大鼠海马突触发育可塑性研究*
作者:沈丽 买鸿宴 南燕 张琳 王淑玲
单位:北京医科大学解剖学系,北京 100083
关键词:突触;生长和发育;神经元可塑性;海马;生长和发育;突触;超微结构
990305 摘 要 目的:观察大鼠海马CA1区突触发育的超微结构,提出其突触发育可塑性的形态学特征和参考突触数密度。方法:采用连续超薄切片,观察突触发育的形态特征,结合体视学disector法测量突触总体及穿孔突触数密度。结果:突触生后发育过程中, 形态具有复杂的三维结构,穿孔突触的突触接触区曲面凸向突触前区域,20日龄曲度大于30日龄。可见突触小泡偏侧分布现象。20日龄突触后致密物质比30日龄组厚,均可见T-terminals和C-terminals两种类型突触下致密小体分布。海马CA1区生后20至30日龄突触数密度增加。结论:穿孔突触接触面曲度较大,并凸向突触前区域,突触后致密物质较厚,可见突触下致密小体,均可作突触发育和可塑性突触的形态特征。
, 百拇医药
中国图书资料分类法分类号 R332.81-332
Study of the synaptogenesis and plasticity in rat hippocampus
SHEN Li, MAI Hong-Yan, NAN Yan, ZHANG Lin, WANG Shu-Ling
(Department of Anatomy, Beijing Medical University, Beijing 100083)
MeSH Synapses/growth Neuronal plasticity Hippocampus/growth Synapses/ultrastruct
ABSTRACT Objective: To observe the ultrastructure of the synaptogenesis in rats hippocampus. CA1 during postnatal 20 d and 30 d and provide the morphological characters and the reference numerical densities of synapses in development processes. Methods:The data of the numerical densities of perforated synapses and total synapses were determined using successive electron microscopy sections and a new stereological technique, the disector method. Results:It was appeared the feature of synapse was in complicated three-dimensional structure. The contact surfaces of perforated synapses showed a definite curvature, and curved surfaces projected to pre-synaptic area. The curvature of postnatal 20 d group was larger than that of postnatal 30 d group. The phenomena of vesicular lateralization was found. The postsynaptic densities of postnatal 20 d group were thicker than that of postnatal 30 d group. Subsynaptic dense bodies were associated with subsynaptic dense “Taxi” bodies (T-terminals) and with subsynaptic cisternae (C-terminals). The items of numerical densities of total synapses increased with increasing from postnatal 20 d to 30 d. Conclusion: The larger curved contact surfaces of perforated synapses and projectin to pre-synaptic area, as well as the thicker postsynaptic densities with subsynaptic dense bodies were consider as the morphological feature of synaptogenesis and its plasticity.
, 百拇医药
(J Beijing Med Univ, 1999,31:209-211)
中枢神经系统(central nervous system, CNS)发育及成熟后的结构与功能联系复杂。CNS的复杂性与精确性表现在相关神经元以突触联系组成高度特异、十分精确的功能回路[1]。突触在发育过程中的产生、增减、形态特征等是精确的、有一定规律的。生后早期神经系统仍处于发育期,表现出较强的可塑性。有研究认为,突触发育及可塑性与学习记忆、儿童早期智力开发、衰老和CNS损伤、修复和再生等一些神经系统疾病有关[2]。因此,神经系统的可塑性除取决于神经元的形态、突起、出芽等,另外突触的数量、形态与功能状态,也是反映神经系统功能状态的重要参数。已往研究证明,大鼠中枢突触发育过程主要在生后3周完成[3],我们采用连续电镜切片和体视学Disector法[4],观察并测量大鼠生后20d和30d海马CA1区突触发育的形态特征和数密度,提供突触发育和可塑性的依据及参考数密度。
, 百拇医药
1 材料与方法
出生后20和30日龄Wistar大鼠各3只(北京医科大学实验动物部提供)。腹腔注射麻醉,经左心室灌注固定液250ml[2%(体积分数)多聚甲醛、2.5%(体积分数)戊二醛的0.1mol.L-1PBS,pH7.4]。剥取海马,再固定4h后,0.1mol.L-1PBS4℃过夜,振动切片机额状切片(50~75μm)。1%(体积分数)锇酸后固定1h(4℃),脱水及618环氧树脂平板包埋。随机抽取包埋厚片,在解剖镜下定位取CA1区进行半薄切片,1%(体积分数)甲苯胺蓝染色,显微镜下半薄切片定位海马CA1区锥体细胞层和分子层。超薄切片机连续切片,制备6~10片连续超薄切片构成的切片带裱于独眼铜网。醋酸铀-枸椽酸铅双重染色。电镜下观察切片带的第一张切片,辨认海马分子层,以神经毡周围的毛细血管和多个线粒体为参考定位标志,随机选取神经毡摄片(14000倍)。相继选取相邻切片,拍摄与第一张切片在同一纵轴上的视野,即相邻视野,每条切片带连续摄片6~7张。
, 百拇医药
洗印放大3.5倍电镜照片,选定测试面积为1.39×10-5mm2,以微皱褶法测量切片厚度为(61±5)nm,计数突触截面数依据Jones等[5]标准,代入NV=Q-/tA公式,计算突触数密度。其中NV为突触数密度;Q-为计数切片上出现,而核查切片上不出现的突触截面数;t为超薄切片的厚度;A为测试面积。所得两组计量资料进行两组间比较,采用t检验。
2 结果
2.1 突触接触区二维重建和形态观察
通过对相邻连续穿孔突触的突触后致密物质截面位置和长度实现突触连续平面的二维重建(图1a,b)观察20日龄和30日龄突触形态。尽管由于连续切片只有6~7张的限制,未能找到从头至尾的完整突触,但仍能证明,突触发育过程中有多种突触类型,突触形态具有复杂的三维结构。
, http://www.100md.com
a, planar reconstruction of the perforated synapse from successive section of postnatal 30 d group in Figure 2; b, planar reconstruction of the perforated synapse from successive section of postnatal 20 d group in Figure 3.
图1 二维重建海马CA1区穿孔突触
Figure 1 Planar reconstruction of the perforated synapse
of hippocampus CA1
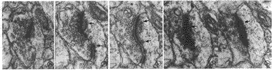
穿孔突触:20日龄和30日龄组均可见穿孔突触(图2,3),属典型的GrayⅠ型非对称型突触。在突触侧切面上,由于孔洞的存在,出现不连续的突触后致密物质,多以圆盘状或马蹄状的穿孔突触为主。穿孔突触的突触接触区多呈现出一定的曲度,且曲面凸向突触前区域,20日龄的曲度大于30日龄。突触前小泡20日龄比30日龄小而密集,均有突触小泡偏侧分布现象,即大量突触小泡集中分布于其中某一段突触后致密物质(postsynaptic densities, PSD)相对的突触前区域中,而余部PSD所对应的突触前区域则没有或极少数目的突触小泡。观察发现20日龄突触后致密物质比30日龄组厚,均可见突触下致密小体(subsynaptic dense bodies),有“Taxi”小体(subsynaptic dense “Taxi”bodies, T-terminals)和网状小体(subsynaptic cisternae, C-terminals)两种类型(图2~4)。
, http://www.100md.com
图2 30日龄鼠海马CA1区穿孔突触的连续切片,可见突触小泡偏侧分布。
箭头示突触下致密小体-Taxi小体 ×49 000
Figure 2 The successive transverse section of postnatal 30 d group one perforated synapse of hippocampus CA1,showed the phenomena of vesicular lateralization. Arrow showed the subsynaptic dense “Taxi” bodies (T-terminals) ×49 000
图3 20日龄鼠海马CA1区穿孔突触的连续切片,可见突触后致密物较厚,箭头示突触下致密小体-网状小体。穿孔突触的突触接触面呈曲面,凸向突触前区域 ×49 000
, 百拇医药
Figure 3 The successive transverse section of postnatal 20 d group. One perforated synapse of hippocampus CA1 had the more thick postsynaptic density, and arrow showed the subsynaptic cisternae (C-terminals). The contact surfaces of perforated synapses showed a definite curvature, and curved surfaces projected
to presynaptic area ×49 000

, http://www.100md.com
图4 20日龄鼠海马CA1区非穿孔突触的连续切片,可见突触后致密物较厚,箭头示突触下致密小体——Taxi小体 ×49 000
Figure 4 The successive transverse section of postnatal 20 d group. One non-perforated synapse of hippocampus CA1 had the more thick postsynaptic density, and arrow showed the subsynaptic dense “Taxi” bodies (T-terminals) ×49 000
非穿孔突触:生后20日龄和30日龄海马CA1区均可见大量非穿孔突触(图4),也可见平行突触(图5)、连续突触等。非穿孔突触也是以Gray Ⅰ型非对称型突触为主,有突触小泡偏侧分布现象。20日龄PSD比30日龄组厚,20日龄组也发现存在突触下致密小体。追踪1例30日龄组的平行突触,发现其并非平行出现,有较复杂的三维空间分布。

, 百拇医药
图5 30日龄鼠海马CA1平行突触的连续切片,箭头示平行突触 ×49 000
Figure 5 The successive transverse section of postnatal 30 d group parallel synapses. Arrow showed the parallel synapses ×49 000
2.2 突触数密度
大鼠海马CA1区突触数密度生后20日龄和30日龄组分别为(6.74±1.11)×109和(8.18±1.94)×109 mm-3,其中穿孔突触密度分别为(0.98±0.11)×109和(1.26±0.14)×109 mm-3,两组比较有显著性差异(P<0.05)。证明大鼠海马CA1区生后20至30日龄突触总体数有所增长,其中穿孔突触数变化不大,提示穿孔突触与非穿孔突触数量的增长处于动态平衡。
, http://www.100md.com
3 讨论
突触的超微结构特征、类型及数量等一系列变化与突触发育、突触可塑性和突触功能有着密切内在联系。从出生至成年这一时期,突触仍存在继续发育的过程,并有较高的可塑性。生后早期突触形态复杂多变,备受研究者们关注。
本实验中我们观察到大鼠海马CA1区20日龄组突触的形态无论从突触前小泡的大小和密集程度、突触接触面的曲度、突触后致密物质的厚度与30日龄组均有一些差异,表明生后20日龄突触具有较强的可塑性,突触前小泡小而密集、突触接触面曲度较大,并凸向突触前区域以及突触后致密物质较厚均可作为有较强可塑性突触的形态特征。
已往研究证明突触下致密小体与兴奋性氨基酸递质受体的形成和活性有关[6,7]。突触下“Taxi”小体与谷氨酸和GABA神经递质的传导有关。突触下网状小体与AMPA受体亚单位: GluR1, GluR2/3, and GluR4的活性和其递质传导有关。本研究表明,生后20至30日龄时期是突触下致密小体发育和成熟,并参与兴奋性氨基酸递质受体形成的重要时期。突触下致密小体与突触发育及可塑性的关系尚需进一步研究。
, http://www.100md.com
已往分别对大鼠脑桥核和鸟类外纹体的生后发育研究认为,生后两周突触发育以突触大量增殖为特征,其后则进入突触形态的成熟阶段。本研究则表明,大鼠海马CA1区生后20至30日龄突触数目仍有所增长,说明CA1区突触数目增殖可持续至生后一个月。但20日龄突触较30日龄突触幼稚,20至30日龄期间伴有突触形态发育成熟过程的观点与已往研究基本一致。大鼠出生后,在复杂外界环境的刺激下,促进神经元间进一步建立复杂功能联系,与神经元功能接点的突触数目增加和成熟是一致的。
自穿孔突触概念提出以来,穿孔现象的存在,以及其在突触可塑性中扮演的重要角色已日益引起重视。本研究所得连续二维重建突触的实验资料证明,突触发育过程中确实存在相当数量的穿孔突触,大致可分为圆盘状和马蹄状等类型。穿孔突触前小泡呈偏侧分布现象可能与Jones等[5]提出的这种突触具有较复杂功能的观点一致。突触的不同突触后致密物质区域可能与通过含不同递质的小泡,使突触的局部调节环路更加精确、复杂和完备有关。还有研究表明突触形态复杂性随年龄增长而增加,推测穿孔突触的复杂性与神经系统功能状态改变有关。
, 百拇医药
* 国家自然科学基金(39470309)资助项目。
参考文献
1 Katz LC, Shatz CJ. Synaptic activity and the construction of cortical circuits. Science, 1996, 274: 1123-1133
2 Saito Y, Song WJ, Murakami F. Preferential termination of corticorubral axons on spine-like dendritic protrusions in developing cat. J Neurosci, 1997, 17(22):8792-8803
3 Nixdorf BE. Ultrastructural analysis of the development and maturation of synapses and subsynaptic structures in ectostriatum of the zebra finch. J Comp Neurol, 1989, 290:472-486
, http://www.100md.com
4 Mayhew TM, Gundersen HJG. ‘If you assume, you can make an ass out of u and me’: a decade of the disector stereological counting of particles in 3D space. J Anat, 1996,183:1-15
5 Jones DG, Calverley RKS., Frequency of occurrence of perforated synapses in developing rat neocortex. Neurosc Letter, 1991,129:189-192
6 Yang HW, Appenteng K, Batten TF. Ultrastructural subtypes of glutamate-immunoreactive terminals on rat trigeminal motoneurones and their relationships with GABA-immunoreactive terminals. Exp Brain Res, 1997, 114(1):99-116
7 Tachibana M, Wenthold RJ, Morioka H, et al. Light and electron microscopic immunocytochemical localization of AMPA-selective glutamate receptors in the rat spinal cord. J Comp Neurol, 1994, 344(3):431-454
(1999-02-25收稿), 百拇医药
单位:北京医科大学解剖学系,北京 100083
关键词:突触;生长和发育;神经元可塑性;海马;生长和发育;突触;超微结构
990305 摘 要 目的:观察大鼠海马CA1区突触发育的超微结构,提出其突触发育可塑性的形态学特征和参考突触数密度。方法:采用连续超薄切片,观察突触发育的形态特征,结合体视学disector法测量突触总体及穿孔突触数密度。结果:突触生后发育过程中, 形态具有复杂的三维结构,穿孔突触的突触接触区曲面凸向突触前区域,20日龄曲度大于30日龄。可见突触小泡偏侧分布现象。20日龄突触后致密物质比30日龄组厚,均可见T-terminals和C-terminals两种类型突触下致密小体分布。海马CA1区生后20至30日龄突触数密度增加。结论:穿孔突触接触面曲度较大,并凸向突触前区域,突触后致密物质较厚,可见突触下致密小体,均可作突触发育和可塑性突触的形态特征。
, 百拇医药
中国图书资料分类法分类号 R332.81-332
Study of the synaptogenesis and plasticity in rat hippocampus
SHEN Li, MAI Hong-Yan, NAN Yan, ZHANG Lin, WANG Shu-Ling
(Department of Anatomy, Beijing Medical University, Beijing 100083)
MeSH Synapses/growth Neuronal plasticity Hippocampus/growth Synapses/ultrastruct
ABSTRACT Objective: To observe the ultrastructure of the synaptogenesis in rats hippocampus. CA1 during postnatal 20 d and 30 d and provide the morphological characters and the reference numerical densities of synapses in development processes. Methods:The data of the numerical densities of perforated synapses and total synapses were determined using successive electron microscopy sections and a new stereological technique, the disector method. Results:It was appeared the feature of synapse was in complicated three-dimensional structure. The contact surfaces of perforated synapses showed a definite curvature, and curved surfaces projected to pre-synaptic area. The curvature of postnatal 20 d group was larger than that of postnatal 30 d group. The phenomena of vesicular lateralization was found. The postsynaptic densities of postnatal 20 d group were thicker than that of postnatal 30 d group. Subsynaptic dense bodies were associated with subsynaptic dense “Taxi” bodies (T-terminals) and with subsynaptic cisternae (C-terminals). The items of numerical densities of total synapses increased with increasing from postnatal 20 d to 30 d. Conclusion: The larger curved contact surfaces of perforated synapses and projectin to pre-synaptic area, as well as the thicker postsynaptic densities with subsynaptic dense bodies were consider as the morphological feature of synaptogenesis and its plasticity.
, 百拇医药
(J Beijing Med Univ, 1999,31:209-211)
中枢神经系统(central nervous system, CNS)发育及成熟后的结构与功能联系复杂。CNS的复杂性与精确性表现在相关神经元以突触联系组成高度特异、十分精确的功能回路[1]。突触在发育过程中的产生、增减、形态特征等是精确的、有一定规律的。生后早期神经系统仍处于发育期,表现出较强的可塑性。有研究认为,突触发育及可塑性与学习记忆、儿童早期智力开发、衰老和CNS损伤、修复和再生等一些神经系统疾病有关[2]。因此,神经系统的可塑性除取决于神经元的形态、突起、出芽等,另外突触的数量、形态与功能状态,也是反映神经系统功能状态的重要参数。已往研究证明,大鼠中枢突触发育过程主要在生后3周完成[3],我们采用连续电镜切片和体视学Disector法[4],观察并测量大鼠生后20d和30d海马CA1区突触发育的形态特征和数密度,提供突触发育和可塑性的依据及参考数密度。
, 百拇医药
1 材料与方法
出生后20和30日龄Wistar大鼠各3只(北京医科大学实验动物部提供)。腹腔注射麻醉,经左心室灌注固定液250ml[2%(体积分数)多聚甲醛、2.5%(体积分数)戊二醛的0.1mol.L-1PBS,pH7.4]。剥取海马,再固定4h后,0.1mol.L-1PBS4℃过夜,振动切片机额状切片(50~75μm)。1%(体积分数)锇酸后固定1h(4℃),脱水及618环氧树脂平板包埋。随机抽取包埋厚片,在解剖镜下定位取CA1区进行半薄切片,1%(体积分数)甲苯胺蓝染色,显微镜下半薄切片定位海马CA1区锥体细胞层和分子层。超薄切片机连续切片,制备6~10片连续超薄切片构成的切片带裱于独眼铜网。醋酸铀-枸椽酸铅双重染色。电镜下观察切片带的第一张切片,辨认海马分子层,以神经毡周围的毛细血管和多个线粒体为参考定位标志,随机选取神经毡摄片(14000倍)。相继选取相邻切片,拍摄与第一张切片在同一纵轴上的视野,即相邻视野,每条切片带连续摄片6~7张。
, 百拇医药
洗印放大3.5倍电镜照片,选定测试面积为1.39×10-5mm2,以微皱褶法测量切片厚度为(61±5)nm,计数突触截面数依据Jones等[5]标准,代入NV=Q-/tA公式,计算突触数密度。其中NV为突触数密度;Q-为计数切片上出现,而核查切片上不出现的突触截面数;t为超薄切片的厚度;A为测试面积。所得两组计量资料进行两组间比较,采用t检验。
2 结果
2.1 突触接触区二维重建和形态观察
通过对相邻连续穿孔突触的突触后致密物质截面位置和长度实现突触连续平面的二维重建(图1a,b)观察20日龄和30日龄突触形态。尽管由于连续切片只有6~7张的限制,未能找到从头至尾的完整突触,但仍能证明,突触发育过程中有多种突触类型,突触形态具有复杂的三维结构。
, http://www.100md.com
a, planar reconstruction of the perforated synapse from successive section of postnatal 30 d group in Figure 2; b, planar reconstruction of the perforated synapse from successive section of postnatal 20 d group in Figure 3.
图1 二维重建海马CA1区穿孔突触
Figure 1 Planar reconstruction of the perforated synapse
of hippocampus CA1
穿孔突触:20日龄和30日龄组均可见穿孔突触(图2,3),属典型的GrayⅠ型非对称型突触。在突触侧切面上,由于孔洞的存在,出现不连续的突触后致密物质,多以圆盘状或马蹄状的穿孔突触为主。穿孔突触的突触接触区多呈现出一定的曲度,且曲面凸向突触前区域,20日龄的曲度大于30日龄。突触前小泡20日龄比30日龄小而密集,均有突触小泡偏侧分布现象,即大量突触小泡集中分布于其中某一段突触后致密物质(postsynaptic densities, PSD)相对的突触前区域中,而余部PSD所对应的突触前区域则没有或极少数目的突触小泡。观察发现20日龄突触后致密物质比30日龄组厚,均可见突触下致密小体(subsynaptic dense bodies),有“Taxi”小体(subsynaptic dense “Taxi”bodies, T-terminals)和网状小体(subsynaptic cisternae, C-terminals)两种类型(图2~4)。
, http://www.100md.com
图2 30日龄鼠海马CA1区穿孔突触的连续切片,可见突触小泡偏侧分布。
箭头示突触下致密小体-Taxi小体 ×49 000
Figure 2 The successive transverse section of postnatal 30 d group one perforated synapse of hippocampus CA1,showed the phenomena of vesicular lateralization. Arrow showed the subsynaptic dense “Taxi” bodies (T-terminals) ×49 000
图3 20日龄鼠海马CA1区穿孔突触的连续切片,可见突触后致密物较厚,箭头示突触下致密小体-网状小体。穿孔突触的突触接触面呈曲面,凸向突触前区域 ×49 000
, 百拇医药
Figure 3 The successive transverse section of postnatal 20 d group. One perforated synapse of hippocampus CA1 had the more thick postsynaptic density, and arrow showed the subsynaptic cisternae (C-terminals). The contact surfaces of perforated synapses showed a definite curvature, and curved surfaces projected
to presynaptic area ×49 000
, http://www.100md.com
图4 20日龄鼠海马CA1区非穿孔突触的连续切片,可见突触后致密物较厚,箭头示突触下致密小体——Taxi小体 ×49 000
Figure 4 The successive transverse section of postnatal 20 d group. One non-perforated synapse of hippocampus CA1 had the more thick postsynaptic density, and arrow showed the subsynaptic dense “Taxi” bodies (T-terminals) ×49 000
非穿孔突触:生后20日龄和30日龄海马CA1区均可见大量非穿孔突触(图4),也可见平行突触(图5)、连续突触等。非穿孔突触也是以Gray Ⅰ型非对称型突触为主,有突触小泡偏侧分布现象。20日龄PSD比30日龄组厚,20日龄组也发现存在突触下致密小体。追踪1例30日龄组的平行突触,发现其并非平行出现,有较复杂的三维空间分布。
, 百拇医药
图5 30日龄鼠海马CA1平行突触的连续切片,箭头示平行突触 ×49 000
Figure 5 The successive transverse section of postnatal 30 d group parallel synapses. Arrow showed the parallel synapses ×49 000
2.2 突触数密度
大鼠海马CA1区突触数密度生后20日龄和30日龄组分别为(6.74±1.11)×109和(8.18±1.94)×109 mm-3,其中穿孔突触密度分别为(0.98±0.11)×109和(1.26±0.14)×109 mm-3,两组比较有显著性差异(P<0.05)。证明大鼠海马CA1区生后20至30日龄突触总体数有所增长,其中穿孔突触数变化不大,提示穿孔突触与非穿孔突触数量的增长处于动态平衡。
, http://www.100md.com
3 讨论
突触的超微结构特征、类型及数量等一系列变化与突触发育、突触可塑性和突触功能有着密切内在联系。从出生至成年这一时期,突触仍存在继续发育的过程,并有较高的可塑性。生后早期突触形态复杂多变,备受研究者们关注。
本实验中我们观察到大鼠海马CA1区20日龄组突触的形态无论从突触前小泡的大小和密集程度、突触接触面的曲度、突触后致密物质的厚度与30日龄组均有一些差异,表明生后20日龄突触具有较强的可塑性,突触前小泡小而密集、突触接触面曲度较大,并凸向突触前区域以及突触后致密物质较厚均可作为有较强可塑性突触的形态特征。
已往研究证明突触下致密小体与兴奋性氨基酸递质受体的形成和活性有关[6,7]。突触下“Taxi”小体与谷氨酸和GABA神经递质的传导有关。突触下网状小体与AMPA受体亚单位: GluR1, GluR2/3, and GluR4的活性和其递质传导有关。本研究表明,生后20至30日龄时期是突触下致密小体发育和成熟,并参与兴奋性氨基酸递质受体形成的重要时期。突触下致密小体与突触发育及可塑性的关系尚需进一步研究。
, http://www.100md.com
已往分别对大鼠脑桥核和鸟类外纹体的生后发育研究认为,生后两周突触发育以突触大量增殖为特征,其后则进入突触形态的成熟阶段。本研究则表明,大鼠海马CA1区生后20至30日龄突触数目仍有所增长,说明CA1区突触数目增殖可持续至生后一个月。但20日龄突触较30日龄突触幼稚,20至30日龄期间伴有突触形态发育成熟过程的观点与已往研究基本一致。大鼠出生后,在复杂外界环境的刺激下,促进神经元间进一步建立复杂功能联系,与神经元功能接点的突触数目增加和成熟是一致的。
自穿孔突触概念提出以来,穿孔现象的存在,以及其在突触可塑性中扮演的重要角色已日益引起重视。本研究所得连续二维重建突触的实验资料证明,突触发育过程中确实存在相当数量的穿孔突触,大致可分为圆盘状和马蹄状等类型。穿孔突触前小泡呈偏侧分布现象可能与Jones等[5]提出的这种突触具有较复杂功能的观点一致。突触的不同突触后致密物质区域可能与通过含不同递质的小泡,使突触的局部调节环路更加精确、复杂和完备有关。还有研究表明突触形态复杂性随年龄增长而增加,推测穿孔突触的复杂性与神经系统功能状态改变有关。
, 百拇医药
* 国家自然科学基金(39470309)资助项目。
参考文献
1 Katz LC, Shatz CJ. Synaptic activity and the construction of cortical circuits. Science, 1996, 274: 1123-1133
2 Saito Y, Song WJ, Murakami F. Preferential termination of corticorubral axons on spine-like dendritic protrusions in developing cat. J Neurosci, 1997, 17(22):8792-8803
3 Nixdorf BE. Ultrastructural analysis of the development and maturation of synapses and subsynaptic structures in ectostriatum of the zebra finch. J Comp Neurol, 1989, 290:472-486
, http://www.100md.com
4 Mayhew TM, Gundersen HJG. ‘If you assume, you can make an ass out of u and me’: a decade of the disector stereological counting of particles in 3D space. J Anat, 1996,183:1-15
5 Jones DG, Calverley RKS., Frequency of occurrence of perforated synapses in developing rat neocortex. Neurosc Letter, 1991,129:189-192
6 Yang HW, Appenteng K, Batten TF. Ultrastructural subtypes of glutamate-immunoreactive terminals on rat trigeminal motoneurones and their relationships with GABA-immunoreactive terminals. Exp Brain Res, 1997, 114(1):99-116
7 Tachibana M, Wenthold RJ, Morioka H, et al. Light and electron microscopic immunocytochemical localization of AMPA-selective glutamate receptors in the rat spinal cord. J Comp Neurol, 1994, 344(3):431-454
(1999-02-25收稿), 百拇医药