脱钙液在微波辐射下对骨组织作用效果及免疫组织化学染色的影响
作者:邓永江 丁华野 田玉旺 黄晓南 吴霞
单位:100700 北京军区总医院病理科
关键词:
中华病理学杂志/990220 骨组织脱钙常规多采用酸性液体(如硝酸、盐酸、甲酸等)进行脱钙,一般需较长时间,组织细胞结构很难保持完整清晰,有些甚至破坏组织结构很严重,从而影响病理学的诊断和研究。骨组织中的蛋白抗原得不到很好的保存,有时甚至丢失。为此我们对9例骨组织用乙二胺四乙酸二钠(EDTA)作为脱钙液,利用微波辐射脱钙[1,2]并进行免疫组织化学方法定位,观察骨组织结构改变和蛋白抗原保存情况,得到较满意的结果。
一、材料与方法
1.材料:9例骨组织为我科活检标本(骨肉瘤3例,肋骨2例,胫骨2例,股骨2例),其组织大小为1.0 cm×1.0 cm×0.2 cm;微波炉为浙江临安生产的YWY781B型;EDTA为进口分装,购于北京化学试剂公司;免疫组化试剂为福州迈新生物技术开发公司赠。
, 百拇医药
2.脱钙液配制:A液:EDTA10 g,PBS缓冲液(pH 7.2)100 ml,加NaOH搅拌溶解后,用1 mol/L HCl调pH至7.2,再加甲醛15 ml。B液:甲酸15 ml,甲醛10 ml,蒸馏水75 ml。C液:硝酸5 ml,甲醛10 ml,蒸馏水85 ml。D液:甲酸10 ml,硝酸3 ml,盐酸5 ml,冰醋酸2 ml,甲醛10 ml,蒸馏水70 ml。
3.脱钙方法:本实验9例骨组织各分两组,即微波脱钙组和室温脱钙组。微波组:将骨组织放入平底小烧杯内,分别装有上述各种脱钙液,表面加一层液体石蜡[3],以微波4档间歇脱钙,每次辐射1分钟,每次辐射之间都将烧杯移至室温冷却5分钟,以保证每次的微波辐射脱钙液的温度不至于太高。室温组:每隔4小时更换一次脱钙液。以大头针能刺进骨密质为完成脱钙标准。
4.免疫组织化学方法:组织脱钙后经常规组织处理切片,枸橼酸微波恢复抗原后,应用SP法进行免疫组织化学反应[4],检测骨组织中骨形成蛋白(BMP单抗)和波形蛋白(Vimentin单抗)。
, http://www.100md.com
二、结果
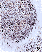
各种脱钙液在微波/室温脱钙时间分别为A液:1分钟×20次/24小时×7次,B液:1分钟×6次/24小时×2次,C液:1分钟×6次/24小时×1次,D液:1分钟×4次/24小时×1次。脱钙后的骨组织对保持组织完整结构以A液、D液较好,其中A液最好,对骨组织几乎无损害。B液和C液对骨组织破坏严重,使结构看不清。在进行免疫组化染色后发现,以A液对保存组织中抗原物质最好(图1~3),最差的为C液。


图1 骨肉瘤组织经免疫组织化学反应,骨形成蛋白定位比较准确,阳性强度高,背景干净 SP法 ×200
, http://www.100md.com 图2 应用10%EDTA脱钙液,在微波作用下脱钙,骨组织结构保持完整,经免疫组织化学反应,骨形成蛋白定位比较准确,阳性强度高,背景干净 SP法 ×200
图3 应用D液,在微波条件下脱钙,骨组织结构保持尚可,骨形成蛋白免疫组织化学反应定位尚可,阳性较弱,背景特异反应少 SP法 ×200
三、讨论
在各种脱钙液的脱钙效果及免疫组化染色观察蛋白抗原的保存情况中,以EDTA脱钙效果最佳,不但能够完好保持组织的完整结构,而且很好的保存组织中的抗原物质。其他几种脱钙液都是较强酸性溶液所配成的。强酸对骨组织不但容易溶解钙盐,而且也容易破坏组织中的各种蛋白质,使组织结构发生溶解破坏和疏松。由于骨组织中的抗原物质是蛋白质结构,在强酸性的脱钙液的作用下,更易造成破坏丢失,给一些骨组织的病理诊断如需要检测其中抗原物质带来不便。所以,本实验EDTA脱钙液适用于特殊骨组织脱钙的病理诊断和研究,虽处理时间上较其它几种相对长些,但应用微波辐射技术也能在几十分钟内完成脱钙。在进行免疫组化染色时,由于组织经过甲醛处理,组织中的抗原被封闭,故应用枸橼酸盐溶液与微波复合技术恢复抗原,能够得到更好的结果。
, 百拇医药
使用微波脱钙时应注意以下几点:(1)防止酸性物质对微波炉的腐蚀,在液面上加一层液体石蜡,同时在脱钙器皿上加盖。(2)为使脱钙更为充分,每次最好更换新液,这既弃去脱掉的钙盐,增加脱钙强度,又起到降低脱钙的温度。(3)每次脱钙时间不宜太长,以1~5分钟/次为宜。(4)脱钙温度不要太高,在40~60℃为宜。 参考文献
1 张素娟,黄宗义,张盛,等.微波辐射快速脱钙方法探讨.第一军医大学学报,1994,144:62.
2 杨传红,赖晃文,唐赓云,等.微波快速脱钙及其脱钙液的选择.临床与实验病理学杂志,1996,12:357-358.
3 Mc Carthy KP, Sloane JP, Kabarowski JH, et al. The rapid dectection of clonal T-cell proliferations, inpatients with lymphoid disorders. Am J Pathol, 1991, 138:828.
4 邓永江,吴霞,田玉旺,等.枸橼酸盐溶液与微波复合技术在免疫组织化学中的应用.中华病理学杂志,1995,24:388-389.
(收稿:1998-01-20 修回:1998-12-15), http://www.100md.com
单位:100700 北京军区总医院病理科
关键词:
中华病理学杂志/990220 骨组织脱钙常规多采用酸性液体(如硝酸、盐酸、甲酸等)进行脱钙,一般需较长时间,组织细胞结构很难保持完整清晰,有些甚至破坏组织结构很严重,从而影响病理学的诊断和研究。骨组织中的蛋白抗原得不到很好的保存,有时甚至丢失。为此我们对9例骨组织用乙二胺四乙酸二钠(EDTA)作为脱钙液,利用微波辐射脱钙[1,2]并进行免疫组织化学方法定位,观察骨组织结构改变和蛋白抗原保存情况,得到较满意的结果。
一、材料与方法
1.材料:9例骨组织为我科活检标本(骨肉瘤3例,肋骨2例,胫骨2例,股骨2例),其组织大小为1.0 cm×1.0 cm×0.2 cm;微波炉为浙江临安生产的YWY781B型;EDTA为进口分装,购于北京化学试剂公司;免疫组化试剂为福州迈新生物技术开发公司赠。
, 百拇医药
2.脱钙液配制:A液:EDTA10 g,PBS缓冲液(pH 7.2)100 ml,加NaOH搅拌溶解后,用1 mol/L HCl调pH至7.2,再加甲醛15 ml。B液:甲酸15 ml,甲醛10 ml,蒸馏水75 ml。C液:硝酸5 ml,甲醛10 ml,蒸馏水85 ml。D液:甲酸10 ml,硝酸3 ml,盐酸5 ml,冰醋酸2 ml,甲醛10 ml,蒸馏水70 ml。
3.脱钙方法:本实验9例骨组织各分两组,即微波脱钙组和室温脱钙组。微波组:将骨组织放入平底小烧杯内,分别装有上述各种脱钙液,表面加一层液体石蜡[3],以微波4档间歇脱钙,每次辐射1分钟,每次辐射之间都将烧杯移至室温冷却5分钟,以保证每次的微波辐射脱钙液的温度不至于太高。室温组:每隔4小时更换一次脱钙液。以大头针能刺进骨密质为完成脱钙标准。
4.免疫组织化学方法:组织脱钙后经常规组织处理切片,枸橼酸微波恢复抗原后,应用SP法进行免疫组织化学反应[4],检测骨组织中骨形成蛋白(BMP单抗)和波形蛋白(Vimentin单抗)。
, http://www.100md.com
二、结果
各种脱钙液在微波/室温脱钙时间分别为A液:1分钟×20次/24小时×7次,B液:1分钟×6次/24小时×2次,C液:1分钟×6次/24小时×1次,D液:1分钟×4次/24小时×1次。脱钙后的骨组织对保持组织完整结构以A液、D液较好,其中A液最好,对骨组织几乎无损害。B液和C液对骨组织破坏严重,使结构看不清。在进行免疫组化染色后发现,以A液对保存组织中抗原物质最好(图1~3),最差的为C液。
图1 骨肉瘤组织经免疫组织化学反应,骨形成蛋白定位比较准确,阳性强度高,背景干净 SP法 ×200
, http://www.100md.com 图2 应用10%EDTA脱钙液,在微波作用下脱钙,骨组织结构保持完整,经免疫组织化学反应,骨形成蛋白定位比较准确,阳性强度高,背景干净 SP法 ×200
图3 应用D液,在微波条件下脱钙,骨组织结构保持尚可,骨形成蛋白免疫组织化学反应定位尚可,阳性较弱,背景特异反应少 SP法 ×200
三、讨论
在各种脱钙液的脱钙效果及免疫组化染色观察蛋白抗原的保存情况中,以EDTA脱钙效果最佳,不但能够完好保持组织的完整结构,而且很好的保存组织中的抗原物质。其他几种脱钙液都是较强酸性溶液所配成的。强酸对骨组织不但容易溶解钙盐,而且也容易破坏组织中的各种蛋白质,使组织结构发生溶解破坏和疏松。由于骨组织中的抗原物质是蛋白质结构,在强酸性的脱钙液的作用下,更易造成破坏丢失,给一些骨组织的病理诊断如需要检测其中抗原物质带来不便。所以,本实验EDTA脱钙液适用于特殊骨组织脱钙的病理诊断和研究,虽处理时间上较其它几种相对长些,但应用微波辐射技术也能在几十分钟内完成脱钙。在进行免疫组化染色时,由于组织经过甲醛处理,组织中的抗原被封闭,故应用枸橼酸盐溶液与微波复合技术恢复抗原,能够得到更好的结果。
, 百拇医药
使用微波脱钙时应注意以下几点:(1)防止酸性物质对微波炉的腐蚀,在液面上加一层液体石蜡,同时在脱钙器皿上加盖。(2)为使脱钙更为充分,每次最好更换新液,这既弃去脱掉的钙盐,增加脱钙强度,又起到降低脱钙的温度。(3)每次脱钙时间不宜太长,以1~5分钟/次为宜。(4)脱钙温度不要太高,在40~60℃为宜。 参考文献
1 张素娟,黄宗义,张盛,等.微波辐射快速脱钙方法探讨.第一军医大学学报,1994,144:62.
2 杨传红,赖晃文,唐赓云,等.微波快速脱钙及其脱钙液的选择.临床与实验病理学杂志,1996,12:357-358.
3 Mc Carthy KP, Sloane JP, Kabarowski JH, et al. The rapid dectection of clonal T-cell proliferations, inpatients with lymphoid disorders. Am J Pathol, 1991, 138:828.
4 邓永江,吴霞,田玉旺,等.枸橼酸盐溶液与微波复合技术在免疫组织化学中的应用.中华病理学杂志,1995,24:388-389.
(收稿:1998-01-20 修回:1998-12-15), http://www.100md.com