用国产自体-2000型血液回收机进行血液回收的动物实验研究
作者:张明礼 石雪君 宋乃庆 刘燕 吴栋
单位:北京大学第一医院心外科 北京 100034
关键词:输血;自体;仪器和设备
北京医科大学学报000323 [摘 要] 目的:通过动物实验研究自体-2000型血液回收机的应用价值。方法:用杂种犬5只制作外科出血模型,并用自体-2000型血液回收机行自体血液回收。观察实验犬术后生存情况,术前、术后1周行血常规及血液生化检测。其中3只犬术后1周取心、肝、肺、肾、脑、脾进行病理切片检查。结果:5只犬术后均无输血反应,恢复顺利,存活良好。血液化验正常。3只犬术后1周病理切片检查正常。结论:国产自体-2000型血液回收机回收失血效果良好。血液回输后实验动物无输血反应。对重要器官无明显影响,应用该型血液回收机安全、有效。
[中图分类号] R457.1-33 [文献标识码] A
, 百拇医药
[文章编号] 1000-1530(2000)03-0275-02
Intraoperative autologous blood transfusion study in animals by using
ZITI-2000 Autologous Blood Recovery System
ZHANG Ming-Li,SONG Nai-Qing,LIU Yan,WU Dong
(Department of Cardiothoracic Surgery, the First Hospital,Peking University, Beijing 100034, China)
SHI Xue-Jun
, 百拇医药
(Department of Pathology, the First Hospital,Peking University, Beijing 100034, China)
ABSTRACT Objective: To study the effect of intraoperative autologous blood transfusion using ZITI-2000 Autologous Blood Recovery System by animal experience. Methods: Intraoperative autologous blood transfusion was performed in 5 dogs' surgery using ZITI-2000 Autologous Blood Recovery System. The survival condition was observed postoperatively. Routine and biochemical blood tests were examined for the blood samples taken before and after operation. Three dogs' hearts, livers, lungs, kidneys, brains and spleens were taken after 7 days to perform pathologic examination. Results: The 5 dogs recovered successfully and lived well postoperation. Blood tests were normal. Pathologic examination was normal in three dogs. Conclusion: Use of ZITI-2000 Autologous Blood Recovery System for intraoperative autologous blood transfusion is efficacious and safe, and without any adverse blood transfusion reaction.
, 百拇医药
KEY WORDS Blood transfusion, autologous/instrum▲
为了缓解血源紧张,避免异体输血反应,特别是减少输血传播疾病,我们研制了自体-2000型血液回收机及配套一次性用品,把外科手术中的失血收集起来,经过抗凝、过滤、分离、清洗、净化、浓缩后再回输给病人,从而最大限度地减少了病人血液的丢失,减少或避免了异体输血。用该机进行血液回收的动物实验,取得了满意效果,报告如下。
1 材料与方法
1.1 实验动物
本地杂种犬5只,由北京医科大学第一医院动物室提供,体重18~24 kg。
1.2 实验方法
1.2.1 术前化验 术前取静脉血进行血常规及血液生化检验。
, 百拇医药
1.2.2 手术及血液回收方法
用戊巴比妥静脉麻醉,麻醉后开放静脉,输复方氯化钠注射液(林格液)。
常规用碘酒、酒精消毒铺巾,切开股动脉,采用血液回收机的负压吸引管收集失血,用ACD保养液及肝素抗凝(500 ml保养液+肝素12 500 U),在吸血同时,通过与吸血管连通的抗凝药滴管将抗凝药滴入吸血管内与血液混合产生抗凝作用,抗凝药滴入体积与回收血液体积之比为1∶5,吸回出血350~400 ml,同时通过静脉快速输入复方氯化钠注射液,以维持血压。
用自体-2000型血液回收机对收集到的血进行处理(过滤、分离、清洗、净化、浓缩),处理时间3~5 min,所得浓缩回收血250 ml,立即回输,约20 min输完。
1.2.3 术中取经血液回收机处理后的浓缩血进行血常规化验,术后1周取静脉血进行血常规及血液生化检验,包括白细胞计数(WBC)、红细胞计数(RBC)、血红蛋白浓度(Hb)、红细胞压积(HCT)、红细胞平均体积(MCV)、红细胞平均血红蛋白(MCH)、红细胞平均血红蛋白浓度(MCHC)、血小板计数(PLT)、丙氨酸转氨酶(ALT)、天冬氨酸转氨酶(AST)、血清总蛋白(TP)、血清总胆红素(TBil)、直接胆红素(DBil)、肌酐(Cr)、尿素(Urea)等。
, 百拇医药
1.2.4 术后观察项目 清醒时间、呼吸状况、体温、进食、大小便及活动情况等。
1.2.5 病理检查 术后1周,随机抽样,将其中3只犬处死,取心、肝、脑、肺、肾、脾等重要器官,用10%(体积分数)福尔马林固定,石蜡包埋后切片,常规HE染色,光学显微镜下观察。
1.3 统计学处理
应用统计软件SPSS处理。计量资料用
±s表示,用方差分析和秩和检验进行数据分析。
2 结果
2.1 一般情况
5只犬均于术后2~3 h清醒,呼吸均匀、正常,当天下午或傍晚进水,术后第1天开始进食并能站立活动,术后第2天进食及活动正常。术后大小便正常,无异常发热,未发现任何异常情况。
, http://www.100md.com
5只犬术后均存活正常。其中3只1周后取病理,处死。
2.2 化验结果(表1、2)
经血液回收机处理后浓缩血的血常规化验结果:Hb(182±12) g.L-1,HCT(55.0±4.6)%,WBC(18.3±1.3)×109 L-1,PLT (80±7)×109 L-1。
2.3 病理检查
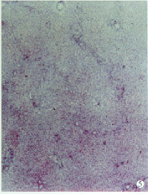
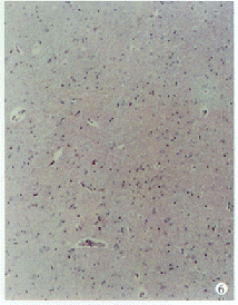
心、肝、脑、肺、肾、脾等器官肉眼观察及切片观察均未见异常(图1~6)。
表1 实验犬血常规化验结果(
±s,n=5)
, 百拇医药
Table 1 The results of routine blood tests in experimental canines(
±s,n=5)
WBC
(×109 L-1)
RBC
(×1012 L-1)
ρ(Hb)
/g.L-1
HCT
, 百拇医药
(%)
MCV
(fl)
m(MCH)
/pg
ρ(MCHC)
/g.L-1
PLT
(×109 L-1)
Preoperation
14.2±1.1
, http://www.100md.com
5.9±0.6
135±10
39.3±4.3
64.7±1.3
21.8±1.0
333±19
259±48
The 7 th day
after operation
11.3±1.0
5.8±0.6
125± 9
, 百拇医药
39.0±3.1
67.3±1.5
21.3±0.6
318±17
303±21
ρ, mass concentration; m, mass; P>0.05.表2 实验犬血液生化检测结果(
±s, n=5)
Table 2 The results of biochemical blood tests in experimental canines (
±s, n=5)
, http://www.100md.com
ρ(ALT)
/IU.L-1
ρ(AST)
/IU.L-1
ρ(TP)
/g.L-1
c(TBil)
/μmol.L-1
c(DBil)
/μmol.L-1
, 百拇医药
c(Cr)
/μmol.L-1
c(Urea)
/mmol.L-1
Preoperation
18.3± 9.2
14.7± 7.3
65.6±4.8
2.77±1.9
0.7±0.3
104.3±16.0
, http://www.100md.com
4.8±0.6
The 7 th day
after operation
23.3±11.3
19.7±10.5
68.0±6.2
3.2±1.0
1.0±0.4
107.7±0.4
5.4±0.5
ρ, mass concentration; c, concentration; m, mass; P>0.05.
, 百拇医药
3 讨论
异体输血是救治出血病人的重要医疗手段。但是异体输血也能导致免疫抑制,还可引起溶血、发热、过敏、休克等严重输血反应。近年来异体血输注引起移植物抗宿主病及亲属间输血移植物抗宿主病的发生率高达0.1%。特别是异体输血可以传染艾滋病、肝炎、梅毒等多种疾病,给异体输血带来很大的危害[1,2]。因此,自体血液回收技术受到国内外医学界的高度重视[3,4]。
我们研制的自体-2000型血液回收机,可以回收失血90%以上,全自动电脑控制,有快速、中速、慢速多种处理方式,快速时每3 min可以处理得到250 ml浓缩血。从化验结果可以看出,回收后浓缩血HCT达55%,浓缩血中含有的红细胞、白细胞比率正常。血小板明显减少,为(80±7)×109 L-1,这可能与术中破坏、失血收集时的损伤及与塑料管道等非血管内膜性物质接触时的破坏有关。血液生化指标正常。1周后,实验犬血常规各项指标均正常。统计检验结果P大于0.05,可能是由于样本量较小(动物及实验价格昂贵)所限,并不能完全除外个别指标组间有可能存在差异,特别是当手术创面大、出血多、血小板破坏严重的情况下,虽术后血小板增生、释放加强,也有可能出现对比上的差异。
, http://www.100md.com
术后经密切观察,所有实验犬恢复顺利,无发热,无输血反应,进食、活动均正常,1周后病理检查各重要器官(心、肝、脾、肺、肾、脑等)实质细胞无变性、未见形态学损伤、间质无炎性渗出、血管壁无炎性浸润或血栓形成等异常表现。说明用自体-2000型血液回收机进行血液回收是有效、安全的。■
图1 心肌组织结构正常HE×100
Figure1 cardiac tissue was normal HE×400
图2肺组织结构正常HE×100
Figure2 Pulmonary tissue was normal HE×400
, 百拇医药
图3 肾脏组织结构正常HE×100
Figure3 Renal tissue was normal HE×400
图4 脾脏组织结构正常HE×100
Figure4 Splenic tissue was normal HE×400
图5 肝组织结构正常 HE×100
Figure5 Hepatic tissue was normal HE×400
, http://www.100md.com
图6 脑组织结构正常HE×100
Figure6 Cerebral tissue was normal HE×400
基金项目:北京市科委重点项目(952090100)资助课题。
本文图见封三
参考文献
[1]高折益彦,柴田洋一,西冈淳一,等. 异体输血的副作用. 见:高折益彦主编. 陈 愉, 张 峙译. 自身输血[M]. 北京:人民军医出版社, 1997.16-21
[2]刘俊英, 计乐群, 庾华东,等. 输血引起医院感染的预防管理[J]. 中华流行病学杂志, 1993, 14: 20-22
[3]Sakert T, Gil W, Rosenberg I, et al. Cell saver efficacy for routine coronary artery bypass surgery[J]. Perfusion, 1996, 11(1): 71-77
[4]Smith LA, Barker DF, Burns RP. Autotransfusion utilization in abdominal trauma[J]. Am Surg, 1997, 63(1): 47-49
收稿日期:2000-04-30, 百拇医药
单位:北京大学第一医院心外科 北京 100034
关键词:输血;自体;仪器和设备
北京医科大学学报000323 [摘 要] 目的:通过动物实验研究自体-2000型血液回收机的应用价值。方法:用杂种犬5只制作外科出血模型,并用自体-2000型血液回收机行自体血液回收。观察实验犬术后生存情况,术前、术后1周行血常规及血液生化检测。其中3只犬术后1周取心、肝、肺、肾、脑、脾进行病理切片检查。结果:5只犬术后均无输血反应,恢复顺利,存活良好。血液化验正常。3只犬术后1周病理切片检查正常。结论:国产自体-2000型血液回收机回收失血效果良好。血液回输后实验动物无输血反应。对重要器官无明显影响,应用该型血液回收机安全、有效。
[中图分类号] R457.1-33 [文献标识码] A
, 百拇医药
[文章编号] 1000-1530(2000)03-0275-02
Intraoperative autologous blood transfusion study in animals by using
ZITI-2000 Autologous Blood Recovery System
ZHANG Ming-Li,SONG Nai-Qing,LIU Yan,WU Dong
(Department of Cardiothoracic Surgery, the First Hospital,Peking University, Beijing 100034, China)
SHI Xue-Jun
, 百拇医药
(Department of Pathology, the First Hospital,Peking University, Beijing 100034, China)
ABSTRACT Objective: To study the effect of intraoperative autologous blood transfusion using ZITI-2000 Autologous Blood Recovery System by animal experience. Methods: Intraoperative autologous blood transfusion was performed in 5 dogs' surgery using ZITI-2000 Autologous Blood Recovery System. The survival condition was observed postoperatively. Routine and biochemical blood tests were examined for the blood samples taken before and after operation. Three dogs' hearts, livers, lungs, kidneys, brains and spleens were taken after 7 days to perform pathologic examination. Results: The 5 dogs recovered successfully and lived well postoperation. Blood tests were normal. Pathologic examination was normal in three dogs. Conclusion: Use of ZITI-2000 Autologous Blood Recovery System for intraoperative autologous blood transfusion is efficacious and safe, and without any adverse blood transfusion reaction.
, 百拇医药
KEY WORDS Blood transfusion, autologous/instrum▲
为了缓解血源紧张,避免异体输血反应,特别是减少输血传播疾病,我们研制了自体-2000型血液回收机及配套一次性用品,把外科手术中的失血收集起来,经过抗凝、过滤、分离、清洗、净化、浓缩后再回输给病人,从而最大限度地减少了病人血液的丢失,减少或避免了异体输血。用该机进行血液回收的动物实验,取得了满意效果,报告如下。
1 材料与方法
1.1 实验动物
本地杂种犬5只,由北京医科大学第一医院动物室提供,体重18~24 kg。
1.2 实验方法
1.2.1 术前化验 术前取静脉血进行血常规及血液生化检验。
, 百拇医药
1.2.2 手术及血液回收方法
用戊巴比妥静脉麻醉,麻醉后开放静脉,输复方氯化钠注射液(林格液)。
常规用碘酒、酒精消毒铺巾,切开股动脉,采用血液回收机的负压吸引管收集失血,用ACD保养液及肝素抗凝(500 ml保养液+肝素12 500 U),在吸血同时,通过与吸血管连通的抗凝药滴管将抗凝药滴入吸血管内与血液混合产生抗凝作用,抗凝药滴入体积与回收血液体积之比为1∶5,吸回出血350~400 ml,同时通过静脉快速输入复方氯化钠注射液,以维持血压。
用自体-2000型血液回收机对收集到的血进行处理(过滤、分离、清洗、净化、浓缩),处理时间3~5 min,所得浓缩回收血250 ml,立即回输,约20 min输完。
1.2.3 术中取经血液回收机处理后的浓缩血进行血常规化验,术后1周取静脉血进行血常规及血液生化检验,包括白细胞计数(WBC)、红细胞计数(RBC)、血红蛋白浓度(Hb)、红细胞压积(HCT)、红细胞平均体积(MCV)、红细胞平均血红蛋白(MCH)、红细胞平均血红蛋白浓度(MCHC)、血小板计数(PLT)、丙氨酸转氨酶(ALT)、天冬氨酸转氨酶(AST)、血清总蛋白(TP)、血清总胆红素(TBil)、直接胆红素(DBil)、肌酐(Cr)、尿素(Urea)等。
, 百拇医药
1.2.4 术后观察项目 清醒时间、呼吸状况、体温、进食、大小便及活动情况等。
1.2.5 病理检查 术后1周,随机抽样,将其中3只犬处死,取心、肝、脑、肺、肾、脾等重要器官,用10%(体积分数)福尔马林固定,石蜡包埋后切片,常规HE染色,光学显微镜下观察。
1.3 统计学处理
应用统计软件SPSS处理。计量资料用
2 结果
2.1 一般情况
5只犬均于术后2~3 h清醒,呼吸均匀、正常,当天下午或傍晚进水,术后第1天开始进食并能站立活动,术后第2天进食及活动正常。术后大小便正常,无异常发热,未发现任何异常情况。
, http://www.100md.com
5只犬术后均存活正常。其中3只1周后取病理,处死。
2.2 化验结果(表1、2)
经血液回收机处理后浓缩血的血常规化验结果:Hb(182±12) g.L-1,HCT(55.0±4.6)%,WBC(18.3±1.3)×109 L-1,PLT (80±7)×109 L-1。
2.3 病理检查
心、肝、脑、肺、肾、脾等器官肉眼观察及切片观察均未见异常(图1~6)。
表1 实验犬血常规化验结果(
, 百拇医药
Table 1 The results of routine blood tests in experimental canines(
WBC
(×109 L-1)
RBC
(×1012 L-1)
ρ(Hb)
/g.L-1
HCT
, 百拇医药
(%)
MCV
(fl)
m(MCH)
/pg
ρ(MCHC)
/g.L-1
PLT
(×109 L-1)
Preoperation
14.2±1.1
, http://www.100md.com
5.9±0.6
135±10
39.3±4.3
64.7±1.3
21.8±1.0
333±19
259±48
The 7 th day
after operation
11.3±1.0
5.8±0.6
125± 9
, 百拇医药
39.0±3.1
67.3±1.5
21.3±0.6
318±17
303±21
ρ, mass concentration; m, mass; P>0.05.表2 实验犬血液生化检测结果(
Table 2 The results of biochemical blood tests in experimental canines (
, http://www.100md.com
ρ(ALT)
/IU.L-1
ρ(AST)
/IU.L-1
ρ(TP)
/g.L-1
c(TBil)
/μmol.L-1
c(DBil)
/μmol.L-1
, 百拇医药
c(Cr)
/μmol.L-1
c(Urea)
/mmol.L-1
Preoperation
18.3± 9.2
14.7± 7.3
65.6±4.8
2.77±1.9
0.7±0.3
104.3±16.0
, http://www.100md.com
4.8±0.6
The 7 th day
after operation
23.3±11.3
19.7±10.5
68.0±6.2
3.2±1.0
1.0±0.4
107.7±0.4
5.4±0.5
ρ, mass concentration; c, concentration; m, mass; P>0.05.
, 百拇医药
3 讨论
异体输血是救治出血病人的重要医疗手段。但是异体输血也能导致免疫抑制,还可引起溶血、发热、过敏、休克等严重输血反应。近年来异体血输注引起移植物抗宿主病及亲属间输血移植物抗宿主病的发生率高达0.1%。特别是异体输血可以传染艾滋病、肝炎、梅毒等多种疾病,给异体输血带来很大的危害[1,2]。因此,自体血液回收技术受到国内外医学界的高度重视[3,4]。
我们研制的自体-2000型血液回收机,可以回收失血90%以上,全自动电脑控制,有快速、中速、慢速多种处理方式,快速时每3 min可以处理得到250 ml浓缩血。从化验结果可以看出,回收后浓缩血HCT达55%,浓缩血中含有的红细胞、白细胞比率正常。血小板明显减少,为(80±7)×109 L-1,这可能与术中破坏、失血收集时的损伤及与塑料管道等非血管内膜性物质接触时的破坏有关。血液生化指标正常。1周后,实验犬血常规各项指标均正常。统计检验结果P大于0.05,可能是由于样本量较小(动物及实验价格昂贵)所限,并不能完全除外个别指标组间有可能存在差异,特别是当手术创面大、出血多、血小板破坏严重的情况下,虽术后血小板增生、释放加强,也有可能出现对比上的差异。
, http://www.100md.com
术后经密切观察,所有实验犬恢复顺利,无发热,无输血反应,进食、活动均正常,1周后病理检查各重要器官(心、肝、脾、肺、肾、脑等)实质细胞无变性、未见形态学损伤、间质无炎性渗出、血管壁无炎性浸润或血栓形成等异常表现。说明用自体-2000型血液回收机进行血液回收是有效、安全的。■
图1 心肌组织结构正常HE×100
Figure1 cardiac tissue was normal HE×400
图2肺组织结构正常HE×100
Figure2 Pulmonary tissue was normal HE×400
, 百拇医药
图3 肾脏组织结构正常HE×100
Figure3 Renal tissue was normal HE×400
图4 脾脏组织结构正常HE×100
Figure4 Splenic tissue was normal HE×400
图5 肝组织结构正常 HE×100
Figure5 Hepatic tissue was normal HE×400
, http://www.100md.com
图6 脑组织结构正常HE×100
Figure6 Cerebral tissue was normal HE×400
基金项目:北京市科委重点项目(952090100)资助课题。
本文图见封三
参考文献
[1]高折益彦,柴田洋一,西冈淳一,等. 异体输血的副作用. 见:高折益彦主编. 陈 愉, 张 峙译. 自身输血[M]. 北京:人民军医出版社, 1997.16-21
[2]刘俊英, 计乐群, 庾华东,等. 输血引起医院感染的预防管理[J]. 中华流行病学杂志, 1993, 14: 20-22
[3]Sakert T, Gil W, Rosenberg I, et al. Cell saver efficacy for routine coronary artery bypass surgery[J]. Perfusion, 1996, 11(1): 71-77
[4]Smith LA, Barker DF, Burns RP. Autotransfusion utilization in abdominal trauma[J]. Am Surg, 1997, 63(1): 47-49
收稿日期:2000-04-30, 百拇医药