尿激酶型纤溶酶原激活系统与肺癌转移的关系
作者:乔慧 吴惠茜 赵国华 丘钜世
单位:中山医科大学病理教研室, 广东 广州 510089
关键词:尿激酶;肺肿瘤;肿瘤转移;免疫组织化学
中山医科大学学报000104
摘 要:目的 研究尿激酶型纤溶酶原激活物UPA及其特异受体UPAR和抑制物PAI-1,PAI-2与肺非小细胞癌(NSCLC)转移的关系。方法用免疫组化LSAB法检测UPA,UPAR,PAI-1和PAI-2在66例肺NSCLC中蛋白水平表达。结果肺腺癌,鳞癌有淋巴结转移组UPA,PAI-1阳性率及表达强度均比无转移组高,P值均<0.05。肺大细胞癌有淋巴结转移组UPA,UPAR阳性率比无转移组高,P=0.001和P=0.03。对4种因素UPA,UPAR,PAI-1,PAI-2与肺癌淋巴结转移关系行logistic回归分析,UPA,PAI-1,PAI-2 三个因素引入回归方程,P=0.001,P=0.031和P=0.043。UPA,PAI-1回归系数均为正值,相对危险度(RR)为4.170和2.177,而PAI-2回归系数为负值,RR=0.504。结论UPA、PAI-1与肺腺癌、鳞癌转移密切相关,UPA,UPAR与肺大细胞癌转移相关,UPA,PAI-1是肺癌淋巴结转移促进因子,而PAI-2是其抑制因子。
, http://www.100md.com
分类号: R 734. 202 文献标识码:A
文章编号: 1000-257X(2000)01-0014-04
The Expression of Urokinase-type Plasminogen Activation System
and Its Relation to Metastasis in Non-small Cell Lung Cancer
QIAO Hu
(Department of Pathology,Sun Yat-sen University of Medical Science, Guangzhou 510089,China)
WU Hui-qian
, http://www.100md.com
(Department of Pathology,Sun Yat-sen University of Medical Science, Guangzhou 510089,China)
ZAO Guo-hua
(Department of Pathology,Sun Yat-sen University of Medical Science, Guangzhou 510089,China)
QIU Ju-shi
(Department of Pathology,Sun Yat-sen University of Medical Science, Guangzhou 510089,China)
Abstract:Objective To study the role of UPA,UPAR,PAI-1 and PAI-2 in metastasis of non-small cell lung cancer(NSCLC).MethodsThe expression at protein level for UPA,UPAR,PAI-1 and PAI-2 were examined in 66 cases of NSCLC.Results The positive rate as well as quantitative assay of immune staining for UPA and PAI-1were significantly higher (P<0.05)in cases with lymph node involvement (LN+) than those without lymph node involvement(LN-) in adenocarcinoma(AC) and squamous cell carcinoma(SCC). In large cell lung cancer(LCLC),the positive rate for UPA,UPAR was significantly higher in LN+ cases than those in LN-cases(P=0.001 and P=0.03). The relationship between 4 factors and lymph node involvement was analyzed by multivariate backward logistic regression model. The result showed that UPA,PAI-1 and PAI-2 entered the regression model (P=0.001,P=0.031, and P=0.043 respectively).Regression coefficient of UPA and PAI-1 was positive,RR=4.170 and RR=2.177,while that of PAI-2 was negative ,RR=0.504.Conclusions UPA and PAI-1 are associated with metastasis in adenocarcinoma and squamous cell carcinoma. While UPA and UPAR are associated with metastasis in large cell lung cancer.UPA,PAI-1 may contribute to tumor metastasis, whereas PAI-2 may prevent tumor metastasis.
, http://www.100md.com
Key words:urokinase; lung neoplasms; neoplasm metastasis; immunohistochemistry▲
在肿瘤浸润和转移过程中,必须降解一系列天然组织屏障,其中包括细胞外基质和基底膜。细胞外蛋白水解酶是参与这一过程的关键酶,这些酶大多数是以无活性的酶原形式存在,尿激酶型纤溶酶原激活剂(urokinase-type plasminogen activator,UPA)可直接参与或间接激活这些酶原。它可能是基底膜和细胞外基质发生降解的“始动”和“调节”因子。近年,国外陆续有UPA与各类肿瘤浸润和转移关系研究报道。本实验采用免疫组化LSAB法观察UPA系统各组分:UPA,UPA受体(UPA recepter, UPAR)及其抑制物(plasminogen activator inhabitor-1,PAI-1;plasminogen activator inhabitor-2,PAI-2)在66例肺癌组织中表达和分布,探讨UPA系统与肺癌转移的关系。
, 百拇医药
1 材料和方法
1.1 材 料
标本选自中山医科大学病理教研室和附属肿瘤医院病理科1992~1997年存档的活检蜡块。要求诊断明确,病史详细,肿瘤组织较多。共选出66例,其中肺腺癌24例,肺鳞癌29例,大细胞癌13例。有淋巴结转移34例,无淋巴结转移32例。UPA,UPAR,PAI-1,PAI-2的第一抗体均购自American Diagnostic Inc,产品代号分别为 PcAb389,McAb3936,McAb3785,McAb3750。免疫组化LSAB试剂盒购自DAKO公司。
1.2 方 法
4 μm 厚度切片,免疫组化染色(LSAB法),UPA,UPAR,PAI-1,PAI-2工作浓度分别为:1∶500,1∶50,1∶50,1∶50。其中UPAR抗原修复采用50 mmol Glycine+100 mmol NaCl pH 3.0,微波低档5min[8]。,PAI-1,PAI-2分别采用微波和胰酶消化来暴露抗原。每批试验均用已知UPA,UPAR,,PAI-1,PAI-2阳性乳腺癌标本作阳性对照。PBS代替一抗作阴性对照。
, 百拇医药
1.3 结果观察
1.3.1 半定量分析 在光镜下观察,将免疫组化染色分为两个等级:阴性(-):阳性细胞数<5%,阳性(+):阳性细胞数≥5%。
1.3.2 定量分析 采用德国Kontron 公司 IBSA2.0真彩图像分析仪对免疫组化结果进行定量测定。用阳性产物灰度来反映表达强度。灰度数值与阳性产物染色强度呈反比关系。
1.4 统计学处理
应用SPSS6.0统计软件分析,2 结 果
2.1 UPA系统在非小细胞肺癌中分布情况
UPA阳性信号主要位于癌细胞胞浆内,腺癌腺腔内的巨噬细胞及鳞癌癌巢周围的纤维母细胞也为弱阳性。UPAR阳性信号主要位于癌细胞胞膜上。PAI-1分布广泛,癌细胞及肿瘤组织内皮细胞,纤维母样细胞均阳性,而PAI-2分布局限仅癌细胞胞浆阳性(图1~4)。
, 百拇医药
图1 肺腺癌中PAI-1蛋白阳性表达
Fig.1 PAI-1 protein positive staining in lung adenocarcinoma (LSAB×200)
图2 肺大细胞癌中UPAR蛋白阳性表达
Fig.2 UPAR protein positive staining in large cell lung (LSAB×400)
图3 肺鳞癌中UPA蛋白阳性表达
Fig.3 UPA protein positive staining in lung squamous cell carcinoma (LSAB×200)
, http://www.100md.com
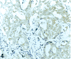
图4 肺腺癌中PAI-2蛋白阳性表达
Fig.4 PAI-2 protein positive staining in lung adenocarcinoma (LSAB×200)
2.2 UPA系统在有、无淋巴结转移组的阳性率及灰度
采用Fisher精确概率检验法分析肺癌有淋巴结转移组(LN+)与无转移组(LN-)中的UPA系统的阳性率。由表1可见,肺腺癌(AC)、鳞癌(SCC)LN+组UPA,,PAI-1阳性率高于LN-组,P值均<0.05。肺大细胞癌(LCLC)LN+组UPA,UPAR 阳性率高于LN-组,P值均<0.05。
表1 UPA系统在有、无淋巴结转移组中的阳性率
Table 1 Positive rates of UPA system in LN+ cases and LN - cases of lung cancer
, 百拇医药
(n,%) Type
n
UPA
UPAR
PAI-1
PAI-2
AC LN+
13
13(100)
6(46)
10(77)
8(53)
LN-
, http://www.100md.com
12
3(25)
6(50)
4(33)
8(67)
P=0.001
P=0.796
P=0.036
P=0.404
SCC LN+
13
11(85)
9(69)
, http://www.100md.com
9(69)
8(53)
LN-
15
5(33)
8(53)
4(26)
9(69)
P=0.008
P=0.620
P=0.030
P=0.620
LCLC LN+
, 百拇医药
8
8(100)
7(88)
4(50)
3(38)
LN-
5
0(0)
1(20)
2(40)
1(20)
P=0.001
P=0.030
, http://www.100md.com
P=0.533
P=0.667
AC: adenocarcinoma, SCC:squamous cell carcinoma, LCLC:large cell lung cancer
采用t检验或校正t检验比较肺癌有淋巴结转移组(LN+)与无转移组(LN-)中的UPA系统的灰度。由表2可见,肺腺癌(AC)、鳞癌(SCC)LN+组UPA,PAI-1灰度(其数值与染色强度呈反比关系)低于LN-组,P值均<0.01。
表2 UPA系统在有、无淋巴结转移组中的灰度
Table 2 Gray level of UPA system in LN+cases and LN-cases of lung cancer Type
, http://www.100md.com
n
UPA
UPAR
PAI-1
PAI-2
AC LN+
13
196.02±10.49
223.52±14.69
222.11±24.09
212.04±23.08
LN-
, 百拇医药
12
221.91±18.20
223.77±15.47
247.96±12.80
208.96±23.60
1.1P=0.001
1.0P=0.967
1.0P=0.002
1.0P=0.744
SCC LN+
13
201.51±9.91
, 百拇医药
224.42±14.60
227.42±16.89
222.44±19.53
LN-
15
222.78±16.44
230.52±14.24
240.23±13.93
220.11±22.54
1.0P=0.001
1.0P=0.274
, http://www.100md.com
1.0P=0.0002
1.0P=0.733
2.3 UPA系统与肺癌淋巴结转移关系的backward logistic回归分析
4个因素UPA、UPAR、PAI-1、PAI-2与肺癌淋巴结转移关系用backword logistic回归法进行多元变量分析,确定α=0.05。由表3可见UPA,PAI-1、PAI-2三个因素引入回归方程(P=0.001,P=0.031和P=0.043)。UPA,PAI-1回归系数均为正值(B=1.428和B=0.778),相对危险度均大于1(RR=4.170和RR=2.177),而PAI-2回归系数为负值(B=-0.684),相对危险度小于1(RR=0.504)。由此说明UPA和PAI-1是淋巴结转移的危险因子,而PAI-2是个保护因子。3 讨 论
肿瘤转移过程包括一系列相关步骤,其中以细胞外基质及基底膜降解最关键。它需要一系列蛋白溶解酶参加。已有研究表明UPA介导的纤维蛋白溶解系统与此密切相关[1]。
, 百拇医药
本组资料显示在人的肺腺癌及鳞癌有淋巴结转移组中UPA与PAI-1阳性率均高于无转移组(P值均<0.05)。在肺癌淋巴结转移危险因素logistic回归分析中,UPA、PAI-1相对危险度RR值均大于1。结果提示UPA,PAI-1与肺腺癌,鳞癌的转移有关。UPA与癌细胞表面的受体UPAR结合后将纤溶酶原活化为纤溶酶,后者能降解多种细胞外基质及基底膜的成分,促进癌细胞的侵袭和转移[1,2]。UPA的作用又受特异性抑制剂的调节,其中主要的为PAI-1和PAI-2。本实验免疫组化定位分析发现在肺腺癌及鳞癌中PAI-1除了存在于肿瘤细胞外,间质细胞也阳性。鉴于淋巴结转移组中PAI-1表达强度显著升高及PAI-1在肿瘤组织中分布的特点,结合国外研究结果,推测PAI-1作用的机理可能为:①PAI-1在瘤细胞中表达可以防止瘤组织自身降解[3,5]。②PAI-1在纤维母细胞中表达可能是参与肿瘤结缔组织生成、基质重建[3]。③PAI-1在瘤组织内皮细胞表达或许起到防止血管生成过程中细胞外基质过分降解,参与血管生成调节[4]。总的来看,肿瘤组织中PAI-1活性升高,与淋巴结转移及患者预后差有关[1,5]。
, 百拇医药
在肺大细胞癌中,有淋巴结转移组中UPA和UPAR阳性率高于阴性组(P值均小于0.05)。而PAI-1及PAI-2未见统计学差异,提示了肺大细胞癌生物学恶性度高与细胞膜上的UPAR密切相关。本组另一研究表明在肺大细胞癌移植瘤中,UPAR水平明显高于其它分子。由此可以看出,在各种类型的肺癌中尽管都有UPA系统各组分表达,但占主导地位因子却不同。
在淋巴结转移危险因素logistic回归分析中,PAI-2相对危险度RR=0.504,回归系数为负值(B=-0.684),说明PAI-2在淋巴结转移中是个保护因子。已有研究证实PAI-2水平升高是预后良好标志之一[6,7]。PAI-2可抑制UPA活性,但其具体机理还不明。免疫组化表明PAI-2仅定位于肿瘤细胞浆内,它不分泌出细胞外基质,这点提示可能由于PAI-1、PAI-2在肿瘤组组中分布区别,从而导致同为抑制剂的两种蛋白在肿瘤浸润与转移中所起作用却不同。
UPA系统与肺癌的转移密切相关,调节这些分子功能是抗癌治疗,抑制癌细胞扩散的基础。■
, http://www.100md.com
基金项目:国家自然科学基金资助课题(3957029400)
作者简介:乔慧(1972-),女,江苏人,在读博士;赵国华(1958-),男,副教授,课题负责人.
参考文献:
[1]Heiss M M,Babic R,Allgayer H,et al. Tumor-associated proteolysis and Prognosis:new functional,risk factor in gastric cancer defined by the urokinase-type plasminogen activator system[J].J Clin Oncol, 1995;13(8):2084.
[2]Duffy M J,Reilly D,O'Sullivan-C,et al. Urokinase-plasminogen activator,a new and independent prognostic marker in breast cancer[J].Cancer Res,1990;50(21):6827.
, 百拇医药
[3]Andreasen P A, Kjoller L,Christensen L,et al. The Urokinase-type plasminogen-acrivator system in cancer metastasis; a review, Int J Cancer,1997,72(1):1.
[4]Pyke C,Kristensen P,Ralfkiaer E,et al. The plasminogen activation system i e plasminogen activator and 2 inhibitors PAI-1 and PAI-2 in breast carcinoma[J]. Bull-Cancer,1994,81(9):770.
[7]Takeuchi Y, Nakao A, Harada A,et al. Expression of plasminogen activators and their inhibitors in human Pancreatic carcinoma: immunohistochemical study[J]. Am J Gastroenterol,1993,88(11):1928.
[8]Del V S, Stoppelli M P, Carriero M V,et al. Human urokinase receptor concentration in maligant and benign breast tumors by in vitro quantitative autorradiography: comparison with urokinase levels [J]. Cancer Res,1993,53(13):3198.
收稿日期:1999-08-24, http://www.100md.com
单位:中山医科大学病理教研室, 广东 广州 510089
关键词:尿激酶;肺肿瘤;肿瘤转移;免疫组织化学
中山医科大学学报000104
摘 要:目的 研究尿激酶型纤溶酶原激活物UPA及其特异受体UPAR和抑制物PAI-1,PAI-2与肺非小细胞癌(NSCLC)转移的关系。方法用免疫组化LSAB法检测UPA,UPAR,PAI-1和PAI-2在66例肺NSCLC中蛋白水平表达。结果肺腺癌,鳞癌有淋巴结转移组UPA,PAI-1阳性率及表达强度均比无转移组高,P值均<0.05。肺大细胞癌有淋巴结转移组UPA,UPAR阳性率比无转移组高,P=0.001和P=0.03。对4种因素UPA,UPAR,PAI-1,PAI-2与肺癌淋巴结转移关系行logistic回归分析,UPA,PAI-1,PAI-2 三个因素引入回归方程,P=0.001,P=0.031和P=0.043。UPA,PAI-1回归系数均为正值,相对危险度(RR)为4.170和2.177,而PAI-2回归系数为负值,RR=0.504。结论UPA、PAI-1与肺腺癌、鳞癌转移密切相关,UPA,UPAR与肺大细胞癌转移相关,UPA,PAI-1是肺癌淋巴结转移促进因子,而PAI-2是其抑制因子。
, http://www.100md.com
分类号: R 734. 202 文献标识码:A
文章编号: 1000-257X(2000)01-0014-04
The Expression of Urokinase-type Plasminogen Activation System
and Its Relation to Metastasis in Non-small Cell Lung Cancer
QIAO Hu
(Department of Pathology,Sun Yat-sen University of Medical Science, Guangzhou 510089,China)
WU Hui-qian
, http://www.100md.com
(Department of Pathology,Sun Yat-sen University of Medical Science, Guangzhou 510089,China)
ZAO Guo-hua
(Department of Pathology,Sun Yat-sen University of Medical Science, Guangzhou 510089,China)
QIU Ju-shi
(Department of Pathology,Sun Yat-sen University of Medical Science, Guangzhou 510089,China)
Abstract:Objective To study the role of UPA,UPAR,PAI-1 and PAI-2 in metastasis of non-small cell lung cancer(NSCLC).MethodsThe expression at protein level for UPA,UPAR,PAI-1 and PAI-2 were examined in 66 cases of NSCLC.Results The positive rate as well as quantitative assay of immune staining for UPA and PAI-1were significantly higher (P<0.05)in cases with lymph node involvement (LN+) than those without lymph node involvement(LN-) in adenocarcinoma(AC) and squamous cell carcinoma(SCC). In large cell lung cancer(LCLC),the positive rate for UPA,UPAR was significantly higher in LN+ cases than those in LN-cases(P=0.001 and P=0.03). The relationship between 4 factors and lymph node involvement was analyzed by multivariate backward logistic regression model. The result showed that UPA,PAI-1 and PAI-2 entered the regression model (P=0.001,P=0.031, and P=0.043 respectively).Regression coefficient of UPA and PAI-1 was positive,RR=4.170 and RR=2.177,while that of PAI-2 was negative ,RR=0.504.Conclusions UPA and PAI-1 are associated with metastasis in adenocarcinoma and squamous cell carcinoma. While UPA and UPAR are associated with metastasis in large cell lung cancer.UPA,PAI-1 may contribute to tumor metastasis, whereas PAI-2 may prevent tumor metastasis.
, http://www.100md.com
Key words:urokinase; lung neoplasms; neoplasm metastasis; immunohistochemistry▲
在肿瘤浸润和转移过程中,必须降解一系列天然组织屏障,其中包括细胞外基质和基底膜。细胞外蛋白水解酶是参与这一过程的关键酶,这些酶大多数是以无活性的酶原形式存在,尿激酶型纤溶酶原激活剂(urokinase-type plasminogen activator,UPA)可直接参与或间接激活这些酶原。它可能是基底膜和细胞外基质发生降解的“始动”和“调节”因子。近年,国外陆续有UPA与各类肿瘤浸润和转移关系研究报道。本实验采用免疫组化LSAB法观察UPA系统各组分:UPA,UPA受体(UPA recepter, UPAR)及其抑制物(plasminogen activator inhabitor-1,PAI-1;plasminogen activator inhabitor-2,PAI-2)在66例肺癌组织中表达和分布,探讨UPA系统与肺癌转移的关系。
, 百拇医药
1 材料和方法
1.1 材 料
标本选自中山医科大学病理教研室和附属肿瘤医院病理科1992~1997年存档的活检蜡块。要求诊断明确,病史详细,肿瘤组织较多。共选出66例,其中肺腺癌24例,肺鳞癌29例,大细胞癌13例。有淋巴结转移34例,无淋巴结转移32例。UPA,UPAR,PAI-1,PAI-2的第一抗体均购自American Diagnostic Inc,产品代号分别为 PcAb389,McAb3936,McAb3785,McAb3750。免疫组化LSAB试剂盒购自DAKO公司。
1.2 方 法
4 μm 厚度切片,免疫组化染色(LSAB法),UPA,UPAR,PAI-1,PAI-2工作浓度分别为:1∶500,1∶50,1∶50,1∶50。其中UPAR抗原修复采用50 mmol Glycine+100 mmol NaCl pH 3.0,微波低档5min[8]。,PAI-1,PAI-2分别采用微波和胰酶消化来暴露抗原。每批试验均用已知UPA,UPAR,,PAI-1,PAI-2阳性乳腺癌标本作阳性对照。PBS代替一抗作阴性对照。
, 百拇医药
1.3 结果观察
1.3.1 半定量分析 在光镜下观察,将免疫组化染色分为两个等级:阴性(-):阳性细胞数<5%,阳性(+):阳性细胞数≥5%。
1.3.2 定量分析 采用德国Kontron 公司 IBSA2.0真彩图像分析仪对免疫组化结果进行定量测定。用阳性产物灰度来反映表达强度。灰度数值与阳性产物染色强度呈反比关系。
1.4 统计学处理
应用SPSS6.0统计软件分析,2 结 果
2.1 UPA系统在非小细胞肺癌中分布情况
UPA阳性信号主要位于癌细胞胞浆内,腺癌腺腔内的巨噬细胞及鳞癌癌巢周围的纤维母细胞也为弱阳性。UPAR阳性信号主要位于癌细胞胞膜上。PAI-1分布广泛,癌细胞及肿瘤组织内皮细胞,纤维母样细胞均阳性,而PAI-2分布局限仅癌细胞胞浆阳性(图1~4)。
, 百拇医药
图1 肺腺癌中PAI-1蛋白阳性表达
Fig.1 PAI-1 protein positive staining in lung adenocarcinoma (LSAB×200)
图2 肺大细胞癌中UPAR蛋白阳性表达
Fig.2 UPAR protein positive staining in large cell lung (LSAB×400)
图3 肺鳞癌中UPA蛋白阳性表达
Fig.3 UPA protein positive staining in lung squamous cell carcinoma (LSAB×200)
, http://www.100md.com
图4 肺腺癌中PAI-2蛋白阳性表达
Fig.4 PAI-2 protein positive staining in lung adenocarcinoma (LSAB×200)
2.2 UPA系统在有、无淋巴结转移组的阳性率及灰度
采用Fisher精确概率检验法分析肺癌有淋巴结转移组(LN+)与无转移组(LN-)中的UPA系统的阳性率。由表1可见,肺腺癌(AC)、鳞癌(SCC)LN+组UPA,,PAI-1阳性率高于LN-组,P值均<0.05。肺大细胞癌(LCLC)LN+组UPA,UPAR 阳性率高于LN-组,P值均<0.05。
表1 UPA系统在有、无淋巴结转移组中的阳性率
Table 1 Positive rates of UPA system in LN+ cases and LN - cases of lung cancer
, 百拇医药
(n,%) Type
n
UPA
UPAR
PAI-1
PAI-2
AC LN+
13
13(100)
6(46)
10(77)
8(53)
LN-
, http://www.100md.com
12
3(25)
6(50)
4(33)
8(67)
P=0.001
P=0.796
P=0.036
P=0.404
SCC LN+
13
11(85)
9(69)
, http://www.100md.com
9(69)
8(53)
LN-
15
5(33)
8(53)
4(26)
9(69)
P=0.008
P=0.620
P=0.030
P=0.620
LCLC LN+
, 百拇医药
8
8(100)
7(88)
4(50)
3(38)
LN-
5
0(0)
1(20)
2(40)
1(20)
P=0.001
P=0.030
, http://www.100md.com
P=0.533
P=0.667
AC: adenocarcinoma, SCC:squamous cell carcinoma, LCLC:large cell lung cancer
采用t检验或校正t检验比较肺癌有淋巴结转移组(LN+)与无转移组(LN-)中的UPA系统的灰度。由表2可见,肺腺癌(AC)、鳞癌(SCC)LN+组UPA,PAI-1灰度(其数值与染色强度呈反比关系)低于LN-组,P值均<0.01。
表2 UPA系统在有、无淋巴结转移组中的灰度
Table 2 Gray level of UPA system in LN+cases and LN-cases of lung cancer Type
, http://www.100md.com
n
UPA
UPAR
PAI-1
PAI-2
AC LN+
13
196.02±10.49
223.52±14.69
222.11±24.09
212.04±23.08
LN-
, 百拇医药
12
221.91±18.20
223.77±15.47
247.96±12.80
208.96±23.60
1.1P=0.001
1.0P=0.967
1.0P=0.002
1.0P=0.744
SCC LN+
13
201.51±9.91
, 百拇医药
224.42±14.60
227.42±16.89
222.44±19.53
LN-
15
222.78±16.44
230.52±14.24
240.23±13.93
220.11±22.54
1.0P=0.001
1.0P=0.274
, http://www.100md.com
1.0P=0.0002
1.0P=0.733
2.3 UPA系统与肺癌淋巴结转移关系的backward logistic回归分析
4个因素UPA、UPAR、PAI-1、PAI-2与肺癌淋巴结转移关系用backword logistic回归法进行多元变量分析,确定α=0.05。由表3可见UPA,PAI-1、PAI-2三个因素引入回归方程(P=0.001,P=0.031和P=0.043)。UPA,PAI-1回归系数均为正值(B=1.428和B=0.778),相对危险度均大于1(RR=4.170和RR=2.177),而PAI-2回归系数为负值(B=-0.684),相对危险度小于1(RR=0.504)。由此说明UPA和PAI-1是淋巴结转移的危险因子,而PAI-2是个保护因子。3 讨 论
肿瘤转移过程包括一系列相关步骤,其中以细胞外基质及基底膜降解最关键。它需要一系列蛋白溶解酶参加。已有研究表明UPA介导的纤维蛋白溶解系统与此密切相关[1]。
, 百拇医药
本组资料显示在人的肺腺癌及鳞癌有淋巴结转移组中UPA与PAI-1阳性率均高于无转移组(P值均<0.05)。在肺癌淋巴结转移危险因素logistic回归分析中,UPA、PAI-1相对危险度RR值均大于1。结果提示UPA,PAI-1与肺腺癌,鳞癌的转移有关。UPA与癌细胞表面的受体UPAR结合后将纤溶酶原活化为纤溶酶,后者能降解多种细胞外基质及基底膜的成分,促进癌细胞的侵袭和转移[1,2]。UPA的作用又受特异性抑制剂的调节,其中主要的为PAI-1和PAI-2。本实验免疫组化定位分析发现在肺腺癌及鳞癌中PAI-1除了存在于肿瘤细胞外,间质细胞也阳性。鉴于淋巴结转移组中PAI-1表达强度显著升高及PAI-1在肿瘤组织中分布的特点,结合国外研究结果,推测PAI-1作用的机理可能为:①PAI-1在瘤细胞中表达可以防止瘤组织自身降解[3,5]。②PAI-1在纤维母细胞中表达可能是参与肿瘤结缔组织生成、基质重建[3]。③PAI-1在瘤组织内皮细胞表达或许起到防止血管生成过程中细胞外基质过分降解,参与血管生成调节[4]。总的来看,肿瘤组织中PAI-1活性升高,与淋巴结转移及患者预后差有关[1,5]。
, 百拇医药
在肺大细胞癌中,有淋巴结转移组中UPA和UPAR阳性率高于阴性组(P值均小于0.05)。而PAI-1及PAI-2未见统计学差异,提示了肺大细胞癌生物学恶性度高与细胞膜上的UPAR密切相关。本组另一研究表明在肺大细胞癌移植瘤中,UPAR水平明显高于其它分子。由此可以看出,在各种类型的肺癌中尽管都有UPA系统各组分表达,但占主导地位因子却不同。
在淋巴结转移危险因素logistic回归分析中,PAI-2相对危险度RR=0.504,回归系数为负值(B=-0.684),说明PAI-2在淋巴结转移中是个保护因子。已有研究证实PAI-2水平升高是预后良好标志之一[6,7]。PAI-2可抑制UPA活性,但其具体机理还不明。免疫组化表明PAI-2仅定位于肿瘤细胞浆内,它不分泌出细胞外基质,这点提示可能由于PAI-1、PAI-2在肿瘤组组中分布区别,从而导致同为抑制剂的两种蛋白在肿瘤浸润与转移中所起作用却不同。
UPA系统与肺癌的转移密切相关,调节这些分子功能是抗癌治疗,抑制癌细胞扩散的基础。■
, http://www.100md.com
基金项目:国家自然科学基金资助课题(3957029400)
作者简介:乔慧(1972-),女,江苏人,在读博士;赵国华(1958-),男,副教授,课题负责人.
参考文献:
[1]Heiss M M,Babic R,Allgayer H,et al. Tumor-associated proteolysis and Prognosis:new functional,risk factor in gastric cancer defined by the urokinase-type plasminogen activator system[J].J Clin Oncol, 1995;13(8):2084.
[2]Duffy M J,Reilly D,O'Sullivan-C,et al. Urokinase-plasminogen activator,a new and independent prognostic marker in breast cancer[J].Cancer Res,1990;50(21):6827.
, 百拇医药
[3]Andreasen P A, Kjoller L,Christensen L,et al. The Urokinase-type plasminogen-acrivator system in cancer metastasis; a review, Int J Cancer,1997,72(1):1.
[4]Pyke C,Kristensen P,Ralfkiaer E,et al. The plasminogen activation system i e plasminogen activator and 2 inhibitors PAI-1 and PAI-2 in breast carcinoma[J]. Bull-Cancer,1994,81(9):770.
[7]Takeuchi Y, Nakao A, Harada A,et al. Expression of plasminogen activators and their inhibitors in human Pancreatic carcinoma: immunohistochemical study[J]. Am J Gastroenterol,1993,88(11):1928.
[8]Del V S, Stoppelli M P, Carriero M V,et al. Human urokinase receptor concentration in maligant and benign breast tumors by in vitro quantitative autorradiography: comparison with urokinase levels [J]. Cancer Res,1993,53(13):3198.
收稿日期:1999-08-24, http://www.100md.com