化学髓核溶解术治疗腰椎间盘突出症
作者:庄文权 陈伟 杨建勇 张翎 黄勇慧
单位:中山医科大学附属第一医院放射科, 广东 广州 510080
关键词:化学髓核溶解术;脊椎穿刺;椎间盘移位;治疗;椎间盘切除术,经皮;方法
中山医科大学学报000118
摘 要:目的 探讨化学髓核溶解术的一种新的穿刺方法,用于治疗破裂型腰椎间盘突出症。方法 采用经背后入路直接穿刺椎间盘脱出部位,用600单位的胶原酶溶解脱出的椎间盘组织治疗破裂脱出型腰椎间盘突出症。本组治疗43例临床确诊为破裂脱出型腰椎间盘突出症,并随访半年至2年。结果 采用本穿刺方法治疗43例腰椎间盘脱出患者,治愈27例,治愈率为63%,有效11例,有效率为88%,无椎间盘变窄和退行性变等并发症出现。结论 经背后入路直接穿刺脱出的椎间盘组织行胶原酶溶解术是一种操作简单、安全、有效的新方法,可减少并发症的发生。
, 百拇医药
分类号:R456.3; R681.53 文献标识码:A
文章编号:1000-257X(2000)01-0060-03
Treatment of Sequestered Lumbar Disk Herniation with Chemonucleolysis
ZHUANG Wen-quan
(Department of Radiology, the First Affiliated Hospital of Sun Yat-sen University of Medical Sciences, Guangzhou, 510080,China)
CHEN Wei
(Department of Radiology, the First Affiliated Hospital of Sun Yat-sen University of Medical Sciences, Guangzhou, 510080,China)
, http://www.100md.com
YANG Jian-yong
(Department of Radiology, the First Affiliated Hospital of Sun Yat-sen University of Medical Sciences, Guangzhou, 510080,China)
ZHANG Ling
(Department of Radiology, the First Affiliated Hospital of Sun Yat-sen University of Medical Sciences, Guangzhou, 510080,China)
HUANG Yong-hui
(Department of Radiology, the First Affiliated Hospital of Sun Yat-sen University of Medical Sciences, Guangzhou, 510080,China)
, http://www.100md.com
Abstract:Objective To study a new method of puncture for the treatment of sequestered lumbar disk herniation with chemonucleolysis. Methods Forty-three patients with clinically confirmed sequestered lumbar disk herniation underwent the new interventional procedure, which implied the direct via-back puncture and a subsequent injection of 600 units of collagenase into the herniated lumbar disk tissue. All the patients were followed-up for from half a year to 2 years. Results Of the forty three patients receiving this remedy, 27 were cured(63%) and 11 were regarded as being effective. The total effective rate was 88%. No narrowing of intervertebral space or degeneration of intervertebral disk was noted. Conclusion Via-back routepuncture chemonucleolysis is a simple, safe and effective method for the treatment of sequestered lumbar disk herniation with far less complication.
, 百拇医药
Key words:chemonucleolysis; spinal puncture; intervertebral disk displacement/therapy; diskectomy, percutaneous/methods▲
胶原酶治疗腰椎间盘突出症在临床上的应用已多年,目前穿刺方法有椎间盘内和椎间盘外(经椎间孔穿刺)两种。对破裂脱出型椎间盘突出的治疗是介入治疗上的一个难题,为探讨一种有效的治疗手段,我们采用背后棘突间进针的途径,直接穿刺突出部位,用较少量的胶原酶溶解脱出的椎间盘组织来治疗破裂脱出型椎间盘突出症。现报道如下。
1 材料和方法
1.1 一般资料
本组43例患者中,男28例,女15例,年龄22~61岁。临床症状:下肢放射痛。CT和MRI诊断:腰椎间盘脱出症,均有纤维环破裂的征象。临床综合诊断:破裂型腰椎间盘脱出。其病变为腰4、5和/或腰5、骶1椎间盘的有42例,仅1例为腰3、4椎间盘。本组资料随访半年至2年。
, http://www.100md.com
1.2 治疗方法
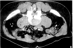
本组病例在CT或带影像增强器的X光机导引下进行穿刺,采用背后入路的方法直接穿刺椎间盘脱出部位(一种新的盘外穿刺方法)。穿刺针使用7号腰穿针,长16 cm、针尖前端略弯曲。选择棘突间间隙为进针点,CT导引下直接穿刺突出的软组织影。或在带影像增强器的X光机导引下进行穿刺,先正位透视大概确定突出部位的穿刺方向,然后侧位透视确定穿刺针的深度,进针过程中针尖缓慢穿过椎管的前后硬脊膜,直至针尖到达椎体的后缘,然后注射少许的Isovist(一种非离子型造影剂,先灵药业有限公司生产)了解突出的椎间盘组织是否显影,调整针尖准确位置后,往脱出部分的椎间盘组织注射600单位的胶原酶溶液1~2 mL。在CT导引下直接穿刺腰4、5椎间盘脱出部分,见图1。在影像增强器X光机导引下直接穿刺腰4、5椎间盘脱出游离部分,见图2A、B。即为术前MRI诊断脱出的髓核向腰5椎体后中方游离的影像。
, 百拇医药
图1 针尖穿入脱出椎间盘组织(箭头所示)
Fig.1 The tip of needle reached the sequestered disc tissue(arrows)
图2A 脱出游离椎间盘组织显影(正位片),椎间盘内髓核组织显影(箭头所示)
Fig.2A The sequestered disc tissue was demon-strated (posteroanterior view) and the intervertebral disk was occupied with contrast media (arrows)
, 百拇医药
图2B 脱出游离椎间盘组织显影(侧位片),造影剂通过纤维环破裂处进入椎间盘内使髓
核组织显影(箭头所示)
Fig.2B In the lateral view the sequestered lumbar tissue was demonstrated and the nucleus was appeared because the contrast media was entered through the rupture of annulus fibrosus(arrows)
2 结 果
疗效判断标准参照Watts 4级评定指标[1]。① 治愈:病人症状、体征完全或基本消失,无运动功能受限,恢复以往工作能力,无需服用止痛药。② 有效:症状体征大部分改善,偶有疼痛,但不影响原来的工作,偶需服用止痛药。③ 差:症状体征有些减轻,不能恢复正常工作及活动能力。④ 无效:术后症状体征无改善或加重。本组43例随访半年至2年,治愈者27例,治愈率63%(27/43),有效11例,总有效率88%(38/43),差者4例,无效1例。常见的并发症是一过性轻微腰痛(持续1~2 d),本组有5例。病例追踪复查MRI未发现椎间盘变窄及术后胶原酶引起的退行性改变。有1例术后出现腰痛、腿痛加重。
, 百拇医药
3 讨 论
目前常用的穿刺方法中,盘内注射治疗易出现术后腰痛加重、椎间盘变窄和退行性变等不良反应。盘外注射法的穿刺难度高、用药量大(1 200 单位),可能会加重周围组织的损伤,加速小关节的退行性变。鉴于以上这些可能存在的不良作用,本组对腰4、5或/和腰5、骶1椎间盘破裂脱出的病例采用在脊柱后方棘突间进针直接穿刺突出部位,注入胶原酶溶解髓核组织来治疗破裂型腰椎间盘突出症。
3.1 后入路直接穿刺突出部位的可行性与注意的问题
后入路穿刺点标志为棘突间,后入路穿刺经过的组织结构有皮肤、棘间韧带、黄韧带、后硬脊膜、硬脊膜腔、前硬脊膜、脱出椎间盘组织,穿刺针用7号腰穿针。该穿刺方法的关键步骤在于针尖进入椎管后,继续进针时要缓慢,同时边旋转穿刺针边进针,直到针尖到达突出部位。由于穿刺针细,进针过程对组织的损伤很少,进入椎管后缓慢旋转进针可避免刺伤马尾神经(马尾神经在椎管内的自由空间较大,很少固定在某一位置上不变)。硬脊膜的自身弹性可关闭细少的穿刺针孔,不会发生脑脊液的外漏和胶原酶溶液逆流入硬脊膜腔内。因此,本穿刺方法具有一定的安全性。由于棘突间隙与相应的椎间盘不在同一水平面,为了穿刺时便于调整针尖的方向,准确穿刺脱出部位,我们将穿刺针前端塑成弧形,提高了穿刺准确度。
, http://www.100md.com
后入路直接穿刺脱出的椎间盘组织,使胶原酶直接与髓核组织接触,符合胶原酶治疗椎间盘突出症的治疗原理,用600单位胶原酶已足可溶解脱出部分的椎间盘组织;若胶原酶用量过多,可导致胶原酶通过破裂的纤维环进入椎间盘内,溶解盘内的髓核组织及软骨板,易发生椎间盘退行性变。
对于腰3、4以上的椎间盘病变,由于在此平面可能有脊髓圆锥存在,尽量避免采用本穿刺方法,防止损伤脊髓而出现严重并发症。在这种情况下可使用经椎间孔的盘外穿刺法进行治疗。但本组1例腰3、4椎间盘病变的患者,术前MRI检查显示腰3、4椎间盘平面无脊髓圆锥,采用了本方法治疗,取得优良效果。
3.2 后入路直接穿刺突出部位的优点、疗效及并发症分析
在CT或带影像增强器的X光机导引下,用该方法进行穿刺时,解剖位置容易确定,进针方向易掌握,操作简便。用本方法治疗腰椎间盘脱出,可减少胶原酶用量,减轻椎管周围组织的损伤(高浓度的胶原酶可引起肌肉组织的出血、坏死,虽这种病理状态的肌肉尚能修复,但可出现一些不良反应,如腰痛加重、行走困难)。本组资料随访结果:治愈率为63%,总有效率为88%,与文献报道的有效率83%~88%相似[2,3]。用该方法治疗椎间盘破裂脱出更符合胶原酶治疗椎间盘突出症的原理,可减少不良反应的发生,本组仅出现1例术后2周症状加重的情况,MRI检查表现为脱出部分组织的T2信号较术前略增高,可能与椎间盘组织溶解后肿胀并未完全吸收有关。本组5例患者出现轻微的一过性腰痛(持续1~2 d),未见其它并发症发生。
, http://www.100md.com
经后入路直接穿刺椎间盘突出部位的穿刺解剖标志易确定,可提高穿刺的成功率,本组病例均一针穿刺到位。该方法可减少胶原酶的注射量,减少大剂量胶原酶(1 200 U)[2,3]注射对周围组织的影响。本组研究结果初步说明经后入路直接穿刺椎间盘突出部分是一种有效的、可行的治疗破裂型腰椎间盘脱出的方法,将为临床胶原酶治疗椎间盘突出症提供一种新的穿刺方法。■
作者简介:庄文权(1965-),男,广东海丰人,医学学士,主治医师.
参考文献:
[1]庄文权,黄兆民,钟丽珍,等. 经皮腰椎间盘切割术的疗效与相关因素分析[J]. 放射学实践,1997,12(3):95.
[2]李小平,宋建榕,李国英,等. 胶原酶注射椎间盘溶解术治疗腰椎间盘突出症临床研究:附115例报告[J]. 福建医药杂志,1997,19(6):1.
[3]王执民,王义清.硬膜外注射胶原酶治疗腰椎间盘突出症130例[J]. 第四军医大学学报,1997,18(4):373.
收稿日期:1999-09-21, 百拇医药
单位:中山医科大学附属第一医院放射科, 广东 广州 510080
关键词:化学髓核溶解术;脊椎穿刺;椎间盘移位;治疗;椎间盘切除术,经皮;方法
中山医科大学学报000118
摘 要:目的 探讨化学髓核溶解术的一种新的穿刺方法,用于治疗破裂型腰椎间盘突出症。方法 采用经背后入路直接穿刺椎间盘脱出部位,用600单位的胶原酶溶解脱出的椎间盘组织治疗破裂脱出型腰椎间盘突出症。本组治疗43例临床确诊为破裂脱出型腰椎间盘突出症,并随访半年至2年。结果 采用本穿刺方法治疗43例腰椎间盘脱出患者,治愈27例,治愈率为63%,有效11例,有效率为88%,无椎间盘变窄和退行性变等并发症出现。结论 经背后入路直接穿刺脱出的椎间盘组织行胶原酶溶解术是一种操作简单、安全、有效的新方法,可减少并发症的发生。
, 百拇医药
分类号:R456.3; R681.53 文献标识码:A
文章编号:1000-257X(2000)01-0060-03
Treatment of Sequestered Lumbar Disk Herniation with Chemonucleolysis
ZHUANG Wen-quan
(Department of Radiology, the First Affiliated Hospital of Sun Yat-sen University of Medical Sciences, Guangzhou, 510080,China)
CHEN Wei
(Department of Radiology, the First Affiliated Hospital of Sun Yat-sen University of Medical Sciences, Guangzhou, 510080,China)
, http://www.100md.com
YANG Jian-yong
(Department of Radiology, the First Affiliated Hospital of Sun Yat-sen University of Medical Sciences, Guangzhou, 510080,China)
ZHANG Ling
(Department of Radiology, the First Affiliated Hospital of Sun Yat-sen University of Medical Sciences, Guangzhou, 510080,China)
HUANG Yong-hui
(Department of Radiology, the First Affiliated Hospital of Sun Yat-sen University of Medical Sciences, Guangzhou, 510080,China)
, http://www.100md.com
Abstract:Objective To study a new method of puncture for the treatment of sequestered lumbar disk herniation with chemonucleolysis. Methods Forty-three patients with clinically confirmed sequestered lumbar disk herniation underwent the new interventional procedure, which implied the direct via-back puncture and a subsequent injection of 600 units of collagenase into the herniated lumbar disk tissue. All the patients were followed-up for from half a year to 2 years. Results Of the forty three patients receiving this remedy, 27 were cured(63%) and 11 were regarded as being effective. The total effective rate was 88%. No narrowing of intervertebral space or degeneration of intervertebral disk was noted. Conclusion Via-back routepuncture chemonucleolysis is a simple, safe and effective method for the treatment of sequestered lumbar disk herniation with far less complication.
, 百拇医药
Key words:chemonucleolysis; spinal puncture; intervertebral disk displacement/therapy; diskectomy, percutaneous/methods▲
胶原酶治疗腰椎间盘突出症在临床上的应用已多年,目前穿刺方法有椎间盘内和椎间盘外(经椎间孔穿刺)两种。对破裂脱出型椎间盘突出的治疗是介入治疗上的一个难题,为探讨一种有效的治疗手段,我们采用背后棘突间进针的途径,直接穿刺突出部位,用较少量的胶原酶溶解脱出的椎间盘组织来治疗破裂脱出型椎间盘突出症。现报道如下。
1 材料和方法
1.1 一般资料
本组43例患者中,男28例,女15例,年龄22~61岁。临床症状:下肢放射痛。CT和MRI诊断:腰椎间盘脱出症,均有纤维环破裂的征象。临床综合诊断:破裂型腰椎间盘脱出。其病变为腰4、5和/或腰5、骶1椎间盘的有42例,仅1例为腰3、4椎间盘。本组资料随访半年至2年。
, http://www.100md.com
1.2 治疗方法
本组病例在CT或带影像增强器的X光机导引下进行穿刺,采用背后入路的方法直接穿刺椎间盘脱出部位(一种新的盘外穿刺方法)。穿刺针使用7号腰穿针,长16 cm、针尖前端略弯曲。选择棘突间间隙为进针点,CT导引下直接穿刺突出的软组织影。或在带影像增强器的X光机导引下进行穿刺,先正位透视大概确定突出部位的穿刺方向,然后侧位透视确定穿刺针的深度,进针过程中针尖缓慢穿过椎管的前后硬脊膜,直至针尖到达椎体的后缘,然后注射少许的Isovist(一种非离子型造影剂,先灵药业有限公司生产)了解突出的椎间盘组织是否显影,调整针尖准确位置后,往脱出部分的椎间盘组织注射600单位的胶原酶溶液1~2 mL。在CT导引下直接穿刺腰4、5椎间盘脱出部分,见图1。在影像增强器X光机导引下直接穿刺腰4、5椎间盘脱出游离部分,见图2A、B。即为术前MRI诊断脱出的髓核向腰5椎体后中方游离的影像。
, 百拇医药
图1 针尖穿入脱出椎间盘组织(箭头所示)
Fig.1 The tip of needle reached the sequestered disc tissue(arrows)
图2A 脱出游离椎间盘组织显影(正位片),椎间盘内髓核组织显影(箭头所示)
Fig.2A The sequestered disc tissue was demon-strated (posteroanterior view) and the intervertebral disk was occupied with contrast media (arrows)
, 百拇医药
图2B 脱出游离椎间盘组织显影(侧位片),造影剂通过纤维环破裂处进入椎间盘内使髓
核组织显影(箭头所示)
Fig.2B In the lateral view the sequestered lumbar tissue was demonstrated and the nucleus was appeared because the contrast media was entered through the rupture of annulus fibrosus(arrows)
2 结 果
疗效判断标准参照Watts 4级评定指标[1]。① 治愈:病人症状、体征完全或基本消失,无运动功能受限,恢复以往工作能力,无需服用止痛药。② 有效:症状体征大部分改善,偶有疼痛,但不影响原来的工作,偶需服用止痛药。③ 差:症状体征有些减轻,不能恢复正常工作及活动能力。④ 无效:术后症状体征无改善或加重。本组43例随访半年至2年,治愈者27例,治愈率63%(27/43),有效11例,总有效率88%(38/43),差者4例,无效1例。常见的并发症是一过性轻微腰痛(持续1~2 d),本组有5例。病例追踪复查MRI未发现椎间盘变窄及术后胶原酶引起的退行性改变。有1例术后出现腰痛、腿痛加重。
, 百拇医药
3 讨 论
目前常用的穿刺方法中,盘内注射治疗易出现术后腰痛加重、椎间盘变窄和退行性变等不良反应。盘外注射法的穿刺难度高、用药量大(1 200 单位),可能会加重周围组织的损伤,加速小关节的退行性变。鉴于以上这些可能存在的不良作用,本组对腰4、5或/和腰5、骶1椎间盘破裂脱出的病例采用在脊柱后方棘突间进针直接穿刺突出部位,注入胶原酶溶解髓核组织来治疗破裂型腰椎间盘突出症。
3.1 后入路直接穿刺突出部位的可行性与注意的问题
后入路穿刺点标志为棘突间,后入路穿刺经过的组织结构有皮肤、棘间韧带、黄韧带、后硬脊膜、硬脊膜腔、前硬脊膜、脱出椎间盘组织,穿刺针用7号腰穿针。该穿刺方法的关键步骤在于针尖进入椎管后,继续进针时要缓慢,同时边旋转穿刺针边进针,直到针尖到达突出部位。由于穿刺针细,进针过程对组织的损伤很少,进入椎管后缓慢旋转进针可避免刺伤马尾神经(马尾神经在椎管内的自由空间较大,很少固定在某一位置上不变)。硬脊膜的自身弹性可关闭细少的穿刺针孔,不会发生脑脊液的外漏和胶原酶溶液逆流入硬脊膜腔内。因此,本穿刺方法具有一定的安全性。由于棘突间隙与相应的椎间盘不在同一水平面,为了穿刺时便于调整针尖的方向,准确穿刺脱出部位,我们将穿刺针前端塑成弧形,提高了穿刺准确度。
, http://www.100md.com
后入路直接穿刺脱出的椎间盘组织,使胶原酶直接与髓核组织接触,符合胶原酶治疗椎间盘突出症的治疗原理,用600单位胶原酶已足可溶解脱出部分的椎间盘组织;若胶原酶用量过多,可导致胶原酶通过破裂的纤维环进入椎间盘内,溶解盘内的髓核组织及软骨板,易发生椎间盘退行性变。
对于腰3、4以上的椎间盘病变,由于在此平面可能有脊髓圆锥存在,尽量避免采用本穿刺方法,防止损伤脊髓而出现严重并发症。在这种情况下可使用经椎间孔的盘外穿刺法进行治疗。但本组1例腰3、4椎间盘病变的患者,术前MRI检查显示腰3、4椎间盘平面无脊髓圆锥,采用了本方法治疗,取得优良效果。
3.2 后入路直接穿刺突出部位的优点、疗效及并发症分析
在CT或带影像增强器的X光机导引下,用该方法进行穿刺时,解剖位置容易确定,进针方向易掌握,操作简便。用本方法治疗腰椎间盘脱出,可减少胶原酶用量,减轻椎管周围组织的损伤(高浓度的胶原酶可引起肌肉组织的出血、坏死,虽这种病理状态的肌肉尚能修复,但可出现一些不良反应,如腰痛加重、行走困难)。本组资料随访结果:治愈率为63%,总有效率为88%,与文献报道的有效率83%~88%相似[2,3]。用该方法治疗椎间盘破裂脱出更符合胶原酶治疗椎间盘突出症的原理,可减少不良反应的发生,本组仅出现1例术后2周症状加重的情况,MRI检查表现为脱出部分组织的T2信号较术前略增高,可能与椎间盘组织溶解后肿胀并未完全吸收有关。本组5例患者出现轻微的一过性腰痛(持续1~2 d),未见其它并发症发生。
, http://www.100md.com
经后入路直接穿刺椎间盘突出部位的穿刺解剖标志易确定,可提高穿刺的成功率,本组病例均一针穿刺到位。该方法可减少胶原酶的注射量,减少大剂量胶原酶(1 200 U)[2,3]注射对周围组织的影响。本组研究结果初步说明经后入路直接穿刺椎间盘突出部分是一种有效的、可行的治疗破裂型腰椎间盘脱出的方法,将为临床胶原酶治疗椎间盘突出症提供一种新的穿刺方法。■
作者简介:庄文权(1965-),男,广东海丰人,医学学士,主治医师.
参考文献:
[1]庄文权,黄兆民,钟丽珍,等. 经皮腰椎间盘切割术的疗效与相关因素分析[J]. 放射学实践,1997,12(3):95.
[2]李小平,宋建榕,李国英,等. 胶原酶注射椎间盘溶解术治疗腰椎间盘突出症临床研究:附115例报告[J]. 福建医药杂志,1997,19(6):1.
[3]王执民,王义清.硬膜外注射胶原酶治疗腰椎间盘突出症130例[J]. 第四军医大学学报,1997,18(4):373.
收稿日期:1999-09-21, 百拇医药