大鼠肺癌发生发展动物模型的构建
作者:吴逸明 李卫民 李卓炜 王新朝 马玉英 徐玉宝 陈琛
单位:河南医科大学劳动卫生学与卫生毒理学教研室 郑州 450052
关键词:多环芳烃;支气管灌注;动物模型;肺肿瘤;大鼠
河南医科大学学报000318 摘要 目的:探讨人类肺癌的发病机制,构建肺癌的动物模型,以了解肺癌发生发展的全过程。方法: 采用煤焦沥青(CTP)支气管灌注的方法,诱发大鼠肺癌动物模型。初断乳Wistar大鼠71只,饲养4周后体重120 ~200 g,随机分为3组。实验组Ⅰ 31只,灌注中温CTP生理盐水悬液,累计灌注量为192 mg;实验组Ⅱ 15只,灌注中温CTP玉米油悬液,累计灌注量为256 mg;对照组25只,灌注炭粉生理盐水悬液,累计灌注量为192 mg。3种悬液质量浓度均为160 g/L,沥青和炭粉分散度均为粒径小于10 μm者大于94%,各加入少量青霉素。每次灌注量均为0.2 ml,每次间隔7~10 d,实验组Ⅰ和对照组灌注6次,实验组Ⅱ灌注8次。测定中温CTP苯溶物(BSF),上街沥青为0.346 4 g/L,安钢沥青为0.357 5 g/L。实验组Ⅰ和对照组于染毒后第3,6,13个月,实验组Ⅱ于染毒后6个月系列宰杀。宰杀前X光胸部前后位摄片,见可疑病变者宰杀。标本用中性福尔马林固定,切片,HE染色,光镜观察。结果:实验组Ⅰ染毒第3个月宰杀12只均未见异常病理改变;第6个月宰杀7只,5只见鳞状上皮化生,其中3只见不典型增生, 1只出现原位癌;第13个月宰杀12只均见鳞状上皮化生,其中4只见不典型增生, 3只出现原位癌, 2只鳞癌,1只类癌。实验组Ⅱ染毒6个月后宰杀15只均见鳞状上皮化生,其中13只见不典型增生,7只伴原位癌,6只为浸润癌(鳞癌)。对照组25只大鼠,始终未见上述病理改变。结论:应用CTP可成功地诱发大鼠肺癌,其发生发展过程为:正常支气管上皮组织→鳞状上皮化生→不典型增生→原位癌→浸润癌(鳞癌)。通过对CTP灌注量和肺癌各病理阶段发生时间的准确记录,有助于推算人类接触类似致癌物可能发生肺癌的剂量及出现各病理阶段的时间,为深入探讨人类肺癌的发病机理及其预防提供了良好的实验材料。
, http://www.100md.com
分类号 R135
Establishment and significance of animal model about occurring and developing in rats lung carcinoma
WU Yiming, LI Weimin,LI Zhuowei,WANG Xinchao,MA Yuying,XU Yubao,CHEN Chen
Department of occupational Health and Health Toxicology, Henan Medical University, Zhengzhou 450052
Abstract Aim: Lung carcinoma is the most frequent cancer in the world, and today its incidence is rapidly rising. It is forecasted that lung carcinoma in the 21 century is the leading disease in the epidemic of carcinoma. Since its mechanism remains poorly understood, diagnosis and treatment effect are relatively bad, its incidence and dead rat are very high. So it is very important to study the mechanism causing lung carcinoma. Coal tar pitch (CTP) mainly comprises polycyclic aromatic hydrocarbons (PAH) and PAH in the environment is connected with human lung cancer. Both animal experiment and epidemic research have demonstrated that CTP can cause lung cancer. To explore the whole process of lung cancer occurring and developing, we took the bronchia perfusion method to place a premium on animal model of rats lung carcinogenesis based on our research and other scholars studies. Methods: The 71 Wistar rats which just stopped eating milk were randomly divided into three groups, whose weight were from 120 g to 200 g after being bred for four weeks. Experiment group I containing 31 cases were perfused by mild temperature CTP suspending in normal saline, experiment group II containing 15 cases were perfused by mild temperature CTP suspending in corn oil,and control group containing 25 cases were perfused by charcoal powder in normal saline. The concentration of three suspending solutions were all 160 g/L, the dispersion degree of pitch and charcoal powder which diameter were less than 10 μm were more than 94%, and infused less penicillin. The concentration of benzene solving flour (BSF) in group I pitch was 0.346 4 g/L, 0.357 5 g/L in group II pitch. Perfusion quantum was 32 mg each time; perfusion interval was from 7 days to 10 days each time. The cumulated perfusion quantum of experiment group I, II and control group were separately 192 mg, 256 mg and 192 mg. Experiment group I and control group were slain in the third, sixth, thirteenth month after having caught toxin,and experiment group II were slain in the sixth month after having caught toxin. Before slain, X ray sternum was taken from front to back, if suspect pathological changes were found, then slain. Samples were secured by mild formalin, sliced up, HE dyed, observed under light lens. Results: ①Weight changes of the three groups were similar. it was shown that CTP dosage had less effect on growth . Those who died naturally lose their weight, exhausted,most of them caught lung carcinogenesis or united infection.②Tumor lay lung surface.The diameter was about 0.5 cm, irregularly nodular shape, velvet surface, clear boundary, no envelope, hard texture, hoariness.③ Observed under light lens, and among the experiment group I, 12 mice were slain in the third month and change in pathology. 7 mice were slain in the sixth month, 5 mice were found squamous epithelium, including 3 atypical hyperplasia and one of three was found primary carcinoma. In the thirteenth month, 12 mice were all found squamous epithelium, including 4 atypical hyperplasia and three of four were found primary carcinoma, two of three belonged to squamous carcinoma, one belonged to genus carcinoma. In the experiment group II, 15 mice were all found squamous epithelium in the sixth month after having caught toxin, including 13 atypical hyperplasia, 7 cases primary carcinoma, 6 cases squamous carcinoma. In control group, pathologic changes were not found all the time. Conclusion: It was successfully placed a premium on rats lung carcinoma by CTP. The developing process was: normal bronchial epithelium squamous epithelium →epithelial hyperplasia→atypical hyperplasia→primary carcinoma→endosmosis carcinoma(squamous carcinoma). It is helpful to reckon the dosage causing lung carcinoma, which human may contact analogue causing carcinoma, and the time of each pathologic phase ,according to CTP perfusion quantum and accurate record of when lung carcinoma happened in each pathologic phase, and it provided good experiment datum to explore the mechanism causing human lung carcinoma.
, http://www.100md.com
Key words coal tar pitch; polycyclic aromatic hydrocarbon; bronchia; perfusion; disease model,animal;lung cancer; rats;
20世纪以来,人类肺癌发病率呈明显上升趋势[1],且预后差,发病率与死亡率几乎平行。因此,探讨人类肺癌的发病机制非常重要。流行病学和动物实验都证实煤焦沥青(CTP)可引起肺癌[2]。作者通过该致癌物诱发大鼠肺癌构建了肺癌发生发展各阶段的动物模型,为深入认识人类肺癌提供良好的实验材料。
1 材料与方法
1.1 煤焦沥青、炭粉悬液的配制 分别选用某炭素厂、焦化厂的中温CTP和北京炭素厂的炭粉,在玛瑙钵内反复研磨成粉末,作分散度分析,94%的颗粒直径小于10 μm,分别装入干燥洁净的试剂瓶中,紫外线消毒,置干燥器中备用。① 取适量炭粉加少量青霉素(华北制药厂),用生理盐水配制成160 g/L炭粉生理盐水悬液。②研磨好的上街的马鞍山中温CTP加少量青霉素(华北制药厂),用生理盐水配制成160 g/L CTP生理盐水悬液。③研磨好的安钢的中温CTP加少量青霉素(华北制药厂),用玉米油(郑州市中原制药厂)配成160 g/L的CTP玉米油悬液。测定中温CTP苯溶物(BSF),上街沥青为0.346 4 g/L,安钢沥青为0.357 5 g/L。
, http://www.100md.com
1.2 实验动物 由河南医科大学实验动物中心提供的初断乳Wistar大鼠56只,饲养4周后体重为120~200 g,随机分成2组。实验组Ⅰ31只,给予支气管灌注上街的CTP生理盐水悬液;对照组25只,给予支气管灌注炭粉生理盐水悬液。第一批动物染毒3个月后,再次由河南医科大学动物中心提供的初断乳Wistar大鼠15只,饲养4周后,体重为120~200 g,定为实验组Ⅱ,给予支气管灌注安钢CTP玉米油悬液。灌注情况见表1。
表1 各组支气管灌注情况 组 别
n
灌注量/
mg.次-1
t(间隔)/d
灌注
, 百拇医药
次数
累计量/
mg
实验组Ⅰ
31
32
7~10
6
192
实验组Ⅱ
15
32
7~10
, 百拇医药 8
256
对 照 组
25
32
7~10
6
192
1.3 灌注方法 大鼠以乙醚麻醉,待呼吸平稳,肌内松弛后,固定,轻轻夹出鼠舌放入改制的窥耳镜,暴露声门,插入钝头灌注器,气管内分别注入相应的实验悬液,灌注后3 d内大鼠每d肌内注射青霉素16万u/只。
1.4 系列宰杀 实验组Ⅰ和对照组大鼠于染毒后第3,6,13个月系列宰杀,实验组Ⅱ大鼠于染毒后6个月宰杀。宰杀前,配合X光同步检查,动物乙醚麻醉后,胸部前后位摄片,见可疑病变者宰杀。大鼠处死,采用断头法,避免肺及其它脏器的淤血。解剖处死和自然死亡的动物,检查肺、气管和各脏器的变化,用中性缓冲福尔马林(PBS,pH 7.4配制)固定大鼠各组织。大鼠肺组织常规脱水,石蜡包埋,制成蜡块部分连续切片5~10 μm,作HE染色和免疫组化染色。
, 百拇医药
1. 5 观测指标
1.5.1 一般指标:灌注期间称体重1次/周,以后称重1次/月。观察大鼠的生长、活动、摄食等健康情况。
1.5.2 病理检查指标:观察大体标本,切片HE染色,光镜观察,判断标准如下。①正常支气管上皮:细胞呈柱状或立方形,位于基膜细胞的表面到达管腔,并有纤毛伸出。②鳞状上皮化生:上皮由数层规则的扁平细胞组成,可见角化。③不典型增生:上皮由数层不规则细胞组成,表现为增生的细胞,大小不一,形态多样,核大而浓染,核浆比例增大,核分裂可增多,呈多型性。④原位癌:不典型增生严重时,细胞累及上皮的全层,则定为原位癌。⑤鳞癌:一般呈条索状和/或小团状,多为高分化,癌细胞异型性不明显,可见细胞角化珠,一些癌组织高度角化。
2 结果
2.1 一般情况 各组动物体重变化情况基本相近,表明本实验所采用的CTP剂量对动物的生长发育情况无明显毒性作用,实验过程中自然死亡的大鼠多表现体重降低,呈全身衰竭状,此类动物多数发现患有肺癌或并发感染。
, http://www.100md.com
2.2 肺癌的大体形态 肿瘤位于肺表面,呈结节状,直径0.5 cm左右,不规则,结节表面光滑,与周围组织界限清楚,无包膜,质硬,灰白。
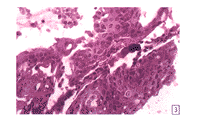
2.3 HE染色光镜观察 71只大鼠,可见正常支气管上皮组织、鳞状上皮化生、不典型增生、原位癌及浸润癌(鳞癌)。见图1,2,3(封四)。实验组I及实验组II的第3个月和对照组第3,6,13个月所宰杀的大鼠肺组织均未见病理改变。实验组I第6个月见5只有磷状上皮化生,其中3只可见不典型增生,1只原位癌;实验组II第6个月可见15只有磷状上皮化生,其中13只可见不典型增生,7只原位癌,6只鳞癌。实验组I第13个月12只可见磷状上皮化生,其中4只不典型增生,3只原位癌,3只鳞癌。
图1 实验组大鼠肺组织鳞状上皮化生HE染色
, 百拇医药
图2 实验组大鼠肺组织不典型增生HE染色
图3 实验组大鼠肺癌(鳞癌)HE染色
3 讨论
3.1 CTP诱发大鼠肺癌动物模型的构建 动物实验和人群流行病学已证实,CTP具有强烈的致肺癌作用。本实验在作者及其他学者多年研究经验的基础上,设计用CTP支气管灌注,诱发大鼠肺癌,其目的是为构建大鼠肺癌发生发展全过程的动物模型。实验组Ⅰ,CTP累计量为192 mg,低于程元恺[2]、常福聚[3]的实验用量。实验组Ⅱ15只大鼠,CTP累计量为256 mg,高于程元恺[2]、常福聚[3]和郭柯[4]的实验用量。2实验组动物经系列宰杀,其发生发展过程为:正常支气管上皮组织→鳞状上皮化生→不典型增生→原位癌→浸润癌(鳞癌)。
, http://www.100md.com
3.2 CTP诱发大鼠肺癌动物模型构建的意义 人类肺癌的发病率在本世纪呈明显上升趋势,目前肺癌的发病机制不明,因此,诊断、治疗效果较差,造成肺癌发病率几乎与死亡率平行。探讨肺癌的发病机制成为当务之急,尤其是由正常的支气管假复层纤毛柱状上皮细胞转化为癌前支气管上皮细胞,进而转化为肺癌细胞(鳞癌)这一过程的机制。CTP这一致癌物,主要含多环芳烃(PAH),而环境中PAH与人类肺癌发生有关[5]。运用CTP诱发大鼠肺癌这一动物模型,有助于深入探讨人类肺癌的发病机制。在本动物模型构建的过程中,通过对CTP的灌注量和大鼠肺鳞癌各病理阶段发生时间的准确记录,有助于推算人类接触类似致癌物可能发生肺癌的剂量以及出现各种病理阶段的时间,为人类肺癌(鳞癌)预防提供可靠的实验依据[6]。
基金项目:河南省自然科学基金资助项目 984020300
研究方向:肺癌的病因学、预防、早期诊断和综合治疗,E-mail:ymwu@371.net
, http://www.100md.com
作者简介:吴逸明,男,55岁,教授,博士生导师,参考文献
[1]范若兰,周冕.肺癌的病因学研究进展.中国肿瘤,1996,5(3):6
[2]程元恺.煤焦沥青诱发大鼠肺癌的实验研究.工业卫生与职业病,1985,11:65
[3]常福聚.煤焦沥青诱发大鼠肺癌的实验研究.[学位论文(硕士)].郑州:河南医科大学,1987
[4]郭柯.煤焦沥青诱发肺癌的实验研究.[学位论文(硕士)].郑州:河南医科大学,1987
[5]王黎霞.PAH-DNA共价结合指标在PAH致癌研究中的应用.国外医学*卫生学分册,1989,4:209
[6]Liia Pylkkanen. Animal models for the preneoplastic lesion of the prostate. European Urology, 1996,30(2): 243
2000-01-05收稿, 百拇医药
单位:河南医科大学劳动卫生学与卫生毒理学教研室 郑州 450052
关键词:多环芳烃;支气管灌注;动物模型;肺肿瘤;大鼠
河南医科大学学报000318 摘要 目的:探讨人类肺癌的发病机制,构建肺癌的动物模型,以了解肺癌发生发展的全过程。方法: 采用煤焦沥青(CTP)支气管灌注的方法,诱发大鼠肺癌动物模型。初断乳Wistar大鼠71只,饲养4周后体重120 ~200 g,随机分为3组。实验组Ⅰ 31只,灌注中温CTP生理盐水悬液,累计灌注量为192 mg;实验组Ⅱ 15只,灌注中温CTP玉米油悬液,累计灌注量为256 mg;对照组25只,灌注炭粉生理盐水悬液,累计灌注量为192 mg。3种悬液质量浓度均为160 g/L,沥青和炭粉分散度均为粒径小于10 μm者大于94%,各加入少量青霉素。每次灌注量均为0.2 ml,每次间隔7~10 d,实验组Ⅰ和对照组灌注6次,实验组Ⅱ灌注8次。测定中温CTP苯溶物(BSF),上街沥青为0.346 4 g/L,安钢沥青为0.357 5 g/L。实验组Ⅰ和对照组于染毒后第3,6,13个月,实验组Ⅱ于染毒后6个月系列宰杀。宰杀前X光胸部前后位摄片,见可疑病变者宰杀。标本用中性福尔马林固定,切片,HE染色,光镜观察。结果:实验组Ⅰ染毒第3个月宰杀12只均未见异常病理改变;第6个月宰杀7只,5只见鳞状上皮化生,其中3只见不典型增生, 1只出现原位癌;第13个月宰杀12只均见鳞状上皮化生,其中4只见不典型增生, 3只出现原位癌, 2只鳞癌,1只类癌。实验组Ⅱ染毒6个月后宰杀15只均见鳞状上皮化生,其中13只见不典型增生,7只伴原位癌,6只为浸润癌(鳞癌)。对照组25只大鼠,始终未见上述病理改变。结论:应用CTP可成功地诱发大鼠肺癌,其发生发展过程为:正常支气管上皮组织→鳞状上皮化生→不典型增生→原位癌→浸润癌(鳞癌)。通过对CTP灌注量和肺癌各病理阶段发生时间的准确记录,有助于推算人类接触类似致癌物可能发生肺癌的剂量及出现各病理阶段的时间,为深入探讨人类肺癌的发病机理及其预防提供了良好的实验材料。
, http://www.100md.com
分类号 R135
Establishment and significance of animal model about occurring and developing in rats lung carcinoma
WU Yiming, LI Weimin,LI Zhuowei,WANG Xinchao,MA Yuying,XU Yubao,CHEN Chen
Department of occupational Health and Health Toxicology, Henan Medical University, Zhengzhou 450052
Abstract Aim: Lung carcinoma is the most frequent cancer in the world, and today its incidence is rapidly rising. It is forecasted that lung carcinoma in the 21 century is the leading disease in the epidemic of carcinoma. Since its mechanism remains poorly understood, diagnosis and treatment effect are relatively bad, its incidence and dead rat are very high. So it is very important to study the mechanism causing lung carcinoma. Coal tar pitch (CTP) mainly comprises polycyclic aromatic hydrocarbons (PAH) and PAH in the environment is connected with human lung cancer. Both animal experiment and epidemic research have demonstrated that CTP can cause lung cancer. To explore the whole process of lung cancer occurring and developing, we took the bronchia perfusion method to place a premium on animal model of rats lung carcinogenesis based on our research and other scholars studies. Methods: The 71 Wistar rats which just stopped eating milk were randomly divided into three groups, whose weight were from 120 g to 200 g after being bred for four weeks. Experiment group I containing 31 cases were perfused by mild temperature CTP suspending in normal saline, experiment group II containing 15 cases were perfused by mild temperature CTP suspending in corn oil,and control group containing 25 cases were perfused by charcoal powder in normal saline. The concentration of three suspending solutions were all 160 g/L, the dispersion degree of pitch and charcoal powder which diameter were less than 10 μm were more than 94%, and infused less penicillin. The concentration of benzene solving flour (BSF) in group I pitch was 0.346 4 g/L, 0.357 5 g/L in group II pitch. Perfusion quantum was 32 mg each time; perfusion interval was from 7 days to 10 days each time. The cumulated perfusion quantum of experiment group I, II and control group were separately 192 mg, 256 mg and 192 mg. Experiment group I and control group were slain in the third, sixth, thirteenth month after having caught toxin,and experiment group II were slain in the sixth month after having caught toxin. Before slain, X ray sternum was taken from front to back, if suspect pathological changes were found, then slain. Samples were secured by mild formalin, sliced up, HE dyed, observed under light lens. Results: ①Weight changes of the three groups were similar. it was shown that CTP dosage had less effect on growth . Those who died naturally lose their weight, exhausted,most of them caught lung carcinogenesis or united infection.②Tumor lay lung surface.The diameter was about 0.5 cm, irregularly nodular shape, velvet surface, clear boundary, no envelope, hard texture, hoariness.③ Observed under light lens, and among the experiment group I, 12 mice were slain in the third month and change in pathology. 7 mice were slain in the sixth month, 5 mice were found squamous epithelium, including 3 atypical hyperplasia and one of three was found primary carcinoma. In the thirteenth month, 12 mice were all found squamous epithelium, including 4 atypical hyperplasia and three of four were found primary carcinoma, two of three belonged to squamous carcinoma, one belonged to genus carcinoma. In the experiment group II, 15 mice were all found squamous epithelium in the sixth month after having caught toxin, including 13 atypical hyperplasia, 7 cases primary carcinoma, 6 cases squamous carcinoma. In control group, pathologic changes were not found all the time. Conclusion: It was successfully placed a premium on rats lung carcinoma by CTP. The developing process was: normal bronchial epithelium squamous epithelium →epithelial hyperplasia→atypical hyperplasia→primary carcinoma→endosmosis carcinoma(squamous carcinoma). It is helpful to reckon the dosage causing lung carcinoma, which human may contact analogue causing carcinoma, and the time of each pathologic phase ,according to CTP perfusion quantum and accurate record of when lung carcinoma happened in each pathologic phase, and it provided good experiment datum to explore the mechanism causing human lung carcinoma.
, http://www.100md.com
Key words coal tar pitch; polycyclic aromatic hydrocarbon; bronchia; perfusion; disease model,animal;lung cancer; rats;
20世纪以来,人类肺癌发病率呈明显上升趋势[1],且预后差,发病率与死亡率几乎平行。因此,探讨人类肺癌的发病机制非常重要。流行病学和动物实验都证实煤焦沥青(CTP)可引起肺癌[2]。作者通过该致癌物诱发大鼠肺癌构建了肺癌发生发展各阶段的动物模型,为深入认识人类肺癌提供良好的实验材料。
1 材料与方法
1.1 煤焦沥青、炭粉悬液的配制 分别选用某炭素厂、焦化厂的中温CTP和北京炭素厂的炭粉,在玛瑙钵内反复研磨成粉末,作分散度分析,94%的颗粒直径小于10 μm,分别装入干燥洁净的试剂瓶中,紫外线消毒,置干燥器中备用。① 取适量炭粉加少量青霉素(华北制药厂),用生理盐水配制成160 g/L炭粉生理盐水悬液。②研磨好的上街的马鞍山中温CTP加少量青霉素(华北制药厂),用生理盐水配制成160 g/L CTP生理盐水悬液。③研磨好的安钢的中温CTP加少量青霉素(华北制药厂),用玉米油(郑州市中原制药厂)配成160 g/L的CTP玉米油悬液。测定中温CTP苯溶物(BSF),上街沥青为0.346 4 g/L,安钢沥青为0.357 5 g/L。
, http://www.100md.com
1.2 实验动物 由河南医科大学实验动物中心提供的初断乳Wistar大鼠56只,饲养4周后体重为120~200 g,随机分成2组。实验组Ⅰ31只,给予支气管灌注上街的CTP生理盐水悬液;对照组25只,给予支气管灌注炭粉生理盐水悬液。第一批动物染毒3个月后,再次由河南医科大学动物中心提供的初断乳Wistar大鼠15只,饲养4周后,体重为120~200 g,定为实验组Ⅱ,给予支气管灌注安钢CTP玉米油悬液。灌注情况见表1。
表1 各组支气管灌注情况 组 别
n
灌注量/
mg.次-1
t(间隔)/d
灌注
, 百拇医药
次数
累计量/
mg
实验组Ⅰ
31
32
7~10
6
192
实验组Ⅱ
15
32
7~10
, 百拇医药 8
256
对 照 组
25
32
7~10
6
192
1.3 灌注方法 大鼠以乙醚麻醉,待呼吸平稳,肌内松弛后,固定,轻轻夹出鼠舌放入改制的窥耳镜,暴露声门,插入钝头灌注器,气管内分别注入相应的实验悬液,灌注后3 d内大鼠每d肌内注射青霉素16万u/只。
1.4 系列宰杀 实验组Ⅰ和对照组大鼠于染毒后第3,6,13个月系列宰杀,实验组Ⅱ大鼠于染毒后6个月宰杀。宰杀前,配合X光同步检查,动物乙醚麻醉后,胸部前后位摄片,见可疑病变者宰杀。大鼠处死,采用断头法,避免肺及其它脏器的淤血。解剖处死和自然死亡的动物,检查肺、气管和各脏器的变化,用中性缓冲福尔马林(PBS,pH 7.4配制)固定大鼠各组织。大鼠肺组织常规脱水,石蜡包埋,制成蜡块部分连续切片5~10 μm,作HE染色和免疫组化染色。
, 百拇医药
1. 5 观测指标
1.5.1 一般指标:灌注期间称体重1次/周,以后称重1次/月。观察大鼠的生长、活动、摄食等健康情况。
1.5.2 病理检查指标:观察大体标本,切片HE染色,光镜观察,判断标准如下。①正常支气管上皮:细胞呈柱状或立方形,位于基膜细胞的表面到达管腔,并有纤毛伸出。②鳞状上皮化生:上皮由数层规则的扁平细胞组成,可见角化。③不典型增生:上皮由数层不规则细胞组成,表现为增生的细胞,大小不一,形态多样,核大而浓染,核浆比例增大,核分裂可增多,呈多型性。④原位癌:不典型增生严重时,细胞累及上皮的全层,则定为原位癌。⑤鳞癌:一般呈条索状和/或小团状,多为高分化,癌细胞异型性不明显,可见细胞角化珠,一些癌组织高度角化。
2 结果
2.1 一般情况 各组动物体重变化情况基本相近,表明本实验所采用的CTP剂量对动物的生长发育情况无明显毒性作用,实验过程中自然死亡的大鼠多表现体重降低,呈全身衰竭状,此类动物多数发现患有肺癌或并发感染。
, http://www.100md.com
2.2 肺癌的大体形态 肿瘤位于肺表面,呈结节状,直径0.5 cm左右,不规则,结节表面光滑,与周围组织界限清楚,无包膜,质硬,灰白。
2.3 HE染色光镜观察 71只大鼠,可见正常支气管上皮组织、鳞状上皮化生、不典型增生、原位癌及浸润癌(鳞癌)。见图1,2,3(封四)。实验组I及实验组II的第3个月和对照组第3,6,13个月所宰杀的大鼠肺组织均未见病理改变。实验组I第6个月见5只有磷状上皮化生,其中3只可见不典型增生,1只原位癌;实验组II第6个月可见15只有磷状上皮化生,其中13只可见不典型增生,7只原位癌,6只鳞癌。实验组I第13个月12只可见磷状上皮化生,其中4只不典型增生,3只原位癌,3只鳞癌。
图1 实验组大鼠肺组织鳞状上皮化生HE染色
, 百拇医药
图2 实验组大鼠肺组织不典型增生HE染色
图3 实验组大鼠肺癌(鳞癌)HE染色
3 讨论
3.1 CTP诱发大鼠肺癌动物模型的构建 动物实验和人群流行病学已证实,CTP具有强烈的致肺癌作用。本实验在作者及其他学者多年研究经验的基础上,设计用CTP支气管灌注,诱发大鼠肺癌,其目的是为构建大鼠肺癌发生发展全过程的动物模型。实验组Ⅰ,CTP累计量为192 mg,低于程元恺[2]、常福聚[3]的实验用量。实验组Ⅱ15只大鼠,CTP累计量为256 mg,高于程元恺[2]、常福聚[3]和郭柯[4]的实验用量。2实验组动物经系列宰杀,其发生发展过程为:正常支气管上皮组织→鳞状上皮化生→不典型增生→原位癌→浸润癌(鳞癌)。
, http://www.100md.com
3.2 CTP诱发大鼠肺癌动物模型构建的意义 人类肺癌的发病率在本世纪呈明显上升趋势,目前肺癌的发病机制不明,因此,诊断、治疗效果较差,造成肺癌发病率几乎与死亡率平行。探讨肺癌的发病机制成为当务之急,尤其是由正常的支气管假复层纤毛柱状上皮细胞转化为癌前支气管上皮细胞,进而转化为肺癌细胞(鳞癌)这一过程的机制。CTP这一致癌物,主要含多环芳烃(PAH),而环境中PAH与人类肺癌发生有关[5]。运用CTP诱发大鼠肺癌这一动物模型,有助于深入探讨人类肺癌的发病机制。在本动物模型构建的过程中,通过对CTP的灌注量和大鼠肺鳞癌各病理阶段发生时间的准确记录,有助于推算人类接触类似致癌物可能发生肺癌的剂量以及出现各种病理阶段的时间,为人类肺癌(鳞癌)预防提供可靠的实验依据[6]。
基金项目:河南省自然科学基金资助项目 984020300
研究方向:肺癌的病因学、预防、早期诊断和综合治疗,E-mail:ymwu@371.net
, http://www.100md.com
作者简介:吴逸明,男,55岁,教授,博士生导师,参考文献
[1]范若兰,周冕.肺癌的病因学研究进展.中国肿瘤,1996,5(3):6
[2]程元恺.煤焦沥青诱发大鼠肺癌的实验研究.工业卫生与职业病,1985,11:65
[3]常福聚.煤焦沥青诱发大鼠肺癌的实验研究.[学位论文(硕士)].郑州:河南医科大学,1987
[4]郭柯.煤焦沥青诱发肺癌的实验研究.[学位论文(硕士)].郑州:河南医科大学,1987
[5]王黎霞.PAH-DNA共价结合指标在PAH致癌研究中的应用.国外医学*卫生学分册,1989,4:209
[6]Liia Pylkkanen. Animal models for the preneoplastic lesion of the prostate. European Urology, 1996,30(2): 243
2000-01-05收稿, 百拇医药