相似,但较轻
, 百拇医药
MPSⅣ型
(Morquio
综合征)
严重骨骼异常,轻度角膜混浊,智力正常或稍差,主动脉回流
常染色体
隐性遗传
KS
N-乙酰氨基已糖
-6-硫酸酯酶
椎体普遍变扁,椎间隙增宽,具有特征性
MPSⅤ型
即Scheie综合征
, http://www.100md.com
骨畸形轻微无特征性
MPSⅥ型
(Marote
aux-Lamy
综合征)
严重骨胳异常,角膜混浊,心瓣膜病,但智力正常,可活到20岁,临床上又
按其不同程度
分为轻、中、重型
常染色体
隐性遗传
DS
N-乙酰氨基半乳
, 百拇医药
糖-4-硫酸酯酶
骨畸形严重与MPSⅠH相似
MPSⅦ型
(β-glucu
ronidase
缺陷病)
肝脾肿大,多发性骨
发育不全,智力障碍
常染色体
隐性遗传
DS
HS
, 百拇医药
CS
β-葡萄糖苷酸酶
骨畸形严重与MPSⅠH相似
注:DS:Dermatan sulfate 硫酸皮肤素 KS:Keratan sulfate 硫酸角质素
HS:Heparan sulfate 硫酸肝素 CS:Chondroitin sulfate 硫酸软骨素
(转引自谢大钊.粘多糖代谢与粘多糖病.中华放射学杂志,1983,17(2):129-134.有改动。)
2.2 临床表现:MPS主要表现为骨骼、内脏和智力上的广泛异常,具有特殊丑陋之面容、骨骼畸形、侏儒、运动及智力障碍和角膜混浊等特征[1~4]。但各型表现不一致,严重程度差别甚大
, 百拇医药
(见附表)。临床上以Ⅰ、Ⅱ、Ⅳ型相对多见,其他各型较少见。尿中粘多糖酸与本病型别的关系并非绝对,智力减退与尿中含硫酸肝素有关,角膜混浊与硫酸皮肤素有关,临床症状与沉积量平行[1]。
2.3 X线表现:MPS的X线表现为多发性骨发育障碍所引起的骨关节异常,主要有骨组织广泛稀疏、骨骺发育迟缓和骨关节畸形。但不同型别在严重程度和侵犯部位上又各有特殊表现(见附表)[1~4]。MPSⅠH型的X线表现较明显而典型,MPSⅠS、MPSⅡ及MPSⅢ型与之大致相似,只是程度较轻或不明显。MPSⅥ型及MPSⅦ型的X线表现及严重程度与MPSⅠH型大致相同。MPSⅣ型的脊椎改变较特殊,表现为广泛的椎体变扁,可侵及全部脊椎,但常以胸椎和上腰椎最显著。
2.4 诊断与鉴别诊断:MPS根据临床特征、X线检查、尿AMPS测定和骨髓及血淋巴细胞、粒细胞浆中Reilly小体等综合分析可正确诊断。MPS与粘脂病临床和X线相似,但无粘多糖尿,与软骨营养障碍和克汀病X线征像不同。可资鉴别[1~4]。MPS各型别之间也须注意鉴别(见附表)。
, 百拇医药
参考文献
[1] 林丽蓉,林文涛,余满松.医学综合征大全[M].北京:中国科学技术出版社,1994.417-423.
[2] 谢大钊.粘多糖代谢与粘多糖病[J].中华放射学杂志,1983,17(2):129-134.
[3] 夏瑞淦,胡振民,李国业,等.粘多糖病的临床表现及X线诊断[J].中华放射学杂志,1981,15(2):143-148.
[4] 杜敏联,曾畿生.粘多糖病137例综合报告[J].中华儿科杂志,1980,18(4):214-218., 百拇医药