肝细胞癌低场MRI边缘表现与病理基础对照
作者:余深平 沈冰奇 许达生
单位:中山医科大学附属第一医院放射科; 广东 广州, 510080
关键词:癌,肝细胞;病理学;磁共振成像
中山医科大学学报000108
摘 要:目的 了解肝细胞癌(HCC)在低场MRI上的边缘形态及其病理基础。方法 分析33例手术病理证实的肝细胞癌在术前MRI的边缘形态并对24例标本MRI与病理基础对照研究。结果 ① 33例HCC术前MRI的132个边缘方位在T2WI上分为3种:边缘清楚无分叶82个(62.1%)、边缘清楚伴分叶20个(15.2%)、边缘不清30个(22.7%);② HCC边缘形态在术后标本MRI扫描与术前MRI扫描的相同率为79.2%;③ 24个标本MRI扫描与病理对照:MRI上肿瘤边缘清楚无分叶的以完整包膜为主,占88.2%、肿瘤边缘清楚伴分叶以包膜不完整或多结节状改变为主,占67.5%、肿瘤边缘不清则以无包膜多见,占66.7%。肿瘤边缘清楚无分叶的85个方位点中病理上癌旁周围肝组织发现癌细胞的有12个方位点(占14.1%),而边缘清楚伴分叶的40个方位点及边缘不清的45个方位点癌旁发现癌细胞的百分率则分别为42.5%及55.6%。结论 HCC在低场MRI的T2WI上的边缘形态分类能够很好地反映病理上肿瘤包膜的完整程度及肿瘤向周围肝组织浸润生长情况,对癌细胞分级的评价有一定帮助。
, http://www.100md.com
分类号:R 735.7 文献标识码:A
文章编号:1000-257X(2000)01-0027-04
Hepatoellular Carcinoma:Tumor Border findings on Lower-Field
MR Imaging with Pathologic Correlation
YU Shen-ping
(Department of Radiology, First Affiliated Hospital, Sun Yat-sen University of Medical Sciences, Guangzhou,510080,China)
SHNE Bing-qi
, 百拇医药
(Department of Radiology, First Affiliated Hospital, Sun Yat-sen University of Medical Sciences, Guangzhou,510080,China)
XU Da-sheng
(Department of Radiology, First Affiliated Hospital, Sun Yat-sen University of Medical Sciences, Guangzhou,510080,China)
Abstract:Objective To study the tumor border patterns of hepatocellular carcinoma (HCC) on lower-field MRI and its pathological basis. Method Tumor border patterns on MRI of 33 cases of HCC were analyzed, and MRI-pathologic correlation study of 24 resected HCC specimens were performed. Results ①The tumor border patterns of the 33 HCC on T2WI were divided into three groups:well-defined nonlobular margin (82/132 quadrants; 62.1%),well-defined lobular margin (20/132 quadrants; 15.2%) and ill-defined margin (30/132 quadrants;22.7%). ②The rate of same tumor border pattern of the in-vivo and in-vitro MRI HCC was 79.2%. ③Correlation between patterns of tumor border on MR scan and the pathological capsular patterns:most of the tumors with well-defined nonlobular borders(88.2%) had complete capsules. Tumors with incomplete or irregular capsules were most commonly seen as well-defined, lobular borders (67.5%) whereas most tumors without capsules had ill-defined borders (66.7%). Correlation between the patterns of tumor border on MR studies and incidences of tumor invasion of surrounding hepatic tissues:scattered tumor cells in the surrounding hepatic tissues were found in 12/85(88.2%) areas with well-defined nonlobular borders; 17/40(42.5%) areas with well-defined, lobular borders; 25/45(55.6%) areas with ill-defined borders. Conclusion The patterns of tumor borders on lower-field MRI can accurately reflect circumstance of the tumor capsules, the tumor cell classification and the incidences of tumor invasion of surrounding hepatic tissue.
, http://www.100md.com
Key words:carcinoma,hepatocellular/pathology; magnetic resonance imaging▲
肝细胞癌(hepatocellular carcinoma, HCC) MRI征象及病理基础研究已有报道[1,2,4,6]。但关于其边缘形态的病理基础,尤其是利用手术切除的HCC标本作MRI扫描并进行MRI与病理对照研究的,尚未见报道。本组分析了33例术前用低场强磁共振检查、经手术病理证实的HCC的MRI边缘形态,并进行了24例标本MRI与病理对照研究,以期提高对HCC的MRI边缘形态的认识。
1 材料和方法
1.1 一般资料
收集33例原发性HCC病例的术前MRI资料,其中男性28例,女性5例,年龄34~69岁,平均52.3岁。33例中肿瘤最大径≤5 cm的13例,平均3.7 cm。肿瘤最大径>5 cm的20例,平均10.5 cm。全部病例均经病理组织学证实。其中15例进行了术前MR扫描及标本MR扫描的对照。另外,对24个手术切除的HCC标本进行MRI扫描和病理对照分析。所有病例MRI检查前均无化疗、肝动脉栓塞或经皮肝穿刺肿瘤的无水酒精注射等治疗史。
, 百拇医药
1.2 方 法
1.2.1 设备及扫描方法 采用安科公司ASP-015(0.15T)永磁型MRI机,选用SE序列,T1WI:TR/TE=500-600 ms/30 ms,T2WI:TR/TE=2 500-3 000 ms/90-120 ms,采集重复次数为4次,扫描矩阵128×256,层厚10 mm,层距2 mm。使用体线圈,常规横断及冠状方向成像。平静呼吸,不加门控。
1.2.2 MRI影像分析 根据肿瘤边缘部在T2WI上形态特点,将其分为:边缘清楚无分叶(包括“包膜征”)、边缘清楚伴分叶、边缘不清3种。
1.2.3 HCC标本MRI与术前MRI扫描的对照 2名MRI医师分别阅读每例HCC术前MRI及标本MRI扫描资料,按图像上肿瘤边缘部形态特点,比较两者一致性。2名医师均认为术前MRI片上的各征象的特点与标本MRI片一致的为相同,有一位医师认为不一致的及两者均认为不一致者为不同。
, http://www.100md.com
1.2.4 MRI征象—病理对照方法 所有HCC大体标本均在术后4 h内做MRI扫描,标本保持在20 ℃左右,使用头线圈,扫描时标本位于线圈中心。扫描后即沿扫描的对应层面逐层将标本切开为10 mm标本片,根据标本MRI扫描照片上MRI边缘形态,在标本各对应层面的肿瘤边缘部每例标本取病理点,了解其病理基础。病理上肿瘤边缘部包膜状况分3类:①包膜完整(癌周有一完整纤维包膜包绕,这种纤维系由粗胶原纤维构成)。②包膜不完整或呈多结节状改变。③无包膜。
1.2.5 统计学方法 本组材料采用百分率或R×C列联表卡方检验。
2 结 果
2.1 术前HCC和MRI边缘形态分析
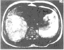
将本组33例HCC每例的MRI扫描最大径层面,分为前、后、左、右4个边缘方位,33例共选取132个边缘方位进行分析,并将MRI上肿瘤边缘形态按在T2WI的表现分为3种:①边缘清楚无分叶:82个(62.1%),其中43个可以见到“包膜征”(图1);②边缘清楚伴分叶:20个(15.2%)(图2);③边缘不清:30个(22.7%)(图3)。
, http://www.100md.com
图1 HCC,T2WI肿瘤边缘清楚无分叶
Fig.1 HCC,tumor border on T2WI is well-defined and nonlobular
图2 HCC,T2WI肿瘤边缘清楚伴分叶
Fig.2 HCC,tumor border on T2WI is well-defined and lobular
, 百拇医药
图3 HCC,T2WI肿瘤边缘不清
Fig.3 HCC,tumor border on T2WI is ill-defined
2.2 HCC术前MRI扫描与标本MRI的对照
15例同时有术前MRI扫描及标本MRI扫描。在每例HCC的术前MRI扫描的肿瘤最大层面的前、后、左、右4个方位分别选取肿瘤边缘方位,15例共取边缘方位106个,观察上述边缘方位在T2WI的特点并与标本MRI扫描相应层面上的边缘方位点进行对照,结果如表1。
表1 HCC边缘形态在术前MRI扫描及标本MRI扫描上的比较
Table 1 The results of the tumor borders of the in-vivo and in -vitro MRI HCC
, 百拇医药
n(%) Patterns of tumor border
Well-
defined,nonlobular
Well-
defined,lobular
ill-def-
ined
Totle
Coincide
51(96.2)
14(56.0)
, 百拇医药
19(67.9)
84(79.2)
Anticoincide
2(3.8)
11(44.0)
9(32.1)
22(20.8)
2.3 HCC标本的MRI征象与病理对照研究
24例标本共取170个边缘部病理点,肿瘤边缘MRI形态分类与病理上肿瘤包膜状况、癌旁肝组织内癌细胞状况及癌细胞分级(癌细胞的分级按Edmondson标准分Ⅰ-Ⅳ级,同一肿瘤的不同区域即不同病理点的癌细胞分化程度可以不同)的关系见表2。
, 百拇医药
表2 MRI肿瘤边缘形态与病理上肿瘤包膜状况、癌旁肝组织内癌细胞状况及癌细胞分级的关系
Table 2 The results of patterns of tumor borders on MRI correlation with circumstance of the tumor capsules,incidences of tumor invasion of surrounding hepatic tissue and tumor cell classification
n(%) Patterns of tumor
border
Circumstance of tumor capsule
Tumor invasion of surroun-
, 百拇医药
ding hepatic tissue
Tumor cell classification
Totle
Complete
Incomplete
None
Positive
Negtive
Ⅰ
Ⅱ
Ⅲ~Ⅳ
Well-defined, nonlobular
, 百拇医药
78(88.2)
6(7.1)
4(4.7)
12(14.1)
73(85.9)
18(21.2)
62(72.9)
5(5.9)
85
Well-defined, lobular
7(17.5)
27(67.5)
, http://www.100md.com
6(15.0)
17(42.5)
23(57.5)
1(2.5)
35(87.5)
4(100)
40
ill-defined
5(11.1)
10(22.2)
30(66.7)
25(55.6)
, 百拇医药
20(44.4)
0
34(75.6)
11(24.4)
45
P<0.001
P<0.01
P<0.001
1)“Capsule sign” can be seen in the 39 tumor border of the 85 well-defined nonlobular margin3 讨 论
肝细胞癌边缘部在低场MRI上有边缘清楚无分叶、边缘清楚伴分叶及边缘不清3种形态,有时可见“包膜征”,即在T1,T2WI上均表现为肿瘤边缘的低信号环。虽然肿瘤组织T1驰豫时间的延长比T2驰豫时间更为显著,但T2WI上肿瘤/正常肝的对比度和对比噪声比(CNR)要比T1WI高得多,而且在T2加权程序选用90~120 ms的TE更增加了CNR[7],所以T2WI对比度高,肿瘤显示较在T1WI更为清楚,故肝细胞癌的MRI边缘部的形态应以T2WI为准。
, 百拇医药
国内有关肝细胞癌MRI征象病理基础的研究,一般采用将术前病人MRI照片上的征象与切除标本进行对照和方法。这种方法难以使MRI征象在标本上得到准确的定位,从而使肝细胞癌的MRI征象病理基础的研究缺乏科学性和准确性。采用对肝细胞癌切除标本作MRI扫描,然后将标本MRI照片的征象逐层与相对应的标本剖开层面进行病理对照,将使肝细胞癌的MRI征象在标本上的定位更加准确,其对照结果将更加可信。但上述对照研究的前提是肝细胞癌切除标本MRI扫描上的MRI边缘形态,能否保持与术前MRI扫描的边缘形态一致。据文献报告,肝组织切除后在体外T1驰豫时间可保持6 h,T2驰豫时间可保持24 h不变[6]。虽然手术切除标本没有了血液的流动和灌注,但肝细胞肿瘤的MRI信号特征改变不明显[1,6]。本组表1材料说明,在肝细胞癌切除标本MRI照片上,肝细胞癌边缘部的形态特征,与术前MRI扫描照片比较,其相同率是79.2%,因此,用MRI标本扫描来进行肝细胞癌的MRI征象——病理基础对照研究,其研究结果基本上能反映肝细胞癌术前MRI扫描的征象。应该指出:标本肝细胞癌MRI扫描由于无呼吸运动伪影的影响,使用头线圈更增加了信/噪比,这些因素都使影像分辨率高,病灶边缘显示较体内肝细胞癌MRI影像更为清楚和丰富。同时这也是造成HCC的一些细微征象(如边缘清楚伴分叶及边缘不清)在术前及标本MR扫描上不一致性较高(分别是44.0%、32.1%)的原因。
, 百拇医药
表2材料说明,肝细胞癌的MRI上边缘清楚无分叶的在病理上多数有完整的包膜(占88.2%),发现癌旁周围肝组织内有散在癌细胞浸润的机率小(仅仅14.1%);MRI边缘清楚伴分叶的大多数包膜不完整或多呈结节状改变(占67.5%);而MRI边缘不清的多为无包膜的浸润性生长(占66.7%),后两者在癌旁周围肝组织内较易发现散在癌细胞浸润存在(分别占42.5%及55.6%)。可见,完整的包膜对肝细胞癌向周围肝组织内扩散有一定的限制,但包膜并不能保证包膜外无癌细胞浸润存在,这也可以解释肝细胞癌手术后容易复发,治疗效果差的现象。
MRI上肝细胞癌边缘不清的癌细胞分级为Ⅲ-Ⅳ级的比例(占24.4%)要比边缘清楚无分叶的(占5.9%)要高。而边缘清楚伴分叶的比例居中(占10.0%)。MRI上21.2%边缘清楚无分叶的肝细胞癌癌细胞为Ⅰ级,而边缘清楚伴分叶及边缘不清的肝细胞癌少见或未见Ⅰ级,以上结果说明,MRI肿瘤边缘不清的,其癌细胞恶性程度相对高。我们认为,低分化的肿瘤发展快,浸润生长,无足够的时间形成包膜,MRI上肿瘤边缘不清。相反,高分化的肿瘤,恶性度稍低,容易在肿瘤周围形成反应性纤维包膜,在MRI上表现为边缘清楚。
, http://www.100md.com
综上所述,肝细胞癌在低场MRI的T2WI上的边缘形态分类能够很好地反映病理上肿瘤包膜的完整程度及肿瘤向周围肝组织浸润生长情况,对癌细胞分级的评价有一定帮助,可以用于明确手术切除肿瘤的范围、指导临床制定治疗方案、进行疗效及预后估计等。■
作者简介:余深平(1967-),男,安徽安庆人,硕士,主治医师.
参考文献:
[1]Inoue E, Kuroda C, Narumi Y, et al. Magnetic resonance imaging-histologic correlation of small hepatocellular carcinomas and adenomatous hyperlasias [J]. Invest Radiol, 1993,28(3):691.
[2]朱锡旭,沈复兴,卢光明. 原发性肝癌MR表现[J]. 实用放射学杂志,1998,14(6):355.
, 百拇医药
[3]程红岩,贾雨辰,吴孟超. 小肝细胞癌边缘影像与病理的对比观察[J]. 中华放射学杂志,1996,30(12):820.
[4]Rendon C N, Judith L C. Pathology and imaging of hepatocellular neoplasms: are findings from Asian population applicable to non-Asian groups?[J]. AJR,1993,160(5):1188.
[5]Grazioli L, Olivetti L, Fugazzola C, et al. The pseudocapsule in hepatocellular carcinoma: correlation between dynamic MR imaging and pathology[J]. Eur Radiol, 1999,9(1):62.
, 百拇医药
[6]James P E, Nei D T, Jeffrey C W, et al. Dysplastic nodules and hepatocellular carcinoma: thinsection MR imaging of explanted cirrhotic livers with pathologic correlation[J]. Radiology, 1996,201(1):207.
[7]Harvey V S, John J A, Michael E B, et al. Focal hepatic lesion:comparative MR imaging at 0.5 and 1.5 T[J]. Radiology, 1990,174(1):153.
收稿日期:1999-07-23, http://www.100md.com
单位:中山医科大学附属第一医院放射科; 广东 广州, 510080
关键词:癌,肝细胞;病理学;磁共振成像
中山医科大学学报000108
摘 要:目的 了解肝细胞癌(HCC)在低场MRI上的边缘形态及其病理基础。方法 分析33例手术病理证实的肝细胞癌在术前MRI的边缘形态并对24例标本MRI与病理基础对照研究。结果 ① 33例HCC术前MRI的132个边缘方位在T2WI上分为3种:边缘清楚无分叶82个(62.1%)、边缘清楚伴分叶20个(15.2%)、边缘不清30个(22.7%);② HCC边缘形态在术后标本MRI扫描与术前MRI扫描的相同率为79.2%;③ 24个标本MRI扫描与病理对照:MRI上肿瘤边缘清楚无分叶的以完整包膜为主,占88.2%、肿瘤边缘清楚伴分叶以包膜不完整或多结节状改变为主,占67.5%、肿瘤边缘不清则以无包膜多见,占66.7%。肿瘤边缘清楚无分叶的85个方位点中病理上癌旁周围肝组织发现癌细胞的有12个方位点(占14.1%),而边缘清楚伴分叶的40个方位点及边缘不清的45个方位点癌旁发现癌细胞的百分率则分别为42.5%及55.6%。结论 HCC在低场MRI的T2WI上的边缘形态分类能够很好地反映病理上肿瘤包膜的完整程度及肿瘤向周围肝组织浸润生长情况,对癌细胞分级的评价有一定帮助。
, http://www.100md.com
分类号:R 735.7 文献标识码:A
文章编号:1000-257X(2000)01-0027-04
Hepatoellular Carcinoma:Tumor Border findings on Lower-Field
MR Imaging with Pathologic Correlation
YU Shen-ping
(Department of Radiology, First Affiliated Hospital, Sun Yat-sen University of Medical Sciences, Guangzhou,510080,China)
SHNE Bing-qi
, 百拇医药
(Department of Radiology, First Affiliated Hospital, Sun Yat-sen University of Medical Sciences, Guangzhou,510080,China)
XU Da-sheng
(Department of Radiology, First Affiliated Hospital, Sun Yat-sen University of Medical Sciences, Guangzhou,510080,China)
Abstract:Objective To study the tumor border patterns of hepatocellular carcinoma (HCC) on lower-field MRI and its pathological basis. Method Tumor border patterns on MRI of 33 cases of HCC were analyzed, and MRI-pathologic correlation study of 24 resected HCC specimens were performed. Results ①The tumor border patterns of the 33 HCC on T2WI were divided into three groups:well-defined nonlobular margin (82/132 quadrants; 62.1%),well-defined lobular margin (20/132 quadrants; 15.2%) and ill-defined margin (30/132 quadrants;22.7%). ②The rate of same tumor border pattern of the in-vivo and in-vitro MRI HCC was 79.2%. ③Correlation between patterns of tumor border on MR scan and the pathological capsular patterns:most of the tumors with well-defined nonlobular borders(88.2%) had complete capsules. Tumors with incomplete or irregular capsules were most commonly seen as well-defined, lobular borders (67.5%) whereas most tumors without capsules had ill-defined borders (66.7%). Correlation between the patterns of tumor border on MR studies and incidences of tumor invasion of surrounding hepatic tissues:scattered tumor cells in the surrounding hepatic tissues were found in 12/85(88.2%) areas with well-defined nonlobular borders; 17/40(42.5%) areas with well-defined, lobular borders; 25/45(55.6%) areas with ill-defined borders. Conclusion The patterns of tumor borders on lower-field MRI can accurately reflect circumstance of the tumor capsules, the tumor cell classification and the incidences of tumor invasion of surrounding hepatic tissue.
, http://www.100md.com
Key words:carcinoma,hepatocellular/pathology; magnetic resonance imaging▲
肝细胞癌(hepatocellular carcinoma, HCC) MRI征象及病理基础研究已有报道[1,2,4,6]。但关于其边缘形态的病理基础,尤其是利用手术切除的HCC标本作MRI扫描并进行MRI与病理对照研究的,尚未见报道。本组分析了33例术前用低场强磁共振检查、经手术病理证实的HCC的MRI边缘形态,并进行了24例标本MRI与病理对照研究,以期提高对HCC的MRI边缘形态的认识。
1 材料和方法
1.1 一般资料
收集33例原发性HCC病例的术前MRI资料,其中男性28例,女性5例,年龄34~69岁,平均52.3岁。33例中肿瘤最大径≤5 cm的13例,平均3.7 cm。肿瘤最大径>5 cm的20例,平均10.5 cm。全部病例均经病理组织学证实。其中15例进行了术前MR扫描及标本MR扫描的对照。另外,对24个手术切除的HCC标本进行MRI扫描和病理对照分析。所有病例MRI检查前均无化疗、肝动脉栓塞或经皮肝穿刺肿瘤的无水酒精注射等治疗史。
, 百拇医药
1.2 方 法
1.2.1 设备及扫描方法 采用安科公司ASP-015(0.15T)永磁型MRI机,选用SE序列,T1WI:TR/TE=500-600 ms/30 ms,T2WI:TR/TE=2 500-3 000 ms/90-120 ms,采集重复次数为4次,扫描矩阵128×256,层厚10 mm,层距2 mm。使用体线圈,常规横断及冠状方向成像。平静呼吸,不加门控。
1.2.2 MRI影像分析 根据肿瘤边缘部在T2WI上形态特点,将其分为:边缘清楚无分叶(包括“包膜征”)、边缘清楚伴分叶、边缘不清3种。
1.2.3 HCC标本MRI与术前MRI扫描的对照 2名MRI医师分别阅读每例HCC术前MRI及标本MRI扫描资料,按图像上肿瘤边缘部形态特点,比较两者一致性。2名医师均认为术前MRI片上的各征象的特点与标本MRI片一致的为相同,有一位医师认为不一致的及两者均认为不一致者为不同。
, http://www.100md.com
1.2.4 MRI征象—病理对照方法 所有HCC大体标本均在术后4 h内做MRI扫描,标本保持在20 ℃左右,使用头线圈,扫描时标本位于线圈中心。扫描后即沿扫描的对应层面逐层将标本切开为10 mm标本片,根据标本MRI扫描照片上MRI边缘形态,在标本各对应层面的肿瘤边缘部每例标本取病理点,了解其病理基础。病理上肿瘤边缘部包膜状况分3类:①包膜完整(癌周有一完整纤维包膜包绕,这种纤维系由粗胶原纤维构成)。②包膜不完整或呈多结节状改变。③无包膜。
1.2.5 统计学方法 本组材料采用百分率或R×C列联表卡方检验。
2 结 果
2.1 术前HCC和MRI边缘形态分析
将本组33例HCC每例的MRI扫描最大径层面,分为前、后、左、右4个边缘方位,33例共选取132个边缘方位进行分析,并将MRI上肿瘤边缘形态按在T2WI的表现分为3种:①边缘清楚无分叶:82个(62.1%),其中43个可以见到“包膜征”(图1);②边缘清楚伴分叶:20个(15.2%)(图2);③边缘不清:30个(22.7%)(图3)。
, http://www.100md.com
图1 HCC,T2WI肿瘤边缘清楚无分叶
Fig.1 HCC,tumor border on T2WI is well-defined and nonlobular
图2 HCC,T2WI肿瘤边缘清楚伴分叶
Fig.2 HCC,tumor border on T2WI is well-defined and lobular
, 百拇医药
图3 HCC,T2WI肿瘤边缘不清
Fig.3 HCC,tumor border on T2WI is ill-defined
2.2 HCC术前MRI扫描与标本MRI的对照
15例同时有术前MRI扫描及标本MRI扫描。在每例HCC的术前MRI扫描的肿瘤最大层面的前、后、左、右4个方位分别选取肿瘤边缘方位,15例共取边缘方位106个,观察上述边缘方位在T2WI的特点并与标本MRI扫描相应层面上的边缘方位点进行对照,结果如表1。
表1 HCC边缘形态在术前MRI扫描及标本MRI扫描上的比较
Table 1 The results of the tumor borders of the in-vivo and in -vitro MRI HCC
, 百拇医药
n(%) Patterns of tumor border
Well-
defined,nonlobular
Well-
defined,lobular
ill-def-
ined
Totle
Coincide
51(96.2)
14(56.0)
, 百拇医药
19(67.9)
84(79.2)
Anticoincide
2(3.8)
11(44.0)
9(32.1)
22(20.8)
2.3 HCC标本的MRI征象与病理对照研究
24例标本共取170个边缘部病理点,肿瘤边缘MRI形态分类与病理上肿瘤包膜状况、癌旁肝组织内癌细胞状况及癌细胞分级(癌细胞的分级按Edmondson标准分Ⅰ-Ⅳ级,同一肿瘤的不同区域即不同病理点的癌细胞分化程度可以不同)的关系见表2。
, 百拇医药
表2 MRI肿瘤边缘形态与病理上肿瘤包膜状况、癌旁肝组织内癌细胞状况及癌细胞分级的关系
Table 2 The results of patterns of tumor borders on MRI correlation with circumstance of the tumor capsules,incidences of tumor invasion of surrounding hepatic tissue and tumor cell classification
n(%) Patterns of tumor
border
Circumstance of tumor capsule
Tumor invasion of surroun-
, 百拇医药
ding hepatic tissue
Tumor cell classification
Totle
Complete
Incomplete
None
Positive
Negtive
Ⅰ
Ⅱ
Ⅲ~Ⅳ
Well-defined, nonlobular
, 百拇医药
78(88.2)
6(7.1)
4(4.7)
12(14.1)
73(85.9)
18(21.2)
62(72.9)
5(5.9)
85
Well-defined, lobular
7(17.5)
27(67.5)
, http://www.100md.com
6(15.0)
17(42.5)
23(57.5)
1(2.5)
35(87.5)
4(100)
40
ill-defined
5(11.1)
10(22.2)
30(66.7)
25(55.6)
, 百拇医药
20(44.4)
0
34(75.6)
11(24.4)
45
P<0.001
P<0.01
P<0.001
1)“Capsule sign” can be seen in the 39 tumor border of the 85 well-defined nonlobular margin3 讨 论
肝细胞癌边缘部在低场MRI上有边缘清楚无分叶、边缘清楚伴分叶及边缘不清3种形态,有时可见“包膜征”,即在T1,T2WI上均表现为肿瘤边缘的低信号环。虽然肿瘤组织T1驰豫时间的延长比T2驰豫时间更为显著,但T2WI上肿瘤/正常肝的对比度和对比噪声比(CNR)要比T1WI高得多,而且在T2加权程序选用90~120 ms的TE更增加了CNR[7],所以T2WI对比度高,肿瘤显示较在T1WI更为清楚,故肝细胞癌的MRI边缘部的形态应以T2WI为准。
, 百拇医药
国内有关肝细胞癌MRI征象病理基础的研究,一般采用将术前病人MRI照片上的征象与切除标本进行对照和方法。这种方法难以使MRI征象在标本上得到准确的定位,从而使肝细胞癌的MRI征象病理基础的研究缺乏科学性和准确性。采用对肝细胞癌切除标本作MRI扫描,然后将标本MRI照片的征象逐层与相对应的标本剖开层面进行病理对照,将使肝细胞癌的MRI征象在标本上的定位更加准确,其对照结果将更加可信。但上述对照研究的前提是肝细胞癌切除标本MRI扫描上的MRI边缘形态,能否保持与术前MRI扫描的边缘形态一致。据文献报告,肝组织切除后在体外T1驰豫时间可保持6 h,T2驰豫时间可保持24 h不变[6]。虽然手术切除标本没有了血液的流动和灌注,但肝细胞肿瘤的MRI信号特征改变不明显[1,6]。本组表1材料说明,在肝细胞癌切除标本MRI照片上,肝细胞癌边缘部的形态特征,与术前MRI扫描照片比较,其相同率是79.2%,因此,用MRI标本扫描来进行肝细胞癌的MRI征象——病理基础对照研究,其研究结果基本上能反映肝细胞癌术前MRI扫描的征象。应该指出:标本肝细胞癌MRI扫描由于无呼吸运动伪影的影响,使用头线圈更增加了信/噪比,这些因素都使影像分辨率高,病灶边缘显示较体内肝细胞癌MRI影像更为清楚和丰富。同时这也是造成HCC的一些细微征象(如边缘清楚伴分叶及边缘不清)在术前及标本MR扫描上不一致性较高(分别是44.0%、32.1%)的原因。
, 百拇医药
表2材料说明,肝细胞癌的MRI上边缘清楚无分叶的在病理上多数有完整的包膜(占88.2%),发现癌旁周围肝组织内有散在癌细胞浸润的机率小(仅仅14.1%);MRI边缘清楚伴分叶的大多数包膜不完整或多呈结节状改变(占67.5%);而MRI边缘不清的多为无包膜的浸润性生长(占66.7%),后两者在癌旁周围肝组织内较易发现散在癌细胞浸润存在(分别占42.5%及55.6%)。可见,完整的包膜对肝细胞癌向周围肝组织内扩散有一定的限制,但包膜并不能保证包膜外无癌细胞浸润存在,这也可以解释肝细胞癌手术后容易复发,治疗效果差的现象。
MRI上肝细胞癌边缘不清的癌细胞分级为Ⅲ-Ⅳ级的比例(占24.4%)要比边缘清楚无分叶的(占5.9%)要高。而边缘清楚伴分叶的比例居中(占10.0%)。MRI上21.2%边缘清楚无分叶的肝细胞癌癌细胞为Ⅰ级,而边缘清楚伴分叶及边缘不清的肝细胞癌少见或未见Ⅰ级,以上结果说明,MRI肿瘤边缘不清的,其癌细胞恶性程度相对高。我们认为,低分化的肿瘤发展快,浸润生长,无足够的时间形成包膜,MRI上肿瘤边缘不清。相反,高分化的肿瘤,恶性度稍低,容易在肿瘤周围形成反应性纤维包膜,在MRI上表现为边缘清楚。
, http://www.100md.com
综上所述,肝细胞癌在低场MRI的T2WI上的边缘形态分类能够很好地反映病理上肿瘤包膜的完整程度及肿瘤向周围肝组织浸润生长情况,对癌细胞分级的评价有一定帮助,可以用于明确手术切除肿瘤的范围、指导临床制定治疗方案、进行疗效及预后估计等。■
作者简介:余深平(1967-),男,安徽安庆人,硕士,主治医师.
参考文献:
[1]Inoue E, Kuroda C, Narumi Y, et al. Magnetic resonance imaging-histologic correlation of small hepatocellular carcinomas and adenomatous hyperlasias [J]. Invest Radiol, 1993,28(3):691.
[2]朱锡旭,沈复兴,卢光明. 原发性肝癌MR表现[J]. 实用放射学杂志,1998,14(6):355.
, 百拇医药
[3]程红岩,贾雨辰,吴孟超. 小肝细胞癌边缘影像与病理的对比观察[J]. 中华放射学杂志,1996,30(12):820.
[4]Rendon C N, Judith L C. Pathology and imaging of hepatocellular neoplasms: are findings from Asian population applicable to non-Asian groups?[J]. AJR,1993,160(5):1188.
[5]Grazioli L, Olivetti L, Fugazzola C, et al. The pseudocapsule in hepatocellular carcinoma: correlation between dynamic MR imaging and pathology[J]. Eur Radiol, 1999,9(1):62.
, 百拇医药
[6]James P E, Nei D T, Jeffrey C W, et al. Dysplastic nodules and hepatocellular carcinoma: thinsection MR imaging of explanted cirrhotic livers with pathologic correlation[J]. Radiology, 1996,201(1):207.
[7]Harvey V S, John J A, Michael E B, et al. Focal hepatic lesion:comparative MR imaging at 0.5 and 1.5 T[J]. Radiology, 1990,174(1):153.
收稿日期:1999-07-23, http://www.100md.com