牛磺酸对肾性高血压大鼠心肌细胞凋亡的影响
作者:余良主 化长林 尹时华
单位:(咸宁医学院生理学教研室,咸宁 437100)
关键词:肾性高血压;牛磺酸;心肌细胞凋亡;大鼠
咸宁医学院学报000201 摘 要 目的:探讨牛磺酸对高血压大鼠左室心肌细胞凋亡的影响。方法:建立肾血管性高血压大鼠模型,心肌细胞凋亡检测采用TdT介导的原位末端缺口标记法(TUNEL),AngⅡ测定采用放免法。结果:与相应假手术组相比,两组模型组(4周、12周)心肌AngⅡ含量增多(P<0.001),心肌细胞凋亡增多(P<0.001);与12周模型组相比,给药组左心室/ 体重比和心肌AngⅡ含量减少(P<0.001),心肌细胞凋亡减少(P<0.001),与正常组相近。结论:高血压大鼠心肌细胞凋亡增多,牛磺酸对高血压心肌细胞凋亡有抑制作用。
中图分类号 R965 文献标识码 A
, 百拇医药
文章编号 1008-0635(2000)02-0077-04
The Effect of Taurine on Cardiomyocyte Apoptosis in the
Rats with Renovascular Hypertension
YU Lianzhu HUA Changling YIN Shihua
(Department of physiology,Xianning medical college,Xianning 437100)
ABSTRACT Objective To investigate the effect of taurine on cardiomyocyte apoptosis in the rats with renovascular hypertension.Methods The model of renovascular hypertension was established in rats.Cardiomocyte apoptosis was measured by using terminal deoxynucleotidyl transferase-mediated dUTP nick end-labeling method.AngII content in the left ventricles of the rats was measured by radioimmunoassay.Results Comparing with corresponding sham-operated groups,both 4 weeks and 12 weeks 2K1C groups exhibited increased AngII content(P<0.001) and increaed cardiomyocyte apoptosis(P<0.001).Comparing with 12 weeks 2K1C non-treated group,the 12 weeks 2K1C rats treated with taurine exhibited a reduce of the AngII content(P<0.001),the ratio of left ventricle weight to body weight(P<0.01) and the cardiomyocyte apoptosis(P<0.001),which are similar to 12 weeks sham-operated group.Conclusion In renohypertensive rats,the cardiomyocyte apoptosis is stimulated,and this apoptosis can be inhibited by treatment with taurine.
, 百拇医药
KEY WORDS Renovascular hypertension;Taurine;Cardiomyocyte apoptosis;Rat
高血压心肌肥厚的病理特征为心肌细胞肥大,非心肌细胞增生,胶原增生堆积。近年研究显示[1],自发性高血压大鼠(SHR)、小鼠心室肌细胞凋亡增加,但其凋亡增多机制及其与心肌肥厚的关系目前尚不清楚。本研究检测肾性高血压大鼠左室心肌细胞凋亡的改变及其与心肌肥厚的关系,探讨牛磺酸对高血压心肌细胞凋亡的影响。
1 材料与方法
1.1材料
凋亡原位标记检测试剂盒购自德国宝灵曼公司,AngⅡ放免试剂盒购自北京北方免疫试剂研究所(批内差异系数<5%,批间差异系数<10%)。微型动物测压仪,购自湖南医科大学生理研究所;TG328B电光分析天平,购自上海天平仪器厂。
, http://www.100md.com
1.2 动物模型
体重180~220g健康雄性Wistar大鼠75只,购自本院动物室。采用二肾一夹(2K1C)肾血管性高血压模型:经3%戊巴比妥钠(30mg/kg体重,腹腔注射)麻醉,俯卧固定,沿左侧腰大肌外缘于背部作一长约2~3cm切口,游离左肾动脉,并用内径为0.25mm银夹缩窄。假手术组手术操作除左肾动脉不安置银夹外,余同模型组。术后每天每只大鼠注射青霉素5万单位预防感染。术后4周每周测血压一次,凡术后收缩压较术前升高20mmHg以上,且高于140mmHg者确定为高血压形成,并进行药物实验。
1.3 实验分组
将实验用大鼠分3组:①假手术组,手术操作除左肾动脉不安置银夹外,余同模型组。②模型组。①、②组均分为术后4周末和8周末两个时间点处死(分别称为4周假手术组、12周假手术组、4周模型组和12周模型组)。③牛磺酸组,于术后4周末开始灌饲牛磺酸,50mg/ kg.d,给药8周后处死。相应假手术组、模型组灌以同等容积生理盐水。
, 百拇医药
1.4 检测指标
1.4.1 尾动脉收缩压(SBP)
采用大鼠微型动物测压仪,测量大鼠尾动脉收缩压。
1.4.2 左心室/ 体重比(LVW/BW)
动物称重后麻醉处死。取心脏,去除心脏周围脂肪结缔组织,分离左室,滤纸吸干称重,求每只大鼠LVW/BW。
1.4.3 心肌AngII含量(AngⅡ)
取一定量左室心肌,称重后加入0.5mol/L乙酸5ml,煮沸15分钟,冷却后冰上匀浆(4℃),离心(3,000rpm,20分钟),取上清液置-30℃低温冰箱保存,AngII含量测定采用放免法,按说明书操作,所有测量配副管。
, 百拇医药
1.4.4 心肌细胞凋亡检测
采用TdT介导的dUTP缺口末端标记法(TUNEL)对凋亡细胞进行原位检测,主要流程是:石蜡切片脱蜡,梯度酒精逐步水化,20μg/L蛋白酶K 37℃消化15分钟,0.3%H2O2水溶液灭活内源性过氧化物酶,PBS洗,加末端转移酶与荧光标记的核甘酸反应混合液(37℃,1h)、PBS洗;加过氧化酶标记的抗荧光抗体(37℃,1/2h),PBS洗 ,DAB显色,苏木素核复染,脱水透明封片,检测。阴性对照的反应混合液中不加末端转移酶,阳性对照用已知阳性片,以胞核着棕黄色为阳性,用计算机图像分析系统分析(同济医科大学电镜室),每组随机取4、5张切片,每张切片随机取10个视野,至少计数1000个细胞,以细胞阳性染色的平均光密度值(OD值)表示凋亡指数(apoptotic index,AI)。
1.5 统计分析
所有数据用均数±标准差(
±s)表示,两组间比较用t检验,多组间的比较用方差分析和q检验,相应指标间用相关分析,P<0.05为有显著性差异。
, http://www.100md.com
2 结 果
2.1牛磺酸对肾性高血压大鼠SBP、LVW/BW和AnⅡ的影响见表1
2.2 牛磺酸对心肌细胞凋亡的影响
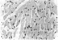
4周、12周假手术组与牛磺酸组大鼠心肌可见到极少量凋亡细胞,4、12周模型组心肌凋亡阳性细胞明显较多,呈散在分布,有些区域相对集中(图1~4)。经图像分析系统检测,各组心肌凋亡阳性染色的AI见表1。结果显示,4周模型组OD值为4周假手术组2.04倍(P<0.001),12周模型组OD值为12周假手术组2.53倍(P<0.001)。12周模型组OD值比4周模型组OD值明显增大(P<0.01)。给药组OD值较之12周模型组明显下降(P<0.001),而与正常组相近。
2.3 高血压大鼠心肌细胞凋亡指数与左室重/体重比的相关关系
结果显示,12周模型组心肌细胞凋亡指数与左室重/体重比间无相关关系。
, 百拇医药
表1 牛磺酸对肾性高血压大鼠SBP、LVW/ BV、AngⅡ和AI的影响(
±s)
n
SBP(kPa)
LVW/ BW(mg/ g)
AngⅡ(ng/g)
AI(OD)
4周假手术组
15
14.5±1.9
2.70±0.44
, 百拇医药
5.3±1.4
0.29±0.03
4周模型组
9
21.7±2.0*
3.03±0.36
10.7±2.9*
1.08±0.14*
12周假手术组
15
15.3±2.0
, http://www.100md.com
2.75±0.30
6.0±1.5
0.31±0.04
12周模型组
8
22.4±1.9*
3.94±0.48*△
15.4±3.4*△
1.47±0.16*△
牛磺酸组
8
, http://www.100md.com
16.1±2.3#
3.00±0.5#
7.5±2.1#
0.32±0.05#
与相应假手术组比较*P<0.001,与12周模型组比较#P<0.001,与4周模型组比较△P<0.01
图1 假手术组,极少量凋亡阳性细胞×400
图2 4周模型组,大量凋亡阳性细胞×400
, http://www.100md.com
图3 12周模型组,大量凋亡阳性细胞×400
图4 牛磺酸组,极少量凋亡阳性细胞×400
3 讨 论
细胞凋亡是近几年来生物医学界最活跃的研究方向之一。Hamet等研究最先证实[1],自发性高血压大鼠(SHR)、小鼠心室肌细胞凋亡增加。高血压中心肌细胞凋亡的可能诱导因素有两种,即血液动力学因素和非动力学因素。实验证实[2],急性压力负荷过重,可以选择性地诱发心肌细胞凋亡增加。压力负荷过重引起心肌牵张过度,还可以促进细胞表面分子Fas表达增加[3],后者被称为死亡受体,是细胞凋亡的特征性分子之一,Fas信号系统参与细胞凋亡发生机制。因此,压力负荷过重可能通过死亡受体Fas系统介导的途径诱导心肌细胞凋亡发生。除了压力负荷过重外,促生长因子AngII也可诱导长期负荷过重下心脏的心肌细胞凋亡[4]。NO对心肌细胞凋亡也有促进作用[5]。事实上,负荷过重心脏本身的氧耗也相对增加,导致超氧阴离子产生,后者激活心肌细胞凋亡。
, 百拇医药
Teiger等[2]研究显示心肌细胞凋亡出现于主动脉闭塞的早期,持续时间短,明显先于心肌肥厚,并在心肌肥厚形成时衰退。据此,他们推测心肌细胞凋亡失调可能参与高血压心脏结构重塑过程。但本研究却显示心肌细胞凋亡增加出现在心肌肥厚形成之前(4周)及形成后(12周),且应用牛磺酸治疗后,其心肌细胞凋亡反而受到抑制,肥厚消退。相关分析显示高血压心肌细胞凋亡改变与心肌肥厚(左室重/体重)形成间没有相关关系。造成本实验与Teiger等结果不符的原因可能有:①两者实验模型不同,前者采用急性压力负荷过重模型,本实验是肾性高血压模型。②本实验观察时间点太少。目前实验可以证实,心肌细胞凋亡至少参与了高血压性心脏损害的发生。Li等[6]研究提示,SHR在由心肌肥厚向心力衰竭转变时,其心肌细胞凋亡明显增多,而卡托普利在改善心功能的同时,也使心肌细胞凋亡减少,因而Li等推测,心肌凋亡增多是心衰中心肌细胞丢失的机制所在。事实上,高血压性心肌肥厚发生的同时,其心肌毛细血管网稀疏,也影响心肌供血,直接恶化心功能并加重心肌细胞凋亡。
, 百拇医药
本实验应用牛磺酸治疗肾性高血压大鼠,观察到牛磺酸明显抑制了高血压大鼠心肌细胞凋亡的增多。已有实验证实[7,8],牛磺酸对某些细胞如血管内皮细胞、肝细胞凋亡有抑制作用,其机制与牛磺酸抑制活性氧自由基和NO活性,稳定细胞内钙离子有关。事实上,高血压大鼠心肌存在钙超载现象[9],心肌MDA含量也是增多的,牛磺酸对心肌钙超载具有抑制作用[9]。因此,我们推测牛磺酸可能通过上述途径抑制心肌细胞凋亡。
总之,本研究证实肾性高血压大鼠心肌细胞凋亡增多,牛磺酸治疗对心肌细胞凋亡具有抑制作用。心肌细胞凋亡增多至少与高血压性心脏损害发生有关。因而,本研究提示抗高血压药物治疗也应着重于对心血管组织细胞凋亡失调的调控。
参考文献
1,Hamet P,Richard L,Dam TV,et al.Apoptosis in target organs of hypertension.Hypertension,1995;26:642
, 百拇医药
2,Teiger E,Dam TV,Richard L,et al.Apoptosis in pressure-overload-induced heart hypertrophy in the rat.J Clin Invest,1996;97:2891
3,Watanabe-Fukunaga R,Brannan CI,Copeland NJ,et al.Lympho-proliferation disorder in mice explained by defects in Fas antigen that mediates apoptosis.Nature,1992;356:314
4,Katz AM.The cardiomyopathy of overload:an unnatural growth response.Eur Heart J,1995;16(suppl O):110
, 百拇医药
5,Pinsky DJ,Yang X,Aji W,et al.Nitric oxide induces apoptosis of adult rat cardiac myocytes.Circulation,1995;92(SupplI):I-565.Abstract
6,Li Z,Bing OHL,Long XL,et al.Increased cardiomyocyte apoptosis during the transition to heart failure in the spontaneously hypertensive rat.Am J Physiol,1997;272:H2313
7,Redmond HP,Wang JH,Bouchier-Hayers D.Taurine attenuates nitic oxide- and reactive oxygen intermediate-dependent hepatocyte injury.Arch Surg,1996;131:1287
8,Wang JH,Redmond HP,Watson RW,et al.The beneficial effect of taurine on the prevention of human endothelial cell death.Shock,1996;6:331
9,陶亮,饶曼人.依那普利和牛磺酸逆转肾性高血压大鼠左心室肥厚及抗心律失常的作用.药学学报,1996;31:891
收稿2000-03-22
, 百拇医药
单位:(咸宁医学院生理学教研室,咸宁 437100)
关键词:肾性高血压;牛磺酸;心肌细胞凋亡;大鼠
咸宁医学院学报000201 摘 要 目的:探讨牛磺酸对高血压大鼠左室心肌细胞凋亡的影响。方法:建立肾血管性高血压大鼠模型,心肌细胞凋亡检测采用TdT介导的原位末端缺口标记法(TUNEL),AngⅡ测定采用放免法。结果:与相应假手术组相比,两组模型组(4周、12周)心肌AngⅡ含量增多(P<0.001),心肌细胞凋亡增多(P<0.001);与12周模型组相比,给药组左心室/ 体重比和心肌AngⅡ含量减少(P<0.001),心肌细胞凋亡减少(P<0.001),与正常组相近。结论:高血压大鼠心肌细胞凋亡增多,牛磺酸对高血压心肌细胞凋亡有抑制作用。
中图分类号 R965 文献标识码 A
, 百拇医药
文章编号 1008-0635(2000)02-0077-04
The Effect of Taurine on Cardiomyocyte Apoptosis in the
Rats with Renovascular Hypertension
YU Lianzhu HUA Changling YIN Shihua
(Department of physiology,Xianning medical college,Xianning 437100)
ABSTRACT Objective To investigate the effect of taurine on cardiomyocyte apoptosis in the rats with renovascular hypertension.Methods The model of renovascular hypertension was established in rats.Cardiomocyte apoptosis was measured by using terminal deoxynucleotidyl transferase-mediated dUTP nick end-labeling method.AngII content in the left ventricles of the rats was measured by radioimmunoassay.Results Comparing with corresponding sham-operated groups,both 4 weeks and 12 weeks 2K1C groups exhibited increased AngII content(P<0.001) and increaed cardiomyocyte apoptosis(P<0.001).Comparing with 12 weeks 2K1C non-treated group,the 12 weeks 2K1C rats treated with taurine exhibited a reduce of the AngII content(P<0.001),the ratio of left ventricle weight to body weight(P<0.01) and the cardiomyocyte apoptosis(P<0.001),which are similar to 12 weeks sham-operated group.Conclusion In renohypertensive rats,the cardiomyocyte apoptosis is stimulated,and this apoptosis can be inhibited by treatment with taurine.
, 百拇医药
KEY WORDS Renovascular hypertension;Taurine;Cardiomyocyte apoptosis;Rat
高血压心肌肥厚的病理特征为心肌细胞肥大,非心肌细胞增生,胶原增生堆积。近年研究显示[1],自发性高血压大鼠(SHR)、小鼠心室肌细胞凋亡增加,但其凋亡增多机制及其与心肌肥厚的关系目前尚不清楚。本研究检测肾性高血压大鼠左室心肌细胞凋亡的改变及其与心肌肥厚的关系,探讨牛磺酸对高血压心肌细胞凋亡的影响。
1 材料与方法
1.1材料
凋亡原位标记检测试剂盒购自德国宝灵曼公司,AngⅡ放免试剂盒购自北京北方免疫试剂研究所(批内差异系数<5%,批间差异系数<10%)。微型动物测压仪,购自湖南医科大学生理研究所;TG328B电光分析天平,购自上海天平仪器厂。
, http://www.100md.com
1.2 动物模型
体重180~220g健康雄性Wistar大鼠75只,购自本院动物室。采用二肾一夹(2K1C)肾血管性高血压模型:经3%戊巴比妥钠(30mg/kg体重,腹腔注射)麻醉,俯卧固定,沿左侧腰大肌外缘于背部作一长约2~3cm切口,游离左肾动脉,并用内径为0.25mm银夹缩窄。假手术组手术操作除左肾动脉不安置银夹外,余同模型组。术后每天每只大鼠注射青霉素5万单位预防感染。术后4周每周测血压一次,凡术后收缩压较术前升高20mmHg以上,且高于140mmHg者确定为高血压形成,并进行药物实验。
1.3 实验分组
将实验用大鼠分3组:①假手术组,手术操作除左肾动脉不安置银夹外,余同模型组。②模型组。①、②组均分为术后4周末和8周末两个时间点处死(分别称为4周假手术组、12周假手术组、4周模型组和12周模型组)。③牛磺酸组,于术后4周末开始灌饲牛磺酸,50mg/ kg.d,给药8周后处死。相应假手术组、模型组灌以同等容积生理盐水。
, 百拇医药
1.4 检测指标
1.4.1 尾动脉收缩压(SBP)
采用大鼠微型动物测压仪,测量大鼠尾动脉收缩压。
1.4.2 左心室/ 体重比(LVW/BW)
动物称重后麻醉处死。取心脏,去除心脏周围脂肪结缔组织,分离左室,滤纸吸干称重,求每只大鼠LVW/BW。
1.4.3 心肌AngII含量(AngⅡ)
取一定量左室心肌,称重后加入0.5mol/L乙酸5ml,煮沸15分钟,冷却后冰上匀浆(4℃),离心(3,000rpm,20分钟),取上清液置-30℃低温冰箱保存,AngII含量测定采用放免法,按说明书操作,所有测量配副管。
, 百拇医药
1.4.4 心肌细胞凋亡检测
采用TdT介导的dUTP缺口末端标记法(TUNEL)对凋亡细胞进行原位检测,主要流程是:石蜡切片脱蜡,梯度酒精逐步水化,20μg/L蛋白酶K 37℃消化15分钟,0.3%H2O2水溶液灭活内源性过氧化物酶,PBS洗,加末端转移酶与荧光标记的核甘酸反应混合液(37℃,1h)、PBS洗;加过氧化酶标记的抗荧光抗体(37℃,1/2h),PBS洗 ,DAB显色,苏木素核复染,脱水透明封片,检测。阴性对照的反应混合液中不加末端转移酶,阳性对照用已知阳性片,以胞核着棕黄色为阳性,用计算机图像分析系统分析(同济医科大学电镜室),每组随机取4、5张切片,每张切片随机取10个视野,至少计数1000个细胞,以细胞阳性染色的平均光密度值(OD值)表示凋亡指数(apoptotic index,AI)。
1.5 统计分析
所有数据用均数±标准差(
, http://www.100md.com
2 结 果
2.1牛磺酸对肾性高血压大鼠SBP、LVW/BW和AnⅡ的影响见表1
2.2 牛磺酸对心肌细胞凋亡的影响
4周、12周假手术组与牛磺酸组大鼠心肌可见到极少量凋亡细胞,4、12周模型组心肌凋亡阳性细胞明显较多,呈散在分布,有些区域相对集中(图1~4)。经图像分析系统检测,各组心肌凋亡阳性染色的AI见表1。结果显示,4周模型组OD值为4周假手术组2.04倍(P<0.001),12周模型组OD值为12周假手术组2.53倍(P<0.001)。12周模型组OD值比4周模型组OD值明显增大(P<0.01)。给药组OD值较之12周模型组明显下降(P<0.001),而与正常组相近。
2.3 高血压大鼠心肌细胞凋亡指数与左室重/体重比的相关关系
结果显示,12周模型组心肌细胞凋亡指数与左室重/体重比间无相关关系。
, 百拇医药
表1 牛磺酸对肾性高血压大鼠SBP、LVW/ BV、AngⅡ和AI的影响(
n
SBP(kPa)
LVW/ BW(mg/ g)
AngⅡ(ng/g)
AI(OD)
4周假手术组
15
14.5±1.9
2.70±0.44
, 百拇医药
5.3±1.4
0.29±0.03
4周模型组
9
21.7±2.0*
3.03±0.36
10.7±2.9*
1.08±0.14*
12周假手术组
15
15.3±2.0
, http://www.100md.com
2.75±0.30
6.0±1.5
0.31±0.04
12周模型组
8
22.4±1.9*
3.94±0.48*△
15.4±3.4*△
1.47±0.16*△
牛磺酸组
8
, http://www.100md.com
16.1±2.3#
3.00±0.5#
7.5±2.1#
0.32±0.05#
与相应假手术组比较*P<0.001,与12周模型组比较#P<0.001,与4周模型组比较△P<0.01
图1 假手术组,极少量凋亡阳性细胞×400
图2 4周模型组,大量凋亡阳性细胞×400
, http://www.100md.com
图3 12周模型组,大量凋亡阳性细胞×400
图4 牛磺酸组,极少量凋亡阳性细胞×400
3 讨 论
细胞凋亡是近几年来生物医学界最活跃的研究方向之一。Hamet等研究最先证实[1],自发性高血压大鼠(SHR)、小鼠心室肌细胞凋亡增加。高血压中心肌细胞凋亡的可能诱导因素有两种,即血液动力学因素和非动力学因素。实验证实[2],急性压力负荷过重,可以选择性地诱发心肌细胞凋亡增加。压力负荷过重引起心肌牵张过度,还可以促进细胞表面分子Fas表达增加[3],后者被称为死亡受体,是细胞凋亡的特征性分子之一,Fas信号系统参与细胞凋亡发生机制。因此,压力负荷过重可能通过死亡受体Fas系统介导的途径诱导心肌细胞凋亡发生。除了压力负荷过重外,促生长因子AngII也可诱导长期负荷过重下心脏的心肌细胞凋亡[4]。NO对心肌细胞凋亡也有促进作用[5]。事实上,负荷过重心脏本身的氧耗也相对增加,导致超氧阴离子产生,后者激活心肌细胞凋亡。
, 百拇医药
Teiger等[2]研究显示心肌细胞凋亡出现于主动脉闭塞的早期,持续时间短,明显先于心肌肥厚,并在心肌肥厚形成时衰退。据此,他们推测心肌细胞凋亡失调可能参与高血压心脏结构重塑过程。但本研究却显示心肌细胞凋亡增加出现在心肌肥厚形成之前(4周)及形成后(12周),且应用牛磺酸治疗后,其心肌细胞凋亡反而受到抑制,肥厚消退。相关分析显示高血压心肌细胞凋亡改变与心肌肥厚(左室重/体重)形成间没有相关关系。造成本实验与Teiger等结果不符的原因可能有:①两者实验模型不同,前者采用急性压力负荷过重模型,本实验是肾性高血压模型。②本实验观察时间点太少。目前实验可以证实,心肌细胞凋亡至少参与了高血压性心脏损害的发生。Li等[6]研究提示,SHR在由心肌肥厚向心力衰竭转变时,其心肌细胞凋亡明显增多,而卡托普利在改善心功能的同时,也使心肌细胞凋亡减少,因而Li等推测,心肌凋亡增多是心衰中心肌细胞丢失的机制所在。事实上,高血压性心肌肥厚发生的同时,其心肌毛细血管网稀疏,也影响心肌供血,直接恶化心功能并加重心肌细胞凋亡。
, 百拇医药
本实验应用牛磺酸治疗肾性高血压大鼠,观察到牛磺酸明显抑制了高血压大鼠心肌细胞凋亡的增多。已有实验证实[7,8],牛磺酸对某些细胞如血管内皮细胞、肝细胞凋亡有抑制作用,其机制与牛磺酸抑制活性氧自由基和NO活性,稳定细胞内钙离子有关。事实上,高血压大鼠心肌存在钙超载现象[9],心肌MDA含量也是增多的,牛磺酸对心肌钙超载具有抑制作用[9]。因此,我们推测牛磺酸可能通过上述途径抑制心肌细胞凋亡。
总之,本研究证实肾性高血压大鼠心肌细胞凋亡增多,牛磺酸治疗对心肌细胞凋亡具有抑制作用。心肌细胞凋亡增多至少与高血压性心脏损害发生有关。因而,本研究提示抗高血压药物治疗也应着重于对心血管组织细胞凋亡失调的调控。
参考文献
1,Hamet P,Richard L,Dam TV,et al.Apoptosis in target organs of hypertension.Hypertension,1995;26:642
, 百拇医药
2,Teiger E,Dam TV,Richard L,et al.Apoptosis in pressure-overload-induced heart hypertrophy in the rat.J Clin Invest,1996;97:2891
3,Watanabe-Fukunaga R,Brannan CI,Copeland NJ,et al.Lympho-proliferation disorder in mice explained by defects in Fas antigen that mediates apoptosis.Nature,1992;356:314
4,Katz AM.The cardiomyopathy of overload:an unnatural growth response.Eur Heart J,1995;16(suppl O):110
, 百拇医药
5,Pinsky DJ,Yang X,Aji W,et al.Nitric oxide induces apoptosis of adult rat cardiac myocytes.Circulation,1995;92(SupplI):I-565.Abstract
6,Li Z,Bing OHL,Long XL,et al.Increased cardiomyocyte apoptosis during the transition to heart failure in the spontaneously hypertensive rat.Am J Physiol,1997;272:H2313
7,Redmond HP,Wang JH,Bouchier-Hayers D.Taurine attenuates nitic oxide- and reactive oxygen intermediate-dependent hepatocyte injury.Arch Surg,1996;131:1287
8,Wang JH,Redmond HP,Watson RW,et al.The beneficial effect of taurine on the prevention of human endothelial cell death.Shock,1996;6:331
9,陶亮,饶曼人.依那普利和牛磺酸逆转肾性高血压大鼠左心室肥厚及抗心律失常的作用.药学学报,1996;31:891
收稿2000-03-22
, 百拇医药