脾脏巨大良性间叶瘤1例报告
作者:张明杰 周钦耀
单位:山东省金乡县人民医院影像科 272200
关键词:
实用放射学杂志001032[中图分类号] R733.2
[文章编号] 1002-1671(2000)10-0631-01
One Case:Huge Benign Mesenchymoma of Spleen
患者,男,58岁。1年前始出现左上腹胀痛,近1个月来疼痛加重,有时可扪及包块。体检:左侧肋缘下脾区似可扪及肿块,轻度压痛,肝脏无肿大。无腰痛、血尿及纳差、乏力和发热。
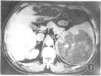
B型超声显示:左肾上极区可探及一实性低回声占位,大小为14.51 cm×13.26 cm,形态呈圆形,边界清楚,包膜完整。诊断为左肾上极区实性占位病变。排泄性尿路造影:双侧肾脏功能正常。CT平扫示:脾脏显著增大,内有一类圆形肿物,大小为14.3 cm×12.6 cm,肿物内密度不均匀,有等、低密度灶和不规则的点、结节状高密度钙化,肿块边界光滑,清晰(图1)。增强CT扫描:肿物内等密度灶与正常脾实质强化一致,其边界也更加清晰(图2)。CT诊断:脾脏肿瘤(良性可能性大)。
图1 CT扫描见脾脏内约14.3 cm×12.6 cm大小肿物,为混合密度,其边界清楚
图2 CT增强示肿物部分边缘及肿物内等密度灶不均匀强化,肿物边界更加清晰,残留的脾实质呈正常强化表现
术中所见:脾门上方巨大类圆形肿物,直径约15.0 cm,表面光滑,边缘规则,质韧,包膜完整,脾脏与膈面粘连紧密。
镜下见肿物由纤维组织、血管和淋巴管构成,伴广泛透明变性及坏死。病理诊断:脾脏良性间叶瘤。
讨论:脾脏原发性肿瘤很少见,如此巨大的良性间叶瘤实属罕见,笔者未曾见国内有类似文献报道。间叶瘤分为良性和恶性,起源于中胚叶组织。良性间叶瘤,以中年人多见,主要位于四肢及躯干,其次见于腹膜后及纵隔,少数见于其他脏器。肿瘤平均直径约5 cm,无明显包膜,界限清楚。病理所见除含纤维组织外,肿瘤尚有血管、脂肪、淋巴管、平滑肌、粘液组织、骨及软骨等多种分化良好的间叶成份。恶性间叶瘤,好发于中老年人,可发生在任何部位,但以腹膜后及下肢多见。肿瘤生长较快,瘤体较大,直径多大于10 cm,界限不清,无包膜,常有坏死,出血及囊性变。临床上二者均无特异性。本例患者因兼有上述两者的部分特征,而影像学表现又无明显特征性,因此术前诊断较为困难。
鉴别诊断:脾脏良性肿瘤中以血管瘤最常见,其表现类似肝脏的血管瘤,增强CT扫描可确定诊断。而错构瘤和淋巴管瘤则非常少见,但有人认为良性间叶瘤许多属于错构瘤。在脾脏恶性肿瘤中,主要为血管肉瘤。它表现为患者消耗性体质,脾脏的孤立性占位,且多数病人有早期转移,主要是肝脏、骨骼和淋巴结。, http://www.100md.com
单位:山东省金乡县人民医院影像科 272200
关键词:
实用放射学杂志001032[中图分类号] R733.2
[文章编号] 1002-1671(2000)10-0631-01
One Case:Huge Benign Mesenchymoma of Spleen
患者,男,58岁。1年前始出现左上腹胀痛,近1个月来疼痛加重,有时可扪及包块。体检:左侧肋缘下脾区似可扪及肿块,轻度压痛,肝脏无肿大。无腰痛、血尿及纳差、乏力和发热。
B型超声显示:左肾上极区可探及一实性低回声占位,大小为14.51 cm×13.26 cm,形态呈圆形,边界清楚,包膜完整。诊断为左肾上极区实性占位病变。排泄性尿路造影:双侧肾脏功能正常。CT平扫示:脾脏显著增大,内有一类圆形肿物,大小为14.3 cm×12.6 cm,肿物内密度不均匀,有等、低密度灶和不规则的点、结节状高密度钙化,肿块边界光滑,清晰(图1)。增强CT扫描:肿物内等密度灶与正常脾实质强化一致,其边界也更加清晰(图2)。CT诊断:脾脏肿瘤(良性可能性大)。
图1 CT扫描见脾脏内约14.3 cm×12.6 cm大小肿物,为混合密度,其边界清楚
图2 CT增强示肿物部分边缘及肿物内等密度灶不均匀强化,肿物边界更加清晰,残留的脾实质呈正常强化表现
术中所见:脾门上方巨大类圆形肿物,直径约15.0 cm,表面光滑,边缘规则,质韧,包膜完整,脾脏与膈面粘连紧密。
镜下见肿物由纤维组织、血管和淋巴管构成,伴广泛透明变性及坏死。病理诊断:脾脏良性间叶瘤。
讨论:脾脏原发性肿瘤很少见,如此巨大的良性间叶瘤实属罕见,笔者未曾见国内有类似文献报道。间叶瘤分为良性和恶性,起源于中胚叶组织。良性间叶瘤,以中年人多见,主要位于四肢及躯干,其次见于腹膜后及纵隔,少数见于其他脏器。肿瘤平均直径约5 cm,无明显包膜,界限清楚。病理所见除含纤维组织外,肿瘤尚有血管、脂肪、淋巴管、平滑肌、粘液组织、骨及软骨等多种分化良好的间叶成份。恶性间叶瘤,好发于中老年人,可发生在任何部位,但以腹膜后及下肢多见。肿瘤生长较快,瘤体较大,直径多大于10 cm,界限不清,无包膜,常有坏死,出血及囊性变。临床上二者均无特异性。本例患者因兼有上述两者的部分特征,而影像学表现又无明显特征性,因此术前诊断较为困难。
鉴别诊断:脾脏良性肿瘤中以血管瘤最常见,其表现类似肝脏的血管瘤,增强CT扫描可确定诊断。而错构瘤和淋巴管瘤则非常少见,但有人认为良性间叶瘤许多属于错构瘤。在脾脏恶性肿瘤中,主要为血管肉瘤。它表现为患者消耗性体质,脾脏的孤立性占位,且多数病人有早期转移,主要是肝脏、骨骼和淋巴结。, http://www.100md.com