人α心钠素多拷贝基因在大肠杆菌中的高效表达
作者:赵 明 马康涛 张迺蘅
单位:北京医科大学生物化学与分子生物学系,北京 100083
关键词:心钠素;代谢;多拷贝基因☆;大肠杆菌;基因扩增
北京医科大学学报990106 摘 要 目的:选用合适的质粒表达载体,以多拷贝基因的形式在大肠杆菌中高效表达人α心钠素, 为人α心钠素的下游纯化工作及基因工程菌的中试打下基础。方法:采用PCR,克隆及连续亚克隆,序列分析,原核温度诱导表达等方法。结果:PCR方法扩增α-hANP基因,克隆至原核表达载体pMS31b,热诱导表达融合蛋白。结论:在大肠杆菌中获得了人α心钠素的高表达。
中国图书资料分类法分类号 R343.11
Expression of α-human atrial natriuretic peptide from
, 百拇医药
multi-jointed genes in Escherichia coli
ZHAO Ming, MA Kang-Tao, ZHANG Nai-Heng
(Department of Biochemistry and Molecular Biology,Beijing Medical University, Beijing 100083)
MeSH Atrial natriuretic factor/mietab multi-jointed☆ Escherichia coli Gene amplification
ABSTRACT Objective:To express α-hANP from multi-jointed genes in E.coli by selecting the proper plasmid vector and to lay the basis for the down-stream purification and the middle scale production of the high level expression engineered strains. Methods: PCR, gene cloning and successive sub-cloning, DNA sequencing, prokaryotic temperature induction, etc. were used. Results: α-hANP gene was amplified by PCR, cloned to prokaryotic expression vector pMS31b, and the fusion protein was temperature-induced. Conclusion: High level expression of α-hANP was obtained.
, 百拇医药
(J Beijing Med Univ, 1999,31:20-22)
当前临床已试用人α心钠素( atrial natriuretic peptide,α-hANP)治疗充血性心衰、原发性高血压、肾功能不全等疾病,并已取得显著疗效[1]。由于28肽的人α心钠素结构简单,仅在Cys7与Cys23之间形成一个链内二硫键,没有生物学活性所必需的糖化、脂化位点,这使其在大肠杆菌系统中表达成为可能[2]。
1 材料与方法
1.1 材料
表达载体pMS31b及宿主菌E.coli pop2136均为本校免疫学系马大龙教授惠赠。人α-心钠素cDNA、质粒pUC18及E.coli JM109为本室保存。DNA引物由赛百盛公司合成。
, 百拇医药
1.2 目的基因的克隆及序列分析
以人α-心钠素cDNA为模板,两条引物设计分别含有EcoRⅠ、NsiⅠ、PstⅠ及HindⅢ酶切位点。
5′GCG GAATTCATGCAT TGG AGTCTACGAAGATCT3′,5′GCGG AAGCTT TTA CTGCAG CCA GTATCGAAAGC-TGTT 3′。PCR反应条件及产物回收按文献[3]进行。将经EcoRⅠ和HindⅢ酶切后的PCR产物克隆至测序载体pUC18中,转化E.coli JM109,得到重组质粒pUC18-ANP。由于NsiⅠ与PstⅠ的粘端互补性,可用NsiⅠ和HindⅢ切出100 bp的ANP部分, 插入到pUC18-ANP的PstⅠ/HindⅢ位点之间,得到重组质粒pUC18-2ANP。利用自动测序仪对pUC18-ANP及pUC18-2ANP的插入部分进行核苷酸序列分析。
1.3 系列表达载体的构建
, 百拇医药
pMS31b是一个高效原核表达载体,融合有100个氨基酸的MS2片段。利用EcoRⅠ/HindⅢ将pUC18-ANP、pUC18-2ANP中的ANP及2ANP部分插入到pMS31b的多克隆位点,构建成功表达载体pMS-ANP和pMS-2ANP。通过连续亚克隆技术构建系列表达载体pMS-3ANP、pMS-4ANP、pMS-5ANP、pMS-6ANP、pMS-7ANP、pMS-8ANP。酶切图谱如图1。
1,DNA marker; 2,PCR product; 3-10,pMS-nANP was digested with EcoRⅠ and HindⅢ.
图1 PCR产物分析以及pMS-nANP的酶切鉴定(15 g.L-1琼脂糖胶电泳)
, 百拇医药
Figure 1 PCR product analysis and identification of pMS-nANP
by endonuclease digestion on 15 g.L-1 agarose gel
1.4 融合蛋白的诱导表达
pMS31b含有PL启动子,转化菌E.coli pop2136含有cI857基因。30℃时cI阻遏蛋白抑制PL启动子的转录,42℃时cI阻遏蛋白失活,转录进行,表达融合蛋白。转化菌于30℃生长至D600为0.4~0.6,转至42℃诱导4 h,表达目的蛋白。
1.5 融合蛋白的活性测定
8 mol.L-1尿素变性溶解包涵体后,在谷胱甘肽存在下,利用复性缓冲液直接稀释使融合蛋白复性。取离体大鼠主动脉,先加去甲肾上腺素使之收缩,再给融合蛋白测定其舒张血管活性[4]。
, 百拇医药
2 结果与讨论
以人全长αANP cDNA为模板,用α-hANP特异引物进行PCR扩增,得到一条约为100 bp的片段。以EcoRⅠ和HindⅢ酶切后克隆至表达载体pMS31b中。序列测定结果表明所扩增出的DNA片段与预期相符,证明所挑选的阳性克隆经PCR反应后无突变发生。利用NsiⅠ与PstⅠ的粘端互补性构建系列表达载体pMS-3ANP、pMS-4ANP、pMS-5ANP、pMS-6ANP、pMS-7ANP、pMS-8ANP。重组质粒pMS-nANP用EcoRⅠ和HindⅢ双切后,可切出ANP到8ANP 8个片段,形成一个从小到大的DNA ladder,大小依次为111、207、303、399、495、591、687和783 bp。
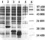
融合蛋白的诱导表达:SDS-PAGE显示, 表达的多串心钠素与MS2融合蛋白相对分子质量分别为(1)MS2-ANP 15 000;(2)MS2-2ANP 18 500;(3)MS2-3ANP 22 000;(4)MS2-4ANP 25 500。其中菌体蛋白MS2为100氨基酸,约11 000。蛋白电泳显示(图2),随着插入外源基因的加大,pMS-ANP到pMS-4ANP的表达量呈明显的下降趋势(分别占全菌总蛋白的30%、25%、22%和8%),pMS-5ANP,pMS-6ANP、pMS-7ANP及pMS-8ANP则未见表达。可见,α心钠素是一种E.coli不喜的难表达的真核生物蛋白。超声破菌后,收集包涵体与上清,SDS-PAGE分析,融合蛋白全部以包涵体的形式存在,其纯度可达50%~60% 。变性及复性条件下纯化的初步结果表明(未示),融合蛋白基本为一碱性蛋白,且随着心钠素拷贝数的增加,其等电点逐渐升高。阳离子交换柱应是首选,再配合凝胶过滤或疏水层析,应能得到高纯度的融合蛋白。对复性后产物的活性测定结果表明,融合蛋白能引起预先收缩的大鼠主动脉条舒张,具有很好的生物学活性。
, 百拇医药
1-4, expression of pMS-4ANP, pMS-3ANP, pMS-2ANP, pMS-ANP;
5, control of host strain E.coli pop2136; 6, protein marker.
图2 pMS-nANP在E.coli pop2136中的诱导表达
Figure 2 Expression of pMS-nANP in E.coli pop2136
为便于多串心钠素的裂解,在紧接ANP编码序列的上、下游分别引入一个色氨酸密码子TGG。融合蛋白中的菌体蛋白MS2部分仅为100个氨基酸,且不含色氨酸,在ANP-28氨基酸中恰好也不存在色氨酸残基,为纯化后使用特异的色氨酸裂解剂切割多串心钠素提供了可能。现已有多种化学试剂可以裂解色氨酸肽键,以得到ANP单体,进一步工作正在进行中。
, 百拇医药
心钠素在机体内含量极低, 人工合成多肽成本较高, 基因工程技术以其极大的优越性成为生产心钠素的首选方法。但由于α心钠素仅为28肽,对于基因工程方法生产难度很大,以前国内外报道在酵母和大肠杆菌中表达,产量很低,纯化困难。本文利用多拷贝的形式表达,大大提高了产量,为下游工作打下了基础。
☆ 自由词。
参考文献
1 Nakao K, Itoh H, Saito Y, et al. The natriuretic peptide family. Curr Opin Nephrol Hyperten, 1996,5:4-11
2 Wilkinson DL, Ma NT, Haught C, et al. Purification by immobilized metal affinity chromatography of human atrial natriuretic peptide expressed in a novel thioredoxin fusion protein. Biotechnol Prog, 1995,11:265-269
3 Sambrook J, Fritsch EF, Maniatis T. Molecular Cloning-A Laboratory Manual. 2nd ed, New York: Cold Harbor Spring, 1989.672-684
4 周永春,陆 峰,金永明,等.重组人粒细胞-巨噬细胞集落刺激因子包涵体的提取、复性和纯化的研究. 生物工程学报, 1997,13(2):142-148
(1998-04-13收稿)
(本文编辑:王 蕾), 百拇医药
单位:北京医科大学生物化学与分子生物学系,北京 100083
关键词:心钠素;代谢;多拷贝基因☆;大肠杆菌;基因扩增
北京医科大学学报990106 摘 要 目的:选用合适的质粒表达载体,以多拷贝基因的形式在大肠杆菌中高效表达人α心钠素, 为人α心钠素的下游纯化工作及基因工程菌的中试打下基础。方法:采用PCR,克隆及连续亚克隆,序列分析,原核温度诱导表达等方法。结果:PCR方法扩增α-hANP基因,克隆至原核表达载体pMS31b,热诱导表达融合蛋白。结论:在大肠杆菌中获得了人α心钠素的高表达。
中国图书资料分类法分类号 R343.11
Expression of α-human atrial natriuretic peptide from
, 百拇医药
multi-jointed genes in Escherichia coli
ZHAO Ming, MA Kang-Tao, ZHANG Nai-Heng
(Department of Biochemistry and Molecular Biology,Beijing Medical University, Beijing 100083)
MeSH Atrial natriuretic factor/mietab multi-jointed☆ Escherichia coli Gene amplification
ABSTRACT Objective:To express α-hANP from multi-jointed genes in E.coli by selecting the proper plasmid vector and to lay the basis for the down-stream purification and the middle scale production of the high level expression engineered strains. Methods: PCR, gene cloning and successive sub-cloning, DNA sequencing, prokaryotic temperature induction, etc. were used. Results: α-hANP gene was amplified by PCR, cloned to prokaryotic expression vector pMS31b, and the fusion protein was temperature-induced. Conclusion: High level expression of α-hANP was obtained.
, 百拇医药
(J Beijing Med Univ, 1999,31:20-22)
当前临床已试用人α心钠素( atrial natriuretic peptide,α-hANP)治疗充血性心衰、原发性高血压、肾功能不全等疾病,并已取得显著疗效[1]。由于28肽的人α心钠素结构简单,仅在Cys7与Cys23之间形成一个链内二硫键,没有生物学活性所必需的糖化、脂化位点,这使其在大肠杆菌系统中表达成为可能[2]。
1 材料与方法
1.1 材料
表达载体pMS31b及宿主菌E.coli pop2136均为本校免疫学系马大龙教授惠赠。人α-心钠素cDNA、质粒pUC18及E.coli JM109为本室保存。DNA引物由赛百盛公司合成。
, 百拇医药
1.2 目的基因的克隆及序列分析
以人α-心钠素cDNA为模板,两条引物设计分别含有EcoRⅠ、NsiⅠ、PstⅠ及HindⅢ酶切位点。
5′GCG GAATTCATGCAT TGG AGTCTACGAAGATCT3′,5′GCGG AAGCTT TTA CTGCAG CCA GTATCGAAAGC-TGTT 3′。PCR反应条件及产物回收按文献[3]进行。将经EcoRⅠ和HindⅢ酶切后的PCR产物克隆至测序载体pUC18中,转化E.coli JM109,得到重组质粒pUC18-ANP。由于NsiⅠ与PstⅠ的粘端互补性,可用NsiⅠ和HindⅢ切出100 bp的ANP部分, 插入到pUC18-ANP的PstⅠ/HindⅢ位点之间,得到重组质粒pUC18-2ANP。利用自动测序仪对pUC18-ANP及pUC18-2ANP的插入部分进行核苷酸序列分析。
1.3 系列表达载体的构建
, 百拇医药
pMS31b是一个高效原核表达载体,融合有100个氨基酸的MS2片段。利用EcoRⅠ/HindⅢ将pUC18-ANP、pUC18-2ANP中的ANP及2ANP部分插入到pMS31b的多克隆位点,构建成功表达载体pMS-ANP和pMS-2ANP。通过连续亚克隆技术构建系列表达载体pMS-3ANP、pMS-4ANP、pMS-5ANP、pMS-6ANP、pMS-7ANP、pMS-8ANP。酶切图谱如图1。
1,DNA marker; 2,PCR product; 3-10,pMS-nANP was digested with EcoRⅠ and HindⅢ.
图1 PCR产物分析以及pMS-nANP的酶切鉴定(15 g.L-1琼脂糖胶电泳)
, 百拇医药
Figure 1 PCR product analysis and identification of pMS-nANP
by endonuclease digestion on 15 g.L-1 agarose gel
1.4 融合蛋白的诱导表达
pMS31b含有PL启动子,转化菌E.coli pop2136含有cI857基因。30℃时cI阻遏蛋白抑制PL启动子的转录,42℃时cI阻遏蛋白失活,转录进行,表达融合蛋白。转化菌于30℃生长至D600为0.4~0.6,转至42℃诱导4 h,表达目的蛋白。
1.5 融合蛋白的活性测定
8 mol.L-1尿素变性溶解包涵体后,在谷胱甘肽存在下,利用复性缓冲液直接稀释使融合蛋白复性。取离体大鼠主动脉,先加去甲肾上腺素使之收缩,再给融合蛋白测定其舒张血管活性[4]。
, 百拇医药
2 结果与讨论
以人全长αANP cDNA为模板,用α-hANP特异引物进行PCR扩增,得到一条约为100 bp的片段。以EcoRⅠ和HindⅢ酶切后克隆至表达载体pMS31b中。序列测定结果表明所扩增出的DNA片段与预期相符,证明所挑选的阳性克隆经PCR反应后无突变发生。利用NsiⅠ与PstⅠ的粘端互补性构建系列表达载体pMS-3ANP、pMS-4ANP、pMS-5ANP、pMS-6ANP、pMS-7ANP、pMS-8ANP。重组质粒pMS-nANP用EcoRⅠ和HindⅢ双切后,可切出ANP到8ANP 8个片段,形成一个从小到大的DNA ladder,大小依次为111、207、303、399、495、591、687和783 bp。
融合蛋白的诱导表达:SDS-PAGE显示, 表达的多串心钠素与MS2融合蛋白相对分子质量分别为(1)MS2-ANP 15 000;(2)MS2-2ANP 18 500;(3)MS2-3ANP 22 000;(4)MS2-4ANP 25 500。其中菌体蛋白MS2为100氨基酸,约11 000。蛋白电泳显示(图2),随着插入外源基因的加大,pMS-ANP到pMS-4ANP的表达量呈明显的下降趋势(分别占全菌总蛋白的30%、25%、22%和8%),pMS-5ANP,pMS-6ANP、pMS-7ANP及pMS-8ANP则未见表达。可见,α心钠素是一种E.coli不喜的难表达的真核生物蛋白。超声破菌后,收集包涵体与上清,SDS-PAGE分析,融合蛋白全部以包涵体的形式存在,其纯度可达50%~60% 。变性及复性条件下纯化的初步结果表明(未示),融合蛋白基本为一碱性蛋白,且随着心钠素拷贝数的增加,其等电点逐渐升高。阳离子交换柱应是首选,再配合凝胶过滤或疏水层析,应能得到高纯度的融合蛋白。对复性后产物的活性测定结果表明,融合蛋白能引起预先收缩的大鼠主动脉条舒张,具有很好的生物学活性。
, 百拇医药
1-4, expression of pMS-4ANP, pMS-3ANP, pMS-2ANP, pMS-ANP;
5, control of host strain E.coli pop2136; 6, protein marker.
图2 pMS-nANP在E.coli pop2136中的诱导表达
Figure 2 Expression of pMS-nANP in E.coli pop2136
为便于多串心钠素的裂解,在紧接ANP编码序列的上、下游分别引入一个色氨酸密码子TGG。融合蛋白中的菌体蛋白MS2部分仅为100个氨基酸,且不含色氨酸,在ANP-28氨基酸中恰好也不存在色氨酸残基,为纯化后使用特异的色氨酸裂解剂切割多串心钠素提供了可能。现已有多种化学试剂可以裂解色氨酸肽键,以得到ANP单体,进一步工作正在进行中。
, 百拇医药
心钠素在机体内含量极低, 人工合成多肽成本较高, 基因工程技术以其极大的优越性成为生产心钠素的首选方法。但由于α心钠素仅为28肽,对于基因工程方法生产难度很大,以前国内外报道在酵母和大肠杆菌中表达,产量很低,纯化困难。本文利用多拷贝的形式表达,大大提高了产量,为下游工作打下了基础。
☆ 自由词。
参考文献
1 Nakao K, Itoh H, Saito Y, et al. The natriuretic peptide family. Curr Opin Nephrol Hyperten, 1996,5:4-11
2 Wilkinson DL, Ma NT, Haught C, et al. Purification by immobilized metal affinity chromatography of human atrial natriuretic peptide expressed in a novel thioredoxin fusion protein. Biotechnol Prog, 1995,11:265-269
3 Sambrook J, Fritsch EF, Maniatis T. Molecular Cloning-A Laboratory Manual. 2nd ed, New York: Cold Harbor Spring, 1989.672-684
4 周永春,陆 峰,金永明,等.重组人粒细胞-巨噬细胞集落刺激因子包涵体的提取、复性和纯化的研究. 生物工程学报, 1997,13(2):142-148
(1998-04-13收稿)
(本文编辑:王 蕾), 百拇医药