多囊卵巢综合征患者子宫内膜细胞色素P450的表达
作者:陈咏健 魏兆莲 李美芝 王蔼明
单位:陈咏健 魏兆莲 李美芝(北京大学第三医院妇产科,北京 100083);王蔼明(海军总医院妇产科)
关键词:细胞色素P450;代谢;芳香化酶;代谢;多囊卵巢综合征;代谢;子宫内膜
北京医科大学学报000610 [摘 要]目的:探讨细胞色素P450芳香化酶(aromatase cytochrome P450,P450arom)mRNA及蛋白在多囊卵巢综合征(polycystic ovary syndrome,PCOS)患者子宫内膜上的表达及意义。方法:分别用原位杂交和免疫组织化学及Western blotting方法检测31例PCOS患者和30例因输卵管不通而不孕或男性不孕的对照组(15例增殖期,15例分泌期)的子宫内膜上的P450arom mRNA及蛋白的表达。结果:PCOS患者子宫内膜上P450arom mRNA呈强阳性表达,而对照组为弱表达或阴性表达;PCOS患者子宫内膜上P450arom蛋白呈弱到强阳性表达,对照组为阴性到阳性表达,两者比较差异有显著性;PCOS患者增殖期与单纯增生比较,P450arom蛋白表达,差异无显著性。结论:PCOS患者子宫内膜上P450arom的异常升高可能促进雄激素在子宫内膜局部转化为雌激素,在子宫内膜病变中起一定作用。
, http://www.100md.com
[中图分类号]R711.75 [文献标识码]A
[文章编号]1000-1530(2000)06-0515-04
Expression of aromatase cytochrome P450 protein and messenger ribonucleic acid in endometrium of patient with polycystic ovary syndrome
CHEN Yong-Jian,WEI Zhao-Lian,LI Mei-Zhi
(Department of Gynecology and Obstetrics,Peking University Third Hospital,Beijing 100083,China)
, 百拇医药 WANG Ai-Ming
(Department of Gynecology and Obstetrics,Navy General Hospital)
ABSTRACT Objective:To study the expression and significance of aromatase cytochrome P450(P450arom) protein and messenger ribonucleic acid(mRNA) in endometrium of patients with polycystic ovary syndrome(PCOS).Methods:The expression of P450arom mRNA in endometrium from 31 PCOS and 30 normal controls (15 proliferative and 15 secretory phase)were studied in situ hybridization,and the levels of P450arom protein were investigated by means of immunohistochemical and western blotting analysis respectively.Results:The expression of P450arom mRNA in endometrium of patients with PCOS was strongly positive,whereas the levels of P450arom mRNA were very weak or negative in endometrium of the controls;The P450arom protein expression in endometrium of patients with PCOS was from weak to strong positive,whereas the levels of P450arom protein were from negative to moderate positive in endometrium of the controls.There was significant difference between the two groups.The levels of P450arom protein were found with no significant difference between the proliferate phase and the simple hyperplasia endometrium of PCOS.Conclusion:The high level of P450arom in endometrium of patient with PCOS can improve the formation of estrogens from androgens at local endometrium,which may play an important role in the pathological changes of endometrium in PCOS.
, http://www.100md.com
KEY WORDS Aromatase/metab;Cytochrome P450/metab;Endometrium;Polycystic ovary syndrome/metab
多囊卵巢综合征(polycystic ovary syndrome,PCOS)是妇科一种常见疾病,患者子宫内膜多为增殖期改变,或有不同程度的增生,少数可发展为子宫内膜癌[1],但导致PCOS子宫内膜病变的分子生物学机制尚未弄清。目前研究发现细胞色素P450芳香化酶(aromatase cytochrpme P450,P450arom)在子宫内膜异常生长中起一定作用。本研究应用免疫组织化学及Western blotting方法和原位杂交方法对PCOS患者子宫内膜上P450arom的表达进行研究,以探讨其在PCOS子宫内膜病变中的作用。
1 材料与方法
1.1 标本来源和临床资料
, 百拇医药
31例PCOS患者选自1998年2月~1999年10 月在北京大学第三医院妇科内分泌门诊就诊的患者,年龄24~36岁。 PCOS诊断标准[1]为:(1) B超提示至少一侧卵巢内卵泡数≥10个;(2)卵泡早期血黄体生成激素(luteinizing hormone,LH)/卵泡刺激素(follicle stimulating hormone,FSH) ≥2或血睾酮(testosterone,T)升高(≥2.2 nmol*L-1)或雄烯二酮(androstenedione,A)升高(≥9 nmol*L-1);(3)具有下列一项或多项临床症状:月经异常、不孕、多毛、肥胖等。26例于闭经期,5例于淋漓出血期,取少许子宫内膜,病理组织学检查示 20例为增殖期改变,2例为不典型增生,6例为单纯增生,3例为分泌期改变。30例对照组为同期就诊的不孕症妇女,月经周期正常,血性激素正常,不孕原因为输卵管不通或男性不育,年龄23~35岁,其中15例于增殖期,15例于分泌期取少许子宫内膜。标本经40 g*L-1多聚甲醛固定,常规脱水,石蜡包埋,切片厚4 μm。
, http://www.100md.com
从上述标本中同时取得20例置于液氮中保存,用于做Western blotting检测,其中7例正常对照组,13例 PCOS患者(3例单纯增生,10例增殖期)。
1.2 研究方法
内分泌激素测定:取内膜同时抽静脉血,用放射免疫法测定泌乳素(prolactin,PRL)、FSH、LH、T、A、雌二醇(estradiol,E2) 、雌酮(estrone, E1) 、胰岛素(insulin,INS)。
原位杂交:P450arom质粒由日本H Nobuhiro教授惠赠,按常规方法制备探针。采用德国宝灵曼公司地高辛标记试剂盒,用随机引物法标记探针。杂交过程:石蜡切片经脱蜡入水后,室温下于0.1 mol*L-1盐酸浸泡10 min;随后加蛋白酶K(50 mg*L-1)在37 ℃消化20 min;再用40 g*L-1多聚甲醛后固定10 min。每步骤间切片用PBS洗5 min×3次。梯度酒精脱水,室温晾10 min,每片加杂交液20 μl (含50%体积分数的去离子甲酰胺,2×SSC,5×Denhardt's,0.1 g*L-1鲑精DNA,25 g*L-1硫酸葡聚糖,60 ng探针)。湿盒内42 ℃反应20 h。杂交后用2×SSC洗30 min,1×SSC洗30 min,0.1×SSC洗30 min。封闭反应后,加抗地高辛抗体(体积比1∶500稀释),37 ℃孵育1 h,用检测缓冲液洗涤,氮蓝四唑/5-溴-4-氯-3-吲哚-磷酸(NBT/BCIP)室温显色2 h后同时终止。以紫蓝色沉淀为阳性。杂交液中未加探针作为阴性对照。
, http://www.100md.com
免疫组织化学:采用SP方法,兔抗人P450arom抗体由Kitawaki J教授惠赠,体积比1∶2000稀释。SP试剂盒为美国Zymed 公司产品, 二氨基联苯胺四盐酸盐为北京中山生物技术公司产品,用PBS代替一抗作阴性对照。阳性结果判定:阳性染色为细胞内出现棕黄色颗粒。按染色强度与阳性细胞百分数判定[2],分为4级,>50%细胞着棕黄色为强阳性(+ + + );<50%细胞着棕黄色或>50%着黄色为阳性( + + );<50%细胞着黄色或均着淡黄色为弱阳性(+);不着色为阴性(-)。
Western blotting法:参考分子克隆实验指南的方法提取组织蛋白及蛋白印迹分析。用Bradford比色法测定蛋白含量。拍摄硝酸纤维素膜照片,对相片上蛋白带用Leica Q550-Iw图像分析仪扫描,比较各样本的积分光密度值。
1.3 统计学方法
数据用
±s表示,采用秩和检验和t检验。
, http://www.100md.com
2 结果
PCOS患者与对照组年龄及内分泌激素比较(表1):PCOS组与对照组比较,年龄、PRL、FSH、E2、E1差异无显著性(P>0.05),LH、T、A、LH/FSH、空腹INS差异有显著性(P<0.01)。
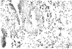
原位杂交结果:P450arom mRNA在对照组增殖期和分泌期的腺上皮与间质细胞为弱表达或阴性表达,而在PCOS组呈强阳性表达。在PCOS组,增殖期子宫内膜P450arom mRNA在间质细胞的表达明显强于腺上皮细胞的表达,而在不典型增生的子宫内膜,P450arom mRNA在腺上皮细胞的表达增强,在间质细胞的表达减弱(图1、2)。
免疫组化结果:P450arom蛋白在对照组增殖期和分泌期的腺上皮与间质细胞呈阴性表达到阳性表达,表达强度差异无显著性(P>0.05)。在PCOS组呈弱阳性到强阳性表达,在腺上皮与间质细胞胞浆中均有表达,表达强度差异也无显著性(P>0.05)。与对照组相比,PCOS组腺上皮与间质细胞P450arom蛋白表达均增高,差异有显著性(P值均小于0.05)。PCOS组单纯增生组与增殖期比较,差异无显著性(P均>0.05)。非典型增生均为强阳性表达,因仅2例,未与其它组比较(表2,图3,4)。
, http://www.100md.com
Western blotting结果(图5):P450arom蛋白在对照组积分光密度为3 845±952,在PCOS组为6 408±867,两者比较差异有显著性(P<0.01)。PCOS组中,增殖期为6 297±894,单纯增生为6 841±836,两者比较差异无显著性(P>0.05)。
图1 P450arom mRNA在PCOS组子宫内膜腺上皮和间质细胞表达强阳性。原位杂交 NBT/BCIP染色 ×400
Figure 1 P450arom mRNA was strongly positive expression in endometrium epithelium and stromal cells of patient with PCOS.In situ hybridization NBT/BCIP ×400
, 百拇医药
图2 P450arom mRNA在对照组增殖期子宫内膜腺上皮和间质细胞弱阳性表达。原位杂交 NBT/BCIP染色 ×400
Figure 2 P450arom mRNA was weak positive expression in the endometrium epithelium and stromal cells of control group.In situ hybridization NBT/BCIP ×400
图3 P450arom 蛋白在PCOS组子宫内膜腺上皮和间质细胞表达强阳性。免疫组化SP法 ×400
Figure 3 P450arom protein was strong positive expression in the endometrium epithelium and stromal cells of patient with PCOS.Immunohistochemical SP method ×400
, 百拇医药
图4 P450arom蛋白在对照组子宫内膜腺上皮表达阴性,间质细胞表达弱阳性。免疫组化SP法 ×400
Figure 4 Negative P450arom protein in the endometrium epithelium cells of patient with control group,but weak positive in the stromal cells.Immunohistochemical SP method ×400
图5 子宫内膜P450arom蛋白的Western blotting结果
Figure 5 Western blotting analysis of P450arom
protein in endometrium
, 百拇医药
3 讨论
P450arom能催化C19雄激素转化为雌激素,是雌激素合成过程中的一个关键酶,它在体内多种雌激素合成部位均有表达。近年来,Noble等[3]发现P450arom在子宫内膜上也有表达,如子宫内膜癌、子宫内膜异位症的研究中发现,这些疾病的子宫内膜芳香化酶活性增高,有P450arom蛋白和mRNA的表达。推测子宫内膜P450arom的异常表达,能促进子宫内膜局部雌激素的转化 ,在子宫内膜的增生性病变中起着重要作用。
正常子宫内膜上是否有P450arom的表达,目前尚存在争议[4,5]。在本研究中发现,正常月经周期妇女的子宫内膜在增殖期和分泌期P450arom mRNA及蛋白的表达为阴性或弱阳性,提示P450arom 可能在正常子宫内膜上的作用较弱,对子宫内膜的生理功能影响不大。
表1 PCOS组与对照组年龄及内分泌激素的比较(
±s)
, 百拇医药
Table 1 The level of year and endocrine hormone
between PCOS and control group(
±s)
Control
PCOS
n
30
31
t/a
29.3±6.2
28.2±3.0
, 百拇医药
ρ(PRL)/μg*L-1
10.7±4.0
10.0±3.2
FSH(IU*L-1)
11.4±3.4
10.4±3.5
LH(IU*L-1)
7.3±2.7
24.3±18.0*
c(E2)/pmol*L-1
, 百拇医药
141.3±58.8
178.9±88.5
ρ(E1)/ng*L-1
37.8±15.2
44.0±20.4
c(T)/nmol*L-1
1.1±0.4
2.4±1.5*
c(A)/nmol*L-1
4.6±1.3
, http://www.100md.com
12.6±6.7*
LH/FSH
0.7±0.2
2.6±1.8*
INS(mIU*L-1)
8.6±3.0
12.8±9.4*
**P<0.01,compared with control.
研究发现,PCOS组子宫内膜P450arom mRNA及蛋白表达比对照组明显增强,提示P450arom可能在PCOS患者子宫内膜增生性病变中起一定作用。PCOS组与对照组相比,血清中E2和E1水平无差异,也支持PCOS子宫内膜增生不是血清雌激素水平增高所致,而是与局部雌激素浓度增高或雌激素长期刺激有关。与对照组相比,PCOS血中雄激素水平增高,而子宫内膜P450arom表达增高,可能导致局部雌激素增多,可使子宫内膜发生不同程度的增生,甚至发展为子宫内膜癌。PCOS组内单纯增生与增殖期比较,差异不显著,提示P450arom异常只是引起PCOS患者子宫内膜病变的因素之一。子宫内膜的增生还与很多因素有关,如雌激素刺激的时间,雌激素受体的浓度,个体遗传差异等。
, http://www.100md.com
PCOS患者子宫内膜P450arom的高表达与体内异常的内分泌环境有关。我们研究中发现PCOS患者胰岛素水平显著高于对照组,可能促使了P450arom的异常表达。
表2 PCOS组与对照组子宫内膜P450arom蛋白的表达
Table 2 The expression of P450arom protein in the endometrium of PCOS and control group Group
Cases
Gland
Stromal
-
+
, 百拇医药
++
+++
-
+
++
+++
Control
Proliferate
15
7
8
0
0
, 百拇医药 5
8
2
0
Secretary
15
5
7
3
0
5
6
4
0
, 百拇医药
PCOS
Proliferate
20
0
1
7
12
0
1
6
13
Secretary
3
, 百拇医药
0
0
2
1
0
0
2
1
Simple hyperplasia
6
0
1
3
2
, 百拇医药
0
0
3
3
Atypic hyperplasia
2
0
0
0
2
0
0
0
2
, 百拇医药
本研究发现,P450arom mRNA在PCOS患者子宫内膜间质细胞比腺上皮细胞表达强,而蛋白表达无明显差异,提示间质细胞可能通过自分泌和旁分泌作用,调节着自身及腺上皮P450arom的表达,从而对其功能有一定调节作用。文献[6]报道雌激素诱导的子宫内膜腺上皮增殖受间质细胞的影响。
参考文献:
1,李留霞,杨池荪,乔 杰,等.多囊卵巢综合征患者子宫内膜病理改变及雌、孕激素受体测定[J].中华妇产科杂志,1998,33:89-91
2,Fisher CJ,Gillett CE,Vojtesek B,et al.Problems with p53 immunohistochemical staining:the effect of fixation and variation in the methods of evaluation[J].Br J Cancer,1994,69:26-31
, 百拇医药
3,Noble LS,Simpson ER,Johns A,et al.Aromatase expression in endometriosis.J Clin Endocrinol Metab,1996,81:179
4,Tseng L,Mazella J,Mann WJ,et al.Estrogen synthesis in normal and malignant human endometrium[J].J Clin Endocrinol Metab,1982,55:1029-1031
5,Kitawaki J,Noguchi T,Amatsu T,et al.Expression of aromatase cytochrome P450 protein and messenger ribonucleic acid in human endometriotic and adenomyotic tissues but not in normal endometrium[J].Biology Reprod,1997,57:514-519
6,Tabibzadeh SS,Santhanam U,Sehgal PB,et al.Cytokine-induced production of INF-β2/IL-6 by freshly explanted human endometrial stromal cells;modulation by estradiol-17β[J].J Immunol,1989,142:3134-3139
收稿日期:1999-11-18, 百拇医药
单位:陈咏健 魏兆莲 李美芝(北京大学第三医院妇产科,北京 100083);王蔼明(海军总医院妇产科)
关键词:细胞色素P450;代谢;芳香化酶;代谢;多囊卵巢综合征;代谢;子宫内膜
北京医科大学学报000610 [摘 要]目的:探讨细胞色素P450芳香化酶(aromatase cytochrome P450,P450arom)mRNA及蛋白在多囊卵巢综合征(polycystic ovary syndrome,PCOS)患者子宫内膜上的表达及意义。方法:分别用原位杂交和免疫组织化学及Western blotting方法检测31例PCOS患者和30例因输卵管不通而不孕或男性不孕的对照组(15例增殖期,15例分泌期)的子宫内膜上的P450arom mRNA及蛋白的表达。结果:PCOS患者子宫内膜上P450arom mRNA呈强阳性表达,而对照组为弱表达或阴性表达;PCOS患者子宫内膜上P450arom蛋白呈弱到强阳性表达,对照组为阴性到阳性表达,两者比较差异有显著性;PCOS患者增殖期与单纯增生比较,P450arom蛋白表达,差异无显著性。结论:PCOS患者子宫内膜上P450arom的异常升高可能促进雄激素在子宫内膜局部转化为雌激素,在子宫内膜病变中起一定作用。
, http://www.100md.com
[中图分类号]R711.75 [文献标识码]A
[文章编号]1000-1530(2000)06-0515-04
Expression of aromatase cytochrome P450 protein and messenger ribonucleic acid in endometrium of patient with polycystic ovary syndrome
CHEN Yong-Jian,WEI Zhao-Lian,LI Mei-Zhi
(Department of Gynecology and Obstetrics,Peking University Third Hospital,Beijing 100083,China)
, 百拇医药 WANG Ai-Ming
(Department of Gynecology and Obstetrics,Navy General Hospital)
ABSTRACT Objective:To study the expression and significance of aromatase cytochrome P450(P450arom) protein and messenger ribonucleic acid(mRNA) in endometrium of patients with polycystic ovary syndrome(PCOS).Methods:The expression of P450arom mRNA in endometrium from 31 PCOS and 30 normal controls (15 proliferative and 15 secretory phase)were studied in situ hybridization,and the levels of P450arom protein were investigated by means of immunohistochemical and western blotting analysis respectively.Results:The expression of P450arom mRNA in endometrium of patients with PCOS was strongly positive,whereas the levels of P450arom mRNA were very weak or negative in endometrium of the controls;The P450arom protein expression in endometrium of patients with PCOS was from weak to strong positive,whereas the levels of P450arom protein were from negative to moderate positive in endometrium of the controls.There was significant difference between the two groups.The levels of P450arom protein were found with no significant difference between the proliferate phase and the simple hyperplasia endometrium of PCOS.Conclusion:The high level of P450arom in endometrium of patient with PCOS can improve the formation of estrogens from androgens at local endometrium,which may play an important role in the pathological changes of endometrium in PCOS.
, http://www.100md.com
KEY WORDS Aromatase/metab;Cytochrome P450/metab;Endometrium;Polycystic ovary syndrome/metab
多囊卵巢综合征(polycystic ovary syndrome,PCOS)是妇科一种常见疾病,患者子宫内膜多为增殖期改变,或有不同程度的增生,少数可发展为子宫内膜癌[1],但导致PCOS子宫内膜病变的分子生物学机制尚未弄清。目前研究发现细胞色素P450芳香化酶(aromatase cytochrpme P450,P450arom)在子宫内膜异常生长中起一定作用。本研究应用免疫组织化学及Western blotting方法和原位杂交方法对PCOS患者子宫内膜上P450arom的表达进行研究,以探讨其在PCOS子宫内膜病变中的作用。
1 材料与方法
1.1 标本来源和临床资料
, 百拇医药
31例PCOS患者选自1998年2月~1999年10 月在北京大学第三医院妇科内分泌门诊就诊的患者,年龄24~36岁。 PCOS诊断标准[1]为:(1) B超提示至少一侧卵巢内卵泡数≥10个;(2)卵泡早期血黄体生成激素(luteinizing hormone,LH)/卵泡刺激素(follicle stimulating hormone,FSH) ≥2或血睾酮(testosterone,T)升高(≥2.2 nmol*L-1)或雄烯二酮(androstenedione,A)升高(≥9 nmol*L-1);(3)具有下列一项或多项临床症状:月经异常、不孕、多毛、肥胖等。26例于闭经期,5例于淋漓出血期,取少许子宫内膜,病理组织学检查示 20例为增殖期改变,2例为不典型增生,6例为单纯增生,3例为分泌期改变。30例对照组为同期就诊的不孕症妇女,月经周期正常,血性激素正常,不孕原因为输卵管不通或男性不育,年龄23~35岁,其中15例于增殖期,15例于分泌期取少许子宫内膜。标本经40 g*L-1多聚甲醛固定,常规脱水,石蜡包埋,切片厚4 μm。
, http://www.100md.com
从上述标本中同时取得20例置于液氮中保存,用于做Western blotting检测,其中7例正常对照组,13例 PCOS患者(3例单纯增生,10例增殖期)。
1.2 研究方法
内分泌激素测定:取内膜同时抽静脉血,用放射免疫法测定泌乳素(prolactin,PRL)、FSH、LH、T、A、雌二醇(estradiol,E2) 、雌酮(estrone, E1) 、胰岛素(insulin,INS)。
原位杂交:P450arom质粒由日本H Nobuhiro教授惠赠,按常规方法制备探针。采用德国宝灵曼公司地高辛标记试剂盒,用随机引物法标记探针。杂交过程:石蜡切片经脱蜡入水后,室温下于0.1 mol*L-1盐酸浸泡10 min;随后加蛋白酶K(50 mg*L-1)在37 ℃消化20 min;再用40 g*L-1多聚甲醛后固定10 min。每步骤间切片用PBS洗5 min×3次。梯度酒精脱水,室温晾10 min,每片加杂交液20 μl (含50%体积分数的去离子甲酰胺,2×SSC,5×Denhardt's,0.1 g*L-1鲑精DNA,25 g*L-1硫酸葡聚糖,60 ng探针)。湿盒内42 ℃反应20 h。杂交后用2×SSC洗30 min,1×SSC洗30 min,0.1×SSC洗30 min。封闭反应后,加抗地高辛抗体(体积比1∶500稀释),37 ℃孵育1 h,用检测缓冲液洗涤,氮蓝四唑/5-溴-4-氯-3-吲哚-磷酸(NBT/BCIP)室温显色2 h后同时终止。以紫蓝色沉淀为阳性。杂交液中未加探针作为阴性对照。
, http://www.100md.com
免疫组织化学:采用SP方法,兔抗人P450arom抗体由Kitawaki J教授惠赠,体积比1∶2000稀释。SP试剂盒为美国Zymed 公司产品, 二氨基联苯胺四盐酸盐为北京中山生物技术公司产品,用PBS代替一抗作阴性对照。阳性结果判定:阳性染色为细胞内出现棕黄色颗粒。按染色强度与阳性细胞百分数判定[2],分为4级,>50%细胞着棕黄色为强阳性(+ + + );<50%细胞着棕黄色或>50%着黄色为阳性( + + );<50%细胞着黄色或均着淡黄色为弱阳性(+);不着色为阴性(-)。
Western blotting法:参考分子克隆实验指南的方法提取组织蛋白及蛋白印迹分析。用Bradford比色法测定蛋白含量。拍摄硝酸纤维素膜照片,对相片上蛋白带用Leica Q550-Iw图像分析仪扫描,比较各样本的积分光密度值。
1.3 统计学方法
数据用
, http://www.100md.com
2 结果
PCOS患者与对照组年龄及内分泌激素比较(表1):PCOS组与对照组比较,年龄、PRL、FSH、E2、E1差异无显著性(P>0.05),LH、T、A、LH/FSH、空腹INS差异有显著性(P<0.01)。
原位杂交结果:P450arom mRNA在对照组增殖期和分泌期的腺上皮与间质细胞为弱表达或阴性表达,而在PCOS组呈强阳性表达。在PCOS组,增殖期子宫内膜P450arom mRNA在间质细胞的表达明显强于腺上皮细胞的表达,而在不典型增生的子宫内膜,P450arom mRNA在腺上皮细胞的表达增强,在间质细胞的表达减弱(图1、2)。
免疫组化结果:P450arom蛋白在对照组增殖期和分泌期的腺上皮与间质细胞呈阴性表达到阳性表达,表达强度差异无显著性(P>0.05)。在PCOS组呈弱阳性到强阳性表达,在腺上皮与间质细胞胞浆中均有表达,表达强度差异也无显著性(P>0.05)。与对照组相比,PCOS组腺上皮与间质细胞P450arom蛋白表达均增高,差异有显著性(P值均小于0.05)。PCOS组单纯增生组与增殖期比较,差异无显著性(P均>0.05)。非典型增生均为强阳性表达,因仅2例,未与其它组比较(表2,图3,4)。
, http://www.100md.com
Western blotting结果(图5):P450arom蛋白在对照组积分光密度为3 845±952,在PCOS组为6 408±867,两者比较差异有显著性(P<0.01)。PCOS组中,增殖期为6 297±894,单纯增生为6 841±836,两者比较差异无显著性(P>0.05)。
图1 P450arom mRNA在PCOS组子宫内膜腺上皮和间质细胞表达强阳性。原位杂交 NBT/BCIP染色 ×400
Figure 1 P450arom mRNA was strongly positive expression in endometrium epithelium and stromal cells of patient with PCOS.In situ hybridization NBT/BCIP ×400
, 百拇医药
图2 P450arom mRNA在对照组增殖期子宫内膜腺上皮和间质细胞弱阳性表达。原位杂交 NBT/BCIP染色 ×400
Figure 2 P450arom mRNA was weak positive expression in the endometrium epithelium and stromal cells of control group.In situ hybridization NBT/BCIP ×400
图3 P450arom 蛋白在PCOS组子宫内膜腺上皮和间质细胞表达强阳性。免疫组化SP法 ×400
Figure 3 P450arom protein was strong positive expression in the endometrium epithelium and stromal cells of patient with PCOS.Immunohistochemical SP method ×400
, 百拇医药
图4 P450arom蛋白在对照组子宫内膜腺上皮表达阴性,间质细胞表达弱阳性。免疫组化SP法 ×400
Figure 4 Negative P450arom protein in the endometrium epithelium cells of patient with control group,but weak positive in the stromal cells.Immunohistochemical SP method ×400
图5 子宫内膜P450arom蛋白的Western blotting结果
Figure 5 Western blotting analysis of P450arom
protein in endometrium
, 百拇医药
3 讨论
P450arom能催化C19雄激素转化为雌激素,是雌激素合成过程中的一个关键酶,它在体内多种雌激素合成部位均有表达。近年来,Noble等[3]发现P450arom在子宫内膜上也有表达,如子宫内膜癌、子宫内膜异位症的研究中发现,这些疾病的子宫内膜芳香化酶活性增高,有P450arom蛋白和mRNA的表达。推测子宫内膜P450arom的异常表达,能促进子宫内膜局部雌激素的转化 ,在子宫内膜的增生性病变中起着重要作用。
正常子宫内膜上是否有P450arom的表达,目前尚存在争议[4,5]。在本研究中发现,正常月经周期妇女的子宫内膜在增殖期和分泌期P450arom mRNA及蛋白的表达为阴性或弱阳性,提示P450arom 可能在正常子宫内膜上的作用较弱,对子宫内膜的生理功能影响不大。
表1 PCOS组与对照组年龄及内分泌激素的比较(
, 百拇医药
Table 1 The level of year and endocrine hormone
between PCOS and control group(
Control
PCOS
n
30
31
t/a
29.3±6.2
28.2±3.0
, 百拇医药
ρ(PRL)/μg*L-1
10.7±4.0
10.0±3.2
FSH(IU*L-1)
11.4±3.4
10.4±3.5
LH(IU*L-1)
7.3±2.7
24.3±18.0*
c(E2)/pmol*L-1
, 百拇医药
141.3±58.8
178.9±88.5
ρ(E1)/ng*L-1
37.8±15.2
44.0±20.4
c(T)/nmol*L-1
1.1±0.4
2.4±1.5*
c(A)/nmol*L-1
4.6±1.3
, http://www.100md.com
12.6±6.7*
LH/FSH
0.7±0.2
2.6±1.8*
INS(mIU*L-1)
8.6±3.0
12.8±9.4*
**P<0.01,compared with control.
研究发现,PCOS组子宫内膜P450arom mRNA及蛋白表达比对照组明显增强,提示P450arom可能在PCOS患者子宫内膜增生性病变中起一定作用。PCOS组与对照组相比,血清中E2和E1水平无差异,也支持PCOS子宫内膜增生不是血清雌激素水平增高所致,而是与局部雌激素浓度增高或雌激素长期刺激有关。与对照组相比,PCOS血中雄激素水平增高,而子宫内膜P450arom表达增高,可能导致局部雌激素增多,可使子宫内膜发生不同程度的增生,甚至发展为子宫内膜癌。PCOS组内单纯增生与增殖期比较,差异不显著,提示P450arom异常只是引起PCOS患者子宫内膜病变的因素之一。子宫内膜的增生还与很多因素有关,如雌激素刺激的时间,雌激素受体的浓度,个体遗传差异等。
, http://www.100md.com
PCOS患者子宫内膜P450arom的高表达与体内异常的内分泌环境有关。我们研究中发现PCOS患者胰岛素水平显著高于对照组,可能促使了P450arom的异常表达。
表2 PCOS组与对照组子宫内膜P450arom蛋白的表达
Table 2 The expression of P450arom protein in the endometrium of PCOS and control group Group
Cases
Gland
Stromal
-
+
, 百拇医药
++
+++
-
+
++
+++
Control
Proliferate
15
7
8
0
0
, 百拇医药 5
8
2
0
Secretary
15
5
7
3
0
5
6
4
0
, 百拇医药
PCOS
Proliferate
20
0
1
7
12
0
1
6
13
Secretary
3
, 百拇医药
0
0
2
1
0
0
2
1
Simple hyperplasia
6
0
1
3
2
, 百拇医药
0
0
3
3
Atypic hyperplasia
2
0
0
0
2
0
0
0
2
, 百拇医药
本研究发现,P450arom mRNA在PCOS患者子宫内膜间质细胞比腺上皮细胞表达强,而蛋白表达无明显差异,提示间质细胞可能通过自分泌和旁分泌作用,调节着自身及腺上皮P450arom的表达,从而对其功能有一定调节作用。文献[6]报道雌激素诱导的子宫内膜腺上皮增殖受间质细胞的影响。
参考文献:
1,李留霞,杨池荪,乔 杰,等.多囊卵巢综合征患者子宫内膜病理改变及雌、孕激素受体测定[J].中华妇产科杂志,1998,33:89-91
2,Fisher CJ,Gillett CE,Vojtesek B,et al.Problems with p53 immunohistochemical staining:the effect of fixation and variation in the methods of evaluation[J].Br J Cancer,1994,69:26-31
, 百拇医药
3,Noble LS,Simpson ER,Johns A,et al.Aromatase expression in endometriosis.J Clin Endocrinol Metab,1996,81:179
4,Tseng L,Mazella J,Mann WJ,et al.Estrogen synthesis in normal and malignant human endometrium[J].J Clin Endocrinol Metab,1982,55:1029-1031
5,Kitawaki J,Noguchi T,Amatsu T,et al.Expression of aromatase cytochrome P450 protein and messenger ribonucleic acid in human endometriotic and adenomyotic tissues but not in normal endometrium[J].Biology Reprod,1997,57:514-519
6,Tabibzadeh SS,Santhanam U,Sehgal PB,et al.Cytokine-induced production of INF-β2/IL-6 by freshly explanted human endometrial stromal cells;modulation by estradiol-17β[J].J Immunol,1989,142:3134-3139
收稿日期:1999-11-18, 百拇医药